Morphofunctional status of interstitial endocrinocytes (Leydig cells) with premature aging caused by dark deprivation
- Authors: Kondakova L.I.1, Kalashnikova S.A.1, Polyakova L.V.1
-
Affiliations:
- Volgograd State Medical University
- Issue: Vol 20, No 2 (2023)
- Pages: 70-73
- Section: Original Researches
- URL: https://journals.rcsi.science/1994-9480/article/view/143336
- DOI: https://doi.org/10.19163/1994-9480-2023-20-2-70-73
- ID: 143336
Cite item
Full Text
Abstract
It was found that in experimental rats there is a decrease in the number of Leydig cells, the ratio between active and inactive endocrinocytes and, as a consequence, a decrease in the activity index of his cells. The effect of 30-day dark deprivation and 14-day correction with exogenous melatonin on the steroidogenic ability and morphofunctional state of the spermatogenic epithelium of the testes, interstitial endocrinocytes (Leydig cells) of white mongrel male rats aged 4 months was analyzed. The level of corticosterone, testosterone, and Clotho protein in blood serum was assessed by enzyme immunoassay. It was found that 30-day dark deprivation increases the level of corticosterone, reduces the level of testosterone and Clotho protein in the blood serum, which is a marker of premature aging. It was found that morphological changes in the testes were characterized by a decrease in the thickness of the spermatogenic epithelium, the area of Leydig cells and their nuclei for 30 days after dark deprivation. The introduction of exogenous melatonin led to a partial restoration of androgenogenesis, the morphofunctional state of the testes: spermatogenic epithelium, Leydig cells.
Full Text
Бесплодие или снижение фертильности является глобальной проблемой здравоохранения. Бесплодие встречается у 15 % пар репродуктивного возраста. Мужское бесплодие встречается в 40–50 % всех случаев, при этом его частота по данным Росстата за последние 20 лет выросла в 2 раза. Одной из причин нарушения фертильности и развития бесплодия является воздействие окружающей среды, в частности световое загрязнение, вызванное темновой депривацией, которое приводит к снижению качества спермы, уровня тестостерона [1, 2]. Являясь одним из важнейших андрогенных гормонов, тестостерон регулирует фертильность, развитие и поддержание органов мужской репродуктивной системы, половой функции. Источником тестостерона являются клетки Лейдига, секретирующие данный гормон и расположенные в интерстициальной соединительной ткани семенника. Проводимые исследования показывают негативное влияние светового загрязнения на уровень репродуктивных гормонов и функцию сперматозоидов [3, 4]. Однако необходимо проведение дополнительных исследований влияния темновой депривации на выработку тестостерона клетками Лейдига.
ЦЕЛЬ РАБОТЫ
Определить морфофункциональный статус интерстициальных эндокриноцитов (клеток Лейдига) у крыс при преждевременном старении, вызванном темновой депривацией.
МЕТОДИКА ИССЛЕДОВАНИЯ
Исследование проведено на 66 беспородных белых крысах-самцах в возрасте 4 мес., полученных из питомника филиала «Столбовая» ФГБУН НЦБМТ ФМБА России (Московская область). Животные содержались в условиях вивария по 5 особей в клетке (температура 22–24 ºС, относительная влажность воздуха 40–50 %) со свободным доступом к воде и пище – гранулированному полнорационному корму (ЗАО «Тосненский комбикормовый завод», Ленинградская область, Россия). Эксперименты проводили в соответствии с правилами лабораторной практики РФ (ГОСТ 33044-2014). Все процедуры с животными проводились в соответствии с требованиями Директивы 2010/63/EU Европейского парламента и Совета Европейского Союза от 22.09.2010. Эксперименты были одобрены локальным этическим комитетом Волгоградского государственного медицинского университета (справка № 2022/164 от 25.11.2022).
Животные были рандомно разделены на опытные и контрольные группы. Группа негативного контроля – 24 животных, которые не подвергались темновой депривации и находились при 12-часовом искусственном свето-темновом освещении. Группа позитивного контроля – 26 животных, которые подвергались 30-дневной темновой депривации в условиях постоянного искусственного освещения (300 Люкс). Опытная группа – 16 животных, которые после 30-дневной темновой депривации получали перорально (внутрижелудочно через зонд) в течение 14 суток лечебным курсом мелатонин. Животные групп позитивного и негативного контроля получали перорально (внутрижелудочно через зонд) в течение 14 суток 2%-ю крахмальную слизь.
После проведения эксперимента животных наркотизировали путем однократного внутрибрюшинного введения хлоралгидрата (400 мг/кг) в воде очищенной в объеме 10 мл/кг. Производили забор крови из брюшной аорты крыс для определения содержания в сыворотке мелатонина и белка Клото. После забора крови животные подвергались эвтаназии декапитацией с помощью гильотины (ООО «Открытая наука», Москва, Россия). Для стабилизации крови использовали 3,8%-й водный раствор цитрата натрия в соотношении 9:1. Полученную сыворотку крови центрифугировали при 3000 об./мин в течение 20 мин. Аликвоты сыворотки крови замораживали и хранили при температуре –20 °С.
Концентрацию мелатонина и белка Клото определяли в сыворотке крови с помощью твердофазного иммуноферментного анализа с использованием набора реактивов ELISA Kit For Melatonin (MT), ELISA Kit for Klotho (KL), ELISA Kit For Testosteron, ELISA Kit for Corticosterone (Cort) производства CLOUD-CLONE CORP (США) на автоматическом микропланшетном фотометре Sunrise TS4TECAN (Tecan Austria GmbH, Австрия).
Для исследования морфологического состояния репродуктивной системы самцов крыс производили забор семенников. Ткань семенников помещали в 10%-й забуференный формалин с последующей автоматизированной гистологической проводкой (Leica TP1020) и окраской гематоксилином и эозином.
Микрофотосъемку гистологических микропрепаратов проводили на микроскопе «Leica DM 1000» (Leica Microsystems GmbH, Германия) с использованием программного комплекса LAS v.4.7. Измеряли линейные и объемные показатели ядер интерстициальных эндокриноцитов. В зависимости от формы клеток и их ядер объемы клеток Лейдига вычисляли по формуле эллипса или шара. Оценивались морфологические особенности клеток Лейдига. В каждом поле зрения измерялись: средняя площадь ядра, клетки и цитоплазмы, а также ядерно-цитоплазматическое отношение клеток Лейдига, площадь интерстиция между канальцами.
Для статистической обработки полученных результатов использовался ранговый однофакторный дисперсионный анализ Краскела – Уоллиса с апостериорным критерием Данна при помощи программы GraphPad Prism 8.0. Для проверки распределения на нормальность использовали критерий Шапиро – Уилка. Статистически значимыми расценивались изменения при p < 0,05.
РЕЗУЛЬТАТЫ ИССЛЕДОВАНИЯ И ИХ ОБСУЖДЕНИЕ
Десинхроноз, вызванный темновой депривацией, является стрессирующим фактором, что подтверждается повышением уровня кортикостерона в сыворотке крови крыс на 24,28 % после 30-дневной темновой депривации. 14-дневный курс введения мелатонина привел к относительному снижению уровня кортикостерона на 12,5 %, что свидетельствует о стабилизации послестрессового состояния организма (рис. 1).
**p < 0,001 – по отношению к показателю группы животных негативного контроля (ранговый однофакторный анализ Краскела – Уоллиса, критерий Данна)
Эти изменения способствовали снижению уровня тестостерона в сыворотке крови на 51,4 % (p < 0,001), что приводило к нарушению андрогензависимых функций, включая репродуктивную. Введение экзогенного мелатонина в течение 14 сут. привело к повышению уровня тестостерона в сыворотке крови в 1,97 раза (рис. 2).
*p < 0,05, **p < 0,001 – по отношению к показателю группы животных негативного контроля (ранговый однофакторный анализ Краскела – Уоллиса, критерий Данна)
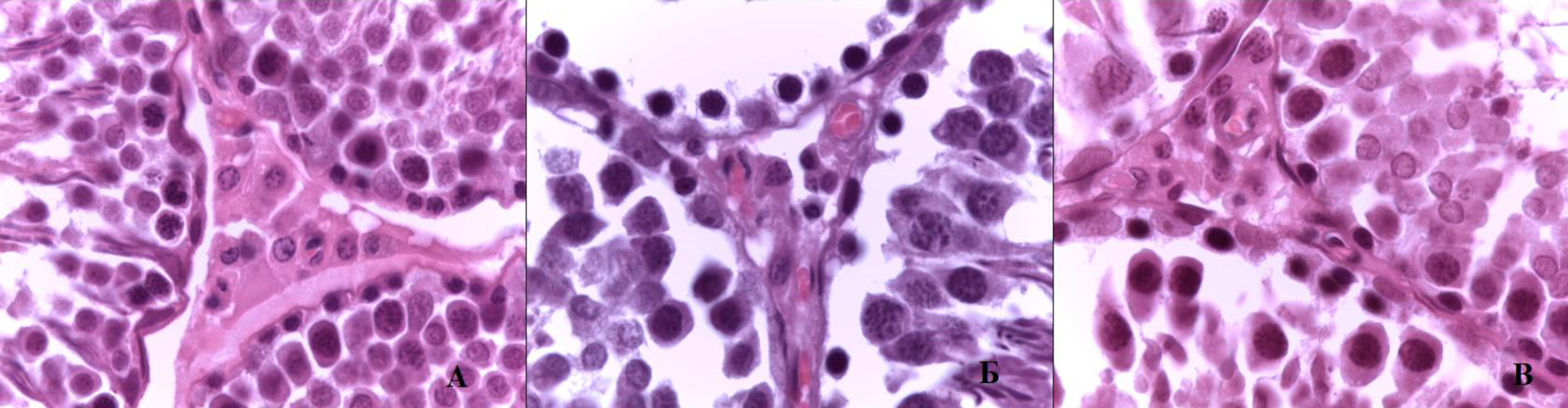
При гистологическом исследовании семенников после 30-дневной темновой депривации наблюдался отек и увеличение площади интерстициальной ткани между извитыми семенными канальцами, а также визуализировались оптически пустые пространства различной степени выраженности. Обращало на себя внимание полнокровие сосудов микроциркуляторного русла. Клетки Лейдига располагались в основном одиночно, изредка группами вокруг кровеносных сосудов между извитыми семенными канальцами. Ядра клеток Лейдига бледно окрашены, круглой или овальной формы. Морфометрическое исследование клеток Лейдига показало достоверное уменьшение их площади и ядер на 26,9 и 21,7 % соответственно, по сравнению с показателем крыс групп негативного контроля (p < 0,001).
Введение экзогенного мелатонина в течение 14 сут. привело к частичному восстановлению сперматогенного эпителия, что сопровождалось появлением всех клеточных популяций. Отмечалось увеличение площади клеток Лейдига и их ядер на 14,95 % (p < 0,001) и 20,72 % (p < 0,001) соответственно по сравнению с группой позитивного контроля (рис. 3).
Преждевременное старение организма, в том числе и семенников, подтверждается снижением уровня белка Клото в сыворотке крови на 41,4 % у животных после 30-дневной темновой депривации (рис. 4).
**p < 0,001 – по отношению к показателю группы животных негативного контроля (ранговый однофакторный анализ Краскела – Уоллиса, критерий Данна)
Однако полного восстановления уровня белка Клото в крови у опытных животных, получавших мелатонин, не наблюдалось, значение данного показателя было ниже на 28,4 % по сравнению с таковым у крыс негативного контроля, что было статистически не значимо.
Таким образом, 30-суточная темновая депривация изменяла секрецию кортикостерона и тестостерона, подавляла активность гипофизарно-гонадной оси. Это подтверждалось статистически значимым повышением в сыворотке крови секреции кортикостерона, снижением выработки тестостерона, морфофункциональными изменениями в семенниках. В результате исследования установлено негативное воздействие светового десинхроноза на физиологию клеток Лейдига крыс, что приводило к снижению секреции гормонов и способствовало возникновению дисфункции репродуктивной оси и развитию бесплодия. Десинхроноз может стать важным фактором в развитии состояний, связанных со снижением тестостерона и фертильностью.
Стимуляция экзогенным мелатонином приводила к восстановлению сперматогенного эпителия, структуры клеток Лейдига, что сопровождалось повышением выработки тестостерона. С учетом важности тестостерона в репродукции необходимы дальнейшие исследования для определения темновой депривации на репродуктивную способность, включая влияние на сперматогенез и функциональность сперматозоидов.
ЗАКЛЮЧЕНИЕ
Темновая депривация сопровождается кумулятивным воздействием нарушенной ритмичности выработки различных гормонов, оказывающих воздействие на мужскую репродуктивную систему. Повышение концентрации в сыворотке крови кортикостерона и снижение тестостерона, отражающие активность гипоталамо-гипофизарно-адренокортикальной и гипоталамо-гипофизарно-гонадной систем организма, являются маркерами стрессорной реакции. Структурные нарушения сперматогенного эпителия, клеток Лейдига демонстрирует чувствительность семенников к световому десинхронозу.
Введение мелатонина приводит к относительной нормализации послестрессового состояния организма, частичному восстановлению андрогеногенеза, сперматогенного эпителия, клеток Лейдига, что обусловлено его влиянием на нейромедиаторные системы путем воздействия на синхронизацию циркадианных ритмов. Обладая двойным воздействием, как на нейроэндокринную, так и на иммунную системы, мелатонин оптимизирует гомеостаз и осуществляет защиту от стресса через снижения активности гипоталамо-гипофизарно-адренокортикальной системы.
About the authors
Larisa I. Kondakova
Volgograd State Medical University
Author for correspondence.
Email: larisakondakova@gmail.com
ORCID iD: 0000-0001-9028-2993
Candidate of Medical Sciences, Associate Professor, Associate Professor of the Department of Histology, Embryology, Cytology
Russian Federation, VolgogradSvetlana A. Kalashnikova
Volgograd State Medical University
Email: kalashnikova-sa@yandex.ru
ORCID iD: 0000-0002-7688-9366
Doctor of Medical Sciences, Associate Professor, Head of the Department of Anatomy
Russian Federation, VolgogradLyudmila V. Polyakova
Volgograd State Medical University
Email: lvpolyakova7@gmail.com
ORCID iD: 0000-0002-5349-1435
Candidate of Medical Sciences, Associate Professor
Russian Federation, VolgogradReferences
- Baburski A.Z., Sokanovic S.J., Janjic M.M. et al. Melatonin replacement restores the circadian behavior in adult rat Leydig cells after pinealectomy. Molecular and cellular endocrinology. 2015;413:26–35.
- Pavlovic M.V., Marinkovic D.Z., Andric S.A., Kostic T.S. The cost of the circadian desynchrony on the Leydig cell function. Scientific reports. 2022;12(1):15520.
- Marinkovic D.Z., Medar M.L.J., Becin A.P. et al. Growing Up Under Constant Light: A Challenge to the Endocrine Function of the Leydig Cells. Frontiers in endocrinology. 2021;12:653602.
- Yao Y., Silver R. Mutual Shaping of Circadian Body-Wide Synchronization by the Suprachiasmatic Nucleus and Circulating Steroids. Frontiers in behavioral neuroscience. 2022;16:877256.
Supplementary files






