Characteristics of erythron of the head kidney and circulating blood of the flounder gloss (Platichthys flesus) during the annual cycle
- Authors: Soldatov A.A.1,2, Parfyonova I.A.2, Kukhareva T.A.1, Shalagina N.E.1, Rychkova V.N.1
-
Affiliations:
- A.O. Kovalevsky Institute of Biology of the South Seas, Russian Academy of Sciences
- Sevastopol State University
- Issue: Vol 17, No 5 (2024)
- Pages: 820-827
- Section: ЭКОЛОГИЧЕСКАЯ ФИЗИОЛОГИЯ И БИОХИМИЯ ГИДРОБИОНТОВ
- URL: https://journals.rcsi.science/0320-9652/article/view/272446
- DOI: https://doi.org/10.31857/S0320965224050138
- EDN: https://elibrary.ru/XQLCSR
- ID: 272446
Cite item
Full Text
Abstract
The erythron composition of the head kidney (pronephros) and circulating blood in the cold-loving flounder-gloss (Platichthys flesus L., 1758) during the annual cycle was studied. The erythron of pronephros was mainly represented by erythroblasts (EB) and basophilic normoblasts (BN). The content of polychromatophilic normoblasts (PN) was low (less than 2%). The maximum size of the erythroid germ of hematopoiesis in the pronephros was noted during the post-spawning period (April–July). It accounted for up to 17% of the cellular mass of the prints. BN and PN, which were not capable of proliferation, mainly prevailed in the blood. The maximum content of these cell forms was also noted during the post-spawning periods. Cells of earlier generations (EB) were not detected at all in the blood. The increase in the production of erythroid cells by hematopoietic tissue coincided with an increase in the number of circulating erythrocytes in the blood of flounder-gloss (R2 0.608 and 0,991), which indicated a shift in the erythrocyte balance in the red blood system in favor of production processes. The factors responsible for the generation of erythrocytes by hematopoietic tissue in fish in a spawning state are considered.
Keywords
Full Text
ВВЕДЕНИЕ
Кислородная емкость крови костистых рыб в значительной степени определяет уровень окислительных процессов в их тканевых структурах. Она зависит в основном от числа циркулирующих эритроцитов. Показано (Joshi, 1989; Al-Hassan et al., 1990), что эта величина непостоянна и претерпевает периодические изменения на протяжении годового цикла. Этот факт допускает возникновение ряда критических состояний, связанных, прежде всего, с развитием тканевой гипоксии гемического типа (Soldatov, 2012). Природе их возникновения посвящена серия работ. Допускается влияние температурного фактора, который способствует или ограничивает пролиферативную активность эритроидного ростка гемопоэза (Sharma, Joshi, 1985; Joshi, 1989). Однако прямая зависимость процессов эритропоэза от температуры показана не во всех работах (Al-Hassan et al., 1990; Mahoney, McNulty, 1992). Рост числа эритроцитов в крови рыб наблюдали и в условиях низких температур. Изучение продолжительности жизни ядерных эритроцитов рыб показало, что она достигает 270–310 сут (Золотова, 1989; Fischer et al., 1998). Это позволяет предположить, что у костистых рыб происходит разовая генерация эритроидных клеток гемопоэтической тканью на протяжении годового цикла. Факторы, ее определяющие, остаются открытыми.
Нерегулярность эритропоэтических процессов в гемопоэтической ткани, по-видимому, является основной причиной изменения числа циркулирующих эритроцитов в крови костистых рыб на протяжении года. Основные факторы, усиливающие генерацию эритроидных форм в гемопоэтической ткани, – эритропоэтины. Данные соединения идентифицированы у рыб при помощи методов иммунохимического анализа (Chu et al., 2008; Kondera, 2019). Их продукция осуществляется передними почками, они же являются и основным органом эритропоэза (Kulkeaw, Sugiyama, 2012; Witeska, 2013). Выработка эритропоэтинов, в свою очередь, индуцируется гипоксией (Lai et al., 2006; Sarrimanolis et al., 2020). Это состояние у рыб может возникать в период нереста, когда происходит перераспределение пластических ресурсов в пользу генеративной ткани (Shulman, Love, 1999). В этом прямое участие принимает кровь на фоне развития анемичного состояния (Jawad et al., 2004). Показана также чувствительность эритроидного ростка к содержанию половых гормонов в плазме крови рыб (инъекции вытяжек гипофиза карпа, гонадотропина, эстрогена, тестостерона, релизинг-факторов) (Ochiai et al., 1975; Hilge, Klinger, 1978; Pottinger, Pickering, 1987).
Анализ клеточного состава крови и передних почек (пронефроса) показал присутствие значительного числа малодифференцированных эритроидных форм в постнерестовый период, что подтверждает активную генерацию клеток эритроидного ряда именно в период нереста (Andreyeva et al., 2017). Об этом же свидетельствуют данные авторадиографии (включение 3Н-тимидина) (Солдатов, 2005). В остальные периоды годового цикла уровень незрелых эритроидных клеток был существенно ниже. Эта закономерность показана в основном на теплолюбивых видах (Солдатов, 2005; Andreyeva et al., 2017). Для сравнения целесообразно было бы выполнить исследования на холодолюбивых видах, нерест которых приурочен к низким температурам. Предварительные результаты получены для камбалы–глоссы (Platichthys flesus L., 1758), которые в целом подтверждают рассмотренную выше закономерность (Soldatov, 2023). В настоящей работе приводится расширенная информация о клеточном составе крови и пронефроса у этого же вида на протяжении годового цикла.
Цель работы – исследовать клеточный состав эритроидных элементов крови и головной почки у камбалы-глоссы (Platichthys flesus) и соотнести его с изменением числа эритроцитов в крови на протяжении годового цикла.
МАТЕРИАЛ И МЕТОДЫ ИССЛЕДОВАНИЯ
Объектом исследования была холодолюбивая камбала-глосса P. flesus, которая нерестится в феврале–марте. Рыбу отлавливали при помощи ставного невода на протяжении года в районе Керченского пролива. Использовали взрослых особей обоих полов: длина тела – 17.5–27.0 см, масса – 105–328 г.
Рыбу перевозили в пластиковых баках емкостью 100 л с воздушной аэрацией. После транспортировки ее размещали в аквариумы при плотности посадки ≥10 л на особь и выдерживали в данных условиях в течение 5–7 сут. Считается, что этого времени достаточно для снятия состояния манипуляционного стресса (Ribera et al., 1989). Особей кормили фаршем из малоценных видов рыб, суточный рацион составлял 6–7% массы тела. В работе использовали активно питающихся, подвижных особей.
Кровь получали пункцией хвостовой артерии. В качестве антикоагулянта использовали гепарин (Рихтер, Венгрия). Для получения образцов передней почки (пронефроса) вскрывали брюшную полость. Затем изготавливали мазки крови и отпечатки передней почки, которые окрашивали по комбинированному методу Паппенгейма (Май–Грюнвальд + Романовский–Гимза) (Houston, 1990). Перед отбором проб применяли уретановую анестезию. Уретан растворяли в воде аквариумов за 60–70 мин до отлова. Эффективные дозы для камбалы-глоссы были определены ранее (Soldatov, 2005a).
Число эритроцитов в крови подсчитывали в камере Горяева (Houston, 1990). На гистологических препаратах определяли относительное содержание незрелых эритроидных форм, находящихся на разных стадиях созревания: ЭБ, БН и ПН нормобластов. Относительное содержание незрелых эритроидных форм для цельной крови рассчитывали с учетом числа зрелых эритроцитов, для головной почки – с учетом клеточных форм всех ростков гемопоэза. Объем выборочных совокупностей был 5000 клеток. В работе применяли светооптический микроскоп Biomed PR-2 Lum (Россия), оборудованный камерой Levenhuk C NG Series (Китай).
При проведении сравнительного анализа использовали однофакторный дисперсионный анализ (ANOVA) PAST v. 4.09 (Hammer, Harper, 2006). Нормальность распределения выборочных совокупностей проверяли по Shapiro–Wilk (W-test). Статистические сравнения проводили на основе непараметрического критерия Mann–Whitney. Минимальный уровень значимости р был < 0.05. Объем выборочных совокупностей приведен на графиках.
РЕЗУЛЬТАТЫ ИССЛЕДОВАНИЯ
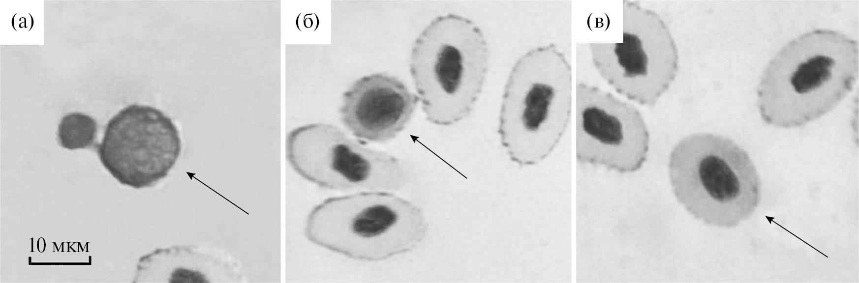
Клетки эритроидного ряда камбалы-глоссы в процессе созревания и дифференцировки представлены на рис. 1. Наименее зрелыми, способными к активной пролиферации, являются ЭБ (рис. 1а). Это относительно крупные округлые клетки с ядром нежно сетчатой структуры, занимающим почти весь их объем. Цитоплазма резко базофильная, представлена в виде узкой полосы. БН сохраняют округлую форму (рис. 1б). Ядро более компактное. Доля эухроматина снижена. Отличительная черта – наличие хорошо развитой перинуклеарной зоны. Цитоплазма базофильная, но окраска менее интенсивная, чем у ЭБ, т. е. содержание в ней нуклеиновых кислот снижено. Ранние БН способны к пролиферации. ПН приобретают эллипсоидную форму, свойственную зрелым эритроцитам (рис. 1в). По сравнению с клетками функционального пула, ядро у них более крупное. Цитоплазма имеет серую окраску, что свидетельствует о присутствии в ней одновременно нуклеиновых кислот и молекул гемоглобина, обладающего ацидофильными свойствами. Пролиферативная активность у данных клеточных форм не выражена.
Рис. 1. Эритроидные элементы крови и головной почки камбалы-глоссы: a – ЭБ; б – БН; в – ПН (показаны стрелкой).
На рис. 2 представлены полигоны распределения значений общего числа незрелых эритроцитов и отдельных эритроидных форм в пронефросе и крови камбалы-глоссы, полученные на протяжении годового цикла. Очаг эритропоэза в пронефросе камбалы-глоссы достигал максимальных размеров в марте–июле (90–210 сут). На незрелые эритроидные формы приходилось 11–17% клеточной массы отпечатка. Эритроидный росток представляли в основном ЭБ и БН. При этом максимальное число ЭБ в гемопоэтической ткани наблюдали в более ранний период годового цикла: март–апрель (90–120 сут). Уровень ПН был минимален (≤2% клеточной массы). В циркулирующей крови популяцию незрелых эритроцитов представляли ПН и БН. Максимум их содержания в основном приходился на май–июль (150–210 сут). В этот период уровень незрелых эритроидных форм достигал 4–6% общего числа клеток красной крови.
Рис. 2. Содержание незрелых эритроидных форм в пронефросе и крови камбалы-глоссы на протяжении годового цикла (полигоны распределения): а – общее содержание незрелых эритроидных форм в пронефросе и крови; б – содержание отдельных незрелых эритроидных форм в пронефросе; в – содержание отдельных незрелых эритроидных форм в крови; по оси абсцисс – нулевая точка соответствует началу календарного года.
Для оценки статистической значимости выявленных различий выборочные совокупности ранжировали с шагом в 3 мес. Учитывали состояния, которые претерпевает организм камбалы-глоссы на протяжении годового цикла: январь–март (нерестовый период), апрель–июнь (постнерестовый период), июль–сентябрь (относительный функциональный покой), октябрь–декабрь (преднерестовый период). Результаты расчетов представлены на рис. 3. Максимальный уровень незрелых эритроидных форм в пронефросе отмечали у особей камбалы-глоссы в постнерестовый период. По сравнению с нерестовым и преднерестовым состояниями различия были в 1.7–2.5 раза (p <0.001). Аналогичные результаты получены и в отношении циркулирующей крови. Уровень незрелых эритроидных форм в постнерестовый период в 4.5–6.5 раз (р <0.001) превышал таковой в преднерестовый и нерестовый периоды. Изменение числа зрелых эритроцитов в крови камбалы-глоссы на протяжении годового цикла в целом совпадало с активностью эритроидного ростка гемопоэза. Максимальные значения были отмечены в июле–сентябре (1.43 ± 0.16 кл. × 106/мкл), минимальны – в январе–марте (0.97 ± 0.10 кл. × 106/мкл). Различия достигали 47–48% (р <0.001). Это позволяет допустить, что последнее связано с периодическим смещением эритроцитарного баланса в пользу продукционных или деструктивных процессов.
Рис. 3. Уровень незрелых эритроидных форм в пронефросе (a), крови (б) и число циркулирующих эритроцитов в крови (в) у камбалы-глоссы на протяжении годового цикла (ранжирование с шагом 3 мес). 1 – нерестовый период, 2 – постнерестовый период, 3 – относительный функциональный покой, 4 – преднерестовый период, * – достоверно (при p <0.001).
Для оценки влияния эритропоэтических процессов на динамику числа эритроцитов в крови камбалы-глоссы проведен корреляционный анализ в отношении систем: “незрелые эритроциты пронефроса – число эритроцитов в крови”, “незрелые эритроциты крови – число эритроцитов в крови” (рис. 4). В первом случае зависимость описывали уравнением логарифмической функции при коэффициенте детерминации (R2) 0.608, во втором – использовали уравнение экспоненциальной функции при R2 0.991. Более низкая степень зависимости величин в первом случае, по-видимому, определяется тем, что активация эритроидного ростка гемопоэза и прирост числа эритроцитов в крови разнесены во времени. Первая переменная на 2–3 мес опережает вторую, что видно из графика. Максимум числа незрелых эритроидных элементов в пронефросе наблюдается в апреле–июне, тогда как число эритроцитов в крови достигает высоких значений только в июле–сентябре.
Рис. 4. Корреляционные отношения для систем: а – “незрелых эритроцитов пронефроса – число эритроцитов в крови”, б – “незрелых эритроцитов крови – число эритроцитов в крови”.
ОБСУЖДЕНИЕ РЕЗУЛЬТАТОВ
Из представленных данных следует, что активная генерация клеток красной крови гемопоэтической тканью у камбалы-глоссы происходила в постнерестовый период (апрель–июль). Об этом свидетельствовал размер очага эритропоэза в передней почке и содержание незрелых эритроидных форм в циркулирующей крови. В остальной период времени эта функция подавлялась. В состоянии эритроидного ростка гемопоэза можно выделить ряд последовательных изменений: рост популяции ЭБ в пронефросе (март–апрель) → повышение числа БН в пронефросе (апрель–июнь) → увеличение числа БН и ПН в крови (май–июль). Следует отметить, что в кровоток поступают в основном эритроидные формы, утратившие способность к пролиферации: поздние БН и ПН. Пролиферирующий пул клеток (ЭБ и ранние БН), напротив, удерживаются стромой пронефроса (Soldatov, 2005b; Witeska, 2013).
Разовая генерация клеток эритроидного ряда совпадала с увеличением числа эритроцитов в периферическом русле. Ранее аналогичные результаты получены для типично теплолюбивого вида кефали–сингиля (Солдатов, 2005). В отличие от камбалы-глоссы, нерест кефали–сингиля протекает в летне-осенний период, что также свидетельствует об отсутствии прямой связи процессов гемопоэза с температурой среды.
Известно, что характер организации системы красной крови у костистых рыб во многом совпадает с высшими позвоночными (Soldatov, 2005b; Witeska, 2013). В ней имеется продукционное звено, представленное преимущественно головными почками (пронефрос) (El-Saydah et al., 2010). Роль терминального звена выполняет селезенка (Soldatov, 2005b; Sales et al., 2017). Здесь накапливается в основном старая эритроцитарна масса, которая подвергается деградации (процессы эритродиереза). Она же выполняет функцию депо крови. Принципиальное отличие заключается в отсутствии баланса между этими двумя процессами, что приводит к периодическим изменениям кислородной емкости крови у рыб на протяжении годового цикла. Это показано в серии исследований, рассмотренных выше, и настоящая работа не является исключением.
По-видимому, причину следует искать в особенностях организации клеток функционального пула. У рыб они представлены ядерными эритроцитами (Soldatov, 2005b; Witeska, 2013). Это относительно крупные клетки, имеющие эллипсоидную форму. Их продольная ось может достигать 15–17 мкм (Soldatov, 2005b). Цитоплазма сравнительно хорошо структурирована (Jagoe, Welter, 2011). В ней присутствуют митохондрии, что отражает способность к аэробному метаболизму (Jagoe, Welter, 2011). Подобный характер организации позволяет эритроцитам рыб длительный период времени находиться в системе циркуляции. Это подтверждают данные о продолжительности их жизни. С помощью методов авторадиографии и использования флуоресцентных зондов она определена в 270–310 сут (Золотова, 1989; Fischer et al., 1998). Это существенно выше, чем у млекопитающих, поэтому разовая генерация эритроцитов у костистых рыб на протяжении годового цикла вполне оправдана.
К факторам, индуцирующим эритропоэз у рыб на протяжении годового цикла, следует отнести выработку эритропоэтинов, лизис старых эритроцитов на момент нереста, действие половых гормонов и ряд других. Выработке эритропоэтинов обычно предшествует развитие гипоксического состояния. В период нереста оно наиболее вероятно. В преднерестовый период в крови находится в основном старая эритроцитарная масса. В клетках усиливаются процессы перекисного окисления липидов (Phillips et al., 2000), часть гемоглобина переходит в окисленное состояние ввиду низкой эффективности NADH-диафоразы. Рост содержания метгемоглобина в преднерестовый период выявлен и у камбалы-глоссы (Солдатов, 2023). Старые эритроциты задерживаются селезенкой, где подвергаются деградации. Это должно приводить к снижению числа клеток красной крови в системе циркуляции, что и имело место. В период нереста в организме происходит и перераспределение пластических ресурсов в пользу генеративной ткани (Shulman, Love, 1999). В этом активное участие принимает кровь. У ряда видов костистых рыб в этот период отмечают развитие анемии (Jawad et al., 2004). На снижение числа эритроцитов в крови могут влиять и половые гормоны, титры которых повышаются в плазме крови в преднерестовый период. Об этом свидетельствуют эксперименты с инъекцией вытяжек гипофиза карпа, гонадотропина, эстрогена, рилизинг-факторов (Ochiai et al., 1975; Hilge, Klinger, 1978). Из приведенных выше фактов следует, что в преднерестовый период у рыб должно развиваться состояние гипоксии преимущественно гемической природы (анемия).
Анемичные состояния повышают выработку HIF-1α (hypoxia-inducible factor 1-alpha) (Zinkernagel et al., 2007). Это соединение является субъединицей гетеродимерного фактора транскрипции эритропоэтина. Оно идентифицировано и у костистых рыб (Lai et al., 2006). HIF-1α индуцирует выработку эритропоэтина. Последний усиливает пролиферативную активность колониеобразующих единиц (КОЕ-Э) – эритробластов (Obeagu, 2015). Это смещает эритроцитарный баланс в пользу продукционных процессов. Эритропоэтины идентифицированы в крови рыб при помощи методов иммунохимического анализа (Wickramasinghe, 1993). Наиболее высокая их концентрация обнаружена в почках (Moritz et al., 1997; Lai et al., 2006). Для бурого фугу (Takifugu rubripes, Temminck & Schlegel, 1850) аннотирована полная структура гена данного соединения (Chou et al., 2004). Обнаружена также положительная связь между уровнем тестостерона в плазме крови и продукцией эритропоэтина в почках рыб (Pottinger, Pickering, 1987).
Таким образом, нерест вызывает наиболее радикальные изменения в крови и гемопоэтической ткани. По-видимому, преднерестовая анемия является ключевым фактором, индуцирующим продукцию эритропоэтинов и генерацию эритроцитов в гемопоэтической ткани рыб на протяжении годового цикла. Это наиболее масштабный процесс, который не исключает иные адаптивные реакции кроветворной ткани на факторы среды и состояния организма.
ЗАКЛЮЧЕНИЕ
Эритрон пронефроса камбалы-глоссы был представлен ЭБ и БН. Максимальный размер эритроидного очага гемопоэза в пронефросе отмечен в постнерестовый период (апрель–июль). На него приходилось до 17% клеточной массы отпечатков. Содержание ПН терминальной стадии клеточной дифференцировки невелико. В крови, помимо клеток функционального пула, в основном преобладали БН и ПН, не способные к пролиферации. Максимальное содержание этих клеточных форм регистрировали тоже в постнерестовый период. Клетки более ранних генераций (ЭБ) в крови не обнаружены. Рост продукции эритроидных клеток гемопоэтической тканью совпадал с увеличением числа циркулирующих эритроцитов в крови, что свидетельствовало о смещении эритроцитарного баланса в системе красной крови в пользу продукционных процессов.
ФИНАНСИРОВАНИЕ
Данная работа финансировалась за счет средств, полученных в рамках проекта (гранта) РНФ № 23-24-00061.
About the authors
A. A. Soldatov
A.O. Kovalevsky Institute of Biology of the South Seas, Russian Academy of Sciences; Sevastopol State University
Author for correspondence.
Email: alekssoldatov@yandex.ru
Russian Federation, Sevastopol; Sevastopol
I. A. Parfyonova
Sevastopol State University
Email: alekssoldatov@yandex.ru
Russian Federation, Sevastopol
T. A. Kukhareva
A.O. Kovalevsky Institute of Biology of the South Seas, Russian Academy of Sciences
Email: alekssoldatov@yandex.ru
Russian Federation, Sevastopol
N. E. Shalagina
A.O. Kovalevsky Institute of Biology of the South Seas, Russian Academy of Sciences
Email: alekssoldatov@yandex.ru
Russian Federation, Sevastopol
V. N. Rychkova
A.O. Kovalevsky Institute of Biology of the South Seas, Russian Academy of Sciences
Email: alekssoldatov@yandex.ru
Russian Federation, Sevastopol
References
- Золотова Т.Е. 1989. Экспериментальное исследование кроветворения у рыб: Автореф. канд. дис. М.: МГУ.
- Солдатов А.А. 2005. Эритропоэз и концентрация метгемоглобина в крови кефали-сингиля (Liza aurata, Risso) на протяжении годового цикла // Современные проблемы физиологии и биохимии водных организмов. Петрозаводск: Карельск. науч. центр РАН. V. 1. С. 182.
- Солдатов А.А. 2023. Случаи спонтанного роста концентрации метгемоглобина в крови костистых рыб на протяжении годового цикла // Биология внутр. вод. № 4. С. 549. https://doi.org/10.31857/S032096522304023X
- Al-Hassan L.A.J, Al-Abood A.Y., Al-Seyab A.A. 1990. Seasonal variations in the haemoglobin concentration and haematocrit values of Silurus triostegus // Acta Ichthyol. et Piscatoria. V. 20. Iss. 1. P. 99. https://doi.org/10.3750/AIP1990.20.1.08
- Andreyeva A.Y., Soldatov A.A., Kukhareva T.A. 2017. Black scorpionfish (Scorpaena porcus) hemopoiesis: Analysis by flow cytometry and light microscopy // Anatom. Rec. V. 300. Iss. 11. P. 1993. https://doi.org/10.1002/ar.23631
- Chou C-F., Tohari S., Brenner S., Venkatesh B. 2004. Erythropoietin gene from a teleost fish, Fugu rubripes // Blood. V. 104. P. 1498. https://doi.org/10.1182/blood-2003-10-3404
- Chu C.Y., Cheng C.H., Yang C.H., Huang C.J. 2008. Erythropoietins from teleosts // Cell Mol. Life Sci. V. 65. P. 3545. https://doi.org/10.1007/s00018-008-8231-y
- El-Saydah H.A.-A., Abdu S.B.S., El-Sayed T.A., Fouad H.F. 2010. Haemopoiesis in the head kidney of tilapia, Oreochromis niloticus (Teleostei: Cichlidae): a morphological (optical and ultrastructural) study // Fish Physiol. Biochem. V. 36. P. 323. https://doi.org/10.1007/s10695-008-9297-z
- Fischer U., Ototake M., Nakanishi T. 1998. Life span of circulating blood cells in Ginbuna crucian carp (Carassius auratus langsdorfii) // Fish Shellfish Immunol. V. 8. P. 339. https://doi.org/10.1006/fsim.1998.0144
- Hammer Ø., Harper D.A.T. 2006. Paleontological data analysis. Blackwell: Oxford. https://doi.org/10.1002/jqs.1107
- Hilge V., Klinger H. 1978. Changes in the hemogram of the male European eel (Anguilla anguilla) during induced maturation. ICES CM.
- Houston A.H. 1990. Blood and circulation // Methods for fish biology. Bethesda. Am. Fish Soc. P. 273. https://doi.org/10.1080/21658005.2013.846963
- Jagoe H.C., Welter D.A. 2011. Quantitative comparisons of the morphology and ultrastructure of erythrocyte nuclei from seven freshwater fish species // Can. J. Zool. V. 73. Iss. 10. P. 1951. https://doi.org/10.1139/z95-229
- Jawad L.A., Al-Mukhtar M.A., Ahmed H.K. 2004. The relationship between haematocrit and some biological parameters of the Indian shad, Tenualosa ilisha (Family Clupeidae) // Anim. Biodiver. Conservat. V. 27. Iss. 2. P. 47.
- Joshi P.C. 1989. Seasonal changes in the blood parameters of a hill-stream teleost, Channa gachua // Comp. Physiol. Ecol. V. 14. Iss. 2. P. 7.
- Kondera E. 2019. Haematopoiesis and Haematopoietic Organs in Fish // Sci. Ann. Polish Soc. Anim. Production. V. 15. P. 9. https://doi.org/10.5604/01.3001.0013.453
- Kulkeaw K., Sugiyama D. 2012. Zebrafish erythropoiesis and the utility of fish as models of anemia // Stem Cell Res. Ther. V. 3. Iss. 6. P. 55. https://doi.org/10.1186/scrt146
- Lai J.C.C., Kakuta I., Mok H.O.L. et al. 2006. Effects of moderate and substantial hypoxia on erythropoietin levels in rainbow trout kidney and spleen // J. Exp. Biol. V. 209. P. 2734. https://doi.org/10.1242/jeb.02279
- Mahoney J.B., McNulty J.K. 1992. Disease-associated blood changes and normal seasonal hematological variation in winter flounder in the Hudson-Raritan Estuary // Trans. Amer. Fish Soc. V. 121. Iss. 2. P. 261. https://doi.org/10.1577/1548-8659(1992)121<0261:NDBCAN>2.3.CO;2
- Moritz K.M., Lim G.B., Wintour E.M. 1997. Developmental regulation of erythropoietin and erythropoiesis // Am. J. Physiol. V. 273. P. R1829. https://doi.org/10.1152/ajpregu. 1997.273.6.R1829
- Obeagu E. I. 2015. A review on Erythropoietin // Int. J. Advanced Res. Biol. Sci. 2015. V. 2. Iss. 4. P. 35.
- Ochiai A., Ogawa M., Umeda S., Taniguchi N. 1975. Change of blood properties of maturing japan eel at hormonal influences // Bull. Jap. Soc. Sci. Fish. V. 41. Iss. 6. P. 609.
- Phillips M.C.L., Moyes C.D., Tufts B.L. 2000. The effects of cell ageing on metabolism in rainbow trout (Oncorhynchus mykiss) red blood cells // J. Exp. Biol. V. 203. Iss. 6. P. 1039. https://doi.org/10.1242/jeb.203.6.1039
- Pottinger T.G., Pickering A.D. 1987. Androgen levels and erythrocytosis in maturing brown trout, Salmo trutta L. // Fish. Physiol. Biochem. V. 3. Iss. 3. 121. https://doi.org/10.1007/BF02180413
- Ribera D., Narbonne J.F., Daubeze M., Michel X. 1989. Characterization, tissue distribution and sexual differences of some parameters related to lipid peroxidation in mussels // Mar. Environ. Res. V. 28. P. 279.
- Sales C.F., Silva R.F., Amaral M.G.С. et al. 2017. Comparative histology in the liver and spleen of three species of freshwater teleost // Neotrop. Ichthyol. V. 15. Iss. 1. e160041. https://doi.org/10.1590/1982-0224-20160041
- Sarrimanolis J., Brooking A., Roberts M., Crockett E.L. 2020. Characterization of the hypoxia-inducible factor-1 pathway in hearts of Antarctic notothenioid fishes // Comp. Biochem. Physiol. B. Biochem. Mol. Biol. V. 250. P. 110505. https://doi.org/10.1016/j.cbpb.2020.110505
- Sharma T., Joshi B.D. 1985. Effect of seasonal variation on some haematologic values of hill stream fish Torputitora // J. Adv. Zool. V. 6. Iss. 1. P. 39.
- Shulman G.E., Love R.M. 1999. The Biochemical Ecology and Marine Fishes // Adv. Mar. Biol. 36. London: Acad Press. https://doi.org/10.1023/A:1012639928289
- Soldatov A.A. 2005a. Physiological aspects of effects of urethane anesthesia on the organism of marine fishes // Hydrobiol. J. V. 41. Iss. 1. P. 113. https://doi.org10.1615/HydrobJ.v41.i1.130
- Soldatov A.A. 2005b. Peculiarities of organization and functioning of the fish red blood system (review) // J. Evol. Biochem. Physiol. V. 41. Iss. 3. P. 272. https://doi.org/10.1007/s10893-005-0060-0
- Soldatov A.A. 2012. On the issue of classification of the hypoxic states of the aquatic organisms // Hydrobiol. J. V. 48. No 4. P. 3. https://doi.org/10.1615/HydrobJ.v48.i4.10
- Soldatov A.A. 2023. Monocyclicity in the function of the erythroid hematopoietic lineage in teleost fish exemplified by Platichthys Flesus (Linnaeus, 1758) // Doklady Biol. Sci. V. 512. Iss. 1. P. 307. https://doi.org/10.1134/S0012496623700564
- Wickramasinghe S.N. 1993. Erythropoietin and the human kidney: evidence for an evolutionary link from studies of Salmo gairdneri // Comp. Biochem. Physiol. V. 104A. P. 63. https://doi.org/10.1016/0300-9629(93) 90009-s
- Witeska M. 2013. Erythrocytes in teleost fishes: a review // Zool. Ecol. V. 23. Iss. 4. P. 275. https://doi.org/10.1080/21658005.2013.846963
- Zinkernagel A.S., Johnson R.S., Nizet V. 2007. Hypoxia inducible factor (HIF) function in innate immunity and infection (review) // J. Mol. Med. 2007. V. 85. P. 1339. https://doi.org/10.1007/s00109-007-0282-2
Supplementary files






