Sex differences in systemic inflammatory response in hypoxia-resistant Wistar rats
- Authors: Kosyreva A.M.1, Dzhalilova J.S.1, Tsvetkov I.S.1, Makarova O.V.1
-
Affiliations:
- Petrovsky National Research Centre of Surgery
- Issue: Vol 162, No 3 (2024)
- Pages: 316-328
- Section: Original Study Articles
- URL: https://journals.rcsi.science/1026-3543/article/view/288830
- DOI: https://doi.org/10.17816/morph.634601
- ID: 288830
Cite item
Abstract
BACKGROUND: Individual differences in hypoxia tolerance and hypoxia-inducible factor 1 alpha (HIF-1α) expression were identified in humans and laboratory animals. This was the basis for identifying groups of animals with low and high hypoxia tolerance. Animals with low hypoxia tolerance are known to have a more severe course of systemic inflammatory response (SIR). Sex differences in the severity of SIR in low hypoxia-tolerant animals have not been studied.
AIM: The aim was to evaluate sex differences in the severity of lipopolysaccharide (LPS)-induced SIR in Wistar rats with low hypoxia tolerance.
MATERIALS AND METHODS: Low hypoxia-tolerant animals were determined by their survival time in a hypobaric chamber under conditions equivalent to 11,500 m altitude (less than 60 s). The SIR was modeled by intraperitoneal administration of LPS at 1.5 mg/kg. Morphological changes in the lungs, liver, and thymus, as well as serum levels of endotoxin, corticosterone, HIF-1α, and TGF-β, were evaluated in males and females after 24 hours.
RESULTS: In control groups of low hypoxia tolerant rats, higher serum levels of HIF-1α, corticosterone and endotoxin were found in females compared to males. Compared to females, males usually have a higher thymic cortical volume fraction and lower subcapsular thickness. When LPS was administered to low hypoxia-tolerant females and males, sex differences in the severity of SIR were revealed. For example, in females, 24 hours after LPS administration, the neutrophil count in pulmonary interalveolar septa was higher, and random thymic involution with subcapsular zone narrowing developed without changing cortical volume fraction. Males demonstrated large abnormal lesions in the liver and more significant manifestations of accidental involution with a decrease in thymic cortical volume fraction. Serum corticosterone levels increased in females with SIR, and HIF-1α and endotoxin levels increased and TGF-β levels decreased in males.
CONCLUSION: LPS-induced SIR and immune responses in low hypoxia-tolerant Wistar rats depend on sex.
Full Text
ОБОСНОВАНИЕ
В развитии системного воспалительного ответа (СВО) важную роль играет гипоксия, возникающая в результате микроциркуляторных нарушений и повышенного потребления кислорода иммунными клетками [1]. В клетках эукариот ключевым компонентом, ответственным за регуляцию молекулярного ответа на гипоксию, является транскрипционный фактор HIF-1 [2]. HIF-1 — гетеродимерный комплекс, состоящий из двух субъединиц: HIF-1α и HIF-1β. При достаточном содержании кислорода субъединица HIF-1α под воздействием пролилгидроксилаз разрушается в протеасоме, а субъединица HIF-1β конститутивно присутствует в клетке. В условиях гипоксии HIF-1α накапливается в цитоплазме клетки, транслоцируется в ядро, образуя комплекс с HIF-1β, и присоединяется к отвечающим на гипоксию элементам (Hypoxia Response Elements, HREs) на промоторах кислород-зависимых генов, индуцируя их экспрессию [2].
Известно, что гипоксия и иммунные реакции тесно взаимосвязаны между собой на молекулярном, клеточном и организменном уровнях [3], а выраженность гипоксических повреждений тканей и органов во многом определяется индивидуальной устойчивостью организма к гипоксии. Организмы с разной устойчивостью к гипоксии имеют различные адаптационные возможности и предрасположенность к развитию воспалительных заболеваний, различаясь по многим параметрам, в том числе по содержанию HIF-1α и тяжести течения СВО [4, 5]. Нами показано, что для самцов крыс линии Wistar с низкой устойчивостью к гипоксии характерно более тяжёлое течение СВО, индуцированного липополисахаридом (ЛПС), по сравнению с высокоустойчивыми особями [5]. В частности, это обусловлено более выраженным повышением уровня экспрессии HIF-1α в клетках печени, что может определять индивидуальные особенности течения воспалительных заболеваний, так как HIF-1 тесно связан с белками семейства ядерного фактора NF-κB. Белки данного семейства — транскрипционные факторы, являющиеся ключевыми медиаторами воспалительного ответа и контролирующие экспрессию различных цитокинов, хемокинов, белков острой фазы воспаления, молекул адгезии. Белки NF-κB находятся в цитоплазме в неактивной форме, образуя комплексы с ингибирующими их белками семейства IB [6]. В ответ на различные стимулы, в том числе гипоксию, IκB-киназа (IKK) фосфорилирует белок IB, вызывая его разрушение в протеасоме, что способствует освобождению (активации) NF-κB [7].
В немногочисленных исследованиях показано, что помимо индивидуальных различий в устойчивости к гипоксии существуют и половые различия. Установлено, что самки крыс отличаются от самцов большей устойчивостью к гипоксии. В частности, после эпизода гипоксии самки быстрее восстанавливают дыхание, чем самцы [8]. Обнаружены половые различия в регуляции дыхания и частоте развития респираторных инфекций у человека. Повторные апноэ и гипопноэ в 3 раза чаще возникают у мужчин по сравнению с женщинами [9]. Установлено, что после остановки сердца одинаковой длительности постреанимационные сдвиги уровня экспрессии нейротрофического фактора мозга BDNF и гибель нейронов у самок выражены меньше, чем у самцов, что косвенно отражает более высокую устойчивость нервных клеток центральной нервной системы самок к гипоксии [10]. Исследование гипоксии проводят, как правило, на самцах, а при использовании самок не учитывают фазу эстрального цикла. Ранее нами показано, что высокоустойчивые и низкоустойчивые к гипоксии самки различаются по выраженности системной воспалительной реакции, индуцированной ЛПС: у последних развивается более тяжелый воспалительный ответ [11]. Он сопровождается выраженной апоптотической гибелью тимоцитов, а также увеличением числа Т-хелперов и регуляторных Т-лимфоцитов в периферической крови, что является неблагоприятным прогностическим фактором [11, 12]. Таким образом, низкая устойчивость к гипоксии крыс обоих полов связана с более выраженным течением СВО, индуцированного ЛПС. Однако известно, что по сравнению с мужчинами у женщин и самок лабораторных животных реже развиваются и легче протекают острые инфекционно-воспалительные заболевания [13–15], что может определяться более высокой устойчивостью самок к гипоксии.
Таким образом, известно существование половых различий в устойчивости к гипоксии и тяжести течения СВО, однако данные о половых различиях в течении СВО у низкоустойчивых к гипоксии животных в литературе не представлены. В связи с этим механизмы развития иммунного и воспалительного ответа у животных в зависимости от их устойчивости к гипоксии и пола требуют дальнейшего исследования.
ЦЕЛЬ
Выявить половые различия в тяжести течения СВО, вызванного введением ЛПС, у низкоустойчивых к гипоксии крыс линии Wistar.
МАТЕРИАЛЫ И МЕТОДЫ
Дизайн исследования
Проведено экспериментальное одноцентровое одномоментное выборочное контролируемое ослеплённое рандомизированное исследование.
Критерии соответствия
Исследование выполнено на 60 половозрелых самцах и самках крыс линии Wistar в возрасте 10–12 нед. с массой тела 220–240 г.
Условия проведения
Исследование проведено на базе Научно-исследовательского института морфологии человека имени акад. А.П. Авцына Федерального государственного бюджетного научного учреждения «Российский научный центр хирургии имени акад. Б.В. Петровского».
Продолжительность исследования
Исследование проведено в течение 31 суток.
Описание вмешательства
С целью определения устойчивости крыс к гипоксии их помещали в вентилируемую барокамеру при условиях, соответствующих подъёму на высоту 11 500 м [4, 5]. Температура в помещении, где проводили тестирование, составляла 20–22 °С. Устойчивость к гипоксии определяли по времени «жизни» животного в барокамере, соответствующему временному интервалу от момента «подъёма на высоту» до принятия животным бокового положения и появления признаков асфиксии [4, 5]. Устойчивость к гипоксии самок крыс определяли в фазе диэструса, когда концентрация эстрогенов относительно низкая [14]. Фазу эстрального цикла у самок определяли по соотношению различных клеточных элементов во влагалищных мазках. Через 30 сут после определения устойчивости к гипоксии низкоустойчивым к гипоксии самцам и самкам в фазе диэструса внутрибрюшинно ввели ЛПС из Escherichia coli серотипа O26:B6 (Sigma-Aldrich, США) в дозе 1,5 мг/кг, которая вызывает развитие СВО и патологических изменений в органах–мишенях — печени и лёгких. Контрольным самцам и самкам внутрибрюшинно ввели физиологический раствор. Через 24 ч после введения ЛПС животных вывели из эксперимента путём внутримышечного введения Золетила® в дозе 15 мг/кг (Virbac Sante Animale, Франция).
Основной исход исследования
Конечная точка исследования — сравнить гистологические показатели лёгких, печени и тимуса, а также параметры крови у низкоустойчивых к гипоксии самцов и самок крыс при ЛПС-индуцированном СВО.
Анализ в группах
На основании установленного времени «жизни» в барокамере выделили группу крыс c низкой устойчивостью к гипоксии (время «жизни» менее 60 с), которых использовали в дальнейшем исследовании. Крыс со средней и высокой устойчивостью к гипоксии («время жизни», соответственно, 60–240 с и более 240 с) из дальнейшего исследования исключили. Для изучения половых различий течения СВО крыс с низкой устойчивостью к гипоксии разделили по половому признаку, затем крыс каждого пола случайным образом разделили на контрольную группу и группу введения ЛПС для моделирования СВО.
Методы регистрации исходов
Кровь получали из шейных вен путём рассечения их стенки и собирали в пробирки Vacuette с активатором свертывания (Greiner Bio-One, Австрия). Тимус, печень и лёгкие фиксировали в жидкости Буэна в течение 24 ч. Обезвоживание и проводку гистологического материала в спиртах возрастающих концентраций, ксилоле и парафине осуществляли в автоматизированной системе Tissue-Tek® VIP™ 5 Jr (Sakura, Япония), заливку блоков — в системе Tissue-Tek® TEС™ 5 (Sakura, Япония). Ступенчатые срезы толщиной 5 мкм изготовляли на ротационном микротоме Microm GmbH HM-340™ (Thermo Scientific, Германия). Препараты окрашивали гематоксилином и эозином по стандартному протоколу и заключали в синтетическую монтирующую среду (Biovitrum, Россия). Фотосъёмку гистологических препаратов проводили с помощью микроскопа AxioPlan 2 Imaging™ (Zeiss, Германия). Микрофотографии анализировали в программе Image Scope М™ (Leica Biosystems, США). При морфологическом исследовании лёгких в гистологических препаратах проводили подсчёт количества нейтрофилов в межальвеолярных перегородках в стандартном поле зрения (25 000 мкм2). Для полуколичественной оценки патологических изменений в печени проводили слепое исследование гистологических препаратов в 10 полях зрения при увеличении ×200, выраженность дистрофических изменений гепатоцитов определяли по 5-балльной шкале:
- 0 баллов — дистрофических изменений нет;
- 0,5 балла — дистрофические изменения менее 1/3 гепатоцитов;
- 1 балл — дистрофические изменения 1/3 гепатоцитов;
- 2 балла — дистрофические изменения 2/3 гепатоцитов;
- 3 балла — дистрофические изменения более 2/3 гепатоцитов;
- 4 балла — дистрофические изменения с очаговыми некрозами;
- 5 баллов — тотальные некротические изменения гепатоцитов.
Измерение площади некрозов в печени проводили на стандартизированной площади гистологического среза.
При морфометрическом исследовании препаратов тимуса оценивали объёмную долю функциональных зон методом точечного счёта с помощью сетки Автандилова при увеличении ×100. Ширину субкапсулярного слоя тимуса измеряли при увеличении ×400. В мозговом веществе долек тимуса проводили дифференцированный подсчёт числа тимусных телец разных фаз развития: фаза I — от трёх до пяти эпителиальных клеток; фаза II — более пяти эпителиальных клеток; фаза III — тимусные тельца с накоплением кератогиалина. Общее количество тимусных телец считали в 10 полях зрения при увеличении ×400.
Содержание в сыворотке крови белка HIF-1α, кортикостерона и противовоспалительного цитокина TGF-β определяли методом иммуноферментного анализа (ИФА). Для определения содержания HIF-1α в качестве первичных антител использовали поликлональные антитела против этого белка. Содержание кортикостерона определяли с помощью готового набора для ИФА Corticosterone ELISA (IBL International, Германия, кат. № RE52211). Для определения содержания цитокина TGF-β использовали готовый набор для ИФА Rat TGF beta-1 ELISA Kit (Thermo Fisher Scientific, США, кат. № BMS623/3). Уровень ЛПС в сыворотке крови определяли с помощью набора LAL Chromogenic Endpoint Assay (Hycult Biotech, США, кат. № HIT302).
Этическая экспертиза
Проведение исследования разрешено биоэтической комиссией Научно-исследовательского института морфологии человека имени акад. А.П. Авцына Федерального государственного бюджетного научного учреждения «Российский научный центр хирургии имени акад. Б.В. Петровского» (протокол № 36/12 от 28.03.2022 г.). При работе с экспериментальными животными руководствовались принципами Европейской конвенции о защите позвоночных животных, используемых для экспериментов (ETS № 123, Страсбург, 1986 г.) и директивами Европейского парламента и Совета Европейского Союза (2010/63/EU, Страсбург, 2010 г.).
Статистический анализ
Размер выборки предварительно не рассчитывали. Статистическую обработку полученных данных проводили в программе Statistica 8.0 (TIBCO Softwear, США). Данные выражали в виде Me [Q1; Q3], где Me — медиана, Q1 — первый квартиль, Q3 — третий квартиль. Характер распределения показателей определяли по критерию Колмогорова–Смирнова. Поскольку распределение данных не принадлежало к нормальному, показатели в группах сравнивали с использованием непараметрического критерия Краскела–Уоллиса в сочетании с апостериорным критерием Данна для множественного сравнения. Различия считали статистически значимыми при p <0,05.
РЕЗУЛЬТАТЫ
Объекты исследования
Половые различия СВО исследовали у крыс, которые по данным предварительного тестирования показали низкую устойчивость к гипоксии: 17 самцов и 12 самок в фазе диэструса. Контрольную группу (внутрибрюшинное введение физиологического раствора) составили 6 самцов и 4 самки, группу моделирования СВО (внутрибрюшинное введение ЛПС) — 11 самцов и 8 самок. В течение суток после введения ЛПС погибло 3 самца и 2 самки.
Основные результаты исследования
Морфологическое и морфометрическое исследование лёгких
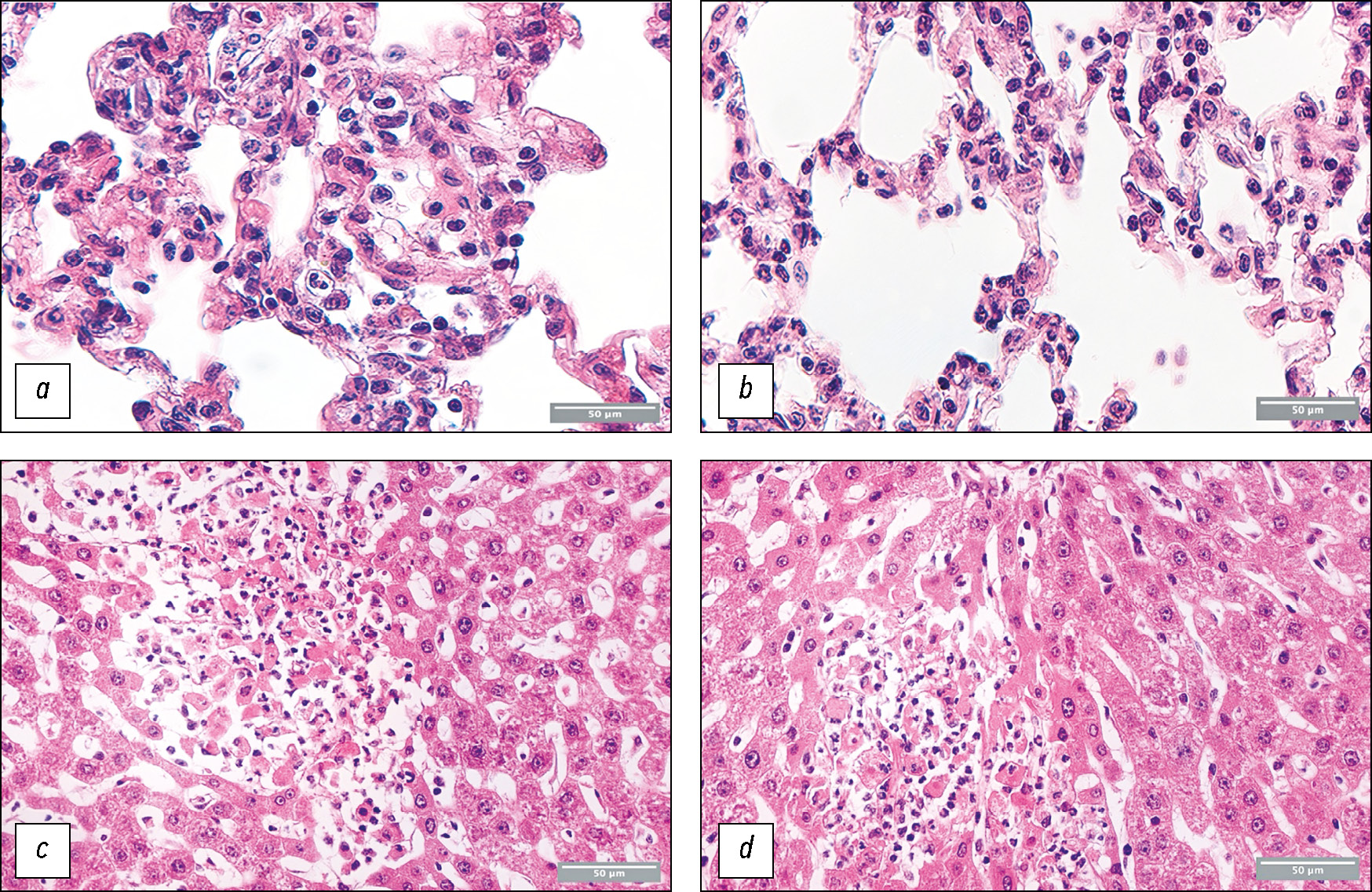
Через 24 ч после введения ЛПС в лёгких крыс обоих полов наблюдали инфильтрацию межальвеолярных перегородок нейтрофилами и полнокровие (рис. 1, a и b). Небольшой интраальвеолярный отёк отмечали у трёх (37,5%) самцов и четырёх (66,7%) самок, выраженный отёк — у двух (25%) самцов и одной (16,7%) самки. У остальных животных (37,5% самцов и 16,7% самок) отёк отсутствовал. Между контрольными группами самцов и самок различий в количестве нейтрофилов в межальвеолярных перегородках лёгких не выявили. Введение ЛПС вызвало статистически значимое увеличение количества нейтрофилов в межальвеолярных перегородках по сравнению с контролем как у самцов, так и у самок, однако у самок данный показатель статистически значимо превышал таковой у самцов (табл. 1).
Рис. 1. Морфологическая характеристика лёгких и печени самцов и самок крыс через 24 ч после введения липополисахарида. Окраска гематоксилином и эозином, ×400: a — единичные нейтрофилы в межальвеолярных перегородках лёгких у самок; b — большое количество нейтрофилов в межальвеолярных перегородках лёгких у самцов; c — очаги некроза, дистрофические изменения гепатоцитов, расширение синусоидных капилляров печени у самок; d — центрилобулярный некроз печени, дистрофические изменения гепатоцитов у самцов
Fig. 1. Morphological characterization of lungs and liver of male and female rats 24 h after lipopolysaccharide administration. Hematoxylin and eosin staining, ×400: a — single neutrophils in the interalveolar septa of females; b — a large number of neutrophils in the interalveolar septa of males; c — foci of necrosis, dystrophic changes of hepatocytes, dilation of liver sinusoidal capillaries in females d — centrilobular necrosis of the liver, dystrophic changes of hepatocytes in males
Таблица 1. Количество нейтрофилов в межальвеолярных перегородках лёгких и патологические изменения в печени у самцов и самок крыс Wistar с низкой устойчивостью к гипоксии в контроле и через 24 ч после введения липополисахарида
Table 1. Number of neutrophils in interalveolar septa of lungs and pathologic changes in liver in susceptible to hypoxia male and female Wistar rats of control group and 24 h after lipopolysaccharide injection
Показатель | Контроль | Липополисахарид | р | ||
Самцы (1) | Самки (2) | Самцы (3) | Самки (4) | ||
Количество нейтрофилов в межальвеолярных перегородках лёгких | 2,2 | 2,6 | 4,85 | 12,4 | р(1–2)=0,098 р(1–3)=0,002 р(2–4)=0,008 р(3–4)=0,012 |
Патологические изменения в печени, баллы | 0 | 0 | 4,5 | 2,5 | р(3–4)=0,040 |
Площадь некрозов печени, мкм2 | 0 | 0 | 32 690 | 31 538 | р(3–4)=0,550 |
Примечание. Данные представлены как Me [Q1; Q3], где Me — медиана, Q1 — первый квартиль, Q3 — третий квартиль.
Note. Data are presented as Me [Q1; Q3], where Me is the median, Q1 is the first quartile, and Q3 is the third quartile.
Морфологическое и морфометрическое исследование печени
Через 24 ч после введения ЛПС как у самцов, так и у самок выявили дистрофические изменения гепатоцитов, некрозы (рис. 1, c и d), полнокровие синусоидных капилляров, стазы, сладжи. По площади некрозов самцы и самки не различались (см. табл. 1), однако среди самцов наблюдали большее количество животных с некрозами печени (62,5%), чем среди самок (33,3%). По результатам полуколичественной оценки патологические изменения в печени были более выражены у самцов (см. табл. 1).
Иммуноферментный анализ
По данным ИФА самцы и самки контрольных групп статистически значимо различались по содержанию HIF-1α, кортикостерона и эндотоксина в сыворотке крови: у самок эти показатели были выше (табл. 2). Через 24 ч после введения ЛПС у самцов наблюдали увеличение содержания HIF-1α и эндотоксина, и снижение содержания противовоспалительного цитокина TGF-β в сыворотке крови, тогда как у самок концентрации HIF-1α, TGF-β и эндотоксина не изменялись. При этом у самок наблюдали увеличение концентрации кортикостерона, оказывающего иммуносупрессорное действие (см. табл. 2).
Таблица 2. Содержание HIF-1α, эндотоксина, кортикостерона и TGF-β в сыворотке крови у самцов и самок крыс Wistar с низкой устойчивостью к гипоксии в контроле и через 24 ч после введения липополисахарида
Table 2. HIF-1α, endotoxin, corticosterone and TGF-β concentration in serum of susceptible to hypoxia male and female Wistar rats in control group and 24 h after lipopolysaccharide injection
Показатель | Контроль | Липополисахарид | р | ||
Cамцы (1) | Cамки (2) | Cамцы (3) | Cамки (4) | ||
HIF-1α, нг/мл | 0,09 | 0,13 | 0,12 | 0,12 | р(1–2)=0,010 р(1–3)=0,040 р(2–4)=0,980 р(3–4)=0,800 |
Эндотоксин, мЕ/мл | 0,70 | 1,55 | 7,02 | 0,23 | р(1–2)=0,040 р(1–3)=0,004 р(2–4)=0,140 р(3–4)=0,010 |
Кортикостерон, нг/мл | 36,4 | 68,6 | 47,2 | 100,3 | р(1–2)=0,009 р(1–3)=0,250 р(2–4)=0,009 р(3–4)=0,049 |
TGF-β, мкг/мл | 87,121 | 80,492 | 41,015 | 62,500 | р(1–2)=0,090 р(1–3)=0,009 р(2–4)=0,100 р(3–4)=0,680 |
Примечание. Данные представлены как Me [Q1; Q3], где Me — медиана, Q1 — первый квартиль, Q3 — третий квартиль.
Note. Data are presented as Me [Q1; Q3], where Me is the median, Q1 is the first quartile, and Q3 is the third quartile.
Морфологическое и морфометрическое исследование тимуса
По сравнению с самцами у самок контрольной группы объёмная доля коркового вещества долек тимуса была меньше, а ширина субкапсулярной зоны — больше (рис. 2, a и b), что свидетельствует о более выраженных процессах пролиферации, дифференцировки и миграции тимоцитов у самок. В мозговом веществе долек тимуса у самок контрольной группы выявили большее количество тимусных телец II фазы развития, представляющих собой скопления более пяти ретикулярных эпителиальных клеток (табл. 3).
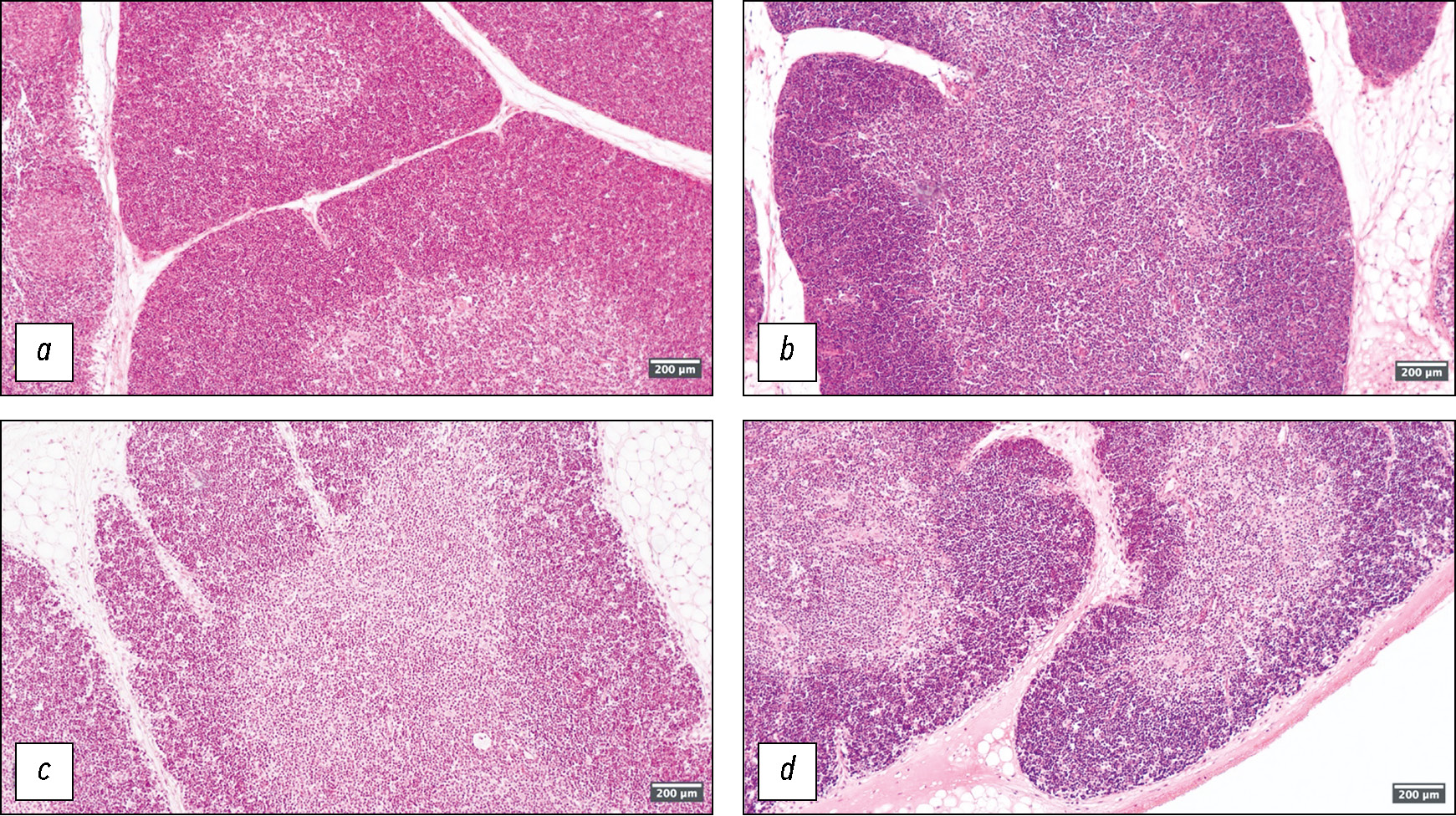
Рис. 2. Морфологическая характеристика тимуса самцов и самок крыс контрольной группы и через 24 ч после введения липополисахарида. Окраска гематоксилином и эозином, ×200: a, b — тимус самца и самки контрольной группы, соответственно (корковое вещество долек плотно заселено лимфоцитами, границы между корковым и мозговым веществом чёткие); c, d — тимус самца и самки через сутки после введения липополисахарида, соответственно (острая акцидентальная инволюция, корковое вещество опустошено, картина «звёздного неба», границы между корковым и мозговым веществом очагово нечёткие)
Fig. 2. Morphological characterization of thymus of male and female rats of control group and 24 h after lipopolysaccharide administration. Hematoxylin and eosin staining, ×200: a, b — thymus of males and females of the control group, respectively (the cortical substance is densely populated with lymphocytes, the boundaries between the cortical and cerebral substance are clear); c, d — thymus of males and females a day after lipopolysaccharide injection (acute accidental involution, cortical substance is devastated, cortex atrophy, borders between cortical and cerebral substance are focally indistinct)
Таблица 3. Морфометрическая характеристика тимуса у крыс Wistar с низкой устойчивостью к гипоксии в контрольной группе и через 24 ч после введения липополисахарида
Table 3. Morphometric characterization of thymus in susceptible to hypoxia Wistar rats in control group and 24 h after lipopolysaccharide injection
Показатель | Контроль | Липополисахарид | р | |||
Cамцы (1) | Cамки (2) | Cамцы (3) | Cамки (4) | |||
Корковое вещество, % | 66,3 | 55,4 | 54,8 | 57,1 | р(1–2)=0,006 р(1–3)=0,002 р(2–4)=0,900 р(3–4)=0,400 | |
Ширина субкапсулярнной зоны, мкм | 34,1 | 58,1 | 50,7 | 38,8 | р(1–2)=0,030 р(1–3)=0,070 р(2–4)=0,047 р(3–4)=0,040 | |
Общее количество тимусных телец (в поле зрения) | 0,80 | 1,40 | 1,10 | 1,90 | р(1–2)=0,600 р(1–3)=0,040 р(2–4)=0,030 р(3–4)=0,003 | |
Количество тимусных телец разных фаз развития (в поле зрения) | Фаза I (< 5 клеток) | 0,50 | 0,44 | 0,50 | 0,90 | р(1–2)=0,800 р(1–3)=0,900 р(2–4)=0,090 р(3–4)=0,020 |
Фаза II (5 и более клеток) | 0,10 | 0,44 | 0,40 | 0,80 | р(1–2)=0,020 р(1–3)=0,040 р(2–4)=0,030 р(3–4)=0,008 | |
Фаза III (с накоплением кератогиалина) | 0,17 | 0,40 | 0,25 | 0,13 | р(1–2)=0,500 р(1–3)=0,700 р(2–4)=0,300 р(3–4)=0,400 | |
Примечание. Данные представлены как Me [Q1; Q3], где Me — медиана, Q1 — первый квартиль, Q3 — третий квартиль.
Note. Data are presented as Me [Q1; Q3], where Me is the median, Q1 is the first quartile, and Q3 is the third quartile.
Через 24 ч после введения ЛПС в тимусе у самцов наблюдали снижение объёмной доли коркового вещества и увеличение в мозговом веществе количества тимусных телец II фазы развития, что свидетельствует о развитии острой акцидентальной инволюции (рис. 2, с). Тогда как у самок, напротив, острая акцидентальная инволюция характеризовалась только сужением субкапсулярной зоны, а объёмная доля коркового вещества не изменялась (рис. 2, d, см. табл. 3). Также как у самцов, у самок наблюдали увеличение числа тимусных телец II фазы развития (см. табл. 3).
Таким образом, выявлены половые различия в контрольной группе крыс с низкой устойчивостью к гипоксии: более высокое содержание HIF-1α, кортикостерона и эндотоксина в сыворотке крови у самок, а также меньшая объёмная доля коркового вещества и большая ширина субкапсулярной зоны тимуса у самок. После введения ЛПС между самцами и самками выявлены различия в тяжести течения СВО. Так, у самок через 24 ч после введения ЛПС наблюдали большее количество нейтрофилов в межальвеолярных перегородках лёгких, тогда как у самцов — более выраженные патологические изменения в печени. В сыворотке крови у самок с СВО выявили увеличение концентрации кортикостерона, тогда как у самцов — повышение содержания HIF-1α и эндотоксина на фоне снижения концентрации противовоспалительного цитокина TGF-β. Несмотря на то, что животные обоих полов характеризовались одинаково низкой устойчивостью к гипоксии, течение ЛПС-индуцированного СВО и развитие иммунных реакций различались в зависимости от пола.
ОБСУЖДЕНИЕ
Показанное нами более высокое содержание HIF-1α в сыворотке крови у низкоустойчивых к гипоксии самок по сравнению с самцами, вероятно, связано с различиями в концентрации половых гормонов, в частности, прогестерона. Так, в исследовании in vitro показано, что инкубация клеток эндометрия с прогестероном в высоких концентрациях, соответствующих таковым в сыворотке крови грызунов в фазу диэструса, активирует образование HIF-1α в этих клетках [16].
Развитие СВО у низкоустойчивых к воздействию гипоксии самок сопровождалось увеличением содержания кортикостерона в сыворотке крови, чего не наблюдали у самцов. Показано, что при введении ЛПС здоровым добровольцам обоих полов у женщин концентрация кортизола достигала бóльших значений, чем у мужчин [17]. Это согласуется с нашими результатами, однако в данной работе авторы не выделяли подгруппу людей с низкой устойчивостью к гипоксии. Известно, что глюкокортикоиды играют важную роль в развитии системного воспаления путём регуляции нейроэндокринной системы по принципу обратной связи. Так, гиперпродукция провоспалительных цитокинов воздействует на ось гипоталамус–гипофиз–надпочечники, что в конечном итоге приводит к выбросу в кровь кортикостерона клетками коры надпочечников [18]. Кортикостерон, в свою очередь, обладает мощной противовоспалительной активностью и приводит к снижению экспрессии провоспалительных медиаторов [19]. Высокая концентрация кортикостерона в сыворотке крови у самок через 24 ч после введения ЛПС, по-видимому, определяет менее выраженные повреждения в печени и отсутствие изменений в концентрации эндотоксина по сравнению с самцами.
В нашем исследовании через 24 ч после введения ЛПС концентрация TGF-β в сыворотке крови статистически значимо снижалась только у самцов крыс. TGF-β представляет собой плейотропный цитокин, который регулирует активацию, пролиферацию, дифференцировку, миграцию и апоптоз клеток, реализующих реакции адаптивного иммунитета, в частности Т-регуляторных лимфоцитов путём индукции транскрипционного фактора FoxP3, а также лимфоцитов Тх17 и Тх9, продуцирующих IL-17 и IL-9, соответственно [20]. Одна из функций TGF-β — активация гликолиза в макрофагах через сигнальный путь mTOR–cMYC, что приводит к поляризации макрофагов по противовоспалительному фенотипу М2 и снижению продукции провоспалительных цитокинов [21]. Таким образом, снижение TGF-β в сыворотке крови у самцов, вероятно, определяет более выраженные повреждения в печени по сравнению с самками.
Число нейтрофилов в межальвеолярных перегородках лёгких у самок с СВО статистически значимо превышало таковое у самцов. По данным литературы самки лабораторных животных по сравнению с самцами характеризуются бóльшим количеством резидентных лейкоцитов и толл-подобных рецепторов на их поверхности, за счёт чего у самок иммунный ответ реализуется более эффективно, а также более выражены процессы распознавания и элиминации патогенов [22]. Кроме того установлено, что иммунокомпетентные клетки, выделенные из брыжеечных лимфатических узлов самок, характеризуются более высокой экспрессией ряда хемокинов, чем соответствующие клетки самцов: CX3CL1 (хемокина для CX3CR1-положительных моноцитов, Т-лимфоцитов, дендритных и NК-клеток), CCL2/MCP-1 (хемокина для CCR2-положительных моноцитов), CXCL12/ SDF1α (хемокина для CXCR4-положительных лимфоцитов) и CCL5/RANTES (хемокина для лимфоцитов, дендритных и NК-клеток, экспрессирующих рецептор CCR1, CCR2 или CCR5) [22]. Помимо более высокой экспрессии хемокинов, на мембране лейкоцитов у самок обнаружено повышенное количество хемокиновых рецепторов, что и объясняет более активную миграцию нейтрофилов в межальвеолярные перегородки лёгких у самок.
У самцов в норме показатель объёмной доли коркового вещества долек тимуса превышал таковой у самок, а ширина субкапсулярной зоны была, наоборот, меньше, что соответствует нашим предыдущим исследованиям [23]. В субкапсулярной зоне тимуса располагаются эпителиальные клетки коркового вещества, которые создают микроокружение для тимоцитов, подвергающихся β-селекции с последующей дифференцировкой в CD4- и CD8-положительные клетки [24]. При введении ЛПС в тимусе крыс обоих полов развивалась акцидентальная инволюция, которая у самцов, в отличие от самок, сопровождалась снижением объёмной доли коркового вещества. Возможно, выявленные половые различия связаны с влиянием половых стероидных гормонов на функциональное состояние клеток иммунной системы, и оно более значимо, чем устойчивость к гипоксии.
По данным морфометрического исследования в тимусе крыс выявлены половые различия в количестве тимусных телец II фазы развития, состоящих из пяти и более эпителиальных клеток. Эпителиальные клетки тимусных телец синтезируют тимический стромальный лимфопоэтин. Этот цитокин стимулирует экспрессию дендритными клетками молекул CD80 и CD86, необходимых для инициации пролиферации и дифференцировки CD4+CD8−CD25− Т-клеток в CD4+CD25+FoxP3+ регуляторные Т-клетки, оказывающие иммуносупрессорное и противовоспалительное действие [24]. Вероятно, большее количество тимусных телец у низкоустойчивых к гипоксии самок по сравнению с самцами косвенно отражает более высокую функциональную активность эпителиальных клеток мозгового вещества тимуса у самок. После воздействия ЛПС как у самцов, так и у самок повышалось общее количество тимусных телец, и, в частности, телец II фазы развития. Однако у самок количество тимусных телец было выше, что, по-видимому, и определяет менее выраженные проявления СВО у них по сравнению с самцами.
ЗАКЛЮЧЕНИЕ
Таким образом, несмотря на то, что и самцы, и самки крыс Wistar с низкой устойчивостью к гипоксии характеризуются выраженным течением ЛПС-индуцированного СВО, в настоящем исследовании мы обнаружили половые различия ряда гистологических показателей и параметров крови как в условиях физиологической нормы, так и при развитии СВО. Выявлено, что в условиях физиологической нормы у самок по сравнению с самцами выше содержание HIF-1α, кортикостерона и эндотоксина в сыворотке крови, ниже объёмная доля коркового вещества тимуса, но шире его субкапсулярная зона. Через сутки после введения ЛПС выявлены половые различия в тяжести течения СВО: у самок — большее количество нейтрофилов в межальвеолярных перегородках лёгких и увеличение содержания кортикостерона в сыворотке крови, тогда как у самцов — более выраженные патологические изменения в печени, а также повышение содержания HIF- 1α и эндотоксина на фоне снижения содержания противовоспалительного цитокина TGF-β в сыворотке крови. Таким образом, несмотря на то, что животные с низкой устойчивостью к гипоксии обоих полов характеризуются выраженным течением ЛПС-индуцированного СВО, у самок этот процесс протекает менее тяжело, чем у самцов, что сопровождается менее выраженной акцидентальной инволюцией тимуса и большим увеличением числа тимусных телец, эпителиальные клетки которых участвуют в дифференцировке Т-регуляторных клеток. Полученные данные послужат основой для разработки новых подходов к персонализированной терапии инфекционно-воспалительных заболеваний у лиц разного пола.
ДОПОЛНИТЕЛЬНАЯ ИНФОРМАЦИЯ
Источник финансирования. Работа выполнена в рамках государственного задания «Клеточные и молекулярно-биологические механизмы воспаления в развитии социально-значимых болезней человека»; № госрегистрации 122030200530-6.
Конфликт интересов. Авторы декларируют отсутствие явных и потенциальных конфликтов интересов, связанных с публикацией настоящей статьи.
Вклад авторов. Все авторы подтверждают соответствие своего авторства международным критериям ICMJE (все авторы внесли существенный вклад в разработку концепции, проведение исследования и подготовку статьи, прочли и одобрили финальную версию перед публикацией). Наибольший вклад распределён следующим образом: А.М. Косырева — концепция и дизайн исследования, моделирование СВО, морфометрический и иммуноферментный анализ, статистический анализ данных, подготовка и написание текста статьи; Д.Ш. Джалилова — сбор и анализ литературных данных, редактирование текста статьи; И.С. Цветков — иммуноферментный анализ, получение изображений, статистический анализ данных, редактирование текста статьи; О.В. Макарова — концепция и дизайн исследования, получение изображений, описание гистологических препаратов, написание и редактирование текста статьи.
ADDITIONAL INFORMATION
Funding source. The work was carried out within the framework of the state assignment “Cellular and molecular biological mechanisms of inflammation in the development of socially significant human diseases”. State registration no. 122030200530-6.
Competing interests. The authors declare that they have no competing interests.
Authors’ contribution. All authors made a substantial contribution to the conception of the work, acquisition, analysis, interpretation of data for the work, drafting and revising the work, final approval of the version to be published and agree to be accountable for all aspects of the work. A.M. Kosyreva — study design, modeling of the SVR, morphometric and enzyme-linked immunosorbent assay, statistical data analysis, preparation and writing of the article; D.Sh. Dzhalilova — collection and analysis of literary sources, editing of the article; I.S. Tsvetkov — enzyme-linked immunosorbent assay, image acquisition, statistical data analysis, editing of the article; O.V. Makarova — study design, image acquisition, description of histological preparations, writing of the text and editing of the article.
About the authors
Anna M. Kosyreva
Petrovsky National Research Centre of Surgery
Author for correspondence.
Email: kosyreva.a@list.ru
ORCID iD: 0000-0002-6182-1799
SPIN-code: 5421-5520
Dr. Sci. (Biology)
Russian Federation, MoscowJulia Sh. Dzhalilova
Petrovsky National Research Centre of Surgery
Email: juliajal93@mail.ru
ORCID iD: 0000-0002-1337-7160
SPIN-code: 3660-5827
Cand. Sci. (Biology)
Russian Federation, MoscowIvan S. Tsvetkov
Petrovsky National Research Centre of Surgery
Email: davedm66@gmail.com
ORCID iD: 0000-0003-0946-1105
SPIN-code: 6842-0264
Cand. Sci. (Biology)
Russian Federation, MoscowOlga V. Makarova
Petrovsky National Research Centre of Surgery
Email: makarov.olga2013@yandex.ru
ORCID iD: 0000-0001-8581-107X
SPIN-code: 9014-3298
MD, Dr. Sci. (Medicine), Professor
Russian Federation, MoscowReferences
- Evans CE. Hypoxia and HIF activation as a possible link between sepsis and thrombosis. Thromb J. 2019;17:16. doi: 10.1186/s12959-019-0205-9
- Semenza GL. HIF-1 and mechanisms of hypoxia sensing. Curr Opin Cell Biol. 2001;13(2):167–171. doi: 10.1016/s0955-0674(00)00194-0
- Taylor CT, Scholz CC. The effect of HIF on metabolism and immunity. Nat Rev Nephrol. 2022;18(9):573–587. doi: 10.1038/s41581-022-00587-8
- Kirova YI, Germanova EL, Lukyanova LD. Phenotypic features of HIF-1α content dynamics in rat neocortex under different hypoxia regimes. Bulletin of Experimental Biology and Medicine. 2012;154(12):681–686 EDN: PJUYCJ
- Dzhalilova DSh, Kosyreva AM, Diatroptov ME, et al. Dependence of the severity of the systemic inflammatory response on resistance to hypoxia in male Wistar rats. Journal of Inflammation Research. 2019;12:73–86. doi: 10.2147/JIR.S194581
- Mitchell S, Vargas J, Hoffmann A. Signaling via the NFκB system. Wiley Interdiscip Rev Syst Biol Med. 2016;8(3):227–241. doi: 10.1002/wsbm.1331
- Mulero MC, Huxford T, Ghosh G. NF-κB, IκB, and IKK: Integral Components of Immune System Signaling. Adv Exp Med Biol. 2019;1172:207–226. doi: 10.1007/978-981-13-9367-9_10
- Garcia 3rd AJ, Rotem-Kohavi N, Doi A, et al. Post-hypoxic recovery of respiratory rhythm generation is gender dependent. PLoS One. 2013;8:e60695. doi: 10.1371/journal.pone.0060695
- Gargaglioni LH, Marques DA, Patrone LGA. Sex differences in breathing. Comp Biochem Physiol A Mol Integr Physiol. 2019;238:110543. doi: 10.1016/j.cbpa.2019.110543
- Avrushchenko MSh, Ostrova IV, Grechko AV. Gender peculiarities of postresuscitation in the expression of brain-derived neurotrophic factor (BDNF). General reanimatology. 2017;13(5):44–57. EDN: XMRPUL doi: 10.15360/1813-9779-2017-5-44-57
- Kosyreva AM, Dzhalilova DSh, Makarova OV, Sladkopevtsev AS. Morpho-functional changes of thymus and contents of blood lymphocyte subpopulations in female Wistar rats with different resistance to hypoxia in systemic inflammatory response. Medical Immunology (Russia). 2019;21(4):643–652. EDN: YCRYSA doi: 10.15789/1563-0625-2019-4-643-652
- Dzhalilova DSh, Kosyreva AM, Tsvetkov IS, et al. Morphological and functional peculiarities of the immune system of male and female rats with different hypoxic resistance. Bulletin of Experimental Biology and Medicine. 2020;169(6):773–778. EDN: EOZIGJ
- Gao Y, Postovalova EA, Makarova OV, et al. Sex-related differences in the morphology and subpopulation composition of colon lymphocytes in experimental acute colitis. Bulletin of Experimental Biology and Medicine. 2018;165(4):503–507. EDN: XOOBVJ
- Kosyreva AM, Makarova OV, Mikhaylova LP, Kakturskiy LV. Sex and age differences of the systemic inflammatory response in experimental endotoxinemia. Immunologiya. 2019;40(3):28–40. EDN: XDBUKF doi: 10.24411/0206-4952-2019-13004
- Vázquez-Martínez ER, García-Gómez E, Camacho-Arroyo I, et al. Sexual dimorphism in bacterial infections. Biol Sex Differ. 2018;9(1):27. doi: 10.1186/s13293-018-0187-5
- Wang S, Chen X, Guo S, et al. CXCR4, regulated by HIF1A, promotes endometrial breakdown via CD45(+) leukocyte recruitment in a mouse model of menstruation. Reprod Biol. 2023;23(3):100785. doi: 10.1016/j.repbio.2023.100785
- Wegner A, Benson S, Rebernik L, et al. Sex differences in the pro-inflammatory cytokine response to endotoxin unfold in vivo but not ex vivo in healthy humans. Innate Immun. 2017;23(5):432–439. doi: 10.1177/1753425917707026
- Irwin MR, Cole SW. Reciprocal regulation of the neural and innate immune systems. Nat Rev Immunol 2011;11:625–632. doi: 10.15789/1563-0625-2019-4-643-652
- Coutinho AE, Chapman KE. The anti-inflammatory and immunosuppressive effects of glucocorticoids, recent developments and mechanistic insights. // Mol Cell Endocrinol 2011;335(1):2–13. doi: 10.1016/j.mce.2010.04.005
- Chen W, Ten Dijke P. Immunoregulation by members of the TGFbeta superfamily. Nat Rev Immunol. 2016;16:723–740. doi: 10.1038/nri.2016.112
- Gauthier T, Yao C, Dowdy T, et al. TGF-β uncouples glycolysis and inflammation in macrophages and controls survival during sepsis. Sci Signal. 2023;16(797):eade0385. doi: 10.1126/scisignal.ade0385
- Scotland RS, Stables MJ, Madalli S, et al. Sex differences in resident immune cell phenotype underlie more efficient acute inflammatory responses in female mice. Blood. 2011;118(22):5918–5927. doi: 10.1182/blood-2011-03-340281
- Kosyreva AM, Makarova OV, Osmolovskaya EYu. Ageand sex-related differences in thymic morphological and functional changes in Wistar rats with systemic inflammatory responce syndrome. Clinical and Experimental Morphology. 2016;(1):18–26. EDN: ZFCARZ
- Abramson J, Anderson G. Thymic epithelial cells. Annu Rev Immunol. 2017;35:85–118. doi: 10.1146/annurev-immunol-051116-052320
Supplementary files




