Состояние костной ткани в ранние сроки восстановления после термического воздействия
- Авторы: Горохова А.В.1, Насибов Т.Ф.1, Порохова Е.Д.1,2, Бариев У.А.1, Носов В.Е.1, Пахмурин Д.О.1,2, Анисеня И.И.2,3, Ситников П.К.2,3, Хлусов И.А.1,2
-
Учреждения:
- Сибирский государственный медицинский университет
- Томский университет систем управления и радиоэлектроники
- Томский национальный исследовательский медицинский центр РАН
- Выпуск: Том 162, № 3 (2024)
- Страницы: 298-315
- Раздел: Оригинальные исследования
- URL: https://journals.rcsi.science/1026-3543/article/view/288829
- DOI: https://doi.org/10.17816/morph.634692
- ID: 288829
Цитировать
Аннотация
Обоснование. Термоабляция — это перспективный метод лечения опухолей костной ткани. Однако для максимального раскрытия потенциала данного метода важен подбор оптимального соотношения дозы и времени высокотемпературного воздействия.
Цель — изучить in vivo реакцию костной ткани кроликов в ранний период восстановления (на 3 и 7 сутки) после локальной интраоперационной гипертермической абляции в диапазоне температур в костномозговом канале 55–60 °C.
Материалы и методы. Исследование проведено на 6 беспородных кроликах в возрасте 15 недель и массой 3–4 кг. Животных выводили из эксперимента на третьи и седьмые сутки после локальной термоабляции диафиза бедренной кости. Микроскопическое визуальное исследование срезов костной ткани проводили после стандартной окраски гематоксилином и эозином. Кроме того, морфометрически оценивали: площадь неминерализованного костного матрикса (окрашивание по методу Маллори); оптическую плотность и площадь цитоплазмы остеобластов; оптическую плотность и площадь ядер остеоцитов (окрашивание для выявления нуклеиновых кислот по методу Эйнарсона). Полученные результаты сравнивали со значениями для бедренной кости контрлатеральной конечности, не подвергавшейся прямой гипертермии и использованной в качестве контроля. Статистическую обработку данных выполняли с использованием свободной среды разработки R-Studio, предназначенной для языка программирования R.
Результаты. После высокотемпературного воздействия, на гистологических срезах костной ткани, окрашенных гематоксилином и эозином, отмечены признаки патологических изменений клеток — денуклеация остеоцитов и запустевание костных лакун. Окрашивание методом Маллори не выявило признаков негативного влияния локальной термоабляции на состояние межклеточного костного матрикса. Морфометрия срезов, окрашенных по Эйнарсону, показала увеличение площади остеобластов к седьмым суткам после воздействия на фоне снижения их синтетической активности, признаки которой были отмечены уже на третьи сутки эксперимента. К третьим суткам после воздействия также происходит уменьшение площади и оптической плотности ядер остеоцитов в диафизах костей, подвергшихся термоабляции. Однако, на седьмые сутки после воздействия площадь ядер в зрелых костных клетках не отличается от соответствующего значения в контрлатеральной конечности. На фоне снижения оптической плотности клеточных ядер описанные изменения могут свидетельствовать о развитии колликвационного некроза остеоцитов.
Заключение. Локальная интраоперационная термоабляция диафиза бедренной кости кроликов при температуре в костномозговом канале 55–60 °C снижает оптическую плотность цитоплазмы остеобластов и ядер остеоцитов в раннем восстановительном периоде, что отражает повреждение органелл костных клеток и нарушение метаболических процессов в них. Вместе с тем, обнаружены признаки ремоделирования повреждённого участка, предположительно обусловленные миграцией клеток эндоста и периоста из метафизов, которые не подвергались прямой гипертермии. Полученные результаты могут быть полезны для выбора оптимального режима (доза и продолжительность) высокотемпературного воздействия на опухоли костной ткани, при условии более высокой чувствительности злокачественных клеток к нагреванию.
Полный текст
ОБОСНОВАНИЕ
Лечение опухолей костной ткани, включая остеосаркому и метастатическую инвазию, является одним из наиболее сложных направлений в области онкологии и находится в центре внимания современных медицинских исследований. Однако, по мнению Menéndez и соавт. [1], стандарты лечения опухолей костей мало изменились с конца 1970-х годов. Поэтому поиск перспективных инновационных подходов к терапии таких образований остаётся актуальной задачей.
Термоабляция считается методом выбора при лечении доброкачественных и злокачественных опухолей костно-мышечной системы человека [2] при условии сохранения анатомической целостности кости и её способности к регенерации. В то же время, факторы, выделяющиеся при регенерации неопухолевых тканей, такие как костный морфогенетический белок 2 типа (BMP-2), могут усиливать пролиферацию злокачественных клеток в микроскопических остаточных узлах остеосаркомы [3]. Поэтому важное научно-практические значение имеет поиск оптимальных режимов высокотемпературного воздействия (доза и продолжительность) в диапазоне 55–100 °C, способствующих эрадикации опухолевого узла при максимальном сохранении механической прочности и регенеративной способности костной ткани. Ранее было показано, что при проведении гипертермии в интервале температур 60–70 °C ex vivo костная ткань человека сохраняет механическую прочность, несмотря на наличие морфологических признаков термического поражения средней тяжести [4].
ЦЕЛЬ
Изучить in vivo реакцию костной ткани кроликов в ранний период восстановления (на 3 и 7 сутки) после локальной интраоперационной гипертермической абляции в диапазоне температур в костномозговом канале 55–60 °C.
МАТЕРИАЛЫ И МЕТОДЫ
Дизайн исследования
Проведено экспериментальное одноцентровое проспективное выборочное контролируемое рандомизированное неослеплённое исследование.
Критерии соответствия
Критерии включения. Исследование выполнено на беспородных здоровых кроликах возрастом 15 недель и массой 3–4 кг. Перед началом эксперимента животных содержали на карантине в течение 7 дней в амбиентных условиях1. После карантина кроликов случайным образом распределили на две группы исследования, по 3 кролика в каждой.
Критерии невключения: признаки нездоровья животного, установленные ветеринарным врачом при внешнем осмотре: вялость; отсутствие аппетита; выпадение шерсти; зуд и покраснение кожи и слизистых оболочек; ушной клещ.
Критерии исключения: переломы бедренных костей после термоабляции.
Условия проведения
Исследование проведено на базе вивария Центральной научно-исследовательской лаборатории Сибирского государственного медицинского университета. Животных содержали индивидуально в специализированных промаркированных клетках на подстилке из предварительно простерилизованной сухой древесной стружки, при температуре воздуха 20–26 °С и относительной влажности воздуха 40–70%, в условиях искусственного освещения и принудительной вентиляции. Животных кормили стандартным промышленным сертифицированным кормом Биопро (ДельтаФидс, Россия) с установленным сроком годности. Питьевая вода была в постоянном доступе и в неограниченном количестве.
Продолжительность исследования
Настоящее исследование длилось с августа по ноябрь 2023 года. Исследование выполнено в ранние сроки после локальной интраоперационной гипертермической абляции (на 3 и 7 сутки), имеющие важное значение для последующей репаративной регенерации.
Описание медицинского вмешательства
Локальную интраоперационную термоабляцию правой бедренной кости кроликов проводили in vivo с помощью комплекса локальной гипертермии «Феникс-2» (ПромЭл, Россия), разработанного в Томском государственном университете систем управления и радиоэлектроники [5]. Прибор оснащён гибкими нагревателями, содержащими резистивный нагревательный элемент, испускающий тепловую энергию при прохождении через него постоянного электрического тока. Во время воздействия передача тепла объекту осуществляется за счёт теплопроводности.
Премедикацию кроликов проводили путем внутримышечного введения 0,1% атропина (Московский эндокринный завод, Россия) в дозе 0,5 мг/кг. Для общей анестезии внутривенно вводили смесь тилетамина и золазепама (препарат Золетил 100 (VIRBAC, Франция), в дозе 0,2 мг/ кг) через 15 мин после премедикации. В ходе операции по мере необходимости Золетил 100 вводили повторно, при этом общая доза не превышала предварительно рассчитанную максимально допустимую дозу препарата — 10 мг/кг за одну операцию.
Операцию проводили в соответствии с правилами асептики. После трёхкратной обработки операционного поля раствором антисептика (Мираксидерм Трис, МИРАЛЕК, Россия) выполняли продольный разрез кожи длиной до 8 см. Острым путём осуществляли доступ к бедренной кости через волокна двуглавой мышцы бедра с последующим выполнением гемостаза. Бедренную кость скелетировали распатором. Вне зоны термоабляции выполняли трепанацию сверлом (диаметр 2 мм) для интрамедуллярного введения термодатчика Pt 100 (ПромЭл, Россия) для контроля температуры в костномозговой полости. На скелетированный участок кости циркулярно накладывали поверхностный гибкий нагреватель и термоизоляционный материал, разграничивающий область термоабляционного воздействия и окружающие ткани (рис. 1).
Рис. 1. Термоабляционное воздействие: a — накладывание нагревателя и термоизолирующей прокладки; b — нагревание кости
Fig. 1. Thermoablation: a — application of a heater and thermal insulating pad; b — bone heating
Далее осуществляли наружное термоабляционное воздействие (рис. 1) в соответствии с параметрами, приведёнными в табл. 1. Поскольку при нагревании средняя температура в костномозговом канале статистически значимо не различалась между экспериментальными группами, было возможно провести сравнительное исследование в динамике, то есть спустя 3 и 7 суток после оперативного вмешательства (табл. 1).
Таблица 1. Параметры эксперимента
Table 1. Experiment parameters
Группа | Средняя температура, °С | Время наблюдения после воздействия, сут |
1 (n=3) | 55,8±0,9 | 3 |
2 (n=3) | 57,4±1,0 | 7 |
Примечание: данные представлены в виде выборочного среднего и выборочного стандартного отклонения — M±SD; n — число животных в группе.
Note. The data are presented as the sample mean and sample standard deviation — M±SD; n — the number of animals in each group.
Значения температуры в костномозговом канале регистрировали с частотой 1 раз в минуту. Общее время воздействия составило 20 мин с момента достижения нижней границы заданного температурного диапазона. Время выхода на внешнюю (под манжетой нагревателя) температуру стабилизации 60–65 °С составило 3–5 мин. После введения датчика, а также по завершении термоабляции, скелетированную поверхность кости и окружающие мягкие ткани промывали раствором антисептика (Мираксидерм Трис, МИРАЛЕК, Россия) и физиологическим раствором (Bionit, Россия). Затем проводили послойное ушивание раны узловыми швами нитью Vicryl 3/0 (Ethicon (Johnson & Johnson), США): сначала мышцы, затем подкожно-жировую клетчатку и кожу. На область послеоперационного шва наносили порошок алюминия в качестве антисептика (Алюминиум спрей, Nicovet, Германия).
После операции всем кроликам вводили внутримышечно в течение 5 дней: антибиотик энрофлоксацин (Doctor VIC, Белоруссия) в дозе 5 мг/кг; анальгетик мелоксикам (Фармастандарт – УфаВИТА, Россия) в дозе 0,2 мг/кг. Животных выводили из эксперимента методом асфиксии углекислым газом: группа 1 — через 3 суток после термоабляции; группа 2 — через 7 суток после термоабляции.
Основной исход исследования
Сравнительный анализ морфофункциональных признаков повреждения остеобластов и остеоцитов на гистологических срезах диафиза бедренной кости кроликов на 3-и и 7-е сутки после локальной интраоперационной гипертермической абляции.
Анализ в группах
Исследование выполнено на беспородных кроликах одного возраста, распределённых случайным образом на две экспериментальные группы; сравнительный анализ исходов исследования проведён на третьи (n=3, группа 1) и седьмые (n=3, группа 2) сутки после локальной интраоперационной гипертермической абляции бедренной кости. В качестве внутригруппового контроля использовали контрлатеральные (интактные) конечности кроликов. Для межгрупповых сравнений показателей независимых выборок использовали методы вариационной статистики.
Методы регистрации исходов
Гистологическое исследование бедренных костей кроликов осуществляли на базе кафедры морфологии и общей патологии Сибирского государственного медицинского университета (г. Томск). Извлечённые цельные бедренные кости — подвергавшуюся нагреву и интактную контрлатеральную — фиксировали в 10% забуференном водном растворе формалина рН 7,4 (Biovitrum, Россия). Продолжительность фиксации не менее 24 часов при комнатной темпераутре. Далее выделяли участки диафиза и проксимального метафиза (рис. 2), промывали их в водопроводной воде в течение 24 часов и декальцинировали по методу Гриппа в следующей модификации: декальцинирующий раствор представляет собой смесь 20% водного раствора муравьиной кислоты (Купавнареактив, Китай) и 20% водного раствора ацетата натрия (Купавнареактив, Китай) в соотношении 1:1; раствор меняли каждые двое суток в течение 6 дней. Преимуществом использования муравьиной кислоты в составе декальцинирующей смеси является её незначительное влияние на окрашиваемость тканей [6]. Декальцинированные фрагменты костей помещали в 10% водный раствор сульфата натрия (ЛенРеактив, Россия) на 24 часа при комнатной температуре, после чего образцы снова промывали в водопроводной воде в течение 24 часов при комнатной температуре. Далее фрагменты костей обезвоживали в 6 сменах раствора на основе изопропанола IsoPrep (Biovitrum, Россия) по схеме производителя и помещали в парафиновую смесь HISTOMIX (Biovitrum, Россия). Парафиновые срезы костей толщиной 5–7 мкм готовили на полуавтоматическом микротоме МЗП 01 (Техном, Россия) и монтировали на предметные стёкла. Препараты окрашивали гематоксилином Джилла (Biovitrum, Россия) и эозином (Biovitrum, Россия) по стандартной методике. Проводили оценку влияния высокой температуры на костные структуры в сравнении с состоянием тканей контрлатеральной конечности того же кролика.
Рис. 2. Схема фрагментации кости: a — дистальные эпифиз и метафиз; b — диафиз; c — проксимальный метафиз; d — проксимальный эпифиз
Fig. 2. Bone fragmentation scheme: a — distal epiphysis and metaphysis; b — diaphysis; c — proximal metaphysis; d — proximal epiphysis
Состояние межклеточного матрикса кости оценивали на гистологических срезах, окрашенных по методу Маллори (Labiko, Россия) в соответствии с рекомендациями производителя. В процессе окрашивания коллагеновый компонент неминерализованного костного матрикса приобретает тёмно-синюю окраску, последовательно связываясь с фосфорномолибденовой кислотой и анилиновым синим. При этом минерализованный костный матрикс, содержащий меньшее количество коллагеновых волокон, окрашивается фуксином в красный цвет. Дополнительно проводили окрашивание по методу Эйнарсона, описанному в литературном источнике [7]. Гистохимическое окрашивание по Эйнарсону позволяет судить о синтетической активности остеобластов и остеоцитов путём визуализации нуклеиновых кислот в клетках и оценки их содержания в ядре и цитоплазме. Данный метод является высокоспецифичным в отношении нуклеиновых кислот, особенно в условиях повышенной кислотности среды [8]. В нашем исследовании все гистологические препараты изготавливали в одинаковых условиях, что позволяет считать выявленные отличия морфофункциональных признаков отражением реальных изменений в структуре ткани.
Гистологические препараты костей изучали на световом микроскопе Axioscope 40 (Zeiss, Германия). Цифровые фотографии получали в фиксированных условиях освещения с использованием фотоаппарата Canon PowerShot A2200 (разрешение 14,1 Мп; Canon Inc., Китай) и программного обеспечения AxioVision 4.8 (Zeiss, Германия).
Площадь и оптическую плотность окрашенных зон интереса оценивали по методу компьютерной морфометрии цифровых изображений [9] с применением инструментов программы ImageJ (версия 1.38, Национальный институт здоровья, Бетезда, США). Измерение оптической плотности позволяет получить количественную характеристику непрозрачного объекта по формуле:
,
где SФ — яркость фона; SТ — яркость исследуемого участка клетки или ткани в режиме градаций серого.
Этическая экспертиза
Дизайн эксперимента одобрен комиссией IACUC Центральной научно-исследовательской лаборатории Сибирского государственного медицинского университета (Заключение № 1 от 03.04.2023) и признан соответствующим базовым биоэтическим требованиям.
Статистический анализ
Статистический анализ данных проводили в среде разрабоки RStudio (v. 2023.12.0 + 369) с использованием языка программирования R (версия 4.4.0) и следующих пакетов: MVN [10], stats [11], brunnermunzel [12]. Количественные признаки проверяли на соответствие нормальному распределению с помощью теста Шапиро–Уилка с поправкой Ройстона для больших выборок (Royston AS R94, 3≤n≤5000) [13].
В тексте количественные признаки, соответствующие нормальному распределению приведены в виде выборочного среднего и выборочного стандартного отклонения (M±SD); количественные признаки, несоответствующие нормальному распределению, — в виде медианы и первого и третьего квартилей (Me [Q1; Q3]).
Средние значения количественных признаков с нормальным распределением сравнивали при помощи теста Смита–Уэлча–Саттеруэйта [14-20]. Для сравнения количественных признаков, распределение которых не соответствует нормальному, применяли критерий Бруннера–Мюнзеля [21–24].
РЕЗУЛЬТАТЫ
Объекты исследования
Объектом гистологического исследования служили тонкие срезы бедренных костей кроликов (6 подвергнутых термоабляции и 6 контрлатеральных), распределённых на две группы по 3 животных в зависимости от продолжительности восстановительного периода. На каждого кролика изучено по 24 среза: 4 среза каждой бедренной кости на каждый из трёх видов окрашивания — гематоксилином и эозином, по методу Маллори, по методу Эйнарсона. Морфометрические измерения проведены не менее чем на 30 отдельных клетках (остеобластах, остеоцитах) или зонах интереса.
Основные результаты исследования
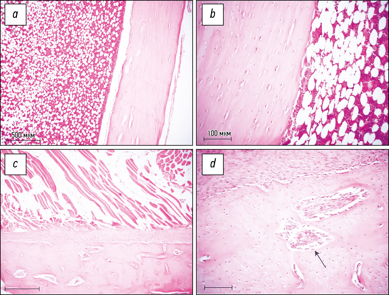
В контрольной бедренной кости кроликов (интактной, контрлатеральной) в разные сроки восстановления после интраоперационной термоабляции не наблюдали признаков некротических или воспалительных процессов при стандартном окрашивании ткани гематоксилином и эозином. Компактное вещество кости в области диафиза образовано преимущественно пластинчатой костной тканью, костномозговой канал заполнен красным костным мозгом, содержащим кроветворные клетки (рис. 3, a, b). Снаружи кость покрыта периостом, к которому присоединяются волокна поперечнополосатой мышечной ткани типичного строения (рис. 3, c). В полостях периостальной зоны видны многочисленные остеобласты с морфологическими признаками высокой синтетической активности: цилиндрическая форма клетки; большой объём и базофилия цитоплазмы; ядро смещено к апикальному полюсу клетки (рис. 3, d).
Рис. 3. Участок диафиза интактной кости: a, b — кролик из группы 1, пластинчатая костная ткань компактного вещества кости и красный костный мозг в костномозговом канале; c, d — кролик из группы 2; c — компактное вещество кости в зоне периоста, волокна поперечнополосатой мышечной ткани типичного строения; d — многочисленные остеобласты с морфологическими признаками высокой синтетической активности в периостальной зоне кости (обозначено стрелкой). Окрашивание гематоксилином и эозином, увеличение: a, c — ×50; b, d — ×200
Fig. 3. A section of an intact bone diaphysis: a, b — rabbit from group 1, lamellar bone tissue of the compact bone substance and red bone marrow in the medullary canal; c, d — rabbit from group 2, c — compact bone substance in the periosteal zone, striated muscle fibers of typical structure; d — numerous osteoblasts with morphological signs of high synthetic activity in the periosteal zone of bone (indicated by arrow). Hematoxylin and eosin staining, magnification: a, c — ×50; b, d — ×200
По данным микроскопического исследования стандартно окрашенных гистологических срезов, локальная гипертермия в диапазоне температур 60–65 °С под манжетой нагревателя не вызывает значительного дистантного повреждения костной ткани противоположной конечности в наблюдаемые сроки. Это позволяет использовать морфометрические показатели контрлатеральных бедренных костей как контрольные значения (табл. 2).
Таблица 2. Морфометрические показатели состояния костной ткани в контрольных контрлатеральных диафизах кроликов, подвергшихся локальной термоабляции при средней температуре в костномозговом канале 55–60 °С
Table 2. Morphometric indices of bone tissue state in contralateral control diaphysis of rabbits subjected to local thermoablation at an average medullary canal temperature of 55–60 °С
Показатель | Группа 1 (3-и сутки) n=3 | Группа 2 (7-е сутки) n=3 | Уровень статистической значимости различий |
Относительная площадь неминерализованного костного матрикса | 29,93±13,28 n1=30 | 45,94±22,10 n1=30 | t-критерий Уэлча, t=3,40; p=0,0014 * |
Оптическая плотность цитоплазмы остеобласта, у.е.о.п. | 5,80±1,68 # n1=31 | 9,24±2,75 # n1=38 | t-критерий Уэлча, t=6,38; р <0,001 * |
Площадь цитоплазмы остеобласта, мкм2 | n1=31 | n1=38 | Критерий Бруннера–Мюнзеля, Brunner Munzel Test Statistic =2,31; p=0,025 * |
Оптическая плотность ядра остеоцита, у.е.о.п. | n1=60 | n1=60 | Критерий Бруннера–Мюнзеля, Brunner Munzel Test Statistic =6,00; р <0,001 * |
Площадь ядра остеоцита, мкм2 | n1=60 | n1=60 | Критерий Бруннера–Мюнзеля, Brunner–Munzel Test Statistic =16,94; p <0,001 * |
Примечание: данные представлены в виде выборочного среднего и выборочного стандартного отклонения — M±SD или в виде медианы и первого и третьего квартиля — Me[Q1; Q3]; n — количество животных в каждой группе; у.е.о.п. — условные единицы оптической плотности; n1 — число подсчитанных площадей или клеток в каждой группе; # — статистически значимые различия с диафизом бедренных костей, подвергшихся термоабляции, критерий Бруннера–Мюнзеля, р <0,05; * — статистически значимые различия между группами 1 и 2.
Note. The data are presented as the sample mean and sample standard deviation — M±SD or as the median and the first and third quartiles — Me[Q1; Q3]; n — the number of animals in each group; у.е.о.п. (n.u.o.p.) — nominal units of optical density; n1 — the number of examined areas or cells in each group; # — statistically significant differences with the diaphysis of the femurs subjected to thermal ablations, Brunner–Munzel criterion, p <0.05; * — statistically significant differences between groups 1 and 2.
В диафизарной области бедренных костей, подвергшихся прямому локальному нагреванию, наблюдаются кровоизлияния по типу гематом (рис. 4, a) и/или плазмостаз в костномозговом канале вблизи эндоста (рис. 4, c). К третьим суткам после термоабляции в компактном веществе кости наблюдаются многочисленные запустевающие лакуны остеоцитов (рис. 4, b). На седьмые сутки после термоабляции, в компактном веществе кости, кроме запустевающих лакун остеоцитов, встречаются участки деструкции межклеточного костного и хрящевого матрикса в зонах перихондрального остеогенеза (рис. 4, d). В обоих случаях изменения затрагивают преимущественно периостальную зону, располагающуюся под нагревательной манжетой. Поскольку гибкий аппликационный нагреватель для термоабляции устанавливали со стороны периоста, наблюдаемое запустевание костных лакун свидетельствует о том, что в области периоста температура была выше, чем в костномозговом канале.
Рис. 4. Участок диафиза бедренной кости после термоабляции при температуре в костномозговом канале 55–60 °C: a, b — кролик из группы 1 через трое суток после нагревания; a — кровоизлияния по типу гематом в костномозговом канале (обозначено стрелкой); b — многочисленные запустевающие лакуны остеоцитов в периостальной зоне кости (обозначены стрелками); c, d — кролик из группы 2 через 7 суток после нагревания; c — плазмостаз в костномозговом канале вблизи эндоста (обозначено стрелкой); d — участки деструкции межклеточного костного и хрящевого матрикса в периостальной зоне кости (обозначены стрелками). Окрашивание гематоксилином и эозином, увеличение: a, c — ×50; b, d — ×200
Fig. 4. A section of the femoral diaphysis after thermoablation at a temperature of 55–60°C in the medullary canal: a, b — rabbit from group 1 three days after heating; a — hematoma-type hemorrhages in the medullary canal (indicated by arrow); b — numerous deserted osteocyte lacunae in the periosteal zone of the bone (indicated by arrows); c, d — rabbit from group 2 seven days after heating; c — plasmostasis in the medullary canal near the endosteum (indicated by arrow); d — areas of destruction of intercellular bone and cartilage matrix in the periosteal zone of the bone (indicated by arrows). Hematoxylin and eosin staining, magnification: a, c — ×50; b, d — ×200
В области проксимального метафиза, вне зоны прямого нагрева кости, отмечены признаки механической травматизации (рис. 5, a), связанные с введением датчика температуры перед нагреванием. В зоне введения датчика со стороны периоста происходит формирование большого объёма хрящевой и грубоволокнистой костной тканей (рис. 5, b). В области периоста и эндоста кости встречаются многочисленные активные остеобласты и крупные остеокласты (рис. 5, c, d). Таким образом, активная пролиферация костных и хрящевых клеток в области метафиза уже к 7-м суткам после экстремального воздействия может способствовать регенерации диафиза, подвергшегося термоабляции, за счёт миграции остеобластов.
Рис. 5. Участок проксимального метафиза бедренной кости кролика через семь суток после нагревания диафиза при температуре в костномозговом канале 55–60 °C: a — признаки механической травмы; a, b, d — кровоизлияния; b — разрастание хрящевой ткани (обозначено стрелкой); e — разрастание грубоволокнистой костной ткани в периостальной зоне кости; c — многочисленные остеобласты и крупные остеокласты в области периоста; d — многочисленные остеобласты и крупные остеокласты в области эндоста кости. Окрашивание: a–d — гематоксилин и эозин; e — окрашивание по методу Маллори; увеличение: a, b — ×50; c, d, e — ×200
Fig. 5. A section through the proximal metaphysis of the rabbit femur seven days after heating the diaphysis to a temperature of 55–60 °C in the medullary canal: a — signs of mechanical trauma; a, b, d — hemorrhages; b — cartilage overgrowth (indicated by arrow); e — coarse fibrous bone overgrowth in the periosteal zone of the bone; c — numerous osteoblasts and large osteoclasts in the periosteal zone; d — numerous osteoblasts and large osteoclasts in the and endosteal zone of the bone. Staining: a–d — haematoxylin and eosin; e — Mallory’s staining; magnification: a, b — ×50; c, d, e — ×200
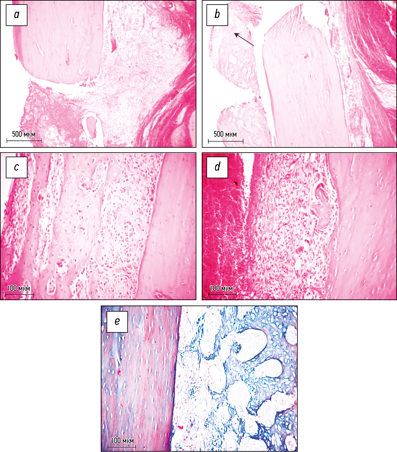
Окрашивание срезов по методу Маллори выявило разрастание грубоволокнистой костной ткани в периостальной зоне проксимального метафиза (рис. 5, e). В области прямого нагрева (диафиз кости) не обнаружено визуальных признаков выраженного негативного влияния термоабляции на состояние межклеточного костного матрикса в сравнении с контрлатеральной конечностью. Волокнистые компоненты остеоида плотно прилежат друг к другу, видны отчётливые границы между костными пластинками компактного вещества (рис. 6). При оценке площади новообразованного костного матрикса в группе 1 (рис. 6, a) преобладали участки минерализованного матрикса по сравнению с группой 2 (рис. 6, b), что подтверждается результатами компьютерной морфометрии (табл. 2).
Рис. 6. Участок диафиза бедренной кости: a, c — интактная кость; a — кролик из группы 1; c — кролик из группы 2; b, d — диафиз кости кролика после нагревания при температуре в костномозговом канале 55–60 °C; b — кролик из группы 1 через трое суток после нагревания; d — кролик из групп 2 через семь суток после нагревания; a–d — костные пластинки компактного вещества кости с чёткими границами, волокнистые компоненты остеоида плотно прилежат друг к другу. Окрашивание по методу Маллори, увеличение ×200
Fig. 6. A section through the diaphysis of femur: a, c — intact bone; a — rabbit from group 1; c — rabbit from group 2; b, d — diaphysis of rabbit bone after heating at a temperature of 55–60 °C in the medullary canal; b — rabbit from group 1 three days after heating; d — rabbit from group 2 seven days after heating; a–d — bone plates of compact bone substance with clear boundaries, fibrous components of osteoid tightly adhering to each other. Mallory staining, magnification ×200
Окрашивание нуклеиновых кислот по методу Эйнарсона позволило выявить в области эндоста остеобласты с морфологическими признаками высокой синтетической активности. На рис. 7 видны крупные, полярные клетки, прилежащие к поверхности костной ткани и содержащие равномерно распределённое в цитоплазме большое количество РНК, о чём свидетельствует высокая интенсивность окраски. Изменение относительной оптической плотности цитоплазмы остеобластов может свидетельствовать об изменении их синтетической активности, а следовательно, и способности к синтезу компонентов остеоида [25].
Рис. 7. Участок диафиза бедренной кости в зоне эндоста: a — интактная кость кролика группы 1; c — интактная кость кролика из группы 2; b — бедренная кость кролика из группы 1 через трое суток после нагревания; d — бедренная кость кролика из группы 2 через семь суток после нагревания при температуре в костномозговом канале 55–60 °C; a, c — остеобласты с морфологическими признаками высокой синтетической активности (обозначены стрелками); b, d — остеобласты с морфологическими признаками низкой синтетической активности (обозначены стрелками). Окрашивание по методу Эйнарсона, увеличение ×630
Fig. 7. A section through the femoral diaphysis in the endosteal zone: a — intact bone of rabbit from group 1; c — intact bone of rabbit from group 2; b — femur of group 1 three days after heating; d — femur of rabbit from group 2 seven days after heating at a temperature in the medullary canal of 55–60 °C; a, c — osteoblasts with morphological signs of high synthetic activity (indicated by arrows); b, d — osteoblasts with morphological signs of low synthetic activity (indicated by arrows). Einarson staining, magnification ×630
В виду того, что исследование выполнено на неинбредных кроликах интактные диафизы бедренной кости статистически значимо различались между группами не только по состоянию коллагенового матрикса, но и по другим морфометрическим характеристикам (табл. 2). Поэтому сравнение абсолютных величин таких количественных показателей, как площадь неминерализованного костного матрикса, площадь и оптическая плотность цитоплазмы остеобластов и ядер остеоцитов, является некорректным. В связи с этим применяли персонализированный статистический анализ, в рамках которого проводили стандартизацию значений и сравнение относительных величин. Значения изучаемых признаков в динамике восстановления после термоабляции выражены в процентах от соответствующего значения в интактной кости и приведены в табл. 3. Результаты показывают, что в зоне прямого нагрева диафиза бедренной кости доля неминерализованного костного матрикса при окраске по Маллори не отличается от контрлатеральной конечности на разных сроках восстановления. Таким образом, при температуре термоабляции 60–65 °C (температура в костномозговом канале 55–60 °C) в ранний период регенерации изменения волокнистого вещества непоказательны из-за низкой скорости обновления ламинарной кости [25].
Морфометрическая оценка состояния остеобластов на срезах, окрашенных по методу Эйнарсона (рис. 7, табл. 3), показывает существенное снижение оптической плотности, а значит, и синтетической активности клеток в прогретых диафизах. К третьим суткам после воздействия оптическая плотность цитоплазмы остеобластов составляет 47,88[41, 94; 55, 03]%; к седьмым суткам —39,31[34, 60; 51, 33]% уровня плотности в интактной кости, что статистически значимо ниже показателя на 3-е сутки наблюдения (p=0,00028). В свою очередь, средняя площадь цитоплазмы остеобластов (табл. 3) остаётся практически неизменной к 3-м суткам после воздействия (102,04±28,89% площади в интактном диафизе); спустя 7 суток происходит её увеличение до 131% значения в контрлатеральной конечности (p=0,0034), что достоверно выше показателя к 3-м суткам исследования (p=0,00052). По-видимому, к 7-м суткам в популяции остеобластов возрастает число более крупных молодых клеток, что, предположительно, связано с их миграцией из зоны дефекта в метафизе, возникшего в результате введения термодатчика.
Таблица 3. Морфометрические показатели диафизов бедренных костей кроликов в разные сроки после локальной термоабляции при средней температуре в костномозговом канале 55–60 °C. Приведены значения относительно соответсвующего контрлатерального диафиза, %
Table 3. Comparison of morphometric indices of rabbit femoral diaphysis at different times after local thermoablation at an average medullary canal temperature 55–60 °C, in % of values for the contralateral diaphysis
Показатель | Группа 1 (3-и сутки) n=3 | Группа 2 (7-е сутки) n=3 | Уровень статистической значимости различий |
Относительная площадь неминерализованного костного матрикса, % | 109,59±42,47 n1=30 | 114,14±40,93 n1=30 | t-критерий Уэлча, t=0,42; р=0,67 |
Оптическая плотность цитоплазмы остеобласта, % | n1=35 | n1=32 | Критерий Бруннера–Мюнзеля, Brunner–Munzel Test Statistic = 2,76; p=0,00028 * |
Площадь цитоплазмы остеобласта, % | 102,04±28,89 n1=35 | 130,94±34,95 # n1=32 | t-критерий Уэлча, t=3,67; p=0,00052 * |
Оптическая плотность ядра остеоцита, % | 94,76±14,69 # n1=60 | 90,00±30,79 # n1=60 | t-критерий Уэлча, t=-1,08; p=0,28 |
Площадь ядра остеоцита, % | n1=60 | n1=60 | Критерий Бруннера–Мюнзеля, Brunner–Munzel Test Statistic =-15,43; p <0,001 * |
Примечание: данные представлены в виде выборочного среднего и выборочного стандартного отклонения — M±SD или в виде медианы и первого и третьего квартиля — Me[Q1; Q3]; n — количество животных в каждой группе; n1 — число подсчитанных площадей или клеток в каждой группе; # — статистически значимые различия с соответствующим контролем (интактные диафизы, табл. 2, критерий Бруннера–Мюнзеля, p <0,05); * — статистически значимые различия между группами 1 и 2.
Note. The data are presented as the sample mean and sample standard deviation — M±SD or as the median and the first and third quartiles — Me[Q1; Q3]; n — the number of animals in each group; n1 — the number of examined areas or cells in each group; # — statistically significant differences with the corresponding control (intact diaphyses, Table 2, Brunner–Munzel criteria, p <0.05); * — statistically significant differences between groups 1 and 2.
При окрашивании гистологических срезов бедренных костей кроликов по Эйнарсону была получена информация о содержании в ядрах остеоцитов молекул ДНК и, в меньшей степени, РНК. Поскольку остеоциты являются консервативной клеточной популяцией, для них не характерен высокий уровень синтетической активности, поэтому нуклеиновые кислоты визуализируются преимущественно в ядрах, а цитоплазма практически не окрашивается по методу Эйнарсона (рис. 8, a, c). В диафизе бедренной кости интактной конечности кроликов из группы 1 компактное вещество представлено преимущественно параллельно лежащими костными пластинками. Между костными пластинками визуализируются лакуны с остеоцитами, имеющими крупные округлые ядра, интенсивно окрашивающиеся по методу Эйнарсона (рис. 8, a). В компактном веществе интактной кости в группе 2 чаще встречаются остеоциты с вытянутыми, веретеновидными ядрами (рис. 8, c). В компактном веществе подвергавшихся нагреванию бедренных костей (рис. 8, b, d) на 3-и и 7-е сутки наблюдаются запустевающие лакуны остеоцитов либо остеоциты с вытянутыми, веретеновидными ядрами с визуально меньшей площадью окраски и оптической плотностью ядер в сравнении с соответствующим интактным диафизом (рис. 8, a, c).
Рис. 8. Участок компактного вещества диафиза бедренной кости: a — интактная кость кролика из группы 1, остеоциты с крупными, округлыми, интенсивно окрашенными ядрами (обозначены стрелками); c — интактная бедренная кость кролика из группы 2, остеоциты с веретеновидными, интенсивно окрашенными ядрами (обозначены стрелками); b — диафиз бедренной кости кролика из группы 1 через трое суток после нагревания при температуре в костномозговом канале 55–60 °C, запустевающие лакуны остеоцитов (обозначено стрелкой); d — диафиз бедренной кости кролика из группы 2 через семь суток после нагревания, остеоциты с менее интенсивно окрашенными веретеновидными ядрами (обозначены стрелками). Окрашивание остеоцитов по методу Эйнарсона, увеличение ×630
Fig. 8. A section through the compact substance of the femoral diaphysis: a — intact bone of rabbit from group 1, osteocytes with large, round, intensely stained nuclei (indicated by arrows); c — intact bone of rabbit from group 2, osteocytes with fusiform, intensely stained nuclei (indicated by arrows); b — femoral diaphysis of rabbit from group 1 three days after heating at a temperature in the medullary canal of 55–60 °C, deserted osteocyte lacunae (indicated by arrow); d — femoral diaphysis of rabbit from group 2 seven days after heating, osteocytes with less intensely stained fusiform nuclei (indicated by arrows). Osteocyte staining by the Einarson method, magnification ×630
Компьютерная морфометрия (табл. 3) демонстрирует одинаковое (p=0,28) уменьшение оптической плотности остеоцитов в прогретых диафизах у кроликов из обеих групп. При этом оптическая плотность остеоцитов подвергавшихся нагреву костей статистически значимо отличается от показателя в контрлатеральных диафизах (критерий Бруннера–Мюнзеля, p <0,05). К третьим суткам после гипертермического воздействия площадь остеоцитов резко снижается до 46,84[42, 29; 53, 29]% уровня в контрлатеральной кости; однако к седьмым суткам их размеры практически возвращаются к исходным значениям, достигая 108% показателя в контрлатеральном бедре. По аналогии с остеобластами можно предполагать быстрое обновление популяции остеоцитов крупными молодыми клетками с низкой синтетической активностью.
ОБСУЖДЕНИЕ
Резюме основного результата исследования
При окраске гематоксилином и эозином тонких срезов диафизов бедренных костей после высокотемпературного воздействия отмечены признаки патологических изменений клеток: денуклеация остеоцитов и запустевание костных лакун. Морфометрия срезов, окрашенных по Эйнарсону, выявила увеличение площади остеобластов к 7-м суткам после воздействия на фоне снижения их синтетической активности, наблюдаемого уже на 3-и сутки эксперимента. К 3-м суткам после воздействия также происходит уменьшение площади и оптической плотности ядер остеоцитов в диафизах костей, подвергшихся термоабляции. Однако, к 7-м суткам площадь ядер в зрелых костных клетках не отличается от соответствующего значения в контрлатеральной конечности. Такое изменение площади клеточных ядер на фоне снижения их оптической плотности может свидетельствовать о развитии колликвационного некроза остеоцитов.
Обсуждение основного результата исследования
Ранний послеоперационный период, включающий несколько дней после хирургического вмешательства, имеет важное значение для последующего восстановления костей при остеосинтезе и эндопротезировании [26]. Поэтому в данной работе были выбраны ранние сроки постоперационной регенерации костной ткани после локальной термоабляции у неинбредных кроликов. Именно кролики часто являются объектом исследований состояния костной ткани и суставов при повреждениях и лечебных манипуляциях [27].
В проведённом нами исследовании выявлены существенные различия в морфометрических показателях бедренных костей, не подвергавшихся прямому повреждающему воздействию термоабляции, что во многом соответствует значительным вариациям состояния костной ткани у людей [28]. С другой стороны, диафизы бедренных костей контрлатеральной конечности кроликов, подвергшихся локальной термоабляции, можно называть «интактными» только условно. У кроликов из группы 2 (7-е сутки после гипертермического воздействия) по сравнению с группой 1 (на 3-и сутки) отмечены более высокие значения показателей, характеризующих регенерацию костной ткани, таких как оптическая плотность и площадь цитоплазмы остеобластов, на фоне снижения морфометрических показателей остеоцитов (табл. 2). В соответствии с полученными результатами, нами рассматривается гипотеза о дистантном влиянии термоабляции на костную ткань, которое может быть обусловлено опосредованным влиянием веществ, выделяющихся при прямой гипертермии диафиза противоположного бедра кроликов. Известно, что трансформирующий фактор роста TGF-β (Transforming Growth Factor Beta) и инсулиноподобный фактор роста IGF-1 (Insulin-like Growth Factor 1) выделяются из костного матрикса при его резорбции и индуцируют остеобластическую дифференцировку мезенхимальных стволовых клеток [29–31]. Провоспалительные цитокины (например, интерлейкины ИЛ-1, ИЛ-6 и др.), секретирующиеся в кровь при экстремальных воздействиях [32], также способны индуцировать регенерацию костной ткани, особенно в случае формирования гематомы [33].
В связи с этим, при проведении статистической обработки и сравнения результатов локальной термоабляции мы основывались на принципах персонализированной биомедицины. Для каждого животного вычисляли морфометрические индексы относительно соответствующих контрлатеральных значений, которые использовали в качестве контроля (табл. 3).
Согласно полученным результатам окраски нуклеиновых кислот по высокоспецифичному методу Эйнарсона [8], к 7-м суткам после прямой термоабляции в срезах диафизов наблюдается увеличение площади цитоплазмы остеобластов на 30% по сравнению с контрольным значением, а также рост площади остеоцитов. Мы предполагаем, что быстрая смена клеточной популяции остеобластов в прогретых диафизах происходит за счёт миграции молодых клеток из неповреждённых зон бедренной кости.
В проведённом исследовании уже к 7-м суткам после гипертермического воздействия в зоне механического дефекта в метафизе отмечены выраженные морфологические признаки репаративной регенерации и гиперплазии хрящевой и грубоволокнистой костной тканей, прежде всего, со стороны периоста (рис. 5). Это может быть связано с наличием кровоизлияний как в диафизе (рис. 4, a), так и в зоне механического дефекта метафиза, образовавшегося после введения термодатчика (рис. 5, a, b, d). Гематомы являются важным фактором последующей регенерации костной ткани [34]. Они обладают остеогенными [35] и ангиогенными свойствами [36], обусловленными их клеточным составом и биологически активными веществами, необходимыми для заживления повреждений [37].
Ранняя репаративная регенерация в зоне травмированного метафиза, не подвергавшегося прямому нагреванию, может быть источником миграции мезенхимальных стромальных стволовых клеток и (пре)остеобластов по эндокортикальной поверхности в область ламинарной кости диафиза. В то же время, синтетическая активность клеток, прежде всего, остеобластов, остаётся сниженной в ранние сроки (на 3 и 7 сутки) после локальной интраоперационной гипертермической абляции в диапазоне температур в костномозговом канале 55–60 °C. Это может быть связано как с сохраняющимся термическим повреждением костных клеток, так и с преобладанием темпов клеточной миграции над процессом созревания, что обеспечивает быстрое восстановление массы (объёма) костной ткани, аналогично тому, как это происходит при регенерации системы крови.
Выявленные существенные изменения содержания нуклеиновых кислот, главным образом РНК, в цитоплазме остеобластов после прямого термического воздействия свидетельствуют о том, что нуклеиновые кислоты могут быть одной из мишеней высокотемпературного воздействия, приводящего к клеточному тепловому шоку. Считается, что одним из первичных эффектов высоких температур на клетки млекопитающих является нарушение синтеза, процессинга и/или транспорта молекул РНК [38]. Действительно, in vitro в условиях кратковременной (10 мин) гипертермии клеток при температуре 42 °C происходит денатурация и конденсация молекул рибосомных РНК, сопровождающаяся распадом полирибосом на одиночные органеллы [39]. Гипертермия также приводит к нарушению структуры матричных РНК [40].
Ограничения исследования
Существенные морфометрические различия изучаемых признаков в диафизах бедренных костей кроликов, не подвергавшихся прямой термоабляции, обусловили необходимость представлять основные результаты в относительных (процентных) единицах. Различия в состоянии костной ткани в контрлатеральных контрольных конечностях могут быть обусловлены несколькими причинами: отличающейся скоростью физиологической регенерации у беспородных кроликов; дистантным влиянием интраоперационной термоабляции на противоположную конечность в ранние сроки после экстремального воздействия. Тем не менее, полученные в исследовании сравнительные данные являются весьма полезными, поскольку описывают именно локальные эффекты термоабляции и, в определённой степени, нивелируют её дистантное влияние через интегральные регуляторные системы организма.
ЗАКЛЮЧЕНИЕ
Термоабляция рассматривается как перспективный способ лечения опухолей костной ткани при условии сохранения анатомической целостности кости и её способности к регенерации. В условиях ex vivo были показаны морфологические признаки термического поражения средней выраженности при сохранении механической прочности костной ткани человека после гипертермии в интервале температур 60–70 °C [4]. Поэтому изучение in vivo реакции костной ткани кроликов после локальной интраоперационной гипертермической абляции в диапазоне температур в костномозговом канале 55–60 °C представляло несомненный научно-практический интерес.
Ранний послеоперационный период, включающий несколько дней после хирургического вмешательства, считается критическим для последующего восстановления кости при остеосинтезе и эндопротезировании [26]. Изучение in vivo реакции костной ткани кроликов в динамике раннего восстановления (на 3 и 7 сутки) после локальной интраоперационной термоабляции диафиза бедренной кости не выявило изменений процентного соотношения неминерализованного и минерализованного матрикса в ламинарной кости, независимо от сроков регенерации. Это может быть обусловлено слабым повреждающим действием выбранного диапазона температур на волокнистое вещество костной ткани, низкой скоростью обновления ламинарной кости и/или малой чувствительностью использованного метода окраски.
Тем не менее, к седьмым суткам после гипертермического воздействия при окраске гематоксилином и эозином отмечены запустевающие лакуны остеоцитов и денуклеация зрелых костных клеток, являющаяся морфологическим признаком клеточной гибели путём апоптоза и/или некроза. Существенные изменения костных клеток выявлены при окрашивании нуклеиновых кислот по Эйнарсону. В зоне локальной термоабляции диафизов значительно снижается оптическая плотность цитоплазмы остеобластов (на 50–60%) и остеоцитов (на 5–10%). Это свидетельствует о повреждающем действии термоабляции в диапазоне температур 55–60 °C на метаболические процессы и внутриклеточные органеллы здоровых костных клеток, в первую очередь на ядро и рибосомы, которые определяют уровень их синтетической активности.
В то же время, появление участков энходрального остеогенеза в периостальной зоне свидетельствует о начале ремоделирования области, повреждённой термоабляцией. Такое ремоделирование может быть связано, в том числе, с репаративной регенерацией, индуцированной механической травмой в области метафиза после введения термодатчика. Нуклеиновые кислоты опухолевых клеток также чувствительны к нагреванию [38]. В связи с этим, сохранение регенеративной способности костной ткани при температуре воздействия 55–60 °C на фоне гибели и подавления синтетической активности здоровых и опухолевых клеток может быть одним из решений, способствующих эрадикации опухолевых очагов, при условии более высокой чувствительности злокачественных клеток к нагреванию в данном диапазоне температур.
ДОПОЛНИТЕЛЬНАЯ ИНФОРМАЦИЯ
Источник финансирования. Работа выполнена при финансовой поддержке Министерства науки и высшего образования Российской Федерации, номер проекта FEWM-2024-0003.
Конфликт интересов. Авторы декларируют отсутствие явных и потенциальных конфликтов интересов, связанных с публикацией настоящей статьи.
Вклад авторов. Все авторы подтверждают соответствие своего авторства международным критериям ICMJE (все авторы внесли существенный вклад в разработку концепции, проведение исследования и подготовку статьи, прочли и одобрили финальную версию перед публикацией). Наибольший вклад распределён следующим образом: А.В. Горохова — проведение эксперимента, сбор и анализ литературных источников, написание и редактирование статьи; Т.Ф. Насибов — гистологическое исследование, статистический анализ данных; Е.Д. Порохова — проведение эксперимента, гистологическое исследование; У.А. Бариев — гистологическое исследование и морфометрический анализ данных; В.Е. Носов — проведение эксперимента; Д.О. Пахмурин — проведение эксперимента; И.И. Анисеня — проведение эксперимента; П.К. Ситников — проведение эксперимента; И.А. Хлусов — сбор и анализ литературных источников, написание и редактирование статьи.
ADDITIONAL INFORMATION
Funding source. This work was financially supported by the Ministry of Science and Higher Education of the Russian Federation, project number FEWM-2024-0003.
Competing interests. The authors declare that they have no competing interests.
Authors’ contribution. All authors made a substantial contribution to the conception of the work, acquisition, analysis, interpretation of data for the work, drafting and revising the work, final approval of the version to be published and agree to be accountable for all aspects of the work. A.V. Gorokhova — experimental procedures, collection and analysis of literature sources, writing and editing the article; T.F. Nasibov — histological study, statistical analysis of data; E.D. Porokhova — experimental procedures, histological study; U.A. Bariev — histological study and morphometric analysis of data; V.E. Nosov — experimental procedures; D.O. Pakhmurin — experimental procedures; I.I. Anisenya — experimental procedures; P.K. Sitnikov — experimental procedures; I.A. Khlusov — collection and analysis of literary sources, writing and editing the article.
1 Амбиентные условия — стандартные, жёстко не контролируемые условия температуры, освещения, влажности, вентиляции, шума.
Об авторах
Анна Владимировна Горохова
Сибирский государственный медицинский университет
Email: a.gorokhova3062@gmail.com
ORCID iD: 0000-0001-8401-7181
SPIN-код: 3543-2303
Россия, Томск
Темур Фируддин оглы Насибов
Сибирский государственный медицинский университет
Email: temur.nsbv@gmail.com
ORCID iD: 0000-0002-8056-3967
SPIN-код: 9651-1327
Россия, Томск
Екатерина Даниловна Порохова
Сибирский государственный медицинский университет; Томский университет систем управления и радиоэлектроники
Email: porohova_e@mail.ru
ORCID iD: 0000-0002-7317-2036
SPIN-код: 5986-3903
Россия, Томск; Томск
Усман Адамович Бариев
Сибирский государственный медицинский университет
Email: Sorry9337@mail.ru
ORCID iD: 0009-0002-7547-2558
SPIN-код: 3951-4635
Россия, Томск
Владислав Евгеньевич Носов
Сибирский государственный медицинский университет
Email: Vladothernoises@gmail.com
ORCID iD: 0009-0002-2762-4836
SPIN-код: 3477-1531
Россия, Томск
Денис Олегович Пахмурин
Сибирский государственный медицинский университет; Томский университет систем управления и радиоэлектроники
Email: pdo@ie.tusur.ru
ORCID iD: 0000-0002-5191-6938
SPIN-код: 9261-5513
канд. техн. наук, доцент
Россия, Томск; ТомскИлья Иванович Анисеня
Томский университет систем управления и радиоэлектроники; Томский национальный исследовательский медицинский центр РАН
Email: aii@mail.tsu.ru
ORCID iD: 0000-0003-3882-4665
SPIN-код: 3003-8744
канд. мед. наук
Россия, Томск; ТомскПавел Константинович Ситников
Томский университет систем управления и радиоэлектроники; Томский национальный исследовательский медицинский центр РАН
Email: Sitnikov.Pavel.K@yandex.ru
ORCID iD: 0000-0003-0674-2067
SPIN-код: 5945-0701
Россия, Томск; Томск
Игорь Альбертович Хлусов
Сибирский государственный медицинский университет; Томский университет систем управления и радиоэлектроники
Автор, ответственный за переписку.
Email: khlusov.ia@ssmu.ru
ORCID iD: 0000-0003-3465-8452
SPIN-код: 8443-8910
д-р мед. наук, профессор
Россия, Томск; ТомскСписок литературы
- Menéndez S.T., Gallego B., Murillo D., et al. Cancer stem cells as a source of drug resistance in bone sarcomas // J Clin Med. 2021. Vol. 10, N 12. ID: 2621. doi: 10.3390/jcm10122621
- Ringe K.I., Panzica M., von Falck C. Thermoablation of Bone Tumors // Rofo. 2016. Vol. 188, N 6. P. 539–550. doi: 10.1055/s-0042-100477
- Kendal J.K., Singla A., Affan A., et al. Is Use of BMP-2 Associated with Tumor Growth and Osteoblastic Differentiation in Murine Models of Osteosarcoma? // Clin Orthop Relat Res. 2020. Vol. 478, N 12. P. 2921–2933. doi: 10.1097/CORR.0000000000001422
- Pakhmurin D., Pakhmurina V., Kashin A., et al. Mechanical and Histological Characteristics of Human Tubular Bones after Hyperthermal Treatment // Symmetry. 2023. Vol. 15, N 1. ID: 156. doi: 10.3390/sym15010156
- Пахмурин Д.О., Пахмурина В.В., Анисеня И.И., Ситников П.К. Экспериментальное изучение распределения температуры в длинных трубчатых костях при периоссальном расположении нагревателей // Сибирский онкологический журнал. 2023. Т. 22, №. 2. С. 65–75. EDN: TLRZUE doi: 10.21294/1814-4861-2023-22-2-65-75
- Микроскопическая техника / под ред. Д.С. Саркисова, Ю.Л. Перова. Москва: Медицина, 1996. EDN: LNLBTS
- Pearse A.G.E. Histochemistry, theoretical and applied: theoretical and applied. Edinburgh: Churchill Livingstone, 1968.
- Луппа Х. Основы гистохимии. Москва: Мир, 1980.
- Шахов В.П., Хлусов И.А., Дамбаев Г.Ц., и др. Введение в методы культуры клеток, биоинженерии органов и тканей. Томск: СТТ, 2004. EDN: TVBSRX
- Korkmaz S., Goksuluk D., Zararsiz G. MVN: An R package for assessing multivariate normality // The R Journal. 2014. Vol. 6, N 2. P. 151–162. doi: 10.32614/RJ-2014-031
- Documentation for package ‘stats’ version 4.4.1. The R Stats Package [интернет]. Режим доступа: https://search.r-project.org/R/refmans/stats/html/00Index.html Дата обращения: 21.07.2024.
- brunnermunzel (version 2.0). Rdocumentation [интернет]. Режим доступа: https://www.rdocumentation.org/packages/brunnermunzel/versions/2.0 Дата обращения: 21.07.2024.
- Royston P. A remark on algorithm AS 181: The W-test for Normality // J Ro Stat Soc Series C Appl Stat. 1995. Vol. 44, N 4. P. 547–551. doi: 10.2307/2986146
- Moser B.K., Stevens G.R. Homogeneity of Variance in the Two-Sample Means Test // Am Stat. 1992. Vol. 46, N 1. P. 19–21. doi: 10.1080/00031305.1992.10475839
- Coombs W.T., Algina J., Oltman D.O. Univariate and Multivariate Omnibus Hypothesis Tests Selected to Control Type I Error Rates when Population Variances are not Necessarily Equal // Rev Educ Res. 1996. Vol. 66, N 2. P. 137–179. doi: 10.3102/00346543066002137
- Markowski C.A., Markowski E.P. Conditions for the Effectiveness of a Preliminary Test of Variance // Am Stat. 1990. Vol. 44, N 4. P. 322–326. doi: 10.1080/00031305.1990.10475752
- Satterthwaite F.E. An approximate distribution of estimates of variance components // Biometrics Bulletin. 1946. Vol. 2, N 6. P. 110–114. doi: 10.2307/3002019
- Welch B.L. The significance of the difference between two means when the population variances are unequal // Biometrika. 1938. Vol. 29, N 3/4. P. 350–362. doi: 10.2307/2332010
- Moser B.K., Stevens G.R., Watts C.L. The two-sample t test versus satterthwaite›s approximate f test // Commun Stat Theory Methods. 1989. Vol. 18, N 11. P. 3963–3975. doi: 10.1080/03610928908830135
- Zimmerman D.W., Zumbo B.D. Rank transformations and the power of the Student t test and Welch t’test for non-normal populations with unequal variances // Can J Exp Psychol. 1993. Vol. 47, N 3. P. 523–539. doi: 10.1037/h0078850
- Munzel U., Brunner E. Nonparametric tests in the unbalanced multivariate one-way design // Biom J. 2000. Vol. 42, N 7. P. 837–854. doi: 10.1002/1521-4036(200011)42:7<837::AID-BIMJ837>3.0.CO;2-S
- Brunner E., Munzel U. The nonparametric Behrens-Fisher Problem: Asymptotic Theory and a Small-Sample Approximation // Biom J. 2000. Vol. 42, N 1. P. 17–25. doi: 10.1002/(SICI)1521-4036(200001)42:1<17::AID-BIMJ17>3.0.CO;2-U
- Karch J.D. Psychologists Should Use Brunner-Munzel’s Instead of Mann-Whitney’s U Test as the Default Nonparametric Procedure // Adv Methods Pract Psychol Sci. 2021. Vol. 4, N 2. P. 1–14. doi: 10.1177/2515245921999602
- Noguchi K., Konietschke F., Marmolejo-Ramos F., Pauly M. Permutation tests are robust and powerful at 0.5% and 5% significance levels // Behav Res Methods. 2021. Vol. 53, N 6. P. 2712–2724. doi: 10.3758/s13428-021-01595-5
- Риггз Б. Л., Мелтон Л. Д. Остеопороз: этиология, диагностика, лечение / под ред. Е.А. Лепарского. Санкт-Петербург: БИНОМ, 2000.
- Ruggiero C., Bonamassa L., Pelini L., et al. Early post-surgical cognitive dysfunction is a risk factor for mortality among hip fracture hospitalized older persons // Osteoporos Int. 2017. Vol. 28, N 2. P. 667–675. doi: 10.1007/s00198-016-3784-3
- Qi H., Jin S., Yin C., et al. Radial extracorporeal shock wave therapy promotes osteochondral regeneration of knee joints in rabbits // Exp Ther Med. 2018. Vol. 16, N 4. P. 3478–3484. doi: 10.3892/etm.2018.6631
- Дружинина Т. В. и др. Маркеры остеогенеза в периферической крови как патогенетические факторы и предикторы системных эффектов имплантатов для остеосинтеза // Гений ортопедии. 2007. №. 4. С. 83–88. EDN: JHKHJR
- Tang Y., Wu X., Lei W., et al. TGF-beta1–induced migration of bone mesenchymal stem cells couples bone resorption with formation // Nat Med. 2009. Vol. 15, N 7. P. 757–765. doi: 10.1038/nm.1979
- Li X., Yao J., Wu J., et al. Roles of PRF and IGF-1 in promoting alveolar osteoblast growth and proliferation and molecular mechanism // Int J Clin Exp Pathol. 2018. Vol. 11, N 7. P. 3294–3301.
- Zhang Z., Zhang X., Zhao D., et al. TGF-β1 promotes the osteoinduction of human osteoblasts via the PI3K/AKT/mTOR/S6K1 signalling pathway // Mol Med Rep. 2019. Vol. 19, N 5. P. 3505–3518. doi: 10.3892/mmr.2019.10051
- Гольдберг Е.Д., Удут В.В., Хлусов И.А., и др. Закономерности структурной организации систем жизнеобеспечения в норме и при развитии патологического процесса. Томск: Национальный исследовательский Томский государственный университет, 1996. EDN: TYKLDR
- Khlusov I.A., Litvinova L.S., Shupletsova V.V., et al. Costimulatory Effect of Rough Calcium Phosphate Coating and Blood Mononuclear Cells on Adipose-Derived Mesenchymal Stem Cells In Vitro as a Model of In Vivo Tissue Repair // Materials (Basel). 2020. Vol. 13, N 19. ID: 4398. doi: 10.3390/ma13194398
- Loi F., Cordova L.A., Pajarinen J., et al. Inflammation, fracture and bone repair // Bone. 2016. Vol. 86. P. 119–130. doi: 10.1016/j.bone.2016.02.020
- Mizuno K., Mineo K., Tachibana T., et al. The osteogenetic potential of fracture haematoma. Subperiosteal and intramuscular transplantation of the haematoma // J Bone Joint Surg Br. 1990. Vol. 72, N 5. P. 822–829. doi: 10.1302/0301-620X.72B5.2211764
- Schmidt-Bleek K., Schell H., Lienau J., et al. Initial immune reaction and angiogenesis in bone healing // J Tissue Eng Regen Med. 2014. Vol. 8, N 2. P. 120–130. doi: 10.1002/term.1505
- Schell H., Duda G.N., Peters A., et al. The haematoma and its role in bone healing // J Exp Orthop. 2017. Vol. 4, N 1. ID: 5. doi: 10.1186/s40634-017-0079-3
- Sadis S., Hickey E., Weber L.A. Effect of heat shock on RNA metabolism in HeLa cells // J Cell Physiol. 1988. Vol. 135, N 3. P. 377–386. doi: 10.1002/jcp.1041350304
- Traganos F., Crissman H. A., Darzynkiewicz Z. Staining with pyronin Y detects changes in conformation of RNA during mitosis and hyperthermia of CHO cells // Exp Cell Res. 1988. Vol. 179, N 2. P. 535–544. doi: 10.1016/0014-4827(88)90291-1
- Cosgrove J.W., Heikkila J.J., Brown I.R. Translation of mRNA associated with monosomes and residual polysomes following disaggregation of brain polysomes by LSD and hyperthermia // Neurochem Res. 1982. Vol. 7, N 4. P. 505–518. doi: 10.1007/BF00965502
Дополнительные файлы










