Accumulation of microplastics by the Siberian frog Rana amurensis (Anura, Amphibia) in the West Baikal region
- Authors: Kuranova V.N.1, Frank Y.A.1, Rakhmatullina S.N.1, Epova L.A.2
-
Affiliations:
- Tomsk State University
- Federal State Budgetary Institution “Reserved Baikal Region”
- Issue: Vol 17, No 2 (2024)
- Pages: 326-334
- Section: ВОДНАЯ ТОКСИКОЛОГИЯ
- URL: https://journals.rcsi.science/0320-9652/article/view/262117
- DOI: https://doi.org/10.31857/S0320965224020118
- EDN: https://elibrary.ru/xsyzye
- ID: 262117
Cite item
Full Text
Abstract
The results of the quantitative assessment of the microplastics (MPs) content in the Siberian Wood Frog (Rana amurensis) larvae and gastrointestinal tract (GIT) of adults from the floodplain of the Goloustnaya River flowing into Baikal Lake are presented. MP particles were found in the GITs of 83% (n = 18) of Siberian Wood Frogs aged 1+ to 4+. In the GITs of R. amurensis adults, MP particles were represented by microfibers (84.6%), microspheres (6.2%), microfilms (6.2%), and irregularly shaped fragments (3.0%). The sizes of MPs range from 0.3 to 5 mm. The average number of particles in frog’ GITs was 3.5 ± 3.6 per individual, with a spread from 0 to 11.6 particles. No significant correlations were found between the level of MP accumulation and the age of individuals of different sexes. No MP were found in R. amurensis larvae (n = 120), which is largely due to the low productivity of temporary shallow breeding water bodies in the floodplain of the Goloustnaya River, which are experiencing powerful anthropogenic pressure (transport, grazing, hay harvesting). The detection of MP in the GITs of adult Siberian Wood Frogs indirectly indicates contamination of the valley and the mouth of the Goloustnaya River, including the coast of the Baikal Lake. The data obtained in this study are the first evidence of the presence of MP in amphibians in the Russian Federation.
Full Text
ВВЕДЕНИЕ
С середины XX в. наблюдается массовое производство и потребление продукции из искусственных полимеров, что привело к загрязнению водных и наземных экосистем микропластиком. МП представляет собой неоднородную группу частиц размерами <5 мм, различающихся по размеру, форме и химическому составу (Thompson et al., 2004). В природе чаще всего обнаруживают вторичный МП — продукт распада пластиковых изделий под действием физико-химических факторов среды. Однако встречается и первичный МП — микросферы, которые используют в производстве автомобильных шин и добавляют в средства бытовой химии, косметические средства, средства личной гигиены и многое другое (Саванина и др., 2019; Frank et al., 2020). Организмы, принадлежащие к разнообразным функциональным группам, включая фильтраторов, бентофагов и свободно плавающих хищников, поглощают микропластик в естественной среде обитания (Harris et al., 2019).
Большинство опубликованных исследований по распространению и количественной оценке содержания МП в живых организмах проведены на морских объектах — моллюсках (Rochman et al., 2015; McNeish et al., 2018; Britta et al., 2020; Rochman, Hoellen, 2020), крабах (Waddell al., 2020), морских видах рыб и млекопитающих (Садретдинов, Казакова, 2019; Isaak et al., 2021). Особенности загрязнения и биоаккумуляции МП в наземных и пресноводных экосистемах исследованы в гораздо меньшей степени. Опубликованы работы по детекции МП в организмах птиц, пресноводных рыб, насекомых. В пищеварительной системе и фекалиях птенцов, взрослых рыбоядных и хищных птиц в больших количествах обнаружены частицы МП (D´ Souza et al., 2020). Попадание его в организм птиц может препятствовать способности поглощать и усваивать пищу, вызывать неблагоприятные физиологические эффекты, ведущие к сокращению численности, что негативно сказывается на всей экосистеме. Изучено содержание частиц МП в ЖКТ сибирского ельца (Leuciscus leuciscus L.) в бассейнах рек Оби и Енисея. У всех особей (n = 45) проанализированных выборок в ЖКТ обнаружены частицы МП различной формы и размера (Frank et al., 2020; Frank et al., 2023). Известно, что попадание МП в организм рыб негативно сказывается на функционировании их эндокринной системы, приводит к эрозии эпителия и изменяет внутреннюю оболочку глазного яблока, деформирует жаберные нити, что может привести к затруднению дыхания (Hu et al., 2020). Установлено, что МП может распространяться в природе через комаров. В ходе эксперимента обнаружено, что потребленные личинками частицы МП остаются в организме насекомых на всех стадиях развития (Al-Jaibachi et al., 2018; Simakova et al., 2022). Поскольку многие беспозвоночные входят в состав диеты птиц и земноводных, МП может распространяться по их пищевым цепям.
Земноводные относятся к примитивным позвоночным животным, обитающим на границе двух сред — воды и суши. Важнейшие фазы жизненного цикла — размножение, эмбриональное и личиночное развитие и метаморфоз происходят в водоемах. Личинки (головастики), поедая микроводоросли и цианобактерии, часто доминируют по биомассе среди животных многих водоемов. Личиночный период амфибий удлиняется с увеличением растительноядности вида. Меняется характер пищи и с возрастом личинок (Моткова, 1977). Выделены следующие стадии питания, связанные с возрастом личинок бесхвостых амфибий. На первой стадии развития головастиков размеры пищевых объектов очень мелкие, это в основном диатомовые водоросли, из животных кормов — коловратки. На второй стадии увеличивается количество зеленых водорослей, встречаются цианобактерии, из зоокомпонентов преобладают коловратки и веслоногие рачки. На третьей стадии доминируют зеленые водоросли, уменьшается доля коловраток, появляются новые группы зоокомпонентов — простейшие и ветвистоусые рачки. На четвертой стадии преобладают ветвистоусые рачки, увеличивается доля простейших, резко падает значение водорослей, т.е. уже в ходе личиночного развития происходит постепенный переход к плотоядности, характерной для завершивших превращение амфибий (Гаранин, 1983; Моткова, Гаранин, 1987). Таким образом, амфибии связывают трофически не только разные группы биогеоценозов, но и разные биоциклы — сушу и пресные воды. В ходе развития они бывают и консументами первого порядка, и хищниками первого–второго порядков, захватывая несколько групп пищевых цепей и способствуя тем самым трансформации и транспортировке живого вещества (Гаранин, 1983). В среднем за сезон биомасса личинок достигает 105–780 г/м3 (Моткова, 1977). Значительную ее часть потребляют водные животные (рыбы, беспозвоночные). Остальная биомасса трансформируется в наземную среду при поедании головастиков водоплавающими птицами и околоводными млекопитающими, а также при завершении метаморфоза, когда молодь покидает водоемы. Роль амфибий в осуществлении связи между водными и наземными экосистемами велика (Пикулик, 1985). Сведения о накоплении и токсичном воздействии МП на разные стадии онтогенеза земноводных носят крайне фрагментарный характер (Boyero et al., 2020; Da Costa Araújo et al., 2020; Kolenda et al., 2020; Куранова и др., 2021, 2022; Чеботина и др., 2022), что определило актуальность исследования. Известно, что в качестве индикаторов загрязнения пресноводных экосистем различными поллютантами, в том числе тяжелыми металлами и МП, используют амфибий и их личинок (Куранова и др., 2021; Куранова и др., 2022; Чеботина и др., 2022).
Цель работы — исследовать возможность и особенности поглощения МП сибирской лягушкой на разных стадиях ее онтогенеза. В задачи входили детекция, количественная оценка и анализ морфологии МП в личинках и в ЖКТ взрослых особей вида.
МАТЕРИАЛ И МЕТОДЫ ИССЛЕДОВАНИЯ
Объектами исследования послужили головастики разных стадий развития и взрослые особи сибирской лягушки Rana amurensis Boulenger, 1886 (Anura, Amphibia). Данный вид широко распространен в Западной и Восточной Сибири, на Дальнем Востоке России, в Корее, северной и центральной Монголии и северо-восточном Китае. Места обитания — поймы рек, заболоченные луга, кочкарные болота, лесные речки. Чаще всего встречается на увлажненных межгривных понижения пойменных лугов, вблизи небольших пойменных озер, стариц (Куранова, 1977; Куранова, Ярцев, 2020). Избегает крупных лесных массивов и междуречий. Зимует в ямах на дне озер, рек, в колодцах на глубине 1.5–2 м, группами по нескольку десятков и сотен особей (Кузьмин, 2012).
Личинки сибирской лягушки собирали в период с 14.06.2021 по 30.06.2021 г. из двух водоемов устья р. Голоустная (52°02´ с.ш., 105°24´ в.д.) (западное побережье оз. Байкал, Иркутская обл.). В районе дельты р. Голоустная сибирская лягушка населяет открытые низинные болота, разнотравно-злаковые и прибрежные закочкаренные луга, в период размножения тесно связана с временными пойменными водоемами. Зимует подо льдом в непромерзающих озерах (Тропина, 2021). Личиночные водоемы имеют естественное и антропогенное происхождение. Головастиков отлавливали из двух водоемов. Первый водоем расположен в 1.1 км на юго-восток от пос. Большое Голоустное в 20–30 м слева от проселочной дороги, ведущей на берег оз. Байкал (Доп. мат. рис. S1а). Длина водоема ~150–200 м, ширина 50 м. Водоем хорошо освещен, занимает естественное рельефное понижение, подпитывается талыми водами. Дно илистое, с большим количеством водной растительности. В водоеме и по берегам присутствует бытовой мусор — пластиковые бутылки, целлофановые пакеты. Второй водоем шириной 1.5–2 м, длиной 10 м расположен в этом же направлении на автомобильной дороге, питается атмосферными осадками (Доп. мат. рис. S1б). В водоеме редкая водная растительность, дно каменистое с илом и песком.
Для проведения эксперимента и последующего анализа на наличие МП отобрано 120 личинок R. amurensis. При определении стадий развития личинок использованы детальные таблицы описаний и рисунки для близкородственного вида — травяной лягушки Rana temporaria (Дабагян, Слепцова, 1975). Нами исключен ранее предлагаемый более разгруженный и упрощенный вариант определения стадий развития эмбрионов и личинок разных видов бесхвостых земноводных (Gosner, 1960). В зависимости от стадии развития головастики R. amurensis из двух водоемов объединены в шесть групп по 20 особей: 1 группа — стадия 39; 2 группа — 41; 3 группа — 42–43; 4 группа — 45; 5 группа — 46; 6 группа — 47. Личинки более поздних стадий (48–54) в отловах отсутствовали, поскольку еще не произошел их метаморфоз и выход сеголетков на сушу.
На суше и вблизи водоемов особей R. amurensis отлавливали руками или сачком, для транспортировки помещали в матерчатые мешочки, специальные контейнеры и доставляли в лабораторию для последующей обработки (Гаранин, Даревский, 1987). В лабораторных условиях 27 особей R. amurensis разного пола и возраста анестезировали и декапитировали, после чего проводили вскрытие для извлечения ЖКТ. У взрослых и личинок с помощью электронных весов OHAUS определяли массу тела (W) с точностью до 0.01 г. Мерные признаки — длину туловища (L — Longitudo corporis) и длину хвоста личинок (L.cd — Longitudo caudalis) измеряли электронным штангенциркулем ЧИЗ ШЦЦ-1-150-0.01 с точностью до 0.01 мм. Все используемые процедуры соответствовали международным и национальным требованиям по гуманному обращению с животными.
Определение возраста. Возраст животных определяли с помощью метода скелетохронологии, основанном на сезонных изменениях темпов роста животных. В течение периода активного роста в костях животных формируются широкие слои костной ткани, а в период остановки (например, период гибернации земноводных и пресмыкающихся) – узкие линии, называемые линиями склеивания или линиями остановки роста. Этот метод позволяет определить с высокой точностью не только абсолютный возраст особи, но и скорость линейного роста (Смирина, 1989).
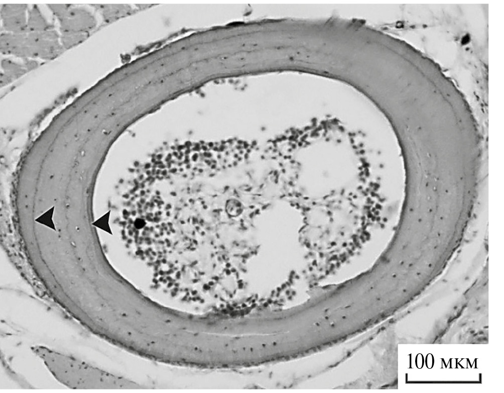
В камеральных условиях для оценки возраста особей сибирской лягушки использовали поперечные срезы третьей фаланги четвертого пальца левой задней конечности, зафиксированной в 10%-ном формалине. Костные образцы декальцинировали в 5%-ной азотной кислоте. Время декальцинации устанавливали экспериментально (Смирина, 1989). Затем проводили классическую гистологическую обработку с заключением в парафин (Exbrayat, 2013). Для нарезки гистологических образцов использовали полуавтоматический ротационный микротом (MtPoint, модель RMD — 3000, Россия). Срезы монтировали на стекла с белок-глицериновым покрытием. Окрашивание проводили гематоксилином Карацци. Всего изготовлен 81 микропрепарат. Для микроскопии и изготовления микрофотоснимков применяли микроскоп AxioLab.A1 с камерой AxioCam ERc5s и программное обеспечение ZEN 2011 (Carl Zeiss Microscopy, Германия). При определении возраста использовали число видимых линий остановки роста (линий склеивания) и степень сохранности первой линии склеивания (рис. 1). Последнее оценивали по доле оставшегося участка линии на срезе (Hemelaar, 1985). Минимальное количество пережитых зимовок обозначали цифрой со знаком “+”, на самом деле их могло быть больше, поскольку часть линий склеивания могла подвергнуться резорбции.
Детекция и количественный учет микропластика. При оценке связи уровня накопления МП в ЖКТ R. amurensis в зависимости от разного пола и возраста из выборки исключали неполовозрелых особей (годовиков), определение пола которых было затруднено. Детекция МП в ЖКТ лягушки проведена на 18 особях (10 самцов и 8 самок). При извлечении частиц МП из головастиков применяли модифицированный протокол, ранее использованный для анализа частиц в моллюсках (Jahan et al., 2019). Для экстракции МП растворяли мягкие ткани целых особей головастиков, используя щелочной гидролиз, разделение частиц по плотности в насыщенном растворе NaCl (~1.20 г/мл), вакуумную фильтрацию с помощью мембранного фильтра 0.45 мкм (Sartorius). Фильтры с извлеченным МП анализировали для количественного учета частиц и их классификации по морфологическим признакам. Контролем служили пробы с дистиллированной водой без ЖКТ и головастиков. Полученные в контроле результаты вычитали при определении количества частиц в пробах. Анализ проводили с помощью световой микроскопии (стереомикроскоп Micromed MC2), цифровой камеры и программного обеспечения ToupView v.3.7.6273, используя тест горячей иглой (Hidalgo-Ruz et al., 2012). Извлеченные частицы МП классифицировали на четыре группы по их форме: сферы, пленки, волокна/линии и фрагменты неправильной формы (включая пенопласт) (Cowger et al., 2019; Frias, Nash, 2019), а также по их основным размерам на шесть групп: 0.15–0.30 мм, 0.31–1.00 мм, 1.01–2.00 мм, 2.01–3.00 мм, 3.01–4.00 мм и 4.01–5.00 мм (Frank et al., 2020). Обилие МП различной формы и размеров оценено как количество частиц на один экземпляр лягушки и группу личинок.
Для математической обработки первичных данных использовали пакет программ Microsoft Excel 2010, статистический анализ проводили в программе StatSoft STATISTICA v.8.0. Рассчитаны следующие описательные статистики: размер выборки (n), средняя (x_), границы минимальных и максимальных значений (lim), стандартная ошибка средней (mx_), коэффициент вариации (Cv, %) Для попарного сравнения выборочных совокупностей использовали критерии Манна–Уитни (U-test) для признаков, имеющих ненормальное распределение. Уровень связей между уровнем накопления МП в зависимости от пола и возраста особей оценивали через коэффициент корреляции Спирмена (rs). Во всех случаях результаты считали достоверными при достижении порога вероятности 5% (p ≤0.05).
РЕЗУЛЬТАТЫ ИССЛЕДОВАНИЯ
В шести группах личинок сибирской лягушки (n = 120), выделенных по стадиям развития, не обнаружено частиц МП.
Рис. 1. Поперечный срез фаланги пальца Rana amurensis. Окраска гематоксилином Эрлиха. Черными стрелками обозначены линии склеивания.
С помощью микроскопического анализа, совмещенного с тестом горячей иглой, установлено, что в 15 из 18 (83%) проанализированных образцов ЖКТ R. amurensis возраста от 1+ до 4+ данного локалитета (Большое Голоустное) обнаружены частицы МП. Распределение частиц в ЖКТ особей было неравномерным (табл. 1), среднее значение составило 3.5±3.6 ед./особь.
Таблица 1. Содержание частиц МП разных типов в ЖКТ Rana amurensis
Тип МП | Х±mх | min–max | SD | Cv |
eд./особь | ||||
Сферы | 0.2±0.2 | 0–3.6 | 0.8 | 373.9 |
Пленки | 0.2±0.2 | 0–4.6 | 0.9 | 509.9 |
Волокна | 2.6±0.6 | 0–11,6 | 3.1 | 121.5 |
Фрагменты | 0.1±0.1 | 0–1 | 0.3 | 282.4 |
Всего | 3.5±3.6 | 0–11.6 | 3.6 | 383.6 |
Примечание. X±mx — средняя и ошибка средней; SD — стандартное отклонение; Cv — коэффициент вариации, %.
Частицы представлены сферами, пленками, волокнами и фрагментами неправильной формы. В ЖКТ лягушек преобладали волокна — 80.6%, доля пленок и сфер — 6.2, фрагментов — 3.0 (рис. 2). Наибольшее количество МП на особь приходилось в виде волокон, меньше в 1.3 раза — пленок и 2.6 раза — сфер и фрагментов (табл. 1).
Рис. 2. Доли частиц МП различной формы в ЖКТ взрослых особей Rana amurensis. 1 – волокна, 2 – пленки, 3 – сферы, 4 – фрагменты.
Обнаруженные частицы МП объединенной выборки лягушек одного года и старше имели размеры 0.31–1.00 и 1.01–2.00 мм (по 31.3%), 2.01–3.00 мм (21.9), 0.15–0.30 и 3.01–4.00 мм (по 6.25), 4.01–5.00 мм (3.0%) (рис. 3). Размерный диапазон частиц МП широк — от 0.31 до 5.00 мм, доминируют частицы размером 1.01–3.00 мм (53.2%).
Рис. 3. Распределение (%) частиц микропластика разного размера (мм) в ЖКТ взрослых особей Rana amurensis. 1 – 0.15–0.30, 2 – 0.31–1.00, 3 – 0.1–2.00, 4 –2.01–3.00, 5 – 3.01–4.00, 6 –4.01–5.00.
Частицы найдены в ЖКТ сибирских лягушек в возрасте от 1+ до 4 (n = 27) (табл. 2). Между уровнем накопления МП и возрастом самцов и самок не обнаружено статистически значимой связи: rs = –0.35, p >0.05 и rs = 0.48, p >0.05 соответственно; для объединенной выборки — rs = 0.195, p >0.05 (табл. 2). Однако выявлены половые различия в уровне накопления МП в ЖКТ — у самок он выше, чем у самцов (U = 12.5, p ≤0.01).
ОБСУЖДЕНИЕ РЕЗУЛЬТАТОВ
В шести группах личинок сибирской лягушки (n = 120), выделенных по стадиям развития, не обнаружено частиц МП. Возможно, одна из причин — временный характер и низкая продуктивность изученных нерестовых водоемов, где происходили выклев и личиночное развитие. Водоемы образовались в межгривных понижениях пойменного луга, наполненность их определяется уровнем и характером движения паводковых вод и выпадением осадков. Существенная антропогенная нагрузка (выпас скота, движение транспорта, сенокошение) не обеспечивает устойчивости и продуктивности водной экосистемы. Кроме этого, в период наблюдений (июнь) среди развивающихся личинок R. amurensis отсутствовали особи 48–52 стадий, которые метаморфизируют и выходят на сушу.
В отличие от личинок, у взрослых особей R. amurensis трофический спектр шире. Они поедают, в основном, сухопутных моллюсков, пауков, гусениц, прямокрылых, полужесткокрылых, жесткокрылых (доминируют жужелицы), жуков, членистоногих, перепончатокрылых (бескрылые муравьи), коконы пауков и яйца двукрылых, им свойственен каннибализм. Одновременно с пищей лягушки заглатывают песок и растительные остатки, а также листья и соцветия осок и злаков (Кузьмин, 1986). Это объясняет обнаружение МП в ЖКТ взрослых особей сибирской лягушки. Из 18 исследованных особей R. amurensis микрочастицы пластика в ЖКТ содержали 83% лягушек в возрасте 1 + и старше.
Возможно, особенности поглощения и накопления МП амфибиями могут иметь видовые различия. Частицы МП ранее были выявлены у 26% (n = 201) личинок пяти видов бесхвостых земноводных (серая жаба Bufo bufo L., травяная лягушка Rana temporaria Boulenger, 1886, зеленые лягушки Pelophylax esculentus L. complex, обыкновенная чесночница Pelobates fuscus (Cornalia, 1873) и обыкновенная квакша Hyla arborea L.) из восьми прудов, из них три расположены в г. Вроцлав и пять — в его окрестностях (юго-запад Польши) (Kolenda et al., 2020). Частицы МП обнаружены на всех исследованных участках и у 26% личинок всех исследованных видов. При этом головастики заглотили в общей сложности 71 частицу (в среднем на особь — 0.35, SD = 0.7), из них большинство (97% (n = 69) представляли собой волокна. Анализ IR-ATR показал, что частицы имели антропогенное происхождение и включали нейлон, полиуретан, полиизопрен и 1,2 полибутадиен (Kolenda et al., 2020). Высказано предположение, что в водоемах Центральной Европы личинки земноводных могут быть важными переносчиками МП при переходе из водной среды в наземную. Незначительное количество частиц на одну личинку может свидетельствовать о слабом воздействии микропластика на эти организмы (Kolenda et al., 2020).
На примере личиночной популяции серой жабы (Bufo bufo) пригородного водоема г. Томск установлено, что разнообразие и уровень встречаемости частиц МП у амфибий могут различаться и зависеть от источников поступления его в водную среду, а также особенностей питания исследуемой группы организмов (Куранова и др., 2021).
Переход головастиков R. amurensis к активному питанию происходит на стадии 34, т.е. через 3–4 сут после выклева. Питание продолжается до начала метаморфического климакса – стадия 50. В составе пищи наблюдается максимальная встречаемость детрита и водорослей. Часто поедаются водоросли, растущие на подводных предметах, что указывает на питание головастиков R. amurensis в зарослях и на дне водоемов. Вместе с пищей в кишечник головастиков попадает песок: у особей стадий 45–47 он найден в 83–100% кишечников (Кузьмин, 1986). На стадиях 50–51 в связи с некротическим метаморфозом питание в основном прекращается, отдельные особи стадий 51–52 поедают клещей и коллембол. В состав пищи особей стадии 53 входят сухопутные улитки, многоножки, двукрылые. В пище сеголетков (стадия 54) доминируют насекомые (Боркин, Кузьмин, 1988).
Различия в уровне накопления МП в личинках серой жабы (Куранова и др., 2021) и сибирской лягушки (настоящее исследование) обусловлены происхождением и продуктивностью личиночных водоемов, а также особенностями питания разных видов земноводных. Сибирская лягушка для размножения выбирает мелкие, хорошо освещенные временные водоемы. Серая жаба откладывает икру в озерах, прудах или канавах. Накопление МП взрослыми особями сибирской лягушки происходит по пищевым цепям в период пребывания в зимовальных водоемах (в зависимости от широты — с октября по май), а также активной охоты в наземную фазу жизненного цикла, когда они придерживаются пойм и увлажненных низин (Кузьмин, 2012; Куранова и др., 2022).
В настоящем исследовании у самок отмечены более высокие средние линейно-массовые размеры по сравнению с самцами: у самок (n = 8) L = 47.9 (40.5–58.6) мм, W = 9.97 (5.8–20.3) г; у самцов (n = 10) L = 46.3 (42.2–49.8) мм, W = 8.8 (6.6–13.7) г. Кроме того, в выборке среди самок отмечено 25% особей в возрасте 4+, среди самцов — 70% особей в возрасте 2+ и 30% в возрасте 3+ (табл. 2).
Таблица 2. Содержание частиц МП в ЖКТ разных “половозрастных” группировок популяции Rana amurensis (окрестности пос. Большое Голоустное, Иркутская обл.)
Признаки | Самцы (n = 10) | Самки (n = 8) | ||||
x_ ± mx_ | min–maх | Cv, % | x_ ± mx_ | min–maх | Cv, % | |
Возраст | 2+ (n = 7) | 2+ (n = 5) | ||||
W, г | 7.70 ± 0.47 | 6.6–10.1 | 16.0 | 7.60 ± 0.62 | 5.85–9.6 | 18.10 |
L, мм | 44.6 ± 0.9 | 42.2–47.9 | 5.4 | 44.8 ± 1.5 | 40.5–48.9 | 7.5 |
МП, ед./особь | 2.0 ± 0.65 | 0–4 | 86.6 | 4.4 ± 2.1 | 1–12 | 107.3 |
Возраст | 3+ (n = 3) | 3+ (n = 1) | ||||
W, г | 11.2 ± 1.46 | 8.6–13.7 | 22.5 | 8.96 | – | – |
L, мм | 50.0 ± 1.67 | 47.2–53.0 | 5.7 | 42.7 | – | – |
МП, ед./особь | 0.67 ± 0.33 | 0–1 | 86.6 | 9 | – | – |
Возраст | 4+ (n = 0) | 4+ (n = 2) | ||||
W, г | – | – | – | 16.3 ± 4.1 | 12.2–20.3 | 35.3 |
L, мм | – | – | – | 58.0 ± 0.6 | 57.4–58.6 | 1.5 |
МП, ед./особь | – | – | – | 8.0 ± 1.0 | 7–9 | 17.7 |
Примечание. “–” – данные отсутствуют.
Суточное потребление пищи особями старших возрастов естественно выше. Установлено, что различия недостоверны по трофическому спектру, элективности и длине добычи у особей R. amurensis одного года и старше (Боркин, Кузьмин, 1988). Перекрывание спектров питания достигает 0.70–0.98, половые различия по указанным параметрам у взрослых лягушек недостоверны, индекс сходства диет самцов и самок — 0.97. Суточный рацион R. amurensis в 1.44 раза превышает массу пищи, содержащуюся в желудке во время его максимального наполнения (Боркин, Кузьмин, 1988). Показано, что суточный рацион R. amurensis одного года и старше — 0.4–1.1 г. За лето одна лягушка длиной 37.5–46.5 мм потребляет 38.5–54.1 г добычи, особь длиной 54.4–57.9 мм — 48.2–100.7 г (Кузьмин, 1986). Полученный по результатам исследования вывод о большем накоплении МП самками R. amurensis следует считать предварительным, требующим проверки на более репрезентативных выборках.
Распространенность того или иного типа частиц может быть разной, в зависимости от источников поступления МП в водную среду и особенностей питания исследуемой группы организмов (Frank et al., 2020). В пробах взрослых особей R. amurensis доля волокон составила 84.6%. Участок, где отлавливали личинок и взрослых особей R. amurensis, находился в 1–1.5 км от берега оз. Байкал. Анализы проб воды из личиночных водоемов на наличие частиц МП отсутствуют. Однако уровень загрязнения МП временных пойменных водоемов дельты р. Голоустная, впадающей в оз. Байкал, можно оценить по состоянию его прибрежной зоны в районе исследования. Ежегодный отбор траловых проб в поверхностных водах оз. Байкал рядом с населенным пунктом Большое Голоустное показал, что средняя концентрация МП за период с 2017 по 2021 гг. увеличилась в 1.5 раза (Ильина и др., 2021; Колобов, Таланина, 2022). Обнаруженный МП был разделен на две морфологические группы — микрочастицы и микроволокна. Если основная причина образования микрочастиц — разрушение пластиковых изделий (например, упаковки), то причина появления волокон в большинстве случаев — поступление хозяйственно-бытовых стоков после стирки синтетической одежды (Ziajahromi et al., 2016; Vassilenko et al., 2021). В 2021 г. в прибрежной зоне оз. Байкал близ поселка встречаемость микроволокон оказалась в 3.9 раза выше, чем микрочастиц (Колобов, Таланина, 2022).
ЗАКЛЮЧЕНИЕ
В ходе исследования ЖКТ R. amurensis частицы МП обнаружены у 83% особей сибирской лягушки в возрасте от 1+ до 4+ лет. В ЖКТ взрослых особей R. amurensis МП представлен микросферами, микропленками, фрагментами неправильной формы, но преобладают микроволокна (84.6%). Размеры частиц МП колеблются от 0.3 до 5 мм. Среднее количество частиц составило 3.5±3.6 на особь лягушки с разбросом от 0 до 11.6 частиц. Наибольшее количество МП на особь приходится в виде волокон, меньше в 1.3 раза — пленок и 2.6 раза — сфер и фрагментов. В период наземной активности R. amurensis уровень накопления МП не зависит от возраста самцов и самок. Широкий размах индивидуальной изменчивости по уровню накопления МП в ЖКТ связан с питанием, зависящим от суточной и сезонной активности взрослых особей R. amurensis и их жертв, определяется микростациальными особенностями пойменного участка, влиянием комплекса экологических факторов. Аккумуляция и передача МП по пищевым цепям происходит не только на суше, но в период нахождения R. amurensis в зимовальных водоемах. Отсутствие МП в личинках R. amurensis в значительной степени обусловлено низкой продуктивностью временных мелких водоемов выплода поймы р. Голоустная. Наличие МП в ЖКТ взрослых особей сибирской лягушки может быть индикатором загрязнения долины и устья р. Голоустная, включая побережье оз. Байкал.
ДОПОЛНИТЕЛЬНЫЕ МАТЕРИАЛЫ
Дополнительные материалы размещены в электронном виде по DOI статьи: 10.31857/S032096 5224020118
БЛАГОДАРНОСТИ
Авторы благодарят Ю.А. Рогачеву (Томский государственный университет) за неоценимую техническую помощь при выполнении исследования.
ФИНАНСИРОВАНИЕ
Исследование выполнено при поддержке Программы развития Томского государственного университета (Приоритет–2030), проект № 2.2.3.22 ОН.
About the authors
V. N. Kuranova
Tomsk State University
Author for correspondence.
Email: kuranova49@mail.ru
Russian Federation, Tomsk
Y. A. Frank
Tomsk State University
Email: kuranova49@mail.ru
Russian Federation, Tomsk
S. N. Rakhmatullina
Tomsk State University
Email: kuranova49@mail.ru
Russian Federation, Tomsk
L. A. Epova
Federal State Budgetary Institution “Reserved Baikal Region”
Email: kuranova49@mail.ru
Russian Federation, Irkutsk
References
- Боркин Л.Я., Кузьмин С.Л. 1988. Земноводные Монголии: видовые очерки // Земноводные и пресмыкающиеся МНР. Общие вопросы. Земноводные. М.: Наука. С. 30.
- Гаранин В.И. 1983. Земноводные и пресмыкающиеся Волжско-Камского края. М.: Наука.
- Гаранин В.И., Даревский И.С. 1987. Программа изучения амфибий и рептилий в заповедниках // Амфибии и рептилии заповедных территорий. М.: Б.и. С. 5.
- Дабагян Н.В., Слепцова Л. А. 1975. Травяная лягушка // Объекты биологии развития. М.: Наука. С. 442.
- Ильина О.В., Колобов М.Ю., Ильинский В.В. 2021. Пластиковое загрязнение поверхностных вод среднего и южного Байкала // Водн. ресурсы. № 1. С. 42. https://doi.org/ 10.31857/S0321059621010181
- Колобов М.Ю., Таланина Е.Б. 2022. Многолетняя динамика содержания микропластика в поверхностных водах озера Байкала // Матер. I Всерос. конф. с междунар. участием по загрязнению окружающей среды микропластиком “MicroPlasticsEnvironment-2022” (MPE-2022), 02–06 августа 2022 г., п. Шира, Хакасия. Томск: Издательский Дом Томск. гос. ун-та. С. 53.
- Кузьмин С.Л. 1986. Экология и биоценотическая роль сибирской лягушки (Rana amurensis Pall.) в Монголии // Герпетологические исследования в Монгольской Народной Республике. М.: Ин-т эвол. морфологии и экологии животных им. А.Н. Северцова АН СССР. С. 22.
- Кузьмин С.Л. 2012. Земноводные бывшего СССР. М.: Тов-во науч. изданий КМК.
- Куранова В.Н. 1977. Экология сибирской лягушки в Томской области // Вопр. герпетологии. Л.: Наука. С. 127.
- Куранова В.Н., Ярцев В.В. 2020. Биоразнообразие Томского Приобья. Земноводные и пресмыкающиеся. Томск: Издательский Дом Томск. гос. ун-та.
- Куранова В.Н., Рогачева Ю.А., Франк Ю.А. 2021. Микропластик в личинках земноводных // Вопр. герпетологии. М.: Тов-во науч. изданий КМК. С. 154.
- Куранова В.Н., Рогачева Ю.А., Рахматуллина С.Н., Франк Ю.А. 2022. Потребление микропластика сибирской лягушкой Rana amurensis Вoulenger, 1886 в Западном Прибайкалье на разных стадиях онтогенеза // Матер. I Всерос. конф. с междунар. участием по загрязнению окружающей среды микропластиком “MicroPlasticsEnvironment-2022” (MPE-2022), 02-06 августа 2022 г., п. Шира, Хакасия. Томск: Издательский Дом Томск. гос. ун-та. С. 67.
- Моткова М.Ю. 1977. О питании и экологии личинок бесхвостых амфибий // Вопр. герпетологии. Л.: Наука. С. 148.
- Моткова М.Ю., Гаранин В.И. 1987. Роль личинок бесхвостых амфибий в трофических цепях пресных водоемов. Казань: Изд-во Казан. ун-та. С. 33.
- Пикулик М.М. 1985. Земноводные Белоруссии. Минск: Наука и техника.
- Саванина Я.В., Барский Е.Л., Фомина И.А., Лобакова Е.С. 2019. Загрязнение водной среды микропластиком: воздействие на биологические объекты, очистка // ИТНОУ: Информационные технологии в науке, образовании и управлении. № 2. С. 54.
- Садретдинов С.С., Казакова Е.В. 2019. Влияние микропластика на организм животных и человека // Научный альманах. № 5(2). С. 176.
- Смирина Э.М. 1989. Методика определения возраста амфибий и рептилий по слоям в кости // Руководство по изучению земноводных и пресмыкающихся. Киев: Наук. думка. С. 144.
- Тропина М.Г. 2021. К морфологии, распространению и экологии бурых лягушек Западного Прибайкалья // Байкальский зоол. журн. № 1(29). С. 52.
- Чеботина М.Я., Гусева В.П., Берзин Д.Л. и др. 2022. Накопление микроэлементов в озерной лягушке Pelophylax ridibundus из водоемов-охладителей Среднего Урала // Биология внутр. вод. № 2. С. 192. https://doi.org/10.31857/S032096522202004Х
- Al-Jaibachi R., Cuthbert Ross N., Callaghan A. 2018. Up and away: ontogenic transference as a pathway for aerial dispersal of microplastics // Biol. Letters. № 14(9). P. 34.
- Boyero L., López-Rojo N., Bosch J. et al. 2020. Microplastics impair amphibian survival, body condition and function // Chemosphere. V. 244. P. 125500. https://doi.org/10.1016/j. chemosphere.2019.125500
- Britta R. Baechler, Elise F. Granek, Matthew V. Hunter et al. 2020. Microplastic concentrations in two Oregon bivalve species: Spatial, temporal, and species variability // Limnol., Oceanogr. Letters. № 5. P. 5. https://doi.org/10.1002/lol2.10124
- da Costa Araújo A.P., Silva de Melo N.F., Gonçalves de Oliveira Junior A. et al. 2020. How much are microplastics harmful to the health of amphibians? A study with pristine polyethylene microplastics and Physalaemus cuvieri // J. Hazard Materials. V. 382. P. 121066. https://doi.org/ 10.1016/j.jhazmat.2019.121066
- D´ Souza J.M., Windsor F.M., Santilla D. et al. 2020. Food web transfer of plastics to an apex riverine predator // Global Change Biol. № 26. P. 3846.
- https://doi.org/10.1111/gcb.15139
- Exbrayat J.M. 2013. Classical methods of visualization // CRC Press Taylor and Francis GrouP. P. 3. https://doi.org/10.1201/B14967
- Jahan S., Strezov V., Weldekidan H. et al. 2019. Interrelationship of microplastic pollution in sediments and oysters in aseaport environment of the eastern coast of Australia // Sci. Total Environ. V. 695. P. 133924. https://doi.org/10.1016/j.scitotenv.2019.133924
- Harris Lynda S.T., Carrington E. 2019. Impacts of microplastic vs. natural abiotic particles on the clearance rate of a marine mussel // Limnol., Oceanogr. Letters. № 5. P. 66. https://doi.org/10.5061/dryad.vn92f3j
- Hemelaar A.S.M. 1985. An improved method to estimate the number of year rings resorbed in phalanges of Bufo bufo (L.) and its application to populations from different latitudes and altitudes // Amphibia-Reptilia. P. 323.
- Hidalgo-Ruz V., Gutow L., Thompson R.C., Thiel M. 2012. Microplastics in the marine environment: A review of the methods used for identification and quantification // Environ. Sci. Technol. V. 46. P. 3060. https://doi.org/10.1021/es2031505
- Hu L., Lewis A.M., Ferguson P.L. et al. 2020. Chronic microfiber exposure in adult Japanese medaka (Oryzias latipes) // PLoS ONE. № 15(3). P. 48. https://doi.org/10.1371/journal.pone.0229962
- Cowger W., Gray A.B., Eriksen M. et al. 2019. Evaluating wastewater effluent as a source of microplastics in environmental samples // Microplastics in Water and Wastewater. London: IWA Publ. P. 109. https://doi.org/10.2166/9781789060034_0109
- Frank Yu.A., Vorobiev E.D., Babkina I.B. et al. 2020. Microplastics in fish gut, first records from the Tom River in West Siberia // Вестн. Томcк. гос. ун-та. Биология. № 52. С. 130. https://doi.org/10.17223/19988591/52/7
- Frank Y., Vorobiev D., Mandal A. et al. 2023. Freshwater Fish Siberian Dace Ingest Microplastics in the Remote Yenisei Tributary // Toxics. V. 1. № 38. https://doi.org/ 10.3390/toxics11010038
- Frias J.P.G.L., Nash R. 2019. Microplastics: Finding a consensus on the definition // Mar. Pollut. Bull. № 138. P. 145. https://doi.org/10.1016/j.marpolbul.2018.11.022.
- Gosner K.L. 1960. A Simplified Table for Staging Anuran Embryos and Larvae with Notes on Identification // Herpetologica. V. 16. № 3 (SeP. 23). P. 183.
- Isaak M.N., Kandasubramanian B. 2021. Effect of microplastics in water and aquatic systems // Environ. Sci. Pollut. Res. Int. № 2. P. 19544. https://doi.org/10.1007/s11356-021-13184-2
- Kolenda K., Kuśmierek N., Pstrowska K. 2020. Microplastic ingestion by tadpoles of pond-breeding amphibians — first results from Central Europe (SW Poland) // Environ. Sci. Pollut. Res. V. 27. P. 33380. https://doi.org/10.1007/ s11356-020-09648-6
- McNeish R.E., Kim L.H., Barrett H.A. et al. 2018. Microplastic in riverine fish is connected to species traits // Scientific Reports. V. 8. P. 11639. https://doi.org/10.1038/ s41598-018-29980-9
- Rochman C., Tahir A., Williams S. et al. 2015. Anthropogenic debris in seafood: Plastic debris and fibers from textiles in fish and bivalves sold for human consumption // Sci. Reports. V. 5. P. 14340. https://doi.org/10.1038/srep14340
- Rochman C.M., Hoellein T. 2020. The global odyssey of plastic pollution. Thinking big about small particles reveals new features of the microplastic cycle // Science. V. 368. P. 1184. https://doi.org/10.1126/science.abc4428
- Simakova A., Varenitsina A., Babkina I. et al. 2022. Ontogenetic transfer of microplastics in Bloodsucking Mosquitoes Aedes aegypti L. (Diptera: Culicidae) is a potential pathway for particle distribution in the environment // Water. V. 14. № 12. P. 1852. https://doi.org/10.3390/w14121852
- Thompson R.C., Olsen Y., Mitchell P. 2004. Lost at sea: Where is all the plastic? // Science. V. 304. P. 838. https://doi.org/10.1126/science.1094559
- Vassilenko E., Watkins M., Chastain S. et al. 2021. Domestic laundry and microfiber pollution: Exploring fiber shedding from consumer apparel textiles // PLoS ONE. V. 16. № e0250346. https://doi.org/10.1371/journal.pone.0250346
- Waddell E.N., Lascelles N., Conkle J.L. 2020. Microplastic contamination in Corpus Christi Bay blue crabs, Callinectes sapidus // Limnol., Oceanogr. Letters. № 5. P. 92. https://doi.org/10.1002/lol2.1014
- Ziajahromi S., Neale P.A., Leusch F.D.L. 2016. Wastewater treatment plant effluent as a source of microplastics: Review of the 432 fate, chemical interactions and potential risks to aquatic organisms // Water Sci. Technol. V. 74. P. 2253. https://doi.org/433 10.2166/wst.2016.414
Supplementary files





