Diagnosis and Treatment of Klatskin Tumors Using Interventional Radiology
- Authors: Polekhin A.S.1, Filonov A.L.1, Gapbarov A.C.2
-
Affiliations:
- Leningrad Regional Oncology Center
- Napalkov Saint Petersburg Clinical Research and Practical Center of Specialized Types of Medical Care (Oncologic)
- Issue: Vol 71, No 1 (2025)
- Pages: 155-162
- Section: PRACTICES OF ONCOLOGICAL INSTITUTIONS
- URL: https://journals.rcsi.science/0507-3758/article/view/291679
- DOI: https://doi.org/10.37469/0507-3758-2025-71-1-155-162
- ID: 291679
Cite item
Full Text
Abstract
Introduction. The incidence of Klatskin Tumor (KT) continues to rise worldwide. Despite the development of surgical techniques and the emergence of new drugs, the results of diagnosis and treatment of this disease remain unsatisfactory.
Aim. To evaluate the efficacy of video-assisted intraductal biopsy and intraductal photodynamic therapy (iPDT) in combination with regional chemotherapy (RCT) in patients with KT.
Materials and methods. The results of treatment of 18 patients with KT treated in the Leningrad Regional Clinical Oncological Dispensary and in the Leningrad Regional Clinical Hospital (merged in 2023) from 2021 to November 2024 were evaluated. All patients following percutaneous transhepatic cholangiography (PTC). Bismuth-Corlette classification: IV — 8 (44 %); IIIa — 4 (22 %); IIIb — 5 (28 %) and II — 1 (6 %). 15 patients were examined using the original patented technique of video-assisted intraductal pinch biopsy under fluoroscopic guidance. A total of 45 sessions of iPDT (1 to 7 times) and 34 cycles of RCT (1 to 8 times) were conducted. A cylindrical diffuser was used in the original patented iPDT technique. RCT: chemoinfusion into the common hepatic artery according to the Gemcis or GemOx regimen (lipiodol + oxaliplatin during chemoembolization; n = 8). Three patients with a partial response underwent radical surgery. Three patients underwent stenting. Results were assessed by monitoring CA19-9, MSCT and MRI 4−6 weeks after every two combined cycles. Treatment was repeated after an average of 2.6 months.
Results. There were no complications. Currently, 7 patients (44 %) are alive between 3 and 43 months (mean 22 months) and their treatment is continuing. The actuarial survival rate for the 1-2-3-year period was 89 – 28 – 11 %. Ten (56 %) of 18 patients died between 14 and 24 months, mOS = 17.2 months. OS = 18 months.
Conclusion. Video-assisted intraductal pinch biopsy under fluoroscopic guidance is a safe and simple technique to achieve 100 % verification of the diagnosis of KT. The combination of iPDT and RCT improves survival (OS = 18 months) and may be effective as neoadjuvant therapy prior to extensive liver resection (relapse-free survival 28 months).
Full Text
Интервенционные радиологические вмешательства в диагностике и лечении опухоли Клатскина1
Введение
Злокачественные опухоли желчевыводящих путей являются актуальной проблемой онкологии. Рак желчевыводящих путей составляет 15 % всех злокачественных опухолей печени. Среди них Опухоль Клатскина (ОК), или рак проксимальной части желчевыводящих путей, встречается в 70–80 %. По частоте встречаемости в структуре онкологических заболеваний эта патология занимает далеко не лидирующие позиции (2 %) [1, 2]. Однако ежегодно фиксируется прирост заболеваемости. По данным официальных статистических отчетов в Российской Федерации с 2012 по 2022 гг. прирост составил более 7 %, особенно в группе мужского населения (более 18 %) [3]. Особенностью данной опухоли является манифестация с яркой клинической картины синдрома механической желтухи, который требует срочной хирургической помощи в виде декомпрессии желчного дерева. По данным ультразвукового исследования (УЗИ), компьютерной (КТ) и магнитно-резонансной томографии (МРТ) устанавливается факт расширения внутрипеченочных желчных ходов и наличие инфильтрата в области ворот печени. При магнитно-резонансной холангиопанкреатографии (МРХПГ) можно выявить уровень и протяженность опухолевого поражения. ОК развивается во внепеченочной части желчных протоков от устьев долевых протоков, до уровня впадения пузырного протока. При такой локализации наиболее предпочтительными и эффективными считаются чрескожные, пункционные дренирования [4, 5, 6]. Критерием, определяющим количество и характер дренажей, является классификация Bismuth – Corlette [7]. Данная классификация является основной для ОК.
Наиболее эффективным методом лечения ОК остается хирургический, однако с момента первых клинических проявлений радикальное удаление опухоли возможно лишь в 15–20 % случаев [8, 9, 10]. Гистологически ОК является холангиокарциномой или протоковой аденокарциномой, обладающей инфильтративным характером роста. Именно поэтому у той малой группы пациентов, которым удалось выполнить радикальную операцию, высок риск раннего рецидивирования. По данным разных авторов, в течение года рецидив заболевания наступает у 70 % пациентов, среднее время до прогрессирования составляет 8,5 мес. [11, 12].
При нерезектабельном процессе по международным данным, без противоопухолевого лечения показатели выживаемости крайне неудовлетворительны и составляют 6–9 мес. [13]. Для установления диагноза необходима гистологическая верификация злокачественного процесса. В последние годы с развитием молекулярно-генетических технологий и фармацевтики это становится все более актуальным. Однако гистологическая верификация ОК крайне затруднительна, учитывая внеорганное расположение опухоли и близость магистральных сосудов.
Согласно национальным клиническим рекомендациям при нерезектабельной форме ОК показана системная противоопухолевая лекарственная терапия, в т. ч. и с применением молекулярно-направленной терапии. Наиболее эффективной комбинацией считается гемцитабин + цисплатин + дурвалумаб, позволяющая достичь медианы общей выживаемости (ОВ) в 11 мес. Существующие схемы химиотерапии (ХТ) билиарного рака редко приводит к выраженному уменьшению размеров первичной опухоли, в связи с чем вероятность перевода нерезектабельного процесса в резектабельный низка. Паллиативный эффект также может достигаться при использовании внутриартериальной химиоэмболизации и интервенционных методов физического воздействия (радиочастотная или микроволновая аблация), однако преимущества данных методик перед химиолучевой терапией не доказаны [14, 15]. Использование комбинации методик холангиодренирования с регионарной химиотерапией (РХТ) значительно улучшает качество и продолжительность жизни больных данной патологией [16, 17]. Стремление улучшить показатели выживаемости привело к развитию методов физического воздействия на опухоль. В мире активно применяется внутрипротоковая брахитерапия, однако данный метод далеко не всегда применим [18, 19]. В нашей стране широко используется внутрипротоковая фотодинамическая терапия (вФДТ). Согласно национальным клиническим рекомендациям вФДТ совместно со стентированием и/или дренированием, имеет преимущество перед стентированием и/или дренированием в самостоятельном варианте, в т. ч. по показателям выживаемости и качеству жизни, к тому же она выполнимая практически во всех случаях и имеет схожую с брахитерапией эффективность [20]. При ОК актуальным является селективная доставка и распределение света именно в зоне опухолевого поражения [21, 22]. Цель настоящего исследования: изучить собственные результаты применения методов интервенционной радиологии в диагностике и лечении ОК.
Материалы и методы
Основу исследования составляют данные в отношении 18 больных ОК, получавших лечение в ГБУЗ ЛОКОД и ГБУЗ ЛОКБ (объединение в 2023 г.) с сентября 2021 г. по ноябрь 2024 г. Все пациенты перенесли чрескожное, чреспеченочное холангиодренирование (ЧЧХД): 8 (44 %) — в сторонних учреждениях, 10 (56 %) — дренированы в ЛОКБ. С целью адекватного пассажа желчи в желудочно-кишечный тракт выполняли наружновнутреннее холангиодренирование (НВЧЧХД), в т. ч. вторым этапом после наружного дренирования желчных протоков. В большинстве случаев использовали дренажные катетеры для наружновнутреннего дренирования (СOOK – Medical) 10,2 F длиной 40 см. Учитывая высокий уровень поражения желчного дерева, зачастую моделировали дополнительные дренажные отверстия на 2–4 см проксимальнее рентгеноконтрастной метки. Считаем данный вид дренирования необходимым для дальнейшего лечебного процесса. По классификации Bismuth – Corlett типу IV соответствовали 8 (44 %); IIIa — 4 (22 %); IIIb — 5 (28 %) и II — 1 (6 %). У двух пациентов с IIIb и II типом имелось метастатическое поражение правой доли печени.
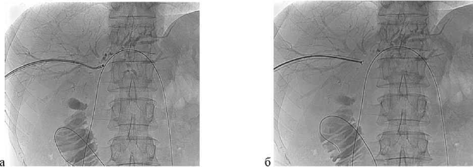
Всем пациентам выполнена верификация онкологического процесса с применением оригинальной запатентованной методики видеоассистированной внутрипротоковой щипковой биопсии под рентгеноскопическим контролем [23]. Сущность метода заключается в чрескожной антеградной холангиоскопии как метода определения истинного расположения опухоли. На проводнике производили удаление НВЧЧХД, далее по проводнику под рентгеноскопическим контролем за дефект контрастирования заводили интродьюсер 10 F, проводник удаляли. Через интродьюсер за зону опухолевой окклюзии вводили ультратонкий эндоскоп CMOS – серия 11102 СМ – Karl Storz (Германия; 2,9 мм = 8,7 F). После выявления истинного расположения опухоли интродьюсер подводили к концевой части эндоскопа. После чего эндоскоп удаляли, фиксируя положение интродьюсера. Далее через интродьюсер заводили эндоскопические щипцы для биопсии с шагом 1,5–2 мм и выполняли биопсию под рентгеноскопическим контролем (рис. 1). Во всех случаях объем полученного биоматериала был достаточным для гистологического и иммуногистохимического исследования.
Рис. 1. Видеоассистированная внутрипротоковая щипковая биопсия под рентгеноскопическим контролем. а — рентгенограмма: ультратонкий эндоскоп установлен в месте выявленной опухоли на уровне конфлюенса общего печеночного протока; б — рентгенограмма: прицельная щипковая внутрипротоковая биопсия опухоли общего печеночного протока с использованием биопсийных щипцов
Решение о тактике лечения принималось на мультидисциплинарной онкологической комиссии, с письменного согласия всех пациентов. Учитывая неоднозначность трактовки результатов обследований на высоте желтухи, все пациенты считались потенциально резектабельными. Всего выполнили 45 сеансов вФДТ (от 1 до 7) и 34 цикла РХТ (от 1 до 8). ФДТ выполнялась по оригинальной запатентованной методике антеградным доступом под рентгеноскопическим контролем с использованием цилиндрического диффузора, после предварительного внутривенного введения фотосенсибилизатора (радахлорин, фотодитазин) [24]. Метод заключается в использовании цилиндрического диффузора, изначально не предназначенного для внутрипротокового использования. Из дистальной части диффузора удалялся обтуратор, далее механически разрушался светооптический гель на глубину до 5 мм. В образовавшуюся полость вводили контрастное вещество (омнипак, ультравист), после чего возвращали обтуратор на место. В проксимальной части диффузора также удаляли обтуратор, после чего в светооптический гель вводили световод с микролинзой на глубину 5 мм. Таким образом, получали две рентгеноконтрастные метки, а промежуток между ними и являлся рабочей зоной для равномерного селективного распределения света внутри пораженного опухолью участка желчного протока. После удаления НВЧЧХД на проводниках по сохранившимся пункционным каналам внутрь желчного дерева вводили пластиковый катетер с цилиндрическим диффузором таким образом, чтобы проксимальная и дистальная метки находились перед и за дефектом контрастирования (рис. 2). С целью равномерного распределения света проводники удалялись из данной зоны. ВФДТ проводили на лазерном аппарате Латус (Аткус) после предварительного внутривенного введения фотосенсибилизатора, в режиме дозированного фракционирования света. Мощность излучения на выходе волокна составляла 1 Вт, плотность энергии в зоне опухолевого поражения составляла 100–300 Дж/см2. Расчёт энергии производили индивидуально при помощи специальной программы, исходя из параметров площади поверхности цилиндра. После завершения сеанса вФДТ повторно реканализировали опухолевую стриктуру и восстанавливали НВЧЧХД с заменой дренажей. С момента начала внутривенной инфузии пациент соблюдал световой режим. РХТ выполнялась по стандартной методике: чрескожный пункционный бедренный доступ, верхняя мезентерикография, целиакография и артериогепатикография. Оценивалась артериальная анатомия гепатопанкреатодуоденальной зоны на наличие или отсутствие инвазии в магистральные артерии и вены. Далее проводилась химиоинфузия в общую или собственную печеночную артерию по схеме Gemcis: гемцитабин — 1000 мг/м2 в течение 30 мин. и цисплатин — 25 мг/м2 в течение 60 мин. При наличии метастазов в печени или инвазии в паренхиму выполняли РХТ по схеме GemOx: гемцитабин — 1000 мг/м2 в течение 30 мин. с химиоэмболизацией очагов печени (липиодол + оксалиплатин; n = 8). Связано это с тем, что цисплатин представляет собой раствор большого объема, что не позволяет создать стабильную химиомасляную суспензию. Оксалиплатин же существует и в виде лиофилизата, таким образом, достаточная концентрация химиопрепарата в малом объеме растворителя позволяет создать приемлемый по составу химиоэмболизат. Трем пациентам выполнены билатеральные антеградные стентирования (2 — рецидивирующий холангит; 1 — при системном прогрессировании).
Рис. 2. Внутрипротоковая фотодинамическая терапия под рентгеноскопическим контролем. а — рентгенограмма: катетер с цилиндрическим диффузором заведен через правый долевой проток и расположен непосредственно на уровне опухоли, между дистальной и проксимальной рентгеноконтрастными метками (стрелки); б — рентгенограмма: катетер с цилиндрическим диффузором заведен через левый долевой проток и расположен непосредственно на уровне опухоли, между дистальной и проксимальной рентгеноконтрастными метками (стрелки)
Интервал между циклами вФДТ и РХТ не превышал 7 дней. Оценку результатов лечения и динамики процесса производили посредством контроля уровня онкомаркера СА19-9, КТ и МРТ (МРХПГ), спустя 4−6 нед. после каждых двух сочетанных циклов (вФДТ + РХТ). В зависимости от результатов обследований, циклы повторяли через 1,5−3 (в среднем 2,1) мес. Наиболее целесообразным считаем следующую последовательность: первым этапом выполняется вФДТ, вторым РХТ или химиоэмболизация, т. к. это позволит беспрепятственно проникнуть фотосенсибилизатору в опухолевые сосуды.
Результаты
Серьёзных осложнений, потребовавших хирургического вмешательства или пребывания в отделении реанимации, не было. Нежелательных эффектов из-за несоблюдения светового режима отмечено не было. Токсичности от применения цитостатиков не было.
Всем 15 пациентам удалось установить гистологический диагноз, таким образом, эффективность разработанной нами методики составляет 100 %. После видеоассистированной внутрипротоковой щипковой биопсии не было ни одного эпизода гемобилии. Наш способ позволил установить диагноз в кратчайшие сроки от манифестации заболевания и начать специализированное противоопухолевое лечение.
В настоящее время живы 8 (44 %) из 18 больных в сроки от 3 до 43 мес. (в среднем 22 мес.). Из них прогрессирование выявлено у 2, в виде метастатического поражения отдаленных лимфатических узлов. Получают циклы ХТ (Gemox) в сочетании с вФДТ между третьим и четвертым циклами (24 и 23 мес. — стабилизация). Два пациента с местно-распространенным процессом получают лечение в виде сочетанных циклов вФДТ + РХТ с эффектом стабилизации заболевания (3 и 5 мес.). Одному пациенту с полирезистентным холангитом и диссеминацией опухолевого процесса выполнено стентирование общего печеночного и общего желчного протоков. На данный момент он получает монохимиотерапию препаратом капецитабин (лечение по схеме Gemox противопоказано из-за диабетической нефропатии и почечной недостаточности), жив в течение 25 мес. Двум пациентам выполнены оперативные вмешательства в объеме расширенной правосторонней гемигепатэктомии, после двух и трех вФДТ + РХТ, частичного ответа на лечение и предоперационной эмболизации правой ветви воротной вены. Оба живы, один в срок 39 мес. находится под динамическим наблюдением, специализированного противоопухолевого лечения не получает. Второй жив 43 мес., однако спустя 28 мес. выявлен рецидив в виде появления метастаза в оставшейся левой доле печени, без механической желтухи, возобновлены циклы внутриартериальной химиоэмболизации опухоли печени по схеме Gemox. У данного пациента имелось поражение желчных протоков, соответствовавшее типу II по Bismuth, с метастатическим поражением правой доли печени (T2N0M1 — печень; IV ст.). Одной пациентке после двух сочетанных циклов лечения выполнена левосторонняя гемигепатэктомия, безрецидивный период = 6 мес.
Умерли 10 (56 %) из 18 пациентов в сроки от 14 до 24 мес.: 6 — от прогрессирования (диссеминация опухолевого процесса / портальная гипертензия из–за местно-распространенного процесса); 3 — от холангита / сепсиса; 1 — от интеркурентной патологии. Средняя продолжительность жизни (СПЖ) составила 17,2 мес. 1-2-3 - летняя актуариальная выживаемость = 89−28−11 % соответственно. Медиана ОВ по методу Каплан – Майер = 18 мес. (рис. 3)
Рис. 3. Расчёт выживаемости у больных с опухолью Клатскина методом Каплан – Майер: + — живые; о — умершие
Обсуждение
В большинстве случаев ОК манифестирует синдромом механической желтухи и требует декомпрессии желчного дерева. На основании диагностических исследований выявляются расширенные внутрипеченочные желчные протоки при нерасширенном холедохе и желчном пузыре. При таком уровне поражения желчного дерева, так называемом «высоком блоке», наиболее предпочтительными и эффективными считаются чрескожные дренирующие операции. После декомперессии желчного дерева и определения характера поражения, согласно классификации Bismuth – Corlete возникает вопрос о возможности хирургического лечения. Резектабельность при ОК не превышает 20 % с момента первых клинических проявлений.
При неоперабельном опухолевом процессе принципиально важным является гистологическая верификация. Данный постулат становится все более актуальным на фоне появления новых противоопухолевых лекарственных средств. Рутинный способ получения гистологического материала, такой как чрескожная трепан-биопсия, считается малоэффективным и крайне рискованным из-за внеорганного расположения опухоли и соседства с магистральными сосудами. Эндоскопические способы получения материала с применением методики «Spy – Glass» также малоэффективны (50−70 %) [25]. Связано это с тем, что несмотря на возможность визуального выявления опухоли, данный эндоскоп обладает малым диаметром и узким рабочим каналом, что позволяет получить крайне скудный тканевой материал. Это в большинстве случаев делает невозможным гистологическое и иммуногистохимическое исследование. Желчь склонна к сладжу и камнеобразованию, особенно на фоне наличия дренажа и затруднения желчеоттока. А антергадные методики, в основном, ориентированы на дефект контрастирования желчного дерева, который далеко не всегда соответствует истинному расположению опухоли.
В связи с этим длительное время основным методом получения гистологического материала оставался хирургический. Часто при попытке удаления опухоли, в воротах печени определялся плотный опухолевый инфильтрат, выполнялась его биопсия, операция завершалась на диагностическом этапе. Внедрение лапароскопической технологии изменило степень хирургической травмы при таком виде биопсии, однако не изменило итога — операция ради диагностики. Разработанный нами способ выполнения биопсии при ОК с применением ультратонкого эндоскопа и рентгеноскопического контроля позволяет безопасно и минимально инвазивно получить достаточный объем опухолевого материала. Во всех случаях были выполнены гистологические и иммуногистохимические исследования. Данный способ биопсии выполним уже спустя 10–14 дней от момента дренирования желчных протоков. Мы считаем данный срок достаточным для формирования пункционного канала и безопасного выполнения повторного эндобилиарного вмешательства.
После того, как установлен диагноз ОК, необходимо приступать к специализированному противоопухолевому лечению, ведь при адекватной декомпрессии желчного дерева, но без лечения, медиана общей выживаемости (ОВ) не превышает 6−9 мес. Результаты противоопухолевой лекарственной терапии нельзя назвать удовлетворительными, так даже при использовании моноклональных антител медиана ОВ не превышает 11 мес. Обусловлено это в том числе и невозможностью четкого соблюдения цикличности лечения, ведь у данной группы пациентов часто возникают осложнения, связанные с желчными дренажами (дисфункция и смещение дренажей, хронический катетерный холангит). Регионарная химиотерапия позволяет создать более высокую концентрацию цитостатика внутри опухоли за счет эффекта первичного прохождения, при снижении системной токсичности. Это позволяет безопасно увеличить интервал между циклами с 3 нед. до 6−8 нед., что соответствует постулатам локорегинарной терапии. Ведь соблюдение такого же режима введения препаратов, что и при системной химотерапии невозможно без использования имплантируемых артериальных порт – систем. В случае наличия признаков инвазии опухоли в паренхиму печени, или при метастатическом поражении, возможно выполнение химиоинфузии в сочетании с внутриартериальной химиоэмболизацией, это позволяет длительно фиксировать цитостатик внутри опухоли в условиях ишемии.
Внедрение вФДТ в сочетании с эндоваскулярным лечением, на наш взгляд, является наиболее перспективным способом лечения. Сама по себе фотодинамическая терапия — это универсальный способ противоопухолевого лечения, основанный на внутриклеточных фотокосических и фотохимических реакциях. В лечении ОК принципиален способ доставки света в столь труднодоступную зону. Разработанный нами способ с применением катетера с цилиндрическим диффузором позволяет не только селективно доставить свет с нужной длиной волны, но и равномерно распределить его внутри желчного протока, пораженного опухолью. После каждого цикла вФДТ (в среднем через 2,6 мес.) происходит замена холангиодренажей, это позволяет своевременно санировать желчное дерево, не допуская обострений хронического катетерного холангита, что также крайне принципиально у данной категории больных.
В нашем исследовании комбинация вФДТ и РХТ в трех случаях (16,6 %) позволила достичь частичного ответа на лечение и выполнить радикальное удаление опухоли при изначально нерезектабельном процессе. Таким образом, этот подход в выборе тактики лечения, в первую очередь, целесообразен при погранично-резектабельных случаях.
Выводы
Видеоассистированная внутрипротоковая щипковая биопсия под рентгеноскопическим контролем — безопасная и простая методика, позволяющая достичь 100 % верификации диагноза ОК. Сочетание методик вФДТ и РХТ позволяет улучшить показатели выживаемости (ОВ = 18 мес.), а также может быть эффективны в качестве неоадьювантного лечения и позволяет достичь безрецидивного периода вплоть до 28 мес.
Конфликт интересов
Авторы заявляют об отсутствии конфликта интересов.
Соблюдение прав пациентов и правил биоэтики
Исследование выполнено в соответствии с Хельсинкской декларацией ВМА в редакции 2013 г. Все пациенты, включенные в исследование, получали лечение в рамках рутинной практики после подписания информированного согласия на лечение. Персональные данные пациентов не использовались при проведении исследования.
Финансирование
Исследование не имело спонсорской поддержки.
Участие авторов
Авторы декларируют соответствие своего авторства международным критериям ICMJE.
Все авторы в равной степени участвовали в подготовке публикации: разработке концепции статьи, получении и анализе фактических данных, написании и редактировании текста статьи, проверке и утверждении текста статьи. Все авторы одобрили финальную версию статьи перед публикацией, выразили согласие нести ответственность за все аспекты.
1 Полный текст статьи на английском языке доступен по ссылке https://voprosyonkologii.ru/index.php/journal/article/view/1-25-Diagnosis-and-Treatment-of-Klatskin-Tumors.
About the authors
Alexey S. Polekhin
Leningrad Regional Oncology Center
Author for correspondence.
Email: polehin_aleksey@mail.ru
ORCID iD: 0000-0003-2996-3372
SPIN-code: 2123-3000
Russian Federation, Saint Petersburg
Alexey L. Filonov
Leningrad Regional Oncology Center
Email: polehin_aleksey@mail.ru
ORCID iD: 0009-0008-0510-3160
SPIN-code: 9408-4192
Russian Federation, Saint Petersburg
Artur Ch. Gapbarov
Napalkov Saint Petersburg Clinical Research and Practical Center of Specialized Types of Medical Care (Oncologic)
Email: polehin_aleksey@mail.ru
ORCID iD: 0000-0002-7308-9873
SPIN-code: 1937-0668
Russian Federation, Saint Petersburg
References
- Banales J.M., Cardinale V., Carpino G., et al. Cholangiocarcinoma: current knowledge and future perspectives consensus statement from the European Network for the Study of Cholangiocarcinoma (ENS-CCA). Nature Reviews Gastroenterology & Hepatology. 2016; 13(5): 261-280.-DOI: https://doi.org/10.1038/nrgastro.2016.51.
- Suarez-Munoz M.A., Fernandez-Aguilar J.L., Sanchez-Perez B., et al. Risk factors and classifications of hilar cholangiocarcinoma. World J Gastrointest Oncol. 2013; 5(7): 132.-DOI: https://doi.org/10.4251/wjgo.v5.i7.132.
- Злокачественные новообразования в России в 2022 году (заболеваемость и смертность) / под ред. А.Д. Каприна и др. − М.: МНИОИ им. П.А. Герцена − филиал ФГБУ «НМИЦ радиологии» Минздрава России. 2023: 275. ISBN 978-5-85502-290-2.-URL: https://ri-systems.ru/tpost/97xc67ifr1-sbornik-zlokachestvennie-novoobrazovaniy.
- Mocan T., Horhat A., Mois E., et al. Endoscopic or percutaneous biliary drainage in hilar cholangiocarcinoma: When and how? World J of Gastrointest Oncol. 2021; 13(12): 2050.-DOI: https://doi.org/10.4251/wjgo.v13.i12.2050.
- Hameed A., Pang T., Chiou J., et al. Percutaneous vs. endoscopic pre-operative biliary drainage in hilar cholangiocarcinoma–a systematic review and meta-analysis. Hpb. 2016; 18(5): 400-410.-DOI: https://doi.org/10.1016/j.hpb.2016.03.002.
- Ba Y., Yue P., Leung J.W., et al. Percutaneous transhepatic biliary drainage may be the preferred preoperative drainage method in hilar cholangiocarcinoma. Endosc Int Open. 2020; 8(2): E203-E210.-DOI: https://doi.org/10.1055/a-0990-9114.
- Bismuth H., Corlette M.B. Intrahepatic cholangioenteric anastomosis in carcinoma of the hilus of the liver. Surg Gynecol Obstet. 1975; 140(2): 170-178.-URL: https://pubmed.ncbi.nlm.nih.gov/1079096/
- Chen X.P., Lau W.Y., Huang Z.Y., et al. Extent of liver resection for hilar cholangiocarcinoma. BJS. 2009; 96(10): 1167-1175.-DOI: https://doi.org/10.1002/bjs.6618.
- DeOliveira M.L. Cholangiocarcinoma: thirty-one-year experience with 564 patients at a single institution. Ann Surg. 2007; 245(5): 755-762.-DOI: https://doi.org/10.1097/01.sla.0000251366.62632.d3.
- Bismuth H., Nakache R., Diamond T. Management strategies in resection for hilar cholangiocarcinoma. Ann Surg. 1992; 215(1): 31.-DOI: https://doi.org/10.1097/00000658-199201000-00005.
- Saxena A., Chua T.C., Chu F.C., Morris D.L. Improved outcomes after aggressive surgical resection of hilar cholangiocarcinoma: a critical analysis of recurrence and survival. Am J Surg. 2011; 202(3): 310-320.-DOI: https://doi.org/10.1016/j.amjsurg.2010.08.041.
- Liu Z.P., Chen W.Y., Zhang Y.Q., et al. Postoperative morbidity adversely impacts oncological prognosis after curative resection for hilar cholangiocarcinoma. World J Gastroenterol. 2022; 28(9): 948.-DOI: https://doi.org/10.3748/wjg.v28.i9.948.
- Singhal D., Van Gulik T.M., Gouma D.J. Palliative management of hilar cholangiocarcinoma. Surg Oncol. 2005; 14(2): 59-74.-DOI: https://doi.org/10.1016/j.suronc.2005.05.004.
- Бредер В.В., Базин И.С., Балахнин П.В., et al. Практические рекомендации по лекарственному лечению больных злокачественными опухолями печени и желчевыводящей системы. Практические рекомендации RUSSCO, часть 1. Злокачественные опухоли. 2023; 13(3s2): 494-538.-DOI: https://doi.org/10.18027/2224-5057-2023-13-3s2-1-494-538.
- Shin D.W., Kim M.J., Lee J.C., et al. Gemcitabine plus cisplatin chemotherapy prolongs the survival in advanced hilar cholangiocarcinoma: a large multicenter study. Am J Clin Oncol. 2020; 43(6): 422-427.-DOI: https://doi.org/10.1097/COC.0000000000000682.
- Zheng W.H., Yu T., Luo Y.H., et al. Clinical efficacy of gemcitabine and cisplatin-based transcatheter arterial chemoembolization combined with radiotherapy in hilar cholangiocarcinoma. World J Gastrointest Oncol. 2019; 11(6): 489.-DOI: https://doi.org/10.4251/wjgo.v11.i6.489.
- Andrašina T., Válek V., Pánek J., et al. Multimodal oncological therapy comprising stents, brachytherapy, and regional chemotherapy for cholangiocarcinoma. Gut and Liver. 2010; 4(1): 82.-DOI: https://doi.org/10.5009/gnl.2010.4.S1.S82.
- Zhang C., Song M., Sun Z., et al. Biliary drainage combined with simultaneous 125I seed strand brachytherapy for the treatment of hilar cholangiocarcinoma. BMC cancer. 2023; 23(1): 418.-DOI: https://doi.org/10.1186/s12885-023-10868-5.
- Taggar A.S., Mann P., Folkert M.R., et al. A systematic review of intraluminal high dose rate brachytherapy in the management of malignant biliary tract obstruction and cholangiocarcinoma. Radiotherapy and Oncology. 2021; 165: 60-74.-DOI: https://doi.org/10.1016/j.radonc.2021.10.011.
- Францев Д.Ю., Сергеева О.Н., Шориков М.А., Долгушин Б.И. Эндобилиарная фотодинамическая терапия у больных гилюсной холангиокарциномой часть 1: преклиническое обоснование применения метода. Диагностическая и интервенционная радиология. 2019; 13(4): 47-56.-DOI: https://doi.org/10.25512/DIR.2019.13.4.05.
- Chen P., Yang T., Shi P., et al. Benefits and safety of photodynamic therapy in patients with hilar cholangiocarcinoma: A meta-analysis. Photodiagnosis Photodyn Ther. 2022; 37: 102712.-DOI: https://doi.org/10.1016/j.pdpdt.2022.102712.
- Полысалов В.Н., Гапбаров А.Ч., Полехин А.С., Гранов Д.А. Комбинированное лечение нерезектабельной опухоли Клатскина с использованием внутрипротоковой фотодинамической терапии и регионарной химиотерапии. Вопросы онкологии. 2018; 64(4): 485-489.-URL: https://voprosyonkologii.ru/index.php/journal/article/view/867.
- Полехин А.С., Филонов А.Л., Гапбаров А.Ч. Патент № 2801529 C1 Российская Федерация, МПК A61B 17/94, A61B 17/00, A61B 10/06. Способ чрескожной чреспеченочной щипковой внутрипротоковой биопсии: № 2022109821: заявл. 11.04.2022: опубл. 10.08.2023 - EDN QFCIUJ. URL: https://patenton.ru/patent/RU2801529C1.
- Полысалов В.Н., Полехин А.С., Гапбаров А.Ч. Патент № 2753402 C1 Российская Федерация, МПК A61N 5/067. Способ фотодинамической терапии при лечении нерезекабельной аденокарциномы внепеченочных желчных протоков: № 2020113552: заявл. 15.04.2020: опубл. 16.08.2021; заявитель Федеральное государственное бюджетное учреждение «Российский научный центр радиологии и хирургических технологий имени академика А.М. Гранова» Министерства здравоохранения Российской Федерации. – EDN: UAXKDW. URL: https://patenton.ru/patent/RU2753402C1.
- Ogawa T., Ito K., Koshita S., et al. Usefulness of cholangioscopic-guided mapping biopsy using SpyGlass DS for preoperative evaluation of extrahepatic cholangiocarcinoma: a pilot study. Endosc Int Open. 2018; 6(02): E199-E204.-DOI: https://doi.org/10.1055/s-0043-117949.
Supplementary files




