Traumatic strabismus caused by a rupture of the inferior rectus muscle during an inferior orbital wall fracture. Clinical cases
- Авторлар: Matrosova Y.V.1, Kataev M.G.2, Fabrikantov O.L.1
 - 
							Мекемелер: 
							
- Academician S.N. Fedorov Eye Microsurgery, Tambov Branch
 - Academician S.N. Fedorov Eye Microsurgery
 
 - Шығарылым: Том 21, № 1 (2024)
 - Беттер: 51-55
 - Бөлім: Original Researches
 - URL: https://journals.rcsi.science/1994-9480/article/view/315938
 - DOI: https://doi.org/10.19163/1994-9480-2024-21-1-51-55
 - ID: 315938
 
Дәйексөз келтіру
Толық мәтін
Аннотация
The outcomes of treating three patients with an inferior orbital wall fracture, accompanied by a traumatic myotomy of the inferior rectus muscle, was performed. In all presented cases, it was possible to achieve functional and cosmetic improvement. It is preferable to carry out the operation at an earlier date. In cases where a delayed operation is justified, it is important to find and isolate both fragments of the muscle and compare them. If the muscle is lost, it is advisable to perform a partial transposition of the internal and external rectus muscles to the place of attachment of the lower one.
Негізгі сөздер
Толық мәтін
Переломы нижней орбитальной стенки занимают лидирующие позиции среди травмы глазницы и повреждений средней трети лица. Предпосылками к столь высокой частоте распространенности этой патологии являются особенности анатомии: нижняя стенка глазницы является наиболее тонкой; она имеет плоский профиль, поэтому неустойчива к деформации; под ней расположена верхнечелюстная пазуха, делающая нижнюю стенку еще более уязвимой к переломам; кроме того, ее прочность снижают нижняя глазничная щель, подглазничная борозда и одноименный канал [1].
Перелом дна орбиты может осложниться нарушением целостности экстраокулярной мышцы (ЭОМ), что согласно литературным данным выявляется в 9 % всех случаев глазодвигательных нарушений при кранио-орбитальных повреждениях (КОП) [2, 3].
Повреждение ЭОМ может быть следствием ее разрыва костными обломками, резкого повышения давления в полости орбиты при ударе, либо непосредственно воздействием травмирующего агента при проникающем ранении [1, 4].
Состояние, при котором происходит полное разобщение проксимальной и дистальной частей (с сохранением целостности мышечной сумки либо с ее нарушением), называется травматическая миотомия [4]. Основным клиническим признаком разрыва ЭОМ является практически полное отсутствие подвижности глазного яблока в сторону ее действия [5, 6, 7]. А также отклонение глаза в противоположную сторону и бинокулярная диплопия как проявление сенсорной аномалии [8, 9, 10, 11, 12].
Еще одним вариантом травматического косоглазия, связанного с повреждением ЭОМ, является посттравматический синдром Брауна [13]. Он возникает в результате травмы (и ее последствий) в области верхневнутреннего угла орбиты, после операций на придаточных пазухах носа, после пластики стенки орбиты, когда повреждается блок или сухожилие верхней косой мышцы [1, 4].
В настоящее время общепринятым является отсроченное хирургическое лечение перелома стенки глаз- ницы [1]. Исключение составляют случаи, сопровождающиеся ранним гипо- и энофтальмом, с окулокардиальным рефлексом, не имеющим тенденции к спонтанному регрессу, а также перелом по типу «капкана» у детей [1, 4].
ЦЕЛЬ РАБОТЫ
Представить различные варианты тактики лечения пациентов с переломами орбиты, сопровождающимися разрывом нижней прямой мышцы, в зависимости от характера повреждений на основании клинических примеров.
МЕТОДИКА ИССЛЕДОВАНИЯ
Проведен ретроспективный анализ историй болезни трех пациентов с переломом нижней стенки орбиты, сопровождающимся травматической миотомией нижней прямой мышцы.
РЕЗУЛЬТАТЫ ИССЛЕДОВАНИЯ И ИХ ОБСУЖДЕНИЕ
Клинический пример 1. Родители пациентки С. 10 лет обратились с жалобами на ограничение подвижности левого глаза вверх и двоение. Из анамнеза известно, что неделю назад девочка ударилась головой при падении. По данным компьютерной томографии (КТ), слева имеется трещина нижней стенки орбиты в средней трети шириной 2 мм. В зоне локализации перелома – дефект нижней прямой мышцы, предположительно разрыв, пролапс мягких тканей орбиты в верхне-челюстную пазуху до 9 мм. При объективном осмотре в первой позиции взора выявлена ортотропия и полное отсутствие подвижности левого глаза кверху (рис. 1). Пациентке поставлен диагноз: перелом нижней стенки орбиты, разрыв нижней прямой мышцы. Рекомендована ревизия зоны перелома и нижней прямой мышцы cito.
Во время операции при выделении зона перелома из трещины нижней орбитальной стенки извлечен обрывок нижней прямой мышцы. Область перелома перекрыта пластинкой политетрафторэтилена (ПТФЭ) толщиной 1 мм. Через разрез конъюнктивы нижнего свода выделен и прошит второй фрагмент мышцы. Далее оба фрагмента сопоставлены и сшиты. Через 3 недели после операции отмечено появление ограниченной подвижности левого глаза кверху и книзу (рис. 2).
Через год после операции пациентка отмечает двоение только в верхней трети поля взора, подвижность книзу – в полном объеме, кверху – ограничена (рис. 3).
Рис. 1. Состояние до операции. Клинический пример 1
Рис. 2. Состояние через 3 недели после операции. Клинический пример 1
Рис. 3. Состояние через год после операции. Клинический пример 1
По данным КТ: фиброзное утолщение нижней прямой мышцы слева, пластинка выполняет контур нижней стенки глазницы (рис. 4).
Рис. 4. Компьютерная томография орбит через год после операции. Клинический пример 1
Безусловно, тяжесть повреждения (полный разрыв мышцы) и длительность заболевания (более двух недель с момента получения травмы) не позволили в полном объеме восстановить функцию ЭОМ. Однако наличие диплопии во второстепенном направлении взора – при взгляде вверх – незначительно влияет на качество жизни. Таким образом, срочное проведение хирургического лечения позволило получить хороший косметический и функциональный результат.
Клинический пример 2. Пациентка Б., 52 года, два года назад получила бытовую травму – ударилась головой при падении. По месту жительства была проведена ПХО ран лица, через 3 недели после травмы – реконструкция скулоглазничного комплекса. Через год после травмы выполнена реконструкция орбиты по 3D-модели.
На момент обращения объективно выявляется ретракция верхнего века, отклонение правого глаза кверху и отсутствие его подвижности книзу (рис. 5).
Рис. 5. Состояние до операции. Клинический пример 2
По результатам КТ и данным анамнеза на этапе планирования операции предположили отсутствие нижней прямой мышцы справа (рис. 6).
Пациентке поставлен диагноз: Оперированная травматическая деформация орбиты. Травматическое косоглазие. Рекомендовано хирургическое устранение косоглазия. С этой целью проведена нижняя парциальная транспозиция боковых прямых мышц в следующем объеме: от внутренней и наружной прямых мышц отделены порции в 2/5 ширины сухожилия, перемещены книзу и фиксированы в месте крепления нижней прямой мышцы. Также выполнена рецессия верхней прямой мышцы 3 мм. В раннем послеоперационном периоде отмечено уменьшение вертикальной девиации и появление подвижности книзу (рис. 7).
В случаях утраты либо разрушения нижней прямой мышцы, когда найти ее не представляется возможным, методом выбора является парциальная транспозиция, при значительной девиации дополненная рецессией антагониста. Такая тактика также дает хороший косметический и функциональный результат.
Рис. 6. Компьютерная томография орбит до операции. Клинический пример 2
Рис. 7. Состояние после операции. Клинический пример 2
Клинический пример 3. Пациент Ш., 48 лет, обратился с жалобами на несмыкание век правого глаза. Полтора года назад в ДТП получил открытую черепно-мозговую травму, перелом костей лица. Находился в медикаментозной коме. На фоне компрессии лицевого нерва развился нейротрофический кератит. Пациент перенес серию реконструктивных операций на костях лицевого и мозгового черепа, также была проведена репозиция костных отломков правой орбиты с замещением дефектов костными аутотрансплантатами.
На момент обращения выявлен парез лицевого нерва, лагофтальм 5 мм, ретракция верхнего века 2 мм, край нижнего века располагается по нижнему лимбу, стойкое помутнение роговицы в нижней трети. В первичной позиции OD отклонен вверх-кнаружи на 2–3 градуса по Гиршбергу. Подвижность глазного яблока кверху, кнутри и книзу ограничена (рис. 8).
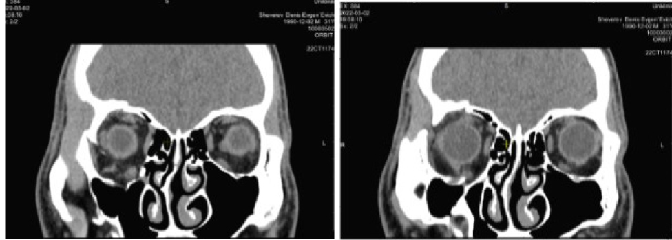
По данным КТ сохраняется расширение объема правой орбиты за счет смещения нижне-внутренней стенки до 10 мм на границе задней трети. Высота нижней стенки локально восстановлена за счет узкого костного трансплантата, расположенного аксиально на границе наружной трети (рис. 9).
Рис. 8. Состояние до операции. Клинический пример 3
Рис. 9. Компьютерная томография орбит до операции. Клинический пример 3
Планируется серия реконструктивных операций. Первым этапом было решено провести реконструкцию орбиты добавочными пластинами в дополнение к костному трансплантату по 3D модели.
В ходе проведения операции с помощью бора удален костный трансплантат, обнаружена и мобилизована разорванная нижняя прямая мышца, сращенная с медиальным краем транспалантата. Визуализированы проксимальный и дистальный отрезки мышцы, оба конца сшиты узловым швом. Составной титановый имплантат помещен в орбиту и фиксирован двумя винтами.
В раннем послеоперационном периоде сохраняется ограничение подвижности правого глаза, отмечена ортотропия в первой позиции взора. Несмотря на давность заболевания и множественные операции в анамнезе, удалось выделить и сопоставить оба фрагмента нижней прямой мышцы.
ЗАКЛЮЧЕНИЕ
При травматическом косоглазии, вызванном разрывом нижней прямой мышцы и переломе нижней стенки орбиты, необходимо восстановление анатомической целостности ЭОМ.
С точки зрения более полного функционального восстановления предпочтительно проведение операции в более ранние сроки. Однако в случаях, когда обосновано отсроченное проведение операции, наряду с перекрытием дефекта костной стенки важно найти и выделить проксимальный и дистальный концы нижней прямой мышцы, мобилизовать и сопоставить их.
В тех случаях, когда мышца разрушена или утрачена, целесообразно проведение частичной транспозиции внутренней и наружной прямых мышц к месту крепления нижней. При большой девиации операция может быть дополнена рецессией ипсилатерального антагониста. Это позволяет улучшать анатомический и функциональный результат лечения этой группы пациентов.
Авторлар туралы
Yu. Matrosova
Academician S.N. Fedorov Eye Microsurgery, Tambov Branch
							Хат алмасуға жауапты Автор.
							Email: matrosova_julia@mail.ru
				                	ORCID iD: 0000-0001-9047-6237
				                																			                								
Head of the Children’s Department, Candidate of Medical Sciences
Ресей, TambovM. Kataev
Academician S.N. Fedorov Eye Microsurgery
														Email: mkataev@yandex.ru
				                	ORCID iD: 0000-0002-3038-7918
				                																			                								
Head of the Department of Reconstructive and Reconstructive Oculoplasty, Doctor of Medical Sciences, Professor
Ресей, MoscowO. Fabrikantov
Academician S.N. Fedorov Eye Microsurgery, Tambov Branch
														Email: fabr-mntk@yandex.ru
				                	ORCID iD: 0000-0003-0097-991X
				                																			                								
Doctor of Medical Sciences, Professor, Director
Ресей, TambovӘдебиет тізімі
- Nikolaenko V.P., Astakhov Yu.S. Orbital fractures: guide for doctors. St. Peterburg; Eko-Vektor Publishing house, 2012. 436 p. (In Russ.).
 - Kazinskaya N.V., Dergacheva N.N., Buzovkina E.A. et al. The comparative analysis of clinical manifestations and methods of diagnostic of the orbital floor fracture in children and adults. Vestnik Soveta molodykh uchenykh i spetsialistov Chelyabinskoy oblasti = Council of young scientists and specialists. 2019;2(3):25–28. (In Russ.).
 - Eolchiyan S.A. Surgical treatment of cranial orbital facial trauma. Dissertation abstract of the Doctor of Medical Science. Moscow, 2017. (In Russ.).
 - Kataev M.G. Two methods of contour plasty of the inferior orbital floor. X Congress of ophthalmologists: coll. of proceedings. Moscow, Ophthalmology Publishing house, 2015:294. (In Russ.).
 - Oripov O.I., Bilalov E.N., Boymurodov Sh.A. Current aspects of surgical repair for orbital wall fractures: a literature review. Oftal’mologicheskiy zhurnal = Journal of ophthalmology. 2020;495(4):77–82. (In Russ.).
 - Belousova N.Yu., Khomutinnikova N.E., Poltanova T.I. et al. Experience of treating patients with ruptures of the cheekbone and orbital complex an inferior orbital wall. Tochka zreniya. Vostok – Zapad = Point of view. East-West. 2019;3:39–41. (In Russ.).
 - Matrosova Yu.V., Kataev M.G., Fabrikantov O.L. Traumatic strabismus: variability of the occurrence mecha- nisms and difficulty and assessing the strabismus status. Sovremennye problemy nauki i obrazovaniya = Modern problems of science and education. 2022;5. (In Russ.). URL: https://science-education.ru/article/view?id=32024. doi: 10.17513/ spno.32024.
 - Matrosova Yu.V., Kataev M.G. Diplopia examination methods. Literary review. Sovremennye problemy nauki i obrazovaniya = Modern problems of science and education. 2022;1. (In Russ.) URL: https://science-education.ru/article/view?id=31484. doi: 10.17513/spno.31484.
 - Matrosova Yu.V., Kataev M.G., Fabrikantov O.L. Diplography – a new method for studying binocular diplopia. Otrazhenie. 2022;13(1):69–72. (In Russ.).
 - Matrosova Yu.V., Kataev M.G., Fabrikantov O.L. Diplography is a new method for studying diplopia. Sovremennye problemy nauki i obrazovaniya = Modern problems of science and education. 2022;3. URL: https://science-education.ru/article/view?id=31827 (In Russ.).
 - Matrosova Yu.V., Kataev M.G., Fabrikantov O.L. Pathophysiology of amblyopia. Sovremennye problemy nauki i obrazovaniya = Modern problems of science and education. 2022;6. (In Russ.) URL: https://science-education.ru/article/view?id=32225. doi: 10.17513/spno.31827.
 - Matrosova Yu.V., Kataev M.G., Fabrikantov O.L. Composite implant in orbital wall reconstruction. Sovre-mennye problemy nauki i obrazovaniya = Modern problems of science and education. 2023;4. (In Russ.) URL: https://science-education.ru/article/view?id=32821. doi: 10.17513/ spno.32821.
 - Plisov I.L. The system of treatment and rehabilitation measures in patients with paralytic (paretic) strabismus. Dissertation abstract of the Doctor of Medical Science. Moscow, 2014. (In Russ.).
 
Қосымша файлдар
				
			
						
					
						
						
						
									










