Method of constructing an occlusion line on a lateral teleroentgenogram in physiological occlusion
- Authors: Shkarin V.V.1, Fomin I.V.2, Mikhalchenko D.V.1, Dmitrienko D.S.1, Mikhalchenko A.D.1
-
Affiliations:
- Volgograd State Medical University
- First Moscow State Medical University named after I.M. Sechenov
- Issue: Vol 22, No 2 (2025)
- Pages: 72-77
- Section: Original Researches
- URL: https://journals.rcsi.science/1994-9480/article/view/310134
- DOI: https://doi.org/10.19163/1994-9480-2025-22-2-72-77
- ID: 310134
Cite item
Full Text
Abstract
The relevance of the work is determined by contradictory information about the location of the occlusal plane in the structure of the skull and in the differences in the use of landmarks for its construction. The aim of the work was to develop a method for constructing an occlusal line on a lateral teleradiograph during physiological occlusion. To achieve the goal, a retrospective analysis of 126 archival teleradiographs of patients with physiological occlusion was carried out. The vertical dimensions of the face were estimated by the size of the nasal complex between the points “n-sn” in comparison with the intermaxillary distance “sn-sm”. An occlusal line connected the anterior (vPOcP) and posterior (hPOcP) occlusal points. The analysis of the position of the joint was evaluated by the point “Cond” located at the top of the articular head. As a result of an analytical study of lateral teleradiographs of people with physiological occlusion, a method for constructing an occlusal plane (line) was developed, based on determining the vertical dimensions of the face, the location of the articular head in the structure of the skull and the mutual arrangement of geometric diagnostic figures of the craniofacial complex. A distinctive feature of the proposed method was the construction of the articular circle, which, from our point of view, is the center of the biomechanics of the lower jaw. The parallelism of the occlusal plane with the line drawn from the mandibular landmark of the anterior surface of the lower jaw tangentially to the articular circle allows its use in clinical practice as a guideline for predicting the prosthetic plane in distally unbounded defects of the dental arches in the lateral segments.
Full Text
Телерентгенография по праву считается одним из основных методов исследования в клинической стоматологии и позволяет с большой точностью определить взаиморасположение основных костных структур черепно-лицевого комплекса [1]. Большинство методов исследования считаются хрестоматийными, и при этом используются основные точечные ориентиры с последующим построением линий и плоскостей в вертикальном, горизонтальном и радиальном направлении. Большая часть методов применяется в клинике ортодонтии.
В то же время в ортопедической стоматологии немаловажное значение имеет анализ расположения окклюзионной линии, которая определят конструирование протетической плоскости при дефектах большой протяженности, включая полное отсутствие зубов [2]. При этом одним из основных ориентиров построения протетической плоскости считается HIP-плоскость и Камперовская горизонталь.
Основу окклюзионной плоскости, по мнению специалистов, определяет взаимоотношение зубочелюстных дуг, параметры которых весьма вариабельны и определяются типологией зубных дуг, которая встречается при физиологических видах прикуса [3, 4]. В приведенных исследованиях авторы детально представили многообразие размеров верхних и нижних арок и их соразмерность с параметрами лицевой области. Отмечено, что индивидуальность размеров зубных дуг оказывает влияние на особенности окклюзионных соотношений.
Особое внимание специалисты обращают на окклюзионный статус при различных типах роста лица и, в частности, челюстных костей [5]. В приведенном исследовании приведены данные о корреляции размеров зубов с линейными (трансверсальными и диагональными) параметрами зубных дуг.
В последнее время появляются сведения о вариабельности ротации зубов в дуге при различных вариантах зубных дуг, которые определяют особенности окклюзионных взаимоотношений [6].
Исследование зубных дуг и окклюзионного статуса с учетом полового диморфизма показало, что на размеры и особенности зубных дуг в меньшей мере оказывает принадлежность человека к определенному полу, чем размеры лицевой области в целом [7]. Однако приведенные аналитические исследования были проведены у пациентов с физиологической окклюзией.
При аномалиях окклюзионного соотношения существенно меняются параметры зубных дуг, положение челюстей в структуре черепа, окклюзионный статус и состояние тканей пародонта зубов, что представлено в работах большинства специалистов [8, 9, 10]. Наиболее выраженные изменения и нарушения окклюзионного статуса происходят при горизонтальных видах деформаций, способствующих не только изменениям в пародонте, но и приводящих к резорбции костной ткани альвеолярных костей [11]. При деформациях подобного рода отмечается и смещение ключевых зубов окклюзии (в частности, моляров), что в последующем затрудняет анализ окклюзионной плоскости [12].
Наличие дефектов, не ограниченных в задних отделах зубных дуг, как правило, способствует снижению высоты гнатической части лица. Редукция гнатического отдела по вертикали отличается многообразием вариантов, но, независимо от этого, отмечается пропорциональная взаимосвязь между вертикальными размерами назальной и гнатической части лица. Указанные ориентиры широко используются в протетической стоматологии для определения высоты прикуса и выбора конструкций протезов [13].
Безусловно, основу биомеханики нижней челюсти определяет положение элементов височно-нижнечелюстного сустава, размеры и форма которого, по мнению исследователей, определяются окклюзионным взаимоотношением анатанирующих зубных арок [14]. В данном исследовании авторы обращают внимание на особенности сустава при разных типах дуг нижней челюсти. Также не исключено влияние конституции человека и окклюзионное положение антагонирующих медиальных резцов [15, 16]. При анализе формы суставных головок и суставных ямок широко распространены методы рентгенологической диагностики, включая телерентгенографию и конусно-лучевую компьютерную томографию [17].
Таким образом, приведенный анализ литературных источников по изучаемой теме определил актуальность исследований, направленных на уточнение расположения окклюзионной линии при различных типах физиологической окклюзии. Учитывая многообразие вариантов окклюзионных соотношений и методов анализа боковых телерентгенограмм, необходим поиск оптимального построения протетической (окклюзионной) плоскости.
ЦЕЛЬ РАБОТЫ
Разработать метод построения окклюзионной линии на боковой телерентгенограмме при физиологической окклюзии зубов постоянного прикуса.
МЕТОДИКА ИССЛЕДОВАНИЯ
Проведено ретроспективное исследование 126 архивных боковых телерентгенограмм людей молодого возраста с физиологическим окклюзионным статусом.
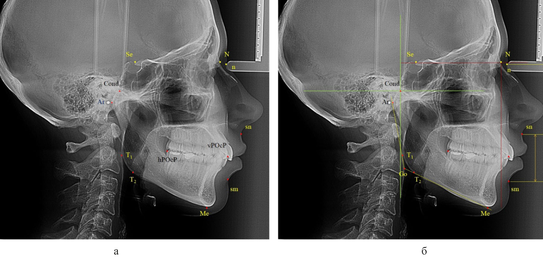
На телерентгенограммах, масштабированных 1 : 1, наносили основные точечные ориентиры. Из многообразия общепринятых в клинической стоматологии точек использовали точки, позволяющие в последующем оценивать вертикальные размеры лицевой области, положение элементов сустава и окклюзионные ориентиры. Для определения положения плоскости основания черепа использовали среднюю точку входа в турецкое седло (Se), которую соединяли с точкой соединения лобной и носовых костей (N), как было рекомендовано A.M. Schwarz (1958). Перпендикулярно к ней из назального костного ориентира опускали линию (прототип вертикали Дрейфуса), которая позволяла определять положение верхней челюсти относительно структур черепа в целом. Кроме этого из костных ориентиров использовали верхнюю точку суставной головки (Cond), заднюю окклюзионную точку (hPOcP), расположенную на дистальном бугорке второго моляра, и переднюю окклюзионную точку (vPOcP) в месте смыкания антагонирующих медиальных резцов. Соединение указанных точек определяло расположение окклюзионной линии (плоскости). Из кожных ориентиров использовали назальную точку (n), субназальный ориентир (sn) и супраментальную кожную точку (sm). Для удобства измерений через указанные кожные точки проводили горизонтальные линии перпендикулярно к вертикали Дрейфуса и измеряли вертикальные размеры лица, в частности «n-sn» и «sn-sm» (рис. 1).
Рис. 1. Некоторые точки (а) и линии (б) для анализа боковой телерентгенограммы
Учитывая вариабельность вертикальных размеров лицевой области, обусловленных типом роста челюстей и лица, после получения абсолютных величин нами оценивались относительные показатели, в частности отношение размеров назального комплекса («n-sn») к межчелюстной вертикали («sn-sm»). Также оценивали положение окклюзионной линии к вертикали Дрейфуса и другим линейным ориентирам, принятым в стоматологии, в частности к Камперовской горизонтали, нижнечелюстной (мандибулярной) линии.
Для оценки типа роста использовали наиболее удобный показатель, такой как угол нижней челюсти. Основные точки для построения угла были наиболее выступающие части ветви, обозначаемые литерами (Ar) и (T1), и тела челюсти (T2) и (Me). Линии, соединяющие отмеченные точки, определяли угол нижней челюсти и положение конструктивной точки «Go» (рис. 2).
Рис. 2. Точки (а) и линии (б) для анализа угла нижней челюсти
Нейтральный тип роста и нижнечелюстного угла определялся при его величине от 119 до 123 градусов. Увеличение размеров свидетельствовало о принадлежности к вертикальному типу, а уменьшение – к горизонтальному типу.
Статистический анализ проводился традиционными методами с построением вариационных рядов в таблице Excel, с последующим вычислением средней величины и её ошибки (M ± m), а также оценки достоверности по Стьюденту (р).
РЕЗУЛЬТАТЫ ИССЛЕДОВАНИЯ И ИХ ОБСУЖДЕНИЕ
При анализе рентгенограмм было выявлено, что из 126 пациентов у 48 человек был нейтральный тип нижнечелюстного угла, что составило (38,09 ± 4,33) %. Вертикальный тип роста выявлен у 41 пациента (32,54 ± 4,17) %, и различия между относительными величинами были не достоверны (р ˃ 0,05). Горизонтальный тип встречался в 37 случаях (29,36 ± 4,05) %. Таким образом, количественный состав групп позволял сравнивать полученные результаты с учетом типологических особенностей нижнечелюстного угла.
При нейтральном типе лица окклюзионная линия с вертикалью Дрейфуса образовывала угол, составляющий около 85 градусов. Для людей с вертикальным типом роста величина угла была меньше и не превышала 80 градусов в среднем по группе. Горизонтальный тип роста способствовал увеличению угла наклона окклюзионной линии, величина которого приближалась к прямому.
В связи с полученными данными отмечалось несоответствие параллельности окклюзионной линии с Камперовской горизонталью, наиболее выраженное у людей с вертикальными и горизонтальными типами роста лица, что требовало разработки нового ориентира для оценки положения окклюзионной горизонтали.
Учитывая тот факт, что на ТРГ были сложности определения точек апикальных базисов верхней и нижней челюсти, обозначаемых буквами «А» и «В», обусловленных наложением других структур, первым шагом алгоритма построения окклюзионной линии было определение стабильных ориентиров на передней поверхности челюстных костей. С этой целью через кожные точки назион и субназале проводили назально-субназальную вертикаль (n-sn). Перпендикулярно к ней через точку «sn» проводили линию до пересечения с передней поверхностью верхней челюсти и полученную точку обозначали как «Mx» (максиллярный ориентир). Аналогичным образом проводили линию через точку «sm» с обозначением на нижней челюсти мандибулярного ориентира «Mn».
Далее проводили построение суставного круга, радиусом которого было расстояние от точки «Cond» до задней окклюзионной точки «hPOcP» (рис. 3).
Рис. 3. Основные точки (а) особенности построения суставного круга и диагностических линий (б) для построения окклюзионной плоскости
Следует отметить, что окружность пересекала линию «Cond-Mx» и делила ее на два неравных отрезка. При этом расстояние от точки «Cond» до пересечения с окружностью было в 1,5 раза меньше размера «Cond-Mx», что может быть использовано в качестве ориентира построения суставного круга при отсутствии зубов жевательных сегментов или при аномалиях положения вторых моляров.
Касательная линия к нижней части суставного круга, проведенная из точки мандибулярного ориентира «Mn», как правило, была параллельна окклюзинной линии вне зависимости от типологических особенностей роста лица и челюстных костей.
ЗАКЛЮЧЕНИЕ
В результате аналитического исследования боковых телерентгенограмм людей с физиологическим прикусом был разработан метод построения окклюзионной плоскости (линии), основанный на определении вертикальных размеров лица, расположения суставной головки в структуре черепа и взаиморасположении геометрических диагностических фигур кранио-фациального комплекса. Отличительной особенностью предложенного метода было построение суставного круга, являющегося, с нашей точки зрения, центром биомеханики нижней челюсти. Параллельность окклюзионной плоскости с линией, проведенной от мандибулярного ориентира от передней поверхности нижней челюсти по касательной к суставному кругу, позволяет ее использование в клинической практике в качестве ориентира прогнозирования протетической плоскости при дистально неограниченных дефектах зубных арок в боковых сегментах.
About the authors
Vladimir V. Shkarin
Volgograd State Medical University
Email: post@volgmed.ru
Doctor of Medical Sciences, Head of the Department of Public Health and Public Health, Institute of Continuing Medical and Pharmaceutical Education
Russian Federation, VolgogradIgor V. Fomin
First Moscow State Medical University named after I.M. Sechenov
Email: fomini@mail.ru
Candidate of Medical Sciences, Associate Professor of the Department of Orthopedic Dentistry
Russian Federation, MoscowDmitry V. Mikhalchenko
Volgograd State Medical University
Author for correspondence.
Email: dmitry.mikhalchenko@volgmed.ru
Doctor of Medical Sciences, Head of the Department of Propaedeutics of Dental Diseases
Russian Federation, VolgogradDmitry S. Dmitrienko
Volgograd State Medical University
Email: s.v.dmitrienko@pmedpharm.ru
Doctor of Medical Sciences, Professor of the Department of Dentistry, Institute of Continuing Medical and Pharmaceutical Education
Russian Federation, VolgogradAlexey D. Mikhalchenko
Volgograd State Medical University
Email: alexey.mikhalchenko@volgmed.ru
postgraduate student of the Department of Propaedeutics of Dental Diseases
Russian Federation, VolgogradReferences
- Porfyriadis M.P., Domenyuk D.A. Major telerenthengogram indicators in people with various growth types of facial area. Archiv EuroMedica. 2018;8(1):19–24.
- Shkarin V., Kochkonyan T., Al-Harazi Gh., Domenyuk D., Dmitrienko S., Domenyuk S. Occlusal plane orientation in patients with dentofacial anomalies based on morphometric cranio-facial measurements. Archiv EuroMedica. 2021;11(1):116–121. doi: 10.35630/2199-885X/2021/11/1.26
- Domenyuk D.A., Vedeshina E.G. Shape individualization in lower dental arches drawn on basic morphometric features. Archiv EuroMedica. 2015;5(1):11–15.
- Kochkonyan A.S., Domenyuk D.A., Karslieva A.G. Interrelation between sagittal and transversal sizes of maxillary dental arches. Archiv EuroMedica. 2014;4(2):10–13.
- Domenyuk D.A., Vedeshina E G. Correlation of dental arch major linear parameters and odontometric indices given physiological occlusion of permanent teeth in various face types. Archiv EuroMedica. 2016;6(2):18–22.
- Grinin V.M., Halfin R.A., Domenyuk D.A. Specific features of grinder teeth rotation at physiological occlusion of various gnathic dental arches. Archiv EuroMedica. 2019;9(2):168–173.
- Lepilin А.V., Fomin I.V. Domenyuk D.A., Odontometric indices fluctuation in people with physiological occlusion. Archiv EuroMedicaю 2018;8(1):12–18.
- Fischev S.B., Puzdyryova M.N., Domenyuk D.A., Kondratyuk A.A. Morphological features of dentofacial area in peoples with dental arch issues combined with occlusion anomalies. Archiv EuroMedica. 2019;9(1):162–163.
- Доменюк Д.А., Давыдов Б.Н., Дмитриенко С.В., Сумкина О.Б., Будайчиев Г.М. Изменения морфологического состояния тканей пародонтального комплекса в динамике ортодонтического перемещения зубов (экспериментальное исследование). Пародонтология. 2018;23(1):69–78. doi: 10.25636/PMP.1.2018.1.15.
- Porfiriadis M.P., Domenyuk D.A., Budaychiev G.M-A. Dentoalveolar specifics in children with cleft palate during primary occlusion period. Archiv EuroMedicaю 2018;8(1):33–34.
- Lepilin А.V., Domenyuk D.A., Puzdyrova M.N., Subbotin R.S. Dependence of stress strain hard tissues and periodont on horizontal deformation degree. Archiv EuroMedica. 2019;9(1):173–174.
- Shkarin V.V., Porfiriadis M.P., Domenyuk D.A. Setting reference points for key teeth location in case of abnormal dental arch. Archiv EuroMedica. 2017;7(2):111–117.
- Domenyuk D.A., Vedeshina E.G., Dmitrienko S.V. Efficiency evaluation for integrated approach to choice of orthodontic and prosthetic treatments in patients with reduced gnathic region. Archiv EuroMedica. 2015;5(2):6–12.
- Доменюк Д.А., Коробкеев А.А., Дмитриенко С.В., Коробкеева Я.А., Гринин В.М., Шкарин В.В. Анатомо-топографические особенности височно-нижнечелюстных суставов при различных типах нижнечелюстных дуг. Медицинский вестник Северного Кавказа. 2019;14(2):363–367. doi: 10.14300/mnnc.2019.14089.
- Kharatyunyan Yu., Domenyuk D.A., Domenyuk S.D. Structural arrangement of the temporamandibular joint in view of the constitutional anatomy. Archiv EuroMedica. 2020;10(1):128–138.
- Fomin I.V., Domenyuk D.A., Kondratyuk A.A., Subbotin R.S. Enhancement of research method for spatial location of temporomandibular elements and maxillary and mandibular incisor. Archiv EuroMedica. 2019;9(1):38–44.
- Domenyuk D.A., Tefova K., Dmitrienko T.D., Domenyuk S.D., Kondratyeva T. Modern X-ray diagnostics potential in studying morphological features of the temporal bone mandibular fossa. Archiv EuroMedica. 2020;10(1):118–127.
Supplementary files





