Morphofunctional characteristics of the liver after administration of ascorbic acid in a model of radiation hepatitis
- Authors: Demyashkin G.A.1,2, Yakimenko V.A.3, Vadyukhin M.A.3, Kitieva A.A.3, Vasileva N.V.3
-
Affiliations:
- I.M. Sechenov First Moscow State Medical University (Sechenov University)
- National Medical Research Center of Radiology
- First Moscow State Medical University named after I.M. Sechenov (Sechenov University)
- Issue: Vol 21, No 2 (2024)
- Pages: 134-140
- Section: Original Researches
- URL: https://journals.rcsi.science/1994-9480/article/view/263001
- DOI: https://doi.org/10.19163/1994-9480-2024-21-2-134-140
- ID: 263001
Cite item
Full Text
Abstract
Introduction: Radiation-induced hepatitis develops both with direct irradiation of malignant neoplasms of the liver and abdominal organs. An important task of modern radiobiology is the development of methods for the prevention of acute and chronic post-radiation complications, for example, the injections of protectors. Materials and methods: Wistar rats (n = 40) were divided into groups: I – control (n = 10); II (n = 10) – electron irradiation; III (n = 10) – injection of ascorbic acid before electron irradiation; IV (n = 10) – injection of ascorbic acid. A biochemical blood test, oxidative status analysis, morphological, morphometric and statistical studies were carried out. Results: In group III, a less pronounced change in the main morphological and morphometric parameters was noted compared to group II; indicators of biochemical analysis and oxidative status approached control values. Conclusions: According to the results of the study, it was revealed that local irradiation with electrons after a week leads to disruption of the histoarchitecture of the liver, and the injection of ascorbic acid reduces the depth and range of radiation-induced hepatitis.
Full Text
Лучевой гепатит развивается как при непосредственном облучении злокачественных новообразований печени, так и органов брюшной полости. Кроме того, радиационно-индуцированная дисфункция печени может развиваться при воздействии радиации на организм человека вследствие техногенных катастроф. Контроль радиоактивности регламентируется множеством документов, однако меры профилактики и лечения острой и хронической лучевой болезни еще нуждаются в уточнении и оптимизации [1, 2].
В некоторых исследованиях продемонстрировано изменение гистоархитектоники печени при использовании Х- или γ-облучения. Воздействие γ-излучения в дозе 30 Гр в 5–10 % случаев приводит к поражению печени, а увеличение дозы до 43 Гр – в 50 % случаев. Эффективной при радиотерапии рака печени считается доза выше 60 Гр, однако она увеличивает риск летальности до 76 % из-за постлучевой печеночной недостаточности. К настоящему времени не существует эффективного лечения лучевого гепатита, который приводит к необратимой печеночной недостаточности и смерти [3]. Однократное Х-облучение уже в дозе 8 Гр приводит к отеку гепатоцитов, множественным геморрагиям и застою синусоидов [3]. В другом исследовании, воздействие однократного общего γ-облучения даже в низкой дозе (4 Гр) вызывало повреждения на клеточном и субклеточном уровнях: разрушение структуры ДНК и митохондрий, приводящее к апоптозу гепатоцитов [4].
Исследования воздействия электронов на печень в современной специализированной литературе единичны, а их результаты, как правило, противоречивы. Необходимо проведение комплексной морфофункциональной оценки изменений паренхимы печени с выявлением степени сенсибилизации гепатоцитов к ИИ вне опухоли, а также при облучении злокачественных новообразований соседних органов. Не менее важной задачей современной радиобиологии является разработка методов профилактики острых и хронических постлучевых осложнений, например, введение протекторов и др.
Известно, что эффекты ионизирующего излучения опосредованы прямым (разрывы и сшивки ДНК) и косвенным (оксидативный стресс) путями [5]. При разработке методов профилактики лучевой болезни точкой приложения протекторных средств являются именно косвенные эффекты: антиоксиданты наиболее выраженно снижают концентрацию свободных радикалов, способных повреждать органы и ткани локально или системно (при распространении в кровотоке) [6]. В качестве препарата, снижающего степень лучевого гепатита и печеночной недостаточности, была выбрана аскорбиновая кислота, обладающая доказанным антиоксидантным свойством [7].
ЦЕЛЬ РАБОТЫ
Морфологическая оценка печени после введения аскорбиновой кислоты в модели лучевого гепатита.
МЕТОДИКА ИССЛЕДОВАНИЯ
Крысы породы Вистар (Rattus Wistar; n = 40) были поделены на четыре экспериментальные группы:
- I – контрольная (n = 10), которым вводили раствор NaCl 0,9%-й;
- II (n = 10) – фракционное локальное облучение электронами в суммарной облучающей дозе (СОД) 30 Гр;
- III (n = 10) – интраперитонеальное введение аскорбиновой кислоты в дозе 50 мг/кг за 1 ч до локального облучения электронами в СОД 30 Гр;
- IV (n = 10) – интраперитонеальное введение аскорбиновой кислоты в дозе 50 мг/кг.
Локальное облучение электронами животных проводили на линейном акселераторе NOVAC-11. Живот-ных всех групп (I–IV) выводили из эксперимента путем введения высоких доз анестетика через неделю после последней фракции. Все манипуляции выполняли согласно «Международным рекомендациям по проведению медико-биологических исследований с использованием животных» (ЕЭС, Страсбург, 1985) и Хельсинкской декларации Всемирной медицинской ассоциации.
Биохимический анализ сыворотки крови. В крови, полученной от животных, измеряли уровни аланинаминотрансферазы (АЛТ), аспартатаминотрансферазы (АСТ), щелочной фосфатазы (ЩФ) и общего билирубина при помощи биохимического анализатора.
Исследование маркеров оксидативного стресса. Ткани печени (200 мг) гомогенизировали и центрифугировали в течение 5 мин при 1000 g на ледяной бане для получения 10%-го гомогената. Гомогенат подвергали центрифугированию, производили забор супернатанта для дальнейшего анализа. Уровни малонового диальдегида (MDA) и супероксиддисмутазы (SOD) были анализированы в соответствии с требованиями набора ELISA kit (Lifespan Biosciences, USA).
Гистологическое исследование. Фрагменты печени фиксировали в растворе забуференного формалина, после проводки в автоматическом режиме заливали в парафиновые блоки, готовили серийные срезы (толщиной 2 мкм), депарафинировали, дегидратировали и окрашивали гематоксилином и эозином. Гистологические микропрепараты изучали под микроскопом Leica DM2000 с микрофотосъемкой. Использовали установленные гистологические критерии для оценки степени повреждения печени в баллах [8] (табл. 1).
Морфометрическое исследование. Морфометриче-ский анализ проводили в 10 случайно выбранных полях зрения микроскопа при увеличении ×400 в 5 рандомных срезах с каждого образца с использованием анализатора изображений Leica Application Suite (LAS) Version 4.9.0 и компьютерной программы Image J. При этом рассчитывали следующие параметры: объемную плотность гепатоцитов, средний диаметр гепатоцита (в мкм), средний диаметр центральной вены (в мкм), количество клеток Купфера (в 1 см2).
Полученные в результате подсчета данные обрабатывали с использованием компьютерной программы SPSS 12 for Windows statistical software package (IBM Analytics, США). Данные выражены как среднее значение ± стандартное отклонение. Сравнения проводились с использованием дисперсионного анализа. Проведен анализ с использованием теста Крускал – Уоллиса и U-теста Манна – Уитни. Значение p < 0,05 считалось статистически значимым.
Таблица 1
Индекс гистологической активности для оценки фрагментов печени (по Knodell с изм.)
I | Перипортальный ± мостовидный некроз | Балл | II | Дистрофия, атрофия, некроз гепатоцитов | Балл | III | Инфильтрация портальных трактов | Балл | IV | Фиброз | Балл |
A | нет | 0 | A | нет | 0 | A | нет портального воспаления | 0 | A | нет | 0 |
B | слабый некроз | 1 | B | слабая (ацидофильные тельца, баллонная дистрофия, фокальные некрозы гепатоцитов менее чем в 1/3 печеночных долек) | 1 | B | слабая (распределение воспалительных клеток менее чем в 1/3 портальных трактов) | 1 | B | перипортальный фиброз | 1 |
C | умеренный некроз менее 50 % окружности портальных трактов | 3 | C | умеренная (затрагивает от 1/3 до 2/3 печеночных долек) | 3 | C | умеренная (увеличение количества воспалительных клеток в 1/3–2/3 доле портальных трактов) | 3 | C | мостовидный фиброз (портально-портальный или портально-центральный) | 3 |
D | значительный некроз более чем 50 % окружности портальных трактов | 4 | D | выраженная (более 2/3 печеночных долек) | 4 | D | выраженная (плотная воспалительная инфильтрация более чем в 2/3 портальных трактов) | 4 | D | цирроз | 4 |
E | умеренный некроз + мостовидный некроз | 5 | |||||||||
F | значительный некроз + мостовидный некроз | 6 | |||||||||
G | мультилобулярный некроз | 10 | |||||||||
РЕЗУЛЬТАТЫ ИССЛЕДОВАНИЯ И ИХ ОБСУЖДЕНИЕ
Биохимический анализ крови. Через неделю после воздействия фракционного локального облучения электронами во II группе обнаружено увеличение показателей аланинаминотрансферазы (АлАТ), аспартатаминотрансферазы (АсАТ), щелочной фосфатазы (ЩФ) и общего билирубина по сравнению с контрольными значениями. В то же время наблюдали менее выраженное увеличение перечисленных показателей в группе, в которой вводили аскорбиновую кислоту (табл. 2).
Таблица 2
Показатели биохимического анализа крови контрольной и опытных групп
Группа | АлАТ, Ед./л | АсАТ, Ед./л | ЩФ, Ед./ л | Билирубин, мкмоль/л |
Контроль | 30,3 ± 0,9 | 148,2 ± 3,3 | 24,6 ± 0,5 | 6,9 ± 0,3 |
Облучение | 73,4 ± 2,1a | 179,3 ± 3,5a | 68,3 ± 1,1a | 11,1 ± 0,5а |
Облучение + АК | 44,6 ± 1,3b | 167,6 ± 3,4b | 42,1 ± 0,8b | 8,6 ± 0,4 b |
АК | 29,4 ± 0,7 | 143,4 ± 3,3 | 26,7 ± 0,6 | 6,8 ± 0,3 |
Примечание: данные представлены в виде средних значений (диапазон), проведены тест Крускал – Уоллиса и U-тест Манн – Уитни. Статистическая достоверные различия по сравнению с контролем в группах Облучение (а) и Облучение + АК (b); р <0,05.
Оценка оксидантного статуса. В гомогенате тканей печени после фракционного облучения электронами в дозе 30 Гр обнаружили увеличение уровня малонового диальдегида (MDA) в 2,4 раза и снижение уровня супероксиддисмутазы (SOD) в 2,6 раза по сравнению с контролем. Менее выра- женные изменения MDA и SOD обнаружили в III груп- пе: увеличение MDA в 1,6 раза и уменьшение SOD в 1,4 раза по сравнению со значениями контрольной группы. В IV группе не наблюдали достоверного изменения уровней SOD и MDA по сравнению с контролем (рис. 1).
* Статистически достоверные различия по сравнению с контрольной группой (р < 0,05). Рис. 1. Показатели супероксиддисмутазы (SOD) и малонового диальдегида (MDA) в гомогенатах печени контрольной и опытных групп
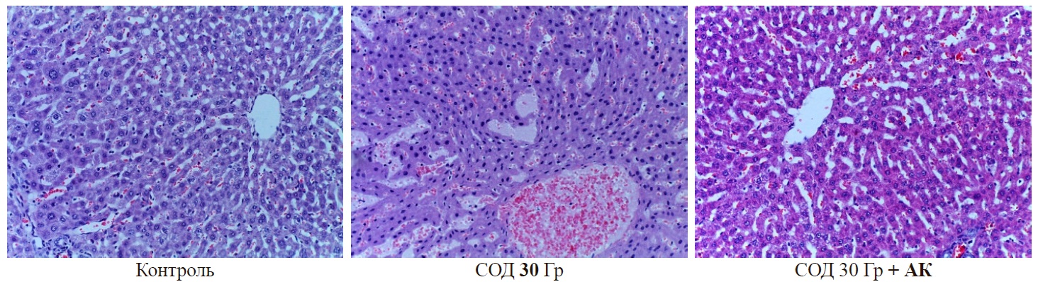
Гистологическое исследование. В контрольной группе отмечали нормальную гистоархитектонику печеночной паренхимы: печеночные балки, радиально отходящие от центральной вены, с гепатоцитами полигональной формы и центрально расположенным крупным ядром. Между печеночными балками расположены единичные клетки Купфера, выстилающие синусоиды. Оценка по шкале HAI составила 0 баллов (рис. 2).
В группе фракционного локального облучения электронами в СОД 30 Гр через неделю наблюдали мелкие кисты; баллонную дистрофию большинства гепатоцитов (вакуолизацию цитоплазмы и пикноз ядер), преимущественно в зоне III; фокальную атрофию 1/3–2/3 части печеночных долек; умеренный частичный некроз (менее 50 % окружности большинства портальных трактов); клеточную воспалительную инфильтрацию 1/3–2/3 части портальных трактов (в том числе мононуклеарными клетками); фиброз отсутствовал (по шкале HAI, в среднем, 9 баллов). Кроме того, обнаружили расширение и застой синусоидов, гиперплазия клеток Купфера, перисинусоидальные кровоизлияния, гиперплазию стенки желчных протоков (рис. 2).
Рис. 2. Печень контрольной и опытных групп. Окрашивание гематоксилином и эозином, ув. × 400
Введение аскорбиновой кислоты в III группе привело к менее выраженному повреждению печени в соответствии с морфологическими критериями: фокальную атрофию и вакуолизацию цитоплазмы некоторых гепатоцитов (менее чем в 1/3 части печеночных долек), воспалительный инфильтрат занимал менее 1/3 части портальных трактов, фиброз отсутствовал (по шкале HAI, в среднем, 4 балла) (рис. 2).
Достоверных различий в морфологической картине IV группы по сравнению с контролем не выявили.
Морфометрическое исследование. При морфометрическом исследовании печени через неделю после фракционного локального облучения электронами в СОД 30 Гр обнаружили резкое снижение объемной плотности (уменьшение количества гепатоцитов на единицу объема) и диаметра гепатоцитов, что сопровождалось расширением диаметра центральной вены (в 4,3 раз) и гиперплазией клеток Купфера по сравнению с контрольными значени-ями (табл. 3).
Предлучевое введение аскорбиновой кислоты через неделю после фракционного локального облучения электронами в СОД 30 Гр привело к менее выраженному снижению объемной плотности и диаметра гепатоцитов и незначительному увеличению диаметра центральной вены (в 2,3 раз) и количества клеток Купфера по сравнению с контрольными значениями. В IV группе не обнаружили достоверной разницы в исследуемых морфометрических параметрах по сравнению с контрольной группой (табл. 3).
Таблица 3
Морфометрические показатели печени контрольной и опытных групп
Группа | Объемная плотность гепатоцитов | Диаметр гепатоцита, мкм | Диаметр центральной вены, мкм | Количество клеток Купфера, в 1 см2 |
Контроль | 0,794 ± 0,004 | 1,1 ± 0,04 | 5,6 ± 0,05 | 4825,3 ± 9,2 |
Облучение | 0,539 ± 0,002a | 2,9 ± 0,05a | 24,3 ± 0,6a | 7274,2 ± 37,8a |
Облучение + АК | 0,681 ± 0,003b | 1,7 ± 0,04b | 12,8 ± 0,3b | 5961,9 ± 23,5b |
АК | 0,789 ± 0,004 | 1,1±0,03 | 5,7 ± 0,05 | 4812,7 ± 14,7 |
Примечание: данные представлены в виде средних значений (диапазон), проведены тест Крускал – Уоллиса и U-тест Манн – Уитни. Статистическая достоверные различия по сравнению с контролем в группах Облучение (а) и Облучение + АК (b); р < 0,05.
Настоящая работа посвящена структурно-функциональному исследованию протективного эффекта аскорбиновой кислоты на печень в модели лучевого гепатита, индуцированного фракционным облучением электронами в СОД 30 Гр.
В процессе развития постлучевых поражений выделяют две фазы: воспалительную (раннюю) и фибропластическую (позднюю) [9]. В настоящем исследовании уделено внимание воспалительной фазе, развивающейся после воздействия на печень локального облучения электронами в СОД 30 Гр – лучевому гепатиту. Радиационно-индуцированное повреждение печени было подтверждено в соответствии с общепринятыми гистологическими критериями [8].
Биохимический анализ крови после локального облучения электронами в СОД 30 Гр демонстрировал увеличение концентраций индикаторных (АлАТ, АсАТ) и экскреторных (ЩФ) ферментов печени, а также общего билирубина. Такие изменения свидетельствуют о функциональной несостоятельности печени, вероятно связанной с развитием патологических лабораторных синдромов цитолиза (АлАТ, АсАТ) и холестаза (ЩФ, билирубин) в результате радиационно-индуцированной гибели гепатоцитов. Помимо прямого воздействия электронов на ДНК гепатоцитов, существует косвенный механизм, который заключается в генерации высоких концентраций активных форм кислорода, реактивных форм азота, продуктов перекисного окисления липидов и других свободных радикалов [5]. Это приводит к развитию оксидативного стресса и истощению антиоксидантной системы. Лабораторно это подтверждено интенсификацией перекисного окисления липидов (уровень малонового диальдегида в гомогенате печени) и угнетением антиоксидантной защиты (снижение концентрации одного из наиболее важных ферментов – супероксиддисмутазы). Аналогичные, однако более выраженные, результаты были получены другими авторами при использовании γ-излучения [10]. Кроме того, не исключено влияние ионизирующего излучения на сосуды с развитием вторичного ишемического повреждения печени.
Так, принимая во внимание отсутствие эффективных методов защиты ДНК от прямого воздействия ионизирующего излучения, большинство исследований направлено на разработку методов профилактики и лечения косвенного радиационно-индуцированного повреждения органов. В этом контексте используются протекторные препараты, наиболее известными из которых являются антиоксиданты, например, аскорбиновая кислота.
Предлучевое введение аскорбиновой кислоты способствует снижению генерации токсичных свободных радикалов (относительно низкие уровни MDA) и предотвращает развитие оксидативного стресса, поддерживая состоятельность антиоксидантной системы (уровень SOD практически приближался к контрольным значениям). Это привело к уменьшению степени постлучевого повреждения печени и замедлению гибели гепатоцитов, что подтверждено результатами морфологического, морфометрического и биохимического исследований, позволяя говорить о возможном протективном действии аскорбиновой кислоты.
ЗАКЛЮЧЕНИЕ
По результатам морфофункционального исследования печени выявили, что локальное облучение электронами в СОД 30 Гр через неделю приводит к нарушению гистоархитектоники с развитием лучевого гепатита. Введение аскорбиновой кислоты снижает глубину и диапазон радиационно-индуцированного повреждения, усиливает эффективность антиоксидантной защиты.
About the authors
Grigory A. Demyashkin
I.M. Sechenov First Moscow State Medical University (Sechenov University); National Medical Research Center of Radiology
Email: dr.dga@mail.ru
ORCID iD: 0000-0001-8447-2600
MD, Head of the Laboratory of Histology and Immunohistochemistry; Head of the Department of Pathomorphology
Russian Federation, Moscow; ObninskVladislav A. Yakimenko
First Moscow State Medical University named after I.M. Sechenov (Sechenov University)
Email: Yavladislav87@gmail.com
ORCID iD: 0000-0003-2308-6313
anesthesiologist-intensive care physician, postgraduate student
Russian Federation, MoscowMatvey A. Vadyukhin
First Moscow State Medical University named after I.M. Sechenov (Sechenov University)
Email: vma20@mail.ru
ORCID iD: 0000-0002-6235-1020
a student of the N.V. Sklifosovsky Institute of Clinical Medicine
Russian Federation, 119991, Russia, Moscow, Trubetskaya str., 8-2Alina A. Kitieva
First Moscow State Medical University named after I.M. Sechenov (Sechenov University)
Email: kitievalina@gmail.com
ORCID iD: 0009-0008-7422-4855
student of the N.V. Sklifosovsky Institute of Clinical Medicine
Russian Federation, MoscowNatalya V. Vasileva
First Moscow State Medical University named after I.M. Sechenov (Sechenov University)
Author for correspondence.
Email: Vaasilevaan@ya.ru
ORCID iD: 0009-0000-3536-1496
student of the N.V. Sklifosovsky Institute of Clinical Medicine
Russian Federation, MoscowReferences
- Радиационная защита и безопасность источников излучения: Международные основные нормы безопасности. Серия норм безопасности МАГАТЭ. No. GSR Part 3. Safety Standards Series. 2015. 477 с. URL: https://www-pub.iaea.org/MTCD/Publications/PDF/Pub1578_R_web.pdf.
- Singh V.K., Seed T.M. Pharmacological management of ionizing radiation injuries: current and prospective agents and targeted organ systems. Expert Opin Pharmacother. 2020;21(3):317–337. doi: 10.1080/14656566.2019.1702968.
- Yang W., Shao L., Zhu S. et al. Transient Inhibition of mTORC1 Signaling Ameliorates Irradiation-Induced Liver Damage. Front Physiol. 2019;10:228. doi: 10.3389/fphys. 2019.00228.
- Abdel-Aziz N., Haroun R.A., Mohamed H.E. Low-Dose gamma radiation modulates liver and testis tisues response to acute whole body irradiation. Dose Res-ponse. 2022;20(2): 15593258221092365. doi: 10.1177/15593258221092365.
- Reisz J.A., Bansal N., Qian J. et al. Effects of ionizing radiation on biological molecules--mechanisms of damage and emerging methods of detection. Antioxid Redox Signal. 2014;21(2):260–292. doi: 10.1089/ars.2013.5489
- Campesi I., Brunetti A., Capobianco G., et al. Sex differences in x-ray-induced endothelial damage: effect of taurine and n-acetylcysteine. antioxidants. 2023;12:77. doi: 10.3390/antiox12010077.
- Attia A.A., Hamad H.A., Fawzy M.A. et al. The Prophylactic Effect of Vitamin C and Vitamin B12 against Ultraviolet-C-Induced Hepatotoxicity in Male Rats. Molecules. 2023;28(11):4302.
- Knodell R.G., Ishak K.G., Black W.C. et al. Formula- tion and application of a numerical scoring system for assessing histological activity in asymptomatic chronic active hepatitis. Hepatology. 1981;1(5):431–435. doi: 10.1002/hep.1840010511.
- Straub J.M., New J., Hamilton C.D. et al. Radiation-induced fibrosis: mechanisms and implications for therapy. J Cancer Res Clin Oncol. 2015;141(11):1985–1994. doi: 10.1007/s00432-015-1974-6.
- Azab K.S., Maarouf R.E., Abdel-Rafei M.K. et al. Withania somnifera (Ashwagandha) root extract counteract acute and chronic impact of γ-radiation on liver and spleen of rats. Hum Exp Toxicol. 2022;41:9603271221106344. doi: 10.1177/09603271221106344.
Supplementary files




