Жизнь и научное наследие Якова Львовича Рапопорта: вклад в медицину (к 125-летию со дня рождения)
- Авторы: Мнихович М.В.1, Ахсанова П.А.2, Ширипенко И.А.1,3, Безуглова Т.В.1, Проценко Д.Д.4, Лозина М.В.1, Громов П.О.3, Останин О.Е.3
-
Учреждения:
- Российский научный центр хирургии имени академика Б.В. Петровского
- Российский университет дружбы народов имени Патриса Лумумбы
- Российский национальный исследовательский медицинский университет имени Н.И. Пирогова
- Первый Московский государственный медицинский университет имени И.М. Сеченова (Сеченовский Университет)
- Выпуск: Том 162, № 1 (2024)
- Страницы: 102-110
- Раздел: Исторические статьи
- URL: https://journals.rcsi.science/1026-3543/article/view/263610
- DOI: https://doi.org/10.17816/morph.629018
- ID: 263610
Цитировать
Аннотация
В 2023 году исполнилось 125 лет со дня рождения профессора Якова Львовича Рапопорта — выдающегося советского патологоанатома, внёсшего значительный вклад в развитие медицинской науки, а также оставившего важный след в литературе и истории откровенными мемуарами о «деле врачей» 1953 года. Проанализированы работы Я.Л. Рапопорта, посвящённые исследованию иммунопатологических процессов в организме человека, патоморфозу, а также кардиомиопатиям. Описан вклад Я.Л. Рапопорта в разработку новых методов диагностики различных заболеваний, а также в создание передовых подходов к изучению патологических процессов. Отдельно описаны переломные моменты жизни учёного: ранние годы жизни Якова Львовича Рапопорта интересны выбором между творческой карьерой и медициной; помимо этого, значимый отпечаток на его личную жизнь и карьеру наложило участие в Великой Отечественной войне.
Ключевые слова
Полный текст
Введение
В 2023 году исполнилось 125 лет со дня рождения выдающегося советского патологоанатома, Заслуженного деятеля науки и одного из самых молодых фигурантов «дела врачей» — Якова Львовича Рапопорта.
Жизненный путь Якова Львовича рапопорта
Яков Львович Рапопорт родился 19 ноября 1898 г. в Симферополе в семье директора реального училища Шама-Лейба Йоселевича-Шабсовича Рапопорта (рис. 1) [1]. После окончания училища в 1915 году он поступил в петербургский Психоневрологический институт. Примечательно, что будущий учёный интересовался музыкой и планировал связать свою жизнь с творческой сферой: «Его экзаменовал сам Глазунов 1 и остался им очень доволен», — пишет в воспоминаниях дочь Я.Л. Рапопорта, Наталья Яковлевна [2]. Однако после успешной сдачи экзаменов в оба учреждения Яков Львович остановил свой выбор на медицине [3].
Рис. 1. Яков Львович Рапопорт в дореволюционный период. Источник — онлайн-база данных архивных документов https://jdoc.org.il/
Fig. 1. Yakov Lvovich Rapoport in the pre-revolutionary period. Online database of archival documents https://jdoc.org.il/
В 1917 году из-за начавшейся Октябрьской революции учёба прерывается, и Я.Л. Рапопорт отправляется домой в Симферополь, где продолжает учёбу в стенах только что открывшегося медицинского факультета Таврического института. Позднее, после прихода большевиков в город, Рапопорт переезжает в Москву. «Он попытался восстановиться в медицинском институте, но все документы о его предыдущей учебе пропали. С величайшим трудом ему удалось уговорить администрацию московского медицинского факультета II Московского государственного университета принять его условно на пятый курс. Уже через месяц он стал первым студентом курса, но, чтобы получить диплом, ему необходимо было снова сдавать все экзамены за предыдущие четыре с половиной года…» [2]. Позднее пропавшие документы нашлись и Я.Л. Рапопорт закончил учёбу с красным дипломом в 1922 году [1].
В 1924 году доктор Рапопорт начал работу во II Московском государственном университете сначала ассистентом, затем доцентом, а позже (1938) — и профессором кафедры патологической анатомии. В 1935 году он защитил диссертацию на степень доктора медицинских наук на тему «Роль неспецифической аллергии в возникновении и локализации туберкулёза органов дыхания» [1]. В том же году совместно с коллегами, в том числе И.В. Давыдовским, профессор Рапопорт участвует в основании нового журнала, посвящённого патоморфологии, — «Архив патологической анатомии и патологической физиологии» (впоследствии — «Архив патологии»). Помимо этого, Я.Л. Рапопорт был назначен заместителем ответственного редактора отдела патологии и морфологии 2-го издания Большой медицинской энциклопедии [3].
За 20-летнюю работу во II Московском медицинском институте Яков Львович как учёный развивал тему патоморфогенеза кожного туберкулёза, а также изучал неревматические, некоронарные поражения миокарда. Совершенствуя концепцию формирования кожного туберкулёза, он предложил экспериментальную модель заболевания, которая была высоко оценена А.М. Безредкой, рекомендовавшим перенос заложенных в модели идей в изучение патогенеза других заболеваний [3].
В 1939 году Я.Л. Рапопорт был включён в рабочую группу в связи со вспышкой чумы в Москве, которая была связана с опытами профессора А.Л. Берлина с противочумной вакциной.
С 1942 по 1945 год профессор Рапопорт являлся главным патологоанатомом Карельского и 3-го Прибалтийского фронтов [1]. Во время Великой Отечественной войны он проводил исследования патоморфогенеза шока и алиментарной дистрофии. В 1944 году Я.Л. Рапопорт получил тяжёлую травму, из-за чего несколько месяцев провёл в госпиталях [3].
После демобилизации восстановиться в должности во II Московском медицинском институте не удалось, поэтому Яков Львович Рапопорт продолжил работу по специальности в прозектуре Первой градской больницы. После основания Института нормальной и патологической морфологии АМН СССР (1944) Я.Л. Рапопорт также работал в организованной им лаборатории на базе института [3]. В 1947 году он состоял военно-медицинским консультантом в Государственном контрольном институте сывороток и вакцин имени Л.А. Тарасевича. Об этой работе Я.Л. Рапопорт вспоминал: «Научным результатом моей работы… было объединение морфологических процессов в организме животных после введения им лечебных вакцин для создания у них иммунитета. Объединение этих сложных процессов и их клеточного состава было сформулировано в понятие об иммуноморфологии как важнейшего раздела общего учения об иммунитете» [3]. В конце 1940-х гг. Яков Львович Рапопорт занимался патоморфологическими исследованиями органов со злокачественными новообразованиями больных, прошедших лечение новым препаратом КР2. Заключения, сделанные Я.Л. Рапопортом в результате этих исследований, подвергли сомнению успешность лечения данным препаратом [3].
В дальнейшем, с 1951 по 1958 год, профессор Рапопорт руководил лабораторией патоморфологии в Государственном контрольном институте сывороток и вакцин имени Л.А. Тарасевича [4]. В 1951 году Институт нормальной и патологической морфологии АМН СССР был ликвидирован как «рассадник вирховианства» [3]. 13 января 1953 года вышло правительственное сообщение о «заговоре медиков-террористов и аресте врачей-убийц». Я.Л. Рапопорта сочли причастным к этому делу и уже 3 февраля 1953 года он был арестован [5]. В дальнейшем он был допрошен сначала в Лубянской, а затем в Лефортовской тюрьме. «Выяснилось позже: папа не подписывал никаких ложных показаний, ни на себя, ни на других, и его перевели на режим, который должен был его образумить: кандалы, много суток без сна, отсутствие передач. Но он и тогда ничего не подписал», — пишет в воспоминаниях Наталья Яковлевна Рапопорт [2]. Ему предъявляли обвинения в участии в террористической еврейской организации «врачей-убийц». После смерти И.В. Сталина 5 марта 1953 г. в деле произошёл перелом, условия содержания улучшились. 3 апреля 1953 г. выходит Правительственное сообщение о прекращении «дела врачей», Я.Л. Рапопорт возвращается домой.
С 1958 года профессор Рапопорт работал в Институте сердечно-сосудистой хирургии АМН СССР (ИССХ АМН СССР) по приглашению академика А.Н. Бакулева (рис. 2). Многогранная работа Я.Л. Рапопорта осуществлялась во многих научных учреждениях: Институте физиологии АН СССР, Институте охраны труда и профзаболеваний, Институте кожного туберкулёза, Институте противовирусных препаратов и производства вакцины против полиомиелита [1]. Я.Л. Рапопорт участвовал в открытии кафедр патологической анатомии в медицинских институтах Иванова и Махачкалы, куда впоследствии ездил с лекциями [3].
Рис. 2. Яков Львович Рапопорт за работой.
Fig. 2. Yakov Lvovich Rapoport at work.
Яков Львович Рапопорт является автором 200 научных публикаций в отечественных и зарубежных изданиях, среди которых отдельного внимания заслуживает учебник для высших учебных заведений «Курс патологии», который по праву считается одним из самых информативных источников знаний по предмету. Он использовался в том числе и иностранными коллегами (рис. 3).
Рис. 3. Обложка учебника «Курс патологии». Медгиз, 1950.
Fig. 3. Cover of the textbook “Pathology Course”. Medgiz; 1950.
В 1972–1973 гг. Я.Л. Рапопорт начинает работу над автобиографической книгой о «деле врачей». Впервые издание увидело свет в 1988 году и получило огромный общественный резонанс [3].
В 1989 году профессор Рапопорт был приглашён в качестве эксперта для участия во вскрытии тела скоропостижно скончавшегося академика А.Д. Сахарова. «Поручение, которое я получил, было тяжелейшим в эмоциональном, физическом и нравственном плане. Мне был девяносто один год, и мое физическое состояние было далеко от идеального», — писал тогда в записках Я.Л. Рапопорт [2].
Яков Львович Рапопорт продолжал продуктивно работать до конца своей жизни. На рубеже 90-летнего юбилея он так оценил своё состояние: «Кажется, приближается старость» [2].
Роль Якова Львовича Рапопорта в изучении патологической анатомии сердечно-сосудистой системы
Среди работ Я.Л. Рапопорта по кардиопатологии особое место занимает изучение миокардитов и кардиомиопатий: он создал их систематику и дал клинико-морфологическую характеристику [6]. Он также ввёл в практику понятие реанимационной патологии. Лаборатория патоморфологии, которая располагалась на базе ИССХ АМН СССР, принимала активное участие в изучении пороков сердца, патологии искусственного кровообращения, перфузионных осложнений [3]. В монографии 1972 года [6] совместно с В.И. Бураковским, Г.Г. Гельштейном, Е.И. Степаняном и Г.И. Цукерманом Яков Львович Рапопорт на основе опыта 1300 операций, проведённых с использованием аппарата искусственного кровообращения, привёл первую отечественную классификацию осложнений, развивающихся во время операции с искусственным кровообращением и экстракорпоральной оксигенацией. Он занимался фундаментальными вопросами патоморфологических реакций организма на адекватность перфузии в ходе использования аппарата искусственного кровообращения (рис. 4). Большое значение Я.Л. Рапопорт придавал нарушению сосудистой и клеточной проницаемости как универсальным механизмам в патогенезе расстройств, возникающих в ходе длительного применения искусственного кровообращения. Я.Л. Рапопорт изучил гистологические изображения препаратов, полученных от экспериментальных животных; сосудов микроциркуляторного русла различной локализации: твёрдой мозговой оболочки, брюшины, перикарда, лёгких, миокарда и других. По результатам трёх серий экспериментов профессор Рапопорт и его коллеги пришли к выводу, что невозможно выявить ведущий механизм из аппарата искусственного кровообращения, наиболее значимо влияющий на патоморфологические изменения. Состав перфузата, объёмные скорости перфузии, длительность операции и принципы анестезии — всё в целом влияет на адаптационные изменения организма.
Рис. 4 . Микрофотографии из монографии [6]: a — периваскулярное кровоизлияние в лёгком при перфузии цельной кровью; b — контрактурные изменения пучков кардиомиоцитов.
Fig. 4. Microphotographs from the monograph [6]: a — perivascular hemorrhage in the lung during perfusion with whole blood; b — contracture changes in cardiomyocyte bundles.
Яков Львович Рапопорт предложил морфологическую систематизацию различных форм контрактурных сокращений мышечных пучков миокарда и изучил патологическую анатомию острой сердечной недостаточности [6]. Контрактурная дистрофия в рамках главы об острой сердечной недостаточности вследствие применения аппарата искусственного кровообращения рассматривается им как морфологический субстрат острой сердечной недостаточности (см. рис. 4). Статья Я.Л. Рапопорта и Ю.Г. Тинякова расширила представление об этом состоянии, разделяя некоторые морфологические понятия: в частности, авторы разделили собственно контрактуры, полосы сокращения, фрагментации и зернисто-глыбчатый распад [7].
Яков Львович Рапопорт также принимал участие в изучении морфологической реакции ЦНС, гематоэнцефалического барьера на гипоперфузию в ходе операций с использованием аппарата искусственного кровообращения (рис. 5).
Рис. 5. Нейронофагия при острой гипоксии мозга [6].
Fig. 5. Neuronophagia in acute cerebral hypoxia [6].
Проблема патоморфоза в научных работах Якова Львовича РАпопорта
Патоморфоз новообразований Я.Л. Рапопорт определял по-разному: с одной стороны — как изменчивость общей картины заболеваний, с другой стороны, относительно конкретных нозологических единиц понятие раскрывается им как патоморфологические изменения состояния с течением времени [3]. В статье «Проблема патоморфоза» [8] он выделяет два основных направления этого процесса: естественный и искусственный, которые раскрываются с нескольких позиций. Естественный патоморфоз возможен как следствие изменения внешних условий, влияющих на макроорганизм, и внутренних условий, подразумевающих динамику работы систем организма. Автор подчёркивает важность понимания изменчивости болезни во времени, частного случая искусственного патоморфоза, с целью корректировки и улучшения современной диагностики и терапии. Отдельное внимание Я.Л. Рапопорт уделяет «терапевтически обусловленному патоморфозу», который в некоторых случаях затрудняет патологоанатомическую диагностику [4]. Изучение патоморфоза профессор Рапопорт реализовывал и на макроскопическом уровне (в ходе вырезки операционного материала), и по микроскопическим данным, при изучении гистологических препаратов. Для обозначения патоморфоза опухолей им предложен особый термин — онкоморфоз.
Роль Якова Львовича Рапопорта в развитии иммуноморфологии
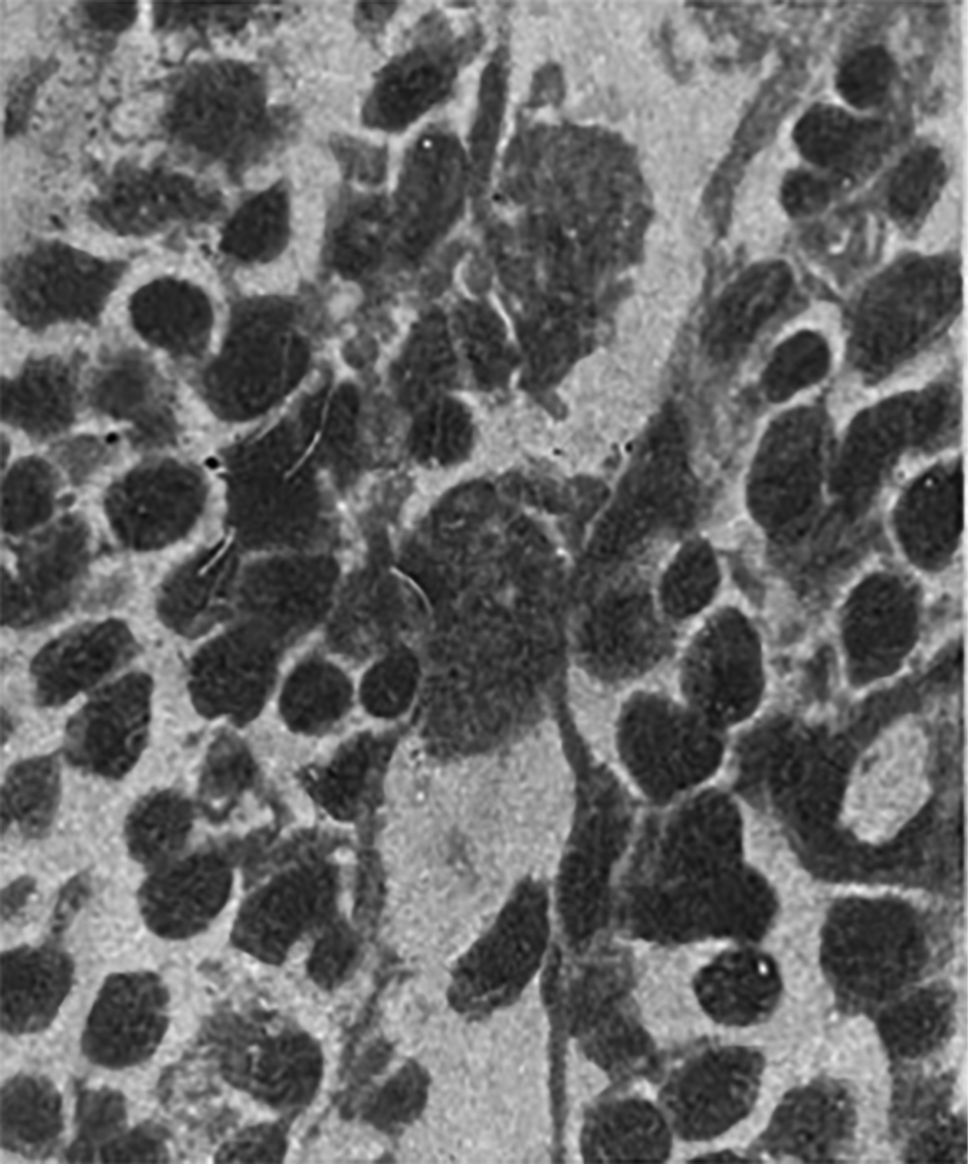
Особое внимание Я.Л. Рапопорт уделял морфологической основе механизмов нервной и гуморальной регуляции иммуногенеза. Он подчёркивал особую значимость изучения роли лимфатического аппарата и ретикуло-гистиоцитарной системы (в терминах тех лет) как центра продукции антител. Им получены уникальные гистологические препараты тканей экспериментальных животных, сенсибилизированных экзогенными антителами (рис. 6) [6].
Рис. 6. Лимфатический узел морской свинки на 20-й день после введения дифтерийного анатоксина. Резкое набухание синусовых клеток, ретикулогистиоцитарная гиперплазия плазмоцитов [8].
Fig. 6. Lymph node of a guinea pig on the 20th day after administration of diphtheria toxoid. Sharp swelling of sinus cells, reticulohistiocytic hyperplasia of plasma cells [8].
В 1934–1935 гг. Яков Львович Рапопорт провёл серию исследований, посвящённых кожному туберкулёзу, и впоследствии дополнил свои выводы в сборнике «Проблемы кожного туберкулёза» [9]. Помимо обзора состояния этой проблемы он приводит результаты собственных исследований, целью которых стало всестороннее изучение экспериментальной модели кожного туберкулёза. Особую сложность этих экспериментов составлял момент искусственной сенсибилизации организма к палочке Коха, так как большое значение в этом процессе приобретали механизмы неспецифического иммунитета, которые недостаточно изучены даже на современном этапе развития науки. Вызванная неспецифическими в отношении туберкулёза протеинами аллергическая реакция у экспериментальных животных в зависимости от степени её выраженности отражалась и на структурных особенностях туберкулёзного процесса. В то же время в рамках исследований Я.Л. Рапопорта удаётся реализовать гематогенный путь распространения туберкулёза в кожу, что, по его словам, являлось первой подобной моделью на тот период [9].
ДОПОЛНИТЕЛЬНАЯ ИНФОРМАЦИЯ
Источник финансирования. Авторы заявляют об отсутствии внешнего финансирования при проведении исследования.
Конфликт интересов. Авторы декларируют отсутствие явных и потенциальных конфликтов интересов, связанных с публикацией настоящей статьи.
Вклад авторов. Все авторы подтверждают соответствие своего авторства международным критериям ICMJE (все авторы внесли существенный вклад в разработку концепции, проведение исследования и подготовку статьи, прочли и одобрили финальную версию перед публикацией).
Наибольший вклад распределён следующим образом: М.В. Мнихович — идея статьи, написание текста, подбор иллюстраций; П.А. Ахсанова — написание и техническое редактирование текста; И.А. Ширипенко — написание и литературное редактирование текста; Т.В. Безуглова — подбор иллюстраций и утверждение структуры статьи; Д.Д. Проценко — идея статьи, предоставление доступа к личным архивам для подбора иллюстраций и источников литературы; М.В. Лозина — подбор источников литературы; П.О. Громов — редактирование текста статьи; О.Е. Останин — редактирование текста статьи.
ADDITIONAL INFORMATION
Funding source. This study was not supported by any external sources of funding.
Competing interests. The authors declare that they have no competing interests.
Authors’ contribution. All authors made a substantial contribution to the conception of the work, acquisition, analysis, interpretation of data for the work, drafting and revising the work, final approval of the version to be published and agree to be accountable for all aspects of the work. M.V. Mnikhovich — idea of the article, text writing, selection of illustrations; P.A. Akhsanova — writing and technical editing of the text; I.A. Shiripenko — writing and literary editing of the text; T.V. Bezuglova — selection of illustrations and approval of the structure of the article; D.D. Protsenko — the idea of the article, providing access to personal archives for the selection of illustrations and literature sources; M.V. Lozina — selection of literature sources; P.O. Gromov — editing the text of the article; O.E. Ostanin — editing the text of the article.
1 Глазунов Александр Константинович (1865–1936) — композитор, дирижёр, профессор Санкт-Петербургской консерватории и её директор в период 1905–1928 гг.
2 КР — препарат Клюева–Роскиной, или круцин. Иммунобиологический препарат, продукт переработки Trypanosoma cruzi.
Об авторах
Максим Валерьевич Мнихович
Российский научный центр хирургии имени академика Б.В. Петровского
Автор, ответственный за переписку.
Email: mnichmaxim@yandex.ru
ORCID iD: 0000-0001-7147-7912
SPIN-код: 6975-6677
канд. мед. наук, доцент
Россия, МоскваПолина Алексеевна Ахсанова
Российский университет дружбы народов имени Патриса Лумумбы
Email: doc.polina.tarasova@gmail.com
ORCID iD: 0000-0003-1838-5802
SPIN-код: 7862-6199
Россия, Москва
Иван Александрович Ширипенко
Российский научный центр хирургии имени академика Б.В. Петровского; Российский национальный исследовательский медицинский университет имени Н.И. Пирогова
Email: hikkiwahikki@gmail.com
ORCID iD: 0000-0002-5947-1523
SPIN-код: 3691-0148
Россия, Москва; Москва
Татьяна Васильевна Безуглова
Российский научный центр хирургии имени академика Б.В. Петровского
Email: bezuglovat@mail.ru
ORCID iD: 0000-0001-7792-1594
SPIN-код: 3943-4400
канд. биол. наук
Россия, МоскваДмитрий Дмитриевич Проценко
Первый Московский государственный медицинский университет имени И.М. Сеченова (Сеченовский Университет)
Email: protsenko_d_d@staff.sechenov.ru
ORCID iD: 0000-0002-5851-2768
SPIN-код: 3230-3108
канд. мед. наук, доцент
Россия, МоскваМилена Владиславовна Лозина
Российский научный центр хирургии имени академика Б.В. Петровского
Email: puzar.mila@yandex.ru
ORCID iD: 0000-0003-1102-1133
SPIN-код: 1529-3528
Россия, Москва
Павел Олегович Громов
Российский национальный исследовательский медицинский университет имени Н.И. Пирогова
Email: remol_dobronog@mail.ru
ORCID iD: 0000-0002-6704-9293
Россия, Москва
Олег Евгеньевич Останин
Российский национальный исследовательский медицинский университет имени Н.И. Пирогова
Email: ostanin.oleg2011@yandex.ru
ORCID iD: 0009-0007-1962-3020
Россия, Москва
Список литературы
- Серов В.В. Яков Львович Рапопорт (к 100-летию со дня рождения) // Архив патологии. 1998. Т. 60, № 4. С. 53–54.
- Рапопорт Н.Я. То ли быль, то ли небыль: о времени и о себе. Ростов-на-Дону: Феникс, 2004. 396 с.
- Рапопорт Н.Я. О моем отце: к десятой годовщине со дня смерти. 2006. Режим доступа: https://berkovich-zametki.com/2006/Zametki/Nomer1/Rapoport1.htm Дата обращения: 11.03.2024.
- Лушников Е.Ф., Абросимов А.Ю. Учение Я.Л. Рапопорта о патоморфозе: прошлое и настоящее // Архив патологии. 2013. T. 75, № 4. С. 62–67. EDN: RBLWFN
- Рапопорт Я.Л. «Дело врачей» 1953 года: показания обвиняемого. Москва: Алгоритм, 2017. 240 с.
- Бураковский В.И., Рапопорт Я.Л., Гельштейн Г.Г., и др. Осложнения при операциях на открытом сердце. Москва: Медицина, 1972. 342 с. EDN: SKLXTX
- Рапопорт Я.Л., Тиняков Ю.Г. Контрактурные сокращения мышечных волокон сердца, их патогенез и значение в развитии острой сердечной недостаточности // Архив патологии. 1969. Т. 31, № 11. С. 26–31.
- Рапопорт Я.Л. Проблема патоморфоза. // Архив патологии. 1962. Т. 24, № 2. С. 3–11
- Проблемы кожного туберкулеза: сборник работ Московского института кожного туберкулеза (люпозорий) / под ред. С.Я. Капланского, Я.Л. Рапопорта. Москва-Ленинград: Государственное издательство биологической и медицинской литературы, 1937. 385 с.
Дополнительные файлы








