Способ обучения крыс электрической самостимуляции в ответ на подъем головы в телеметрической установке, регистрирующей уровень внеклеточного дофамина
- Авторы: Сизов В.В.1, Лебедев А.А.1, Пюрвеев С.С.1,2, Бычков Е.Р.1,3, Мухин В.Н.1, Дробленков А.В.1, Шабанов П.Д.1
-
Учреждения:
- Федеральное государственное бюджетное научное учреждение “Институт экспериментальной медицины”
- Федеральное государственное бюджетное образовательное учреждение высшего образования “Санкт-Петербургский государственный педиатрический медицинский университет” Министерства здравоохранения Российской Федерации
- Санкт-Петербургский государственный университет
- Выпуск: Том 73, № 4 (2023)
- Страницы: 563-576
- Раздел: МЕТОДИКА
- URL: https://journals.rcsi.science/0044-4677/article/view/136111
- DOI: https://doi.org/10.31857/S0044467723040093
- EDN: https://elibrary.ru/WHOHOT
- ID: 136111
Цитировать
Полный текст
Аннотация
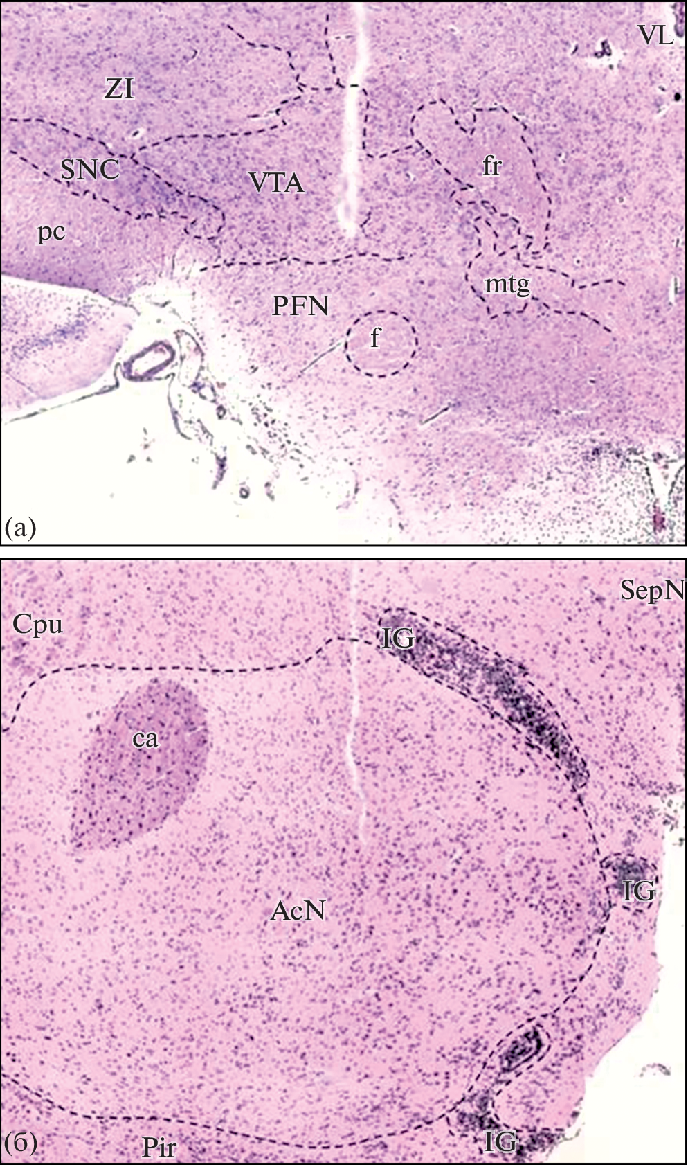
В настоящей работе предложен способ обучения крыс электрической самостимуляции в ответ на подъем головы в телеметрической установке, регистрирующей уровень внеклеточного дофамина. Первоначально в опытах Дж. Олдса было показано, что в ответ на электрическую стимуляцию зон положительного подкрепления у крыс наблюдается естественное исследовательское поведение, направленное на поиск источника награды. Сделано предположение, что естественный поведенческий акт, в частности подъем головы, может ускорить выработку и стабилизацию реакции самостимуляции. Изменение положения головы может служить внутренним проприоцептивным условным сигналом. Эксперименты проводили в кольцевой камере, где с помощью телеметрической установки стимулировали вентральную область покрышки (ВОП) при подъеме головы крысы на 38°. Реакция самостимуляции на подъем головы вырабатывалась и стабилизировалась в течение первого дня обучения. При педальной самостимуляции отчетливые повторяющиеся реакции наблюдались только на 3-й день обучения после проведения процедур “наталкивания” на педаль в 1-й день обучения и “отталкивания” от педали на 2-й день обучения, стабилизация реакции наблюдалась только к 4-му дню обучения. После стабилизации реакции самостимуляции у крыс регистрировали уровень внеклеточного дофамина в прилежащем ядре методом быстросканирующей циклической вольтамперометрии в ответ на навязанную стимуляцию ВОП до и после каждой из трех серий самостимуляции длительностью по 10 мин. После каждой серии самостимуляции уровень внеклеточного дофамина снижался, что отражает истощение внутриклеточного пула нейромедиатора в процессе длительной самостимуляции ВОП. Сделан вывод о перспективности использования способа обучения крыс электрической самостимуляции в ответ на подъем головы для исследования механизмов подкрепления.
Об авторах
В. В. Сизов
Федеральное государственное бюджетное научное учреждение“Институт экспериментальной медицины”
Email: aalebedev-iem@rambler.ru
Россия, Санкт-Петербург
А. А. Лебедев
Федеральное государственное бюджетное научное учреждение“Институт экспериментальной медицины”
Автор, ответственный за переписку.
Email: aalebedev-iem@rambler.ru
Россия, Санкт-Петербург
С. С. Пюрвеев
Федеральное государственное бюджетное научное учреждение“Институт экспериментальной медицины”; Федеральное государственное бюджетное образовательное учреждение высшего образования
“Санкт-Петербургский государственный педиатрический медицинский университет”
Министерства здравоохранения Российской Федерации
Email: aalebedev-iem@rambler.ru
Россия, Санкт-Петербург; Россия, Санкт-Петербург
Е. Р. Бычков
Федеральное государственное бюджетное научное учреждение“Институт экспериментальной медицины”; Санкт-Петербургский государственный университет
Email: aalebedev-iem@rambler.ru
Россия, Санкт-Петербург; Россия, Санкт-Петербург
В. Н. Мухин
Федеральное государственное бюджетное научное учреждение“Институт экспериментальной медицины”
Email: aalebedev-iem@rambler.ru
Россия, Санкт-Петербург
А. В. Дробленков
Федеральное государственное бюджетное научное учреждение“Институт экспериментальной медицины”
Email: aalebedev-iem@rambler.ru
Россия, Санкт-Петербург
П. Д. Шабанов
Федеральное государственное бюджетное научное учреждение“Институт экспериментальной медицины”
Email: aalebedev-iem@rambler.ru
Россия, Санкт-Петербург
Список литературы
- Бычков Е.Р., Лебедев А.А., Ефимов Н.С., Крюков А.С., Карпова И.В., Пюрвеев С.С., Дробленков А.В., Шабанов П.Д. Особенности вовлечения дофаминергической и серотонинергической систем мозга в положительные и отрицательные эмоциональные состояния у крыс. Обзоры по клинической фармакологии и лекарственной терапии. 2020. 18 (2): 123–130.
- Дробленков А.В., Федоров А.В., Шабанов П.Д. Структурные особенности дофаминергических ядер вентральной покрышки среднего мозга. Наркология. 2018. 17 (3): 41–45.
- Лебедев А.А., Русановский В.В., Лебедев В.А., Шабанов П.Д. Нейрофизиология. Москва–Берлин: ООО “Директ-Медиа”. 2022. 270 с.
- Майоров В.И. Функции дофамина в инструментальном условном рефлексе. Журн. высшей нервной деятельности им. И.П. Павлова. 2018. 68м (4): 404–414.
- Мухин В.Н., Боровец И.Р., Сизов В.В., Павлов К.И., Клименко В.М. B-амилоид и литий влияют на величину фазических выбросов дофамина в оболочке прилежащего ядра. Журн. высшей нервной деятельности им. И.П. Павлова. 2020. 70 (4): 488–499.
- Павлов И.П. Полное собрание сочинений. АН СССР. – Изд. 2-е, доп. М.: Изд-во АН СССР, 1951–1954. Т. 3, кн. 1: [Двадцатилетний опыт объктивного изучения высшей нервной деятельности (поведения)].
- Пюрвеев С.С., Сизов В.В., Лебедев А.А., Бычков Е.Р., Мухин В.Н., Дробленков А.В., Шабанов П.Д. Регистрация изменений уровня внеклеточного дофамина в прилежащем ядре методом быстросканирующей циклической вольтамперометрии при стимуляции зоны вентральной области покрышки, раздражение которой вызывает и реакцию самостимуляции. Российский физиологический журн. им. И.М. Сеченова. 2022. 108 (10): 1316–1328.
- Симонов П.В. Эмоциональный мозг. М.: Наука, 1980.
- Шабанов П.Д., Лебедев А.А., Мещеров Ш.К. Дофамин и подкрепляющие системы мозга. СПб.: Лань, 2002.
- Cheer J.F. Wassum K.M. Heien M.L. Phillips P.E. Wightman R.M. Cannabinoids enhance subsecond dopamine release in the nucleus accumbens of awake rats. J. Neurosci. 2004. 24 (18): 4393–4400.
- Fakhoury M., Rompré P.P. Intracranial self-stimulation and the curve-shift paradigm: a putative model to study the brain reward system. in The Brain Reward System, ed. Fakhoury M. (New York, NY: Humana;) 2021. 165: 3–20.
- Fouriezos G., Randall D. The cost of delaying rewarding brain stimulation. Behav. Brain Res. 1997. 87 (1): 111–113.
- Ide S., Takahashi T., Takamatsu Y., Uhl G.R., Niki H., Sora I., Ikeda K. Distinct Roles of Opioid and Dopamine Systems in Lateral Hypothalamic Intracranial Self-Stimulation. Int. J. Neuropsychopharmacol. 2017. 20 (5): 403–409.
- Lebedev A.A., BessolovaYu.N., Efimov N.S., Bychkov E.R., Droblenkov A.V., Shabanov P.D. Role of orexin peptide system in emotional overeating induced by brain reward stimulation in fed rats. Research Results in Pharmacology. 2020. 6 (1): 81–91.
- Liebman J.M. Discriminating between reward and performance: a critical review of intracranial self-stimulation methodology. Neurosci. Biobehav. Rev. 1983. 7 (1): 45–72.
- Mena S., Visentin M., Witt C.E., Honan L.E., Robins N., Hashemi P. Novel, User-Friendly Experimental and Analysis Strategies for Fast Voltammetry: Next Generation FSCAV with Artificial Neural Networks. ACS Meas Sci. Au. 2022. 2 (3): 241–250.
- Negus S.S., Miller L.L. Intracranial self-stimulation to evaluate abuse potential of drugs. Pharmacol. Rev. 2014. 66 (3): 869–917.
- Pallikaras V., Shizgal P. Dopamine and beyond: implications of psychophysical studies of intracranial self-stimulation for the treatment of depression. Brain Sci. 2022. 12 (8): 1052.
- Panagis G., Vlachou S., Higuera-Matas A., Simon M. Editorial: neurobehavioral mechanisms of reward: theoretical and technical perspectives and their implications for psychopathology. Front. Behav. Neurosci. 2022. 5; 16: 967922.
- Paxinos G., Watson C. The rat brain in stereotaxic coordinates. San Diego: Elsevier Academic Press. 2005. 207 c.
- Petrov E.S., Lebedev A.A. Dopamine and the reinforcing system of the brain. Neurosci. Behav. Physiol. 1997. 27 (3): 309–311.
- Rodeberg N.T., Johnson J.A., Bucher E.S., Wightman R.M. Dopamine dynamics during continuous intracranial self-stimulation: effect of waveform on fast-scan cyclic voltammetry data. ACS Chem. Neurosci. 2016. 7 (11): 1508–1518.
- Rothman R.B., Baumann M.H. Monoamine transporters and psychostimulant drugs. Eur. J. Pharmacol. 2003. 479 (1–3): 23–40.
- Solomon R.B., Conover K., Shizgal P. Valuation of opportunity costs by rats working for rewarding electrical brain stimulation. PLoS One. 2017. 12 (8): e0182120.
- Trujillo-Pisanty I., Conover K., Solis P., Palacios D., Shizgal P. Dopamine neurons do not constitute an obligatory stage in the final common path for the evaluation and pursuit of brain stimulation reward. PLoS One. 2020. 15 (6): e0226722.
- Velazquez-Martinez D.N., Pacheco-Gomez B.L., Toscano-Zapien A.L., Lopez-Guzman M.A., Velazquez-Lopez D. On the Similarity Between the Reinforcing and the Discriminative Properties of Intracranial Self-Stimulation. Front. Behav. Neurosci. 2022. 16: 799015.
- Yavich L., Tiihonen J. Patterns of dopamine overflow in mouse nucleus accumbens during intracranial self-stimulation. Neurosci. Lett. 2000. 293 (1): 41–44.
Дополнительные файлы







