Динамика изменений маркеров апоптоза, циркадных ритмов и антиокислительных процессов на модели височной эпилепсии у крыс
- Авторы: Нужнова А.А.1, Лисенкова Д.А.1, Биджиев А.З.2, Ивлев А.П.3, Черниговская Е.В.3, Бажанова Е.Д.3,4
-
Учреждения:
- Санкт-Петербургский политехнический университет им. Петра Великого
- Научно-исследовательский институт эпидемологии и микробиологии им. Пастера
- Институт эволюционной физиологии и биохимии им. И. М. Сеченова Российской академии наук
- Научно-клинический центр токсикологии имени академика С.Н. Голикова Федерального медико-биологического агентства
- Выпуск: Том 60, № 6 (2024)
- Страницы: 637–648
- Раздел: ЭКСПЕРИМЕНТАЛЬНЫЕ СТАТЬИ
- URL: https://journals.rcsi.science/0044-4529/article/view/276218
- DOI: https://doi.org/10.31857/S0044452924070067
- EDN: https://elibrary.ru/KKCAHT
- ID: 276218
Цитировать
Аннотация
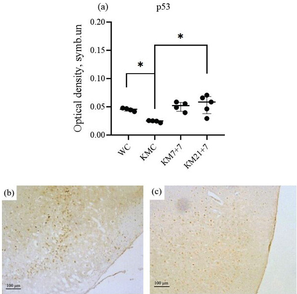
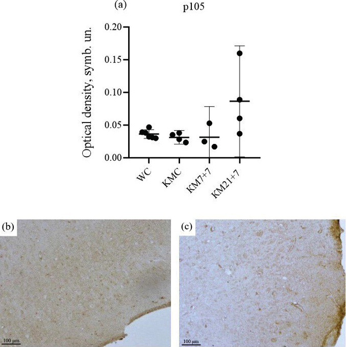
Височная эпилепсия – распространенное неврологическое заболевание, которое во многих случаях сопровождается фармакорезистентностью. Современный подход к лечению пациентов с лекарственной устойчивостью включает в себя хирургическое вмешательство, которое не гарантирует полноценное выздоровление. В настоящее время разрабатываются новые противоэпилептические препараты, воздействующие на сигнальные каскады, присущие эпилептогенезу. Для разработки таких препаратов необходимо знание основных механизмов патогенеза эпилепсии. Цель работы – исследовать динамику изменения белков, участвующих в регуляции апоптоза, циркадных ритмов и антиоксидантного ответа в височной коре мозга при длительном киндлинге на модели крыс линии Крушинского-Молодкиной (КМ) с наследственной аудиогенной эпилепсией. Динамику изменения белков интереса – p53, CLOCK, Nrf2, p105 – исследовали в височной коре головного мозга (иммуногистохимическое исследование, Вестерн блоттинг). Выявлено, что у контрольных крыс КМ уровень p53 ниже, чем у крыс Вистар. У крыс КМ, подвергшихся киндлингу в течение 21 дня, содержание p53 увеличивается в сравнении с КМ-контролем. Уровень CLOCK оказался понижен в группе КМ контроль по сравнению с отрицательным контролем и повышен у группы КМ после киндлинга 21 день относительно КМ после киндлинга 7 дней. Изменений продукции Nrf2 и p105 обнаружено не было. Полученные данные позволяют предположить, что изменение уровня исследуемых белков у контрольных крыс КМ в сравнении с крысами Вистар генетически обусловлены. Индуцированный эпилептогенез (киндлинг) в течение 21 дня приводит к активации p53-зависимого апоптозного пути и возможному десинхронозу – изменению циркадных ритмов. Полученные данные вносят вклад в изучение механизмов височной эпилепсии и требуют дальнейших исследований, связанных с митохондриальным апоптозом и сдвигом цикла сна-бодрствования в патогенезе височной эпилепсии.
Ключевые слова
Полный текст
Об авторах
А. А. Нужнова
Санкт-Петербургский политехнический университет им. Петра Великого
Email: bazhanovae@mail.ru
Россия, Санкт-Петербург
Д. А. Лисенкова
Санкт-Петербургский политехнический университет им. Петра Великого
Email: bazhanovae@mail.ru
Россия, Санкт-Петербург
А. З. Биджиев
Научно-исследовательский институт эпидемологии и микробиологии им. Пастера
Email: bazhanovae@mail.ru
Россия, Санкт-Петербург
А. П. Ивлев
Институт эволюционной физиологии и биохимии им. И. М. Сеченова Российской академии наук
Email: bazhanovae@mail.ru
Россия, Санкт-Петербург
Е. В. Черниговская
Институт эволюционной физиологии и биохимии им. И. М. Сеченова Российской академии наук
Email: bazhanovae@mail.ru
Россия, Санкт-Петербург
Е. Д. Бажанова
Институт эволюционной физиологии и биохимии им. И. М. Сеченова Российской академии наук; Научно-клинический центр токсикологии имени академика С.Н. Голикова Федерального медико-биологического агентства
Автор, ответственный за переписку.
Email: bazhanovae@mail.ru
Россия, Санкт-Петербург; Санкт-Петербург
Список литературы
- Sakashita K, Akiyama Y, Hirano T, Sasagawa A, Arihara M, Kuribara T, Ochi S, Enatsu R, Mikami T, Mikuni N (2023) Deep learning for the diagnosis of mesial temporal lobe epilepsy. PLoS One 18(2): e0282082. https://doi.org/10.1371/journal.pone.0282082
- Tran VD, Nguyen BT, Van Dong H, Nguyen TA, Nguyen PX, Van Vu H, Chu HT (2023) Microsurgery for drug resistance epilepsy due to temporal lobe lesions in a resource limited condition: a cross-sectional study. Annals of Medicine & Surgery 85(8):3852–3857. https://doi.org/10.1097/ms9.0000000000001021
- Ahmad S, Khanna R, Sani S (2020) Surgical Treatments of Epilepsy. Semin Neurol 40(6):696–707. https://doi.org/10.1055/s-0040-1719072
- Куликов АА, Наслузова ЕВ, Дорофеева НА, Глазова МВ, Лаврова ЕА, Черниговская ЕВ (2021) Пифитрин-альфа тормозит дифференцировку вновь образованных клеток субгранулярной зоны зубчатой извилины у крыс линии Крушинского–Молодкиной при аудиогенном киндлинге. Росс физиол журн им И М Сеченова 107:332–351. [Kulikov AA, Nasluzova EV, Dorofeeva NA, Glazova MV, Lavrova EA, Chernigovskaya EV (2021) Pifitrin-alpha inhibits the differentiation of newly formed cells of the subgranular zone of the dentate gyrus in the Krushinsky–Molodkina rat strain during audiogenic kindling. Ross Physiol J I M Sechenov 107:332–351. (In Russ)]. https://doi.org/10.31857/S0869813921030079
- Cho KO, Lybrand ZR, Ito N, Brulet R, Tafacory F, Zhang L, Good L, Ure K, Kernie SG, Birnbaum SG, Scharfman HE, Eisch AJ, Hsieh J (2015) Aberrant hippocampal neurogenesis contributes to epilepsy and associated cognitive decline. Nat Commun 6: 6606. https://doi.org/10.1038/ncomms7606
- Litovchenko AV, Zabrodskaya YuM, Sitovskaya DA, Khuzhakhmetova LK, Nezdorovina VG, Bazhanova ED (2021) Markers of Neuroinflammation and Apoptosis in the Temporal Lobe of Patients with Drug-Resistant Epilepsy. J Evol Biochem Physiol 57: 1040–1049. https://doi.org/10.1134/s0022093021050069
- Vezzani A, Balosso S, Ravizza T (2019) Neuroinflammatory pathways as treatment targets and biomarkers in epilepsy. Nat Rev Neurol 15 (8):459–472. https/doi.org/10.1038/s41582-019-0217-x.
- Feng J, Feng L, Zhang G (2018) Mitochondrial damage in hippocampal neurons of rats with epileptic protein expression of fas and caspase-3. Exp Ther Med 16(3): 2483–2489. https://doi.org/10.3892/etm.2018.6439
- Rana A, Musto AE (2018) The role of inflammation in the development of epilepsy. J Neuroinflammation 15
- Sokolova TV, Zabrodskaya YM, Paramonova NM, Dobrogorskaya LN, Kuralbaev AK, Kasumov VR, Sitovskaya DА (2018) Apoptosis of Brain Cells in Epileptic Focus at Phapmacresistant Temporal Lobe Epilepsy. Translational Medicine 4:22–33. https://doi.org/10.18705/2311-4495-2017-4-6-22-33
- Sokolova T V., Zabrodskaya YM, Litovchenko A V., Paramonova NM, Kasumov VR, Kravtsova S.V., Skiteva EN, Sitovskaya DA, Bazhanova ED (2022) Relationship between Neuroglial Apoptosis and Neuroinflammation in the Epileptic Focus of the Brain and in the Blood of Patients with Drug-Resistant Epilepsy. Int J Mol Sci 23:12561. https://doi.org/10.3390/ijms232012561
- Dingledine R, Varvel NH, Dudek FE (2014) When and How Do Seizures Kill Neurons, and Is Cell Death Relevant to Epileptogenesis? Adv Exp Med Biol. 813: 109–122. https/doi.org/10.1007/978-94-017-8914-1_9 13
- Mao XY, Zhou HH, Jin WL (2019) Redox-related neuronal death and crosstalk as drug targets: Focus on epilepsy. Front Neurosci 13:512. https/doi.org/10.3389/fnins.2019.00512
- Redza-Dutordoir M, Averill-Bates DA (2016) Activation of apoptosis signalling pathways by reactive oxygen species. Biochim Biophys Acta Mol Cell Res 1863 (12):2977–2992. https/doi.org/10.1016/j.bbamcr.2016.09.012
- Smyk MK, van Luijtelaar G (2020) Circadian Rhythms and Epilepsy: A Suitable Case for Absence Epilepsy. Front Neurol Apr 28:11:245. https/doi.org/10.3389/fneur.2020.00245
- Xu C, Yu J, Ruan Y, Wang Y, Chen Z (2020) Decoding Circadian Rhythm and Epileptic Activities: Clues From Animal Studies. Front Neurol 11:751. https/doi.org/10.3389/fneur.2020.00751
- Bazhanova ED (2022) Desynchronosis: Types, Main Mechanisms, Role in the Pathogenesis of Epilepsy and Other Diseases: A Literature Review. Life 12(8):1218. https/doi.org/10.3390/life12081218
- Cox KH, Takahashi JS (2019) Circadian clock genes and the transcriptional architecture of the clock mechanism. J Mol Endocrinol 63(4): R93-R102. https://doi.org/10.1530/JME-19-0153
- Jin B, Aung T, Geng Y, Wang S (2020) Epilepsy and Its Interaction With Sleep and Circadian Rhythm. Front Neurol 11:327. https/doi.org/10.3389/fneur.2020.00327
- Matos H de C, Koike BDV, Pereira W dos S, de Andrade TG, Castro OW, Duzzioni M, Kodali M, Leite JP, Shetty AK, Gitaí DLG (2018) Rhythms of core clock genes and spontaneous locomotor activity in post-status Epilepticus model of mesial temporal lobe epilepsy. Front Neurol 9: 632. https://doi.org/10.3389/fneur.2018.00632
- Wu H, Liu Y, Liu L, Meng Q, Du C, Li K, Dong S, Zhang Y, Li H, Zhang H (2021) Decreased expression of the clock gene Bmal1 is involved in the pathogenesis of temporal lobe epilepsy. Mol Brain 14(1): 113. https://doi.org/10.1186/s13041-021-00824-4
- Li P, Fu X, Smith NA, Ziobro J, Curiel J, Tenga MJ, Martin B, Freedman S, Cea-Del Rio CA, Oboti L, Tsuchida TN, Oluigbo C, Yaun A, Magge SN, O’Neill B, Kao A, Zelleke TG, Depositario-Cabacar DT, Ghimbovschi S, Knoblach S, Ho CY, Corbin JG, Goodkin HP, Vicini S, Huntsman MM, Gaillard WD, Valdez G, Liu JS (2017) Loss of CLOCK Results in Dysfunction of Brain Circuits Underlying Focal Epilepsy. Neuron 96: (2): 387–401. https://doi.org/10.1016/j.neuron.2017.09.044
- Gotoh T, Vila-Caballer M, Santos CS, Liu J, Yang J, Finkielstein CV (2014) The circadian factor Period 2 modulates p53 stability and transcriptional activity in unstressed cells. Mol Biol Cell 25(19): 3081–3093. https://doi.org/10.1091/mbc.E14-05-0993
- Burla R, Torre ML, Zanetti G, Bastianelli A, Merigliano C, Del Giudice S, Vercelli A, Di Cunto F, Boido M, Vernì F, Saggoi I (2018) p53-Sensitive Epileptic Behavior and Inflammation in Ft1 Hypomorphic Mice. Front Genet. 9:581. https/doi.org/10.3389/fgene.2018.00581
- Gönenç A, Kara H (2023). Netrin-1 ve Reseptörlerinin Çeşitli Kanserlerdeki Rolü. Hacettepe Univ J Facult Pharm 43(4): 352–363. https://doi.org/10.52794/hujpharm.1327025
- Chen W, Jiang T, Wang H, Tao S, Lau A, Fang D, Zhang DD (2012) Does Nrf2 contribute to p53-mediated control of cell survival and death? Antioxid Redox Signal 17(12):1670–1675. https/doi.org/10.1089/ars.2012.4674
- Sandouka S, Saadi A, Singh PK, Olowe R, Shekh-Ahmad T (2023) Nrf2 is predominantly expressed in hippocampal neurons in a rat model of temporal lobe epilepsy. Cell Biosci 13: 3. https://doi.org/10.1186/s13578-022-00951-y
- Sandouka S, Shekh-Ahmad T (2021) Induction of the nrf2 pathway by sulforaphane is neuroprotective in a rat temporal lobe epilepsy model. Antioxidants 10(11): 1702. https://doi.org/10.3390/antiox10111702
- Ding DX, Tian FF, Guo JL, Li K, He JX, Song MY, Li L, Huang X (2014) Dynamic expression patterns of ATF3 and p53 in the hippocampus of a pentylenetetrazole-induced kindling model. Mol Med Rep 10(2): 645–651. https://doi.org/10.3892/mmr.2014.2256
- Kulikov AA, Naumova AA, Aleksandrova EP, Glazova MV, Chernigovskaya (2021) Audiogenic kindling stimulates aberrant neurogenesis, synaptopodin expression, and mossy fiber sprouting in the hippocampus of rats genetically prone to audiogenic seizures. Epilepsy & Behavior 10: https://doi.org/10.1016/j.yebeh.2021.108445
- Paxinos G, Watson C (1998). The rat brain in stereotaxic coordinates. Academic Press, 240.
- Re CJ, Batterman AI, Gerstner JR, Buono RJ, Ferraro TN (2020) The Molecular Genetic Interaction Between Circadian Rhythms and Susceptibility to Seizures and Epilepsy. Front Neurol 11.
- Borowicz-Reutt KK, Czuczwar SJ (2020) Role of oxidative stress in epileptogenesis and potential implications for therapy. Pharmacological Reports 72(5):1218–1226. https/doi.org/10.1007/s43440-020-00143-w
- Sandouka S, Saadi A, Olowe R, Singh PK, Shekh-Ahmad T (2023) Nrf2 is expressed more extensively in neurons than in astrocytes following an acute epileptic seizure in rats. J Neurochem 165(4): 550–562. https://doi.org/10.1111/jnc.15786
- Mazzuferi M, Kumar G, Van Eyll J, Danis B, Foerch P, Kaminski RM (2013) Nrf2 defense pathway: Experimental evidence for its protective role in epilepsy. Ann Neurol 74(4): 560–568. https://doi.org/10.1002/ana.23940
- Bazhanova ED, Kozlov AA, Litovchenko AV (2021) Mechanisms of Drug Resistance in the Pathogenesis of Epilepsy: Role of Neuroinflammation. A Literature Review. Brain Sci 11:663. https://doi.org/10.3390/brainsci11050663
- Sun Z, Andersson R (2002) NF-κB activation and inhibition: A review. Shock 18(2):99–106. https/doi.org/10.1097/00024382-200208000-00001
Дополнительные файлы










