Interaction of Cobalt Tetrasulfophthalocyanine with ORF8 Accessory Protein of SARS-CoV-2
- Authors: Koifman O.I.1,2, Maizlish V.E.2, Lebedeva N.S.1, Yurina E.S.1, Guseinov S.S.1, Guriev E.L.3, Gubarev Y.A.1
-
Affiliations:
- G.A. Krestov Institute of Solution Chemistry of the Russian Academy of Sciences, Ivanovo, Russia
- Ivanovo State University of Chemical Technology, Ivanovo, Russia
- Lobachevsky State University of Nizhny Novgorod, Nizhny Novgorod, Russia
- Issue: Vol 49, No 10 (2023)
- Pages: 659-664
- Section: Articles
- URL: https://journals.rcsi.science/0132-344X/article/view/162310
- DOI: https://doi.org/10.31857/S0132344X23600042
- EDN: https://elibrary.ru/TCRLOA
- ID: 162310
Cite item
Full Text
Abstract
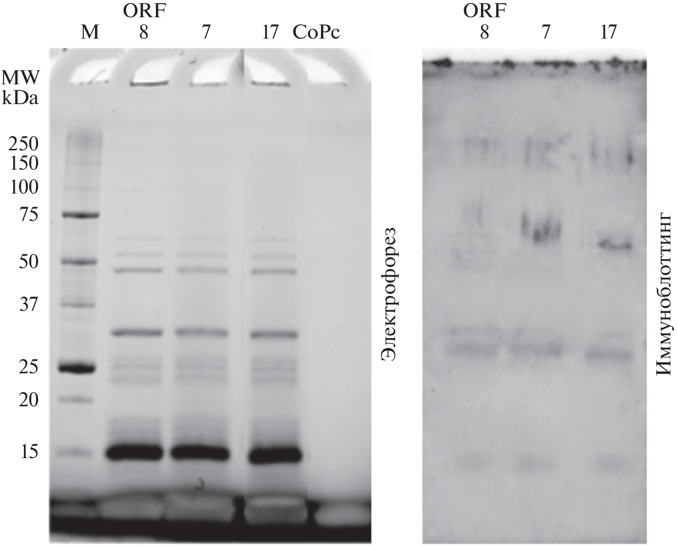
The interaction of cobalt(II) tetrasulfophthalocyanine (CoPc) with the ORF8 accessory protein of SARS-CoV-2 was studied by spectroscopy and calorimetry. The protein was found to shift the aggregation equilibrium in cobalt tetrasulfophthalocyanine solutions towards dimerization. Most probably, the CoPc dimer binds to ORF8 on the greater β-sheet side, thus causing fluorescence quenching. The protein affinity constant to CoPc dimer is 1.5 × 105. Differential scanning calorimetry data indicate that ORF8 undergoes thermally induced denaturation in the temperature range of 38–67°C. Melting of ORF8 includes two stages, which partly overlap. The complex formation of ORF8 with CoPc leads to thermal stabilization of the protein, thus preventing the second stage of protein unfolding. Denaturation of the complex proceeds between 40 and 77°C as two temperature-separated stages. According to gel electrophoresis and immunoblotting data, visible light photoirradiation of the ORF8 complex with CoPc does not induce photooxidation of the protein. It was shown that water-soluble cobalt sulfo-substituted phthalocyanine can be considered as a potential drug inhibiting the ORF8 accessory protein.
Keywords
About the authors
O. I. Koifman
G.A. Krestov Institute of Solution Chemistry of the Russian Academy of Sciences, Ivanovo, Russia; Ivanovo State University of Chemical Technology, Ivanovo, Russia
Email: gua@isc-ras.ru
Россия, Иваново; Россия, Иваново
V. E. Maizlish
Ivanovo State University of Chemical Technology, Ivanovo, Russia
Email: gua@isc-ras.ru
Россия, Иваново
N. Sh. Lebedeva
G.A. Krestov Institute of Solution Chemistry of the Russian Academy of Sciences, Ivanovo, Russia
Email: gua@isc-ras.ru
Россия, Иваново
E. S. Yurina
G.A. Krestov Institute of Solution Chemistry of the Russian Academy of Sciences, Ivanovo, Russia
Email: gua@isc-ras.ru
Россия, Иваново
S. S. Guseinov
G.A. Krestov Institute of Solution Chemistry of the Russian Academy of Sciences, Ivanovo, Russia
Email: gua@isc-ras.ru
Россия, Иваново
E. L. Guriev
Lobachevsky State University of Nizhny Novgorod, Nizhny Novgorod, Russia
Email: gua@isc-ras.ru
Россия, Нижний Новгород
Yu. A. Gubarev
G.A. Krestov Institute of Solution Chemistry of the Russian Academy of Sciences, Ivanovo, Russia
Author for correspondence.
Email: gua@isc-ras.ru
Россия, Иваново
References
- Garcia-Vidal C., Meira F., Cózar-Llistó A. et al. // Revista Española de Quimioterapia. 2021. V. 34. P. 136. https://doi.org/10.37201/req/018.2021
- Benfield T., Bodilsen J., Brieghel C. et al. // Clin. Infect. Dis. 2021. V. 73. P. 2031. https://doi.org/10.1093/cid/ciab536
- Koifman O., Ageeva T., Kuzmina N.S. // Macroheterocycles. 2022. V. 15. P. 207. https://doi.org/10.6060/mhc224870k
- Lebedeva N.S., Gubarev Y.A., Koifman M.O. et al. // Molecules. 2020. V. 25. P. 4368. https://doi.org/10.3390/molecules25194368
- Gubarev Y.A., Lebedeva N.S., Yurina E.S. et al. // J. Biomol. Struct. Dyn. 2022. P. 1. https://doi.org/10.1080/07391102.2022.2079562
- Lebedeva N.S., Gubarev Y.A., Mamardashvili G.M. et al. // Sci. Reports. 2021. V. 11. P. 1. https://doi.org/10.1038/s41598-021-99072-8
- Koifman O.I., Lebedeva N.S., Gubarev Y.A. et al. // Chem. Heterocycl. Compd. 2021. V. 57. P. 423. https://doi.org/10.1007/s10593-021-02920-8
- Koifman M.O., Malyasova A.S., Romanenko Y.V. et al. // Spectrochim. Acta. A. 2022. V. 279. P. 121403. https://doi.org/https://doi.org/10.1016/j.saa.2022.121403
- Koifman O.I., Ageeva T.A., Beletskaya I.P. et al. // Macroheterocycles. 2020. V. 13. https://doi.org/10.6060/mhc200814k
- Weber J.H., Busch D.H. // Inorg. Chem. 1965. V. 4. P. 469. https://doi.org/10.1021/ic50026a007
- Шапошников Г., Кулинич В., Майзлиш В. Модифицированные фталоцианины и их структурные аналоги. М.: Красанд, 2012.
- Майзлиш В., Мочалова Н., Снегирева Ф. и др. // Изв. вузов. Хим. и хим. технол. 1986. Т. 29. P. 3.
- Trott O., Olson A.J. // J. Comput. Chem. 2010. V. 31. P. 455. https://doi.org/10.1002/jcc.21334
- Zhang C., Zheng W., Huang X. et al. // J. Proteome Res. 2020. V. 19. P. 1351. https://doi.org/10.1021/acs.jproteome.0c00129
- Zheng W., Zhang C., Li Y. et al. // Cell Reports Methods. 2021. P. 100014. https://doi.org/10.1016/j.crmeth.2021.100014
- Neese F. // Wiley Interdiscip. Rev. Comput. Mol. Sci. 2022. V. 12. Art. e1606. https://doi.org/10.1002/wcms.1606
- Baker N.A., Sept D., Joseph S. et al. // Proc. Natl. Acad. Sci. U.S.A. 2001. V. 98. P. 10037. https://doi.org/10.1073/pnas.181342398
- Zhang Y., Chen Y., Li Y. et al. // Proc. Natl. Acad. Sci. U.S.A. 2021. V. 118. Art. e2024202118. https://doi.org/10.1073/pnas.2024202118
- Li J.-Y., Liao C.-H., Wang Q. et al. // Virus Res. 2020. V. 286. P. 198074. https://doi.org/10.1016/j.virusres.2020.198074
- Lebedeva N.S., Yurina E.S., Gubarev Y.A. et al. // J. Photochem. Photobiol. A. 2018. V. 353. P. 299. https://doi.org/10.1016/j.jphotochem.2017.11.037
- Lebedeva N.S., Popova T., Mal’kova E. et al. // Russ. J. Phys. Chem. A. 2013. V. 87. P. 2030. https://doi.org/10.1134/S0036024413120133
- Flower T.G., Buffalo C.Z., Hooy R.M. et al. // Proc. Natl. Acad. Sci. U.S.A. 2021. V. 118. Art. e2021785118. https://doi.org/10.1073/pnas.2021785118
Supplementary files







