Features of the microcirculatory bed of the prostate gland in overweight men with benign prostatic hyperplasia according to immunohistochemical detection of CD34
- Authors: Notov I.K.1, Zalavina S.V.1, Pozdnyakova S.V.1
 - 
							Affiliations: 
							
- Novosibirsk State Medical University
 
 - Issue: Vol 21, No 1 (2024)
 - Pages: 171-177
 - Section: Original Researches
 - URL: https://journals.rcsi.science/1994-9480/article/view/315958
 - DOI: https://doi.org/10.19163/1994-9480-2024-21-1-171-177
 - ID: 315958
 
Cite item
Full Text
Abstract
Immunohistochemical detection of CD34 positive microvessels in the prostate of men with different body weights was performed. Prostate fragments were obtained during transurethral enucleation of the prostate gland for benign prostatic hyperplasia. A decrease in the density of the vascular network in both the muscular-fibrous and glandular components of the prostate was revealed as body weight increased.
Full Text
Доброкачественная гиперплазия предстательной железы (ДГПЖ) является одним из наиболее распространенных заболеваний мужчин пожилого и старческого возраста. По современным статистическим данным у мужчин к 80 годам ДГПЖ встречается в среднем у 80 % [1]. В настоящее время принято считать, что ДГПЖ – это системное многофакторное гормонально-метаболическое заболевание, в основе развития которого лежит сочетание различных патогенетических механизмов, ведущими являются гормонально-метаболический дисбаланс, генетическая предрасположенность, нерациональное питание, развитие метаболического синдрома и ожирение [2]. В научной литературе широко обсуждаются факторы патогенеза ДГПЖ, в том числе зависимость ее развития от избыточной массы тела [3, 4]. Сочетание возрастного андрогенного дефицита (дефицит тестостерона), на фоне изменения уровня эстрогенов и возрастного феномена гиперинсулинемии/инсулинорезистентности приводит к прогрессированию ожирения, развитию эндотелиальной дисфункции и системному хроническому воспалению [5]. При этом усугубляется клеточная и тканевая гипоксия, активируется железисто-стромальная простатическая пролиферация, что морфологически проявляется усиленной пролиферацией эпителиальных клеток концевых отделов желез и компонентов стромы переходной зоны простаты [6]. Понимание этих факторов привело к формированию в современной урологии взгляда на ДГПЖ как на гормонально-метаболическое заболевание с системным патогенезом и преимущественно локальными клиническими проявлениями, однако тонкие патогенетические механизмы и их взаимосвязи нуждаются в дальнейшем изучении.
ЦЕЛЬ РАБОТЫ
Провести определение плотности микрососудов по выявлению экспрессии CD34 на эндотелии сосудов микроциркуляторного русла (МЦР) в предстательной железе мужчин с разной массой тела.
МЕТОДИКА ИССЛЕДОВАНИЯ
Проводили исследование структуры фрагментов предстательной железы, удаленной в результате хирургического лечения ДГПЖ. Трансуретральное вмешательство выполнялось двумя методами: 17 пациентам выполнена лазерная и 14 пациентам плазменная энуклеация. В соответствии с показателем индекса массы тела (ИМТ) согласно рекомендациям Всемирной организации здравоохранения (ВОЗ), пациенты были разделены на 3 группы. 1-я группа (n = 6, 19,4 % от всех пациентов) – мужчины с нормальной массой тела, ИМТ в этой группе составил 18–24,9. 2-я группа (n = 15, 46,88 % от всех наблюдений) – мужчины с избыточной массой тела (предожирение), ИМТ находится в цифровом интервале от 25 до 29,9. 3-я группа (n = 10, 31,25 % от всех пациентов) – мужчины с ожирением 1-й степени, у которых ИМТ составил 30–34,9. Для расчета ИМТ использовали стандартную формулу: ИМТ = Вес (кг): Рост (м)².
Фрагменты предстательной железы фиксировали в забуференном формалине, подвергали стандартной проводке и заливали в гистомикс. Изготавливали срезы толщиной 5 мкм. Иммуногистохимическое (ИГХ) исследование эндотелиального фактора CD34 +, клон QBEnd-10 проводили с использованием готовых к использованию первичных моноклональных антител (Dako Cytomation, Дания), по инструкции производителя. АГ-позитивные эндотелиоциты в составе МЦР простаты определяли по коричневому окрашиванию на светооптическом уровне при увеличении микроскопа × 100 Primo Star (Zeiss, Германия). Обсчет количества сосудов проводили методом точечного счета в квадратной тестовой системе на 88 точек в 40 изображениях на группу. Морфометрическое исследование проводилась в 2 структурных компонентах простаты: в фиброзно-мышечной строме простаты, где учитывалась относительная площадь МЦР и площадь мышечно-фиброзной стромы и в железисто-мышечных комплексах, где определялись относительные площади четырех структурных компонентов: сосудов МЦР, просвета желез, эпителиальной выстилки желез и мышечно-соединительнотканного компонента, окружающего базальную мембрану желез.
Статистическую обработку данных морфометрического исследования проводили с использованием лицензионного пакета Excel MS Office-2016 и SPSS Statistics 22. Полученные показатели проверяли на нормальность распределения с использование критерия Колмогорова – Смирнова. При негауссовом распределении показателей выборки использовали U-критерий Mann – Whitney с поправкой Бонферрони. Количественные показатели на графиках представлены в процентах в виде среднего значения, медианы, межквартильного интервала (Q1, Q3 – 25-й, 75-й квартили), минимальных и максимальных значениях выборки. При проведении статистического анализа критический уровень значимости р принимался равным 0,05.
РЕЗУЛЬТАТЫ ИССЛЕДОВАНИЯ И ИХ ОБСУЖДЕНИЕ
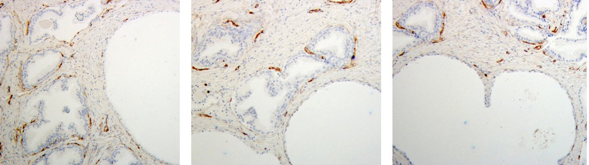
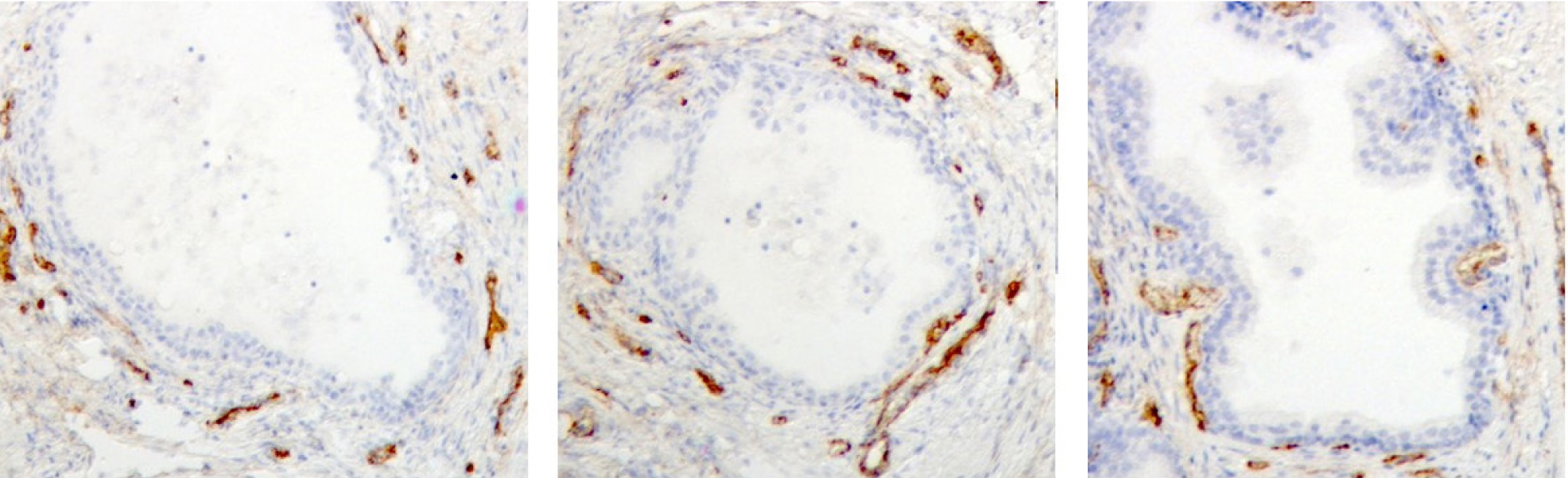
Исследование микрососудистого русла предстательной железы проводили методом ИГХ выявления молекулы клеточной адгезии CD34. По химической природе CD34 являет собой трансмембранный фосфогликопротеин, впервые обнаруженный на гемопоэтических стволовых и прогениторных клетках. CD34 экспрессируют эндотелиальные клетки кровеносных и лимфатических сосудов [7]. При выявлении СD34 положительных сосудов МЦР в соединительной ткани, окружающей концевые отделы простатических желез, были выявлены три характерных варианта плотности расположения сосудов (МЦР) русла. Выявлялись концевые отделы желез, окруженные микрососудами, расположенными в два яруса, при этом первый ярус был приближен к базальной мембране. Второй слой гемокапилляров располагался в наружных слоях соединительной ткани, окружающей концевые отделы желез (рис. 1).
Рис. 1. Расположение сосудов МЦР в два слоя вокруг концевых отделов простатических желез. ИГХ исследование экспрессии маркеров CD34, докраска ядер гематоксилином Майера, × 100
Такие морфологические картины МЦР наиболее часто выявлялись в предстательных железах пациентов 1-й группы с нормальной массой тела. Кроме этого варианта расположения микрососудов во всех группах выявлялись концевые отделы с обедненным количеством сосудов МЦР вокруг концевых отделов желез, когда выявляются вместо двухэтажных сосудистых разветвлений определялись одноэтажные с редким расположением сосудов МЦР (рис. 2).
Вокруг кистозно-расширенных концевых отделов с частичной атрофией эпителия и истончением стенки железы, а также вокруг желез, в просвете которых происходит сгущение секрета и образование конкреций, также наблюдается изменение рисунка микрососудистого русла. Отмечается разрежение сосудов МЦР. Вместо двухэтажных, разветвленных сетей формируются одноэтажные капиллярные сети с очень редким расположением микрососудов под базальной мембраной концевых отделов желез, более того выявляются лишенные сосудов бессосудистые участки (рис. 3).
Общее количество концевых отделов желез с обеднением микрососудистого русла увеличивается во 2-й и 3-й группах. Такие преобразования МЦР приводят к значимому снижению удельной площади гемокапилляров в группах мужчин с избыточной массой тела (рис. 4).
Морфометрия таких структур железистого компонента простаты, как просвет желез и эпителий, выстилающий концевые отделы желез, показала, что достоверных различий в показателях их относительных площадей, во всех трех группах нет. Определение относительной площади соединительной ткани, окружающей концевые отделы желез, выявила значимое увеличение доли соединительной ткани во 2-й группе на 25 % и тенденцию к увеличению ее площади в 3-й группе на 16 % по сравнению с показателями 1-й группы (рис. 5).
Рис. 2. Единичные сосуды МЦР вокруг концевых отделов желез простаты. ИГХ исследование экспрессии маркеров CD34, докраска ядер гематоксилином Майера, × 100
Рис. 3. Бессосудистые пространства вокруг концевых отделов желез с признаками сгущения секрета и кистозно расширенных концевых отделов простатических желез. ИГХ исследование экспрессии маркеров CD34, докраска ядер гематоксилином Майера, × 100
В процессе возрастной инволюции простаты гемомикроциркуляторное русло видоизменяется и строение железисто-микрососудистых комплексов напоминает таковое у детей, то есть становится однослойным. Эти преобразования многослойных периацинарных капиллярно-посткапиллярных сетей в однослойные в пожилом и старческом возрастах соответствуют периодам редукции многослойной конструкции периацинарной мышечной ткани [8]. В нашем исследовании средний возраст мужчин с нормальной массой тела (1-я группа) составил (65,7 ± 3,4) года, а из сопутствующей патологии у 33,3 % мужчин зарегистрировано гипертоническая болезнь.
Рис. 4. Относительная площадь сосудов МЦР в мышечно- железистом компоненте предстательной железы в группах мужчин с разной массой тела
Рис. 5. Относительная площадь соединительной ткани, окружающей концевые отделы желез простаты в группах мужчин с разной массой тела
Мужчины 2-й группы (предожирение) в среднем старше на 2 года пациентов 1-й группы, их средний возраст составил (67,7 ± 2,25) года. Самой частой сопутствующей патологией у них является гипертоническая болезнь, которая имелась у 46,6 % мужчин, а 20 % пациентов поставлен диагноз хроническая ишемическая болезнь сердца (ХИБС). Таким образом, в этой группе патология сердечно-сосудистой системы составляет более 60 %.
Средний возраст мужчин 3-й группы (ожирение 1-й степени) меньше, чем у пациентов 1-й группы на 2 года, а в сравнении с мужчинами 2-й группы меньше на 4 года и составляет (63,7 ± 1,03) года. При этом 90 % пациентам этой группы поставлен диагноз заболеваний сердечно-сосудистой системы, из которых 80 % составляет гипертоническая болезнь и 10 % приходится на ХИБС. Кроме того, у 40 % пациентов выявлен сахарный диабет 2-го типа. Исходя из возрастных показателей мужчин в нашем исследовании, нельзя все выявленные перестройки в структуре простаты, в частности обеднение сосудистого русла, увеличение доли соединительной ткани, объяснять только возрастными инволютивными процессами в предстательной железе. Высказывается мнение, что первичным патогенетическим фактором инициации патологического процесса в предстательной железе являются нарушения системной гемодинамики вследствие заболеваний сердечно-сосудистой системы – атеросклероз сосудов малого таза, гипертоническая болезнь, эндотелиальная дисфункция, гормональные нарушения и избыточная масса тела вызывают регионарные гемодинамические нарушения [9], являются отягощающими факторами, вносящими свой вклад в негативные структурные преобразования железистого и мышечно-фиброзного компонентов простаты.
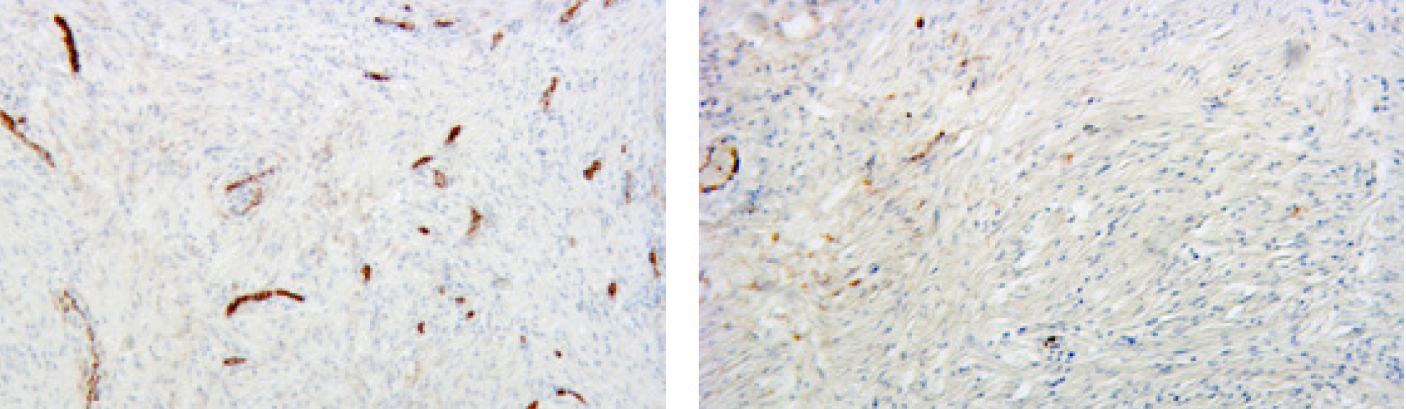
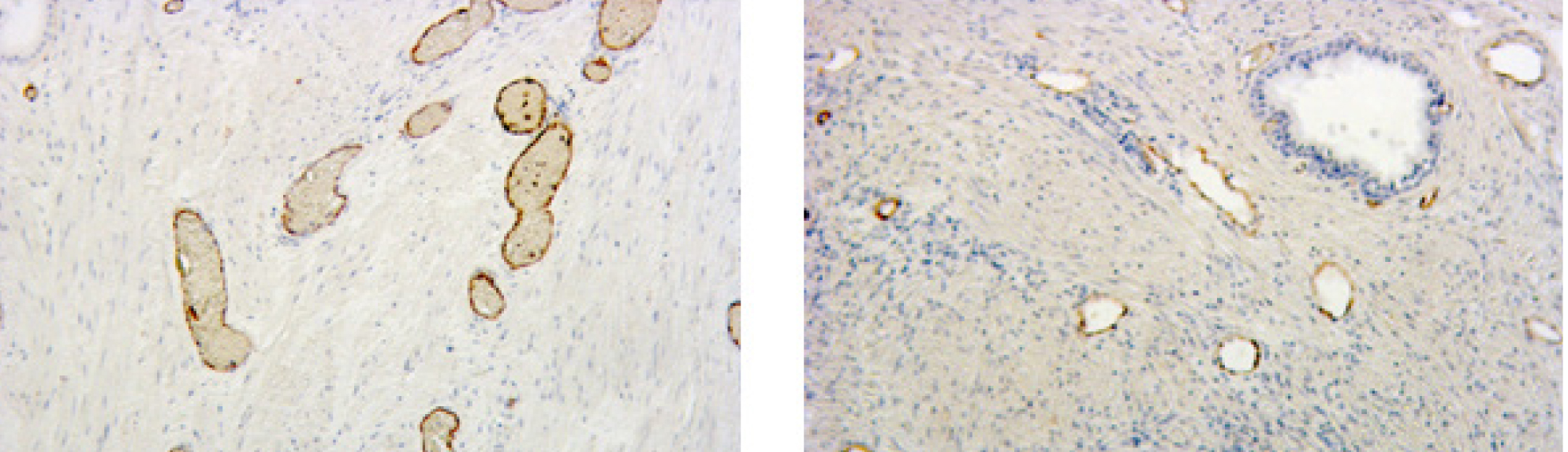
Выявление экспрессии маркера CD34 в мышечно-фиброзном компоненте предстательной железы позволила нам увидеть наиболее многочисленные продольные и поперечные срезы сосудов в простатах, полученных от пациентов с нормальной массой тела. При этом срезы сосудов чаще всего имели округлые очертания на поперечных срезах и широкий просвет на продольных срезах. Сосуды могли иметь запустевший просвет или быть плотно заполненными форменными элементами крови (рис. 6).
Определение CD34 позитивных структур в мышечно-фиброзных компонентах простаты, полученных от мужчин 2-й и 3-й групп, позволило выявить микрососуды, чаще всего имеющие не округлую, а спавшуюся, линейную форму. Микрососудистая сеть была разреженной, часто выявлялись бессосудистые участки (рис. 7).
Морфометрия сосудов МЦР в мышечно-фиброзной основе выявила значимое снижение во 2-й и 3-й груп- пах площади микрососудов по сравнению с показателями 1-й группы (рис. 8).
В то время как суммарные относительные площади мышечной и соединительной ткани в мышечно-фиброзном модуле простаты значимо увеличиваются в группах мужчин с избыточной массой тела (рис. 9).
Рис. 6. Сосуды МЦР в мышечно-фиброзном компоненте предстательной железы в группе мужчин с нормальной массой тела. ИГХ исследование экспрессии маркеров CD34, докраска ядер гематоксилином Майера, × 100
Рис. 7. Разреженная сосудистая сеть и бессосудистые участки в мышечно-фиброзном компоненте простаты. ИГХ исследование экспрессии маркеров CD34, докраска ядер гематоксилином Майера, × 100
Рис. 8. Относительная площадь сосудов МЦР в мышечно-фиброзном компоненте предстательной железы в группах мужчин с разной массой тела
Рис. 9. Суммарная площадь мышечной и соединительной ткани в мышечно-фиброзном компоненте простаты в группах мужчин с разной массой тела
Исследование МЦР в предстательной железе мужчин продемонстрировало его сложную и особую организацию в различных структурных компонентах простаты. Дольки желез оплетены микрососудами в несколько слоев, количество которых изменяется с возрастом, а также на фоне различных патологических процессов и сопутствующих заболеваний. В мышечно-фиброзной основе железы сосуды МЦР в основном расположены параллельно мышечным и соединительнотканным волокнам. Таким образом, в простате организация микроциркуляторного русла построена по модульному типу, образуя разные микрососудисто-железисто-мышечные комплексы простаты. В предстательной железе выделяют два таких модуля (комплекса): микро-сосудисто-железистый, соответствующий железистому компоненту простаты и микро-сосудисто-мышечный комплекс [8], соответствующий мышечно-фиброзному компоненту предстательной железы.
ЗАКЛЮЧЕНИЕ
Использование ИГХ методов для выявления CD34 положительного окрашивания эндотелия в сосудах МЦР позволяет оценить закономерности расположения, плотность и диаметры микрососудов в структурных компонентах простаты.
У пациентов с ДГПЖ при увеличении массы тела происходит значимое уменьшение площади сосудов МЦР и в мышечно-фиброзном модуле, и в железисто-мышечном комплексе предстательной железы, что сопровождается достоверным увеличением доли соединительной ткани, в указанных структурно-функциональных комплексах (модулях) простаты. Статистически значимого изменения площади концевых отделов желез, включающих в себя просветы и эпителиальную выстилку желез, не выявлено.
About the authors
I. K. Notov
Novosibirsk State Medical University
							Author for correspondence.
							Email: notovivan@mail.ru
				                	ORCID iD: 0000-0001-6622-4232
				                																			                								
postgraduate student of the Department of Histology, Embryology and Cytology named after Professor M.Ya. Subbotin, Novosibirsk State Medical University; urologist at the Russian Railways Urological Center-Medicine
Russian Federation, NovosibirskS. V. Zalavina
Novosibirsk State Medical University
														Email: zalavinasv@mail.ru
				                	ORCID iD: 0000-0003-3405-5993
				                																			                								
Doctor of Medical Sciences, Associate Professor, Head of the Department of Histology, Embryology and Cytology named after Professor M. Ya. Subbotin
Russian Federation, NovosibirskS. V. Pozdnyakova
Novosibirsk State Medical University
														Email: svetpozdnyakova@yandex.ru
				                	ORCID iD: 0000-0003-2038-5131
				                																			                								
Doctor of Biological Sciences, Associate Professor, Professor of the Department of Pharmacology, Clinical Pharmacology and Evidence-Based Medicine
Russian Federation, NovosibirskReferences
- Alyaev Yu.G., Glybochko P.V., Pushkar D. Yurology. Russian Clinical Guidelines. Moscow; Medforum, 2017. 544 p. (In Russ.).
 - Zolotukhin O.V., Yesin A.V., Madykin Y.U. Pathogenetic rationale for the use of 5-alpha reductase inhibitors in the treatment of benign prostatic hyperplasia. Eksperimental'naya i klinicheskaya urologiya = Experimental and clinical urology. 2022;15(3):94–101. (In Russ.).
 - DE Nunzio C., Giglio S., Baldassarri V. et al. Impairment of autophagy may represent the molecular mechanism behind the relationship between obesity and inflammation in patients with BPH and LUTS. Minerva Urology and Nephrology. 2021;5:631–637.
 - Xue B., Wu S., Sharkey C., Tabatabaei S. et al. Obesity-associated inflammation induces androgenic to estrogenic switch in the prostate gland. Prostate Cancer and Prostatic Diseases. 2020;3:465–474.
 - Tyuzikov I.A., Kalinchenko S.Yu. Benign prostatic hyperplasia as a systemic hormonal-metabolic disease: time to change the paradigms of pathogenesis and pharmacotherapy. Effektivnaya farmakoterapiy = Effective pharmacotherapy. 2016;33:32–53. (In Russ.).
 - Panferov A.S., Kotov S.V., Yusufov A.G. et al. Laparoscopic transvesical adenomectomy in large and giant prostate sizes. Eksperimental'naya i klinicheskaya urologiya = Experimental and clinical urology. 2022;15(1):102–110. (In Russ.).
 - Goncharov N.V., Popova P.I., Avdonin P.P. et al. Endothelial cell markers are normal and pathological. Biologiceskie membrany. 2020;37(1):3–21. (In Russ.).
 - Usovich A.K., Krasnobaev V.A. Structural organization of human prostate muscle tissue in the postnatal period of ontogenesis. Vestnik Vitebskogo gosudarstvennogo meditsinskogo universiteta = Vitebsk medical journal. 2012;2:65–70. (In Russ.).
 - Shormanov I.S., Kulikov S.V., Solovyov A.S. Remodeling of the bladder and its vascular bad in the elderly and old age patients under infravesical obstruction caused by prostate hyperplasia. Eksperimental'naya i klinicheskaya urologiya = Experimental and clinical urology. 2022;14(1):114–122. (In Russ.) doi: 10.29188/2222-8543-2021-14-1-114-122.
 
Supplementary files
				
			
					
						
						
						
						
				










