Effect of retinal laser photocoagulation on the risk of choroidal neovascularization in experimental animals
- 作者: Ivanov S.V.1, Khzardzhan Y.Y.1, Smirnov A.V.2, Naumenko L.V.2, Taran A.S.2, Chebanko A.M.2, Balalina M.A.1, Chubarikova V.V.1, Korotkov M.A.1, Solovyova I.V.1
 - 
							隶属关系: 
							
- Eye Microsurgery named after Academician S.N. Fedorov
 - Volgograd State Medical University
 
 - 期: 卷 22, 编号 1 (2025)
 - 页面: 105-109
 - 栏目: Original Researches
 - URL: https://journals.rcsi.science/1994-9480/article/view/289307
 - DOI: https://doi.org/10.19163/1994-9480-2025-22-1-105-109
 - ID: 289307
 
如何引用文章
全文:
详细
Studies were performed on 5 mice of the C57Black/C line and nonlinear albino mice. The mice retinas were exposed to laser treatment followed by ophthalmoscopy and pathohistological examination on 14 days of the experiment. After 2 weeks, grade I–IV coagulations were determined ophthalmoscopically. Damage of the retinal pigment epithelium in mice by laser irradiation with a wavelength of 532 nm and doses from 0.05 to 0.37 W/cm2 did not lead to the formation of pathological choroidal neovascularization.
全文:
Возрастная макулярная дегенерация (ВМД) – одна из основных причин слепоты у людей старше 50 лет, характеризующаяся ростом аномальных хориоидальных сосудов в наружном слое сетчатки, вызывая появление субретинальной жидкости, кровоизлияний и фиброза, что, в конечном итоге, приводит к потере центрального зрения [1].
Возрастная макулярная дегенерация – мультифакториальное заболевание, факторами риска которой являются возраст, курение, окислительный стресс, метаболический синдром и атеросклероз, приводящие к нарушению кровотока в хориоидальных сосудах сетчатки и повышению экспрессии гена VEGF-A. Ранние стадии ВМД связывают с атрофией сосудов и ишемией сетчатки, тогда как поздние стадии характеризуются хориоидальной неоваскуляризацией (ХНВ) сосудов сетчатки [2].
Классически выделяют две формы ВМД – атрофическая, или сухая, возникающая в 80–90 % случаев и проявляющаяся в виде апоптоза пигментного эпителия, сосудов хориоидеи и фоторецепторов, и, экссудативная, или влажная, встречающаяся в 10 % случаев, для которой характерен патологический рост аномальных хориоидальных сосудов в наружном слое сетчатки, прорастающих через мембрану Бруха и вызывающих появление субретинальной жидкости, кровоизлияний и фиброза [3].
Воспроизведение модели хориоидальной неоваскуляризации на животных позволяет проводить фундаментальные исследования с целью разработки новых методов лечения данной патологии. По данным литературы, известен метод создания модели хориоидальной неоваскуляризации у мышей при выполнении последовательной лазерной коагуляции сетчатки [4]. Авторы продемонстрировали возможность создания модели хориоидальной неоваскуляризации с помощью лазера Iridex (США) с длиной волны 532 нм у мышей за счет последовательного повреждения пигментного эпителия сетчатки.
ЦЕЛЬ РАБОТЫ
Анализ результатов влияния энергии лазерного воздействия на риск возникновения хориоидальной неоваскуляризации у мышей.
МЕТОДИКА ИССЛЕДОВАНИЯ
Исследования были проведены на 5 пигментированных половозрелых мышах линии C57Black/C и 5 половозрелых нелинейных мышах-альбиносах весом 20–25 г (ООО «НПК БиоТех», г. Москва), прошедших 2-недельный карантин в виварии НЦИЛС ФГБОУ ВО ВолгГМУ.
Все манипуляции с лабораторными животными и условия их содержания сопровождались соблюдением всех требований лабораторной практики при проведении доклинических исследований в Российской Федерации (Приказ Министерства здравоохранения Российской Федерации от 01.04.2016 № 199н «Об утверждении правил надлежащей лабораторной практики»). Все экспериментальные исследования проводились в соответствии со статьей 11 Федерального закона от 12 апреля 2010 г. № 61-ФЗ «Об обращении лекарственных средств» и согласно Правилам лабораторной практики в Российской Федерации (Приказ Минздрава России от 01.04.2016 № 199н «Об утверждении Правил надлежащей лабораторной практики»). Процедуры с участием лабораторных животных осуществлялись с учетом этических норм обращения с животными, принятыми в Директиве Европейского парламента и Совета Европейского Союза 2010/63/ЕС от 22 сентября 2010 г. «О защите животных, использующихся для научных целей». Экспериментальное исследование одобрено этическим комитетом (справка № 2022/043 от 02.12.2022 года).
Непосредственно перед экспериментом животные наркотизировались путем внутрибрюшинного введения хлоралгидрата в дозе 400 мг/кг. Медикаментозный мидриаз достигался инстилляцией 15 мкл мидримакса (Sentiss Pharma Pvt. Ltd.) на конъюнктиву глаза.
На фоне седации при сохранении температуры тела животного на уровне осветителя ассистентом удерживалась мышь в положении на боку. Предметное стекло с каплей карбомера помещали на роговицу правого глаза и фокусировали световой поток щелевой лампы с лазерной апертурой на пигментный эпителий сетчатки вокруг диска зрительного нерва. Лазерные коагуляты на сетчатке формировали с помощью лазерной установки Iridex OcuLight GL (США). В отличие от человеческого глаза у глаза мыши нет четко выраженной макулы, поэтому лазерное воздействие выполнялось вокруг диска на расстоянии 1 ДД от его края, с получением микровзрыва мембраны Бруха и парагазового пузырька.
Применяли следующие параметры лазерного воздействия: мощность лазерного импульса в диапазоне от 70 до 200 мВт, экспозиция от 0,05 до 0,1 мс и диаметр пятна в диапазоне от 50 до 150 мкм, количество импульсов – от 1 до 4. Дозу лазерного излучения (А) определяли по формуле:
А= Р × T/C,
где Р – энергия излучения (Вт), Т – время экспозиции (с), С – площадь светового пятна луча лазера (см2) = ПD2/4.
На 14-й день эксперимента лабораторные животные подвергались эвтаназии под наркозом (400 мг/кг хлоралгидрата внутрибрюшинно), глазные яблоки были энуклеированы, для фиксации был использован свежеприготовленный модифицированный раствор Давидсона [5].
Далее материал подвергался обезвоживанию в спиртах восходящей крепости и заключался в парафиновую среду Histomix. С помощью микротома были получены срезы толщиной 4–6 мкм, которые далее фиксировали на предметном стекле. Срезы окрашивали гематоксилином и эозин-флоксином по стандартной методике [6]. Изучение и фотофиксация микропрепаратов производилась на микроскопе AxioScope A1, оборудованном цифровой камерой AxioCam MRc5.
РЕЗУЛЬТАТЫ ИССЛЕДОВАНИЯ И ИХ ОБСУЖДЕНИЕ
При первичной офтальмоскопии до начала манипуляций диск зрительного нерва у мышей был бледно-розовым, границы четкие. Сосуды ДЗН дихотомически делились с равным калибром на 2, 4, 8 и 10 часах. Сетчатка была серовато-розового цвета без анатомических ориентиров макулы и отсутствием фовеолярного рефлекса. С помощью лазерного воздействия наносились ожоги на сетчатку по вышеописанной технологии с получением коагулята от серого до интенсивно белого цвета. Через неделю при осмотре визуализировался атрофический с пигментом очажок без офтальмоскопических признаков хориоидальной неоваскуляризации.
Через 2 недели при офтальмоскопии определялись коагуляты I–IV степени по классификации L’Esperance F. Хориоидальная неоваскуляризация (ХНВ) не выявлена ни в одном из случаев.
В табл. представлены значения лазерного воздействия при выполнении коагуляции сетчатки и обнаруженные визуальные изменения в сетчатке во время процедуры и через 2 недели после ее завершения.
По данным патоморфологического исследования сетчатки пигментированных мышей и мышей-альбиносов выявлены признаки отека в слое нервных волокон, перицеллюлярный отек в ганглионарном слое от выраженной степени до умеренно выраженной.
Доза лазерного воздействия и визуальные изменения в сетчатке у мышей во время и через 2 недели после вмешательства
Номер мыши  | Параметры лазерного  | Доза лазерного излучения,  | Изменения   | Степень лазерного  | 
1–3  | Мощность 70 мВт, экспозиция 0,05 мс,   | 0,045  | Белое пятно без   | 1  | 
4  | Энергия лазерного импульса 90 мВт,   | 0,092  | Бело-серое пятно без перифокального отека  | 2  | 
5  | Мощность 100 мВт, экспозиция 0,08 мс,  | 0,102  | Бело-серое пятно без перифокального отека  | 2  | 
6–9  | Мощность 150 мВт, экспозиция 0,1мс,  | 0,19  | Белое пятно с   | 2  | 
10  | Энергия лазерного импульса 90 мВт,  | 0,37  | Белое ватообразное пятно  | 4  | 
Обнаружены выраженные дистрофические изменения в нейронах ганглионарного слоя в виде набухания перикарионов и появления сморщенных нейронов с пикнотичными ядрами. Кроме того, явления умеренно выраженного перицеллюлярного отека были выявлены во внутреннем ядерном слое, в отдельных случаях – в наружном ядерном слое. В единичных случаях выявлялись аневризматически расширенные капилляры. Во внутреннем ядерном слое были обнаружены дистрофические изменения в перикарионах нейронов.
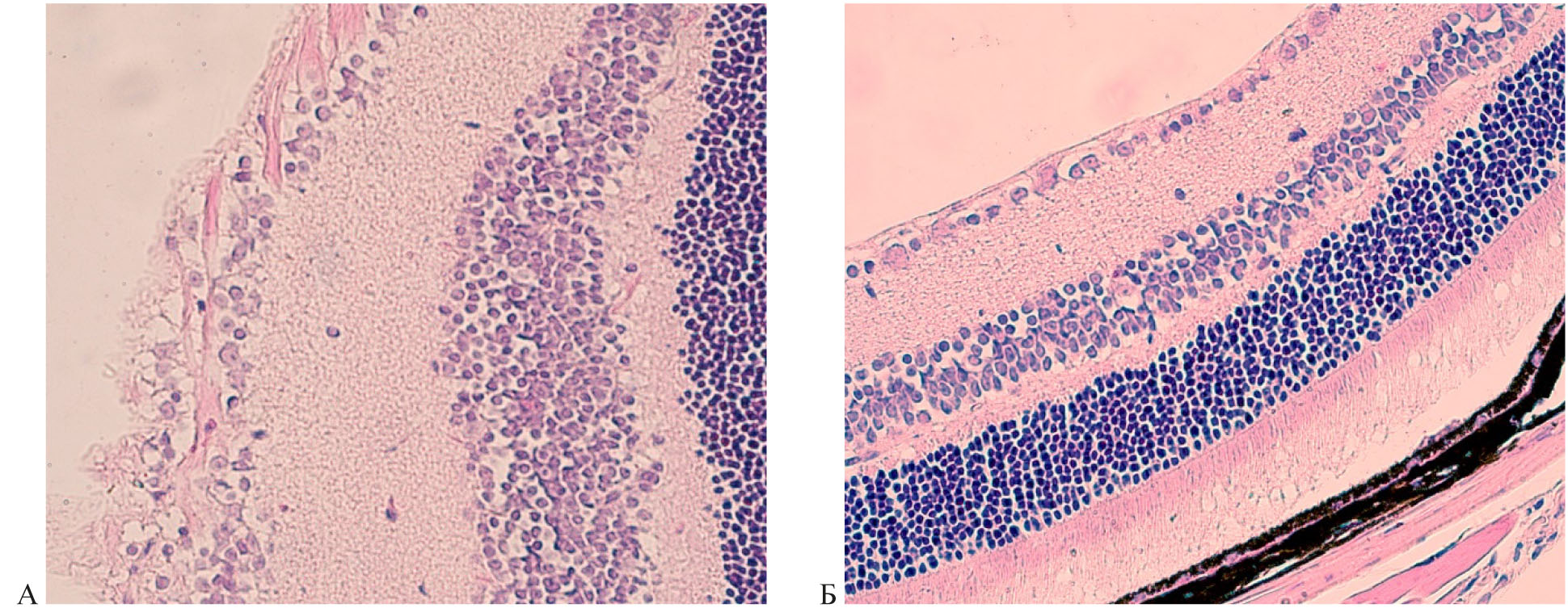
Во всех случаях были выявлены признаки выраженного или умеренно выраженного отека в слое палочек и колбочек (рис.).
Рис. Гистологическое строение сетчатки глаза мыши на 14-й день после лазерной процедуры. Окраска гематоксилин-эозином. Общее увеличение ×400
Таким образом, через 2 недели при офтальмоскопии определялись коагуляты I–IV степени по классификации L’Esperance F. Хориоидальная неоваскуляризация (ХНВ) не выявлена ни в одном из случаев.
Вероятно, для достижения результата модели лазер-индуцированной хориоидальной неоваскуляризации необходимо последовательно, более длительно, поэтапно оказывать лазерное воздействие с повреждением пигментного эпителия сетчатки до возникновения хориоидальной неоваскуляризации.
ЗАКЛЮЧЕНИЕ
Повреждение у мышей пигментного эпителия сетчатки лазерным излучением с длиной волны 532 нм и дозами от 0,05 до 0,37 Вт/см2 характеризовалось появлением коагулятов I–IV степеней по классификации L’Espe-rance F без признаков хориоидальной неоваскуляризации.
Гистологически у подопытных животных развивались выраженные дистрофические изменения в нейронах ганглионарного слоя сетчатки, что сопровождалось явлениями отека, наиболее выраженным в слое нервных волокон, ганглионарном слое и в слое палочек и колбочек без признаков роста хориоидельной неоваскуляризации.
***
Конфликт интересов. Авторы декларируют отсутствие явных и потенциальных конфликтов интересов, связанных с публикацией настоящей статьи.
Competing interests. The authors declare that they have no competing interests.
作者简介
Sergey Ivanov
Eye Microsurgery named after Academician S.N. Fedorov
							编辑信件的主要联系方式.
							Email: mntk@isee.ru
				                	ORCID iD: 0000-0002-6303-9493
				                																			                								
Candidate of Medical Sciences, Director
俄罗斯联邦, VolgogradYulia Khzardzhan
Eye Microsurgery named after Academician S.N. Fedorov
														Email: mntk@isee.ru
				                	ORCID iD: 0000-0002-2996-5960
				                																			                								
Candidate of Medical Sciences, Head of the Ophthalmological Department
俄罗斯联邦, VolgogradAlexey Smirnov
Volgograd State Medical University
														Email: milanaumenko@mail.ru
				                	ORCID iD: 0000-0001-5351-6105
				                																			                								
MD, Head of the Department of Pathological Anatomy
俄罗斯联邦, VolgogradLyudmila Naumenko
Volgograd State Medical University
														Email: milanaumenko@mail.ru
				                	ORCID iD: 0000-0002-2119-4233
				                																			                								
MD, Professor, Department of Pharmacology and Bioinformatics
俄罗斯联邦, VolgogradAlena Taran
Volgograd State Medical University
														Email: milanaumenko@mail.ru
				                	ORCID iD: 0000-0001-8477-254X
				                																			                								
Candidate of Medical Sciences, Associate Professor of the Department of Pharmacology and Bioinformatics
俄罗斯联邦, VolgogradAlina Chebanko
Volgograd State Medical University
														Email: milanaumenko@mail.ru
				                	ORCID iD: 0009-0004-3140-5040
				                																			                								
Assistant Professor at the Department of Pharmacology and Bioinformatics
俄罗斯联邦, VolgogradMaria Balalina
Eye Microsurgery named after Academician S.N. Fedorov
														Email: mntk@isee.ru
				                					                																			                								
Ophthalmologist at the Ophthalmological Department
俄罗斯联邦, VolgogradVictoria Chubarikova
Eye Microsurgery named after Academician S.N. Fedorov
														Email: mntk@isee.ru
				                					                																			                								
Ophthalmologist at the Ophthalmological Department
俄罗斯联邦, VolgogradMaxim Korotkov
Eye Microsurgery named after Academician S.N. Fedorov
														Email: mntk@isee.ru
				                					                																			                								
Ophthalmologist at the Ophthalmological Department
俄罗斯联邦, VolgogradIrina Solovyova
Eye Microsurgery named after Academician S.N. Fedorov
														Email: mntk@isee.ru
				                					                																			                								
Ophthalmologist at the Ophthalmological Department
俄罗斯联邦, Volgograd参考
- Yangieva N.R., Tuychibaeva D.M., Agzamova S.S., Abaskhanova N.Kh. Assessment of the state of organization of ophthalmological care for patients with age-related macular degeneration in primary health care. Oftal’mologiya. Vostochnaya Evropa = Ophthalmology. Eastern Europe. 2024;14(2):250. (In Russ.).
 - Markovets A.M., Kolosova N.G. Age-related macular degeneration and participation of vascular endothelial growth factor in its pathogenesis. Rossiiskii oftal’mologicheskii zhurnal = Russian Ophthalmological Journal. 2009;2(3):51–58. (In Russ.).
 - Fayzrakhmanov R.R., Bosov E.D., Bogdanova V.A. et al. Morphofunctional features of the retinal pigment epithelium in norm and in age-related macular degeneration. Literature review. Oftal’mologiya = Ophthalmology. 2024;21(1):44–50. (In Russ.).
 - Lambert V., Lecomte J., Hansen S. et al. Laser-induced choroidal neovascularization model to study age-related macular degeneration in mice. Nature protocols. 2013;8(11):2197–2211.
 - Latendresse J.R., Warbrittion A.R., Jonassen H. fixation of testes and eyes using a modified davidson’s fluid: comparison with bouin’s fluid and conventional davidson’s fluid. Toxicologic pathology. 2002;30(4):524–533.
 - Sarkisov D.S., Perov Yu.L. Microscopic technique. Manual. Moscow: Medicine, 1996. 544 p. (In Russ.).
 
补充文件
				
			
						
						
						
						
					
				


