Effect of 3 Weeks of Strict Head‑Down Tilt Bed Rest on Human Muscle Fuction and Architecture
- Authors: Koryak Y.A.1, Prochiy R.R.1, Knutova N.S.1
-
Affiliations:
- Institute of Biomedical Problems of the RAS
- Issue: Vol 49, No 6 (2023)
- Pages: 18-35
- Section: Articles
- URL: https://journals.rcsi.science/0131-1646/article/view/232773
- DOI: https://doi.org/10.31857/S013116462370039X
- EDN: https://elibrary.ru/EPNFKK
- ID: 232773
Cite item
Full Text
Abstract
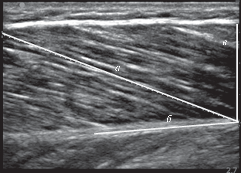
The aim of this study was to first, experimentally measure in vivo changes in the length, fiber angle and thickness of the medial gastrocnemius muscle (MG) in young men in response to changes in foot position and joint moment during isometric plantar flexion and, in secondly, to compare the changes in the above characteristics of the muscular architecture that occur during the transition from a state of rest to a given isometric intensity during plantar flexion. The internal architecture of the MG was determined after 21-day of strict head‑down tilt bed rest (HDT). MG scanning was performed using ultrasound at rest at ankle joint angles of –15° (dorsiflexion), 0° (neutral), +15° and +30° (plantar flexion). Additional ultrasounds were performed during maximal voluntary contraction (MVC) and additionally at 80, 60, 40, and 20% of the MVC with the ankle in neutral position. In each position, longitudinal ultrasound images of the MG were obtained in a relaxed (passive) state with the determination of the length (Lf) and angles of fascicles (Θf) relative to the aponeurosis. After HDT, the thickness of the MG during graduated isometric force up to 80% of the MVC in the neutral position of the ankle joint remained constant. Various Lf and Θf and their changes after HDT can be a limiting factor in the generation of muscle contractile functions. The results of the study show that the change in muscle structure during contraction compared to rest, as measured by changes in muscle architecture, can be used to assess muscle mechanical output.
About the authors
Yu. A. Koryak
Institute of Biomedical Problems of the RAS
Author for correspondence.
Email: yurikoryak@mail.ru
Russia, Moscow
R. R. Prochiy
Institute of Biomedical Problems of the RAS
Email: yurikoryak@mail.ru
Russia, Moscow
N. S. Knutova
Institute of Biomedical Problems of the RAS
Email: yurikoryak@mail.ru
Russia, Moscow
References
- Sibonga J.D., Cavanagh P.R., Lang Th.F. et al. Adaptation of the Skeletal System During Long-Duration Spaceflight // Clinic. Rev. Bone Miner. Metab. 2007. V. 5. P. 249.
- Ploutz-Snyder L., Ryder J., English K. et al. NASA evidence report: risk of impaired performance due to reduced muscle mass, strength, and endurance. 2015. National Aeronautics and Space Administration Lyndon B. Johnson Space Center Houston, Texas, HRP 47072.
- Petersen N., Lambrecht G., Scott J. et al. Postflight reconditioning for European Astronauts – A case report of recovery after six months in space // Musculoskelet. Sci. Pract. 2017. V. 27. P. S23.
- Gopalakrishnan R., Gencenc K.O., Rice A.J. et al. Muscle volume, strength, endurance, and exercise loads during 6-month missions in space // Aviat. Space Environ. Med. 2010. V. 81. № 2. P. 91.
- Koryak Yu.A. Isokinetic force and work capacity after long-duration Space Station Mir and short-term International Space Station missions // Aerosp. Med. Hum. Perform. 2020. V. 91. № 5. P. 422.
- Akima H., Foley J.M., Prior B.M. et al. Vastus lateralis fatigue alters recruitment of musculus quadriceps femoris in humans // J. Appl. Physiol. 2002. V. 92. № 2. P. 679.
- Alkner B.A., Tesch P.A. Knee extensor and plantar flexor muscle size and function following 90 days of bed rest with or without resistance exercise // Eur. J. Appl. Physiol. 2004. V. 93. № 3. P. 294.
- Loram I.D., Maganaris C.N., Lakie M. Paradoxical muscle movement in human standing // J. Physiol. 2004. V. 556. Pt. 3. P. 683.
- Stapley P., Pozzo T., Grishin A., Papaxanthis C. Investigating centre of mass stabilisation as the goal of posture and movement coordination during human whole body reaching // Biol. Cybern. 2000. V. 82. № 2. P. 161.
- Sarabon N., Stefan L., Jan C. et al. Strength training in elderly people improves static balance: a randomized controlled trial // Eur. J. Transl. Myol. Basic Appl. Myol. 2013. V. 23. № 3. P. 85.
- Friedrich J.A., Brand R.A. Muscle fiber architecture in the human lower limb // J. Bioтech. 1990. V. 23. № 1. P. 91.
- Wickiewicz T.L., Roy R.R., Powell P.L., Edgerton V.R. Muscle architecture of the human lower limb // Clin. Orthop. 1983. V. 179. P. 275.
- Huijing P.A., Woittiez R.D. Length гange, morphology and mechanical behavioure of гat gastrocnemius during isometric contraction at the level of the muscle tendon complex // Netherl. J. Zoology. 1982. V. 35. P. 505.
- Huijing P.A. Architecture of the human gastrocnemius muscle and some functional consequences // Acta Anat. 1985. V. 123. № 2. P. 101.
- LeBlanc A., Lin C., Shackelford L. et al. Muscle volume, MRI relaxation times (T2), and body composition after spaceflight // J. Appl. Physiol. 2000. V. 89. № 6. P. 2158.
- Rugg S.G., Gregor R.J., Mandelbaum B.R., Chiu L. In vivo moment arm calculation at the ankle using magnetic resonance imaging (MRI) // J. Biomech. 1990. V. 23. № 5. P. 495.
- Narici M.V., Binzoni T., Hiltbrand E. et al. In vivo human gastrocnemius architecture with changing joint angle at rest and during graded isometric contraction // J. Physiol. 1996. V. 496. Pt. 1. P. 287.
- Kawakami Y., Abe T., Fukunaga T. Training-induced changes in muscle architecture and specific tension // Eur. J. Appl. Physiol. 1995. V. 72. № 1–2. P. 37.
- Fukunaga T., Kawakami Y., Kuno S. et al. Muscle architecture and function in humans // J. Biomechanics. 1997. V. 30. № 5. P. 457.
- Reeves N.D., Maganaris C.N., Narici M.V. Ultrasonographic assessement of human skeletal muscle size // Eur. J. Appl. Physiol. 2004. V. 91. № 1. P. 116.
- Gans C. Fiber architecture and muscle function // Exerc. Sport Sci. Rev. 1982. V. 10. P. 160.
- Gans C., Gaunt A.S. Muscle architecture in relation to function // J. Biomech. 1991. V. 24. P. 53.
- Lieber R.L. Skeletal muscle structure and function Implications for rehabilitation and sports medicine. Williams and Wilkins, Baltimore. Md, 1992. 303 p.
- Kawakami Y., Abe T., Fukunaga T. Muscle-fiber pennation angles are greater in hypertrophied than in normal muscles // J. Appl. Physiol. 1993. V. 74. № 6. P. 2740.
- Gans C., Bock W.J. The functional significance of muscle architecture – a theoretical analysis // Ergeb. Anat. Entwicklungsgesch. 1965. V. 38. P. 115.
- Specimen of Elements of Myology (trans. Collins M.E., Maquet P., Kardet T.) / Kardet T. Steno on Muscles, Transactions of the Amer. Philosophical Soc., 1994. V. 84. P. 76.
- Fukunaga T., Ichinose Y., Ito M. et al. Determination of fascicle length and pennation in a contracting human muscle in vivo // J. Appl. Physiol. 1997. V. 82. № 1. P. 354.
- Alexander R.McN., Vernon A. The dimensions of knee and ankle muscles and the forces they exert // J. Human Movem. Studies. 1975. V. 1. P. 115.
- Muhl Z.F. Active length-tension relation and the effect of muscle pennation on fibre lengthening // J. Morphol. 1982. V. 173. № 3. P. 285.
- Kakurin L.I., Lobachik V.I., Mikhailov V.M., Senkevich Yu.A. Antiorthostatic hypokinesia as a method of weightlessness simulation // Aviat. Space Environ. Med. 1976. V. 47. № 10. P. 1083.
- Катковский Б.С., Георгиевский Г.В., Мачинский В.М. и др. Некоторые физиологические эффекты, вызванные 30-дневным постельным режимом в разных положениях тела // Косм. биол. авиакосм. мед. 1980. Т. 14. № 4. С. 55.
- Hargens A.R., Vico L. Long-duration bed rest as an analog to microgravity // J. Appl. Physiol. 2016. V. 120. № 8. P. 891.
- Brown L.E., Weir J.P. ASEP procedures recommendation I: Accurate assessment of muscular strength and power // J. Exerc. Physiol. Online. 2001. V. 4. P. 1.
- Häkkinen K., Keskinen K.L. Muscle cross-sectional area and voluntary force production characteristics in elite strength- and endurance-trained athletes and sprinters // Eur. J. Appl. Physiol. 1989. V. 59. № 3. P. 215.
- Коряк Ю.А. Адаптация скелетных мышц к изменению нагрузки. Экспериментальное исследование / LAP LAMBERT Acad. Publisahid GmbH & Co. KG Germany, 2011. С. 402.
- Fukunaga T., Roy R.R., Shellock F.G. et al. Physiological cross-sectional area of human leg muscles based on magnetic resonance imaging // J. Orthop. Res. 1992. V. 10. № 6. P. 928.
- Berg H.E., Tedner B., Tesch P.A. Changes in lower limb muscle cross-sectional area and tissue fluid volume after transition from standing to supine // Acta Physiol. Scand. 1993. V. 148. № 4. P. 379.
- Blaber A.P., Goswami N., Bondar R.L., Kassam M.S. Impairment of cerebral blood flow regulation in astronauts with orthostatic intolerance after flight // Stroke. 2011. V. 42. № 7. P. 1844.
- Коряк Ю.А., Кузьмина М.М. Изучение архитектуры и функций скелетных мышц человека с помощью ультразвукового сканирования // Авиакосмич. и эколог. мед. 2008. Т. 42. № 1. С. 49.
- Коряк Ю.А., Кузьмина М.М., Бережинский И.В., Коваленко В.М. Продолжительная электромиостимуляционная тренировка мышц у человека в условиях механической разгрузки двигательного аппарата и ее влияние на архитектуру и функцию трехглавой мышцы голени // Фундамен. исслед. 2010. № 3. С. 68.
- Koryak Yu.A. Architectural and functional specifics of the human triceps surae muscle in vivo and its adaptation to microgravity // J. Appl. Physiol. 2019. V. 126. № 4. P. 880.
- Koryak Yu.A. Changes in human skeletal muscle archi-tecture and function induced by extended spaceflight // J. Biomech. 2019. V. 97. P. 109408.
- Коряк Ю.А. Функциональное и клиническое значение архитектоники скелетных мышц человека // Физиология человека. 2008. Т. 34. № 4. С. 102. Koryak Yu.A. Functional and clinical significance of the architecture of human skeletal muscles // Human Physiology. 2008. V. 34. № 4. P. 482.
- Blazevich A.J., Gill N.D., Zhou S. Intra- and intermuscular variation in human quadriceps femoris architecture assessed in vivo // J. Anat. 2006. V. 209. № 3. P. 289.
- Kawakami Y., Ichinose Y., Fukunaga T. Architectural and functional features of human triceps surae muscles during contraction // J. Appl. Physiol. 1998. V. 85. № 2. P. 398.
- Lloyd R.S., Faigenbaum A.D., Stone M.H. et al. Position statement on youth resistance training: the 2014 International Consensus // Br. J. Sports Med. 2014. V. 48. № 7. P. 498.
- Magnusson S.P., Aagaard P., Dyhre-Poulsen P., Kjaer M. Load-displacement properties of the human triceps surae aponeurosis in vivo // J. Physiol. 2001. V. 531. Pt. 1. P. 277.
- Rosager S., Aagaard P., Dyhre-Poulsen P. et al. Load-displacement properties of the human triceps surae aponeurosis and tendon in runners and non-runners // Scand. J. Med. Sci. Sports. 2002. V. 12. № 2. P. 90.
- Мартьянов В.А. Степень использования скоростно-силовых возможностей нервно-мышечного аппарата при произвольных усилиях // Физиол. журн. СССР им. И.М. Сеченова. 1974. Т. 60(9). С. 1416.
- Мартьянов В.А., Копылов Ю.А., Гнутов М.И. Степень использования возможностей мышечного аппарата при максимальном произвольном усилии // Физиол. журн. СССР им. И.М. Сеченова. 1972. Т. 58(9). С. 1390.
- Мартьянов В.А., Коряк Ю.А. Повышение произвольной силы под действием дополнительно вызванных афферентных влияний // Физиол. журн. СССР им. И.М. Сеченова. 1973. Т. 59(11). С. 1756.
- Del Vecchio A., Falla D., Felici F., Farina D. The relative strength of common synaptic input to motor neurons is not a determinant of the maximal rate of force development in humans // J. Appl. Physiol. 2019. V. 127. № 1. P. 205.
- Del Vecchio A., Falla D., Felici F., Farina D. The relative strength of common synaptic input to motor neurons is not a determinant of the maximal rate of force development in humans // J. Appl. Physiol. 2019. V. 127. № 1. P. 205.
- Seynnes O.R., Maganaris C.N., de Boer M.D. et al. Early structural adaptations to unloading in the human calf muscles // Acta Physiol. 2008. V. 193. № 3. P. 265.
- Clark B.C., Manini T.M., Bolanowski S.J., Ploutz-Snyder L.L., Adaptations in human neuromuscular function following prolonged unweighting: II. Neurological properties and motor imagery efficacy // J. Appl. Physiol. 2006. V. 101. № 1. P. 264.
- Киренская А.И., Козловская И.Б., Сирота М.Г. Влияние иммерсионной гипокинезии на характеристики ритмической активности двигательных единиц камбаловидной мышцы // Косм. биол. и авиакосм. мед. 1985. Т. 19. № 6. С. 27.
- Duchateau J. Bed rest induces neural and contractile adaptations in triceps surae // Med. Sci. Sports Exerc. 1995. V. 27. № 12. P. 1581.
- Sugajima Y., Mitara L., Koeda M., Moritani T. Characteristic changes of motor unit activity in hip joint flexor muscles during voluntary isometric contraction during water immersion // J. Elecrromyogr. Kinesiol. 1995. V. 6. № 2. P. 83.
- Andersen L.L., Andersen J.L., Suetta Ch. et al. Effect of contrasting physical exercise interventions on rapid force capacity of chronically painful muscles // J. Appl. Physiol. 2009. V. 107. № 5. P. 1413.
- Hamada T., Sale D.G., MacDougall J.D., Tarnopolsky M.A. Postactivation potentiation, fiber type, and twitch contraction time in human knee extensor muscles // J. Appl. Physiol. 2000. V. 88. № 6. P. 2131.
- Desmedt J.E., Godaux E. Ballistic contractions in man: characteristic recruitment pattern of single motor units of the tibialis anterior muscle // J. Physiol. 1977. V. 264. № 3. P. 673.
- Vila-Cha C., Falla D., Correia M.V., Farina D. Changes in H reflex and V wave following short-term endurance and strength training // J. Appl. Physiol. 2012. V. 112. № 1. P. 54.
- Andersen L.L., Aagaard P. Influence of maximal muscle strength and intrinsic muscle contractile properties on contractile rate of force development // Eur. J. Appl. Physiol. 2006. V. 96. № 1. P. 46.
- De Ruiter C.J., Kooistra R.D., Paalman M.I., de Haan A. Initial phase of maximal voluntary and electrically stimulated knee extension torque development at different knee angles // J. Appl. Physiol. 2004. V. 97. № 5. P. 1693.
- Maffiuletti N.A., Aagaard P., Blazevich A.J. et al. Rate of force development: Physiological and methodological considerations // Eur. J. Appl. Physiol. 2016. V. 116. № 6. P. 1091.
- Dideriksen J.L., Del Vecchio A., Farina D. Neural and muscular determinants of maximal rate of force development // J. Neurophysiol. 2020. V. 123. № 1. P.149.
- Holtermann A., Roeleveld K., Vereijken B., Etterma G. The effect of rate of force development on maximal force production: acute and training-related aspects // Eur. J. Appl. Physiol. 2007. V. 99. № 6. P. 605.
- Buller A.J., Lewis D.M. The rate of tension development in isometric tetanic contractions of mammalian fast and slow skeletal muscle // J. Physiol. 1965. V. 176. № 3. P. 337.
- Коц Я.М., Коряк Ю.А. Длительность “активного состояния” и скорость развития тетанического изометрического напряжения мышц-антагонистов голени // Теория и практ. физич. культ. 1981. № 2. С. 16.
- De Haan A. The influence of stimulation frequency on force-velocity characteristics of in situ rat medial gastrocnemius muscle // Exp. Physiol. 1998. V. 83. № 1. P. 77.
- Deutekom M., Beltman J.G., de Ruiter C.J. et al. No acute effects of short-term creatine supplementation on muscle properties and sprint performance // Eur. J Appl. Physiol. 2000. V. 82. № 3. P. 223.
- Duchateau J., Enoka R.M. Human motor unit recordings: origins andinsight into the integrated motor system // Brain Res. 2011. V. 1409. P. 42.
- Kozlovskaya I.B., Aslanova I.F., Kirenskaya A.V. The effect of support unloading in characteristics of motor control systems activity / 5th Inter. Symp. on Motor Control // Ed. Gidikov A. N.-Y., Pergamon Press, 1986. P. 149.
- Blazevich A.J., Cannavan D., Horne S. et al. Changes in muscle force–length properties affect the early rise of force in vivo // Muscle Nerve. 2009. V. 39. № 4. P. 512.
- Bojsen-Møller J., Magnusson S.P., Rasmussen L.R. et al. Muscle performance during maximal isometric and dynamic contractions is influenced by the stiffness of the tendinous structures // J. Appl. Physiol. 2005. V. 99. № 3. P. 986.
- Blazevich A.J. Effects of physical training and detraining, immobilisation, growth and aging on human fascicle geometry // Sport. Med. 2006. V. 36. № 12. P. 1003.
- Lieber R.L., Fridén J. Functional and clinical significance of skeletal muscle architecture // Muscle Nerve. 2000. V. 23. № 11. P. 1647.
- Ichinose Y., Kawakami Y., Fukunaga T. In vivo measurement of fascicle arrangement in human vastus lateralis muscle using ultrasound / XVth Congress of the International Society of Biomechanics // Eds. Häkkinen K., Keskinen K.L., Komi P.V., Mero A. Gummerus, Jyvaskyla, 1995. P. 412.
- Maganaris C.N., Vasilios Baltzopoulos V., Sargeant A.J. In vivo measurements of the triceps surae complex architecture in man: implications for muscle function // J. Physiol. 1998. V. 512. Pt. 2. P. 603.
- Héroux M.E., Stubbs P.W., Herbert R.D. Behavior of human gastrocnemius muscle fascicles during ramped submaximal isometric contractions // Physiol. Rep. 2016. V. 4. № 17. P. e12947.
- Pandy M.G., Zajac F.E. Optimal muscular coordination strategies for jumping // J. Biomech. 1991. V. 24. № 1. P. 1.
- Kawakami Y., Akima H., Kubo K. et al. Changes in muscle size, architecture, and neural activation after 20 days of bed rest with and without resistance exercise // Eur. J. Appl. Physiol. 2001. V. 84. № 1–2. P. 7.
- Narici M., Cerretelli P. Changes in human muscle architecture in disuse-atrophy evaluated by ultrasound imaging // J. Gravit. Physiol. 1998. V. 5. № 1. P. P73.
- Gordon A.M., Huxley A.F., Jullian F.J. The variation in isometric tension with sarcomere length in vertebrate muscle fibres // J. Physiol. 1966. V. 184. № 1. P. 170.
- Narici M.V., Maganaris C.N. Plasticity of the muscle-tendon complex with disuse and aging // Exerc. Sport Sci. Rev. 2007. V. 35. № 3. P. 126.
- Kawakami Y., Abe T., Kaneshisa H., Fukunaga T. Human skeletal muscle size: variability and interdependence // Am. J. Hum. Biol. 2006. V. 18. № 6. P. 845.
- Huijing P.A. Architecture of the human gastrocnemius muscle and some functional consequences // Acta Anat. 1985. V. 123. № 2. P. 101.
- Walker S.M., Schrodt G.R. I-segment lengths and thin filament periods in skeletal muscle fibers of the Rhesus monkey and the human // Anat. Rec. 1974. V. 178. № 1. P. 63.
- Kawakami Y., Abe T., Kuno S.Y., Fukunaga T. Training-induced changes in muscle architecture and specific tension // Eur. J. Appl. Physiol. 1995. V. 72. № 1–2. P. 37.
- Blazevich A.J., Giorgi A. Effect of testosterone administration and weight training on muscle architecture // Med. Sci. Sports Exerc. 2001. V. 33. № 10. P. 1688.
- Ruple B.A., Mesquita P.H.C., Godwin J.S. et al. Changes in vastus lateralis fibre cross-sectional area, pennation angle and fascicle length do not predict changes in muscle cross-sectional area // Exp. Physiol. 2022. V. 107. № 11. P. 1216.
- de Ruiter C.J., Van Leeuwen D., Heijblom A. et al. Fast unilateral isometric knee extension torque development and bilateral jump height // Med. Sci. Sports Exerc. 2006. V. 38. № 10. P. 1843.
- de Ruiter C.J., Vermeulen G., Toussaint H.M., de Haan A. Isometric knee-extensor torque development and jump height in volleyball players // Med. Sci. Sports Exerc. 2007. V. 39. № 8. P. 1336.
- Tillin N.A., Jimenez-Reyes P., Pain M.T.G., Folland J.P. Neuromuscular performance of explosive power athletes versus untrained Individuals // Med. Sci. Sports Exerc. 2010. V. 42. № 4. P. 781.
- Koryak Yu. Influence of simulated microgravity on mechanical properties in the human triceps surae muscle in vivo. I: Effect of 120 days of bed‑rest without physical training on human muscle musculo‑tendinous stiffness and contractile properties in young women // Eur. J. Appl. Physiol. 2014. V. 114. № 5. P. 1025.
- Koryak Yu. Influence of simulated microgravity on mechanical properties in the human triceps surae muscle in vivo. II. Effect of 120-days of bed rest with physical training on human muscle contractile properties and musculo-tendinous stiffness in young women // Central Eur. J. Sport Sci. and Med. 2015. V. 11. № 3. P. 125.
- Stafilidis S., Arampatzis A. Muscle – tendon unit mechanical and morphological properties and sprint performance // J. Sports Sci. 2007. V. 25. № 9. P. 1035.
- Farkas G.A., Roussos C. Diaphragm in emphysematous hamsters: sarcomer adaptability // J. Appl. Physiol. 1983. V. 54. № 6. P. 1635.
- Clément G., Gurfinkel V.S., Lestienne F. et al. Changes of posture transient perturbations in microgravity // Aviat. Space Environ. Med. 1985. V. 56. № 7. P. 666.
- Murray M.P., Guten G.N., Baldwin J.M., Gardner G.M. A comparison of plantar flexion torque with and without the triceps surae // Acta Orthop. Scand. 1976. V. 47. № 1. P. 122.
Supplementary files









