Clinical Case: Perioperative Fluorescein ICG-Angiography of the Ureters in a Patient with an Orthotopic Neobladder after Repeated Ureteroileoanastomotic Strictures
- Authors: Rumyantseva D.I.1, Mamizhev E.M.1, Bashmakova Y.P.2, Nosov A.K.1
-
Affiliations:
- Petrov National Medical Research Center of Oncology
- University of British Columbia Okanagan
- Issue: Vol 71, No 1 (2025)
- Pages: 199-204
- Section: CLINICAL CASE
- URL: https://journals.rcsi.science/0507-3758/article/view/291738
- DOI: https://doi.org/10.37469/0507-3758-2025-71-1-199-204
- ID: 291738
Cite item
Full Text
Abstract
Introduction. Radical cystectomy is one of the most complex operations in surgical oncology and urology. The complication rate of the orthotopic urinary reservoir is 40-50 %, including ureteroileoanastomotic strictures in up to 20 % of cases. Perioperative tissue fluorescence allows reliable assessment of the degree of tissue perfusion. We have developed and patented a method for perioperative visualization of the ureter using ICG angiography.
Case description. A 60-year-old man presented with problems with spontaneous urination 7 years after complex treatment for muscle-invasive bladder cancer, including transurethral resection, neoadjuvant chemotherapy and radical cystectomy with formation of an orthotopic urinary reservoir using the Studer technique. Examination revealed repeated strictures of both ureteroileoanastomoses and the presence of nephrostomy drainages. Surgical intervention was performed in the form of laparoscopic reimplantation of both ureters into the orthotopic reservoir using the technique of perioperative fluorescent ICG diagnosis of the ureters. There were no immediate complications during the surgical and post-operative period. Currently, the patient is under dynamic follow-up for more than three years with no evidence of recurrence of ureteroileoanastomotic strictures.
Conclusion. Perioperative ICG angiography is an effective and affordable method for the diagnosis and prevention of postoperative complications associated with ureteroileoanastomosis.
Keywords
Full Text
Введение
Радикальная цистэктомия (РЦЭ) с формированием ортотопического резервуара по Штудеру является одной из наиболее сложных в техническом плане операций в онкологии и урологии. Сегодня это предпочтительный вариант лечения для молодых и социально активных пациентов с мышечно-инвазивным раком мочевого пузыря, ассоциированный с лучшим качеством жизни, по сравнению с формированием подвздошного кондуита [1]. Развитие осложнений после РЦЭ наступает с частотой от 28 до 58 % [2-4]. До половины всех осложнений связаны либо со стомой, либо с уретероилеоанастомозами (УИА). По данным современных исследований, частота осложнений ортотопического неоцистиса как в раннем, так и в позднем послеоперационном периоде, также сохраняется на уровне 40-50 %, включая развитие стенозов УИА до 20 % случаев [5].
Наилучшим вариантом профилактики и лечения ассоциированных с УИА осложнений представляется использование при операции современных методов визуализации мочеточников. Методы флуоресцентной визуализации тканей позволяют достоверно оценить степень перфузии во время операции. Нами был разработан и запатентован способ периоперационной визуализации мочеточников методом ICG-ангиографии.
Клинический случай
На амбулаторный приём ФГБУ «НМИЦ онкологии им. Н.Н. Петрова» Минздрава России обратился мужчина 60 лет с жалобами на наличие нефростом с двух сторон. Ранее 7 лет назад, по данным МРТ и гистологического исследования материала трансуретральной резекции, у пациента был выявлен мышечно-инвазивный рак мочевого пузыря cT2N0M0 high grade. Учитывая тип опухоли, удовлетворительное физическое состояние (ССI 3, ASAI-II, ИМТ 25,7), активный социальный статус (музыкант) пациента, было принято решение о выполнении комплексного лечения в объёме 4 курсов неоадъювантной химиотерапии «BEP» с последующей РЦЭ с формированием ортотопического резервуара. Цистэктомия была выполнена из классического лапароскопического доступа в стандартном объёме с удалением мочевого пузыря, предстательной железы с семенными пузырьками и супер-расширенной лимфодиссекцией, включающей группы лимфатических узлов подвздошной, пресакральной области, запирательную ямку, наружные подвздошные лимфатические узлы и лимфоидную ткань далее до уровня нижней брыжеечной артерии. Ортотопический резервуар был сформирован из участка подвздошной кишки протяжённостью 40 см аппаратным швом. Мочеточники были имплантированы в резервуар шестью узловыми швами каждый с использованием шовного материала диаметром сечения 3-0. Интраоперационных осложнений зафиксировано не было (продолжительность операции — 220 мин., кровопотеря — 50 мл), послеоперационный период гладкий. Пациент выписан под амбулаторное наблюдение на 15-е послеоперационные сутки.
Спустя пять лет после операции, пациент обратился с жалобами по поводу нарушения самостоятельного мочеиспускания. При обследовании выявлены стриктуры обоих УИА, по поводу чего было выполнено оперативное вмешательство в объёме лапароскопического уретеролиза мочеточников с их реимплантацией к ортотопическому резервуару. Интраоперационно было выполнено иссечение рубцовой ткани в области уретероилеоанастомозов с двух сторон на протяжении 1 см слева и 2 см справа. Мочеточники были реимплантированы в резервуар 6 узловыми швами каждый с использованием шовного материала диаметром сечения 5-0. Операция и послеоперационный период протекали благополучно, пациент был выписан под амбулаторное наблюдение на 10-е послеоперационные сутки. По результатам гистологического исследования операционного материала данных за местный рецидив получено не было.
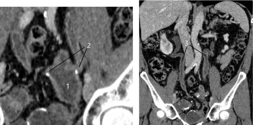
В течение двух лет пациент не появлялся на амбулаторном приёме нашего центра до появления текущих жалоб. По данным обследования, выявлены повторные стриктуры УИА (рис. 1). Учитывая длительный анамнез пациента, рецидив стриктур обоих УИА, нами было принято решение о выполнении оперативного вмешательства в объёме лапароскопической реимплантации мочеточников к мочевому резервуару с использованием периоперационной ICG-флуоресценции мочеточников в режиме ангиографии.
Рис. 1. Предоперационная КТ в режиме урографии — билатеральная стриктура УИА: 1 — ортотопический резервуар по Штудеру; 2 — стриктуры УИА; 3 — билатеральный гидроуретер
Fig. 1. Preoperative CT urogram — bilateral stricture of UIA: 1 — orthotopic neobladder (Studer); 2 — UIA strictures; 3 — bilateral hydroureter
Описание процедуры
После обработки операционного поля и нефростомических дренажей в положении пациента лёжа на спине и установки уретрального катетера Ch 14 в стерильных условиях, пациент был переведён в положение Тренделенбурга. Далее осуществлён стандартный лапароскопический доступ в область малого таза с использованием оптического троакара в околопупочной области (10 мм), двух портов хирурга в левой подвздошной области (12 и 5 мм) и одного ассистентского порта в правой подвздошной области (5 мм). Нами была использована видеоэндоскопическая система с поддержкой флуоресцентной визуализации в режиме реального времени. Первым этапом операции тупым и острым способов была выполнена мобилизация зон обоих уретероилеальных анастомозов. При визуализации невооружённым глазом были выявлены участки уплотнения мочеточников в области уретероилеоанастомозов на протяжении 3 и 5 см слева и справа соответственно. Вторым этапом проведена ICG ангиография мочеточников. Анестезиологом была выполнена внутривенная инъекция готового раствора ICG-красителя (2 мг/мл) в объёме 5 мл. В течение полутора минут при активированном режиме флуоресценции краситель определялся в тканях мочеточников с достаточной перфузией в виде зелёного свечения с пиком концентрации через 4-5 мин. При повторной оценке кровоснабжения УИА определялись зоны отсутствия перфузии на протяжении 1 см слева и 2 см справа (рис. 2, 3).
Рис. 2. ICG-ангиография правого УИА: желтым выделена область стриктуры
Fig. 2. ICG-angiography of the right UIA: the area of stricture is highlighted in yellow
Рис. 3. ICG-ангиография правого УИА в монохромном режиме: желтым выделена область стриктуры
Fig. 3. ICG angiography of the right UIA: the area of stricture is highlighted in yellow
Третьим этапом операции выполнено двустороннее иссечение стриктур УИА в пределах здоровых тканей с ремплантацией к ортотопическому резервуару по Штудеру с использованием мочеточниковых стентов Ch 8 и шовного материала с диаметром иглы 5-0. Сформировано 6 узловых швов с каждой стороны.
Заключительным этапом выполнено повторной введение 5 мл ICG-красителя с целью оценки кровоснабжения УИА — анастомозы с достаточной перфузией. Завершение операции.
Наблюдение
Послеоперационный период проходил гладко, без непосредственных осложнений. Нефростомические дренажи удалены на 7-е послеоперационные сутки. Пациент отпущен под амбулаторное наблюдение на 10-е послеоперационные сутки. Мочеточниковые стенты удалены на 30-е послеоперационные сутки. По результатам гистологического исследования операционного материала, данных за местный рецидив получено не было.
В настоящий момент пациент наблюдается на протяжении трёх лет после повторной реимплантации мочеточников. По результатам контрольного обследования, пациент активных жалоб не предъявляет, мочеиспускание свободное, самостоятельное. Лабораторно креатинин, СКФ, мочевина в пределах референсных значений. По результатам КТ, данных за прогрессирование, рецидив основного заболевания, повторные стриктуры УИА не получено. Определяется умеренная пиелоуретероэктазия без нарушения почечной функции.
Обсуждение
Возможность проведения диагностического исследования непосредственно во время операции высоко ценится специалистами во всём мире. Такие современные технические средства как лапароскопические ультразвуковые датчики, а также компактные мобильные рентгенологические установки «С-дуга», уже давно стали рутинной опцией в руках опытного хирурга. Однако описанные методики имеют ряд неудобств в виде временных затрат, не всегда очевидной визуальной картины, а также лучевой нагрузки, направленной на пациента и операционную бригаду.
Использование индоцианина зелёного (ICG) в онкологии началось с исследований по визуализации сигнальных лимфатических узлов. E.A. Gold и соавт. одним из первых удалось использовать флуоресцентный краситель для верификации сигнального лимфатического узла у пациентов, проходивших лечение по поводу рака околоушной железы [6, 7]. ICG представляет собой молекулу трикарбоцианина, которая поглощает ближний инфракрасный свет с пиком спектрального поглощения на длине волны 778 нм, а после возбуждения излучает обратный флуоресцентный свет на длине волны 830 нм. В настоящее время использование ICG одобрено FDA и EMA и допустимо для внутривенного введения у больных с онкологической патологией.
Наибольшее число работ посвящено исследованию ICG в области колоректальной хирургии, а также рака молочной железы. В 1994 г. A.E. Giuliano была опубликована работа, посвящённая эффективности идентификации сигнальных лимфатических узлов при помощи ICG-флуоресценции у 174 пациентов [8, 9]. W. Polom и соавт. было проведено исследование, по результатам которого использование флуоресцентных красителей (ICG и метиленового синего) способствовало оптимальному периоперационному контролю состояния перфузии кишечных и мочеточников анастомозов [10]. В исследование было включено 12 пациентов после лапароскопических и открытых колоректальных операций различной сложности. При помощи внутривенного введения ICG либо метиленового синего во время различных этапов оперативного вмешательства производился визуальный контроль кровоснабжения тканей кишечника и мочеточников, а также состоятельности сформированных анастомозов. Во всех двенадцати случаях флуоресцентная ICG-ангиография перед наложением анастомозов прошла успешно и ни в одном случае не потребовалось произвести корректировку операционного плана. После формирования анастомозов дополнительный метод визуальной оценки перфузии способствовал выявлению ятрогенного повреждения мочеточников в 0,4 % случаев и осложнений, связанных с кишечным анастомозом, в 5,5 % случаев.
Многоцентровое исследование PILLAR II (США), включившее в себя опыт работы 11 центров, продемонстрировало достоверную пользу и осуществимость использования интраоперационной флуоресцентной ICG-ангиографии для оценки перфузии толстой и прямой кишки [11]. Всего в исследование было включено 139 пациентов, прооперированных по поводу дивертикулита (44 %), рака прямой кишки (25 %) и рака толстой кишки (21 %). У большинства пациентов выполнялась мобилизация селезёночного изгиба (81 %) и перевязка нижней брыжеечной артерии (62 %). Флуоресценция была успешно проведена в 99 % случаев, при этом изменение хирургической тактики ввиду данных ICG-диагностики имело место у 11 пациентов (8 %). Частота несостоятельности кишечного анастомоза составила 1,4 %, однако сюда не вошёл ни один из одиннадцати пациентов с изменённой хирургической тактикой. Метаанализ E. Rausa, включивший 3 844 пациента, также выявил значительное увеличение числа несостоятельностей кишечных анастомозов в контрольных группах, в сравнении с ICG-флуоресценцией (RR 0.44; Crl 0.14-0.87) [12].
Использование индоцианина зелёного для флуоресцентной диагностики опухолевых узлов почек в оперативной урологии известно с 2006 г., благодаря работе Scott Tobias [13]. 15 пациентам было выполнено 16 открытых операций по поводу резекций почек, в ходе которых было выявлено 14 опухолевых злокачественных образований. Все образования были афлуоресцентными либо гипофлуоресцентными, по сравнению с нормальной почечной паренхимой. Также внутривенное введение индоцианина зелёного способствовало чёткой идентификации внутрикорневых сосудов почек и селективному пережатию почечных артерий у трёх пациентов. В совокупности ICG-ангиография позволила выполнить все операции в полном объёме с максимальным сохранением почечной паренхимы при отрицательном хирургическом крае, по данным гистологических исследований.
Учитывая крайнюю степень чувствительности стенки мочеточника к любому механическому и термическому воздействию, особый интерес в плане диагностики и профилактики периоперационная ICG-ангиография имеет при формировании уретероилеоанастомозов в ходе радикальной цистэктомии с кишечной деривацией мочи у пациентов при раке мочевого пузыря. Результаты исследований S.H. Shah и C.B. Anderson наглядно показали пользу от подобной практики [14, 15]. В обоих исследованиях было выявлено статистически значимое снижение стриктур уретероилеальных анастомозов в группах флуоресцентной визуализации с ICG, по сравнению с контролем. При этом случаи со сниженной перфузией мочеточнико-подвздошных соединений подвергались повторному формированию анастомозов, что способствовало сокращению развития стриктур мочеточников в послеоперационном периоде с 7,5 % до 0 % и с 6,6 % до 0 % соответственно.
В своём опыте использования ICG-ангиографии мы также отмечаем непосредственную пользу методики как доступного и простого способа визуализации мочеточников и их анастомозов у пациентов после повторных оперативных вмешательств с нетипичной анатомией и послеоперационными изменениями тканей.
Заключение
Несомненными преимуществами флуоресценции с индоцианином зелёным является возможность чёткого разграничения а-, гипо- и гиперперфузионных зон мочеточников или их анастомозов в режиме реального времени практически без привлечения дополнительного оборудования и узких специалистов. Данный клинический случай демонстрирует, что ICG-ангиография один из наиболее перспективных методов немедленной периоперационной диагностики в оперативной урологии и онкологии.
Конфликт интересов
Авторы заявляют об отсутствии конфликта интересов.
Conflict of interest
The authors declare no conflict of interest.
Соблюдение прав пациентов и правил биоэтики
Исследование выполнено в соответствии с Хельсинкской декларацией ВМА в редакции 2013 г. Все пациенты подписали информированное согласие на участие в исследовании.
Compliance with patient rights and principles of bioethics
The study was carried out in accordance with the WMA Helsinki Declaration as amended in 2013. All patients gave written informed consent to participate in the study.
Финансирование
Исследование не имело спонсорской поддержки.
Financing
The work was performed without external funding.
Участие авторов
Все авторы в равной степени участвовали в подготовке публикации: разработке концепции статьи, получении и анализе фактических данных, написании и редактировании текста статьи, проверке и утверждении текста статьи.
Authors’ contributions
All authors made a substantial contribution to the conception of the work, acquisition and analysis of data, drafting and editing of the article, revision and final approval of the version to be published.
About the authors
Darya I. Rumyantseva
Petrov National Medical Research Center of Oncology
Author for correspondence.
Email: shinigami.rdi@gmail.com
ORCID iD: 0000-0002-8067-9150
Russian Federation, Saint Petersburg
Eldar M. Mamizhev
Petrov National Medical Research Center of Oncology
Email: shinigami.rdi@gmail.com
ORCID iD: 0000-0001-6883-777X
Russian Federation, Saint Petersburg
Yana P. Bashmakova
University of British Columbia Okanagan
Email: shinigami.rdi@gmail.com
ORCID iD: 0000-0003-0872-7784
Canada, Kelowna, British Columbia
Alexander K. Nosov
Petrov National Medical Research Center of Oncology
Email: shinigami.rdi@gmail.com
ORCID iD: 0000-0003-3850-7109
Russian Federation, Saint Petersburg
References
- Cerruto M.A., D’Elia C., Siracusano S., et al. Is Health-related quality of life after radical cystectomy using validated questionnaires really better in patients with ileal orthotopic neobladder compared to ileal conduit: a meta-analysis of retrospective comparative studies. Curr Urol. 2017; 10(2): 57-68.-DOI: https://doi.org/10.1159/000447153.
- Porena M., Mearini L., Zucchi A., et al. Perugia ileal neobladder: functional results and complications. World J Urol. 2012; 30(6): 747-752.-DOI: https://doi.org/10.1007/s00345-012-0985-z.
- Kim S.H., Yu A., Jung J.H., et al. Incidence and risk factors of 30-day early and 90-day late morbidity and mortality of radical cystectomy during a 13-year follow-up: a comparative propensity-score matched analysis of complications between neobladder and ileal conduit. Jpn J Clin Oncol. 2014; 44(7): 677-685.-DOI: https://doi.org/10.1093/jjco/hyu051.
- Moeen A.M., Safwat A.S., Gadelmoula M.M., et al. Does the site of the orthotopic neobladder outlet matter? A prospective randomized comparative study. Eur J Surg Oncol. 2018; 44(6): 847-852.-DOI: https://doi.org/10.1016/j.ejso.2018.01.094.
- Zhong H., Shen Y., Yao Z., et al. Long-term outcome of spiral ileal neobladder with orthotopic ureteral reimplantation. Int Urol Nephrol. 2020; 52(1): 41-49.-DOI: https://doi.org/10.1007/s11255-019-02296-x.
- Мудунов А.М., Гельфанд И.М., Кропотов М.А., et al. Улучшение диагностики «скрытого» метастазирования при плоскоклеточном раке слизистой оболочки полости рта сТ1-2N0М0. Опухоли головы и шеи. 2022; 12(1): 12-25.-DOI: https://doi.org/10.17650/2222-1468-2022-12-1-12-25. [Mudunov A.M., Gelfand I.M., Kropotov M.A., et al. Improved diagnostics of «concealed» metastases in patients with сТ1–2N0М0 oral squamous cell carcinoma. Head and Neck Tumors (HNT). 2022; 12(1): 12-25.-DOI: https://doi.org/10.17650/2222-1468-2022-12-1-12-25. (In Rus)].
- Алексеев М.В., Рыбаков Е.Г., Севостьянов С.И. Интраоперационная флуоресцентная ангиография с индоцианином зеленым – метод профилактики несостоятельности колоректального анастомоза (систематический обзор литературы). Колопроктология. 2017; (4): 82-87.-DOI: https://doi.org/10.33878/2073-7556-2017-0-4-82-87. [Alekseev M.V., Rybakov E.G., Sevostiyanov S.I. Indocyanine green intraoperative angiography as prophilaxis of colorectal anastomotic leakage (a systematic review). Koloproktologia. 2017; (4): 82-87.-DOI: https://doi.org/10.33878/2073-7556-2017-0-4-82-87. (In Rus)].
- Kitai T., Inomoto T., Miwa M., Shikayama T. Fluorescence navigation with indocyanine green for detecting sentinel lymph nodes in breast cancer. Breast Cancer. 2005; 12(3): 211-215.-DOI: https://doi.org/10.2325/jbcs.12.211.
- Тихоновская М. Н., Шевчук А. С. Исследование сторожевых лимфатических узлов при раннем раке яичников: первый опыт ФГБУ «Национальный медицинский исследовательский центр онкологии им. Н.Н. Блохина» Минздрава России. Тазовая хирургия и Онкология. 2022; 12(3): 19-25.-DOI: https://doi.org/10.17650/2686-9594-2022-12-3-19-25. [Tikhonovskaya M.N., Shevchuk A.S. Sentinel lymph node detection in early stage ovarian cancer: the primary experience in N. N. Blokhin national medical Research Center of Oncology. Pelvic Surgery and Oncology. 2022; 12(3): 19-25.-DOI: https://doi.org/10.17650/2686-9594-2022-12-3-19-25. (In Rus)].
- Polom W., Migaczewski M., Skokowski J., et al. Multispectral imaging using fluorescent properties of indocyanine green and methylene blue in colorectal surgery-initial experience. J Clin Med. 2022; 11(2): 368..-DOI: https://doi.org/10.3390/jcm11020368.
- Jafari M.D., Wexner S.D., Martz J.E., et al. Perfusion assessment in laparoscopic left-sided/anterior resection (PILLAR II): a multi-institutional study. J Am Coll Surg. 2015; 220(1): 82-92.e1.-DOI: https://doi.org/10.1016/j.jamcollsurg.2014.09.015.
- Rausa E., Zappa M.A., Kelly M.E., et al. A standardized use of intraoperative anastomotic testing in colorectal surgery in the new millennium: is technology taking over? A systematic review and network meta-analysis. Tech Coloproctol. 2019; 23(7): 625-631.-DOI: https://doi.org/10.1007/s10151-019-02034-6.
- Tobis S., Knopf J.K., Silvers C.R., et al. Near infrared fluorescence imaging after intravenous indocyanine green: initial clinical experience with open partial nephrectomy for renal cortical tumors. Urology. 2012; 79(4): 958-964.-DOI: https://doi.org/10.1016/j.urology.2011.10.016.
- Shah S.H., Movassaghi K., Skinner D., et al. Ureteroenteric strictures after open radical cystectomy and urinary diversion: the University of Southern California experience. Urology. 2015; 86(1): 87-91.-DOI: https://doi.org/10.1016/j.urology.2015.03.014.
- Anderson C.B., Morgan T.M., Kappa S., et al. Ureteroenteric anastomotic strictures after radical cystectomy-does operative approach matter? J Urol. 2013; 189(2): 541-547.-DOI: https://doi.org/10.1016/j.juro.2012.09.034.
Supplementary files




