Age-related changes in the microstructural organization of the human posterior associative cortex from birth to age 12 years
- Authors: Tsekhmistrenko T.A.1,2, Obukhov D.K.3, Omar S.1
-
Affiliations:
- Peoples' Friendship University of Russia named after Patrice Lumumba
- Institute of Developmental Physiology of the Russian Academy of Education
- St Petersburg University
- Issue: Vol 161, No 1 (2023)
- Pages: 5-17
- Section: Original Study Articles
- URL: https://journals.rcsi.science/1026-3543/article/view/232045
- DOI: https://doi.org/10.17816/morph.562844
- ID: 232045
Cite item
Abstract
BACKGROUND: Human posterior associative cortex, including its temporoparietal–occipital subarea, is important in cognitive control, verbal activity, sensory stimuli processing, and attention regulation, visuomotor responses, and situational decision making. Despite data suggesting the prolonged formation of these higher mental functions during postnatal ontogeny, the posterior associative cortex has been insufficiently characterized with respect to microstructural transformations in its individual functionally specialized zones during childhood development.
AIM: This study aimed to examine age-related changes in the cytoarchitecture of functionally differentiated zones of the posterior associative cortex in the temporal and occipital lobes of the cerebral hemispheres from birth to 12 years of age.
MATERIALS AND METHODS: The study analyzed 73 left cerebral hemispheres of male children from birth to age 12 years who died because of an accident. Computerized morphometry was employed to measure cortical thickness, outer pyramidal plate thickness, and pyramidal neuron profile field area on Nissl-stained paraffin sections of the cortex taken in the temporoparietal–occipital subarea (subareas 37ac, 37a, and 37d) and area 19 of the occipital region. Quantitative data were analyzed at annual intervals.
RESULTS: The thickness of the posterior associative cortex increased on the lateral surface of the temporal and occipital lobes at the ages of 1, 4, and 7 years; on the inferior medial surface of the temporal lobe at the ages of 1 and 6 years; and on its medial surface at the ages of 1 and 7 years. The layer III thickness in subareas 37ac, 37a, and 37d significantly increased synchronously with the increase in cortical cross-sectional area, and in area 19, it continued from the age of 4 to 7 years after the stabilization of the group-average indicators of cortical thickness in this field. All areas examined were characterized by a two-step growth of cortical thickness, which exceeded the growth rate of layer III thickness in relation to the total cortical cross-section. The size of the pyramidal neurons in subareas 37ac and 37d increased in two stages, whereas those in subarea 37a and area 19 increased in three stages of different durations.
CONCLUSIONS: Microstructural changes in the posterior associative cortex in children are heterochronic, heterodynamic, and specialized not only in topographically and functionally distinct cortical areas but also in separate cytoarchitectonic fields, subfields, and level of cytoarchitectonic layers and intracortical microstructural components. The most significant morphofunctional transformations are observed during the first year of life and at the ages of 3–4, 6–7, and 10 years.
Full Text
ОБОСНОВАНИЕ
Одной из областей коры большого мозга, на которой фокусируется особое внимание учёных, является задняя ассоциативная кора. Эта область включает фрагменты коры, расположенные в передней, средней и задней частях височной доли, задненижней части теменной доли, а также в передней части латерального, вентрального и медиального отделов затылочной доли полушарий большого мозга. Согласно карте цитоархитектонических полей неокортекса К. Бродмана [1], височно-теменно-затылочная подобласть коры височной доли составляет основную часть задней ассоциативной коры большого мозга человека и представлена полем 37. В отечественном «Атласе цитоархитектоники коры большого мозга человека» [2] в составе поля 37 височно-теменно-затылочной подобласти неокортекса обозначены 6 подполей, 3 из которых были изучены в данном исследовании. Сзади к этой подобласти прилежит третичное, или ассоциативное, поле 19 затылочной области коры, совместно с которым, а также с нижнетеменными областями височно-теменно-затылочная подобласть коры выполняет роль высшего интегрирующего звена в анализе зрительной информации, а также в реализации механизмов межанализаторного синтеза [3–5].
Исследования, касающиеся возрастных изменений в цито- и фиброархитектонике задней ассоциативной коры большого мозга у детей, обычно основаны на ограниченном количестве наблюдений и имеют в основном клинический или описательный характер [6–8]. Однако большой прогресс в изучении функциональной организации задней ассоциативной коры, её участия в когнитивных процессах, мотивационной деятельности, принятии решений и реализации наиболее сложных форм психоэмоциональной регуляции обосновывает необходимость детального изучения морфологических основ развития этого отдела неокортекса у типично развивающихся детей с применением современных биометрических методик.
Цель исследования — изучение на количественной основе возрастных изменений цитоархитектоники в функционально отличающихся зонах задней ассоциативной коры большого мозга у типично развивающихся детей от рождения до 12 лет.
МАТЕРИАЛЫ И МЕТОДЫ
Материалом исследования послужили 73 левых полушария большого мозга детей мужского пола в возрасте от рождения до 12 лет, погибших в результате несчастных случаев без повреждений головного мозга. Использован секционный материал, собранный в судебно-медицинских моргах отделов № 2 и 4 Бюро судебно-медицинской экспертизы Московской области, а также в прозектурах Морозовской детской городской клинической больницы и Детской городской клинической больницы № 13 имени Н.Ф. Филатова Департамента здравоохранения г. Москвы. Сбор материала был разрешён этической комиссией Института возрастной физиологии Российской академии образования (протокол № 4 от 15.02.1996 г). Материал сгруппирован по годам, по 3–8 наблюдений в каждой возрастной группе.
После фиксации мозга в 10% нейтральном формалине фрагменты ткани вырезали в височно-теменно-затылочной подобласти коры височной доли (area temporoparieto-occipitalis, TPO), в том числе в подполе 37ас (латеральная поверхность полушария, задний отдел средней височной извилины, gyrus temporalis medius), подполе 37а (нижнемедиальная поверхность, задний отдел латеральной затылочно-височной извилины, gyrus occipitotemporalis lateralis, в составе веретенообразной извилины, gyrus fusiformis) и подполе 37d (медиальная поверхность, передний отдел язычной извилины, gyrus linqualis), а также в затылочной области коры (латеральная поверхность полушария, поле 19 в предзатылочной подобласти, subarea praeoccipitalis, кзади от теменно-затылочной борозды, sulcus parieto-occipitalis, и подполя 37ас) [2].
Выбор корковых зон для исследования осуществляли на основе их функциональной значимости. Подполе 37ас входит в состав дорсального зрительного пути (зона V5, или hMT+) и связано со зрительно-пространственным восприятием движущихся объектов [9]. Подполе 37а (fusiform face area) участвует в опознании лица и цветовосприятии [10]. Подполе 37d имеет отношение к фокусировке внимания, контролю эмоций и реализации наглядно-действенного мышления [11]. Фрагмент третичного (ассоциативного) поля 19 в зоне так называемого поля V3a, как и подполе 37ас, функционально принадлежит к дорсальному зрительно-моторному пути [12].
Каждый образец ткани мозга обезвоживали в спиртах с увеличением концентрации и заливали в парафин, затем из парафиновых блоков изготавливали фронтальные серийные срезы толщиной 10 мкм. Из каждой серии произвольно выбирали по 4 среза, которые окрашивали крезиловым фиолетовым по методу Ниссля. Для дальнейшего анализа гистологических срезов использовали технологию Image Tools (National Institutes of Health, США) и программу геометрических измерений микрообъектов ImageExpert™ Gauge (NEXSYS, Россия, госреестр № 46532-11), а также микроскоп «Биолам-15» («ЛОМО», Россия) со встроенной USB-камерой UCMOS01300KPA («Альтами», Россия). С целью изучения толщины коры (ТК) и слоёв мы использовали алгоритмы программы для измерения расстояний между объектами. Чтобы измерить размеры клеток, мы выделяли изображение одного или нескольких нейронов от фона автоматически с учётом оптической плотности, позволяющей чётко различать форму нейрона, его ядро и ядрышко. В таком случае мы предполагали, что срез проходит через центральную плоскость клетки с наибольшей площадью нейрона на срезе. Результаты измерений площади профильных полей выбранных нейронов записывали в файл Excel для дальнейшей статистической обработки.
В апикальной части извилины проведены измерения ТК и толщины наружной пирамидной пластинки, или слоя III (ТIII), а также измерена площадь профильных полей пирамидных нейронов (ПН) в III3 подслое. Для каждого среза и каждого параметра объём выборки составил не менее 10, для каждого препарата — не менее 40, а для каждого возраста — не менее 120 измерений.
Статистический анализ. С помощью пакета статистических программ SigmaPlot (SYSTAT Software, США), интегрированного с MS Exel, для изучаемых показателей вычисляли среднюю величину, стандартную ошибку и доверительный интервал, при этом проверяли соблюдение нормальности распределения величин в сравниваемых выборках, анализировали распределение вероятностей количественных признаков [13]. Для определения возрастных изменений средних значений размерных показателей при проведении измерений на группе срезов коры большого мозга, полученных от разных индивидуумов, использовали метод оценки и сравнения средних величин с учётом вариабельности первичных измеряемых объектов и индивидуальной изменчивости [14]. Оценку и сравнение средних величин Mi производили с вычислением стандартной ошибки mi и стандартного квадратического отклонения σi для группы измерений показателя на срезе. Аналогичные вычисления производили также по каждому параметру для группы срезов в каждом поле/подполе коры большого мозга одного индивидуума. Затем по той же методике вычисляли среднее значение М каждого из параметров, измеренных на всех срезах от всех индивидуумов одной возрастной группы, а стандартную ошибку m общегрупповой средней величины определяли с учётом необходимого сложения групповых дисперсий. Нормальность распределения вариационных рядов проверяли на основе теста Шапиро–Уилка [15]. Для оценки различий между показателями разных возрастных групп и разных корковых зон одной возрастной группы применяли однофакторный дисперсионный анализ (ANOVA) с использованием F-критерия для оценки равенства сравниваемых дисперсий. Различия между выборками считали значимыми, если значение F-критерия превышало критическое значение для уровня значимости дисперсий α=0,01 и уровня значимости различий средних значений р ≤0,05. Для подтверждения значимости различий между выборками с различным числом наблюдений применяли тест Тьюки–Крамера [15].
РЕЗУЛЬТАТЫ
В исследованных корковых зонах новорождённых в апикальных участках извилин среднегрупповые показатели ТК статистически значимо не различались и варьировали от 1400±76 мкм в подполе 37ас до 1505±63 мкм в поле 19 (табл. 1).
Таблица 1. Изменение толщины коры в задней ассоциативной области неокортекса у детей от рождения до 12 лет (M±m), мкм
Table 1. Changes in cortical thickness in the posterior associative area of the neocortex in children from birth to 12 years (M±m, μm)
Возраст, годы / Age, years | N | Подполе 37ас / Subarea 37ac | Подполе 37а / Subarea 37a | Подполе 37d / Subarea 37d | Поле 19 / Area 19 | ANOVA (различия между корковыми зонами) / (differences between cortical areas): dfмеж/betw 3, dfвн/in 476 |
Новорождённые / Newborn | 7 | 1400±76 | 1477±107 | 1480±55 | 1505±63 | F=2,03685 р=0,1355 α >0,05 |
1 | 3 | 2343±157*^ | 2322±132*# | 2174±62*# | 2478±66* p <0,001 | F=12,0117 р=0,001185 α=0,01 |
2 | 7 | 2499±35^ | 2437±54# | 2286±48# | 2647±46 | F=10,5247 р=0,00013 α=0,01 |
3 | 6 | 2533±44# | 2488±67# | 2406±49# | 2771±52 | F=8,48307 р=0,00078 α=0,01 |
4 | 3 | 2550±19# | 2524±29# | 2451±30# | 2690±31** | F=12,91637 р=0,0002 α=0,01 |
5 | 3 | 2500±45 | 2589±47 | 2450±37 | 2628±75 | F=2,88304 р=0,08906 α >0,05 |
6 | 8 | 2552±53# | 2667±45**^ | 2439±56# | 2815±45 | F=10,50211 р=0,00011 α=0,01 |
7 | 5 | 2631±46**# | 2530±39# | 2659±40**# | 2860±47 | F=9,77944 р=0,00056 α=0,01 |
8 | 5 | 2600±67 | 2589±72 | 2646±45 | 2730±49 | F=1,15614 р=0,35703 α >0,05 |
9 | 6 | 2599±62 | 2632±52 | 2631±29 | 2793±53 | F=2,98244 р=0,05876 α >0,05 |
10 | 7 | 2619±49 | 2598±45 | 2623±31 | 2759±43 | F=2,89874 р=0,05581 α >0,05 |
11 | 7 | 2630±54 | 2584±64 | 2574±66 | 2771±47 | F=2,50172 р=0,08465 α >0,05 |
12 | 6 | 2620±54 | 2660±60 | 2605±74 | 2757±43 | F=1,31124 р=0,29843 α >0,05 |
ANOVA (различия между возрастными группами) / (differences between age groups): dfмеж/betw 12, dfвн/in 1547 | F=52,93447 p=3,947e-11 α=0,01 | F=41,43893 p=4,939e-11 α=0,01 | F=48,38644 p=3,351e-10 α=0,01 | F=59,28779 p=4,718e-11 α=0,01 | ||
Примечание: здесь и в табл. 2: N — число индивидуумов в возрастной группе; * значимые различия при р <0,001 по сравнению с новорождёнными в том же подполе коры; ** значимые различия при р <0,001÷0,05 по сравнению со значимым показателем в том же подполе в предыдущей возрастной группе; # значимые различия по сравнению с аналогичным показателем в поле 19 в той же возрастной группе; ^ то же по сравнению с подполем 37d. Здесь и в табл. 2, 3: ANOVA (однофакторный дисперсионный анализ): dfмеж — межгрупповое число степеней свободы; dfвн — внутригрупповое число степеней свободы; F — критерий оценки равенства сравниваемых дисперсий; р — уровень значимости различий средних величин; α — уровень значимости различий дисперсий по F-критерию.
Note: here and in the Table 2: N — number of individuals in the age group; * significant differences at p <0.001 compared to newborns in the same cortical subarea; ** significant differences at p <0.001÷0.05 compared to a significant index in the same subarea in the previous age group; # significant differences compared to a similar index in area 19 in the same age group; ^ the same compared to subarea 37d. Here and in the Tables 2, 3: ANOVA (one-factorial analysis of variance): dfbetw — between-group number of degrees of freedom; dfin — within-group number of degrees of freedom; F — criterion for assessing the equality of the compared variances; p — significance level of differences between means; α — significance level of differences between variances according to the F criterion.
Как видно из таблицы, в течение первого года жизни у детей происходило синхронное увеличение ТК во всех исследованных зонах неокортекса. Среднегрупповые показатели годичного прироста ТК в ТРО и в поле 19 затылочной области варьировали от 57,2 до 67,4% относительно показателей новорождённых. Исключение составило подполе 37d, в котором относительный прирост поперечника коры составил в среднем 46,9%.
У детей старше 12 мес нарастание коры в толщину наблюдалось в разные сроки. К 4 годам ТК значимо увеличивалась в поле 19 затылочной области коры, к 6 годам — в подполе 37а, к 7 годам — в подполях 37ас и 37d ТРО, после чего происходила стабилизация коркового поперечника. По среднегрупповым показателям нарастание коры после 12 мес происходило с интенсивностью от 2,5 до 4,9% в год, при этом весь среднегрупповой постнатальный прирост ТК от рождения до 12 лет в различных зонах коры варьировал в пределах от 74,0 до 87,9% относительно показателей новорождённых.
Различия в интенсивности нарастания коры в толщину приводили к значимым отличиям ТК в разных корковых зонах на опредёленных возрастных промежутках. У детей в возрасте от 1 до 2 лет наибольшая ТК наблюдалась в поле 19 затылочной области коры и в подполе 37ас ТРО. В подполях 37а и 37d корковый поперечник существенно уступал по толщине полю 19. В ТРО подполе 37а на нижнемедиальной поверхности левого полушария достигало большей ТК по сравнению с подполем 37d на его медиальной поверхности. На возрастном промежутке от 3 до 4 лет между подполями ТРО статистически значимых различий по ТК не наблюдалось, однако все подполя уступали полю 19 по величине этого показателя. К 5 годам во всех исследованных корковых зонах среднегрупповые показатели ТК не имели статистически значимых различий. На возрастном отрезке от 6 до 7 лет снова регистрировались различия по ТК между подполями поля 37 и полем 19, которые от 7 до 12 лет больше не наблюдались.
Цитоархитектонические слои верхнего этажа задней ассоциативной коры были чётко обозначены уже у новорождённых. В подполях 37ас, 37а и поле 19 толщина наружной пирамидной пластинки (слой III) не имела статистически значимых различий и составила соответственно в среднем 460±34 мкм, 451±18 мкм и 499±18 мкм. В подполе 37d на медиальной поверхности ТIII не превышала в среднем 360±20 мкм и была меньше по сравнению с другими исследованными корковыми зонами. По данным дисперсионного анализа, в каждой отдельной корковой зоне от рождения до 12 лет наблюдались статистически значимые различия между возрастными группами по толщине наружной пирамидной пластинки (табл. 2).
Таблица 2. Изменение толщины слоя III в задней ассоциативной области левого полушария большого мозга у детей от рождения до 12 лет (M±m), мкм
Table 2. Changes in layer III thickness in the posterior associative area of the left cerebral hemisphere in children from birth to 12 years (M±m, μm)
Возраст, годы / Age, years | N | Подполе 37ас / Subarea 37ac | Подполе 37а / Subarea 37a | Подполе 37d / Subarea 37d | Поле 19 / Area 19 | ANOVA (различия между корковыми зонами) / (differences between cortical areas): dfмеж/betw 3, dfвн/in 476 |
Новорождённые / Newborn | 7 | 460±34^ | 451±18^ | 360±20# | 499±18 | F=10,2508 р=0,000177 α=0,01 |
1 | 3 | 809±9*^ | 780±24*# | 759±15*# | 852±12* | F=9,62152 р=0,00026 α=0,01 |
2 | 7 | 888±30 | 810±34# | 780±30# | 985±29 | F=8,85174 р=0,0003955 α=0,01 |
3 | 6 | 893±54 | 872±42 | 855±26 | 991±24 | F=2,51071 р=0,08791 α >0,05 |
4 | 3 | 893±19# | 896±42# | 860±14# | 994±18 | F=9,56485 р=0,00046 α=0,01 |
5 | 3 | 903±17# | 910±45 | 868±19# | 1008±26 | F=5,11633 р=0,01484 α=0,01 |
6 | 8 | 910±21 | 984±29**^ | 863±33 | 967±28 | F=3,85404 р=0,01994 α=0,05 |
7 | 5 | 964±19** | 995±27 | 916±19**# | 1031±42** | F=3,57802 р=0,03214 α=0,05 |
8 | 5 | 928±24 | 916±28 | 909±29 | 944±38 | F=0,24382 р=0,86466 α >0,05 |
9 | 6 | 951±45 | 932±24 | 912±27 | 978±40 | F=0,63725 р=0,59978 α >0,05 |
10 | 7 | 933±32 | 901±41 | 904±27 | 989±33 | F=1,4601 р=0,24841 α >0,05 |
11 | 7 | 930±39 | 915±41 | 885±38 | 962±43 | F=0,63558 р=0,59937 α >0,05 |
12 | 6 | 945±33 | 906±41 | 900±36 | 1009±55 | F=1,40152 р=0,26888 α >0,05 |
ANOVA (различия между возрастными группами) / (differences between age groups): dfмеж/betw 12, dfвн/in 1547 | F=17,207916 р=2,806e-10 α=0,01 | F=18,596701, р=6,66134е-16 α=0,01 | F=32,62429 р=0 α=0,01 | F=19,44652 р=5,537e-10 α=0,01 | ||
В течение первого года жизни наблюдалось более интенсивное увеличение толщины наружной пирамидной пластинки во всех изученных корковых зонах по сравнению с толщиной коркового поперечника в целом. За период с рождения до 12 мес ТIII увеличилась в подполе 37ас и поле 19 в 1,9 раза, в подполе 37а — в 1,8 раза, в подполе 37d — в 2,0 раза. Годичный прирост ТIII в исследованных зонах задней ассоциативной коры варьировал в пределах от 72,9 до 90,0% и более относительно показателей новорождённых.
На протяжении раннего детства (от 1 до 3 лет) и у детей 4–5 лет среднегрупповые показатели ТIII статистически значимо не изменялись, однако увеличение поперечника слоя III медленным темпом продолжалось. Это привело к тому, что к 6 годам ТIII статистически значимо увеличилась в подполе 37а, к 7 годам — в остальных исследованных подполях ТРО и в поле 19. Постепенное нарастание поперечника слоя III происходило с интенсивностью от 3,2 до 5,2% в год, при этом весь среднегрупповой постнатальный прирост ТIII от рождения до 12 лет в различных корковых зонах варьировал в диапазоне от 106,6 до 154,4% относительно показателей новорождённых.
Так же, как и ТК, ТIII на определённых возрастных промежутках имела статистически значимые отличия в разных топографических областях неокортекса. У новорождённых в подполе 37d на медиальной поверхности полушария ТIII была в 1,3–1,4 раза меньше по сравнению с остальными корковыми зонами. У детей от 1 до 2 лет наибольшая ТIII наблюдалась в поле 19 затылочной области коры и в подполе 37ас ТРО. В подполях 37а и 37d толщина слоя III, как и ТК в целом, уступала этому показателю в поле 19. К 3 годам возрастные изменения приводили к тому, что различия по ТIII в исследованных зонах коры сглаживались, а на возрастном отрезке от 4 до 5 лет подполя ТРО снова значимо уступали полю 19 по толщине слоя III. Значимо нарастая у детей 6–7 лет, ТIII на следующем возрастном промежутке от 8 до 12 лет во всех исследованных корковых зонах не имела различий, а среднегрупповые показатели оставались относительно стабильными.
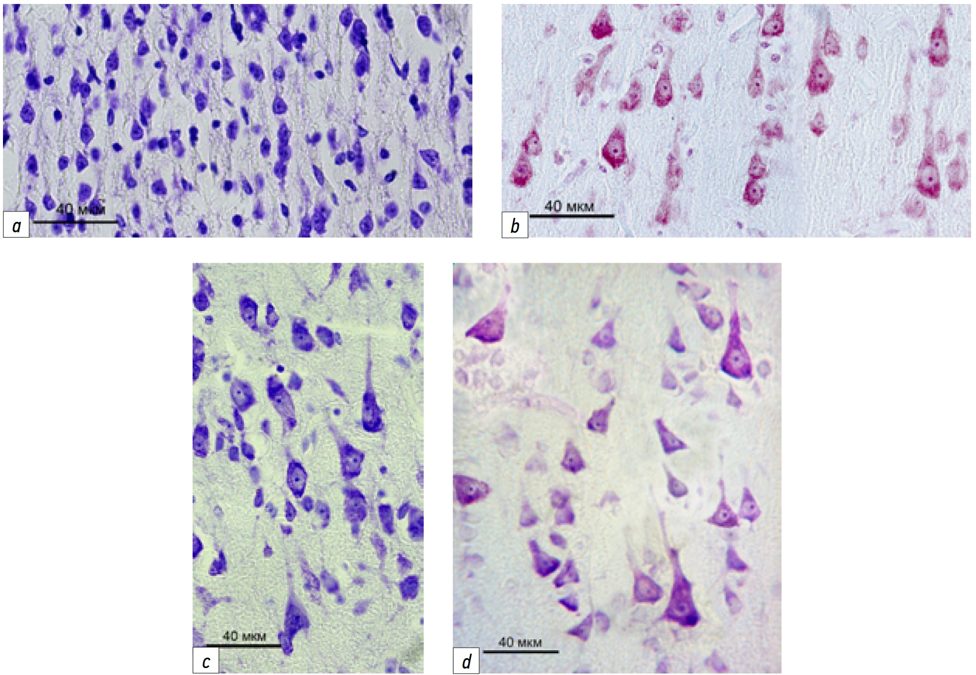
К моменту рождения ПН III слоя в подполях ТРО и поле 19 затылочной области коры были слабо дифференцированы и в большинстве своём имели округлые очертания на срезе (рис. 1).
Рис. 1. Нейроархитектоника III3 подслоя подполя височно-теменно-затылочной подобласти коры большого мозга у детей: a — новорождённый, подполе 37d; b — 12 мес, подполе 37d; c — 3 года, подполе 37ас; d — 10 лет, подполе 37а. Демонстрируются дифференцировка и увеличение площади профильного поля пирамидных нейронов с возрастом. Окраска крезиловым фиолетовым по Нисслю. Ув. 40×10.
Fig. 1. Neuroarchitectonics of sublayer III3 of the temporoparietal-occipital subarea of the cerebral cortex in children: a — newborn, subarea 37d; b — 12 months, subarea 37d; c — 3 years, subarea 37as; d — 10 years, subarea 37a. The differentiation and increase of the profile field area of pyramidal neurons with age is shown. Nissl staining with cresyl violet. Magnification 40×10.
Среднегрупповые показатели площади ПН ТPО варьировали от 70,8±2,4 мкм2 в подполе 37а до 86,1±2,3 мкм2 в подполе 37d и не имели статистически значимых различий. В поле 19 коры новорождённых наблюдались особенно мелкие нейроны, средняя площадь которых составляла 41,8±1,4 мкм2. По данным дисперсионного анализа, в каждой отдельной корковой зоне от рождения до 12 лет отмечены статистически значимые различия между возрастными группами по ПН в составе ТIII (табл. 3).
Таблица 3. Анализ различий площади профильных полей пирамидных нейронов подслоя III3 в разных зонах задней ассоциативной коры большого мозга у детей от рождения до 12 лет
Table 3. Analysis of the differences in the group mean area of the profile fields of pyramidal neurons of sublayer III3 in different zones of the posterior associative cortex in children from birth to 12 years
ANOVA (различия между возрастными группами) / (differences between age groups): dfмеж/betw 12, dfвн/in 1547 | ||||
Зона коры / Cortical area | Подполе 37ас | Подполе 37а | Подполе 37d | Поле 19 |
F | 20,45645 | 47,1243 | 20,92081 | 48,26987 |
p | 0,000168 | 5,167e-10 | 0,0002481 | 5,152e-10 |
α | 0,01 | 0,01 | 0,01 | 0,01 |
ANOVA (различия между корковыми зонами) / (differences between cortical areas): dfмеж/betw 3, dfвн/in 476 | |||
Возраст, годы / Age, years | F | p | α |
Новорождённые / Newborn | 35,9120 | 9,83811e-10 | 0,01 |
1 | 1,72386 | 0,18483 | >0,05 |
2 | 0,09844 | 0,96023 | |
3 | 3,6584 | 0,02421 | 0,05 |
4 | 2,08532 | 0,12475 | >0,05 |
5 | 0,47277 | 0,7037 | |
6 | 1,21369 | 0,32302 | |
7 | 0,73415 | 0,54043 | |
8 | 0,2934 | 0,8298 | |
9 | 0,66887 | 0,57826 | |
10 | 0,3785 | 0,76921 | |
11 | 0,22543 | 0,8779 | |
12 | 0,53037 | 0,66515 | |
В течение первого года жизни происходило синхронное увеличение размеров ПН во всех исследованных корковых зонах: от рождения до 12 мес — в подполях ТРО в 1,9–2,5 раза, а в поле 19 — в 4,5 раза. Среднегрупповые показатели годичного прироста ПН в ТРО варьировали от 93,3 до 150,7% относительно показателей новорождённых. Исключение составило поле 19, в котором относительный прирост размеров ПН за 12 мес составил более 350%.
У детей старше 12 мес увеличение размеров ПН наблюдалось в разные сроки. К трём годам они значимо нарастали в подполях 37а, 37d ТРО и поле 19. К 7 годам размеры ПН увеличивались в подполе 37ас, к 8 годам — в подполе 37а, к 10 годам — в поле 19, после чего происходила стабилизация ПН во всех исследованных зонах коры. Увеличение среднегрупповых показателей ПН после 12 мес происходило с интенсивностью от 6,1 до 8,6% в год, а среднегрупповой постнатальный прирост ПН от рождения до 12 лет в различных корковых зонах составил от 223,6 до 278,4% в подполях ТРО и 595,7% — в поле 19 затылочной области коры относительно показателей новорождённых.
В разных корковых зонах у новорождённых и трёхлетних детей среднегрупповые показатели ПН в слое III имели значимые различия. У новорожденных размеры ПН в подполях ТРО были статистически значимо больше по сравнению с полем 19 затылочной области коры. У трёхлетних детей подполе 37ас по величине ПН уступало полю 19. После 3 лет межзональные различия между среднегрупповыми показателями ПН сглаживались (рис. 2; см. рис. 1).
Рис. 2. Возрастные и межгрупповые различия площади профильных полей пирамидных нейронов в подслое III3 в различных зонах задней ассоциативной коры у детей; # различия статистически значимы по сравнению с аналогичным показателем в поле 19 в той же возрастной группе при p <0,03; * по сравнению с новорождёнными при р <0,001.
Fig. 2. Age and group differences in area of profile fields of pyramidal neurons in sublayer III3 in different areas of the posterior associative cortex in children; # differences are significant compared to the analogous index in area 19 in the same age group at p <0.03; * significant compared to newborns at p <0.001.
Ранжирование ПН по размерным классам показало, что у новорождённых в подполях ТРО они были представлены сверхмалыми и малыми нейронами 1–3-х классов, а в поле 19 практически все ПН относились к сверхмалому 1-му классу (рис. 3).
Рис. 3. Возрастные и межгрупповые различия площади профильных полей пирамидных нейронов в подслое III3 в различных зонах задней ассоциативной коры у детей. По оси абсцисс — относительное содержание пирамидных нейронов, %; по оси ординат — размерные классы: 1 — до 70 мкм2, 2 — от 70,1 до 95,0 мкм2, 3 — от 95,1 до 120,0 мкм2, 4 — от 120,1 до 145,0 мкм2, 5 — от 145,1 до 170,0 мкм2, 6 — от 170,1 до 195,0 мкм2, 7 — от 195,1 до 220,0 мкм2, 8 — от 220,1 до 245,0 мкм2, 9 — от 245,1 до 270,0 мкм2, 10 — от 270,1 до 295,0 мкм2, 11 — от 295,1 до 320,0 мкм2, 12 — более 320,1 мкм2.
Fig. 3. Age and group differences in area of profile fields of pyramidal neurons in sublayer III3 in different areas of the posterior associative cortex in children. On the abscissa axis — relative content of pyramidal neurons (%); on the ordinate axis — size classes: 1 — up to 70 μm2, 2 — from 70.1 to 95.0 μm2, 3 — from 95.1 to 120.0 μm2, 4 — from 120.1 to 145.0 μm2, 5 — from 145.1 to 170.0 μm2, 6 — from 170.1 to 195.0 μm2, 7 — from 195.1 to 220.0 μm2, 8 — from 220.1 to 245.0 μm2, 9 — from 245.1 to 270.0 μm2, 10 — from 270.1 to 295.0 μm2, 11 — from 295.1 to 320.0 μm2, 12 — more than 320.1 μm2.
К 3 годам большая часть ПН имела средние размеры в пределах 5–8-х классов: в подполе 37ас — 84,5%, в подполе 37а — 92,6%, в подполе 37d и поле 19 — 55,3%. Нейроны крупного размера 9–10-х классов присутствовали в особой центральной зоне подполя 37d, где составили 38,2% от всех ПН, и в поле 19, где составили 44,7%. К 10–12 годам в слое III задней ассоциативной коры относительное содержание ПН, относящихся к сверхмалому и малым размерным классам, было статистически незначимо. Нейроны среднего размера в подполе 37ас составили 20,3%, в подполе 37а — 9,9%, в подполе 37d — 30,1% и в поле 19 — 10,6%. Остальные нейроны относились преимущественно к крупноклеточным классам, в числе которых сверхкрупные нейроны в подполях ТРО составили 5–13%, а в поле 19 — до 18%.
ОБСУЖДЕНИЕ
Полученные данные позволяют заключить, что возрастные микроструктурные изменения в различных зонах задней ассоциативной коры у типично развивающихся детей на восходящем онтогенезе от рождения до 12 лет имеют общую направленность. В то же время не вызывает сомнений, что каждая из зон имеет специфические особенности микроструктурных постнатальных преобразований, связанные с локальными особенностями их морфофункциональной специализации.
Данные о нарастании ТК, проанализированные в годовых интервалах, свидетельствуют о том, что от рождения до 12 лет её изменения происходят в два этапа. Первый этап наиболее интенсивного роста продолжается от рождения до 12 мес. Второй этап имеет разную продолжительность в топографически и функционально отличающихся участках коры: в подполях ТРО — от 1 года до 6–7 лет, в поле 19 затылочной области — от 1 года до 4 лет.
Привлекает внимание, что прирост наружной пирамидной пластинки во всех исследованных зонах коры также имеет двухэтапный характер, но происходит интенсивнее в 1,3 раза по сравнению с корковым поперечником в целом. Более того, увеличение толщины слоя III в подполях ТРО синхронизировано с нарастанием всего коркового поперечника и продолжается до 6–7 лет, тогда как в поле 19 значимое нарастание наружной пирамидной пластинки происходит не к 4 годам, как этого можно было бы ожидать, а к 7 годам одновременно со слоем III в подполях 37ас и 37d. По-видимому, темпы нарастания ТК в поле 19 затылочной области в значительной степени определяются постнатальными структурными преобразованиями внутренней пирамидной пластинки и других цитоархитектонических слоёв нижнего этажа коры, обеспечивающих межкорковые и корково-подкорковые связи в системе наиболее сложных мозговых механизмов зрительного восприятия [16].
Возрастные изменения такого показателя, как размеры ПН, позволяют выявить одновременно общность и региональную специфичность микроструктурных преобразований в каждой из отличающихся не только по топографии и цитоархитектонике, но и по функциям корковых зон. В ТРО размеры ПН в подполях 37ас и 37d увеличиваются в два этапа разной продолжительности: в подполе 37ас — к 12 мес и 7 годам, а в подполе 37d — к 1 году и 3 годам. В остальных зонах коры нарастание размеров ПН происходит в 3 этапа и также с разной продолжительностью: в подполе 37а — к 1, 3 и 8 годам, а в поле 19 — к 1, 3 и 10 годам.
Различия по срокам и интенсивности возрастных преобразований на разных уровнях микроструктурной организации задней ассоциативной коры находят подтверждение и в современных нейрофизиологических исследованиях. У новорождённых незрелость нейронов ТРО и её ассоциативных и проекционных связей не позволяет осуществлять межкорковые взаимодействия, необходимые для межанализаторного синтеза. В течение первого года жизни зрительное восприятие с участием задней ассоциативной коры из элементарного перцептивного действия превращается в активный процесс с элементами обобщения информации и её невербальной контекстной категоризации. Возрастная динамика ряда исследованных нами биометрических показателей является следствием интенсивного созревания структур и связанных с ними процессов анализа зрительной информации на этапах раннего детства (от 1 до 3 лет) и в дошкольный период (4–5 лет). Однако по ряду нейрофизиологических параметров обработка зрительных стимулов в вентральном зрительном пути с участием подполей 37а и 37d не достигает дефинитивных значений даже в 5-летнем возрасте [17], но становится более успешной и эффективной при опознании стимулов большой сложности у детей 6–7 лет [18]. Наблюдаемое нами во всех исследованных зонах задней ассоциативной коры нарастание относительного содержания нейронов, принадлежащих к крупноклеточным размерным классам, и продолжительное по срокам увеличение среднегрупповых показателей размеров нейронов в подполе 37а и поле 19, по-видимому, связано с совершенствованием механизмов, позволяющих производить отбор значимой для деятельности визуальной информации; с повышением помехоустойчивости к информации, воспринимаемой на непроизвольном уровне, и с облегчением целостного опознания иерархического зрительного стимула к 9–10 годам [19]. В нейрофизиологических исследованиях также показано, что зрительно вызванные потенциалы с участием подполя 37ас в составе так называемого дорсального визуального потока у детей 6–7, 8–10 лет и у взрослых людей демонстрировали заметные различия по волновому спектру, амплитуде и латентности. Это совпадает по срокам с микроструктурными преобразованиями, выявленными в ходе нашего исследования.
Известно, что увеличение размеров нейронов сопровождается усложнением их дендритного аппарата, аксонных арборизаций, расширением рецептивных полей и функциональных связей. В этом смысле можно утверждать, что значимое нарастание числа нейронов крупноклеточных классов до 10–12 лет приводит к усложнению нейросетей с их участием и качественным изменениям внутрикорковой и межкорковой интеграции на этой основе. Поскольку зрительные межкорковые и трансталамические пути функционально специфичны для своей корковой зоны и обеспечивают объединение визуальной информации с функционально связанными с этими путями областями мозга, которые контролируют социально-когнитивные процессы [20], данные о различиях в темпах и сроках роста и дифференцировки ПН в различных подполях ТРО и поле 19 затылочной области коры представляют интерес для понимания совершенствования их функций в постнатальном онтогенезе.
ЗАКЛЮЧЕНИЕ
Микроструктурные изменения задней ассоциативной коры у детей носят гетерохронный, гетеродинамический и специализированный характер не только в топографически и функционально отличающихся областях коры, но и в отдельных цитоархитектонических полях, подполях, а также на уровне цитоархитектонических слоёв и внутрикорковых микроструктурных компонентов. Наиболее значимые морфофункциональные преобразования отмечаются в течение первого года жизни, а также к 3–4, 6–7 и 10 годам. Несмотря на то, что все исследованные участки коры являются ассоциативными центрами, морфофункциональное развитие этих зон происходит неравномерно по срокам и темпам, что, по-видимому, связано с разной вовлечённостью их в функционально специализированные распределённые нейросети, обеспечивающие актуальные мозговые механизмы на отдельных этапах развития мозга ребёнка.
Из 6 подполей, обозначенных в «Атласе цитоархитектоники коры большого мозга человека» в составе поля 37 височно-теменно-затылочной подобласти неокортекса, 3 были изучены в данном исследовании. Важным выводом нашей работы можно считать тот факт, что разделение поля 37 на отдельные подполя, имеющие характерные морфофункциональные особенности, подтверждается также и значимыми различиями в темпах и сроках их постнатального развития.
ДОПОЛНИТЕЛЬНО
Источник финансирования. Работа выполнена по Программе стратегического академического лидерства Российского университета дружбы народов имени Патриса Лумумбы «Приоритет-2030» Министерства науки и высшего образования РФ; тема № 030209-0-000.
Конфликт интересов. В данной статье приведены цифровые данные новорождённых детей и детей в возрасте 12 мес, опубликованные в «Журнале анатомии и гистологии», doi: 10.18499/2225-7357-2022-11-3-39-48
Вклад авторов. Все авторы подтверждают соответствие своего авторства международным критериям ICMJE (все авторы внесли существенный вклад в разработку концепции, проведение исследования и подготовку статьи, прочли и одобрили финальную версию перед публикацией). Наибольший вклад распределён следующим образом: Т.А. Цехмистренко — разработка концепции и дизайна, проверка критически важного интеллектуального содержания, планирование исследования, анализ полученных данных, подготовка и написание текста статьи, окончательное утверждение рукописи; Д.К. Обухов — планирование исследования, сбор, анализ и интерпретация литературных данных; С. Омар — сбор и анализ данных, подготовка и написание текста статьи.
ADDITIONAL INFORMATION
Funding source. The study was performed under the Strategic Academic Leadership Program in RUDN University «Priority-2030» of the Ministry of Education and Science; theme N 030209-0-000.
Competing interests. This article presents digital data from newborns and children aged 12 months, published in the Journal of Anatomy and Histology, doi: 10.18499/2225-7357-2022-11-3-39-48
Authors’ contributions. All authors confirm that their authorship meets the international criteria of the ICMJE (all authors contributed substantially to the conception, research and preparation of the article, and read and approved the final version before publication). The major contribution is distributed as follows: T.A. Tsekhmistrenko — concept and design development, verification of critical intellectual content review, study design, data analysis, preparation and writing of the article text, final approval of the manuscript; D.K. Obukhov — study design, collection, analysis and interpretation of literature data; S. Omar — data collection and analysis, preparation and writing of the article text.
About the authors
Tatiana A. Tsekhmistrenko
Peoples' Friendship University of Russia named after Patrice Lumumba; Institute of Developmental Physiology of the Russian Academy of Education
Author for correspondence.
Email: tsekhmistrenko2010@yandex.ru
ORCID iD: 0000-0003-2130-9405
SPIN-code: 5771-0558
Dr. Sci. (Biol.), Professor
Russian Federation, Moscow; MoscowDmitry K. Obukhov
St Petersburg University
Email: dkobukhov@yandex.ru
ORCID iD: 0000-0001-7233-0752
SPIN-code: 2676-9890
Dr. Sci. (Biol.), Professor
Russian Federation, Saint PetersburgSami Omar
Peoples' Friendship University of Russia named after Patrice Lumumba
Email: sami_omar@mail.ru
ORCID iD: 0000-0001-9930-9726
SPIN-code: 4492-2116
Russian Federation, Moscow
References
- Brodmann K. Brodmann’s localisation in the cerebral cortex the principles of comparative localisation in the cerebral cortex based on cytoarchitectonics by Dr. K. Brodmann. New York–London: Springer Science; 2006. 295 p.
- Atlas citoarhitektoniki kory bol’shogo mozga cheloveka. SA Sarkisov, IN Filimonov, EP Kononova, i dr., editors. Moscow: Medgiz; 1955. 278 p. (In Russ).
- Braunlich K, Love BC. Occipitotemporal representations reflect individual differences in conceptual knowledge. J Exp Psychol Gen. 2019;148(7):1192–1203. doi: 10.1037/xge0000501
- Maffei V, Indovina I, Mazzarella E, et al. Sensitivity of occipito-temporal cortex, premotor and Broca’s areas to visible speech gestures in a familiar language. PLoS One. 2020;15(6):e0234695. doi: 10.1371/journal.pone.0234695
- Yeon J, Shekhar M, Rahnev D. Overlapping and unique neural circuits are activated during perceptual decision making and confidence. Sci Rep. 2020;10(1):20761. doi: 10.1038/s41598-020-77820-6
- Conel JLR. The postnatal development of the human cerebral cortex. Vol. 1. The cortex of the newborn. Harvard Univ. Press. 1939.
- Baum GL, Flournoy JC, Glasser MF, et al. Graded variation in T1w/T2w ratio during adolescence: measurement, caveats, and implications for development of cortical myelin. J Neurosci. 2022;42(29):5681–5694. doi: 10.1523/JNEUROSCI.2380-21.2022
- Tamnes CK, Ostby Y, Fjell AM, et al. Brain maturation in adolescence and young adulthood: regional age-related changes in cortical thickness and white matter volume and microstructure. Cereb Cortex. 2010;20(3):534–548. doi: 10.1093/cercor/bhp118
- Wandell BA, Dumoulin SO, Brewer AA. Visual field maps in human cortex. Neuron. 2007;56(2):366–383. doi: 10.1016/j.neuron.2007.10.012
- Barton JJS. Face processing in the temporal lobe. Handb Clin Neurol. 2022;187:191–210. doi: 10.1016/B978-0-12-823493-8.00019-5
- Leech R, Sharp DJ. The role of the posterior cingulate cortex in cognition and disease. Brain. 2014;137(Pt 1):12–32. doi: 10.1093/brain/awt162
- Sheth BR, Young R. Two visual pathways in primates based on sampling of space: exploitation and exploration of visual information. Front Integr Neurosci. 2016;10:37. doi: 10.3389/fnint.2016.00037
- Glanc S. Primer of biostatistics. Moscow: Praktika; 1998. 459 p.
- Potapova IG, Katinas GS, Stefanov SB. Otsenka i sravnenie srednih velichin s uchetom variabel‘nosti pervichnyh izmeryaemyh ob“ektov i individual‘noj izmenchivosti. Neuroscience and Behavioral Physiology Neuroscience Translations. 1983;85(9):86–92. (In Russ).
- Lemeshko BJu. Neparametricheskie kriterii soglasija. Moscow: INFRA-M; 2014. 163 p. (In Russ).
- Lidzba K, Ebner K, Hauser TK, Wilke M. Complex visual search in children and adolescents: effects of age and performance on fMRI activation. PLoS One. 2013;8(12):e85168. doi: 10.1371/journal.pone.0085168
- Barsingerhorn AD, Boonstra FN, Goossens J. Development of symbol discrimination speed in children with normal vision. Invest Ophthalmol Vis Sci. 2018;59(10):3973–3983. doi: 10.1167/iovs.17-23168
- Vancleef K, Janssens E, Petré Y, et al. Assessment tool for visual perception deficits in cerebral visual impairment: development and normative data of typically developing children. Dev Med Child Neurol. 2020;62(1):111–117. doi: 10.1111/dmcn.14303
- Machinskaja RI, Krupskaja EV. Mozgovaja organizacija raspoznavanija detalej i celogo pri vosprijatii slozhnyh izobrazhenij u detej predshkol’nogo i mladshego shkol’nogo vozrasta. In: Mozgovye mehanizmy formirovanija poznavatel’noj dejatel’nosti v predshkol’nom i mladshem shkol’nom vozraste. Moscow: NOU VPO «MPSU»; Voronezh: MODJeK; 2014. P. 95–133. (In Russ).
- Downing PE, Peelen MV. Body selectivity in occipitotemporal cortex: causal evidence. Neuropsychologia. 2016;83:138–148. doi: 10.1016/j.neuropsychologia.2015.05.033
Supplementary files





