Morphofunctional characteristic of the structural components of the lungs during inhalation introduction of lead phthalate
- Authors: Sirac A.G.1, Piskareva E.I.1, Dolgashova M.A.1, Pashneva E.I.1, Lyubanskaya O.V.1, Magomedova O.G.1, Arutyunova A.P.1, Zheurova M.O.1
-
Affiliations:
- Stavropol State Medical University
- Issue: Vol 20, No 3 (2023)
- Pages: 138-142
- Section: Original Researches
- URL: https://journals.rcsi.science/1994-9480/article/view/165515
- DOI: https://doi.org/10.19163/1994-9480-2023-20-3-138-142
- ID: 165515
Cite item
Full Text
Abstract
The article presents the results of studies of structural changes in the lungs that occur during inhalation exposure to lead phthalate in an experiment on rats. The identified morphological disorders lead to the development of chronic inflammatory processes and indicate the toxicity, fibrinogenicity of lead phthalate and its ability to cause allergization of the body.
Full Text
ВВЕДЕНИЕ
Загрязнение окружающей среды свинцом является одной из главных проблем экологии и охраны здоровья населения [1]. Свинец относится к металлам I группы опасности, хотя активно используется в различных отраслях промышленности и в быту. Широкое применение свинца, загрязнение этим элементом объектов окружающей среды и, в связи с этим, поступление его в организм человека и животных могут вызывать патологические процессы, связанные с изменениями на молекулярном, клеточном, органном и системном уровнях.
Одним из основных путей поступления свинца в организм – органы дыхания [2]. При этом респираторный эпителий играет важную роль в защитных функциях слизистой оболочки воздухоносных путей [3, 4]. Помимо нарушения барьерной функции мерцательного эпителия свинец вызывает изменения и со стороны соединительной ткани, что может приводить к развитию хронических воспалительных процессов [5].
Недостаточность информации о морфологических изменениях в легких, возникающих при ингаляционном воздействии фталата свинца, определило цель и задачи настоящего исследования.
ЦЕЛЬ РАБОТЫ
Выявить закономерности изменений структурных компонентов легкого при хроническом ингаляционном воздействии фталата свинца.
МЕТОДИКА ИССЛЕДОВАНИЯ
Протокол экспериментов по выбору, содержанию животных, моделированию патологических процессов и выведению животных из опыта составлен в соответствии с принципами биоэтики (GLP) (ГОСТ 12.1.005-88) и учетом приказа МЗ РФ № 267 от 19.06.2003 «Об утверждении правил лабораторной практики». Отбор, содержание и формирование групп опытных животных проводились по общепринятым положениям [6]. Программа эксперимента была согласована с Локальным независимым этическим комитетом по экспертизе диссертационных исследований Ставропольского государственного медицинского университета.
Хроническое ингаляционное воздействие продолжалось 4 месяца с учетом средней продолжительности жизни крысы (3–4 года), что необходимо для выявления признаков интоксикации [7].
Для проведения эксперимента были отобраны 16 здоровых половозрелых лабораторных белых крыс-самцов линии Wistar массой 180–220 г. Животных разбили на 2 группы: первая – контрольная, вторая – опытная. Животные опытной группы подвергались хроническому ингаляционному воздействию фталата свинца в концентрации 50 мг/м3. По истечении 4-месячной ингаляционной затравки животных забивали путем мгновенной декапитации под эфирным наркозом.
Выделенные кусочки легких фиксировали в 10%-м нейтральном формалине и заливали в парафин. Серийные парафиновые срезы толщиной 5–7 мкм окрашивались гематоксилином и эозином [8], по способам Маллори, Массона и муцикармином Мейера [9].
Микроскопию срезов проводили на цифровом микроскопе со встроенным фотоаппаратом Olympus BХ45. Морфометрические исследования проводили с использованием программы Видео-тест Морфология 5.1 для Windows. Полученные цифровые данные анализировали с применением t-критерия Стьюдента в программе Primer of Biostatistics 4.03 для Windows. Достоверным считали различия при p < 0,05.
РЕЗУЛЬТАТЫ ИССЛЕДОВАНИЯ И ИХ ОБСУЖДЕНИЕ
При исследовании гистологических срезов в легких определяются безвоздушные участки, чередующиеся с эмфизематозно расширенными (рис. 1).
В интерстициальной ткани выявляются скопления многоядерных макрофагов с фагоцитированными частицами фталата свинца, что указывает на выраженную макрофагальную реакцию (рис. 2).
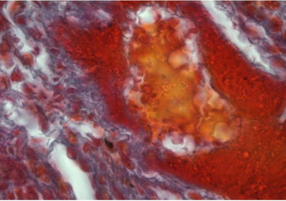
Наблюдается активизация фибробластов, окруженных пучками коллагеновых волокон (рис. 3, 4).
Многорядный мерцательный эпителий бронхов подвергается различным дегенеративным изменениям. Высота эпителиального пласта варьирует. Встречаются участки как плоского, так и кубического эпителия, мерцательные клетки которого содержат немногочисленные реснички (рис. 5).
Рис. 1. Безвоздушные участки легкого, чередующиеся с эмфизематозно измененными. Окраска гематоксилином и эозином. Ок. 10. Об. 4
Рис. 2. Скопление крупных многоядерных макрофагов. Окраска гематоксилином и эозином. Ок. 10. Об. 100. Иммерсия
Рис. 3. Образование коллагеновых волокон в интерстици- альной ткани легкого. Окраска по Маллори. Ок. 10. Об. 100. Иммерсия
Рис. 4. Образование коллагеновых волокон в стенке сосуда. Окраска по Массону. Ок. 10. Об. 100. Иммерсия
Рис. 5. Участок различного по высоте эпителия бронха. Окраска гематоксилином и эозином. Ок. 10. Об. 100. Иммерсия
Появляются зоны безреснитчатого эпителия, что связано с токсическим действием фталата свинца, а также травмированием ресничек его частицами (рис. 6).
За счет развития воспалительного процесса, сопровождающегося отеком собственной пластинки слизистой оболочки, эпителий пластами отслаивается в просвет бронхов (рис. 7).
Восстановление эпителиальной выстилки происходит со стороны неповрежденных участков с образованием однослойного плоского эпителия, замещающего зоны повреждения [10] (рис. 8).
Постепенно эпителий восстанавливает свою структуру и становится многорядным призматическим (рис. 9).
Рыхлая соединительная ткань оболочек бронхов отечна. Миоциты мышечной пластинки слизистой оболочки гипертрофируются (рис. 10).
Рис. 6. Участок эпителия бронха, лишенного ресничек. Окраска гематоксилином и эозином. Ок. 10. Об. 100. Иммерсия
Рис. 7. Отслаивание эпителия в просвет бронхов. Окраска муцикармином Мейера. Ок. 10. Об. 100. Иммерсия
Рис. 8. Образование однослойного плоского эпителия, замещающего участки повреждения. Окраска гематоксилином и эозином. Ок. 10. Об. 100. Иммерсия
Рис. 9. Переход однослойного кубического эпителия бронха в многорядный призматический. Окраска гематоксилином и эозином. Ок. 10. Об. 100. Иммерсия
Рис. 10. Гипертрофия мышечной пластинки слизистой оболочки бронха. Окраска гематоксилином и эозином. Ок. 10. Об. 100. Иммерсия
Рис. 11. Группа 8. Гемолиз эритроцитов в просвете артерии. Периваскулярный инфильтрат, содержащий эозинофилы. Окраска гематоксилином и эозином. Ок. 10. Об. 100. Иммерсия
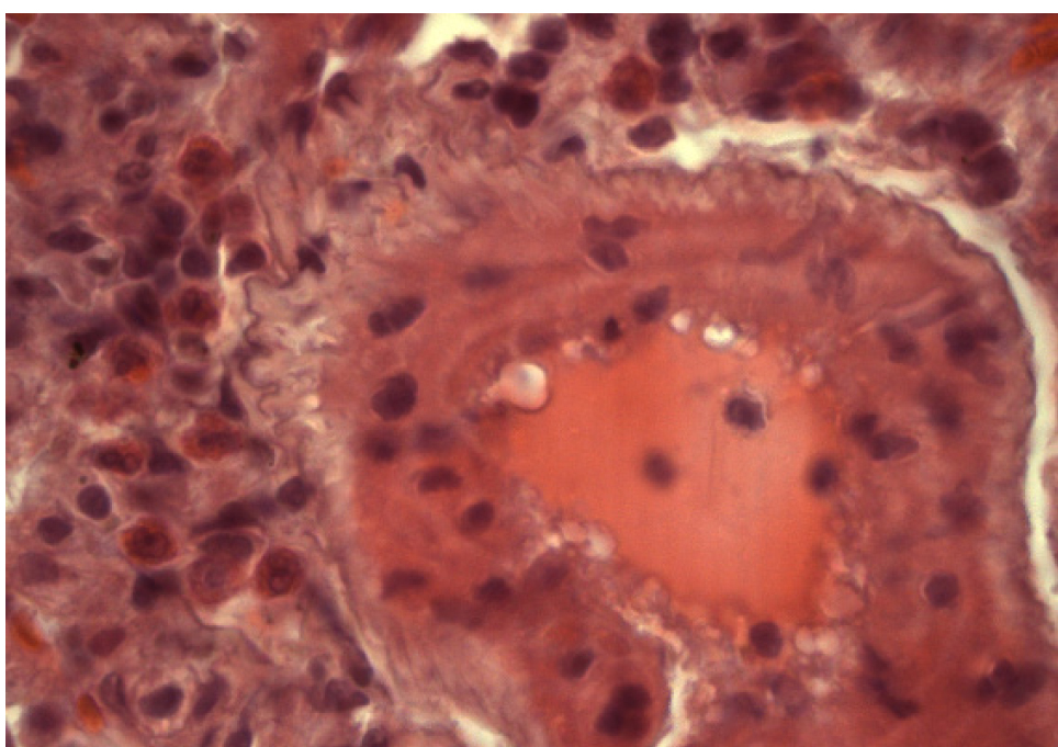
Артерии полнокровны. В их просветах наблюдается гемолиз эритроцитов. В адвентициальной оболочке сосудов выявляются полиморфноцитарные инфильтраты, содержащие эозинофилы (рис. 11), что может служить доказательством развития аллергических реакций.
ЗАКЛЮЧЕНИЕ
Крупные скопления многоядерных макрофагов в межальвеолярных перегородках легочной ткани свидетельствуют о выраженной макрофагальной реакции. Наличие фибробластов, активно продуцирующих коллагеновые волокна, подтверждает фиброгенные свойства фталата свинца. Присутствие эозинофилов в полиморфноклеточных инфильтратах указывает на способность фталата свинца вызывать сенсибилизацию организма. Все вышеперечисленное является доказательством развития хронических воспалительных процессов.
About the authors
Alla G. Sirac
Stavropol State Medical University
Author for correspondence.
Email: sergejsirak@yandex.ru
Doctor of Medical Science, Professor, head of Department of histology
Russian Federation, StavropolEvgeniya I. Piskareva
Stavropol State Medical University
Email: ivga.stgma@mail.ru
Candidate of Medical Sciences, Associate Professor of the Department of Histology
Russian Federation, StavropolMarina A. Dolgashova
Stavropol State Medical University
Email: dolgashova@mail.ru
Candidate of Medical Sciences, Associate Professor of the Department of Histology
Russian Federation, StavropolElena I. Pashneva
Stavropol State Medical University
Email: Lelchik33@mail.ru
Candidate of Medical Sciences, Associate Professor of the Department of Histology
Russian Federation, StavropolOlga V. Lyubanskaya
Stavropol State Medical University
Email: olgalubanska695@gmail.com
Candidate of Medical Sciences, Associate Professor of the Department of Histology
Russian Federation, StavropolOksana G. Magomedova
Stavropol State Medical University
Email: oksana.magomedova.12@bk.ru
Assistant of the Department of Histology
Russian Federation, StavropolAlina P. Arutyunova
Stavropol State Medical University
Email: aalina77100@yandex.ru
Assistant of the Department of Histology
Russian Federation, StavropolMaria O. Zheurova
Stavropol State Medical University
Email: dr.maria.didenko@gmail.com
Assistant of the Department of Histology
Russian Federation, StavropolReferences
- Titov A.F., Kaznina N.M., Karapetyan T.A., Dorsha- kova N.V. Effect of lead on living organisms. Zhurnal obshchej biologii = Journal of General Biology. 2020;81(2):147–160. (In Russ.).
- Stankut’ Zh.V. Xenobiotic risk of environmental pollution with lead and the consequences of its action on the human body. Mezhdunarodnyj studencheskij nauchnyj vestnik = International Student Scientific Bulletin. 2021:6. URL: https://edurald.ru/ru/article/view?id= 20756. (In Russ.).
- Esev L.I. Functional morphology of the mucociliary transport system of the rats of rats in postnatal ontogenesis. Dissertation abstract of the Candidate of Medical Sciences. Yaroslavl, 2016. 24 p. (In Russ.).
- Shubnikova E.A. Epithelial tissues. Rukovodstvo po gistologii = Manual of Histology. 2nd ed. St. Petersburg; SpecLit, 2011. Part 4. P. 124–202. (In Russ.).
- Urazbaeva R.E. Allergic diseases in workers of lead production and the influence of lead on the formation of sensitization in the experiment. Dissertation abstract of the Candidate of Medical Sciences. Alma-Ata, 1990. 24 p. (In Russ.).
- Zapadnyuk I.P. Laboratory animals and their breeding, keeping and use in the experiment. Kyiv; State Medical Publishing House of the Ukrainian SSR,1962. 350 p. (In Russ.).
- Sanockij I.V. Methods for determining the toxicity and danger of chemicals (toxicometry). Moscow; Medicine, 1970: 68–69. (In Russ.).
- Merkulov G.A. Course of pathological and histo-logical techniques. M.: Medicina. Moscow; Medicine, 1969. 422 p. (In Russ.).
- Pirs E.H. Histochemistry. Moscow; Foreign Literature, 1962. 961p. (In Russ.).
- Piskareva E.I., Sirak A.G., Radceva G.L. et al. Dynamics of the development of changes in the bronchial epithelium under the toxic effects of lanthanum and lead phthalate. Fiziko-khimicheskaya biologiya. Materialy V mezhdunarodnoj nauchnoj internet-konferencii = Physical and chemical biology. Materials of the V International Scientific Internet Conference. 2017:138–142. (In Russ.).
Supplementary files













