Особенности эритропоэза гибернирующих сусликов Urocitellus Undulatus
- Авторы: Лизоркина К.И.1, Аксенова Г.Е.1, Афанасьев В.Н.1, Теплова П.О.1, Захарова Н.М.1
-
Учреждения:
- Институт биофизики клетки РАН – обособленное подразделение Федерального государственного бюджетного учреждения науки Федеральный исследовательский центр “Пущинский научный центр биологических исследований РАН”
- Выпуск: Том 60, № 6 (2024)
- Страницы: 599–607
- Раздел: ЭКСПЕРИМЕНТАЛЬНЫЕ СТАТЬИ
- URL: https://journals.rcsi.science/0044-4529/article/view/276213
- DOI: https://doi.org/10.31857/S0044452924070026
- EDN: https://elibrary.ru/KKEALF
- ID: 276213
Цитировать
Аннотация
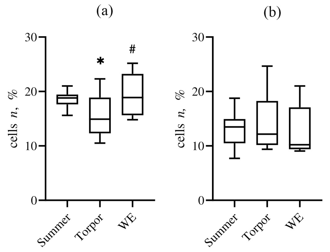
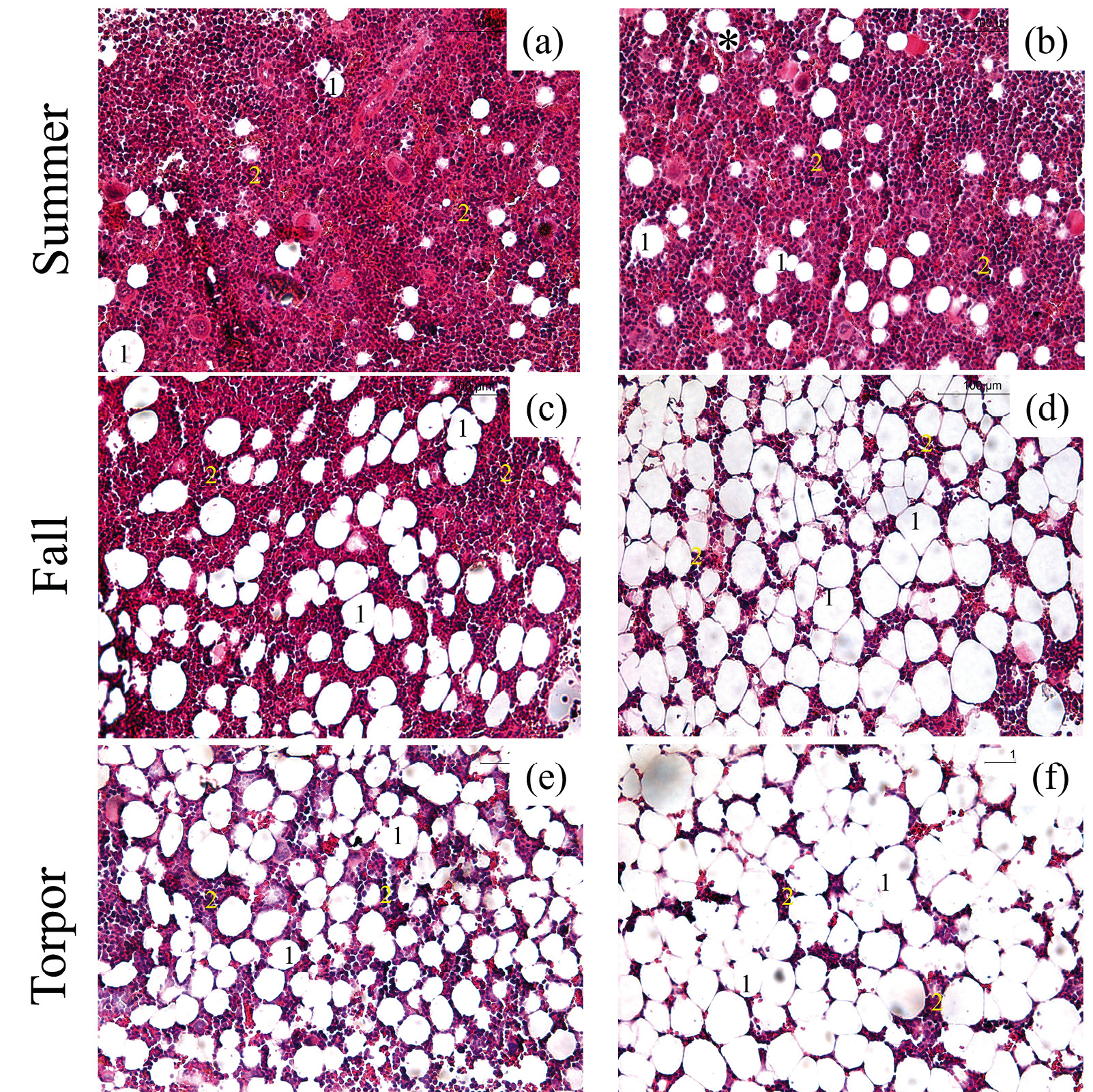
Проведены исследования морфофункциональных особенностей костного мозга бедренной и плечевой костей у длиннохвостых сусликов летом, осенью, во время торпора и в периоды кратковременных пробуждений зимой (зимняя эутермия). Гистологический анализ показал увеличение количества и размера адипоцитов в костном мозге у животных в состоянии торпора, с частичным замещением миелоидной ткани на жировую. Не смотря на больший объем костного мозга в бедренной кости, в нем обнаружено значительно меньше ядерных клеток, чем в плечевой кости, но существенно больше эритроидных островков, особенно во время спячки. У торпидных сусликов происходит замещение дисковидных эритроцитов в крови на атипичные формы эритроцитов (овальные, макроциты, мишеневидные), количество которых значительно уменьшается в зимний эутермный период. Уровень содержания ретикулоцитов возрастает в период спячки двукратно по сравнению с летом. Полученные результаты обсуждаются в контексте поддержания высокого уровня кислорода в крови во время торпора и адаптации эритропоэза к условиям длительной гипотермии.
Ключевые слова
Полный текст
Об авторах
К. И. Лизоркина
Институт биофизики клетки РАН – обособленное подразделение Федерального государственного бюджетного учреждения науки Федеральный исследовательский центр “Пущинский научный центр биологических исследований РАН”
Автор, ответственный за переписку.
Email: lizorkina_kseniia@mail.ru
Россия, Пущино, Московская область
Г. Е. Аксенова
Институт биофизики клетки РАН – обособленное подразделение Федерального государственного бюджетного учреждения науки Федеральный исследовательский центр “Пущинский научный центр биологических исследований РАН”
Email: lizorkina_kseniia@mail.ru
Россия, Пущино, Московская область
В. Н. Афанасьев
Институт биофизики клетки РАН – обособленное подразделение Федерального государственного бюджетного учреждения науки Федеральный исследовательский центр “Пущинский научный центр биологических исследований РАН”
Email: lizorkina_kseniia@mail.ru
Россия, Пущино, Московская область
П. О. Теплова
Институт биофизики клетки РАН – обособленное подразделение Федерального государственного бюджетного учреждения науки Федеральный исследовательский центр “Пущинский научный центр биологических исследований РАН”
Email: lizorkina_kseniia@mail.ru
Россия, Пущино, Московская область
Н. М. Захарова
Институт биофизики клетки РАН – обособленное подразделение Федерального государственного бюджетного учреждения науки Федеральный исследовательский центр “Пущинский научный центр биологических исследований РАН”
Email: lizorkina_kseniia@mail.ru
Россия, Пущино, Московская область
Список литературы
- Giroud S, Yamaguchi Y, Terrien J, Henning RH (2024) Editorial: Torpor and hibernation: metabolic and physiological paradigms. Front Physiol 15:1441872. https://doi.org/10.3389/fphys.2024.1441872
- Kuznetsova EV, Feoktistova NY, Naidenko SV, Surov AV, Tikhonova NB, Kozlovskii JE (2016) Seasonal changes in blood cells and biochemical parameters in the Mongolian hamster (Allocricetulus curtatus). Biol Bull Russ Acad Sci 43(4):344–349. https://doi.org/10.1134/S1062359016040087
- Teplova PO, Komelina NP, Yegorov AY, Lizorkina KI, Zakharova NM (2024) Adaptive Blood Cell Variability in the Annual Life Cycle of the Ground Squirrel Urocitellus undulatus. J Evol Biochem Phys 60(2):443–452. https://doi.org/10.1134/S0022093024020017
- Tøien Ø, Drew KL, Chao ML, Rice ME (2001) Ascorbate dynamics and oxygen consumption during arousal from hibernation in Arctic ground squirrels. Am J Physiol Regul Integr Comp Physiol 281(2):R572-83.https://doi.org/10.1152/ajpregu.2001.281.2.R572
- Gehrke S, Rice S, Stefanoni D, Wilkerson RB, Nemkov T, Reisz JA, Hansen KC, Lucas A, Cabrales P, Drew K, D'Alessandro A (2019) Red Blood Cell Metabolic Responses to Torpor and Arousal in the Hibernator Arctic Ground Squirrel. J Proteome Res 18(4):1827–1841. https://doi.org/10.1021/acs.jproteome.9b00018.
- Katiukhin LN, Chalabov SI, Bekshokov KS, Pokhmelnova MS, Klichkhanov NK, Nikitina ER (2023) Seasonal changes in blood rheology in little ground squirrels. J Exp Zool A Ecol Integr Physiol 339(5):474–486. https://doi.org/10.1002/jez.2693.
- Klichkhanov NK, Nikitina ER, Shihamirova ZM, Astaeva MD, Chalabov SI, Krivchenko AI (2021) Erythrocytes of Little Ground Squirrels Undergo Reversible Oxidative Stress During Arousal From Hibernation. Front Physiol 12:730657. https://doi.org/10.3389/fphys.2021.730657.
- Lomako VV, Shilo AV, Kovalenko IF, Babiĭchuk GA (2015) Erythrocytes of hetero- and homoiothermal animals in natural and artificial hypothermia. Zh Evol Biokhim Fiziol 51(1):52–59
- Repina SV, Repin NV (2008) Peculiarities of RBCs resistance to acid hemolysis in hibernating mammals. Bioelectrochemistry 73(2):106–109. https://doi.org/10.1016/j.bioelechem.2008.04.009.
- Dzierzak E, Philipsen S (2013) Erythropoiesis: development and differentiation. Cold Spring Harb Perspect Med 3(4):a011601. https://doi.org/10.1101/cshperspect.a011601.
- Pretini V, Koenen MH, Kaestner L, Fens MHAM, Schiffelers RM, Bartels M, van Wijk R (2019) Red Blood Cells: Chasing Interactions. Front Physiol 10:945. https://doi.org/10.3389/fphys.2019.00945.
- Huisjes R, Bogdanova A, van Solinge WW, Schiffelers RM, Kaestner L, van Wijk R (2018) Squeezing for Life - Properties of Red Blood Cell Deformability. Front Physiol 9:656. https://doi.org/10.3389/fphys.2018.00656.
- Viallat A, Abkarian M (2014) Red blood cell: from its mechanics to its motion in shear flow. Int J Lab Hematol 36(3):237–243. https://doi.org/10.1111/ijlh.12233.
- Drew KL, Harris MB, LaManna JC, Smith MA, Zhu XW, Ma YL (2004) Hypoxia tolerance in mammalian heterotherms. J Exp Biol 207(Pt 18):3155–3162. https://doi.org/10.1242/jeb.01114
- Ma YL, Zhu X, Rivera PM, Tøien Ø, Barnes BM, LaManna JC, Smith MA, Drew KL (2005) Absence of cellular stress in brain after hypoxia induced by arousal from hibernation in Arctic ground squirrels. Am J Physiol Regul Integr Comp Physiol 289(5):R1297-306. https://doi.org/10.1152/ajpregu.00260.2005
- Ramirez J-M, Folkow LP, Blix AS (2007) Hypoxia tolerance in mammals and birds: from the wilderness to the clinic. Annu Rev Physiol 69:113–143. https://doi.org/10.1146/annurev.physiol.69.031905.163111
- Uzenbaeva LB, Belkin VV, Ilyukha VA, Kizhina AG, Yakimova AE (2015) Profiles and morphology of peripheral blood cells in three bat species of Karelia during hibernation. J Evol Biochem Phys 51(4):342–348. https://doi.org/10.1134/S0022093015040109
- Aksyonova GE, Logvinovich OS, Afanasyev VN, Lizorkina KI (2023) Cell cycle parameters and ornithine decarboxylase activity in the red bone marrow of hibernating ground squirrels Urocitellus undulatus. Biofizika 68(5):964–972. https://doi.org/10.31857/S0006302923050174
- Zakharova NM, Tarahovsky YS, Khrenov MO (2024) A Comparative Study of the Temperature Coefficient Q10 in Hibernating Ground Squirrels Urocitellus undulatus and Cooled Rats of Different Ages. J Evol Biochem Phys 60 1437–1446. https://doi.org/10.1134/S0022093024040148
- Heim AB, Chung D, Florant GL, Chicco AJ (2017) Tissue-specific seasonal changes in mitochondrial function of a mammalian hibernator. Am J Physiol Regul Integr Comp Physiol 313(2):R180-R190. https://doi.org/10.1152/ajpregu.00427.2016
- Janotka M, Ostadal P (2021) Biochemical markers for clinical monitoring of tissue perfusion. Mol Cell Biochem 476(3):1313–1326. https://doi.org/10.1007/s11010-020-04019-8
- Бурых ЭА, Сороко СИ (2014) Компенсаторная роль системы кровообращения при острой гипоксической гипоксии у человека. Экол чел 7:30–36. [Burykh EA, Soroko SI (2014) Compensatory role of the circulatory system in acute hypoxic hypoxia in humans. Hum Ecol 7: 30– 36 (In Russ)].
- Maginniss LA, Milsom WK (1994) Effects of hibernation on blood oxygen transport in the golden-mantled ground squirrel. Respir Physiol 95(2):195–208. https://doi.org/10.1016/0034-5687(94)90116-3
- Warnecke L, Turner JM, Bollinger TK, Misra V, Cryan PM, Blehert DS, Wibbelt G, Willis CKR (2013) Pathophysiology of white-nose syndrome in bats: a mechanistic model linking wing damage to mortality. Biol Lett 9(4):20130177. https://doi.org/10.1098/rsbl.2013.0177
- Vrij EL de, Henning RH (2015) How hibernation and hypothermia help to improve anticoagulant control. Temperature (Austin) 2(1):44–46. https://doi.org/10.4161/23328940.2014.967595
- Hu H-X, Du F-Y, Fu W-W, Jiang S-F, Cao J, Xu S-H, Wang H-P, Chang H, Goswami N, Gao Y-F (2017) A dramatic blood plasticity in hibernating and 14-day hindlimb unloading Daurian ground squirrels (Spermophilus dauricus). J Comp Physiol B 187(5-6):869–879. https://doi.org/10.1007/s00360-017-1092-7
- Ануфриев АИ (2008) Механизмы зимней спячки мелких млекопитающих Якутии. Новосибирск: Из-во СО РАН.158 с. [Anufriev AI (2008) Mechanisms of Hibernation of Small Mammals of Yakutia (Sib. Otd. Ross. Akad. Nauk, Novosibirsk. (In Russ)].
- Corrons JLV, Casafont LB, Frasnedo EF (2021) Concise review: how do red blood cells born, live, and die? Ann Hematol 100(10):2425–2433. https://doi.org/10.1007/s00277-021-04575-z.
- Spurrier WA, Dawe AR (1973) Several blood and circulatory changes in the hibernation of the 13-lined ground squirrel, Citellus tridecemlineatus. Comp Biochem Physiol A Comp Physiol 44(2):267–282. https://doi.org/10.1016/0300-9629(73)90479-9
- Yasuma Y, McCarron RM, Spatz M, Hallenbeck JM (1997) Effects of plasma from hibernating ground squirrels on monocyte-endothelial cell adhesive interactions. Am J Physiol 273(6):R1861-9. https://doi.org/10.1152/ajpregu.1997.273.6.R1861
- Cooper ST, Sell SS, Fahrenkrog M, Wilkinson K, Howard DR, Bergen H, Cruz E, Cash SE, Andrews MT, Hampton M (2016) Effects of hibernation on bone marrow transcriptome in thirteen-lined ground squirrels. Physiol Genomics 48(7):513–525. https://doi.org/10.1152/physiolgenomics.00120.2015
Дополнительные файлы









