Modification of the hi-c technology for molecular genetic analysis of formalin-fixed paraffin-embedded sections of tumor tissues
- Authors: Gridina M.M.1,2, Stepanchuk Y.K.1,2, Nuriddinov M.A.1,2, Lagunov T.A.1,2, Torgunakov N.Y.1,2, Shadsky A.A.1,2, Ryabova A.I.3, Vasiliev N.V.3, Vtorushin S.V.3,4, Gerashchenko T.S.3, Denisov E.V.3, Travin M.A.5, Korolev M.A.5, Fishman V.S.1,2
-
Affiliations:
- Institute of Cytology and Genetics, Siberian Branch of Russian Academy of Sciences
- Novosibirsk State University
- Cancer Research Institute, Tomsk National Research Medical Center, Russian Academy of Sciences
- Siberian State Medical University, Ministry of Health of the Russian Federation
- Research Institute of Clinical and Experimental Lymphology, Institute of Cytology and Genetics, Siberian Branch of Russian Academy of Sciences
- Issue: Vol 89, No 4 (2024)
- Pages: 594-611
- Section: Articles
- URL: https://journals.rcsi.science/0320-9725/article/view/268614
- DOI: https://doi.org/10.31857/S0320972524040042
- EDN: https://elibrary.ru/ZFXUFQ
- ID: 268614
Cite item
Full Text
Abstract
Molecular genetic analysis of tumor tissues is the most important step towards understanding the mechanisms of cancer development, and it is also necessary for the choice of targeted therapy. Hi-C (high-throughput chromatin conformation capture) technology can be used to detect various types of genomic variants, including balanced chromosomal rearrangements: inversions and translocations. In this work, we propose a modification of the Hi-C method for the analysis of chromatin contacts in formalin-fixed paraffin-embedded (FFPE) sections of tumor tissues. Our results demonstrate that this protocol allow to generate high-quality Hi-C data and detect all types of chromosomal rearrangements. We have analyzed various databases to compile a comprehensive list of translocations that hold clinical importance for targeted therapy selection. The practical value of molecular genetic testing is its ability to influence patient treatment strategies and provide prognostic insights. Detecting specific chromosomal rearrangements can guide the choice of targeted therapies, which is a critical aspect of personalized medicine in oncology.
Full Text
ВВЕДЕНИЕ
Хромосомные перестройки, наряду с точечными мутациями, являются причиной развития онкологических заболеваний. Современные методы диагностики позволяют хорошо детектировать точечные мутации и изменения числа копий на полногеномном уровне. Однако на данный момент нет удовлетворительного решения для поиска сбалансированных хромосомных перестроек (транслокаций и инверсий). В то же время эти типы структурных вариантов были обнаружены практически во всех типах онкологических заболеваний. Более того, при некоторых типах опухолей детекция сбалансированных хромосомных перестроек критически важна для постановки корректного диагноза, уточнения прогноза, а также выбора терапии.
Описано множество опухолей, для которых хромосомные перестройки не просто сопровождают процесс их развития, но и являются основной причиной (драйвером) онкологической трансформации клетки. Реципрокные транслокации приводят к развитию лимфомы Беркитта. При этом происходит перенос гена MYC с хромосомы 8 на хромосому 14 под воздействием энхансера тяжёлой цепи иммуноглобулинов, что приводит к постоянной, увеличенной экспрессии гена MYC [1]. Если места разрывов хромосомной перестройки оказываются внутри генов, это может привести к их слиянию и образованию химерных белков. Как правило, одним из партнёров по слиянию являются транскрипционные факторы (ERG, MYB и др.) или протеинкиназы (ABL1, ALK, BRAF, EGFR, JAK2, RET и др.). Слияние генов может приводить к малигнизации клеток за счёт увеличения экспрессии гена, как в случае слияния генов TMPRSS2 и ERG, которое обнаруживают в большинстве аденокарцином предстательной железы и примерно в 20% предшественников интраэпителиальных неоплазий предстательной железы высокой степени злокачественности [2]. TMPRSS2 – это сериновая протеаза, а работа её гена контролируется андроген-зависимым промотором. ERG – транскрипционный фактор, считающийся онкогеном. Слияние 1–2 экзонов TMPRSS2 и гена ERG приводит к смене промотора у последнего и, таким образом, к его сверхэкспрессии в тканях простаты. Вероятно, по похожему механизму происходит развитие других типов онкологических заболеваний при слиянии ERG с другими партнёрами, такими как NDRG1, EWS и FUS [3–5].
Если в результате слияния двух генов один из партнёров оказывается усечённым, это может приводить к его сверхэкспрессии из-за потери негативных регуляторных сайтов связывания микроРНК или сайтов, регулирующих продолжительность жизни белка. Транслокации t(6;9) приводят к слиянию генов MYB (транскрипционный фактор) и NFIB и развитию аденоидно-кистозной карциномы [6]. В образующемся в результате транслокаций химерном транскрипте происходит частичное разрушение или полная потеря участка, кодирующего регуляторный C-концевой домен, содержащий сайты посттрансляционных модификаций, а также некодирующего участка, содержащего сайты связывания регуляторных микроРНК, с сохранением остальных участков, кодирующих функциональные домены MYB. В результате увеличивается экспрессия этого белка и продолжительность его жизни [7].
При слиянии генов могут образовываться химерные белки с изменёнными функциональными доменами. В норме тирозинкиназа рецептора FGFR3 временно активируется гомо/гетеродимеризацией с участием FGF в качестве лиганда [8]. Транслокация хромосом 4 и 7 приводит к слиянию генов FGFR3 и BAIAP2L1, химерный белок получает способность к конститутивной, независимой от лиганда, гомодимеризации, используя для этого BAR-домены BAIAP2L1. В результате происходит активация киназы FGFR3 и наблюдается мощная онкогенная активность [9].
Для проведения диагностики и долгосрочного хранения образцы опухоли в рутинной практике фиксируют в формалине, а затем заливают в парафин для изготовления фиксированных формалином и залитых в парафин (FFPE) тканевых блоков. Хранение образцов в виде FFPE-блоков имеет множество преимуществ, включая стабильность при комнатной температуре, долгий срок хранения и пригодность для иммуногистохимического анализа (IHC). Однако такой способ сохранения образцов приводит к деградации нуклеиновых кислот и появлению артефактов, что требует дополнительной оптимизации молекулярных методов анализа [10] и усложняет использование секвенирования РНК для обнаружения биомаркеров [11].
Для поиска хромосомных перестроек в опухоли в рутинном анализе используют следующие методы: FISH (флуоресцентная гибридизация in situ), IHC и RT-PCR (ПЦР с обратной транскрипцией). Эти подходы имеют очевидные ограничения, касающиеся обнаружения новых или комплексных хромосомных перестроек. Основанные на высокопроизводительном секвенировании методы определённо совершили переворот в клинической генетике. Полногеномное и полноэкзомное секвенирование короткими прочтениями отлично справляется с задачей поиска точечных мутаций и несбалансированных хромосомных перестроек, но их точность ограничена в повторяющихся областях генома. Обнаружение ими сбалансированных перестроек зависит от присутствия химерных чтений, включающих точку перестройки, а следовательно, требует большой глубины секвенирования. Методы секвенирования длинными ридами (PacBio и Oxford Nanopore) эффективны для детекции сбалансированных хромосомных перестроек, однако лишаются своих преимуществ при анализе материала FFPE-блоков, так как в них ДНК подвергается деградации. Основными механизмами, через которые сбалансированные хромосомные перестройки инициируют канцерогенез, являются слияние генов и/или нарушение их экспрессии за счёт изменения регуляторного окружения, поэтому секвенирование РНК является одним из инструментов анализа образцов опухоли [12–14]. Однако эти методы предъявляют высокие требования к качеству РНК – соответствующих показателей качества не всегда можно добиться – особенно при работе с FFPE-блоками [11–16]. Как следствие, фрагменты деградированной РНК могут не содержать информации о месте слияния. Более того, методы РНК-секвенирования имеют низкую чувствительность в случаях слабой экспрессии слитого транскрипта [13] и слияний с некодирующими районами [17] и требуют секвенирования с относительно высокой глубиной (20–30 миллионов пар прочтений) или процедуры обогащения целевыми генами [11]. Метод Hi-C (высокопроизводительного захвата конформации хроматина) в последние годы всё более активно используется в качестве альтернативного подхода для детекции разнообразных типов хромосомных перестроек. Преимуществом метода является возможность детектировать сбалансированные перестройки при меньшей глубине секвенирования, поскольку информативными являются не только прочтения, содержащие точку разрыва, но и прочтения некоторой области вокруг этой точки, частота контактов которых меняется [18–27].
В данной работе мы предлагаем протокол Hi-C для проведения анализа материала FFPE-срезов опухоли. Мы ввели существенные модификации в существующие протоколы [28, 29], результатом чего стал хорошо воспроизводимый метод, позволяющий получать качественные Hi-C-данные и детектировать все типы хромосомных перестроек. Кроме того, важным отличием предложенного нами протокола обработки FFPE-срезов от использованных ранее на этом материале 3С-методов (захвата конформации хромосомы, сhromosome conformation capture) является возможность случайно (независимо от сайта рестрикции) фрагментировать хроматин. Такой подход, в отличие от «классического» метода Hi-C, может позволить обнаруживать, помимо хромосомных перестроек, и однонуклеотидные варианты замены в клинически значимых локусах. Нами проведён анализ существующих баз данных и составлен список транслокаций, для которых молекулярно-генетическое тестирование имеет клиническое значение с точки зрения выбора таргетной терапии. Результаты моделирования, приведённые в нашей работе, показывают, что разработанный метод имеет перспективы использования в клинической практике для поиска таких клинически значимых геномных вариантов.
МАТЕРИАЛЫ И МЕТОДЫ
Образцы, использованные в анализе.
В исследование вошли образцы, полученные от пациентов различных клинических центров РФ: 3 пациентов с опухолями головного мозга с морфологически верифицированными диагнозами – глиобластома, гигантоклеточная глиобластома и диффузная астроцитома (возраст 43,6 ± 8,62 лет, G4), – проходивших лечение на базе НИИ онкологии Томского НИМЦ; 5 пациентов с морфологически верифицированным диагнозом «хондросаркома» различных локализаций: плечевая, бедренная, большеберцовая, тазовые кости и грудина (28–65 лет, средний возраст 50,4 ± 12,9 лет, G2–3), проходивших лечение на базе НИИ онкологии Томского НИМЦ; 3 пациентов с хроническим лимфоцитарным лейкозом (ХЛЛ) и 3 пациентов с крупноклеточной лимфомой (КЛ), проходивших лечение на базе Кемеровской областной клинической больницы, диагностированных на основе патоморфологического исследования эксцизионной биопсии лимфоузла с иммуногистохимической верификацией с использованием специализированной панели антител.
Образцы опухолевой ткани пациентов были получены в ходе оперативного вмешательства, фиксированы 24 ч в 10%-ном (v/v) нейтральном формалине и залиты в парафин по стандартной методике. Из формалин-фиксированных парафин-залитых опухолевых образцов были подготовлены срезы толщиной 10 мкм.
Протокол приготовления Hi-C-библиотек из FFPE-срезов (FFPE Hi-C).
Протокол, основанный на ранее предложенном нами методе Hi-C S1-опосредованной фрагментации хроматина [30], включает следующие этапы:
- Депарафинизация:
1.1. Срез FFPE-блока помещали в пробирку объёмом 1,5 мл и добавляли 1 мл лизирующего буфера У (150 мМ Tris, pH 8,0; 140 мМ NaCl, 0,5%-ный Igepal (v/v), 1%-ный Triton X-100 (v/v)).
1.2. Инкубировали при 80 °С в течение 3 мин.
1.3. Центрифугировали при 2500 g в течение 5 мин.
1.4. С поверхности раствора удаляли слой парафина.
1.5. Шаги 1.2–1.4 повторяли (т.е. общее количество инкубаций – две).
- Лизис:
2.1. После второго центрифугирования супернатант удаляли, а осадок ресуспендировали в 1 мл лизирующего буфера Н (10 мМ Tris, pH 8,0; 10 мМ NaCl, 1%-ный Triton X-100 (v/v), 0,1%-ный SDC (m/v), 20%-ный EtOH (v/v)).
2.2. Инкубировали при 45 °С в течение ночи.
2.3. Центрифугировали при 2500 g в течение 5 мин.
2.4. Осадок однократно промывали 1 мл лизирующего буфера У.
2.5. Образец инкубировали в 1 мл лизирующего буфера У 1 ч при комнатной температуре на орбитальном шейкере.
2.6. Центрифугировали при 2500 g в течение 5 мин.
2.7. Супернатант удаляли, а осадок ресуспендировали в 500 мкл лизирующего буфера Д (50 мМ Tris, pH 7,5; 0,5 мМ CaCl2, 0,3%-ный SDS (m/v)).
2.8. Инкубировали при 37 °С в течение 1 ч.
2.9. SDS ингибировали добавлением 91 мкл 10%-ного Triton X-100 (v/v) в течение 10 мин при комнатной температуре.
2.10. Центрифугировали при 2500 g в течение 5 мин.
2.11. Осадок однократно промывали 500 мкл 1× буфера для S1-нуклеазы («Thermo Fisher Scientific», США), содержащего 1%-ный Triton X-100 (v/v).
- Фрагментация хроматина:
3.1. Осадок после центрифугирования ресуспендировали в 80 мкл 1× буфера S1 («Thermo Fisher Scientific»).
3.2. Добавляли 200 U нуклеазы S1 («Thermo Fisher Scientific») и инкубировали при 37 °C в течение 1 ч.
3.3. Реакцию останавливали добавлением 5 мкл 500 мМ ЭДТА и очищали с помощью 1 объёма магнитных частиц AMPure в соответствии с рекомендациями производителя.
3.4. Связанный с магнитными частицами хроматин ресуспендировали в 100 мкл H2O, магнитные частицы оставались в дальнейших реакциях вплоть до выделения ДНК.
- Дальнейшие этапы, которые включали введение биотиновой метки, лигирование, выделение ДНК, обогащение фрагментами лигирования и подготовку библиотек для NGS-секвенирования, мы проводили согласно протоколу, описанному в работе Gridina et al. [31]. Количество ДНК определяли при помощи набора Qubit dsDNA HS Assay Kit.
Библиотеки секвенировали на платформе BGI, используя парные чтения длиной 150 п.о. Глубина секвенирования составляла 10–100 тыс. ридов на образец для неглубокого секвенирования и ~80 млн пар ридов – для глубокого.
Моделирование хромосомных перестроек.
Моделирование хромосомных перестроек проводилось с помощью программного обеспечения Charm (https://github.com/genomech/Charm/). Для построения референсной базы контактов использовались публично доступные результаты полногеномных Hi-C-экспериментов на клеточной линии IMR90 [32] (идентификаторы: SRR1658675, SRR1658676, SRR1658679). Каждая хромосомная перестройка моделировалась как гетерозиготная с общим числом контактов на карте Hi-C около 30 миллионов. Значения координат для границ смоделированных хромосомных перестроек (Приложение 1) округляли до 5 тысяч п.н. Перестройки размером менее 25 тысяч п.н. увеличивались до данной величины.
Построение карт контактов и анализ показателей качества Hi-C-библиотек.
Анализ данных Hi-C и построение карт контактов проведены согласно методу, описанному в работе Gridina et al. [31]. Для подсчёта показателей качества использована модифицированная версия программного обеспечения Juicer версии 1.6, доступная на GitHub: https://github.com/genomech/juicer1.6_compact.
РЕЗУЛЬТАТЫ ИССЛЕДОВАНИЙ
Разработка протокола Hi-C-анализа парафиновых срезов образцов опухолей с использованием S1-нуклеазы.
Большинство опубликованных протоколов Hi-C в качестве исходного материала предлагает использовать живые клетки или ткани [19, 31–33], реже – замороженные образцы [34]. Поэтому для этого типа исходного материала протоколы хорошо проверены, известны многие нюансы и критические точки [35–37]. Использование Hi-C на материале FFPE-срезов опухоли описано в двух работах [28, 29]. Сравнение этих протоколов, приведённое в табл. 1, показывает ряд существенных различий между ними. Наиболее существенные отличия касаются этапа депарафинизации и лизиса образцов. Для депарафинизации Troll et al. [28] предлагают использовать ксилол с последующей отмывкой спиртом, а Allahyar et al. [29] – инкубацию в течение трёх минут при 80 °C с последующим центрифугированием и удалением образовавшегося слоя парафина. После депарафинизации, для того чтобы обеспечить доступность хроматина для ферментов рестрикции, Troll et al. предлагают обрабатывать образцы протеиназой К (0,5 мг/мл в течение часа при 37 °C), а Allahyar et al. предлагают сонифицировать образцы, после чего инкубировать 2 ч при 80 °C. Как обработка протеиназой, так и продолжительное инкубирование при 80 °C может приводить к разрушению сшивок, образованных формальдегидом [38], и освобождению ДНК из хроматина. Наконец, следует отметить, что обе работы предлагают использование эндонуклеаз рестрикции с четырёхбуквенным сайтом узнавания для фрагментации хроматина. В этом случае участки генома, расположенные далеко от сайтов узнавания фермента, будут иметь крайне низкое покрытие, что ограничивает применение опубликованных методов для задач детекции некоторых геномных вариантов. Например, точковые геномные варианты в экзонах онкогенов, расположенные далеко от сайтов рестрикции, не могут быть проанализированы на основе данных секвенирования таких Hi-C-библиотек.
Таблица 1. Сравнение основных этапов протоколов Hi-C для FFPE-срезов
Этап | Краткое описание условий | ||
Troll et al. [28] | Allahyar et al. [29] | Предлагаемый нами метод FFPE Hi-C | |
Депарафинизация | ксилол | 3 мин при 80 °С, центрифугирование | 3 мин при 80 °С, центрифугирование |
Лизис | протеиназа К, 1 ч при 37 °C | 0,6%-ный SDS, сонификация, инкубация 2 ч при 80 °C | лизис в присутствии ионных и неионных детергентов |
Фрагментация хроматина | MboI, 1 ч при 37 °C | NlaIII, 1 ч при 37 °C | S1-нуклеаза, 1 ч при 37 °C |
Включение биотина | + | − | + |
Лигирование | 2 ч, комнатная температура | 1 ч, 16 °C | ночь, 16 °C |
Обогащение продуктами лигирования | + | − | + |
Мы разработали модификацию протокола Hi-C для приготовления геномных библиотек из FFPE-срезов (табл. 1), в которой, с одной стороны, смягчили условия лизиса, с другой стороны, использовали S1-нуклеазу вместо рестриктаз (см. Материалы и методы). Использование S1-нуклеазы, в отличие от использованных ранее эндонуклеаз рестрикции, позволяет получить равномерное геномное покрытие [30].
В ходе приготовления Hi-C-библиотек из живых клеток или тканей стандартом является анализ фрагментов ДНК, полученных после ключевых этапов эксперимента:
– после лизиса, до фрагментации;
– после фрагментации, перед лигированием;
– после лигирования.
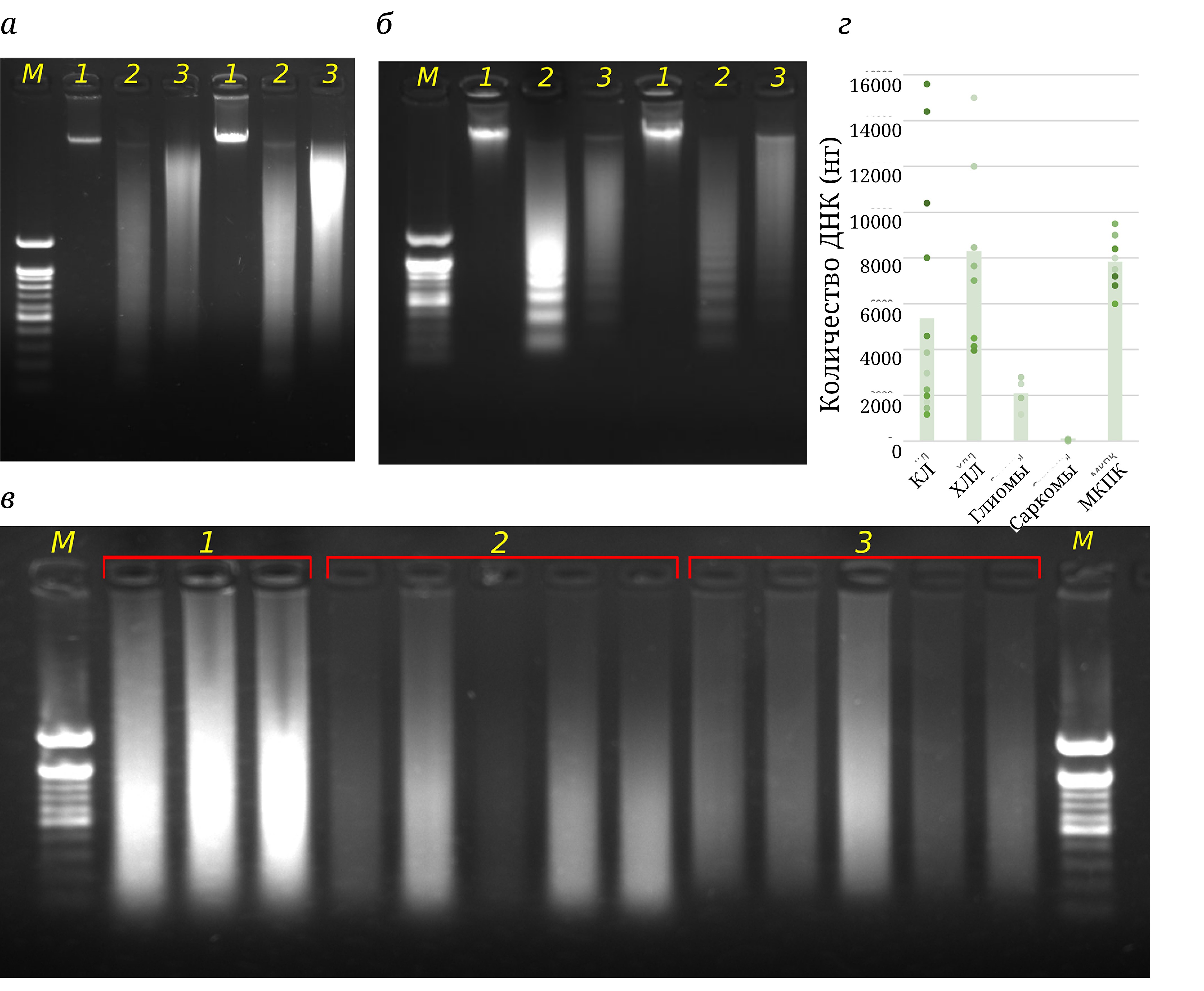
На основании распределения длин фрагментов ДНК в контролях можно оценить качество приготовленных библиотек (рис. 1, а и б), а именно: до фрагментации должен детектироваться бэнд, соответствующий высокомолекулярной ДНК; после фрагментации этот бэнд исчезает и образуется множество низкомолекулярных фрагментов различной длины; после лигирования распределение длин фрагментов смещается в более высокомолекулярную область.
Рис. 1. Контроли этапов фрагментации и лигирования хроматина в Hi-C-экспериментах на свежих клетках и тканях с использованием DpnII (а), S1-нуклеазы (б) или полученные с использованием разработанного протокола Hi-C-анализа FFPE-срезов (в). 1 – Образец до фрагментации, 2 – после фрагментации, 3 – после лигирования. М – маркер длины 100 п.н. («SibEnzyme», М24). г – Количество выделенной ДНК (нг) в Hi-C-библиотеках, полученных из FFPE-срезов разных типов опухоли. Число проанализированных библиотек из мононуклеаров крови (МКПК) – 16, из FFPE-срезов: КЛ – 13, ХЛЛ – 9, глиомы – 4, саркомы – 5
Мы обнаружили, что в случае приготовления Hi-C-библиотек из образцов FFPE-срезов данные контроли не являются показательными. Продолжительная фиксация материала опухоли в формальдегиде и последующее заключение в парафиновый блок приводит к существенной деградации ДНК [39, 40], поэтому выделенная из FFPE-блока ДНК уже сильно фрагментирована, и, согласно нашим данным, дальнейшая обработка нуклеазой и лигирование не приводит к столь контрастным изменениям распределения длин фрагментов (рис. 1, в). При этом, несмотря на отсутствие контрастных изменений в длинах продуктов, анализ качества данных секвенирования Hi-C-библиотек и визуальный анализ полученных карт Hi-C-контактов говорит об успешном прохождении основных этапов Hi-C-эксперимента. Так, например, показанные на рис. 1, в образцы были просеквенированы и имели приемлемые показатели статистик качества, как и другие библиотеки, приготовленные по нашему протоколу (Приложение 2, образцы s11–15). Таким образом, мы считаем, что в случае FFPE Hi-C не имеет смысла делать описанные контроли, а следует оценивать качество библиотек по результатам неглубоких секвенирований.
В отличие от Hi-C-анализа живых клеток с использованием рестриктазы DpnII или S1-нуклеазы, где исследователь в большинстве случаев может легко варьировать количество материала в эксперименте, при анализе FFPE-срезов не всегда есть возможность оценить количество клеток, попавших на срез. Мы обратили внимание, что количество ДНК Hi-C-библиотеки, которое можно было выделить из образца, сильно варьировало как в зависимости от типа опухоли, так и от образца к образцу (рис. 1, г). При этом минимальный выход наблюдался для FFPE-срезов сарком. Это заставило нас в случае с саркомами использовать по три FFPE-среза от одного блока в анализе. В связи с этим мы рекомендуем для каждого типа опухоли определять необходимое количество срезов для получения достаточного выхода библиотек ДНК.
Мы собрали Hi-C-библиотеки по разработанному нами протоколу из FFPE-срезов: хронического лимфоцитарного лейкоза (ХЛЛ), крупноклеточных лимфом (КЛ), глиом и сарком, а также по протоколам Troll и Allahyar из образцов FFPE-срезов ХЛЛ. После секвенирования полученных библиотек мы оценили их качество. Все библиотеки имели низкие доли невыровненных прочтений и ПЦР-дубликатов (рис. 2, а и б соответственно). Одним из критериев оценки качества Hi-C-библиотек является доля DE (dangling ends – это неинформативные фрагменты, не являющиеся продуктами лигирования). Для Hi-C-библиотек, приготовленных с использованием S1-нуклеазы из мононуклеарных клеток периферической крови (МКПК), доля DE составляет в среднем 40%. Для FFPE-библиотек, приготовленных по нашему протоколу, она была выше и, вероятно, зависит от типа анализируемой опухоли; максимальное число DE выявлялось в библиотеках, приготовленных по протоколам Troll и Allahyar (рис. 2, в). Ранее нами было показано [31], что наиболее важным показателем для оценки качества библиотек является доля cis-контактов (соотношение cis/all (FF and RR orient)). Этот показатель отражает долю Hi-C-прочтений, попадающих на одну хромосому, среди всех Hi-C-прочтений. Низкая доля cis-контактов может быть следствием разрушения связей, образованных при фиксации, и выхода ДНК в раствор, где в дальнейшем лигирование происходит случайным образом. Для всех библиотек, приготовленных по нашему протоколу, доля cis-контактов была выше 70%, тогда как для библиотек, приготовленных по протоколам Troll и Allahyar, она составляла 20% и 15% соответственно (рис. 2, г).
Рис. 2. Показатели качества Hi-C библиотек: доля невыровненных прочтений (а), доля ПЦР-дубликатов (б), доля DE (в), доля cis-контактов среди Hi-C-контактов (г). Число проанализированных библиотек из мононуклеаров крови (МКПК) – 16, из FFPE-срезов: КЛ – 13, ХЛЛ – 9, глиомы – 4, саркомы – 2
Следует отметить, что целью данной работы не является сравнение разработанного протокола с подходами Troll и Allahyar, т.к. последние используют ферменты с фиксированным сайтом узнавания [28, 29] и поэтому в любом случае не могут быть применены для детекции геномных вариантов столь же эффективно, как разработанный нами протокол [31, 41]. По этой причине мы не проводили дополнительные эксперименты по протоколам Troll и Allahyar на большем количестве образцов или разнообразных типах опухолей. Таким образом, полученные данные не позволяют нам сделать статистическое сравнение качества Hi-C-данных, полученных разными протоколами, но мы можем констатировать тренд, свидетельствующий о более высоком качестве Hi-C-библиотек, полученных по протоколу с S1-нуклеазой.
Для двух библиотек было проведено глубокое секвенирование и построены тепловые карты Hi-C-контактов, на которых были отчётливо видны паттерны, соответствующие разным типам хромосомных перестроек (рис. 3, а–д). Следует отметить, что среди обнаруженных нами мутаций присутствуют все типы структурных перестроек: делеции, дупликации, инверсии и транслокации. Таким образом, мы можем заключить, что разработанный нами подход Hi-C-анализа FFPE-срезов с использованием S1-нуклеазы позволяет получать карты трёхмерных контактов хроматина из образцов парафиновых срезов опухолей и, на основе этих данных, детектировать хромосомные перестройки.
Рис. 3. Тепловые карты контактов для Hi-C из FFPE-срезов. а – Изображение тепловой карты геномных Hi-C-контактов в масштабе хромосом для образца s26 (выше диагонали), в качестве контроля (ниже диагонали) приведена карта, полученная для лимфоцитов крови [30]. б – Примеры паттернов контактов на картах Hi-C, соответствующих реципрокным транслокациям, и их схематичное изображение. Примеры паттернов контактов на картах Hi-C для: инверсии (в), гетерозиготной делеции (г), гетерозиготных делеции и дупликации (д). Выше диагонали – карта контактов для образца s25, ниже – s26, который использовали в качестве контроля
Перспективы Hi-C-анализа парафиновых срезов опухолевых тканей для выбора таргетной терапии онкологических заболеваний.
Разработанный нами протокол Hi-C-анализа парафиновых срезов может в перспективе позволить детектировать хромосомные перестройки в клинической практике. Наибольший интерес при этом представляют сбалансированные события, транслокации и инверсии, которые труднее всего детектировать стандартными методами секвенирования. Кроме того, практическая ценность молекулярно-генетического теста определяется возможностью скорректировать тактику лечения больного или, по крайней мере, дать прогноз развития онкологического заболевания в случае детекции хромосомной перестройки. Чтобы понять область применения разработанного метода, мы проанализировали базы данных National Cancer Institute (https://www.cancer.gov/about-cancer/treatment/drugs/cancer-type), CIViC (https://civicdb.org/welcome) и MyCancerGenome (https://www.mycancergenome.org/). По результатам анализа были выбраны сбалансированные хромосомные перестройки, которые приводят к слиянию генов, причём образовавшийся химерный продукт является мишенью для разрабатываемого или уже используемого в клинической практике таргетного препарата (табл. 2). Согласно приведённым данным, наибольшее число вариантов слияния генов, для которых применяется таргетная терапия, описано для гематологических онкологических заболеваний, а в случае солидных опухолей – для разных типов сарком и для рака лёгкого. Кроме того, для этих типов заболеваний наблюдается ещё и наибольшее разнообразие партнёров по слиянию. Для меланомы и холангиокарциномы также описано несколько вариантов слияний, однако в обоих случаях один из партнёров по слиянию повторяется: BRAF – общий партнёр по слиянию в клетках меланомы и FGFR2 – холангиокарциномы.
Таблица 2. Список сбалансированных хромосомных перестроек и слияний генов, для которых применяется таргетная терапия
Перестройка | Гены-партнёры по слиянию | Препараты таргетной терапии | Тип заболевания | |
А | Б | |||
t(9;22)(q34;q11) | ABL1 | BCR | Dasatinib, Imatinib, Nilotinib, Bosutinib, Bafetinib, Asciminib | острый лимфоцитарный лейкоз, острый миелоидный лейкоз, хронический миелогенный лейкоз |
t(9;12)(q34;p13) | ETV6 | Imatinib, Dasatinib, Nilotinib | B-лимфобластный лейкоз/лимфома | |
t(3;9)(p13;q34) | FOXP1 | Dasatinib | B-лимфобластный лейкоз/лимфома | |
t(2;9)(q12;q34) | RANBP2 | Dasatinib | B-лимфобластный лейкоз/лимфома | |
t(1;9)(q24;q34) | RCSD1 | Dasatinib, Imatinib, Ponatinib | B-лимфобластный лейкоз/лимфома | |
t(1;9)(p34;q34) | SFPQ | Dasatinib, Imatinib | острый лимфоцитарный лейкоз, B-лимфобластный лейкоз/лимфома | |
t(5;9)(q23;q34) | SNX2 | Dasatinib, Imatinib | B-лимфобластный лейкоз/лимфома | |
inv(1)(q24q25) | ABL2 | RCSD1 | Imatinib | B-лимфобластный лейкоз/лимфома |
t(1;7)(q25;q34) | ZC3HAV1 | Imatinib | B-лимфобластный лейкоз/лимфома | |
ALK | разные | блокаторы ALK-сигнального пути, HSP90-ингибиторы, EGFR-TKIs, Crizotinib, Brigatinib, Alectinib, Ceritinib, Entrectinib, Pemetrexed, 17-AAG* | рак молочной железы, колоректальная аденокарцинома, эпителиоидное воспаление, миофибробластная саркома, воспалительная миофибробластная опухоль, аденокарцинома лёгких, немелкоклеточный рак лёгких, карцинома щитовидной железы, саркома влагалища, анапластическая крупноклеточная лимфома, диффузная крупноклеточная В-клеточная лимфома | |
inv(2)(p23;p23) | CAD | Entrectinib | колоректальный рак | |
t(2;17)(p23;q23) | CLTC | Crizotinib | диффузная крупноклеточная В-клеточная лимфома | |
inv(2)(p23;p21) | EML4 | 17-AAG*, Alectinib (CH5424802), AUY922*, Ceritinib, Crizotinib, Brigatinib, IPI-504*, Erlotinib, Lorlatinib | ацинарная аденокарцинома лёгких, немелкоклеточный рак лёгких, почечно-клеточная карцинома | |
t(2;7)(p23;q11) | HIP1 | Crizotinib, Alectinib | немелкоклеточный рак лёгких | |
t(2;5)(p23;q35) | NPM | Crizotinib | анапластическая крупноклеточная лимфома | |
inv(2)(p23;q13) | RANBP2 | Crizotinib | воспалительная миофибробластическая опухоль | |
inv(2)(q21;q22) | ASNS | KMT2E | Asparaginase | Т-клеточный лимфобластный лейкоз |
t(X;17)(p11;q25) | TFE3 | ASPL | Cabozantinib, Dasatinib | альвеолярная мягкотканная саркома |
BRAF | разные | Cobimetinib, Trametinib | меланома, рак яичников | |
inv(7)(q34;q34) | AGK | Sorafenib, Vemurafenib | меланома | |
inv(7)(q21;q34) | AKAP9 | MEK-ингибиторы | папиллярный рак щитовидной железы | |
inv(7)(q34;q36) | CUL1 | MEK-ингибиторы | серозная карцинома яичника | |
inv(7)(q22;q34) | CUX1 | Vemurafenib | рак поджелудочной железы | |
t(1;7)(p31;q34) | MIGA1 | BRAF-ингибитор, HL-085 | лангергансклеточный гистиоцитоз | |
inv(7)(q32;q34) | NRF1 | Trametinib | переходно-клеточная карцинома | |
inv(7)(q33;q34) | TRIM24 | Vemurafenib | меланома | |
inv(7)(q22;q34) | ZKSCAN1 | Trametinib | меланома | |
t(7;11)(q34;p15) | PPFIBP2 | Trametinib | меланома | |
t(4;7)(q25;q34) | PAPSS1 | Trametinib, Vemurafenib | меланома | |
t(15;19)(q14;p13) | BRD4 | NUTM1 | Birabresib | NUT Midline Carcinoma |
t(X;14)(p22;q32) | CRLF2 | IGH | Ruxolitinib | детский B-клеточный острый лимфобластный лейкоз, B-клеточный острый лимфобластный лейкоз взрослых |
t(1;5)(q22;q32) | CSF1R | MEF2D | Imatinib | острый лимфоцитарный лейкоз |
t(X;6)(q28;p22) | DEK | AFF2 | Pembrolizumab | рак головы и шеи |
t(7;15)(p11;q15) | EGFR | RAD51 | Erlotinib, Osimertinib, Icotinib, Afatinib | аденокарцинома лёгких |
EWSR1 | разные | TK216* | саркома мягких тканей | |
t(12;22)(q13;q12) | ATF1 | Crizotinib | светлоклеточная саркома | |
t(11;22)(q24;q12) | FLI1 | генотоксическая химиотерапия | саркома Юинга | |
t(9;22)(q22;q12) | NR4A3 | Pazopanib, Sunitinib | внескелетная миксоидная хондросаркома | |
inv(8)(p11;p11) | FGFR1 | BAG4 | AZD4547* | карцинома |
t(8;12)(p11;p11) | FGFR1OP2 | Ponatinib | острый миелоидный лейкоз | |
t(8;13)(p11;q11) | ZNF198 | Midostaurin | хроническое миелопролиферативное заболевание | |
FGFR2 | разные | BGJ-398 (Infigratinib), AZD4575*, JNJ-42756493 (Balversa), Debio1347*, Futibatinib, Erdafitinib, Infigratinib Phosphate, Pemigatinib | холангиокарцинома, рак мочевого пузыря | |
t(1;10)(p13;q26) | AHCYL1 | BGJ398 | холангиокарцинома | |
inv(10)(q21;q26) | BICC1 | BGJ398, JNJ-42756493 | холангиокарцинома, рак эндометрия, уротелиальная карцинома | |
t(4;10)(p16;q26) | TACC3 | Pazopanib, Ponatinib | холангиокарцинома | |
FGFR3 | разные | блокаторы FGFR-сигнального пути, TORC1/2-ингибиторы, AZD4547*, JNJ-42756493, BGJ398, Debio1347*, Erdafitinib | рак мочевого пузыря | |
FLT3 | разные | блокаторы FLT3-сигнального пути, Sorafenib, полностью транс-ретиноевая кислота, Anthracycline*, Daunorubicin*, Lestaurtinib, Selumetinib (AZD6244) | острый миелоидный лейкоз | |
t(2;13)(q36;q14) | FOXO1 | PAX3 | Thapsigargin | альвеолярная рабдомиосаркома |
t(9;22)(p24;q11) | JAK2 | BCR | Ruxolitinib | миелоидное новообразование |
t(9;14)(p24;q32) | GOLGA5 | Ruxolitinib | B-лимфобластный лейкоз/лимфома | |
t(8;9)(p22;p24) | PCM1 | Ruxolitinib | лейкемия | |
t(5;9)(q14;p24) | SSBP2 | Ruxolitinib | B-лимфобластный лейкоз/лимфома | |
KIT | разные | Imatinib | злокачественная меланома ануса | |
inv(7)(q22;q31) | MET | ATXN7L1 | Crizotinib | немелкоклеточный рак лёгких |
t(7;10)(q31;p11) | KIF5B | Crizotinib | немелкоклеточный рак лёгких | |
t(7;8)(q31;p12) | RBPMS | Cabozantinib | врождённая фибросаркома | |
t(8;21)(q24;p12) | NRG1 | APP | Afatinib | |
t(1;8)(q24;p12) | ATP1B1 | Afatinib | холангиокарцинома, аденокарцинома протоков поджелудочной железы | |
t(5;8)(q33;p12) | CD74 | Afatinib | муцинозная аденокарцинома | |
t(8;11)(p12;q12) | SLC3A2 | Afatinib, Erlotinib, Lumretuzumab | аденокарцинома лёгких, муцинозная аденокарцинома | |
t(8;20)(p12;q13) | SDC4 | Afatinib | аденокарцинома лёгких | |
NTRK1 | разные | ARRY-470, Entrectinib, Larotrectinib (LOXO-101), LESTAURTINIB*, Crizotinib | колоректальный рак, саркома, все солидные опухоли, аденокарцинома лёгких | |
t(1;12)(q23;p13) | ETV6 | Entrectinib | все типы опухолей | |
t(1;5)(q23;q35) | SQSTM1 | Entrectinib | немелкоклеточный рак лёгких | |
inv(1)(q21;q23) | TPM3 | Larotrectinib, Entrectinib | саркома, папиллярный рак щитовидной железы | |
inv(1)(q23;q31) | TPR | Larotrectinib | все солидные опухоли | |
NTRK2 | разные | Larotrectinib, Entrectinib | все солидные опухоли | |
NTRK3 | разные | Entrectinib, Larotrectinib, блокаторы сигнальных путей: PI3K, SRC и IGF1 | все солидные опухоли | |
t(12;15)(p13;q25) | ETV6 | Entrectinib, Etoposide, Larotrectinib, Crizotinib | карцинома слюнной железы, рак молочной железы, врождённая мезобластная нефрома, B-лимфобластный лейкоз/лимфома | |
PDGFRA | разные | Imatinib | миелодисплазия, миелопролиферативные новообразования | |
t(4;22)(q12;q11) | BCR | Imatinib | B-клеточный острый лимфобластный лейкоз | |
PDGFRB | разные | Imatinib | хроническое миелопролиферативное заболевание, дерматофибросаркома, миелодисплазия, миелопролиферативное новообразование, острый лимфоцитарный лейкоз | |
t(12;17)(p13;q21) | ATF7IP | Dasatinib, Imatinib, Nilotinib, Ponatinib, Bafetinib, Rebastinib | детский B-клеточный острый лимфобластный лейкоз | |
t(17;22)(q21;q13) | COL1A1 | Sunitinib | дерматофибросаркома | |
t(15;17)(q22;q21) | PML | RARA | Третиноин, мышьяка триоксид, полностью транс-ретиноевая кислота и мышьяка триоксид | острый промиелоцитарный лейкоз |
RET | разные | Cabozantinib, Vandetanib, Pralsetinib, Selpercatinib | немелкоклеточный рак лёгких, рак щитовидной железы | |
inv(10)(q11;q21) | CCDC6 | Nintedanib, Agerafenib, Pralsetinib | немелкоклеточный рак лёгких, колоректальный рак, солидные опухоли | |
inv(10)(p11;q11) | KIF5B | Vandetanib, Selpercatinib, Everolimus, Pralsetinib | аденокарцинома лёгких, солидные опухоли | |
ROS1 | разные | Ceritinib, Entrectinib, Erlotinib, Gefitinib | аденокарцинома лёгких, бронхиолоальвеолярная аденокарцинома, колоректальная аденокарцинома, немелкоклеточный рак лёгких | |
t(5;6)(q33;q22) | CD74 | Cabozantinib, Crizotinib, Brigatinib, Ceritinib, Foretinib, Lorlatinib | немелкоклеточная карцинома лёгких, аденокарцинома лёгких | |
t(3;6)(q12;q22) | TFG | Crizotinib | воспалительная миофибробластическая опухоль | |
RSPO2 | разные | блокаторы Wnt-сигнального пути, CGX1321 | рак пищеварительной системы | |
Примечание. Партнёром «А» по слиянию мы называем ген, изменение активности которого приводит к развитию заболевания.
* Препараты, находящиеся на стадии клинических испытаний.
Помимо транслокаций, представленных в табл. 2, существуют и другие, важные для постановки диагноза и/или определения прогнозов, однако не имеющие на данный момент одобренных препаратов таргетной терапии. Один из примеров – слияния гена KMT2A/MLL, которые встречаются у пациентов с диагнозом «острая лейкемия» и ассоциированы с неблагоприятным прогнозом [42]. Таким образом, наша таблица будет расширяться по мере добавления информации о новых слияниях генов и лицензирования препаратов, разработанных для их лечения.
Для того чтобы оценить возможность детекции хромосомных перестроек, описанных в табл. 2, мы провели моделирование результата Hi-C-эксперимента при помощи инструмента Charm (https://github.com/NuriddinovMA/Charm) для генотипов, соответствующих 5 вариантам инверсий и 7 вариантам транслокаций из табл. 2 (Приложение 1). Модели соответствовали прочтению Hi-C-библиотек с глубиной около 30 миллионов парных ридов. Для каждой транслокации мы построили две модели: одна показывает реципрокную транслокацию, другая – транслокацию минимального фрагмента, достаточного для образования химерного белка, то есть транслокацию участка от 3′-конца слившегося гена до точки разрыва (рис. 4, а). Размер смоделированных инверсий составил от 2,3 млн п.о. до 79,9 млн п.о., а транслокаций – от 7,9 т.п.о. до 109 т.п.о. Все смоделированные хромосомные перестройки были хорошо видны на тепловых картах контактов (рис. 4, б–e, Приложение 3). Этот результат говорит о том, что метод Hi-C-анализа FFPE-образцов имеет потенциал для диагностики известных клинически значимых хромосомных перестроек.
Рис. 4. Моделирование хромосомных перестроек. а – Схематичное изображение двух вариантов транслокации, приводящей к слиянию генов. б, в – Тепловые карты контактов, построенные на основании смоделированных данных Hi-C для транслокаций. г–е – Тепловые карты контактов, построенные на основании смоделированных данных Hi-C для инверсий. Выше диагонали – карта контактов для смоделированной перестройки, ниже – контроль. В качестве контроля выступает модель Hi-C-карты без перестроек с таким же количеством контактов, как и у модели с перестройками
ОБСУЖДЕНИЕ
В этой работе мы предложили протокол Hi-C-анализа парафиновых срезов, основанный на использовании S1-нуклеазы, и показали перспективу этого метода в качестве инструмента для детекции различных типов хромосомных перестроек. Перспективы использования предлагаемого метода зависят от его преимуществ и недостатков по сравнению с другими высокопроизводительными методами диагностики. Важно сравнить сроки, сложность, стоимость и точность анализа. Для проведения Hi-C на FFPE-срезах достаточно стандартного оборудования лаборатории, выполняющей полногеномное секвенирование. Процесс пробоподготовки увеличивается на 2 дня по сравнению с полногеномным секвенированием, однако стоит отметить, что большую часть времени в таких анализах занимает не столько сам процесс пробоподготовки, сколько, скорее, проведение правильной логистики образцов для того, чтобы собрать пул и провести секвенирование. По нашим оценкам, себестоимость Hi-C на FFPE-срезах превышает таковую для полногеномного секвенирования не более чем на 20%. Важнейшим направлением наших будущих исследований является дальнейшее изучение характеристик и ограничений метода Hi-C на FFPE-срезах. Очевидно, что нам ещё предстоит оценить следующее: чувствительность и специфичность метода, способность метода определять долю опухолевых клеток в образце, количество требуемого материала для разных типов опухолей. После этого можно будет сделать полноценное сравнение предложенного метода Hi-C на FFPE-срезах с существующими высокопроизводительными методами диагностики.
Развитие технологии высокопроизводительного секвенирования позволило начать процесс индивидуализации терапии онкологических больных. Однако до сих пор нет однозначного ответа на вопрос о том, в каких случаях и какие именно методы секвенирования следует использовать в клинике. В 2020 году Европейское общество медицинской онкологии рекомендовало рутинное использование методов высокопроизводительного секвенирования для ряда опухолей: неплоскоклеточного немелкоклеточного рака лёгкого, аденокарциномы простаты, карциномы яичников и холангиокарциномы [43]. Несмотря на такой ограниченный список, следует понимать, что применение методов высокопроизводительного секвенирования может быть обосновано и в других случаях онкологических заболеваний, когда они способны уточнить диагноз и даже изменить схему лечения.
Один из примеров успешного применения в клинической практике методов NGS, направленных на детекцию хромосомных перестроек, был опубликован в прошлом году в статье Hehir-Kwa et al. [44]. На основе гистологического анализа опухоли головного мозга годовалому ребёнку был поставлен диагноз «глиобластома». В соответствии с диагнозом было начато лечение по протоколу HGG HIT для младенцев, через 6 недель активного роста опухоли протокол изменили на BBSFOP HGG. Анализ метилирования ДНК позволил классифицировать опухоль как глиому, а секвенирование РНК выявило слияние генов ZCCHC8 и ROS1, которое происходит в результате транслокаций хромосом 6 и 12. Через пятнадцать месяцев лечения опухоль продолжала расти и появились метастазы. После обсуждения с родителями было дано согласие на использование ингибитора тирозинкиназы ROS1 – энтректиниба. Через месяц после начала терапии размер опухоли уменьшился [44].
Необходимо учитывать, что приведённый выше пример – скорее исключительный случай, поскольку на данный момент таргетная терапия разработана главным образом для лечения небольшого числа заболеваний, вызванных точечными мутациями или слияниями генов, приводящими к образованию химерных белков. Это связано в первую очередь с возможностями методов детекции, которые с трудом обнаруживают сбалансированные хромосомные перестройки, особенно происходящие вне генов. Анализ FFPE-образцов с помощью Hi-C позволит обнаружить как хромосомные перестройки, приводящие к слиянию генов, так и произошедшие в некодирующих областях, которые могут изменять экспрессию онкогенов [45]. В результате применения этого метода можно не только получать клинически значимые данные, но и выстраивать гипотезы относительно механизмов развития опухоли.
Вклад авторов. М.М. Гридина и В.С. Фишман – концепция и руководство работой; М.М. Гридина, Я.К. Степанчук, М.А. Нурридинов, Т.А. Лагунов, Н.Ю. Торгунаков, А.А. Шадский, А.И. Рябова, Н.В. Васильев, С.В. Вторушин, Т.С. Геращенко, Е.В. Денисов, М.А. Травин – проведение экспериментов; М.М. Гридина, В.С. Фишман, Е.В. Денисов, М.А. Королев – обсуждение результатов исследования; М.М. Гридина, Я.К. Степанчук – написание текста; В.С. Фишман – редактирование текста статьи.
Финансирование. Исследования выполнены при поддержке гранта Российского научного фонда № 22-24-00190.
Благодарности. Выражаем благодарность Министерству науки и высшего образования Российской Федерации (госпроект ФЗНР-2022-0019) за предоставление доступа к вычислительным мощностям. Доступ к публичным ресурсам и датасетам предоставлен Новосибирским государственным университетом при поддержке Министерства образования и науки РФ, грант № 2019-0546 (FSUS-2024-0018).
Конфликт интересов. Авторы заявляют об отсутствии конфликта интересов.
Соблюдение этических норм. Данное исследование было проведено в соответствии с принципами Хельсинкской декларации. Одобрение получено локальным комитетом по этике научных исследований НИИ медицинской генетики Томского национального исследовательского медицинского центра (дата – 27.07.2017/№ 106). Все участники исследования предоставили информированное согласие.
Дополнительные материалы. Приложение к статье опубликовано на сайте журнала «Биохимия» (https://biochemistrymoscow.com).
About the authors
M. M. Gridina
Institute of Cytology and Genetics, Siberian Branch of Russian Academy of Sciences; Novosibirsk State University
Author for correspondence.
Email: gridinam@gmail.com
Russian Federation, Novosibirsk; Novosibirsk
Ya. K. Stepanchuk
Institute of Cytology and Genetics, Siberian Branch of Russian Academy of Sciences; Novosibirsk State University
Email: gridinam@gmail.com
Russian Federation, Novosibirsk; Novosibirsk
M. A. Nuriddinov
Institute of Cytology and Genetics, Siberian Branch of Russian Academy of Sciences; Novosibirsk State University
Email: gridinam@gmail.com
Russian Federation, Novosibirsk; Novosibirsk
T. A. Lagunov
Institute of Cytology and Genetics, Siberian Branch of Russian Academy of Sciences; Novosibirsk State University
Email: gridinam@gmail.com
Russian Federation, Novosibirsk; Novosibirsk
N. Yu. Torgunakov
Institute of Cytology and Genetics, Siberian Branch of Russian Academy of Sciences; Novosibirsk State University
Email: gridinam@gmail.com
Russian Federation, Novosibirsk; Novosibirsk
A. A. Shadsky
Institute of Cytology and Genetics, Siberian Branch of Russian Academy of Sciences; Novosibirsk State University
Email: gridinam@gmail.com
Russian Federation, Novosibirsk; Novosibirsk
A. I. Ryabova
Cancer Research Institute, Tomsk National Research Medical Center, Russian Academy of Sciences
Email: gridinam@gmail.com
Russian Federation, Tomsk
N. V. Vasiliev
Cancer Research Institute, Tomsk National Research Medical Center, Russian Academy of Sciences
Email: gridinam@gmail.com
Russian Federation, Tomsk
S. V. Vtorushin
Cancer Research Institute, Tomsk National Research Medical Center, Russian Academy of Sciences; Siberian State Medical University, Ministry of Health of the Russian Federation
Email: gridinam@gmail.com
Russian Federation, Tomsk; Tomsk
T. S. Gerashchenko
Cancer Research Institute, Tomsk National Research Medical Center, Russian Academy of Sciences
Email: gridinam@gmail.com
Russian Federation, Tomsk
E. V. Denisov
Cancer Research Institute, Tomsk National Research Medical Center, Russian Academy of Sciences
Email: gridinam@gmail.com
Russian Federation, Tomsk
M. A. Travin
Research Institute of Clinical and Experimental Lymphology, Institute of Cytology and Genetics, Siberian Branch of Russian Academy of Sciences
Email: gridinam@gmail.com
Russian Federation, Novosibirsk
M. A. Korolev
Research Institute of Clinical and Experimental Lymphology, Institute of Cytology and Genetics, Siberian Branch of Russian Academy of Sciences
Email: gridinam@gmail.com
Russian Federation, Novosibirsk
V. S. Fishman
Institute of Cytology and Genetics, Siberian Branch of Russian Academy of Sciences; Novosibirsk State University
Email: gridinam@gmail.com
Russian Federation, Novosibirsk; Novosibirsk
References
- Schmitz, R., Ceribelli, M., Pittaluga, S., Wright, G., and Staudt, L. M. (2014) Oncogenic mechanisms in Burkitt lymphoma, Cold Spring Harb. Perspect. Med., 4, a014282, https://doi.org/10.1101/cshperspect.a014282.
- Kumar-Sinha, C., Tomlins, S. A., and Chinnaiyan, A. M. (2008) Recurrent gene fusions in prostate cancer, Nat. Rev. Cancer, 8, 497-511, https://doi.org/10.1038/nrc2402.
- Pflueger, D., Rickman, D. S., Sboner, A., Perner, S., LaFargue, C. J., Svensson, M. A., Moss, B. J., Kitabayashi, N., Pan, Y., de la Taille, A., Kuefer, R., Tewari, A. K., Demichelis, F., Chee, M. S., Gerstein, M. B., and Rubin, M. A. (2009) N-Myc downstream regulated gene 1 (NDRG1) is fused to ERG in prostate cancer, Neoplasia, 11, 804-W18, https:// doi.org/10.1593/neo.09572.
- Sorensen, P. H., Lessnick, S. L., Lopez-Terrada, D., Liu, X. F., Triche, T. J., and Denny, C. T. (1994) A second Ewing’s sarcoma translocation, t(21;22), fuses the EWS gene to another ETS-family transcription factor, ERG, Nat. Genet., 6, 146-151, https://doi.org/10.1038/ng0294-146.
- Sotoca, A. M., Prange, K. H. M., Reijnders, B., Mandoli, A., Nguyen, L. N., Stunnenberg, H. G., and Martens, J. H. A. (2016) The oncofusion protein FUS-ERG targets key hematopoietic regulators and modulates the all-trans retinoic acid signaling pathway in t(16;21) acute myeloid leukemia, Oncogene, 35, 1965-1976, https://doi.org/10.1038/onc.2015.261.
- Persson, M., Andrén, Y., Mark, J., Horlings, H. M., Persson, F., and Stenman, G. (2009) Recurrent fusion of MYB and NFIB transcription factor genes in carcinomas of the breast and head and neck, Proc. Natl. Acad. Sci. USA, 106, 18740-18744, https://doi.org/10.1073/pnas.0909114106.
- Humtsoe, J. O., Kim, H.-S., Jones, L., Cevallos, J., Boileau, P., Kuo, F., Morris, L. G. T., and Ha, P. (2022) Development and characterization of MYB-NFIB fusion expression in adenoid cystic carcinoma, Cancers, 14, 2263, https://doi.org/ 10.3390/cancers14092263.
- Turner, N., and Grose, R. (2010) Fibroblast growth factor signalling: from development to cancer, Nat. Rev. Cancer, 10, 116-129, https://doi.org/10.1038/nrc2780.
- Nakanishi, Y., Akiyama, N., Tsukaguchi, T., Fujii, T., Satoh, Y., Ishii, N., and Aoki, M. (2015) Mechanism of oncogenic signal activation by the novel fusion kinase FGFR3-BAIAP2L1, Mol. Cancer Ther., 14, 704-712, https://doi.org/ 10.1158/1535-7163.MCT-14-0927-T.
- Guo, Q., Lakatos, E., Bakir, I. A., Curtius, K., Graham, T. A., and Mustonen, V. (2022) The mutational signatures of formalin fixation on the human genome, Nat. Commun., 13, 4487, https://doi.org/10.1038/s41467-022-32041-5.
- Scolnick, J. A., Dimon, M., Wang, I.-C., Huelga, S. C., and Amorese, D. A. (2015) An efficient method for identifying gene fusions by targeted RNA sequencing from fresh frozen and FFPE samples, PLoS One, 10, e0128916, https:// doi.org/10.1371/journal.pone.0128916.
- Mardis, E. R., and Wilson, R. K. (2009) Cancer genome sequencing: a review, Hum. Mol. Genet., 18, 163-168, https://doi.org/10.1093/hmg/ddp396.
- Maher, C. A., Kumar-Sinha, C., Cao, X., Kalyana-Sundaram, S., Han, B., Jing, X., Sam, L., Barrette, T., Palanisamy, N., and Chinnaiyan, A. M. (2009) Transcriptome sequencing to detect gene fusions in cancer, Nature, 458, 97-101, https://doi.org/10.1038/nature07638.
- Peng, H., Huang, R., Wang, K., Wang, C., Li, B., Guo, Y., Li, M., Zhang, D., Dong, H., Chen, H., Chen, C., Xu, Q., Li, F., Tian, L., and Wu, J. (2021) Development and validation of an RNA sequencing assay for gene fusion detection in formalin-fixed, paraffin-embedded tumors, J. Mol. Diagn., 23, 223-233, https://doi.org/10.1016/j.jmoldx.2020.11.005.
- Ahlfen, S. von, Missel, A., Bendrat, K., and Schlumpberger, M. (2007) Determinants of RNA quality from FFPE samples, PLoS One, 2, e1261, https://doi.org/10.1371/journal.pone.0001261.
- Groelz, D., Sobin, L., Branton, P., Compton, C., Wyrich, R., and Rainen, L. (2013) Non-formalin fixative versus formalin-fixed tissue: a comparison of histology and RNA quality, Exp. Mol. Pathol., 94, 188-194, https://doi.org/10.1016/ j.yexmp.2012.07.002.
- Wang, X., Xu, J., Zhang, B., Hou, Y., Song, F., Lyu, H., and Yue, F. (2021) Genome-wide detection of enhancer-hijacking events from chromatin interaction data in re-arranged genomes, Nat. Methods, 18, 661-668, https://doi.org/10.1038/s41592-021-01164-w.
- Engreitz, J. M., Agarwala, V., and Mirny, L. A. (2012) Three-dimensional genome architecture influences partner selection for chromosomal translocations in human disease, PLoS One, 7, e44196, https://doi.org/10.1371/journal.pone.0044196.
- Harewood, L., Kishore, K., Eldridge, M. D., Wingett, S., Pearson, D., Schoenfelder, S., Collins, V. P., and Fraser, P. (2017) Hi-C as a tool for precise detection and characterisation of chromosomal rearrangements and copy number variation in human tumours, Genome Biol., 18, 125, https://doi.org/10.1186/s13059-017-1253-8.
- Chakraborty, A., and Ay, F. (2017) Identification of copy number variations and translocations in cancer cells from Hi-C data, Bioinformatics, 34, 338-345, https://doi.org/10.1093/bioinformatics/btx664.
- Dixon, J. R., Xu, J., Dileep, V., Zhan, Y., Song, F., Le, V. T., Yardımcı, G. G., Chakraborty, A., Bann, D. V., Wang, Y., Clark, R., Zhang, L., Yang, H., Liu, T., Iyyanki, S., An, L., Pool, C., Sasaki, T., Rivera-Mulia, J. C., Ozadam, H., Lajoie, B. R., Kaul, R., Buckley, M., Lee, K., Diegel, M., Pezic, D., Ernst, C., Hadjur, S., Odom, D. T., Stamatoyannopoulos, J. A., Broach, J. R., Hardison, R. C., Ay, F., Noble, W. S., Dekker, J., Gilbert, D. M., and Yue, F. (2018) Integrative detection and analysis of structural variation in cancer genomes, Nat. Genet., 50, 1388-1398, https://doi.org/10.1038/s41588-018-0195-8.
- Melo, U. S., Schöpflin, R., Acuna-Hidalgo, R., Mensah, M. A., Fischer-Zirnsak, B., Holtgrewe, M., Klever, M.-K., Türkmen, S., Heinrich, V., Pluym, I. D., Matoso, E., Bernardo de Sousa, S., Louro, P., Hülsemann, W., Cohen, M., Dufke, A., Latos-Bieleńska, A., Vingron, M., Kalscheuer, V., Quintero-Rivera, F., Spielmann, M., and Mundlos, S. (2020) Hi-C identifies complex genomic rearrangements and TAD-shuffling in developmental diseases, Am. J. Hum. Genet., 106, 872-884, https://doi.org/10.1016/j.ajhg.2020.04.016.
- Adeel, M. M., Rehman, K., Zhang, Y., Arega, Y., and Li, G. (2022) Chromosomal translocations detection in cancer cells using chromosomal conformation capture data, Genes, 13, 1170, https://doi.org/10.3390/genes13071170.
- Du, Y., Gu, Z., Li, Z., Yuan, Z., Zhao, Y., Zheng, X., Bo, X., Chen, H., and Wang, C. (2022) Dynamic interplay between structural variations and 3D genome organization in pancreatic cancer, Adv. Sci., 9, https://doi.org/10.1002/advs.202200818.
- Kim, K., Kim, M., Kim, Y., Lee, D., and Jung, I. (2022) Hi-C as a molecular rangefinder to examine genomic rearrangements, Semin. Cell Dev. Biol., 121, 161-170, https://doi.org/10.1016/j.semcdb.2021.04.024.
- Song, F., Xu, J., Dixon, J., and Yue, F. (2022) Analysis of Hi-C data for discovery of structural variations in cancer, Methods Mol. Biol., 2301, 143-161, https://doi.org/10.1007/978-1-0716-1390-0_7.
- Sidiropoulos, N., Mardin, B. R., Rodríguez-González, F. G., Bochkov, I. D., Garg, S., Stütz, A. M., Korbel, J. O., Aiden, E. L., and Weischenfeldt, J. (2022) Somatic structural variant formation is guided by and influences genome architecture, Genome Res., 32, 643-655, https://doi.org/10.1101/gr.275790.121.
- Troll, C. J., Putnam, N. H., Hartley, P. D., Rice, B., Blanchette, M., Siddiqui, S., Ganbat, J.-O., Powers, M. P., Ramakrishnan, R., Kunder, C. A., Bustamante, C. D., Zehnder, J. L., Green, R. E., and Costa, H. A. (2019) Structural variation detection by proximity ligation from formalin-fixed, paraffin-embedded tumor tissue, J. Mol. Diagn., 21, 375-383, https://doi.org/10.1016/j.jmoldx.2018.11.003.
- Allahyar, A., Pieterse, M., Swennenhuis, J., Los-de Vries, G. T., Yilmaz, M., Leguit, R., Meijers, R. W. J., van der Geize, R., Vermaat, J., Cleven, A., van Wezel, T., Diepstra, A., van Kempen, L. C., Hijmering, N. J., Stathi, P., Sharma, M., Melquiond, A. S. J., de Vree, P. J. P., Verstegen, M. J. A. M., Krijger, P. H. L., Hajo, K., Simonis, M., Rakszewska, A., van Min, M., de Jong, D., Ylstra, B., Feitsma, H., Splinter, E., and de Laat, W. (2021) Robust detection of translocations in lymphoma FFPE samples using targeted locus capture-based sequencing, Nat. Commun., 12, 3361, https://doi.org/10.1038/s41467-021-23695-8.
- Gridina, M., Popov, A., Shadskiy, A., Torgunakov, N., Kechin, A., Khrapov, E., Ryzhkova, O., Filipenko, M., and Fishman, V. (2023) Expanding the list of sequence-agnostic enzymes for chromatin conformation capture assays with S1 nuclease, https://doi.org/10.1101/2023.06.15.545138.
- Gridina, M., Mozheiko, E., Valeev, E., Nazarenko, L. P., Lopatkina, M. E., Markova, Z. G., Yablonskaya, M. I., Voinova, V. Y., Shilova, N. V., Lebedev, I. N., and Fishman, V. (2021) A cookbook for DNase Hi-C, Epigenet. Chromatin, 14, 15, https://doi.org/10.1186/s13072-021-00389-5.
- Rao, S. S. P., Huntley, M. H., Durand, N. C., Stamenova, E. K., Bochkov, I. D., Robinson, J. T., Sanborn, A. L., Machol, I., Omer, A. D., Lander, E. S., and Aiden, E. L. (2014) A 3D map of the human genome at kilobase resolution reveals principles of chromatin looping, Cell, 159, 1665-1680, https://doi.org/10.1016/j.cell.2014.11.021.
- Belaghzal, H., Dekker, J., and Gibcus, J. H. (2017) Hi-C 2.0: An optimized Hi-C procedure for high-resolution genome-wide mapping of chromosome conformation, Methods, 123, 56-65, https://doi.org/10.1016/j.ymeth.2017.04.004.
- Zheng, W., Yang, Z., Ge, X., Feng, Y., Wang, Y., Liu, C., Luan, Y., Cai, K., Vakal, S., You, F., Guo, W., Wang, W., Feng, Z., and Li, F. (2021) Freeze substitution Hi-C, a convenient and cost-effective method for capturing the natural 3D chromatin conformation from frozen samples, J. Genet. Genomics, 48, 237-247, https://doi.org/10.1016/j.jgg.2020.11.002.
- Golloshi, R., Sanders, J. T., and McCord, R. P. (2018) Iteratively improving Hi-C experiments one step at a time, Methods, 142, 47-58, https://doi.org/10.1016/j.ymeth.2018.04.033.
- Lafontaine, D. L., Yang, L., Dekker, J., and Gibcus, J. H. (2021) Hi-C 3.0: improved protocol for genome-wide chromosome conformation capture, Curr. Protoc., 1, e198, https://doi.org/10.1002/cpz1.198.
- Akgol Oksuz, B., Yang, L., Abraham, S., Venev, S. V., Krietenstein, N., Parsi, K. M., Ozadam, H., Oomen, M. E., Nand, A., Mao, H., Genga, R. M. J., Maehr, R., Rando, O. J., Mirny, L. A., Gibcus, J. H., and Dekker, J. (2021) Systematic evaluation of chromosome conformation capture assays, Nat. Methods, 18, 1046-1055, https://doi.org/10.1038/s41592-021-01248-7.
- Kennedy-Darling, J., and Smith, L. M. (2014) Measuring the formaldehyde protein-DNA cross-link reversal rate, Anal. Chem., 86, 5678-5681, https://doi.org/10.1021/ac501354y.
- Einaga, N., Yoshida, A., Noda, H., Suemitsu, M., Nakayama, Y., Sakurada, A., Kawaji, Y., Yamaguchi, H., Sasaki, Y., Tokino, T., and Esumi, M. (2017) Assessment of the quality of DNA from various formalin-fixed paraffin-embedded (FFPE) tissues and the use of this DNA for next-generation sequencing (NGS) with no artifactual mutation, PLoS One, 12, e0176280, https://doi.org/10.1371/journal.pone.0176280.
- Kuwata, T., Wakabayashi, M., Hatanaka, Y., Morii, E., Oda, Y., Taguchi, K., Noguchi, M., Ishikawa, Y., Nakajima, T., Sekine, S., Nomura, S., Okamoto, W., Fujii, S., and Yoshino, T. (2020) Impact of DNA integrity on the success rate of tissue-based next-generation sequencing: lessons from nationwide cancer genome screening project SCRUM-Japan GI‐SCREEN, Pathol. Int., 70, 932-942, https://doi.org/10.1111/pin.13029.
- Ma, W., Ay, F., Lee, C., Gulsoy, G., Deng, X., Cook, S., Hesson, J., Cavanaugh, C., Ware, C. B., Krumm, A., Shendure, J., Blau, C. A., Disteche, C. M., Noble, W. S., and Duan, Z. (2018) Using DNase Hi-C techniques to map global and local three-dimensional genome architecture at high resolution, Methods, 142, 59-73, https://doi.org/10.1016/ j.ymeth.2018.01.014.
- Lomov, N., Zerkalenkova, E., Lebedeva, S., Viushkov, V., and Rubtsov, M. A. (2021) Cytogenetic and molecular genetic methods for chromosomal translocations detection with reference to the KMT2A/MLL gene, Crit. Rev. Clin. Lab. Sci., 58, 180-206, https://doi.org/10.1080/10408363.2020.1844135.
- Mosele, F., Remon, J., Mateo, J., Westphalen, C. B., Barlesi, F., Lolkema, M. P., Normanno, N., Scarpa, A., Robson, M., Meric-Bernstam, F., Wagle, N., Stenzinger, A., Bonastre, J., Bayle, A., Michiels, S., Bièche, I., Rouleau, E., Jezdic, S., Douillard, J.-Y., Reis-Filho, J. S., Dienstmann, R., and André, F. (2020) Recommendations for the use of next-generation sequencing (NGS) for patients with metastatic cancers: a report from the ESMO precision medicine working group, Ann. Oncol., 31, 1491-1505, https://doi.org/10.1016/j.annonc.2020.07.014.
- Hehir-Kwa, J. Y., Koudijs, M. J., Verwiel, E. T. P., Kester, L. A., van Tuil, M., Strengman, E., Buijs, A., Kranendonk, M. E. G., Hiemcke-Jiwa, L. S., de Haas, V., van de Geer, E., de Leng, W., van der Lugt, J., Lijnzaad, P., Holstege, F. C. P., Kemmeren, P., and Tops, B. B. J. (2022) Improved gene fusion detection in childhood cancer diagnostics using RNA sequencing, JCO Precis. Oncol., 6, e2000504, https://doi.org/10.1200/PO.20.00504.
- Zhang, Y., Chen, F., and Creighton, C. J. (2021) SVExpress: identifying gene features altered recurrently in expression with nearby structural variant breakpoints, BMC Bioinformatics, 22, 135, https://doi.org/10.1186/s12859-021-04072-0.
Supplementary files






