The difficulties of treating patients with postresection pleural empyema and bronchopleural fistulas
- Authors: Bagirov M.A.1,2, Tarasov R.V.1,3,2, Sadovnikova S.S.1, Popova S.S.3, Khozikov A.S.1
-
Affiliations:
- Central Research Institute of Tuberculosis
- Russian Medical Academy of Continuing Professional Education
- Moscow Medical University “Reaviz”
- Issue: Vol 22, No 3 (2025)
- Pages: 165-173
- Section: Guide for General Practitioners
- URL: https://journals.rcsi.science/1994-9480/article/view/348368
- DOI: https://doi.org/10.19163/1994-9480-2025-22-3-165-173
- ID: 348368
Cite item
Full Text
Abstract
A case report is presented – surgical treatment of a patient with right-sided postresection tuberculous empyema and bronchopleural fistula after surgery. Patient T., 20 years old, has suffered from tuberculosis since the fall of 2019. On 02.10.21, a lower lobectomy was performed on the right side. In the postoperative period, air discharged through drains was suspected of failing the bronchial stump, which led to another operation: retoractomy, revision of the pleural cavity on the right, and medium lobectomy. According to CT scans of the OGC, there was residual pleural tissue, and the failure of the middle bronchus stump was confirmed. She visited the FSBI "TSNIIT" complaining of shortness of breath during exercise, and a feeling of discomfort in her right chest when breathing deeply. On July 27, 21, re-amputation of the intermediate bronchial stumps was performed. The residual pleura remained after the operation, and drains were removed after 1,5 month. PPI was given at a dose of 1,200 mL/week. Fourteen days later, a control scan of the lungs revealed residual pleural space. Due to the inability to drain the right pleural cavity after several attempts, a revision of the VATS of the right pleura, pleurodesis was performed. The surgery was without complications, the stump was sealed. Drains were removed 2.5 months after achieving hermiticism. With control CT scans of OGK at 1 and 3 years after surgery, AKI was not detected, and the dome of the diaphragm was raised on the right side, with a fibrothorax in the upper parts. She completed treatment and returned to a normal lifestyle.
Full Text
Туберкулез легких входит в число основных причин смерти во всем мире и представляет огромную опасность для населения [1], а согласно данным литературы, на 2022 г. является второй по значимости причиной смерти от инфекционных болезней после COVID-19 [2]. В связи с трудностями при выборе тактики лечения при туберкулезе применение хирургических вмешательств зачастую происходит в неверные сроки и приводит к осложнениям [3]. Частота осложнений хирургического лечения лекарственно-устойчивых форм туберкулеза, по данным авторов [4], достигает 18,01 %. А частота пострезекционных рецидивов, по данным авторов [5], колеблется от 6 до 30 %.
ЦЕЛЬ РАБОТЫ
Анализ сложности диагностики и лечения пациентки с пострезекционной эмпиемой плевры с бронхоплевральным свищом, сформировавшимся после проведенной нижней билобэктомии по поводу кавернозного туберкулеза нижней доли правого легкого, и оценка эффективности различных методов лечения в подобных клинических случаях.
МЕТОДИКА ИССЛЕДОВАНИЯ
В данной исследовательской работе были использованы ретроспективное наблюдение, методы клинического анализа. В процессе была изучена история болезни пациентки с пострезекционной эмпиемой плевры и бронхоплевральным свищом; данные, использованные для анализа, основывались на клиническом осмотре, рентгенографии органов грудной клетки (ОГК), компьютерной томографии (КТ) ОГК, бронхоскопии и лабораторной диагностики для подтверждения наличия свища и эмпиемы. Лечение включало хирургическое вмешательство, также применение консервативных методов лечения.
Оценка эффективности терапии проводилась на основе клинических показателей, динамики выздоровления.
КЛИНИЧЕСКИЙ ПРИМЕР
Пациентка Т., 20 лет, с ВИЧ-негативным статусом, болеет туберкулезом с осени 2019 г. после контакта с больным туберкулезом братом. Первые проявления болезни выражались неспецифическими симптомами в виде общей слабости, повышенной утомляемости и постоянным повышением температуры тела до субфебрильных цифр.
Пациентка обратилась за медицинской помощью по месту жительства, получала неспецифическую антибактериальную терапию – без эффекта. По данным компьютерной томографии органов грудной клетки от 22 сентября 2020 г. рентгенологическая картина инфильтративного туберкулеза нижней доли правого легкого в фазе распада. Пациентка была поставлена на туберкулезный учет 23 сентября 2020 г. и направлена на стационарное лечение в республиканский противотуберкулезный диспансер, где получала терапию по IPXT. На проводимое лечение наблюдалось нежелательное явление в воде гепатотоксической реакции. Переведена в хирургическое отделение 22 декабря 2020 г., где 10 февраля 2021 г. выполнена нижняя лобэктомия справа по поводу кавернозного туберкулеза. В послеоперационном периоде отмечался длительный сброс воздуха по дренажам. С целью исключения несостоятельность культи бронха больной была выполнена фибробронхоскопия (ФБС) – дефекта культи бронха не обнаружено. Тем не менее, в связи с продолжающимся воздухотечением было принято решение о выполнении повторной операции, 2 марта 2021 г. выполнена реторакотомия, ревизия правой плевральной полости, средняя лобэктомия. После операции на седьмые сутки отмечалось сохранение сброса воздуха. Проведена ФБС – дефекта в культе бронха не обнаружено. Пациентке был установлен эндобронхиальный клапан в правый главный бронх, еженедельно проводилось наложение искусственного пневмоперитонеума в объеме 800 мл, проведена коррекция противотуберкулезной химиотерапии – к IPXT были добавлены линезолид 0,6 мг, левофлоксацин 0,5 мг в/в. При ФБС 17 мая 2021 г. обнаружен дефект культи правого промежуточного бронха 0,3 мм, повторно установлен эндобронхиальный клапан 20 мм в правый главный бронх – клапан выкашлян. По данным ФБС от 21 июня 2021 г. отмечена отрицательная динамика в виде увеличения дефекта культи промежуточного бронха до 0,7 мм. Повторно эндобронхиальный клапан установить не удалось.
Пациентка самостоятельно обратилась в ФГБНУ «ЦНИИТ» для дальнейшего лечения.
На момент поступления, 29 июня 2021 г., отмечались жалобы на одышку при физической нагрузке (mMRC 2), чувство дискомфорта в правой половине грудной клетке при глубоком вдохе. Аускультативно в нижних отделах справа дыхание не проводится, в остальных отделах дыхание везикулярное, ослабленное. Частота дыхательных движений (ЧДД) 20 в мин. Артериальное давление (АД) 120/80 мм рт. ст. Частота сердечных сокращений (ЧСС) 80 в мин.
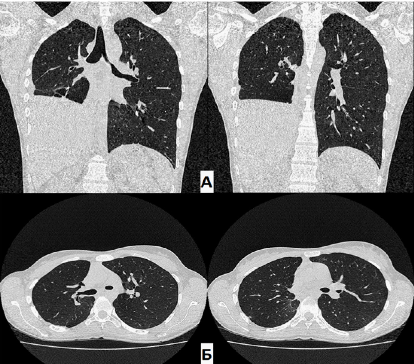
На КТ органов грудной клетки (от 21 июня 2021 г.) определялось бронхоплевральное сообщение культи правого промежуточного бронха с плевральной полостью. Остаточная плевральная полость (ОПП) в нижних отделах справа. В оставшихся отделах правого легкого – без патологических изменений (очаговых и инфильтративных теней не обнаружено). Тень средостения располагается срединно, правый купол диафрагмы приподнят до уровня VI межреберья (рис. 1).
Рис. 1. Компьютерная томография (А – фронтальная проекция; Б – аксиальная проекция) при поступлении. Определяется остаточная полость парамедиастинально слева
В мокроте методом люминесцентной микроскопии (30.06.2021) кислотоустойчивые микобактерии не обнаружены. Методом полимеразной цепной реакции (ПЦР) ДНК микобактерии туберкулеза не обнаружены.
Общий анализ крови (30.06.2021) показал наличие умеренного тромбоцитоза 374 × 109/л, снижение гемоглобина до 114 г/л, лимфоцитоз 37, повышенная СОЭ 46 мм/ч.
Биохимический анализ (30.06.2021) отражал повышение АЛТ до 211,9 ед./л, повышение АСТ до 41,5 ед./л, повышение ГГТП до 60 ед./л.
Общий анализ мочи без выраженных патологических изменений.
По данным спирометрии (07.07.2021): жизненная емкость легких (ЖЕЛ) 66,8 %, объем форсированного выдоха (ОФВ1) 75,6 %, ИТ 117,0 % – умеренное снижение вентиляционной способности легких по рестриктивному типу, жизненная емкость легких умеренно снижена, достаточное насыщение крови О2.
С учетом наличия осложнений хирургического лечения деструктивного туберкулеза легкого решением врачебной комиссии ФГБНУ «ЦНИИТ» принято решение развернуть противотуберкулезную терапию в объеме: линезолид 0.6, пиразинамид 1.5, спарфлоксацин 0.2, циклосерин 0.5, капреомицин 0.5, бедаквилин по схеме, симптоматическая терапия с учетом гепатотоксической реакции в анамнезе.
По данным ФБС (10.07.2021): на расстоянии 3–4-го хрящевых полуколец от шпоры ВДБ определяется несостоятельность культи промежуточного бронха, представляющая собой округлый дефект, по периметру которого определяются металлические скрепки и усики лигатур синего цвета, дистальнее определяются свищевые «ходы». Диаметр дефекта культи до 7–9 мм. Заключение: состояние после нижней билобэктомии справа, несостоятельность культи промежуточного бронха с формированием бронхоплеврального свища. Левосторонний бронхит 1-й степени.
Пациентке установлен клинический диагноз: правосторонняя ограниченная пострезекционная эмпиема с бронхоплевральным свищом, состояние после нижней лобэктомиии справа (10.02.2021.) по поводу кавернозного туберкулеза, реторакотомии, ревизии правой плевральной полости, средней лобэктомии (02.03.2021.) по поводу пострезекционной эмпиемы. МБТ «–».
Случай пациентки обсужден на расширенной хирургической консультации. Учитывая значительный размер дефекта культи промежуточного бронха (около 9 мм), наличие ограниченной эмпиемы, сформировавшейся и поддерживаемой бронхоплевральным свищом, достаточную длину культи промежуточного бронха, отсутствие признаков прогрессирования туберкулезного процесса в оперированном легком оптимальным объемом оперативного вмешательства выбрана реампутация культи промежуточного бронха.
27.07.2021 выполнена ВАТС реампутация культи промежуточного бронха.
Течение операции. В положении больной на левом боку произведено иссечение грубого рубца кожи в проекции V межреберья справа, выполнена боковая миниторакотомия в IV межреберье справа без применения дополнительного разреза. Плевральная полость тотально облитерирована. Легкое выделено интраплеврально тупым и острым путем. В рану введен торакоскоп. По ходу выделения вскрыта остаточная полость с которой сообщался свищевой ход, жидкостное содержимое отсутствовало. Выполнена частичная плеврэктомия с иссечением утолщенных стенок ограниченной эмпиемы. Выделена культя промежуточного бронха более 1 см в длину, с четкой визуализацией деления промежуточного бронха на нижнедолевой и среднедолевой бронхи. На основание промежуточного бронха наложен аппарат УО-40, культя прошита, резецирована, механический шов дополнительно укреплен проленовой нитью. Контроль аэростаза, гемостаза. При расправлении легкое занимает только часть гемиторакса. В плевральную полость установлено два дренажа. Торакотомная рана послойно ушита.
Длительность операции составила 220 минут, кровопотеря 215 мл (рис. 2).
Рис. 2. Макроскопическая картина удаленного материала. Определяется дефект культи промежуточного бронха справа
При патогистологическом исследовании операционного материала выявлены признаки умеренного продуктивного плеврита в виде выраженного фиброза плевры, очагового ангиоматоза и неравномерной, преимущественно слабой диффузно-очаговой лимфо-плазмоцитарной воспалительной инфильтрации (рис. 3а, б). В стенке культи бронха отмечались явления слабо выраженного хронического бронхита вне обострения (рис. 3в). В удаленных лимфатических узлах обнаружены реактивные изменения, проявившиеся слабо выраженной макрофагальной реакцией (рис. 3г).
Рис. 3. Гистологическая картина операционного материала: А) и Б) гистологический препарат операционного материала плевры с признаками умеренно выраженного продуктивного плеврита. Окраска гематоксилином и эозином: А) увеличение ×200; Б) увеличение ×100; В) гистологический препарат стенки бронха с признаками хронического бронхита. Окраска гематоксилином и эозином. Увеличение ×100; Г) гистологический препарат лимфатического узла со слабо выраженной макрофагальной реакцией. Окраска гематоксилином и эозином. Увеличение ×100
В послеоперационном периоде наблюдалось продленное воздухотечение по дренажам (более 10 дней). На 3-и сутки с целью элевации правого купола диафрагмы накладывался искусственный пневмоперитонеум (ИПП) в объеме 1200 мл/нед. После достижения стойкого герметизма по дренажной системе – дренажи удалены (на 15-е сут. после операции).
Через 1,5 месяца после операции пациентке выполнено КТ ОГК (07.09.2021.) (рис. 4): определяются косвенные признаки бронхоплеврального сообщения между культей правого промежуточного бронха и плевральной полостью, полость соприкасается с линией резекции культи (цепочки скоб). В динамике – увеличение объема ОПП в нижних отделах справа, как латерально, так и парамедиастинально. В оставшихся отделах правого легкого без свежих патологических изменений. Тень средостения располагается срединно, правый купол диафрагмы приподнят до уровня VI межреберья.
Рис. 4. Компьютерная томография (А – фронтальная проекция; Б – аксиальная проекция) через 1,5 месяца. Остаточная плевральная полость справа латерально и парамедиастинально. В динамике – полость увеличилась в размерах
Выполнена ФБС от 10.09.2021: состояние после ВАТС ререзекции культи промежуточного бронха. Эндоскопическая картина не исключает наличия микродефекта культи промежуточного бронха (без достоверных данных). Левосторонний бронхит 1-й степени.
Учитывая подозрение на наличие микродефекта культи промежуточного бронха, формирование обширной остаточной полости в нижних отделах правой плевральной полости было решено провести ВАТС ревизию правой плевральной полости.
Пациентка оперирована 05.10.2021 г. Течение операции. После установки торакоскопа определяется остаточная воздушная полость больших размеров. Легкое подвешено на грубых толстых спайках, спайки рассечены острым путем, в том числе с помощью электрокаутера. Легкое выделено частично интраплеврально, частично экстраплеврально (преимущественно в апикальной части). При ревизии культи промежуточного бронха и проведения контроля воздухотечения из культи – признаков дефекта не обнаружено. Выполнена частичная плеврэктомия и декортикация легкого. Выполнен контроль аэростаза. Полного герметизма достичь не удалось из-за микродефектов легочной ткани после декортикации, при этом воздухотечение отмечалось только при повышении давления на аппарате ИВЛ выше 35 мм рт. ст. Контроль гемостаза. При расправлении легкое занимает большую часть гемиторакса. В плевральную полость установлено два дренажа (в область купола плевральной полости и в область заднего реберно-диафрагмального синуса). Длительность операции 185 мин. Кровопотеря 85 мл.
В послеоперационном периоде возобновилось воздухотечение по дренажам. Пациентке было продолжено наложение ИПП в объеме 1200 мл, проводилась местная санация плевральной полости (введение антибактериальных препаратов и антисептиков по дренажам). После достижения нестойкого герметизма проводился химический плевродез (введение раствора йода на физиологическом растворе по верхнему дренажу). Дренажи удалены после достижения стойкого герметизма. Общая длительность послеоперационного дренирования составила 85 сут. Швы сняты на 14-е сут.
При контрольном КТ ОГК через 3 мес. после операции (28.02.2022): данные за бронхоплевральное сообщение отсутствуют. Пациентка выписана из отделения для продолжения лечения в ПТД по месту жительства.
При контрольном КТ ОГК через 1,5 года: в динамике – полное отсутствие ОПП. Состояние после этапного хирургического лечения. В оставшихся отделах правого легкого без патологических изменений. Эмфизематозные изменения верхней доли правого легкого. Тень средостения располагается срединно, правый купол диафрагмы приподнят до уровня V межреберья.
Рис. 5. Компьютерная томография (А – фронтальная проекция; Б – аксиальная проекция) через 1,5 года. Отсутствие остаточной плевральной полости справа
Пациентка вернулась к нормальному образу жизни, окончила колледж и успешно работает фельдшером скорой помощи.
РЕЗУЛЬТАТЫ ИССЛЕДОВАНИЯ И ИХ ОБСУЖДЕНИЕ
На протяжении многих лет одной из основных задач хирургии туберкулеза является улучшение результатов хирургического лечения больных, в том числе пациентов с послеоперационными осложнениями.
Лечение такого осложнения, как пострезекционная эмпиема плевры с бронхоплевральным свищом, представляет собой одну из наиболее сложных задач в торакальной хирургии. Наличие бронхоплеврального свища, особенно в области культи крупного бронха, ухудшает прогноз лечения и затрудняет выбор хирургической тактики.
При несостоятельности культи бронха возможно применение эндоскопической коагуляции слизистой, установка различного типа окклюдеров, применение фибринового клея [6]. Но, безусловно, радикальным способом ликвидации бронхоплевральных осложнений остается хирургическое лечение. Операциями выбора при пострезекционных эмпиемах со свищами крупных бронхов являются повторные резекции (ререзекции) культи / легкого, тампонады свища мышечным лоскутом или сальником, трансстернальная окклюзия главного бронха. При правильно выбранной хирургической тактике эффективность повторных операций, по данным ряда авторов, может достигать 90 % [7, 8, 9].
У данной пациентки после проведенной нижней лобэктомии справа с последующей реторакотомией и выполнением средней лобэктомии образовался дефект правого промежуточного бронха, который безуспешно пытались ликвидировать путем установки эндобронхиального клапана. В результате последующего длительного консервативного лечения – дефект увеличился в размере и на момент поступления в клинику составлял 7–9 мм.
С учетом наличия у пациентки, оперированной по поводу деструктивного туберкулеза легкого, повторного осложнения после хирургического вмешательства, прогрессирующее увеличение дефекта культи бронха с формированием обширного бронхоплеврального свища выбор хирургической тактики вызывал существенные сложности.
Основными факторами, повлиявшими на выбор хирургической тактики, являлись: значительный размер дефекта культи промежуточного бронха (около 9 мм), наличие ограниченной санированной эмпиемы, поддерживаемой бронхоплевральным свищом, достаточная длина культи промежуточного бронха, отсутствие признаков прогрессирования туберкулезного процесса в оперированном легком. Сочетание этих факторов позволило выполнить ререзекцию культи промежуточного бронха и радикально ликвидировать пострезекционное бронхоплевральное осложнение.
Выполнение торакопластических операций или различных вариантов тампонад свища окружающими тканями довольно травматично и не является радикальным способом ликвидации бронхиальных осложнений. После выполнения ререзекции культи у данной пациентки бронхоплевральный свищ был ликвидирован. Возможно длительное послеоперационное воздухотечение произошло ввиду перерастяжения легочной ткани оставшейся верхней доли и просачивания воздуха через дефекты легочной ткани после обширного пневмолиза.
При отсутствии эффекта от длительного консервативного лечения, по данным авторов [10, 11], показаны санация плевральной полости, пневмолиз или декортикация легкого. Для исключения рецидива бронхиального свища пациентке проведена видеоторакоскопия с лечебно-диагностической целью, выполнена декортикация легкого и частичная плеврэктомия. При отсутствии признаков рецидива бронхоплеврального свища дальнейшее лечение носило консервативный характер (санация плевральной полости, химический плевродез).
ЗАКЛЮЧЕНИЕ
Данный клинический пример иллюстрирует значительные трудности в лечении послеоперационных осложнений и определения оптимальной правильной тактики лечения. Правильно подобранный план хирургического лечения (операции резекционного типа, длительное ведение пациентки с дренажной системой) в совокупности с адекватной ПТТ и ИПП позволили достичь хороших результатов в лечении туберкулеза, несмотря на трудности в заживлении.
About the authors
Mamad A. Bagirov
Central Research Institute of Tuberculosis; Russian Medical Academy of Continuing Professional Education
Email: bagirov60@gmail.com
ORCID iD: 0000-0001-9788-1024
MD, Thoracic Surgeon, Chief Researcher of the Department of Surgery, Professor of the Department of Thoracic Surgery
Russian Federation, Moscow; MoscowRuslan V. Tarasov
Central Research Institute of Tuberculosis; Moscow Medical University “Reaviz”; Russian Medical Academy of Continuing Professional Education
Author for correspondence.
Email: etavnai@yandex.ru
ORCID iD: 0000-0001-9498-1142
Candidate of Medical Sciences, Surgeon, Researcher at the Department of Surgery, Associate Professor at the Department of Surgical Diseases, Assistant at the Department of Thoracic Surgery
Russian Federation, Moscow; Moscow; MoscowSvetlana S. Sadovnikova
Central Research Institute of Tuberculosis
Email: sadovnikova.sv@mail.ru
ORCID iD: 0000-0002-6589-2834
MD, Thoracic Surgeon, Head of the 1st Surgical Department
Russian Federation, MoscowSofiya S. Popova
Moscow Medical University “Reaviz”
Email: sofiya.popova.2001@inbox.ru
ORCID iD: 0009-0005-7437-5846
student
Russian Federation, MoscowAndrey S. Khozikov
Central Research Institute of Tuberculosis
Email: metal.anty.bydlo@yandex.ru
ORCID iD: 0000-0003-0308-9592
pathologist
Russian Federation, MoscowReferences
- Natarajan Arvind, Beena P.M., Devnikar Anushka V., Mali Sagar. A systemic review on tuberculosis. Indian Journal of Tuberculosis. 2020;67:295–311.
- Savintseva E.V., Isaeva P.V., Nizamova G.F. Tuberculosis and COVID-19: medical and social aspects. Tuberkulez i bolezni legkikh = Tuberculosis and lung diseases. 2022;100(3):13–17. (In Russ.) doi: 10.21292/2075-1230-2022-100-3-13-17.
- Makogonova M.E., Shapovalova E.N., Kudryashov G.G., Gavrilov P.V. The experience of using magnetic resonance imaging to assess pulmonary tuberculosis. Meditsinskii al'yans = Medical Alliance. 2023;3:93–102. (In Russ.).
- Elipashev A.A., Nikolsky V.O., Shprykov A.S., Elkin A.V. Analysis of complications and relapses of surgical treatment of patients with limited pulmonary tuberculosis with different morphological activity of specific inflammation. Tuberkulez i bolezni legkikh = Tuberculosis and lung diseases. 2015;(10):20–23. (In Russ.).
- Khudaibergenov Sh.N., Pakhomov G.L., Khayaliev R.Ya., Irisov O.T., Eshonkhodzhaev O.D. Surgical tactics in patients with bronchopleural fistulas after pneumonectomy. Novosti khirurgii = Surgery news. 2011;19(3):57–62. (In Russ.).
- Gallyamov E.A., Nikulin A.V., Diduev G.I., Malofey A.M., Romanikhin A.I., Surkov A.I. et al. The use of fibrin glue in the treatment of bronchial stump failure after lower lobectomy on the right (clinical observations). Khirurgicheskaya praktika = Surgical practice. 2022;3:49–55. (In Russ.) doi: 10.38181/2223-2427-2022-3-49-55.
- Bal S., Ali K., Haridas B., Shrivastava G., Gupta S. Management of post pneumonectomy bronchopleural fistula: the transpericardial approach. Journal of Visualized Surgery. 2018; 4:237–237. doi: 10.21037/jovs.2018.10.18.
- Cardillo G., Carbone L., Carleo F., Galluccio G., Martino M., Di Giunti R. et al. The Rationale for Treatment of Postresectional Bronchopleural Fistula: Analysis of 52 Patients. The Annals of Thoracic Surgery. 2015;100(1):251–257. doi: 10.1016/j.athoracsur.2015.03.014.
- Balandina I.A., Amarantov D.G. The use of thoracoscopy in the treatment of limited acute pleural empyema. Grudnaya i serdechno-sosudistaya khirurgiya = Thoracic and cardiovascular surgery. 2009;2:38–41. (In Russ.).
- Davidenko V.B., Pashchenko Yu.V., Davidenko N.V., Shtyker S.Yu., Degtyarev Ya.K. Thoracoscopic operations for acute destructive pneumonia and cystic lung abnormalities in children. Rossiiskii vestnik detskoi khirurgii, anesteziologii i reanimatologii = Russian Journal of Pediatric Surgery, Anesthesia and Intensive Care. 2012;2(1):99–100. (In Russ.).
- Sleptsov A.A., Savvina V.A., Erdineev T.E., Varfolomeev A.R., Nikolaev V.N., Zuev A.L. et al. Thoracoscopic rehabilitation of the pleural cavity in purulent-inflammatory lung diseases in children. Rossiiskii vestnik detskoi khirurgii, anesteziologii i reanimatologii = Russian Journal of Pediatric Surgery, Anesthesia and Intensive Care. 2015;5(1):74–77. (In Russ.).
Supplementary files






