Морфометрическое исследование сосудов кожи после механической травмы на основе их маркирования антителами к фактору фон Виллебранда
- Авторы: Березовская Т.И.1, Коняев Г.В.1
 - 
							Учреждения: 
							
- Военно-медицинская академия им. С.М. Кирова
 
 - Выпуск: Том 163, № 1 (2025)
 - Страницы: 39-48
 - Раздел: Оригинальные исследования
 - URL: https://journals.rcsi.science/1026-3543/article/view/292734
 - DOI: https://doi.org/10.17816/morph.640909
 - EDN: https://elibrary.ru/CLUYSH
 - ID: 292734
 
Цитировать
Аннотация
Обоснование. Одним из важнейших факторов гистогенеза в процессе регенерации тканей является ангиогенез. При исследовании ран различной этиологии идентификация сосудов на препаратах, окрашенных по стандартному методу гематоксилином и эозином, затруднена. Это связано с особенностями гистологического строения сосудистой стенки и сложностью гистотопографического расположения сосудов. Иммуногистохимическая реакция с антителами к специфическому белку эндотелиоцитов фактору фон Виллебранда (vWF) — один из наиболее информативных способов детекции сосудов. Применение данного метода при изучении раневого процесса позволяет уточнить гистотопографию и морфологию сосудов микроциркуляторного русла, участвующих в заживлении кожных ран.
Цель исследования — с помощью иммуногистохимической реакции с антителами к vWF выявить динамику количества и размеров сосудов кожи на разных этапах регенерационного гистогенеза после механической травмы.
Методы. Проведено экспериментальное одноцентровое сплошное контролируемое рандомизированное неослеплённое исследование. Объекты исследования — фрагменты кожи средней трети бедра крыс линии Wistar на разных сроках заживления после нанесения глубокой резаной раны. Животных разделили на 9 групп: контрольная группа (n = 3) — интактные особи; остальные группы соответствуют срокам выведения из эксперимента (по 3 особи в каждой группе) — спустя 12 ч, 24 ч, 2, 3, 6, 10, 15 и 25 суток после нанесения механической травмы. На каждом этапе из биоптатов кожи готовили гистологические препараты для иммуногистохимического исследования с применением антител к vWF и последующего морфометрического анализа полученных цифровых изображений.
Результаты. В дерме и гиподермисе кожи крыс были визуализированы кровеносные сосуды, которые разделили на 4 группы в зависимости от калибра (видимой площади сечения). Наиболее существенную динамику продемонстрировали сосуды малого калибра (площадь сечения ≤ 100 мкм2). На препаратах интактной кожи таких сосудов не обнаружено, а в экспериментальных группах со 2 по 10 сутки после травмы их количество увеличивается. На препаратах кожи спустя 15 и 25 суток после травмы наблюдается постепенное уменьшение количества сосудов с площадью сечения ≤ 100 мкм2. Схожая динамика выявлена и для сосудов среднего (площадь сечения 100–500 мкм2) и большого (500–1000 мкм2) калибра. Сосуды с площадью сечения ≥ 1000 мкм2 единичны и говорить о корреляции количества таких сосудов с фазой раневого процесса не представляется возможным.
Заключение. Иммуногистохимическая реакция с применением антител к vWF на срезах кожи крыс имеет хорошую воспроизводимость и позволяет получать препараты высокого качества. В экспериментальном раневом процессе метод показал высокую селективность выявления кровеносных сосудов. При проведении морфометрического анализа гистологических препаратов получены данные, подтверждающие взаимосвязь между количеством сосудов и последовательными фазами раневого процесса.
Ключевые слова
Полный текст
ОБОСНОВАНИЕ
Регенерационный гистогенез является частью репаративной регенерации тканей. При заживлении травм различной этиологии этот процесс протекает сходным образом и подчиняется общеизвестным закономерностям. Наиболее важные гистологические процессы регенерации разворачиваются в гистотопографических зонах, выделенных гистологами Военно-медицинской академии им. С.М. Кирова: раневой канал, область первичного травматического некроза, перинекротическая область [1]. В данном гистологическом исследовании проанализированы именно эти участки биоптатов кожи. Важным фактором, определяющим ход событий после механической травмы, является реакция сосудов микроциркуляторного русла [2]. Достаточная васкуляризация критически важна для пополнения резерва малодифференцированных клеток и формирования оптимального количества межклеточного вещества соединительных тканей. Известно, что благоприятный исход заживления кожных ран сопряжён с формированием на месте дефекта грануляционной ткани — особого типа ткани, созревание которой невозможно без участия гемокапилляров [3]. В научных исследованиях идентифицировать кровеносные сосуды можно с применением разнообразных гистологических методов. Наиболее широко используется обзорная окраска тканей гематоксилином и эозином [4, 5]. Однако, такой метод недостаточно селективен для достоверного изучения морфометрических показателей сосудов на препаратах. Кроме того, после окрашивания гематоксилином и эозином затруднено использование автоматизированных систем анализа изображений (например, ImageJ) из-за недостаточной специфичности окраски сосудов [6]. Ряд авторов [7–9] описывает хорошую визуализацию эндотелиоцитов на гистологических препаратах при иммуногистохимическом (ИГХ) окрашивании с использованием антител к фактору фон Виллебранда (vWF). Исходя из этого, в данном экспериментальном исследовании мы использовали методику ИГХ, чтобы проследить динамику количества сосудов, участвующих в регенерационном гистогенезе, и особенности их морфологии.
Фактор фон Виллебранда — это большой мультимерный гликопротеин плазмы крови и субэндотелиального матрикса, который также содержится в тельцах Вейбеля–Паладе в эндотелиальных клетках и в α-гранулах тромбоцитов [10]. Было показано, что vWF играет определённую роль в возникновении воспалительных реакций. Так, мультимеры vWF и тромбоциты, прикреплённые к повреждённому эндотелию, способствуют активному притоку лейкоцитов, что создаёт условия для распространения воспаления [11]. По имеющимся в литературе данным, выработка vWF эндотелиоцитами происходит тремя способами: в результате конститутивного и регулируемого экзоцитоза телец Вейбеля–Паладе, а также путём экзоцитоза с участием аутофагосом [12, 13]. Экзоцитоз vWF активируется при различных условиях, включая воспаление, повреждение сосудов, гипоксию и ещё ряд патологических факторов. Эндотелиальные клетки являются главным источником циркулирующего в крови vWF. Данные о роли фактора фон Виллебранда в ангиогенезе противоречивы. Некоторые авторы отмечают, что его отсутствие способствует ангиогенным процессам, что проявляется значимым повышением уровня пролиферации эндотелиальных клеток in vitro [14]. Кроме того, экспериментальные данные указывают на фактор фон Виллебранда как на ингибитор ангиогенеза, зависимого от сосудистого эндотелиального фактора роста (Vascular Endothelial Growth Factor — VEGF). Полагают, что vWF, депонированный в эндотелии, ограничивает пролиферацию эндотелиальных клеток, индуцированную фактором роста VEGF. Тем не менее, в отношении других типов тканевых клеток был отмечен противоположный эффект. При повреждении стенки крупного сосуда vWF может проникать в интиму и вступать в контакт с гладкомышечными клетками. Депонирование фактора фон Виллебранда в интиме сопровождается её утолщением, что указывает на то, что vWF способствует пролиферации клеток. Исследования in vitro показали, что vWF напрямую стимулирует пролиферацию гладкомышечных клеток [12]. Тем не менее, при всей неоднозначности функций мультимеров vWF, иммуногистохимическая реакция с использованием антител против этого белка позволяет точно маркировать эндотелий кровеносных сосудов, тогда как лимфатические сосуды не окрашиваются. В связи с этим, ИГХ метод может быть крайне полезным в комплексных исследованиях, поскольку он позволяет получить достоверные данные о количестве и калибре кровеносных сосудов на разных стадиях регенерационного гистогенеза, а также установить корреляции между этими показателями и фазой регенерации.
Цель исследования — с помощью иммуногистохимической реакции с антителами к фактору фон Виллебранда выявить динамику количества и размеров сосудов кожи на разных этапах регенерационного гистогенеза после механической травмы.
МАТЕРИАЛЫ И МЕТОДЫ
Дизайн исследования
Проведено одноцентровое сплошное контролируемое рандомизированное неослеплённое исследование. Объекты исследования — фрагменты кожи средней трети бедра крыс линии Wistar на разных сроках заживления после нанесения глубокой резаной раны. Биоптаты использовали для приготовления парафиновых срезов и постановки иммуногистохимической реакции с антителами к фактору фон Виллебранда. Изображения препаратов оцифровывали для дальнейшего анализа динамики общего числа видимых на срезе сосудов и их морфометрических характеристик — оценки локализации и площади сечения каждого сосуда.
Критерии соответствия
В исследование было включено 27 крыс в возрасте 1,0–1,5 месяца, исходной массой 180–200 г.
Условия проведения
Экспериментальная часть работы выполнена в условиях сертифицированного вивария Государственного научно-исследовательского испытательного института военной медицины Министерства обороны РФ (Соглашение о научном сотрудничестве № 15 между Военно-медицинской академией имени С.М. Кирова и ГНИИИ ВМ МО РФ от 13.09.2023 г.). Морфометрическая и статистическая обработка выполнена на кафедре гистологии с курсом эмбриологии ФГБОУ ВО «Военно-медицинская академия имени С.М. Кирова» МО РФ.
Продолжительность исследования
Иссекали лоскуты кожи в области ранения с прилежащими визуально нормальными тканями спустя 12 ч, 24 ч, 2, 3, 6, 10, 15 и 25 суток после повреждения. Выведение животных из эксперимента проводили путём передозировки смеси тилетамина и золазепама (препарат Золетил 50® (10 мг/кг; Virbac, Франция)) в комбинации с ксилазином (10 мг/кг; Pharmamagist Ltd., Венгрия) при внутримышечном введении.
Описание медицинского вмешательства
После разделения крыс на группы их содержали в отдельных промаркированных клетках, одна клетка на каждый срок взятия экспериментального материала. Манипуляции с животными проводили в утренние часы. Каждой особи внутримышечно вводили смесь Золетила® и ксилазина в дозе 10 мг/кг каждого препарата. С помощью острого скальпеля наносили повреждение в виде глубокого поперечного разреза кожи средней части бедра. Протяжённость разреза в длину варьировала от 1,5 до 2,0 см. Поскольку целью было моделирование контаминированной раны, первичную хирургическую обработку раны не проводили и повязку не накладывали. После нанесения повреждения животных помещали в соответствующую клетку до достижения определённого срока регенерации.
Взятие экспериментального материала — иссечение лоскута кожи в месте ранения с прилежащими нормальными тканями проводили через 12 ч, 24 ч, 2, 3, 6, 10, 15 и 25 суток после повреждения. В качестве интактного контроля использовали кожу неповреждённых конечностей крыс.
Основной исход исследования
В рамках представленной работы ИГХ окрашивание срезов позволило идентифицировать эндотелий кровеносных сосудов, что дало возможность применить автоматизированный метод (программа Zen 2.3; Zeiss, Германия) для подсчёта кровеносных сосудов и определения их морфометрических показателей (площадь сечения и локализация) в рамках исследования фаз раневого процесса.
Анализ в группах
Всех крыс разделили на следующие группы: контрольная группа (n = 3) — интактные особи (выводили из эксперимента в его начале); остальные группы формировали в соответствии с временными точками выведения животных из эксперимента — спустя 12 ч, 24 ч, 2, 3, 6, 10, 15 и 25 суток после нанесения механической травмы (n = 3 для каждой группы).
Методы регистрации исходов
Иммуногистохимическое исследование. Для выявления экспрессии vWF иммуногистохимические реакции проводили с применением соответствующих специфических поликлональных антител (Agilent, США, каталожный номер A008202) в разведении 1:400. Образцы кожи фиксировали в забуференном 10% растворе формалина в течение суток, после чего перекладывали в 96% этиловый спирт. После прохождения всех этапов проводки материал заливали в парафиновые блоки в специальных пластиковых кассетах. Парафиновые срезы толщиной 5 мкм изготавливали на ручном санном микротоме Sakura (Япония) и помещали на предметные стёкла с полилизиновым покрытием. Далее стёкла со срезами просушивали в термостате в течение 12 часов при температуре 37°C. Препараты депарафинизировали в двух сменах ксилола (по 10 мин каждая), регидратировали в спиртах нисходящей концентрации (две смены 96% этанола по 5 мин каждая, одна смена 80% этанола — 5 мин) и промывали в дистиллированной воде (5 мин). Препараты помещали в цитратный буфер S 1700 (Dako, Дания), предварительно нагретый в термостате до 60°С. Тепловое демаскирование антигена проводили в пароварке в течение 20–25 минут. Промывали срезы в дистиллированной воде (5 мин) и помещали в 3% раствор пероксида водорода (Н2О2) на 10 мин. Далее, после промывки, препараты перекладывали в 0,01М раствор фосфатно-солевого буфера (PBS, pH 7,4; Биолот, Россия) на 5 минут. Для блокировки неспецифического связывания антител использовали блокировочный раствор (Protein Block DP-125, Spring Bioscience, США), 10 мин при комнатной температуре. После удаления блокировочного раствора наносили раствор первичных антител к vWF. Препараты помещали во влажную камеру и инкубировали 24 ч при температуре 27°С. После инкубации с первичными антителами стёкла промывали в двух сменах PBS и наносили анти-кроличьи вторичные реагенты (Reveal Polyvalent HRP DAB Detection System; Spring Bioscience, США), конъюгированные с полимером для связывания с соответствующими первичными антителами и с пероксидазой хрена для детекции. Инкубацию проводили во влажной камере в термостате при температуре 27°С в течение 30–40 минут. После промывки в PBS на срезы наносили рабочий раствор хромогенного субстрата 3,3’-диаминобензидин тетрагидрохлорида (Dako, Дания). Образование окрашенного продукта реакции происходило в течение 1–3 мин. После достижения оптимальной окраски срезов, контроль которой осуществляли под микроскопом, препараты промывали в 3% растворе пероксида водорода (3 смены по 5 мин). На финальном этапе срезы промывали в дистиллированной воде, обезвоживали в изопропиловом спирте и смеси изопропилового спирта с ксилолом (1:1), просветляли в ксилоле и заключали в перманентную среду Cytoseal 60 (Thermo Scientific, США). Для визуализации результатов ИГХ реакции применяли световой микроскоп Zeiss Axio Scope.A1 со встроенной фотокамерой Zeiss Axiocam ERc 5s (Zeiss, Германия).
Морфометрическое исследование. Для морфометрического анализа оцифрованных изображений со светового микроскопа Zeiss Axio Scope.A1 со встроенной фотокамерой Zeiss Axiocam ERc 5s использовали лицензионное программное обеспечение Zen 2.3. Меченые эндотелиоциты визуализировали в области раневого канала, первичного некроза и в перинекротической зоне — по 10 полей зрения на каждую из областей. В автоматизированном режиме при помощи опции «точки» подсчитывали количество сосудов, образованных мечеными клетками. Далее, при помощи встроенной опции «сплайн» вычисляли площадь каждого обнаруженного сосуда. Числовые данные заносили в таблицы Excel для формирования графиков.
Статистический анализ
Принципы расчёта размера выборки: размер выборки предварительно не рассчитывался.
Методы статистического анализа данных. Количественные данные в тексте статьи приведены в виде арифметического среднего и стандартного отклонения (M ± SD). Оценку статистической значимости различий количественных признаков между экспериментальными группами не проводили.
РЕЗУЛЬТАТЫ
Объекты исследования
Фрагменты кожи средней трети поверхности бедра крыс линии Wistar после нанесения глубокой резаной раны. Биоптаты размером 1,5–2,0 см включали раневой канал и окружающие его визуально нормальные ткани.
Основные результаты исследования
Благодаря высокой селективности выбранного метода маркирования кровеносных сосудов и применению автоматизированной системы подсчёта и морфометрии цифровых изображений удалось классифицировать обнаруженные структуры на 4 группы, исходя из средней площади видимого просвета (Sср): 0–100 мкм2 — малые; 101–500 мкм2 — средние; 501–1000 мкм2 — крупные; < 1000 мкм2 — очень крупные. Мы не ставили перед собой задачу выяснить принадлежность каждого сосуда к артериальному или венозному руслу и при характеристике фаз раневого процесса учитывали лишь их количество, калибр, а также расположение относительно слоёв кожи.
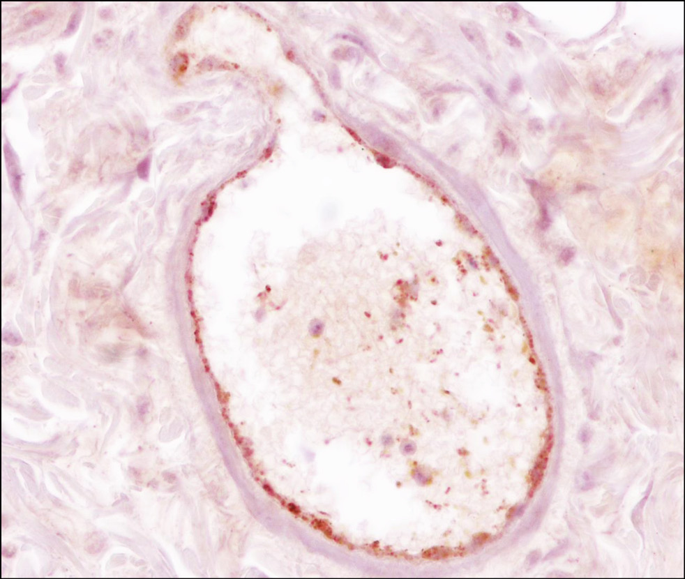
При исследовании препаратов интактной кожи было выявлено всего 3 кровеносных сосуда в составе гиподермиса: 2 крупных (Sср = 604,16 ± 0,61 мкм2) и 1 очень крупный (Sср = 2578 мкм2; рис. 1).
Рис. 1. Интактная кожа бедра крысы — крупный сосуд в составе дермы; иммуногистохимическое окрашивание с антителами к фактору фон Виллебранда; объектив ×40, окуляр ×10.
Fig. 1. Intact skin of the rat thigh. A large blood vessel in the dermis. Immunohistochemical staining with anti–von Willebrand factor antibodies; objective ×40, eyepiece ×10.
Обращает на себя внимание тот факт, что сосуды малого калибра в интактной коже ни в одно поле зрения не попали. Однако на препаратах травмированной кожи уже в фазу некроза, что соответствует сроку 12–24 часа, обнаружено 7 сосудов малого калибра в составе сетчатого слоя дермы: 4 сосуда на сроке 12 ч эксперимента и 3 — на сроке 24 часа (рис. 2).
Рис. 2. Кожа бедра крысы спустя 2-е суток после нанесения механической травмы — мелкие сосуды в составе дермы в перинекротической зоне; иммуногистохимическое окрашивание антителами к фактору фон Виллебранда; объектив ×63, окуляр ×10.
Fig. 2. Skin of the rat thigh on day 2 after mechanical injury. Small blood vessels in the dermis within the perinecrotic area. Immunohistochemical staining with anti–von Willebrand factor antibodies; objective ×63, eyepiece ×10.
На более поздних сроках, соответствующих фазе воспаления (начиная с 3 суток эксперимента), наблюдается положительная динамика количества сосудов малого калибра вплоть до 10 суток, когда происходит взрывной рост их количества. Если к 6 суткам мы видим небольшое увеличение числа мелких сосудов (11 сосудов) по сравнению с 3 сутками эксперимента (9 сосудов), то на препаратах 10 суток их насчитывается уже 37 (Sср = 35,28 ± 3,32 мкм2). Сосуды среднего калибра обнаруживаются на препаратах интактной кожи. Их количество последовательно прогрессирует на начальных фазах раневого процесса: 2 сосуда на препаратах спустя 24 ч после травмы (Sср = 244,54 ± 1,42 мкм2), 4 — к 6-м суткам (Sср = 209,00 ± 4,81 мкм2), 6 — к 10-м суткам (Sср = 190,86 ± 1,43 мкм2). Сосуды малого и среднего калибра мы наблюдали в основном в дерме кожи, тогда как наиболее крупные сосуды встречаются только в составе гиподермиса. Аналогично срезам интактной кожи, на которых был обнаружен 1 очень крупный сосуд, на препаратах после травмы найдены очень крупные сосуды с той же локализацией спустя 12 ч (Sср = 4296,04 мкм2) и 24 часа (Sср = 2986,45 мкм2). Однако на некоторых сроках, например, на 3 сутки, мы не выявили ни одного такого сосуда. В поле зрения также попадали единичные сосуды крупного калибра (Sср = 698,75 мкм2 на 6 сутки и 788,40 мкм2 на 10 сутки).
На основании гистологического исследования препаратов на 15 и 25 сутки эксперимента — срок, соответствующий фазе адаптации, можно констатировать, что в этот период происходит значительное снижение васкуляризации исследуемой области. В фазе адаптации мы видим единичный очень крупный сосуд (Sср = 1173,95 мкм2), отсутствие сосудов крупного и среднего калибра и, в отличие от предыдущих периодов, значительное снижение количества малых сосудов: на препаратах 15 суток насчитывается 21 сосуд (Sср = 79,62 ± 2,12 мкм2), на препаратах 25 суток — уже всего 7 (Sср = 54,47 ± 3,36 мкм2).
ОБСУЖДЕНИЕ
Резюме основного результата исследования
Регенерация соединительных тканей кожи протекает с участием кровеносных сосудов, о чём свидетельствуют различия в количестве и калибре сосудов кожи крыс между нулевой фазой регенерационного гистогенеза и последовательными фазами раневого процесса.
Особую роль в регенерации резаной раны играют, по всей вероятности, сосуды малого калибра (площадь сечения ≤ 100 мкм2). Количество таких сосудов неуклонно растёт до 10 суток эксперимента, что соответствует фазе пролиферации/дифференцировки. Именно количество сосудов малого калибра демонстрирует наиболее яркую динамику (рис. 3). На более поздних сроках (15 и 25 суток после травмы) их количество снижается. Наиболее крупные сосуды во всех исследованных временных точках обнаруживаются только в составе гиподермиса и в единичном количестве. Поэтому для уточнения их морфологических особенностей в раневом процессе требуются дальнейшие исследования.
Рис. 3. Динамика количества кровеносных сосудов в зависимости от фазы раневого процесса.
Fig. 3. Changes in blood vessel count across the phases of the wound healing process.
Обсуждение основного результата исследования
Раневой процесс представляет собой сложный комплекс ответных реакций организма на повреждение, характеризующийся фазностью течения. Принято выделять четыре фазы (некроз; воспаление; пролиферация и дифференцировка; адаптация), через которые проходят все раны, но степень выраженности этих фаз различается. Немаловажную роль в регенерационном гистогенезе играет реакция сосудов микроциркуляторного русла. Иммуногистохимический анализ кровеносных сосудов в разные фазы раневого процесса показал, что наиболее выраженные изменения затрагивают количество малых кровеносных сосудов, локализованных в большинстве своём на уровне сетчатого слоя дермы в перинекротической области резаной раны (рис. 4).
Рис. 4. График зависимости количества кровеносных сосудов различного калибра от срока после нанесения механической травмы кожи.
Fig. 4. Graph showing the number of blood vessels of different calibers in relation to the time elapsed after mechanical skin injury.
На препаратах кожи бедра крыс через 12 и 24 часа после механической травмы мы наблюдаем увеличение количества видимых сосудов, что согласуется с результатами экспериментальных работ прошлых лет. Было показано, что в первые часы после ранения повреждённые ткани частично «выключаются» из кровотока, а впоследствии этот эффект сменяется первыми признаками воспалительной реакции — артериальной и венозной гиперемией с увеличением объёма васкуляризации. При проведении ИГХ исследования мы наблюдали аналогичную картину: спустя 12 часов после травмы на препаратах обнаруживаются только единичные капилляры не всех обозначенных калибров, но уже к концу первых суток vWF-положительные клетки эндотелия визуализируются значительно чаще. Известно, что при раневом процессе гиперемия сопровождается повышением сосудистой проницаемости. Это способствует миграции в рану лейкоцитов, высвобождению гидролитических ферментов, разрушающих микроорганизмы и мертвые клетки, что обеспечивает очищение раны. Кроме того, усиливается секреция (фактора некроза опухоли и интерлейкинов), индуцирующих воспаление. Через 1–2 суток в рану мигрируют моноциты, трансформирующиеся в макрофаги, а к 3–4 суткам они становятся преобладающими клеточными элементами в области повреждения. Роль макрофагов заключается в фагоцитозе некротизированных клеток и инородных частиц, а также в выделении факторов гемостаза и факторов роста, активирующих различные регенеративные процессы, включая ангиогенез [15]. Результаты нашего исследования указывают на то, что третьи сутки раневого процесса можно назвать стартовой точкой устойчивого прогрессирующего роста количества мелких и средних кровеносных сосудов. В дальнейшем, в результате деятельности фибробластов, образуется грануляционная ткань, правильное развитие которой обеспечивает благоприятное течение процесса заживления. Однако для нормального функционирования фибробластов необходимы кислород, аминокислоты и микроэлементы [16]. Их поступление обеспечивает процесс неоангиогенеза из интактных сосудов, расположенных в перинекротической области [2]. Если ангиогенез происходит недостаточно активно, то миграция фибробластов замедляется, вплоть до полного её прекращения и остановки процесса заживления. В нашем исследовании внешняя картина заживления экспериментальных ран свидетельствует об активном образовании хорошо васкуляризированного регенерата, что подтверждается результатами ИГХ окрашивания.
Некоторые авторы наблюдали наибольший объём новообразованных сосудов к 10–14 суткам после ранения, что согласуется с нашими данными [17]. Этот период относится к фазе пролиферации и дифференцировки в рамках раневого процесса. В нашем исследовании все раны заживали первичным натяжением и после контрольной временной точки в 10 суток мы регистрировали постепенное снижение количества сосудов. Это внешне проявлялось в виде формирования тонких рубцов, которые постепенно изменяли свой цвет с красного, обусловленного большим количеством сосудов, на более светлый — розовый или почти белый.
Необходимо учитывать, что последовательная смена фаз раневого процесса всегда имеет индивидуальные особенности. Так, при высокой степени загрязнённости раны микроорганизмами и девитализированными тканями длительность воспалительной фазы может кратно увеличиваться. Мы исследовали контаминированные раны, поэтому течение их регенерации у разных особей имело разную степень вариабельности — удаление некротизированных тканей, формирование струпа, образование грануляционной ткани и соединительнотканного рубца происходило в разное время. Однако все процессы проходили согласно общим закономерностям регенерационного гистогенеза.
Ограничения исследования
Данные о корреляции между фазой раневого процесса и количеством кровеносных сосудов в регенерате, полученные в нашем исследовании, в целом согласуются со сведениями из литературных источников. Однако, мы полагаем, что использованная выборка могла быть недостаточной для достоверного исследования динамики наиболее крупных сосудов кожи. Кроме того, основываясь на данных литературы последних лет, можно заключить, что маркирование антителами к vWF позволяет селективно выявить именно кровеносные, но не лимфатические сосуды.
ЗАКЛЮЧЕНИЕ
В результате проведённого исследования можно утверждать, что для установления фазы раневого процесса и выявления динамики ангиогенеза в регенерате при экспериментальном исследовании резаных кожных ран оптимальным является применение иммуногистохимического метода окрашивания с использованием антител к фактору фон Виллебранда. Этот метод позволяет получать гистологические препараты высокого качества и использовать их для дальнейшего морфометрического анализа кровеносных сосудов.
ДОПОЛНИТЕЛЬНАЯ ИНФОРМАЦИЯ
Вклад авторов. Т.И. Березовская — концепция и дизайн исследования, написание и редактирование текста статьи, подготовка статьи к публикации, подбор иллюстративного материала; Г.В. Коняев — поисково-аналитическая работа, написание текста статьи, подготовка статьи к публикации и её редактирование. Все авторы одобрили рукопись (версию для публикации), а также согласились нести ответственность за все аспекты работы, гарантируя надлежащее рассмотрение и решение вопросов, связанных с точностью и добросовестностью любой её части.
Этическая экспертиза. Условия содержания и кормления экспериментальных животных соответствовали принципам биоэтики и «Правилам проведения работ с использованием экспериментальных животных» (Хельсинкская декларация, 2000 г.), а также закону «О защите животных от жестокого обращения» (глава V, ст. 104679-ГД от 01.12.1999 г.); приказу МЗ РФ № 267 от 19.06.2003 г., приказу МЗ РФ от 01.04.2016 г. № 199н «Об утверждении правил надлежащей лабораторной практики». Протокол проведения исследований был одобрен комиссией независимого локального этического комитета ФГБОУ ВО «Военно-медицинская академия имени С.М. Кирова» МО РФ. Выписка из протокола заседания Локального этического комитета от 17.10.2023 г. (протокол № 283).
Источники финансирования. Авторы заявляют об отсутствии внешнего финансирования при проведении исследования.
Раскрытие интересов. Авторы заявляют об отсутствии отношений, деятельности и интересов за последние три года, связанных с третьими лицами (коммерческими и некоммерческими), интересы которых могут быть затронуты содержанием статьи.
Об авторах
Татьяна Ионовна Березовская
Военно-медицинская академия им. С.М. Кирова
														Email: lapi2@yandex.ru
				                	ORCID iD: 0009-0009-1591-9152
				                	SPIN-код: 2508-7042
																		                												                	Россия, 							Санкт-Петербург						
Григорий Витальевич Коняев
Военно-медицинская академия им. С.М. Кирова
							Автор, ответственный за переписку.
							Email: Grisha061000@gmail.com
				                	ORCID iD: 0009-0009-9584-5973
				                																			                												                	Россия, 							Санкт-Петербург						
Список литературы
- Danilov RK. The wound process: histogenetic basis. Saint-Petersburg: VMedA im. S.M. Kirova; 2008. (In Russ.) EDN: QLRHVH
 - Veith AP, Henderson К, Spencer А, et al. Therapeutic strategies for enhancing angiogenesis in wound healing. Adv Drug Deliv Rev. 2019;146:97–125. doi: 10.1016/j.addr.2018.09.010
 - Kimmel HM, Grant A, Ditata J. The presence of oxygen in wound healing. Wounds. 2016; 28(8):264–270.
 - Gujam FJA, Going JJ, Edwards J, et al. The role of lymphatic and blood vessel invasion in predicting survival and methods of detection in patients with primary operable breast cancer. Crit Rev Oncol Hematol. 2014;89(2):231–241. doi: 10.1016/j.critrevonc.2013.08.014
 - Yang X, Sun HJ, Li ZR, et al. Gastric cancer-associated enhancement of von Willebrand factor is regulated by vascular endothelial growth factor and related to disease severity. BMC Cancer. 2015;15:80. doi: 10.1186/s12885-015-1083-6
 - Gusel’nikova VV, Yakovlev VS, Syrtsova MA, Korzhevskii DE. Double immunofluorescence staining for blood vessel study. Journal of Anatomy and Histopathology. 2020;9(2):100–105. (In Russ.) doi: 10.18499/2225-7357-2020-9-2-100-105 EDN: PQBZVG
 - Wagner DD, Marder VJ. Biosynthesis of von Willebrand protein by human endothelial cells: processing steps and their intracellular localization. J Cell Biol. 1984;99(6):2123–2130. doi: 10.1083/jcb.99.6.2123
 - Todorov SS, Deribas VY, Kazmin AS, Todorov (ML) SS. Immunohistochemical assessment of von Willebrand factor and CD31 in the intima of the coronary arteries in the early terms after stenting. Modern Problems of science and education. 2024;1:23. (In Russ.) doi: 10.17513/spno.33277 EDN: MEMOJN
 - Korzhevskii DE, Kirik OV, Sukhorukova EG, et al. Von Willebrand factor of endotheliocytes of blood vessels and its use in the course of immunomorphologycal researches. Medical academic journal. 2017;17(1):34–40. (In Russ.) doi: 10.17816/MAJ17134-40 EDN: ZHZLOH
 - Lenting PJ, Christophe OD, Denis CV. von Willebrand factor biosynthesis, secretion, and clearance: connecting the far ends. Blood. 2015;125(13):2019–2028. doi: 10.1182/blood-2014-06-528406
 - Avtaeva YuN, Melnikov IS, Vasiliev S, Gabbasov ZA. The role of von Willebrand factor in hemostasis pathology. Atherothrombosis (Aterotromboz). 2022;12(2):79–102. (In Russ.) doi: 10.21518/2307-1109-2022-12-2-79-102 EDN: BISWLG
 - Chernova EV. Von Willebrand factor. HERALD of North-Western State Medical University named after I.I. Mechnikov. 2018;10(4):73–80. (In Russ.) doi: 10.17816/mechnikov201810473-80 EDN: VUFNYQ
 - Avdonin PP, Tsvetaeva NV, Goncharov NV, et al. Von Willebrand factor in health and disease. Biologicheskie Membrany. 2021;38(4):237–256. (In Russ.) doi: 10.31857/S0233475521040034 EDN: DLYUAN
 - Starke RD, Ferraro F, Paschalaki KE, et al. Endothelial von Willebrand factor regulates angiogenesis. Blood. 2011;117(3):1071–1080. doi: 10.1182/blood-2010-01-264507
 - Wilkinson HN, Hardman MJ. Wound healing: cellular mechanisms and pathological outcomes. Open Biol. 2020;10(9):200223. doi: 10.1098/rsob.200223
 - Tamrazova OB. Reparative therapy of “small” wounds from the position of dermatologist and cosmetologist. Allergology and Immunology in Paediatrics. 2019;2(57):4–12. (In Russ.) EDN: ZXNBUT
 - Kuriin AA, Gaivoronsky IV, Skryabin ON, et al. Hemostatic effect of vagotomy in acute gastroduodenal massive bleeding. Bulletin of Surgery.1992;148(6):278-284. (In Russ.) EDN: NRTXCZ
 
Дополнительные файлы
				
			
						
					
						
						
						
									





