Оценка устойчивости методики электрофореза в полиакриламидном геле с натрия додецилсульфатом при определении молекулярной массы белков на модели интерферона альфа-2b
- Authors: Иванютина Н.Л.1, Довбыш С.И.1, Ножко В.В.1, Эльберт Е.В.1, Волкова Р.А.1
-
Affiliations:
- Федеральное государственное бюджетное учреждение «Научный центр экспертизы средств медицинского применения» Министерства здравоохранения Российской Федерации
- Issue: Vol 97, No 4 (2024)
- Pages: 277-286
- Section: Applied Chemistry - Pharmacy
- URL: https://journals.rcsi.science/0044-4618/article/view/268509
- DOI: https://doi.org/10.31857/S0044461824040029
- EDN: https://elibrary.ru/FXFGVX
- ID: 268509
Cite item
Full Text
Abstract
Введение. Для оценки качества биологических лекарственных средств (БЛС) применяют различные условия электрофореза в полиакриламидном геле с натрия додецилсульфатом (ПААГ с ДСН), что обусловливает актуальность изучения устойчивости результатов оценки количественных показателей, например оценки молекулярной массы целевого белка, в зависимости от условий проведения испытаний.
Цель. Исследовать устойчивость результатов определения молекулярной массы белка методом электрофореза в ПААГ с ДСН при оценке подлинности, в том числе по изменению правильности, прецизионности и диапазона линейности, в соответствии с требованиями Государственной фармакопеи Российской Федерации.
Материалы и методы. Электрофорез в восстанавливающих условиях проводили в условиях повторяемости два оператора в трис-глициновых гелях (три варианта концентрации) и в коммерческом бис-трис геле с использованием пяти наборов маркеров молекулярной массы и интерферона альфа-2b (ФСО.3.2.00455). Учет результатов осуществляли в программе ImageLab системы ChemiDoc. Для оценки устойчивости рассчитывали прецизионность и правильность результатов определения молекулярной массы.
Результаты. При оценке устойчивости результатов определения молекулярной массы интерферона альфа-2b методом электрофореза в ПААГ с ДСН выявлена вариабельность результатов в зависимости от состава используемого геля и набора маркеров молекулярной массы белка: относительное стандартное отклонение — RSD (прецизионность) результатов находилось в диапазоне от 0.6–0.9 до 8.5–8.6%, смещение относительно номинального значения молекулярной массы (правильность) — в диапазоне от 0.1–0.2 до 4.7–5.4 кДа.
Выводы. Выявленная при оценке устойчивости вариабельность результатов определения молекулярной массы интерферона альфа-2b свидетельствует о необходимости подтверждения правильности и прецизионности методики при внесении изменений в условия проведения электрофореза в отношении концентрации геля и набора маркеров молекулярной массы белков. Использование метода электрофореза в ПААГ с ДСН для оценки подлинности белка только по значению молекулярной массы без оценки соответствия стандартному образцу, аттестованному в установленном порядке, неинформативно.
Full Text
Введение
Метод электрофореза в полиакриламидном геле с додецилсульфатом натрия (ЭФ в ПААГ с ДСН) известен более 50 лет [1]. Метод включен в Государственную фармакопею Российской Федерации (ГФ РФ),1 а также в другие Фармакопеи (EP,2 USP3 и др.) и широко используется при оценке подлинности и чистоты биологических лекарственных средств (БЛС) и прежде всего биотехнологических лекарственных средств (БТЛС). ЭФ в ПААГ с ДСН можно считать платформенным методом, а в случае внесения изменений в конкретную методику производители лекарственных средств могут считать необязательным проведение валидационных исследований методики и рассмотрение изменений регуляторным органом.
В соответствующих монографиях Фармакопей допускаются варианты исполнения методики на различных этапах [2–4], в том числе возможность использования коммерческих гелей и наборов белков-маркеров молекулярных масс. Для коммерческих гелей производители указывают разделяющие свойства гелей и рекомендации по их использованию, отражающие разнообразие условий проведения электрофореза. Производители постоянно усовершенствуют свою продукцию, что находит отражение в соответствующих рекомендациях.4
Анализ результатов ранее проведенных исследований [5] и литературных данных [4, 6, 7] показывает, что подвижность белков-маркеров с одинаковой молекулярной массой в разных наборах может различаться в зависимости от используемого геля. Метод ЭФ в ПААГ с ДСН является одним из общепринятых методов контроля качества БТЛС по таким показателям, как подлинность и чистота.5 При оценке подлинности ряда препаратов, зарегистрированных более 25 лет назад, оценивают молекулярную массу целевого белка без сравнения со стандартным образцом. При определении молекулярной массы белка с помощью ЭФ в ПААГ с ДСН принято считать, что вариабельность находится в пределах 10% [5, 6]. Адекватность такой оценки без сравнения со стандартным образцом, охарактеризованным, например, масс-спектрометрически и (или) методом пептидного картирования, вызывает сомнение. Международными и отечественными нормативными правовыми актами в области обращения лекарственных средств6 предусмотрено обязательное использование аттестованных в установленном порядке стандартных образцов для контроля качества БЛС. Их применение обеспечивает стандартизацию методики и получение сопоставимых результатов в различных лабораториях [8–10].
Таким образом, для оценки качества БЛС наблюдается применение различных вариантов ЭФ в ПААГ с ДСН, в отдельных случаях не обоснованных экспериментальными данными, представленными в досье на препарат. Разнообразие условий проведения электрофореза обусловливает актуальность изучения влияния условий проведения испытаний на результаты контроля количественных показателей, в том числе оценки молекулярной массы целевого белка.
Цель работы — исследовать устойчивость результатов определения молекулярной массы белка методом электрофореза в ПААГ с ДСН при оценке подлинности, в том числе по изменению правильности, прецизионности и диапазона линейности, в соответствии с требованиями Государственной фармакопеи Российской Федерации.
Исследования проводили с использованием интерферона альфа-2b (ИФН альфа-2b) как наиболее изученного белка, для которого разработан фармакопейный стандартный образец (ФСО).
Экспериментальная часть
Оборудование. Системы для вертикального электрофореза PROTEAN II xi cell Bio-Rad (кат. № 1651801), Mini-PROTEAN TetraCell Bio-Rad (кат. № 1658001) и XCellSureLock Invitrogen (кат. № EI0001), система гель-документирования ChemiDocXRC Plus Bio-Rad (кат. № 10000076955), источник питания PowerPacUniversal, Bio-Rad (кат. № 1645070).
Материалы. Интерферон альфа-2b человеческий рекомбинантный (ФСО активности человеческого рекомбинантного безметионинового ИФН альфа-2b ФСО.3.2.00455, Interferon alfa-2b CRS EP кат. № I0320301).
Наборы маркеров молекулярной массы компании Bio-Rad – Precission Plus Protein Unstained Standards (кат. № 1610363, Bio-Rad) и Precission Plus Protein Dual Color Standards (кат. № 1610374, Bio-Rad), Unstained SDS-PAGE Standards Low Range (кат. № 1610304, Bio-Rad); компании Thermo Fischer Scientific — Pierce Unstained Protein MW Marker (кат. № 26610, Thermo Fischer Scientific), BenchMark Protein Ladder (кат. № 10747012, Thermo Fischer Scientific) и Spectra Multicolor Low Range Protein Ladder (кат. № 26628, Thermo Fischer Scientific), Mark12™ Unstained Standard (кат. № LC5677, Invitrogen™, Thermo Fischer Scientific); компании Cytiva — Amersham LMW Calibration kit for SDS Electrophores (кат. № 170444601, Cytiva).
Для приготовления гелей толщиной 1 мм использовали раствор 30% акриламида и бисакриламида 29:1 (кат. № 1610157, Bio-Rad), буферный раствор для приготовления разделяющего геля Resolving Gel Buffer for PAGE (кат. № 1610798, Bio-Rad), буферный раствор для концентрирующего геля Stacking Gel Buffer for PAGE (кат. № 1610799, Bio-Rad), персульфат аммония (кат. № A3678, Sigma-Aldrich), натрия лаурил сульфат для электрофореза в ПААГ с ДСН (кат. № 772000, CDH), Темед (кат. № 1610800, Bio-Rad). В качестве электродного буферного раствора для трис-глициновых гелей использовали 10X Tris/Glycine/SDS Buffer (кат. № 1610772, Bio-Rad), для бис-трис гелей использовали NuPAGE™ MES SDS Running Buffer 20X (кат. № NP0002, Invitrogen).
Готовые гели: градиентные 4–12% бис-трис гели (кат. № NP0321BOX, Invitrogen).
Буферные растворы для обработки проб: 4-кратный Laemmli Sample Buffer (кат. № 64505163, Bio-Rad) для некоммерческих гелей; NuPAGE LDS Sample Buffer 4x (кат. № NP0007, Invitrogen) для коммерческого геля, 2-меркаптоэтанол (кат. № 1610710, Bio-Rad).
Методы. Электрофорез в гелях концентрацией 12, 14% и с градиентом концентраций 4–20% проводили в соответствии с ОФС.1.2.1.0023.15. В гелях с градиентом концентрации 4–12% проводили электрофорез в соответствии с инструкцией производителя оборудования.7 Испытания проводили в восстанавливающих условиях в присутствии 2-меркаптоэтанола.
На один гель наносили испытуемый образец ИФН альфа-2b (1 мкг на лунку) и белки пяти наборов маркеров.
Окрашивание проводили в соответствии с ОФС.1.2.1.0023.15 с использованием Кумасси R-250 (кат. № B0149-25G, Sigma-Aldrich).
Сканирование гелей, определение относительной подвижности белков Rf, построение калибровочных графиков и определение молекулярной массы проводили при помощи системы ChemiDoc с программным обеспечением ImageLab 6.0.0.
Испытания проводили два оператора. Каждый оператор в условиях повторяемости провел не менее трех испытаний с четырьмя вариантами концентрации геля и с пятью наборами маркеров молекулярной массы, за исключением испытаний с набором маркеров Precission Plus Protein Unstained Standards, которые проведены только одним оператором, в 14% геле результаты испытания с данным набором маркеров не учитывали. Результаты для каждого геля учитывали при условии выполнения критерия пригодности системы — разделение маркера на 80% геля. Молекулярную массу рассчитывали, используя линейный диапазон зависимости логарифма молекулярной массы белков-маркеров от Rf.
При построении калибровочных графиков каждый оператор дополнительно оценивал среднее арифметическое, стандартное отклонение и коэффициент вариации для коэффициентов а и b уравнений линейной регрессии.
Статистическую обработку результатов проводили с использованием программы Microsoft Office Excel: рассчитывали среднеарифметическое значение (Хср), стандартное отклонение (S), относительное стандартное отклонение (RSD). С помощью пакета программ STATISTICA 10 оценивали статистическую значимость различий результатов определения молекулярной массы, полученной двумя операторами при помощи непараметрического критерия Манна–Уитни (U). Оценку статистической значимости различий результатов молекулярной массы, полученных с использованием разных концентраций гелей и маркеров молекулярной массы, проводили при помощи непараметрического критерия Краскелла–Уоллиса (H).
Обсуждение результатов
В период с 2021 по 2023 г. в ИЦ МИБП поступили на контроль методом ЭФ в ПААГ более 70 препаратов, полученных методом рекомбинантной ДНК (интерфероны, цитокины, ферменты, гормоны и др.), аллергены и геннотерапевтические препараты. Условия электрофореза для испытаний различных препаратов различаются, однако, как правило, выбор конкретных концентраций геля или набора белков-маркеров молекулярных масс и других реагентов не обосновывается и не подтверждается материалами по валидации методики.
Производители лекарственных средств при описании методик в нормативной документации часто допускают использование аналогичных наборов маркеров молекулярных масс, а также реактивов и материалов. Кроме того, в нормативной документации допускаются значительные вариации условий электрофореза, не обоснованные материалами по валидации методики в отношении нагрузки белка на лунку, выбранного набора маркеров молекулярной массы, состава геля и его концентрации, условий проведения электрофореза, способа и процедуры окрашивания, способа оценки результатов.
Для большинства БТЛС, в том числе для ИФН альфа-2b, являющегося одним из наиболее изученных рекомбинантных белков, при подтверждении подлинности методом ЭФ в ПААГ с ДСН проводится сравнение со стандартным образцом. Более того, данный стандартный образец, разведенный до концентрации, соответствующей 1 и 0.2% примеси, используется и при оценке чистоты методом ЭФ в ПААГ с ДСН. Однако для некоторых препаратов вместо сравнения со стандартным образцом предусматривается расчет молекулярной массы. В связи с этим было проведено определение молекулярной массы ИФН в различных условиях электрофореза, наиболее часто встречающихся при контроле качества БТЛС. К таким условиям можно отнести различные гели:
- неградиентные трис-глициновые гели концентрацией 12 и 14%;
- трис-глициновые гели с градиентом концентрации 4–20%;
- бис-трис гели с градиентом концентрации 4–12%,
а также типы наборов белков-маркеров молекулярной массы, состоящие:
- из рекомбинантных белков — кат. № 1610363 (Bio-Rad), кат. № 10747012 (Thermo Fischer Scientific);
- из предварительно окрашенных рекомбинантных белков — кат. № 1610374 (Bio-Rad), кат. № 26628 (Thermo Fischer Scientific);
- из белков натурального происхождения — кат. № 26610 (Thermo Fischer Scientific), кат. № 1610304 (Bio-Rad), кат. № 170444601 (Cytiva).
Проведение электрофореза. В соответствии с методикой ГФ РФ, описывающей вариант ручной заливки трис-глицинового геля какой-либо одной конкретной концентрации в диапазоне от 4 до 15%, проводили электрофорез в 12 и 14% гелях, а также в гелях с градиентом концентрации 4–20%. Поскольку допускается не только приготовление гелей, но и использование коммерческих гелей, в том числе градиентных, были выбраны коммерческие бис-трис гели с градиентом концентрации 4–12% и использованием MES в качестве электродного буферного раствора как наиболее подходящие для разделения белков в необходимом диапазоне — около 20 кДа.
В качестве испытуемого образца использовали ФСО ИФН альфа-2b (ФСО.3.2.00455), при аттестации которого было подтверждено соответствие ФСО стандартному образцу ИФН альфа-2b Европейской Фармакопеи (СRS) по подвижности и интенсивности методом ЭФ в ПААГ в восстанавливающих условиях [11].
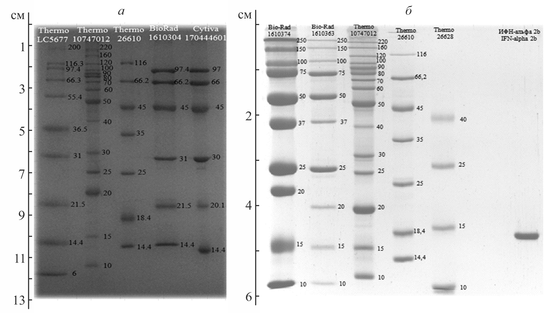
Типичные электрофореграммы в восстанавливающих условиях разных наборов белков-маркеров молекулярной массы в одном геле представлены на рис. 1, а, б. На рис. 1, а представлены ранее полученные результаты на геле размером 16 × 20 см. Все наборы маркеров молекулярной массы, кроме Thermo Fischer Scientific (кат. № 10747012), состоят из белков натурального происхождения. Наибольшие различия подвижности наблюдаются между белками-маркерами натурального происхождения и рекомбинантными белками-маркерами:
- положение полосы 20 кДа в наборе маркеров Thermo Fischer Scientific (кат. № 10747012) оказалось выше, чем положение полосы 21.5 кДа наборов Thermo Fischer Scientific (кат. № LC5677), Bio-Rad (кат. № 1610304), Cytiva (кат. № 170444601);
- положение полосы 70 кДа Thermo Fischer Scientific (кат. № 10747012) оказалось ниже, чем положение полосы 66 кДа наборов Thermo Fischer Scientific (кат. № LC5677), Bio-Rad (кат. № 1610304), Cytiva (кат. № 170444601).
Рис. 1. Типичная электрофореграмма белков различных наборов маркеров молекулярной массы и интерферона альфа-2b в 12% трис-глициновом полиакриламидном геле (на изображении разделяющий гель): а — в геле размером 16 × 20 см; б — в геле размером 8.3 × 7.3 см.
На рис. 1, б представлены результаты исследования на геле размером 8.3 × 7.3 см. Все наборы маркеров молекулярной массы, кроме Thermo Fischer Scientific (кат. № 26610), состоят из рекомбинантных белков-маркеров, которые на данный момент используются чаще. Хорошо видны различия подвижности даже у наборов белков-маркеров одного производителя: положение полосы 20 кДа у наборов Bio-Rad (кат. № 1610374 и кат. № 1610363) различается. Это может быть связано с тем, что набор Bio-Rad (кат. № 1610374) состоит из предварительно окрашенных маркеров в отличие от набора Bio-Rad (кат. № 1610363) [4]. В целом подвижность белков различается практически во всем диапазоне молекулярных масс.
Оценка диапазона линейности. Результаты оценки диапазона линейности калибровочного графика для определения молекулярной массы белка с использованием пяти наборов маркеров Bio-Rad (кат. № 1610363 и кат. № 1610374), Thermo Fisher Scientific (кат. № 10747012, кат. № 26628 и кат. № 26610) приведены в табл. 1. Для 14% геля результаты с использованием набора реагентов Bio-Rad (кат. № 1610363) не были получены.
Таблица 1
Оценка диапазона линейности зависимости логарифма молекулярной массы от Rf в неградиентных трис-глициновых гелях различной концентрации и в градиентных гелях
Производитель набора маркеров (каталожный номер)/заявленный диапазон молекулярной массы, кДа | Неградиентные гели | |||
12% | 14% | |||
выявленный диапазон линейности, кДа | уравнение линейной зависимости y = bX + a | выявленный диапазон линейности, кДа | уравнение линейной зависимости y = bX + a | |
Bio-Rad (1610363)/10–250 | 10–75 | y = –1.19x + 2.1 | — | — |
Bio-Rad (1610374)/10–250 | 10–75 | y = –1.15x + 2.06 | 10–75 | y = –1.19x + 1.93 |
Thermo Fischer Scientific (10747012)/10–220 | 10–70 | y = –1.15x + 2.04 | 10–70 | y = –1.35х + 2.04 |
Thermo Fischer Scientific (26610)/14.4–116 | 14–66 | y = –0.99x + 2.02 | 14–66 | y = –1.11х + 1.90 |
Thermo Fischer Scientific (26628)/1.7–40 | 10–40 | y = –1.03x + 1.96 | 10–40 | y = –1.07х + 1.84 |
Градиентные гели | ||||
трис-глициновый 4–20% | бис-трис 4–12% | |||
выявленный диапазон линейности, кДа | уравнение линейной зависимости y = bX + a | выявленный диапазон линейности, кДа | уравнение линейной зависимости y = bX + a | |
Bio-Rad (1610363)/10–250 | 10–250 | y = –2.04 + 2.42 | 10–250 | y = –1.77x + 2.49 |
Bio-Rad (1610374)/10–250 | 10–250 | y = –1.35х + 2.04 | 10–250 | y = –1.82x + 2.5 |
Thermo Fischer Scientific (10747012)/10–220 | 10–220 | y = –2.03х + 2.56 | 10–220 | y = –1.74x + 2.45 |
Thermo Fischer Scientific (26610)/14.4–116 | 14.4–116 | y = –1.81х + 2.49 | 14.4–116 | y = –1.54x + 2.30 |
Thermo Fischer Scientific (26628)/1.7–40 | 1.7–40 | y = –2.04х + 2.56 | 1.7–40 | y = –1.75x + 2.51 |
Примечание. y = bX + a — уравнение линейной зависимости.
Линейность в декларируемом диапазоне маркеров молекулярной массы (табл. 1) наблюдалась только в градиентных гелях. В трис-глициновых гелях (концентрация 12 и 14%) диапазон линейности не соответствовал заявленному: для наборов маркеров Bio-Rad (кат. № 1610363 и кат. № 1610374) составил 10–75 кДа, для Thermo Fischer Scientific (кат. № 10747012) — 10–70 кДа, для Thermo Fischer Scientific (кат. № 26610) — 14–66 кДа, для Thermo Fischer Scientific (кат. № 26628) — 10–40 кДа.
При оценке параметров уравнения линейной регрессии, графика зависимости логарифма молекулярной массы белка от его Rf (относительной подвижности), полученных с помощью программного обеспечения ImageLab, установлено, что значения углового коэффициента (коэффициента регрессии) и свободного члена достаточно близки для одного типа геля. Наблюдается различие угловых коэффициентов для градиентных гелей (коэффициент b ≈ 2) и гелей определенной концентрации (коэффициент b ≈ 1) (табл. 1).
Результаты определения молекулярной массы интерферона альфа-2b в различных условиях. Результаты определения молекулярной массы ИФН альфа-2b двумя операторами с использованием трис-глициновых гелей как ручной заливки, так и готовых градиентных гелей, а также рассчитанное стандартное отклонение и RSD приведены в табл. 2.
Таблица 2
Результаты определения молекулярной массы интерферона альфа-2b двумя операторами на разных гелях с разными наборами белков-маркеров молекулярной массы
Статистические характеристики результатов определения молекулярной массы ИФН | Bio-Rad (кат. № 1610363) | |||||||
трис-глициновый гель | бис-трис гель | |||||||
12% | 14% | 4–20% | 4–12% | |||||
1 оператор | 2 оператор | 1 оператор | 2 оператор | 1 оператор | 2 оператор | 1 оператор | 2 оператор | |
Хср, кДа | 15.0 | н/о | — | н/о | 16.3 | н/о | 17.2 | н/о |
S, кДа | 0.3 | — | — | — | 1.2 | — | 0.4 | — |
RSD, % | 1.9 | — | — | — | 7.1 | — | 2.3 | — |
Bio-Rad (кат. № 1610374) | ||||||||
трис-глициновый гель | бис-трис гель | |||||||
12% | 14% | 4–20% | 4–12% | |||||
1 | 2 | 1 | 2 | 1 | 2 | 1 | 2 | |
Хср, кДа | 14.8 | 13.9 | 15.6 | 16.2 | 16.5 | 15.3 | 16.8 | 16.0 |
S, кДа | 0.4 | 0.2 | 1 | 0.4 | 1.4 | 1.1 | 0.5 | 0.4 |
RSD, % | 2.4 | 1.1 | 6.7 | 2.5 | 8.5 | 6.9 | 3.0 | 2.7 |
Thermo Fischer Scientific (кат. № 10747012) | ||||||||
трис-глициновый гель | бис-трис гель | |||||||
12% | 14% | 4–20% | 4–12% | |||||
1 | 2 | 1 | 2 | 1 | 2 | 1 | 2 | |
Хср, кДа | 14.9 | 14.3 | 15.5 | 15.6 | 16.1 | 16.8 | 17.1 | 16.1 |
S, кДа | 0.4 | 0.2 | — | 0.4 | 0.9 | 1.4 | 0.3 | 0.3 |
RSD, % | 2.4 | 1.5 | — | 2.4 | 5.7 | 8.6 | 1.5 | 1.9 |
Thermo Fischer Scientific (кат. № 26610) | ||||||||
трис-глициновый гель | бис-трис гель | |||||||
12% | 14% | 4–20% | 4–12% | |||||
1 | 2 | 1 | 2 | 1 | 2 | 1 | 2 | |
Хср, кДа | 16.9 | 15.9 | 16.6 | 17.2 | 18.4 | 17.8 | 18.0 | 17.4 |
S, кДа | 0.2 | 0.6 | 0.8 | 0.9 | 0.6 | 1.3 | 0.1 | 0.2 |
RSD, % | 1.3 | 3.9 | 4.9 | 5.3 | 3.2 | 7.6 | 0.6 | 0.9 |
Thermo Fischer Scientific (кат. № 26628) | ||||||||
трис-глициновый гель | бис-трис гель | |||||||
12% | 14% | 4–20% | 4–12% | |||||
1 | 2 | 1 | 2 | 1 | 2 | 1 | 2 | |
Хср, кДа | 14.6 | 14.0 | 15.9 | 15.1 | 16.4 | 16.6 | 19.2 | 17.5 |
S, кДа | 0.1 | 0.2 | 0.7 | 0.2 | 1.1 | 1.4 | 0.3 | 0.2 |
RSD, % | 1.0 | 1.7 | 4.4 | 1.4 | 6.6 | 8.6 | 1.4 | 1.0 |
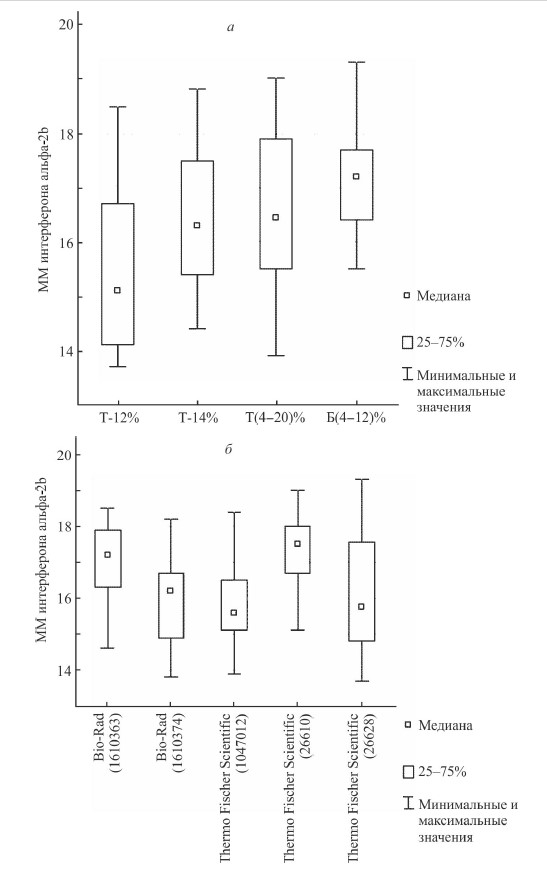
Различий между результатами, полученными двумя операторами, не выявлено (U = 1462.5, p ˃ 0.05), что позволяет объединить результаты при расчете среднего для молекулярной массы ИФН альфа-2b (рис. 2, 3).
Рис. 2. Определение молекулярной массы интерферона альфа-2b (среднее значение и стандартное отклонение) с использованием разных гелей и разных наборов белков-маркеров молекулярной массы.
Рис. 3. Молекулярная масса интерферона альфа-2b (диаграмма «ящик с усами»), рассчитанная: а — в различных типах гелей, б — по калибровочному графику на основе различных наборов маркеров молекулярной массы.
Обозначение типов гелей: Т-12% — 12% трис-глициновые гели, Т-14% — 14% трис-глициновые гели, Т(4–20)% — трис-глициновые гели с градиентом концентрации 4–20%, Б(4–12)% — бис-трис гели с градиентом концентрации 4–12%.
Результаты, полученные в градиентном 4–12% бис-трис геле для всех наборов маркеров молекулярной массы, удовлетворяют критериям пригодности системы и в отношении разделения на 80% геля, и в отношении линейности во всем диапазоне выбранных маркеров. Вариабельность (RSD) значений молекулярной массы ИФН альфа-2b в градиентном геле ручной заливки доходит до 8.6%, что значительно превышает вариабельность в других гелях (RSD не более 5.3%) и подтверждает отмеченную другими авторами сложность получения воспроизводимых результатов при ручной заливке градиентных гелей [12].
Максимальное значение стандартного отклонения (S) при определении молекулярной массы составило 1.4 кДа, что не превышает 10%. Однако полученные отдельные значения молекулярной массы отличаются от номинального значения молекулярной массы ИФН (19.3 кДа) более чем на 10% и достигают 5.4 кДа, т. е. с точки зрения правильности конкретные условия проведения электрофореза не могут быть пригодны для оценки подлинности по результатам определения молекулярной массы. В целом при расчете молекулярной массы ИФН альфа-2b получены значения от 13.9 до 19.2 кДа (табл. 2, рис. 2). Результаты определения молекулярной массы ИФН (рис. 2) при использовании градиентных гелей достаточно близки и отличаются меньшей вариабельностью в коммерческих гелях.
Для оценки различий результатов, полученных в различных гелях и при помощи разных наборов маркеров молекулярной массы, был использован непараметрический критерий Краскелла–Уоллеса (H), позволяющий оценить несколько выборок.
При определении молекулярной массы ИФН в разных гелях выявлены различия между гелями (H = 15.33, p ≤ 0.05). Наибольшие различия выявлены в 12% трис-глициновом геле (рис. 3, а) и между разными наборами маркеров молекулярной массы (H = 29.0, p ≤ 0.05). Наибольшие различия получены при использовании наборов маркеров Thermo Fischer Scientific (кат. № 26610) и Bio-Rad (кат. № 1610363) (рис. 3, б).
Таким образом, проведенные исследования позволили экспериментально оценить вариабельность результатов определения молекулярной массы методом ЭФ в ПААГ с ДСН при использовании различных наборов маркеров и типов гелей с использованием в качестве модели наиболее изученного белка — ИФН альфа-2b: максимальное стандартное отклонение рассчитанного значения молекулярной массы ИФН альфа-2b составило 8.6%; RSD результатов двух операторов в условиях повторяемости находилось в диапазоне от 0.6–0.9 до 8.5–8.6%. Наименьшее отклонение молекулярной массы ИФН альфа-2b от номинального значения получено на коммерческом градиентном 4–12% бис-трис геле. На различных гелях и при использовании разных наборов маркеров молекулярной массы отклонение или смещение относительно номинального значения молекулярной массы ИФН альфа-2b (показатель правильности) может достигать ˃5 кДа; для двух операторов оно находилось в диапазоне от 0.1–0.2 до 4.7–5.4 кДа. Выявленная вариабельность результатов зависит от состава геля и набора маркеров молекулярной массы белка и свидетельствует о необходимости подтверждения правильности и прецизионности методики при внесении изменений в условия проведения электрофореза.
Выводы
- Выявленная при оценке устойчивости вариабельность результатов определения молекулярной массы интерферона альфа-2b свидетельствует о необходимости подтверждения правильности и прецизионности методики при внесении изменений в условия проведения электрофореза в отношении концентрации геля и набора маркеров молекулярной массы белков.
- Использование метода электрофореза в ПААГ с ДСН для оценки подлинности белка только по значению молекулярной массы без оценки соответствия стандартному образцу, аттестованному в установленном порядке, неинформативно.
Финансирование работы
Работа выполнена в рамках государственного задания ФГБУ «НЦЭСМП» Минздрава России № 056-00026-24-01 на проведение прикладных научных исследований (номер государственного учета НИР 124022200103-5).
Конфликт интересов
Авторы заявляют об отсутствии конфликта интересов, требующего раскрытия в данной статье.
Информация о вкладе авторов
Все авторы подтверждают соответствие своего авторства критериям ICMJE. Наибольший вклад распределен следующим образом: Н. Л. Иванютина — выполнение экспериментальных работ, обработка полученных данных, обсуждение результатов исследования, написание текста рукописи; С. И. Довбыш — выполнение экспериментальных работ, обработка полученных данных, обсуждение результатов исследования, написание текста рукописи; В. В. Ножко — обсуждение результатов; Е. В. Эльберт — обсуждение результатов исследования; Р. А. Волкова — формирование задач исследования, планирование эксперимента, обсуждение результатов исследования, написание и редактирование текста рукописи.
1 ОФС.1.2.1.0023.15. Электрофорез в полиакриламидном геле. Государственная фармакопея Российской Федерации. XIV изд. М.; 2018.
2 EP 2.2.31. Electrophoresis (04\2016:20231).
3 https://www.usp.org/harmonization-standards/pdg/biotechnology/biotechnology-derived-articles-polyacrylamide-gel-electrophoresis
4 https://www.bio-rad.com/webroot/web/pdf/lsr/literature/Bulletin_2414.pdf
https://www.bio-rad.com/webroot/web/pdf/lsr/literature/Bulletin_2998.pdf
https://static.fishersci.eu/content/dam/fishersci/en_EU/suppliers/Thermo%20Scientific/Thermo-fisher-scientific-life-science/protein-gel-electrophoresis.pdf
https://www.thermofisher.com/ru/ru/home/life-science/protein-biology/protein-gel-electrophoresis/protein-electrophoresis-buffers-reagents.html
5 ОФС.1.7.1.0007.15. Лекарственные средства, получаемые методами рекомбинантных ДНК. Государственная фармакопея Российской Федерации. XIV изд. М.; 2018.
6 Решение Совета ЕЭК от 14.06.2018 № 55 «О внесении изменений в Решение Совета Евразийской экономической комиссии от 3 ноября 2016 г. № 78».
Решение Совета Евразийской экономической комиссии от 03.11.2016 № 89 «Об утверждении Правил проведения исследований биологических лекарственных средств Евразийского экономического союза».
ОФС 2.3.11.0. Стандартные образцы. Фармакопея Евразийского экономического союза. Т. 1. Ч. 2. М.; 2023.
ОФС.1.1.0007. Стандартные образцы. Государственная фармакопея Российской Федерации. XV изд. М.; 2023.
7 https://assets.thermofisher.com/TFS-Assets%2FLSG%2Fmanuals%2Fsurelock_man.pdf
About the authors
Наталья Леонидовна Иванютина
Федеральное государственное бюджетное учреждение «Научный центр экспертизы средств медицинского применения» Министерства здравоохранения Российской Федерации
Author for correspondence.
Email: ivanutina@expmed.ru
ORCID iD: 0000-0002-4064-2484
Russian Federation, 127051, г. Москва, Петровский б-р, д. 8, стр. 2
Степан Игоревич Довбыш
Федеральное государственное бюджетное учреждение «Научный центр экспертизы средств медицинского применения» Министерства здравоохранения Российской Федерации
Email: ivanutina@expmed.ru
ORCID iD: 0000-0002-5506-4496
Russian Federation, 127051, г. Москва, Петровский б-р, д. 8, стр. 2
Виталина Витальевна Ножко
Федеральное государственное бюджетное учреждение «Научный центр экспертизы средств медицинского применения» Министерства здравоохранения Российской Федерации
Email: ivanutina@expmed.ru
ORCID iD: 0000-0002-2617-1479
Russian Federation, 127051, г. Москва, Петровский б-р, д. 8, стр. 2
Елизавета Викторовна Эльберт
Федеральное государственное бюджетное учреждение «Научный центр экспертизы средств медицинского применения» Министерства здравоохранения Российской Федерации
Email: ivanutina@expmed.ru
ORCID iD: 0000-0003-2737-948X
канд. биол. наук
Russian Federation, 127051, г. Москва, Петровский б-р, д. 8, стр. 2Рауза Асхатовна Волкова
Федеральное государственное бюджетное учреждение «Научный центр экспертизы средств медицинского применения» Министерства здравоохранения Российской Федерации
Email: ivanutina@expmed.ru
ORCID iD: 0000-0001-8698-2890
д-р биол. наук
Russian Federation, 127051, г. Москва, Петровский б-р, д. 8, стр. 2References
- Laemmli U. K. Cleavage of structural proteins during the assembly of the head of bacteriophage T4 // Nature. 1970. V. 227 (5259). P. 680–685.
- Thomas R., Kurien B. Ultrarapid sodium dodecyl sulfate polyacrylamide mini-gel electrophoresis // Methods Mol. Biol. 2019. V. 1855. P. 491–494. https://doi.org/10.1007/978-1-4939-8793-1_42
- Krause R., Goldring D. Crystal violet stains proteins in SDS-PAGE gels and zymograms // Anal. Biochem. 2019. V. 566. P. 107–115. https://doi.org/10.1016/j.ab.2018.11.015
- Chubatsu L., Gerhardt E., Souza E. A simple preparation of prestained molecular markers for electrophoresis using inexpensive and readily available proteins // Anal. Biochem. 2023. V. 676. ID 115231. https://doi.org/10.1016/j.ab.2023.115231
- Томилин В. А., Иванютина Л. Н., Эльберт Е. В., Волкова Р. А. Оптимизация способов математической обработки калибровочных кривых при оценке молекулярной массы биологических лекарственных средств методом электрофореза в полиакриламидном геле с SDS // БИОпрепараты. Профилактика, диагностика, лечение. 2017. Т. 17. № 3. С. 165–172. https://www.elibrary.ru/zgufnp
- Matsumoto H., Haniu H., Komori N. Determination of protein molecular weights on SDS-PAGE // Methods Mol. Biol. 2019. V. 1855. P. 101–105. https://doi.org/10.1007/978-1-4939-8793-1_10
- Silva Neris R. L., Kaur A., Gomes A. V. Incorrect molecular weights due to inaccurate prestained protein molecular weight markers that are used for gel electrophoresis and western blotting // BioRxiv. 2020. N 4. ID 03.023465. https://doi.org/10.1101/2020.04.03.023465
- Волкова Р. А., Фадейкина О. В., Устинникова О. Б., Саркисян К. А., Мовсесянц А. А., Меркулов В. А., Косенко В. В. Требования к материалам раздела по стандартным образцам, представляемым в досье на биологические лекарственные средства // БИОпрепараты. Профилактика, диагностика, лечение. 2024. Т. 24. № 1. С. 7–20. https://doi.org/10.30895/2221-996X-2024-24-1-7-20].
- Меркулов В. А., Саканян Е. И., Волкова Р. А., Климов В. И., Шемерянкина Т. Б., Яшкир В. А. Фармакопейные стандартные образцы и практика их применения в отечественной системе стандартизации лекарственных средств // Хим.-фарм. журн. 2016. Т. 50. № 4. С. 40–43. https://doi.org/10.30906/0023-1134-2016-50-4-40-43 [Merkulov V. A., Sakanyan E. I., Volkova R. A., Klimov V. I., Shemeryankina T. B., Yashkir V. A. Pharmacopeia standard samples and their practical application in the national drug standardization system // Pharm. Chem. J. 2016. V. 50. N 4. P. 258–161. https://doi.org/10.1007/s11094-016-1433-y].
- Гегечкори В. И., Шатилина А. А., Шульга Н. А., Петухова Я. Д., Смирнов В. В., Раменская Г. В. Биологические стандартные образцы: актуальные вопросы разработки и порядка аттестации //Эталоны. Стандартные образцы. 2023. Т. 19. № 3. С. 21–29.
- Гайдерова Л. А., Лебедева Ю. Н., Лобанова Т. Н., Липатова Э. К., Волкова Р. А., Фадейкина О. В. Аттестация фармакопейного стандартного образца для оценки специфической активности рекомбинантного интерферона α-2b // БИОпрепараты. Профилактика, диагностика, лечение. 2024. Т. 24. № 1. С. 21–31. https://doi.org/10.30895/2221-996X-2024-24-1-21-31
- Haider S. R., Reid H. J., Sharp B. L. Tricine-SDS-PAGE // Electrophoretic separation of proteins / Eds B. Kurien, R. Scofield. New York: Humana Press; 2019. P. 151–160. https://doi.org/10.1007/978-1-4939-8793-1_15
Supplementary files





