Anxiogenic effect of pentylenetetrazole in a subconvulsive dose is accompanied by decreased cellular proliferation and neuronal NO-synthase expression in the posterior portion of the hippocampus
- Authors: Aniol V.А.1, Stepanichev М.Y.1, Yakovlev A.А.1, Lazareva N.А.1, Gulyaeva N.V.1
-
Affiliations:
- Institute of Higher Nervous Activity and Neurophysiology, RAS
- Issue: Vol 41, No 3 (2024)
- Pages: 285-293
- Section: Experimental Articles
- URL: https://journals.rcsi.science/1027-8133/article/view/271712
- DOI: https://doi.org/10.31857/S1027813324030081
- EDN: https://elibrary.ru/EQAXWN
- ID: 271712
Cite item
Full Text
Abstract
In our previous studies, we have found a suppressive effect of a single administration of pentylenetetrazole (PTZ) in a subconvulsive dose on cellular proliferation in the dentate gyrus. In the present work, we show that this decrease in proliferation develops after acute anxiogenic effect of PTZ and is present only in the posterior portion of the hippocampus, where a decrease in the number of neuronal NO synthase expressing cells has been also found. These changes are also accompanied by a decrease in the level of nNOS protein in the hippocampus. Taken together, these observations may indicate the possible involvement of nNOS in the suppression of cellular proliferation in the dentate gyrus of the posterior hippocampus during the development of the anxiogenic effect of PTZ.
Keywords
Full Text
Введение
Постнатальный нейрогенез, то есть образование новых нейронов после рождения и в течение всей жизни, происходит в зубчатой извилине гиппокампа у большинства видов млекопитающих, включая человека [1], хотя активный нейрогенез у взрослых людей все еще остается в существенной степени предметом дискуссий [2–4]. Клетки-предшественники нейронов пролиферируют в зубчатой извилине на границе между гранулярным слоем и лежащим под ним полиморфным слоем (хилусом). Большинство новых клеток становятся гранулярными нейронами, и весь процесс созревания занимает у грызунов около 30 дней [5, 6]. Существующие гипотезы предполагают участие новых нейронов в выполнении ряда функций, зависящих от гиппокампа, таких как обучение, память и регуляция эмоций. С другой сторны, нарушения нейрогенеза в гиппокампе могут участвовать в патогенезе различных нейропсихических расстройств, таких как генерализованное тревожное расстройство, депрессия и эпилепсия, и развитии коморбидности между ними [7, 8].
Ранее мы обнаружили снижение пролиферации клеток в нескольких герминативных зонах мозга (субвентрикулярной области боковых желудочков и субгранулярном слое зубчатой извилины гиппокампа) на ранних этапах эпилептогенеза в модели пентилентетразолового киндлинга [9]. Известно, что снижение пролиферации новых клеток в гиппокампе может наблюдаться при стрессе и связанном с ним повышенном уровне глюкокортикоидов [10, 11]. Кроме того, существенную роль в регуляции пролиферации и дифференцировки клеток играет система оксида азота [12].
В связи с этим мы предположили, что обнаруженное подавление пролиферации может быть связано с анксиогенным действием пентилентетразола (ПТЗ) в субконвульсивной дозе, которая была использована для выработки киндлинга, и сопровождаться локальными изменениями активности нитрергической системы. Проверка этого предположения была целью нашей настоящей работы.
Методы
Исследование тревожности после однократного ведения ПТЗ. Для оценки тревожности в поведении животных после введения ПТЗ в субконвульсивной дозе использовали тест в приподнятом крестообразном лабиринте. В данном эксперименте было использовано 20 крыс-самцов линии Вистар массой 200–250 г в возрасте 3 мес. Животных содержали в условиях вивария при искусственном световом режиме (день 8:00 – 20:00) и свободном доступе к воде и пище по 5 животных в клетке. Перед экспериментом животных приучали к рукам в течение 4 дней. Десяти животным вводили ПТЗ внутрибрюшинно в субконвульсивной дозе 37.5 мг/кг. ПТЗ растворяли в изотоническом (0.9%) растворе NaCl из расчета 1 мл/кг. Десяти крысам контрольной группы вводили чистый раствор NaCl в эквивалентном объеме. Через 5 мин после инъекции животных помещали в центр приподнятого крестообразного лабиринта, и в течение 5 минут записывали поведение животного при помощи видеокамеры. После окончания теста животных возвращали в домашнюю клетку. Между животными лабиринт очищали от загрязнений и обрабатывали 70° этиловым спиртом.
Маркирование пролиферации и подготовка ткани к исследованию. На следующий день после введения ПТЗ или NaCl и теста в крестообразном лабиринте части животных (n = 4 для каждой группы) производили мечение пролиферирующих клеток при помощи синтетического нуклеотида 5-бром-2’-дезоксиуридина (BrdU), который вводили внутрибрюшинно 4 раза в дозе 50 мг/кг с интервалами по 2 часа. Спустя 30 минут после четвертой инъекции BrdU животных перфузировали раствором AFA (96%-ный этиловый спирт, 39%-ный формалин, ледяная уксусная кислота, в отношении 7:2:1), извлекали головной мозг и дофиксировали его в фиксаторе AFA. Мозг хранили в 70% этаноле до использования. Перед дегидратацией мозг переносили в 96% этанол на ночь. Дегидратацию и парафинирование образцов осуществляли в следующем порядке: изопропанол (2 раза по 30 мин) ‒ смесь изопропанол:хлороформ (2:1, затем 1:1, затем 1:2, во всех случаях – до погружения образца на дно) ‒ хлороформ (2 раза по 20 мин) ‒ заливка в две смены жидкого парафина (в термостате при t = 56–60°C, первый раз в течение ночи, второй раз в течение 2–3 часов) ‒ окончательная заливка парафином. После затвердения парафиновых блоков готовили ленты серийных фронтальных срезов толщиной 10 мкм на всем протяжении мозга.
Иммуногистохимическое окрашивание. В работе исследовали включение BrdU в ядра и экспрессию нейрональной NO-синтазы (nNOS) в клетках мозга. В обоих случаях применяли непрямой иммунопероксидазный метод. Для окрашивания в каждом случае отбирали серийные срезы мозга на всем его протяжении с интервалом 250 мкм между срезами и наклеивали их на стекла Superfrost/Plus (Fisher Scientific, USA). Затем полученные препараты депарафинировали и промывали в дистиллированной воде. Перед окрашиванием и в промежутках между различными стадиями срезы промывали в 0.01 М фосфатно-солевом буфере (PBS). Для подавления эндогенной пероксидазной активности на срезы наносили 3% раствор Н2О2 в 0.01 М PBS на 10 мин. При окрашивании BrdU проводили дополнительное кислотное экспонирование антигенных участков ДНК в 2 M HCl при 37°C в течение 30 мин, после чего нейтрализовали кислый pH инкубацией в щелочном 0.1 М растворе Na2B2O7 (pH = 9.5; 10 мин). При окрашивании nNOS этап кислотного экспонирования пропускали, переходя непосредственно к стадии блокировки. Блокировку проводили в течение 1 часа раствором, содержащим 5% козьей сыворотки (Gibco, USA) и 0.3% Тритона X-100 в 0.01 M PBS. Раствор такого же состава использовали в дальнейшем для растворения первичных и вторичных антител. С первичными антителами срезы инкубировали в течение ночи при +4°C (моноклональные IgG мыши к BrdU BD Pharmingen, США, 1:2000 или поликлональные IgG кролика к nNOS, Chemicon, США, 1:4000). После этого на 2 часа наносили вторичные антитела – биотинилированные IgG козы к IgG мыши или биотинилированные IgG козы к IgG кролика (Sigma, USA) в разведении 1:800. Затем на связавшиеся биотинилированные антитела осаждали авидин-пероксидазный комплекс ABC Vectastain kit (Vector Laboratories, США), растворенный в 0.01 M PBS в соотношении 1:100 (1 час). Для проявки пероксидазной активности использовали хромогенный субстрат 3, 3’-диаминобензидин (DAB, SigmaFast kit, Sigma, США). Рабочий раствор DAB наносили на срезы и следили за развитием окраски под бинокулярной лупой. Через 3−5 мин реакцию останавливали промывкой в 0.01 M PBS. Затем срезы отмывали от остатков раствора DAB и заключали под покровное стекло с использованием раствора Permount (Fisher Scientific, США).
Количественный анализ результатов иммуногистохимического окрашивания. Подсчет BrdU-позитивных (BrdU+) клеток проводили в зубчатой извилине гиппокампа вручную на микроскопе Olympus CX-41 (Olympus Optical, Япония) при увеличении ×200. В качестве позитивно окрашенных подсчитывали клетки, имеющие выраженное темно-коричневое окрашивание ядра или имеющие прозрачное ядро с сильноокрашенными глыбчатыми включениями в нем; в обоих случаях критерием учета было наличие видимой четкой границы ядра в плоскости среза. Качество окраски срезов предварительно проверяли по интенсивности окрашивания ядер пролиферирующих клеток мягкой мозговой оболочки. В зубчатой извилине подсчет BrdU+ клеток осуществляли на всем протяжении ее герминативной зоны, т.е. в гранулярном и субгранулярном слое, определяемом как область толщиной в два тела нейрона (~ 20 мкм), прилежащую к гранулярному слою с его внутренней стороны [13]. Затем срезы фотографировали и определяли площадь герминативной зоны на каждом срезе, используя программу Image Pro (Media Cybernetics, Inc.). Итоговый результат выражали в виде числа BrdU+ клеток на мм2. Объем исследованных герминативных зон достоверно не различался у животных разных групп.
Клетки, окрашенные на нейрональную изоформу NO-синтазы (nNOS+), обнаруживались во всех основных отделах мозга. Подсчет nNOS+ клеток выполняли как в гиппокампе, так и в коре больших полушарий. В гиппокампе анализировали зубчатую извилину (гранулярный слой), поле СА4, поле CA1 (пирамидный слой), а также радиальный слой в пределах полей СА1−CA3. В указанных отделах подсчитывали все nNOS+ клетки в границах, определяемых согласно атласу [14]. Число nNOS+ клеток в каждой исследуемой структуре соотносили с площадью, занимаемой данной структурой на микрофотографиях, и выражали в виде числа nNOS+ клеток на мм2. В коре больших полушарий (неокортексе) nNOS+ клетки подсчитывали на каждом срезе в 5 случайно выбранных полях зрения площадью по 1 мм2 каждое при увеличении ×100. Совокупно данные области подсчета охватывали практически всю площадь коры на срезе в пределах всех шести слоев коры. Результаты усредняли по всем полям зрения для каждого животного и выражали как число nNOS+ клеток на мм2.
В связи с предполагаемой неоднородностью структур гиппокампа вдоль его передне-задней оси проводили раздельный анализ плотности клеток (BrdU+ и nNOS+) в передней и задней его частях. Условной границей между этими частями был выбран уровень 4.3 мм каудальнее брегмы. Установка границы на этом уровне была обусловлена тем, что данная фронтальная плоскость делит гиппокамп примерно поровну в передне-заднем направлении (от –2.3 до –4.3 и от –4.3 до –6.3 мм), а также с наличием удобного анатомического ориентира – появления вентральной порции зубчатой извилины на более каудальных срезах. В передней и задней частях гиппокампа число клеток так же приводили к площадям соответствующих структур.
Подготовка ткани к биохимическому исследованию. На следующий день после инъекции ПТЗ или NaCl часть животных, которым не вводили BrdU (n = 6 для каждой группы), декапитировали, извлекали головной мозг и на льду выделяли кору больших полушарий и гиппокамп, которые замораживали в жидком азоте и до использования хранили при t = ‒80°C. Гомогенизацию струкутр проводили в тризол-буфере в соотношении 15:1 (мл:г). Белок выделяли для каждого животного из двух параллельных порций гомогената (по 0.5 мл). В дальнейшем параллельные пробы обрабатывали независимо, при анализе из двух параллельных результатов учитывали одно наиболее высокое значение.
Выделение белковой фракции из гомогенатов:
1) к 0.5 мл гомогената добавляли равный объем глицерина и смешивали, после чего добавляли 0.2 мл хлороформа, тщательно перемешивали в шейкере в течение 15 с, после чего оставляли на 15 мин до разделения фаз;
2) центрифугировали пробы при 12000 g и +4°С в течение 15 мин, после чего отбирали всю верхнюю фазу, добавляли к остаткам 0.15 мл этанола, перемешивали top-bottom и через 1 мин повторно центрифугировали при тех же условиях в течение 5 мин;
3) отбирали 300−400 мкл органической фазы, к которой добавляли ацетон в соотношении 1:3 и выдерживали в течение 2 мин, после чего в течение 5 мин центрифугировали при 1000 g и +4°С;
4) отбирали надосадочную жидкость, к осадку добавляли 500 мкл суспендирующего буфера (0.3 М гидрохлорида гуанидина и 2.5% глицерина в 96%-ном этаноле), затем тщательно перемешивали в шейкере в течение 5 мин и центрифугировали при 12000 g и 4°С в течение 5 мин;
5) отбирали надосадочную жидкость, к осадку добавляли растворяющий буфер (25 мМ HEPES, 0.1 мМ ЭДТА, 0.01 мМ неокуприна, 2.5% SDS) и размешивали в шейкере в течение 1 часа.
После выделения белковой фракции проводили определение концентрации белка в каждой пробе по поглощению света при 280 и 260 нм при помощи спектрофотометра Ultrospec II (LKB Biochrom, UK), после чего разводили все образцы до концентрации белка 6 мг/мл.
Определение содержания белка nNOS в тканях коры и гиппокампа. Для оценки изменений количества белка nNOS в тканях коры и гиппокампа крыс после однократного введения ПТЗ использовали метод Western-blot. Все пробы нормировали по содержанию α-тубулина, определяемому тем же методом. Перед использованием в белковые пробы добавляли 5-кратный буфер в соотношении 4:1, после чего кипятили с целью денатурации структуры белка. Для гель-электрофореза готовили полиакриламидный гель (7.5% для nNOS и 12% для тубулина) толщиной 0.75 мм. Электрофорез проводили в течение 2 часов при силе тока 45 мА/пластину. После окончания электрофореза вырезали полосы геля, соответсвующие массе целевых белков, и укладывали их в систему для переноски на нитроцеллюлозную мембрану. Перенос осуществляли влажным способом в течение ночи при силе тока 90 мА/контейнер при +4°С. Нитроцеллюлозные мембраны промывали в TNT 3 раза по 5 мин, после чего блокировали в обезжиренном молоке, разведенном в TNT (10% для nNOS, 5% для тубулина), в течение 1 часа. Затем проводили инкубацию с первичными антителами (кроличьими поликлональными к nNOS, Chemicon Int., США, 1:4000 в 10% молоке, или мышиными моноклональными к α-тубулину, Sigma, США, 1:10000 в 2% молоке) в течение 2 часов. После этого мембраны промывали в TNT 4 раза по 5 мин, наносили вторичные антитела, коньюгированные с пероксидазой (для nNOS ‒ IgG козы к IgG кролика, Bio-Rad, США; для α-тубулина ‒ IgG козы к IgG мыши, Bio-Rad, США; в обоих случаях антитела разводили в обезжиренном 1% молоке в соотношении 1:1000) и инкубировали в течение 1 часа. После отмывки вторичных антител (4 раза по 5 мин в TNT) мембраны инкубировали в течение 3 минут c люминол-перекисной смесью ECL Plus (Amersham, США) и регистрировали свечение на пленке X-Ray RetinA XBM Blue sensitive, после чего проявляли и фиксировали фотоизображение. Цифровую обработку фотоизображений проводили с помощью программы Total Lab.
Статистическая обработка результатов. Результаты обрабатывали с использованием программы Statistica 8.0 (StatSoft, США). Поскольку распределение сравниваемых параметров носило неправильный характер, а число значений в каждй группе было небольшим, группы сравнивали между собой методом Mann-Whitney. Различия считали достоверными при p < 0.05. Данные представлены в виде M±S.E.M.
Результаты
Поведение животных после однократного введения ПТЗ в субконвульсивной дозе. Введение ПТЗ в дозе 37.5 мг/кг не вызывало существенных внешних проявлений судорожной активности, за исключением кратковременных периодов замирания или лицевых автоматизмов, тремора вибрисс, что оценивалось не выше 1 балла по шкале Racine [15]. В приподнятом крестообразном лабиринте, куда животных помещали спустя 5 минут после введения ПТЗ или раствора NaCl, крысы обеих групп большую часть времени теста проводили в закрытых рукавах. Время, проведенное в открытом рукаве, имело тенденцию (p < 0.1) к снижению после введения ПТЗ (таблица 1, рис. 1). Число посещений открытого рукава у животных, получивших ПТЗ, было достоверно ниже, чем у животных контрольной группы (таблица 1, рис. 1а). Тем не менее, число посещений закрытого рукава также отличалось в меньшую сторону у животных после введения ПТЗ, что дало основание заподозрить снижение двигательной активности. Действительно, подсчет длины пройденного пути по числу пересеченных квадратов в лабиринте показал достоверное снижение этого показателя у крыс после введения ПТЗ (рис. 1в). Для того, чтобы оценить тревожность животных с учетом различной двигательной активности, отдельно подсчитывали число пересеченных секторов в светлой (открытый рукав и центр) и темной (закрытый рукав) частях лабиринта. У животных контрольной группы по сравнению с животными, получившими ПТЗ, достоверно большая доля двигательной активности приходилась на открытую часть лабиринта (p < 0.05; M-W test, таблица 1, рис. 1г). Кроме того, действие ПТЗ проявлялось также в подавлении исследовательской активности (снижение числа стоек с 17.2 ± 1.6 до 0.6 ± 0.4, p < 0.001, M-W test; числа свешиваний с 3.1 ± 0.9 до 0.1 ± 0.1, p < 0.005, M-W test; таблица 1, рис. 1д – е).
Рис. 1. Поведение животных в тесте приподнятого крестообразного лабиринта. Число входов (а) и время в открытом рукаве (б), общее число пересеченных секторов (в) и их доля в светлом рукаве (г), число стоек (д) и свешиваний (е). Данные приведены в виде M ± SEM. # – p < 0.1, * – p < 0.05, *** – p < 0.005, тест Манна-Уитни, отличие от контрольной группы.
Таблица 1. Поведение животных в тесте приподнятого крестообразного лабиринта. Жирным шрифтом отмечены различия, которые считали достоверными при принятом уровне значимости p < 0.05 (тест Манна-Уитни)
контроль | ПТЗ (37,5) | p (M-W test) | ||||
среднее | ± S.E.M. | среднее | ± S.E.M. | |||
Входов в: | открытый рукав | 0.9 | 0.4 | 0.1 | 0.1 | 0.0435 |
закрытый рукав | 2.5 | 0.4 | 1.0 | 0.0 | 0.0017 | |
центр | 2.4 | 0.6 | 0.1 | 0.1 | 0.0036 | |
Время в (с): | открытом рукаве | 10.5 | 6.1 | 3.6 | 3.6 | 0.0858 |
закрытом рукаве | 274.7 | 7.7 | 286.3 | 4.2 | 0.2451 | |
центре | 14.8 | 3.0 | 10.1 | 1.7 | 0.2429 | |
Число стоек | 17.2 | 1.6 | 0.6 | 0.4 | 0.0003 | |
Число свешиваний | 3.1 | 0.9 | 0.1 | 0.1 | 0.0015 | |
Число пересеченных секторов | 29.8 | 4.6 | 9.6 | 2.7 | 0.0021 | |
Двигательная активность в светлом рукаве, % | 9.5 | 3.0 | 4.2 | 4.2 | 0.0290 | |
Таким образом, можно заключить, что введение ПТЗ в дозе 37.5 мг/кг не сопровождалось развитием видимых моторных судорог, но приводило к угнетению моторной и исследовательской активности, а также к повышению уровня тревожности крыс.
Пролиферация клеток в герминативной зоне гиппокампа. В передней части зубчатой извилины (ростральнее уровня брегма –4.3 мм) после введения ПТЗ плотность пролиферирующих клеток достоверно не изменялась (p > 0.1, M-W test). В задней же, каудальной части, где у контрольных животных плотность расположения BrdU+ клеток была заметно выше, после введения ПТЗ наблюдалось достоверное снижение интенсивности пролиферации (p < 0.05; M-W test; рис. 2б).
Рис. 2. Пролиферация клеток в герминативной зоне зубчатой извилины после введения ПТЗ в субконвульсивной дозе. а – стрелками отмечено иммуногистохимичесоке окрашивание включения BrdU в ядра клеток на границе гранулярного (гр) и полиморфного (пол) слоев зубчатой извилины (увеличение ×400, шкала 100 мкм). б – число BrdU+ клеток в зубчатой извилине переднего и заднего гиппокампа. Данные приведены в виде M ± SEM. * – отличие от контрольной группы, p < 0.05, тест Манна-Уитни.
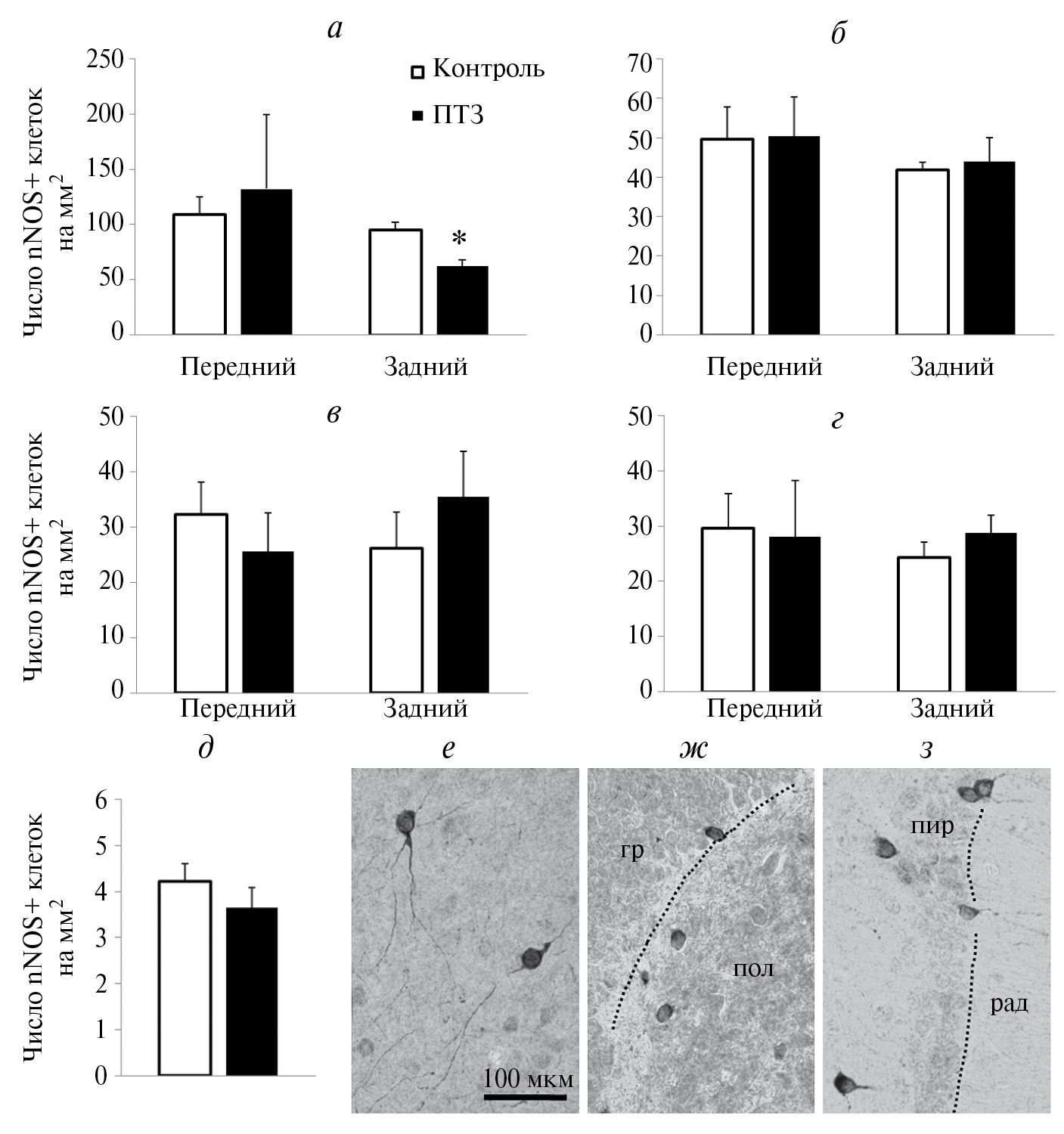
Изменения в нитрергической системе. Число nNOS+ клеток в переднем гиппокампе значимо не менялось, тогда как в заднем гиппокампе отмечалось достоверное снижение числа nNOS+ клеток в пирамидном слое поля СА1 (рис. 3а). Уровень белка nNOS в тканях гиппокампа также достоверно снижался после введения ПТЗ (рис. 4а).
Рис. 3. Иммуногистохимическое окрашивание nNOS в клетках мозга после введения ПТЗ в субконвульсивной дозе. а – г, число nNOS+ клеток в различных отделах гиппокампа (а – в пирамидном слое поля СА1, б – в зубчатой извилине, в – в поле СА4, г – в радиальном слое полей СА1-СА3). Данные приведены в виде M ± SEM отдельно для передней и задней частей гиппокампа. * – отличие от контрольной группы, p < 0.05, тест Манна-Уитни. д – число nNOS+ клеток в неокортексе, различий между группами нет. е – з, примеры иммуногистохимического окрашивания nNOS в различных отделах мозга (е – неокортекс, ж – зубчатая извилина, з – после СА1, увеличение ×400, шкала 100 мкм для всех изображений). Пунктирной линией указаны границы между гранулярным (гр) и полиморфным (пол) слоями зубчатой извилины (ж) и пирамидным (пир) и радиальным (рад) слоями поля СА1 (з).
В неокортексе число nNOS+ клеток значимо не менялось, чему соответствовало отсутствие изменений в содержании белка nNOS в тканях коры, определямом по методу вестерн-блот (рис. 3д; рис. 4б).
Рис. 4. Определение белка nNOS методом вестерн-блот в мозге после введения ПТЗ в субконвульсивной дозе. а – гиппокамп, б – неокортекс. Резкультаты представлены как отношение оптических плотностей полос nNOS и α-тубулина и выражены в относительных единицах. Данные приведены в виде M ± SEM. * – отличие от контрольной группы, p < 0.05, тест Манна-Уитни.
Обсуждение
Пентилентетразол (ПТЗ) является блокатором пикротоксинового сайта ГАМКA-рецептора [16], нарушающим вход ионов Cl− в нейрон и приводящим к ослаблению торможения и развитию деполяризации [17]. Кроме того, ПТЗ вызывает снижение плотности ГАМКА-рецепторов в мозге, а также усиление глутаматергической передачи [18–20]. Следствием этого является повышение возбудимости нейронов, снижение судорожного порога и развитие судорожной активности. Эти свойства определяют ценность ПТЗ в качестве препарата в различных схемах моделирования судорог. В малых дозах ПТЗ может обладать также анксиогенными свойствами [21–24], связанными с тем же механизмом блокады ГАМКA-рецептора. В нашем исследовании для оценки тревожности мы использовали тест в приподнятом крестообразном лабиринте [25]. Введение ПТЗ в субконвульсивной дозе приводило к угнетению моторной и исследовательской активности, а также уменьшало число выходов в светлый рукав и двигательную активность в светлом рукаве. Последний показатель подсчитывали для того, чтобы внести поправку на общее уменьшение двигательной активности после введения ПТЗ. Таким образом, поведение животных в крестообразном лабиринте свидетельствовало в пользу анксиогенного эффекта использованной нами дозы ПТЗ (37.5 мг/кг). Известно, что глюкокортикоидные гормоны, выделяющиеся во время стресса, способны подавлять клеточную пролиферацию в герминативных зонах мозга [26]. По-видимому, наблюдавшееся снижение пролиферации клеток в зубчатой извилине частично связано с повышением уровня тревожности у подопытных животных после введения субконвульсивной дозы ПТЗ.
Ранее нами было показано снижение пролиферации клеток в герминативных зонах мозга (субвентрикулярной области боковых желудочков и субгранулярном слое зубчатой извилины гиппокампа) после однократного введения ПТЗ в субконвульсивной дозе в ходе развития пентилентетразолового киндлинга [9]. Результаты данного исследования предполагают, что обнаруженное подавление пролиферации более характерно для задних (каудальных или вентральных) отделов гиппокампа крыс, но не для передней его части. Известно, что задний гиппокамп, благодаря своим тесным анатомическим связям с миндалевидным комплексом, задействуется в формировании эмоциональных реакций [27, 28]. В этой связи можно предположить наличие связи между наблюдающимися реакциями тревожного поведения и селективным снижением пролиферации клеток в нейрогенной нише задней части зубчатой извилины.
Ранее было показано, что и однократные, и хронические судороги, вызванные введением ПТЗ (в частности, киндлинг), сопровождаются увеличением экспрессии nNOS в зубчатой извилине и увеличением продукции NO [29–32]. При этом увеличение экспрессии nNOS в гиппокампе на фоне острой судорожной активности сопровождалось также увеличением числа пролиферирующих клеток, а ингибирование nNOS приводило к относительному ослаблению вызванной судорогами клеточной пролиферации [29]. В нашей работе, напротив, снижение пролиферации клеток после введения ПТЗ в субконвульсивной дозе, не приводящей к развитию моторных судорог, сопровождалось снижением уровня белка nNOS и числа nNOS+ клеток в гиппокампе, причем и снижение пролиферации, и снижение числа nNOS+ клеток происходило в заднем отделе гиппокампа.
Заключение
В нашей работе показано, что обнаруженное ранее снижение пролиферации клеток в зубчатой извилине гиппокампа после однократного введения ПТЗ в субконвульсивной дозе развивается на фоне острого анксиогенного эффекта ПТЗ и характерно лишь для задней части гиппокампа. Там же, в задней чаcти гиппокампа, введение ПТЗ приводит к снижению числа nNOS+ клеток в поле СА1. В гиппокампе в целом также снижается уровень белка nNOS, тогда как в неокортексе ни уровень белка, ни число nNOS+ клеток достоверно не меняются. В совокупности данные наблюдения могут указывать на возможное участие nNOS в локальном подавлении пролиферации клеток зубчатой извилины заднего гиппокампа при развитии анксиогенного эффекта ПТЗ.
Источник финансирования
Работа выполнена в рамках государственного задания Министерства науки и высшего образования Российской Федерации (тема “Нейрофизиологические и биохимические механизмы патологии нервной системы, нейродегенерация”, регистрационный номер: 1021062411628-8-3.1.4).
Соблюдение этических норм
Конфликт интересов. Авторы заявляют об отсутствии конфликта интересов.
Этическое одобрение. Все применимые международные, национальные и/или институциональные принципы ухода и использования животных были соблюдены.
About the authors
V. А. Aniol
Institute of Higher Nervous Activity and Neurophysiology, RAS
Author for correspondence.
Email: aniviktor@yandex.ru
Russian Federation, Moscow
М. Yu. Stepanichev
Institute of Higher Nervous Activity and Neurophysiology, RAS
Email: aniviktor@yandex.ru
Russian Federation, Moscow
A. А. Yakovlev
Institute of Higher Nervous Activity and Neurophysiology, RAS
Email: aniviktor@yandex.ru
Russian Federation, Moscow
N. А. Lazareva
Institute of Higher Nervous Activity and Neurophysiology, RAS
Email: aniviktor@yandex.ru
Russian Federation, Moscow
N. V. Gulyaeva
Institute of Higher Nervous Activity and Neurophysiology, RAS
Email: aniviktor@yandex.ru
Russian Federation, Moscow
References
- Eriksson P.S., Perfilieva E., Björk-Eriksson T., Alborn A.M., Nordborg C., Peterson D.A., Gage F.H. // Nat. Med. 1998. V. 4. № 11. P. 1313‒1317.
- Boldrini M., Fulmore C.A., Tartt A.N., Simeon L.R., Pavlova I., Poposka V, Rosoklija G.B., Stankov A., Arango V., Dwork A.J., Hen R., Mann J.J. // Cell Stem Cell. 2018. V. 22. № 4. P. 589−599.e5.
- Kempermann G., Gage F.H., Aigner L., Song H., Curtis M.A., Thuret S., Kuhn H.G., Jessberger S., Frankland P.W., Cameron H.A., Gould E., Hen R., Abrous D.N., Toni N., Schinder A.F., Zhao X., Lucassen P.J., Frisén J. // Cell Stem Cell. 2018. pii: S1934-5909(18)30166-8.
- Sorrells S.F., Paredes M.F., Cebrian-Silla A., Sandoval K., Qi D., Kelley K.W., James D., Mayer S., Chang J., Auguste K.I., Chang E.F., Gutierrez A.J., Kriegstein A.R., Mathern G.W., Oldham M.C., Huang E.J., Garcia-Verdugo J.M., Yang Z., Alvarez-Buylla A. // Nature. 2018. V. 555. № 7696. P. 377−381.
- Cameron H.A., Woolley C.S., McEwen B.S., Gould E. // Neuroscience. 1993. V. 56. № 2. P. 337–344.
- Gage F.H. // Science. 2000. V. 287. № 5457. P. 1433–1438.
- Scharfman H.E., McCloskey D.P. // Epilepsy Res. 2009. V. 85. № 2−3. P. 150−161.
- Yun S., Reynolds R.P., Masiulis I., Eisch A.J. // Nat. Med. 2016. V. 22. № 11. P. 1239–1247.
- Aniol V.A., Stepanichev M.Y., Lazareva N.A., Gulyaeva N.V. // Epilepsy Behav. 2011. V. 22. № 3. P. 433−441.
- Gould E., McEwen B.S., Tanapat P., Galea L.A., Fuchs E. // J. Neurosci. 1997. V. 17. № 7. P. 2492–2498.
- Brummelte S., Galea L.A. // Neuroscience. 2010. V. 168. № 3. P. 680–690.
- Aniol V.A., Stepanichev M.Y. // Neurochem. J. 2007. V. 1. P. 265–274.
- Gray W.P., Sundstrom L.E. // Brain Res. 1998. V. 790. P. 52−59.
- Paxinos G., Watson Ch. // The rat brain in stereotaxic coordinates. San Diego: Academic Press, Inc., 1998.
- Racine R.J. // Electroencephalogr. Clin. Neurophysiol. 1972. V. 32. P. 281−294.
- Ito M., Chiu T.H., Rosenberg H.C. // Neurochem. Res. 1986. V. 11. № 5. P. 637−646.
- Olsen R.W. // Mol. Cell. Biochem. 1981. V. 39. P. 261−279.
- Bazyan A.S., Zhulin V.V., Karpova M.N., Klishina N.Y., Glebov R.N. // Brain Res. 2001. V. 888. № 2. P. 212−220.
- Corda M., Orlandi M., Lecca D., Giorgi O. // J. Pharmacol. Exp. Ther. 1992. V. 262. P. 792−798.
- Ekonomou A., Smith A.L., Angelatou F. // Mol. Brain Res. 2001. V. 95. P. 27−35.
- Rodin E.A., Calhoun H.D. // J. Nerv. Ment. Dis. 1970. V. 150. № 6. P. 438−443.
- Rodin E.A., Rutledge L.T., Calhoun H.D. // Electroencephalogr. Clin. Neurophysiol. 1958. V. 10. № 4. P. 719−723.
- Benjamin D., Lal H., Meyerson L.R. // Life Sci. 1990. V. 47. № 3. P. 195−203.
- Giusti P., Guidetti G., Costa E., Guidotti A. // J. Pharmacol. Exp. Ther. 1991. V. 257. № 3. P. 1062−1068.
- Rodgers R.J., Cole J.C., Aboualfa K., Stephenson L.H. // Pharm. Biochem. Behav. 1995. V. 52. № 4. P. 805−813.
- Gould E., Gross C.G. // J. Neurosci. 2002. V. 22. № 3. P. 619−623.
- Snyder J.S., Radik R., Wojtowicz J.M., Cameron H.A. // Hippocampus. 2009. V. 19. № 4. P. 360−370.
- Snyder J.S., Ramchand P., Rabbett S., Radik R., Wojtowicz J.M., Cameron H.A. // Neurobiol. Aging. 2011. V. 32. № 6. P. 1149−1156.
- Jiang W., Xiao L., Wang J.C., Huang Y.G., Zhang X. // Neurosci. Lett. 2004. V. 367. P. 344−348.
- Bashkatova V., Vitskova G., Narkevich V., Vanin A., Mikoyan V., Rayevsky K. // J. Mol. Neurosci. 2000. V. 14. P. 183–190.
- Kaneko K., Itoh K., Berliner L.J., Miyasaka K., Fujii H. // Magn. Reson. Med. 2002. V. 48. P. 1051−1056.
- Яковлев А.А., Перегуд Д.И., Павлова Т.В., Гуляева Н.В. // Нейрохимия. 2004. Т. 21. № 1. С. 58−67.
Supplementary files






