Pathology of doxorubicin-induced organopathies under different intravenous nicotinamide riboside administration modes
- Authors: Podyacheva E.Y.1, Semenova N.Y.1, Artyukhina Z.E.1, Zinserling V.A.1, Toropova Y.G.1
-
Affiliations:
- Almazov National Medical Research Centre, Ministry of Health of the Russian Federation
- Issue: Vol 60, No 3 (2024)
- Pages: 264-281
- Section: EXPERIMENTAL ARTICLES
- URL: https://journals.rcsi.science/0044-4529/article/view/270472
- DOI: https://doi.org/10.31857/S0044452924030058
- EDN: https://elibrary.ru/YXHEAS
- ID: 270472
Cite item
Full Text
Abstract
Doxorubicin (DOX) is a potent chemotherapeutic drug, but its clinical use is hindered by significant side effects on vital organs like the heart, kidneys, lungs, liver, and intestines. Currently, there is a lack of effective drugs that can provide simultaneous cardioprotection and organ protection during chemotherapy. Nicotinamide riboside (NR) holds promise as a pharmacological agent capable of offering comprehensive protection against the systemic toxicity caused by DOX. This study aimed to comprehensively evaluate the morphological characteristics of vital organs (heart, lungs, liver, kidneys) in Wistar rats with chronic doxorubicin-induced cardiomyopathy using various intravenous administration modes of NR as a protective agent. Sixty male SPF Wistar rats weighing 283 ± 22 g were divided into four groups: intact, control (DOX administered intraperitoneally), combined mode (the simultaneous use of DOX and NR) and preventive mode (the preliminary use of NR to realize the cumulative effect in cells, and its further joint use together with DOX) intravenous NR administration. Animal observation spanned two months after drug administration, followed by the collection of hearts, lungs, liver, and kidneys for morphological analysis. Echocardiographic assessment confirmed DOX cardiotoxicity. The study revealed that the hearts, kidneys and lungs exhibited more pronounced toxic effects of DOX compared to the liver. Both NR administration modes demonstrated protective effects, with the preventive regime showing the greatest efficacy in safeguarding vital organs.
Full Text
ВВЕДЕНИЕ
На сегодняшний день доксорубицин (ДОКС) широко применяется при лечении широкого спектра опухолевых заболеваний, включая как солидные опухоли, так и гематологические злокачественные новообразования [1]. ДОКС является одним из наиболее эффективных химиотерапевтических препаратов антрациклинового ряда, при этом его применение в клинической практике ограничено наличием ярко выраженных побочных эффектов. Наиболее известным и изученным токсическим действием ДОКС является выраженная дозозависимая кардио токсичность, которая проявляется гибелью кардиомиоцитов посредством апоптоза [2, 3], некроптоза [4], ферроптоза [5], пироптоза [6] и некроза [7], что приводит к дисфункции левого желудочка, развитию дилатационной кардиомиопатии и, как итог, к формированию хронической сердечной недостаточности. Молекулярные механизмы, лежащие в основе действия ДОКС, многогранны и не до конца изучены, однако хорошо известно, что чередование хиноновой и семихиноновой структур ДОКС может производить большое количество свободных радикалов (активных форм кислорода, реактивных форм азота). Агрессивное действие свободных радикалов на фоне терапии антрациклинами не только повреждает сердце, но и вовлекает в патологический процесс другие органы, в том числе почки, печень, кишечник и легкие, с последующим нарушением их функции [8–10].
В многочисленных работах было показано, что данный химиопрепарат характеризуется наличием выраженных нефротоксических эффектов. ДОКС оказывает повреждающее действие как на почечные канальцы, так и на почечные клубочки, приводя к выраженной протеинурии [11, 12]. В свою очередь протеинурия на фоне стойкого системного воспаления и активации оксидативного стресса со временем приводит к формированию фиброзных изменений в почках, что значительно снижает их функционирование. В ряде работ были продемонстрированы гепатотоксичные эффекты ДОКС, которые связаны с воспалительной инфильтрацией, увеличением стромального компонента, развитием фиброза, а также апоптозом и локальным некрозом гепатоцитов [13, 14]. Работы, посвященные токсическим эффектам ДОКС в отношении бронхолегочной системы, в литературе практически не представлены. Имеется информация о том, что формирующийся выраженный оксидативный стресс также приводит к нарушению биохимических процессов в легких, оказывая повреждающий эффект как на уровне эпителия бронхов и сосудистого компонента, так и на клеточном уровне. Этому способствуют их большая площадь поверхности и усиленное кровоснабжение [15].
На молекулярном уровне ДОКС способен напрямую ингибировать сиртуины (Silent Information Regulator 2 proteins, SIRTs), НАД+-зависимые гистоновые деацетилазы, приводя к снижению антиоксидантной защиты, интенсификации процессов апоптоза посредством ацетилирования р53 [16]. Кроме того, ингибирование SIRT1 оказывает блокирующее действие на коактиватор PPARγ-1α (PGC1-α), ключевого маркера митохондриального биогенеза [17]. В итоге повышенные уровни свободных радикалов, провоспалительных, проапоптотических факторов и сниженные уровни антиоксидантных ферментов в комплексе с нарушенным митохондриальным биогенезом приводят к ярко выраженным полиорганным токсическим эффектам ДОКС [8, 18].
Поскольку побочные эффекты, связанные с применением ДОКС в клинике, могут существенно ограничивать его использование, отдельное внимание уделяется разработке способов снижения его токсичности. На сегодняшний день отсутствуют эффективные препараты, оказывающие одновременно как кардиопротективное действие, так и защитный эффект на остальные жизненно важные органы организма при проведении химиотерапии антрациклинами.
В качестве перспективного фармакологического агента, способного обеспечивать комплексное защитное воздействие от системного токсического воздействия ДОКС, может рассматриваться никотинамид рибозид (НР), способный быстро нормализовать соотношение НАД+/НАДН в клетках организма [19]. В свою очередь, нормализация уровня НАД+ стимулирует работу сиртуинов, способных защищать клетки от оксидативного/нитрозативного повреждения, индуцировать аутофагию, восстанавливать биогенез митохондрий, регулировать работу клеточного цикла, тем самым снижая выраженность воспаления и уменьшать процесс фиброзирования [20–24]. Известно, что у пациентов, проходящих химиотерапию, может развиваться ряд побочных эффектов, сказывающихся на функционировании пищеварительного тракта (мукозит кишечника) [25], что может приводить к недостаточной биодоступности НР. Внутривенный способ введения НР, который впервые был предложен авторами [26, 27], позволяя повысить биодоступность фармакологического агента, может явиться альтернативой пероральному способу его введения.
В настоящий момент отсутствуют работы, направленные на исследование комплексного влияния внутривенного введения НР на различные органы в условиях воздействия ДОКС. С учетом предполагаемой способности НР оказывать кумулятивный эффект, отдельный интерес представляет оценка влияния НР при различных режимах (превентивном и сочетанном) его использования.
В связи с этим целью данной работы являлась комплексная морфологическая оценка жизненно важных органов (сердце, легкие, печень, почки) крыс стока Wistar в условиях воздействия ДОКС при внутривенном введении НР в различных режимах в качестве протективного агента.
МЕТОДЫ ИССЛЕДОВАНИЯ
Фармакологические агенты
Подготовка фармакологических агентов (Доксорубицин-ЛЭНС®, 50 мг (ООО “Верофарм”, Россия) и никотинамид рибозид (Kingherbs Limited, Китай)) для введения животным осуществлялась непосредственно перед использованием (ex tempore). Используемые дозы подобраны эмпирическим путем с учетом литературных и собственных данных [28, 29]. Расчет доз осуществлялся в зависимости от массы животного. Препараты разводили в 0.9 % стерильном физиологическом растворе. В ходе эксперимента дозы корректировались с учетом изменения массы животных.
Экспериментальный протокол
В исследовании использовали 60 половозрелых самцов крыс стока Wistar SPF-статуса массой 283 ± 22 г. Животные содержались в виварии барьерного типа в стандартных условиях со свободным доступом к воде и пище. Выбор экспериментальных животных и их количество были основаны на опубликованных ранее данных по моделированию ДОКС-индуцированной кардиомиопатии [29], а также с учётом on-line программы (http://www.stat.ubc.ca/~rollin/stats/ssize/). Животные были случайным образом распределены на 4 экспериментальные группы, характеристика которых представлена в табл. 1.
Таблица 1. Характеристика экспериментальных групп
Группы, n | Препараты | Дозы | Режим введения (продолжительность) | Кумулятивные дозы |
Контроль (n = 15) | 0.9 % хлорида натрия | 1 мл | 6-кратное в/б введение с интервалом в 2 дня (2.5 недели) | 6 мл |
ДОКС (n = 15) | Доксорубицин | 1.67 мг/кг | 6-кратное в/б введение с интервалом в 2 дня (2.5 недели) | 10 мг/кг |
НР+ДОКС (n = 15) | Никотинамид рибозид + Доксорубицин | 300 мг/кг + 1.67 мг/кг | Сочетанный режим 6-кратное введение с интервалом в 2 дня: в/в НР → 30 мин → в/б доксорубицин (2.5 недели) | 1800 мг/кг + 10 мг/кг |
НР/НР+ДОКС (n = 15) | Никотинамид рибозид + Доксорубицин | 300 мг/кг + 1.67 мг/кг | Превентивный режим 3-кратное в/в введение с интервалом в 2 дня НР → 6-кратное в/б введение доксорубицина с чередование через раз в/в ведением НР (3 раза) (3.5 недели) | 1800 мг/кг + 10 мг/кг |
в/б — внутрибрюшинное введение; в/в — внутривенное введение.
Животные находились под наблюдением в течение 2 месяцев после достижения кумулятивной дозы ДОКС, что является достаточным для реализации его отсроченных эффектов, а именно фиброзного поражения миокарда и развития систолической дисфункции. Эхокардиограмму регистрировали перед началом введения ДОКС, по окончании его введения, а также через 1 и 2 месяца. На момент окончания эксперимента животные подвергались наркотизации (10 мг/кг ксилазина + 25 мг/кг золетила, внутримышечно), затем осуществлялось взятие сердца, легких, почек, печени для проведения морфологического исследования. Для остановки сердца в левый желудочек вводили 10 % раствор KCl до полной остановки сердечной деятельности в фазе диастолы. Животных взвешивали на лабораторных весах (DX 1200 WP, AND, Япония) каждые два дня с начала и до окончания введения фармакологических агентов, затем один раз в неделю.
Эхокардиографическое исследование
Для верификации развития хронической ДОКС-индуцированной кардиомиопатии было проведено эхокардиографическое исследование. Перед проведением эхокардиографии животное наркотизировалось (1.7 % изофлюран). Эхокардиографические изображения были получены при стабилизации частоты сердечных сокращений на уровне 400 ± 30 ударов в мин. Эхокардиограмму регистрировали при помощи ультразвуковой визуализационной платформы The Vevo® 2100 (VisualSonics Inc., Торонто, Канада). Анализ объема и функции сердца проводили в М-режиме (одномерное сканирование). Измеряли конечно-диастолический внутренний диаметр левого желудочка (LVIDd, мм), конечно-систолический внутренний диаметр левого желудочка (LVIDs, мм). Фракцию укорочения (FS) рассчитывали по формуле: FS (%) = (LVIDd – LVIDs)/LVIDd × 100.
Морфологическое исследование
Органы фиксировали в 10 % забуференном формалине. Обезвоживание и пропитывание парафином проводили по стандартизированной методике в автоматическом гистологическом процессоре Vip5Jr (Sakura, Япония) в готовом растворе IsoPREP (Биовитрум, Санкт-Петербург, Россия) и парафиновой среде HISTOMIX (Биовитрум, Санкт-Петербург, Россия). С использованием ротационного микротома НМ 325 (Thermo, Уолтем, Массачусетс, США) изготовляли срезы толщиной 2–3 мкм, которые в дальнейшем депарафинировали, дегидратировали в соответствии с рекомендациями производителя (Биовитрум, Санкт-Петербург, Россия).
Микроскопическое исследование и фоторегистрацию проводили на микроскопе Nis-E (Nicon, Япония) при увеличении ×40, ×100, ×200, ×400.
Для анализа гистологических изменений были выбраны параметры, отражающие отклонения от гистологической нормы, специфические для каждого органа, в том числе дистрофические изменения в клетках паренхимы и стромы, нарушения кровообращения, воспалительная инфильтрация, наличие коллагенового фиброза.
Морфометрическую оценку части параметров проводили с использованием программ морфометрии Nis-Elements 4.3 Br (Nikon, Токио, Япония) и ORBIT IMAGE ANALYSIS Version 3.64, а также полуколичественно в баллах по шкале от 0 до 3, где 0 – отсутствие выраженности признака, 1 – слабая выраженность, 2 – умеренная выраженность, 3 – сильная выраженность.
Для определения степени коллагенового фиброза проводили гистохимическую окраску “по Маллори” (“Биовитрум”, Санкт-Петербург, Россия). Морфо метрические исследования проводили с использованием программ Nis-Elements 4.3 Br (Nikon, Токио, Япония) и ORBIT IMAGE ANALYSIS Version 3.64. На каждой фотографии определяли площадь (маска слоя в программе по цвету), занятую коллагеновыми волокнами (синий цвет), и затем вычисляли относительную площадь в процентах от общей площади среза.
Оценка фиброза выполнялась в разных областях левого желудочка сердца. Отдельно оценивались участки левого желудочка с кардиомиоцитами и интерстициальной тканью (“интерстициальный фиброз”), артерии среднего калибра в поперечном сечении (“периваскулярный фиброз”), эпикард. Обрабатывалось по 5 полей зрения в каждой зоне на каждое животное. По каждой зоне высчитывалось среднее арифметическое значение (M) на исследуемый образец. “Фиброз по всем зонам” определялся как сумма средних значений по зонам. В табл. 3 результаты представлены как Ме – на образец по 5 фотографиям подсчитывали среднее арифметическое значение (M), а на группу медиану (Ме).
В легких определяли площадь свободного альвеолярного пространства в% ко всей площадь альвеолярной ткани на поле зрения, оценку проводили по 5 полям зрения при увеличении ×400. Фиброз в легких оценивали по 5 полям зрения при увеличении ×400. На каждой фотографии определяли площадь, занятую коллагеновыми волокнами (синий цвет), и затем вычисляли площадь в процентах от общей площади альвеол.
В печени оценивали количество двухъядерных клеток и перисинусоидальных клеток, в том числе звездчатых клеток Ито и клеток Купфера. Оценку проводили по 5 полям зрения при увеличении ×400 в зоне портального тракта.
Критерии исключения
На начальном этапе исследования: исключались животные, имеющие клинические признаки нарушения здоровья.
Во время исследования:
- Исключались животные, находящиеся в тяжелом состоянии и подлежащие неплановой эвтаназии согласно международным рекомендациям по проведению медико-биологических исследований с использованием животных.
- Животные, не достигающие на дискретных точках целевых показателей:
- показатель фракции укорочения при регистрации эхокардиограммы (менее 10 % от исходного уровня).
Статистический анализ
Расчеты проводились с помощью программного обеспечения GraphPad Prism 8 (GraphPad Software, Inc., San Diego, CA, 170 USA) для ОС Windows 10 (Microsoft Inc., США). Для определения нормальности распределения использовался критерий Шапиро–Уилка. Для оценки различий между разными группами использовали непарный непараметрический критерий Крускала–Уоллиса с критерием Данна. Критерий Уилкоксона использовался для попарного сравнения зависимых значений ненормального распределения (ЭХО-данные, * – динамика по сравнению с исходным значением). Значения в группах были обработаны с использованием непараметрической статистики (медиана и 25-й и 75-й процентили (Me (25 %;75 %)). Количественные показатели гистологических изменений, выраженные в баллах, были описаны с использованием средних арифметических значений (M) и ошибки среднего значения (m) (В баллах замеряли те показатели, которые не подсчитывали морфометрически. Морфометрические показатели (а именно% фиброза) представлены в формате Me [25 %;75 %].) Статистически значимыми считали различия при уровне значимости р < 0.05.
РЕЗУЛЬТАТЫ ИССЛЕДОВАНИЯ
В ходе эксперимента гибели животных не наблюдалось. Оснований для проведения внеплановой эвтаназии животных также не отмечалось.
Сократительная функция сердца
В динамике эксперимента у контрольной группы животных эхокардиографические показатели не изменялись. Через 1 месяц после окончания введения ДОКС у животных наблюдалось достоверное увеличение LVIDs и LVIDd (табл. 2), и как следствие, снижение фракции укорочения, что свидетельствует о нарушении сократительной функции миокарда. При использовании сочетанного режима НР в динамике эксперимента не было выявлено значимого увеличения LVIDd, а также на втором месяце исследования не отмечалось достоверной разницы с контрольной группой животных по фракции укорочения (табл. 2), что может косвенно отражать снижение токсического действия ДОКС в отношении кардиомиоцитов. Превентивный режим введения НР характеризовался значимым увеличением как LVIDs, так и LVIDd, аналогично ДОКС группе животных.
Таблица 2. Изменение показателей LVIDs, LVIDd и FS у экспериментальных животных в динамике эксперимента
Параметры | Контроль | ДОКС | НР+ДОКС | НР/ НР+ДОКС | |
LVIDs | Исходно | 3.09 [2.97; 3.41] | 2.85 [2.73; 3.03] | 2.91 [2.74; 3.27] | 2.98 [2.72; 3.12] |
Окончание введения | 3.27 [3.04; 3.37] | 3.24 [3.07; 3.60]* | 2.98 [2.93; 3.31] | 3.55 [3.31; 3.74]** | |
1-й месяц | 3.14 [2.99; 3.57] | 3.41 [3.02; 3.85]*** | 3.59 [3.26; 3.89]** | 3.42 [3.06; 3.64] | |
2-й месяц | 3.33 [2.88; 3.47] | 3.53 [3.25; 3.73]*** | 3.42 [3.06; 3.72]* | 3.92 [3.52; 4.22]*** | |
LVIDd | Исходно | 6.36 [6.20; 6.61] | 6.14 [5.99; 6.34] | 6.37 [6.03; 6.61] | 6.35 [6.06; 6.53] |
Окончание введения | 6.74 [6.34; 6.84] | 6.31 [6.12; 6.46] | 6.34 [6.18; 6.55] | 6.77 [6.60; 6.99]** | |
1-й месяц | 6.78 [6.48; 7.00] | 6.55 [6.31; 6.79]** | 6.49 [6.32; 7.10] | 6.81 [6.36; 6.89*] | |
2-й месяц | 6.74 [6.53; 6.96] | 6.57 [6.42; 6.85]** | 6.53 [6.08; 6.08] | 6.82 [6.47; 7.09]** | |
FS | Исходно | 50.21 [47.98; 53.56] | 54.22 [50.53; 55.51] | 53.55 [51.82; 56.21] | 53.98 [50.23; 57.15] |
Окончание введения | 51.61 [50.00; 53.74] | 48.89 [43.96; 49.99]**/# | 51.71 [47.76; 53.29] | 46.79 [44.89; 51.67]# | |
1-й месяц | 52.63 [48.77; 54.24] | 48.61 [42.47; 52.02]**/# | 45.37 [44.81; 49.56]***/## | 49.90 [46.64; 52.74] | |
2-й месяц | 51.05 [49.50; 56.63] | 47.50 [43.53; 48.79]***/# | 47.94 [43.20; 51.17]** | 42.92 [39.29; 45.69]***/### |
* – по сравнению с исходным значением; # – по сравнению с контрольной группой. (*/# – p < 0.05, **/## – p < 0.01, ***/### – p < 0.001). LVIDs, конечно-систолический размер левого желудочка; LVIDd, конечно-диастолический размер левого желудочка; FS, фракция укорочения. Значения представлены Me [25 %;75 %].
Морфологические особенности миокарда крыс
В образцах группы животных ДОКС не отмечалось ярко выраженной воспалительной инфильтрации и проявлений некроза. Однако выявлялись слабовыраженные дистрофические изменения кардиомиоцитов с вакуолизацией цитоплазмы, стиранием контуров клеток. Также определялись единичные клетки с признаками апоптоза (кариопикноз, кариорексис, конденсация хроматина), единичные лимфоциты, полнокровие капиллярной сети разной степени выраженности. В контрольной группе этих паттернов не было отмечено. Данные морфологические особенности могут являться токсическими проявлениями действия ДОКС, что также подтверждается достоверно значимым снижением фракции укорочения по данным эхокардиографии. У части животных НР+ДОКС и НР/НР+ДОКС групп также отмечались слабовыраженные дистрофические изменения, однако клеток с признаками апоптоза не было обнаружено (рис. 1).
Рис. 1. Репрезентативные фотографии сердца животных экспериментальных групп. (a) – контроль; (b) – ДОКС. Окраска гематоксилином-эозином, ×200.
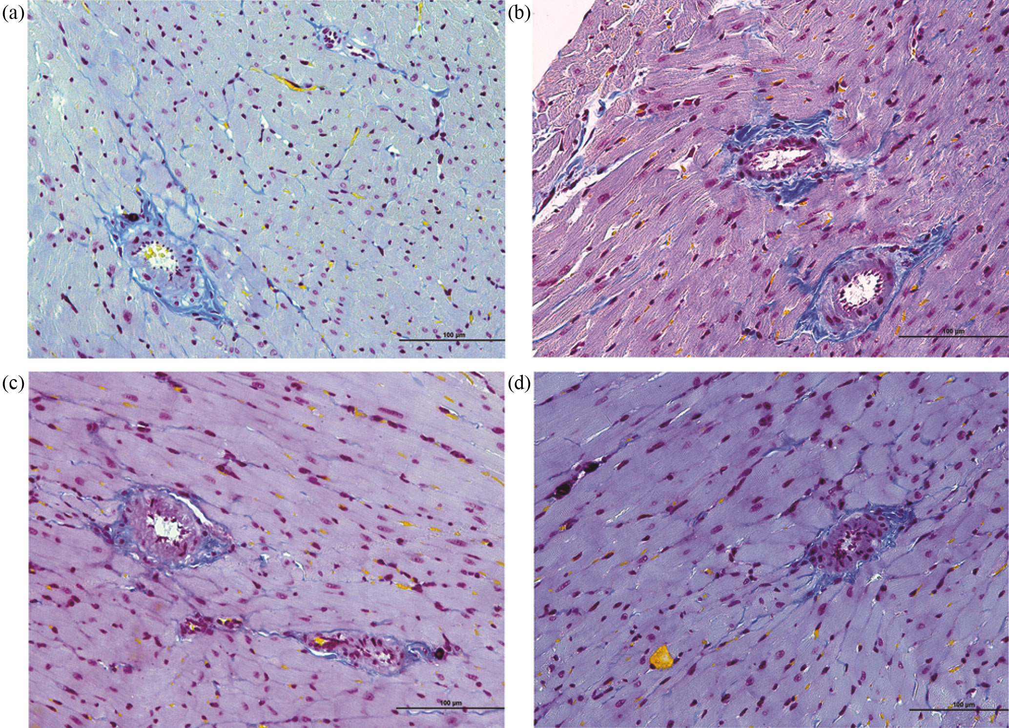
Результаты гистохимической окраски по Маллори по исследуемым зонам в сердечной мышце приведены в табл. 3. При оценке интерстициального фиброза статистически значимых отличий между группами не было обнаружено (рис. 2). Однако периартериально выявлялось достоверно значимое увеличение относительной площади коллагеновых волокон у животных опытных групп по сравнению с контрольной (менее выражено у животных НР+ДОКС и НР/НР+ДОКС групп по сравнению с ДОКС группой) (рис. 3).
Таблица 3. Морфометрические значения (% площади коллагеновых волокон) в сердечной мышце у животных экспериментальных групп
Группы | Зоны для морфометрической оценки в сердечной мышце | |||
Интерстиций | Сосуды | Эпикард | Фиброз по всем зонам | |
Контроль | 1.81 [1.22; 2.05] | 2.30 [2.04;2.81] | 1.40 [1.17; 1.95] | 1.76 [1.65; 2.08] |
ДОКС | 1.40 [1.35; 2.22] | 4.45 [3.82; 5.12]*** | 2.12 [1.58; 2.55] | 2.47 [2.12; 3.06]*** |
НР+ДОКС | 1.10 [1.03; 1.34] | 3.45 [2.85; 5.34]** | 1.82 [1.22; 2.18] | 2.15 [1.87; 2.45]* |
НР/НР+ДОКС | 1.48 [1.15; 1.41] | 3.6 [3.15; 4.79]** | 1.58 [1.25; 1.87] # | 2.08 [1.95; 2.37]**/# |
* – по сравнению с контрольной группой (* – p < 0.05, ** – p < 0.01, *** – p < 0.001); # – по сравнению с группой ДОКС (# – p < 0.05, ## – p < 0.01). Значения представлены Me [25 %;75 %].
Рис. 2. Репрезентативные фотографии сердца (интерстициальная зона) животных экспериментальных групп. Синим цветом окрашены коллагеновые волокна. (a) – контроль; (b) – ДОКС; (c) – НР+ДОКС; (d) – НР/НР+ДОКС. Окраска по Маллори, ×200.
Рис. 3. Репрезентативные фотографии сердца (периваскулярная зона) животных экспериментальных групп. Синим цветом окрашены коллагеновые волокна. (a) – контроль; (b) – ДОКС; (c) – НР+ДОКС; (d) – НР/НР+ДОКС. Окраска по Маллори, ×200.
В эпикардиальной зоне отмечалось статистически значимое повышение процента фиброза у животных ДОКС группы по сравнению с контрольной и НР/НР+ДОКС группами (рис. 4). При оценке относительной площади фиброза по всем зонам наблюдалось достоверное увеличение относительной площади коллагеновых волокон у всех опытных групп по сравнению с контрольной, но наиболее выраженное увеличение отмечалось у животных ДОКС группы.
Рис. 4. Репрезентативные фотографии сердца (эпикардиальная зона) животных экспериментальных групп. Синим цветом окрашены коллагеновые волокна. (a) – контроль; (b) – ДОКС; (c) – НР+ДОКС; (d) – НР/НР+ДОКС. Окраска по Маллори, ×200.
В целом фиброз был более выражен в зоне эпикарда и вокруг сосудов (в основном артерий), чем между кардиомиоцитами в толще интерстициальной ткани. Это связано с наличием в этих участках большего количества стромальных клеток, которые вырабатывают коллаген. Результаты оценки процента фиброза у животных в группе НР/НР+ДОКС показали снижение параметров как в эпикардиальной зоне, так и по общей площади фиброза по сравнению с животными ДОКС группы (p < 0.05).
Результаты морфологических исследований сердечной мышцы животных разных групп свидетельствуют о том, что введение НР обеспечивает снижение кардиотоксических эффектов ДОКС. По данным оценки фиброза по всем зонам и фиброза в зоне эпикарда превентивный режим введения НР обеспечивает более выраженное защитное действие.
Морфологические особенности легких крыс
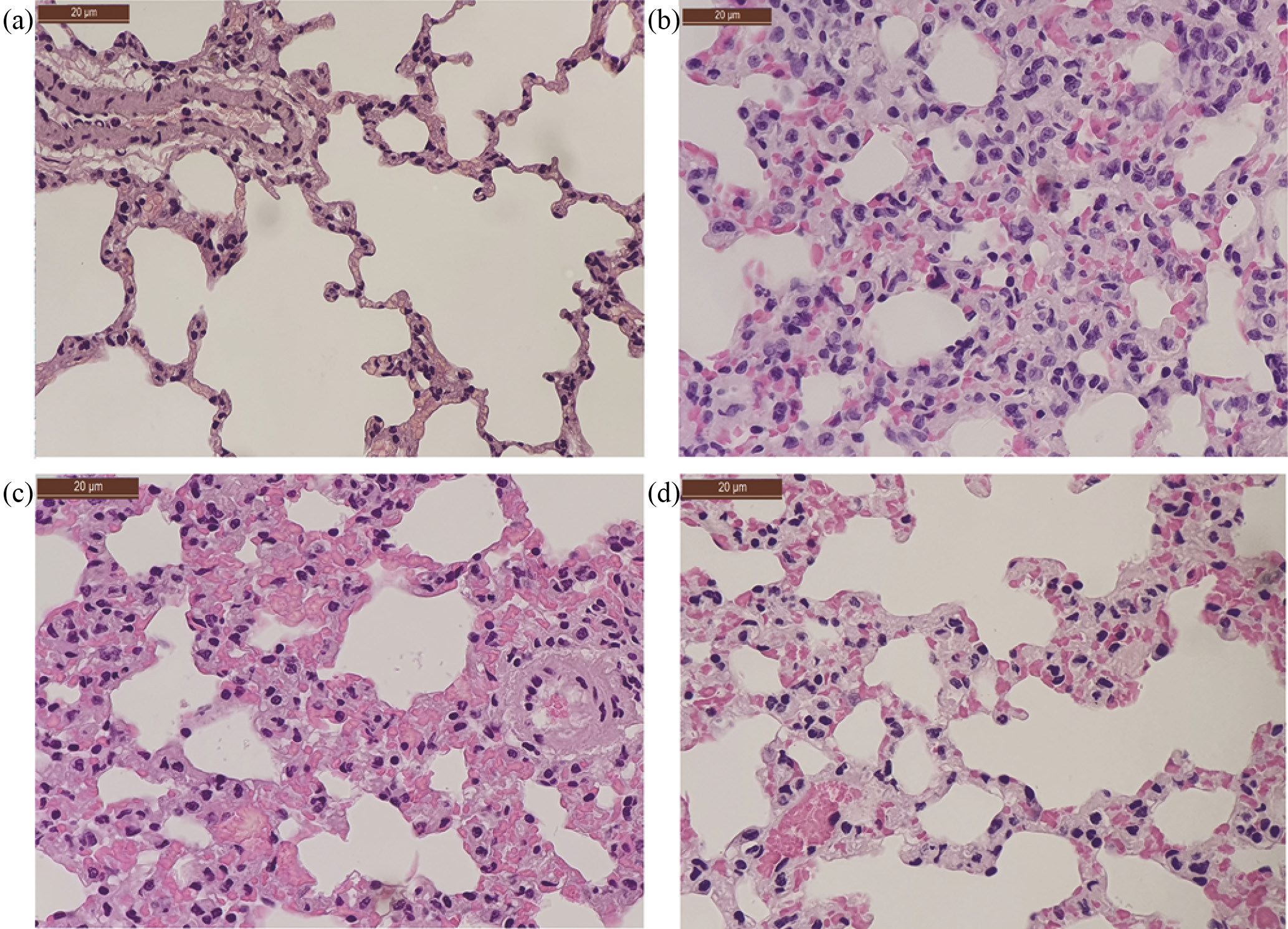
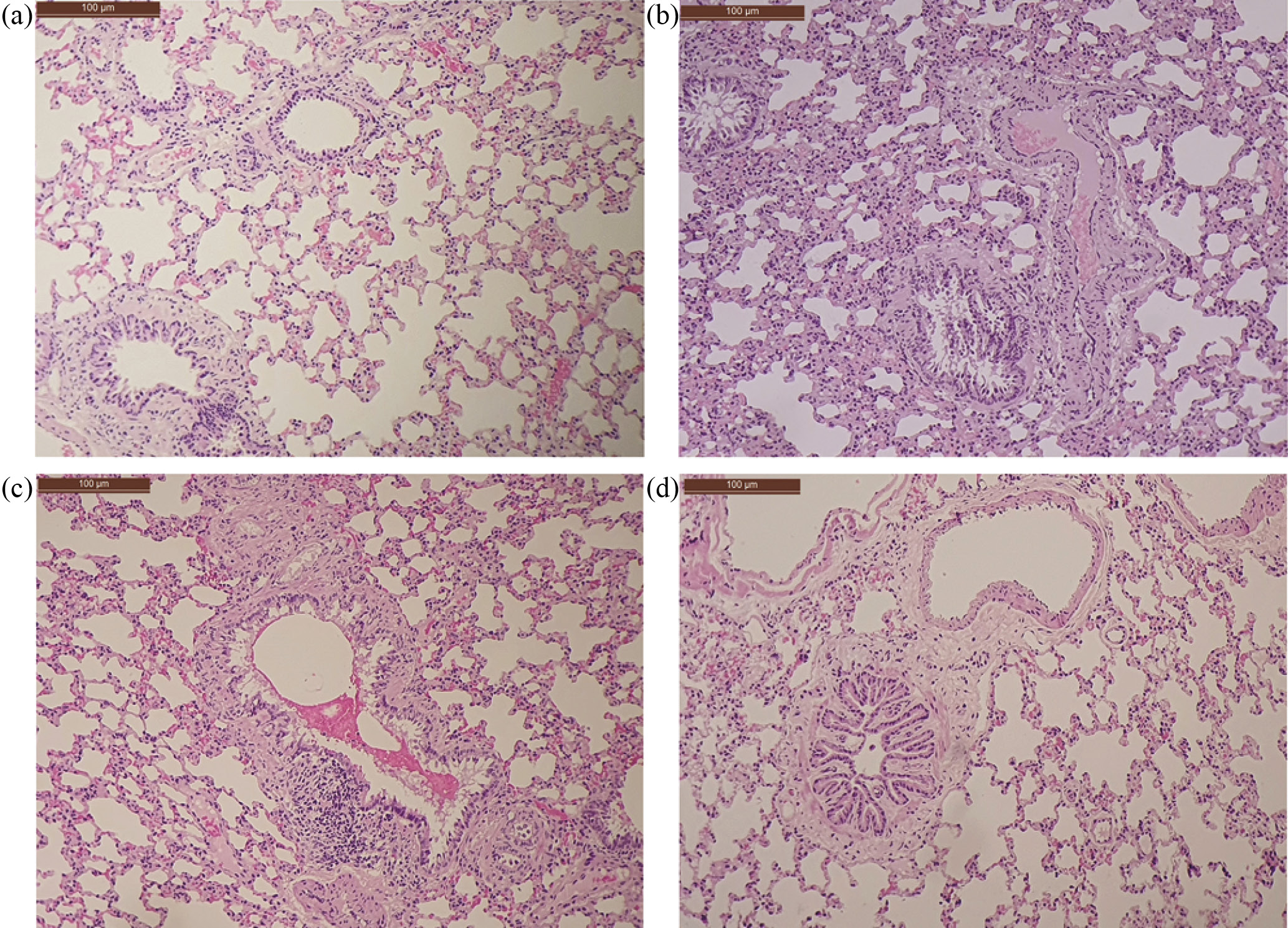
В легких группы животных ДОКС отмечался слабо и умеренно выраженный катаральный бронхит с экссудацией слизисто-белковых масс в просвет и десквамацией клеток эпителия. Альвеолярная ткань в большинстве случаев сохраняла воздушность, однако встречались нерегулярные зоны дислектаза и умеренно и ярко-выраженное полнокровие с явлениями стаза в эктазированных сосудах мелкого калибра. Отмечалась интерстициальная и перибронхиальная слабовыраженная лимфо-гистиоцитарная инфильтрация. Вокруг сосудов и бронхов определялись отложения коллагеновых волокон от умеренного до ярко выраженного, также выявлялись дистрофические изменения мышечных слоев стенки сосудов (рис. 5). Толщина межальвеолярных перегородок в образцах ДОКС группы была больше, чем в контроле, а процент свободного альвеолярного пространства снижался (рис. 6). В большей степени это связано с отеком, полнокровием капилляров и интерстициальной инфильтрацией, но может быть связано и с пролиферацией стромального компонента легких. При окраске по Маллори в тканях легкого в зоне альвеол отмечалось увеличение процента коллагеновых волокон (интерстициальный фиброз слабой степени выраженности) (рис. 7). Все описанные повреждения свидетельствуют о значительном повреждающем действии ДОКС на ткани легких.
Рис. 5. Репрезентативные фотографии легких животных экспериментальных групп. Разный диаметр альвеол, толщина альвеолярных перегородок, интерстициальная инфильтрация легкого. (a) – контроль; (b) – ДОКС; (c) – НР+ДОКС; (d) – НР/НР+ДОКС. Окраска гематоксилином-эозином, ×100.
Рис. 6. Репрезентативные фотографии легких животных экспериментальных групп. (a) – контроль, альвеолы нормального строения и кровенаполнения; (b) – ДОКС, слабовыраженная гиперемия и умеренно выраженная инфильтрация лимфоцитами; (c) – НР+ДОКС, умеренно выраженная гиперемия; (d) – НР/НР+ДОКС, умеренно выраженная гиперемия. Окраска гематоксилином-эозином, ×400.
Рис. 7. Репрезентативные фотографии легких животных экспериментальных групп. Синим цветом окрашены коллагеновые волокна. (a) – контроль; (b) – ДОКС; (c) – НР+ДОКС; (d) – НР/НР+ДОКС. Окраска по Маллори, ×400.
В группах животных НР+ДОКС и НР/НР+ДОКС также отмечались морфологические паттерны – бронхит, фиброз и интерстициальная воспалительная инфильтрация, как и в группе ДОКС, однако эти параметры статистически достоверно менее выражены в группе НР/НР+ДОКС. Альвеолярная ткань более воздушная в группах НР+ДОКС и НР/НР+ДОКС, толщина межальвеолярных перегородок приближена к значениям контрольной группы (p < 0.05). В табл. 4 представлены данные со средними баллами на группу по морфологическим параметрам.
Таблица 4. Выраженность морфологических изменений в легких животных экспериментальных групп
Группы | Бронхит, баллы | Интерстициальная воспалительная инфильтрация, баллы | Фиброз, % коллагеновых волокон от общей площади альвеол | % альвеолярного пространства |
М ± m | М ± m | Me [25 %;75 %] | Me [25 %;75 %] | |
Контроль | 1.20 ± 0.14 | 0.27 ± 0.06 | 23.11 [17.41; 27.23] | 43.0 [37.34; 47.11] |
ДОКС | 1.80 ± 0.25* | 0.60 ± 0.11* | 47.32 [32.41; 52.40]* | 22.42 [17.24; 26.32]* |
НР+ДОКС | 1.27 ± 0.45 | 0.47 ± 0.12 | 31.81 [29.51; 36.14] | 39.11 [33.34; 44.21]# |
НР/НР+ДОКС | 1.00 ± 0.37# | 0.40 ± 0.09# | 19.90 [17.11; 23.24]# | 33.62 [28.17; 36.41]# |
* – по сравнению с контрольной группой (* – p < 0.05); # – по сравнению с группой ДОКС (# – p < 0.05). Значения представлены М ± m (полуколичественная оценка в баллах) и Me [25 %;75 %] (морфометрия).
По результатам статистического анализа в группе НР/НР+ДОКС показано статистически значимое изменение всех параметров при сравнении с группой ДОКС. В группе НР+ДОКС отмечено статистически достоверное увеличение% альвеолярного пространства.
Таким образом, внутривенное введение НР в превентивном режиме оказывает более выраженное протективное действие в отношении легких при проведении включающей ДОКС химиотерапии.
Морфологические особенности печени крыс
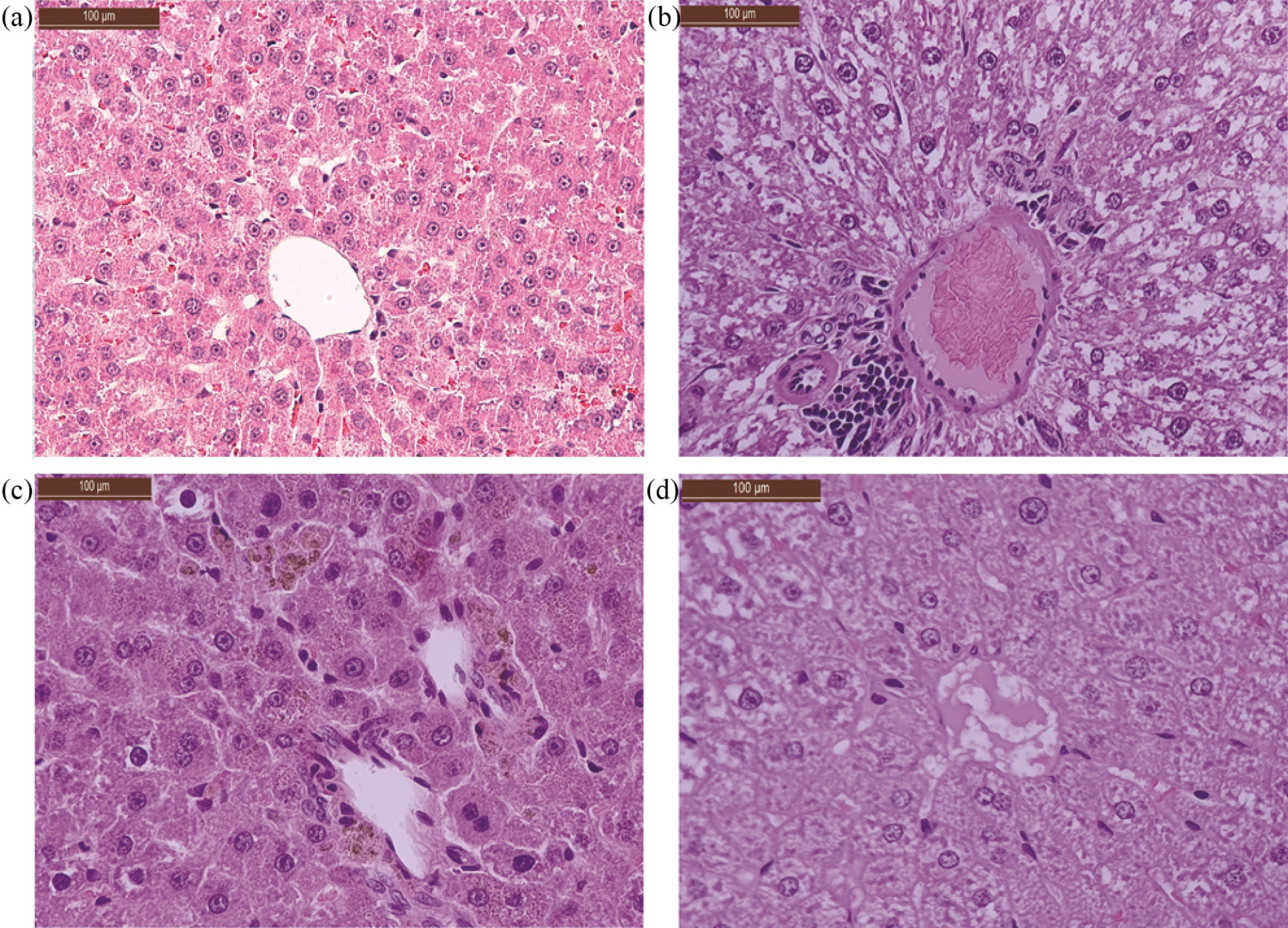
В образцах печени группы животных ДОКС отмечались слабо и умеренно выраженные дистрофические изменения, очаговая слабовыраженная лимфоплазмоцитарная воспалительная инфильтрация портальных трактов, неравномерное полнокровие и расширение синусоидных капилляров. Также в некоторых образцах выявился гепатоцеллюлярный и каналикулярный холестаз, были обнаружены единичные гепатоциты с признаками кариорексиса (рис. 8). Фиброзных изменений в печени не обнаружено. В некоторых образцах отмечались локальные проявления мелкокапельной жировой дистрофии гепатоцитов. Данные нарушения свидетельствуют об умеренно выраженном гепатотоксическом воздействии ДОКС.
Рис. 8. Репрезентативные фотографии печени животных экспериментальных групп. (a) – контроль, нормальное строение; (b) – ДОКС, лимфоплазмоцитарная инфильтрация портального тракта; (c) – ДОКС, холестаз цитоплазматический; (d) – ДОКС, кариорексис в гепатоцитах. Окраска гематоксилином-эозином, ×200.
У животных НР+ДОКС и НР/НР+ДОКС групп также отмечались морфологические особенности, схожие с группой ДОКС, однако в целом они менее выражены. Явления холестаза не визуализировались, апоптозы гепатоцитов единичные. Отмечалось расширение просветов и неравномерно выраженное от умеренно до ярко выраженного полнокровие синусоидных капилляров.
В зонах рядом с портальными венами проводили подсчет двухъядерных клеток и перисинусоидальных клеток, в том числе звездчатых клеток Ито и клеток Купфера. Эти клеточные элементы участвуют в воспалительных реакциях и процессах фиброзирования в печени. Результаты представлены в таблице 5. Наибольшее количество клеток обоих типов отмечалось у животных группы ДОКС. В группах НР+ДОКС и НР/НР+ДОКС количество перисинусоидальных клеток статистически значимо меньше по сравнению с группой ДОКС.
Таблица 5. Морфометрические параметры печени животных экспериментальных групп
Группы | Перисинусоидальные клетки, количество, морфометрия | Двухъядерные клетки, количество, морфометрия | Холестаз, балл | Кариорексис, балл | Нодулярная воспалительная инфильтрация, балл |
Me [25 %;75 %] | Me [25 %;75 %] | М ± m | М ± m | М ± m | |
Контроль | 25.85 [21.21; 27.23] | 7.90 [6.51; 9.62] | 0 | 0 | 0.12 ± 0.09 |
ДОКС | 38.50 [34.64; 46.22]* | 12.20 [8.20; 13.40]* | 0.75 ± 0.12* | 1.10 ± 0.22* | 1.20 ± 0.31* |
НР+ДОКС | 27.50 [25.54; 37.03]# | 7.00 [5.0; 9.0]# | 0.13 ± 0.32# | 0.20 ± 0.03# | 0.13 ± 0.05 |
НР/НР+ДОКС | 24.80 [21.61; 35.22]# | 6.80 [4.55; 7.55]# | 0 | 0.07 ± 0.01 | 0.08 ± 0.02 |
* – по сравнению с контрольной группой (* – p < 0.05); # – по сравнению с группой ДОКС (# – p < 0.05). Значения представлены М ± m (полуколичественная оценка в баллах) и Me [25 %;75 %] (морфометрия).
По результатам статистического анализа у животных групп НР+ДОКС и НР/НР+ДОКС показано статистически значимое изменение ряда параметров при сравнении с группой ДОКС. В группе НР+ДОКС отмечено снижение количества клеток с проявлениями апоптоза, двухъядерных гепатоцитов и перисинусоидальных клеток по сравнению с группой ДОКС, а также снижаются проявления холестаза. В группе НР/НР+ДОКС отмечено снижение количества двухъядерных гепатоцитов и перисинусоидальных клеток по сравнению с группой ДОКС. Проявления холестаза и апоптоза также отмечались реже, но статистическая достоверность по этим параметрам не была определена.
Таким образом, внутривенное введение НР в превентивном и сочетанном режимах обеспечивает схожий гепатопротективный эффект в условиях воздействия ДОКС, более выраженный в группе превентивного введения.
Морфологические особенности почек крыс
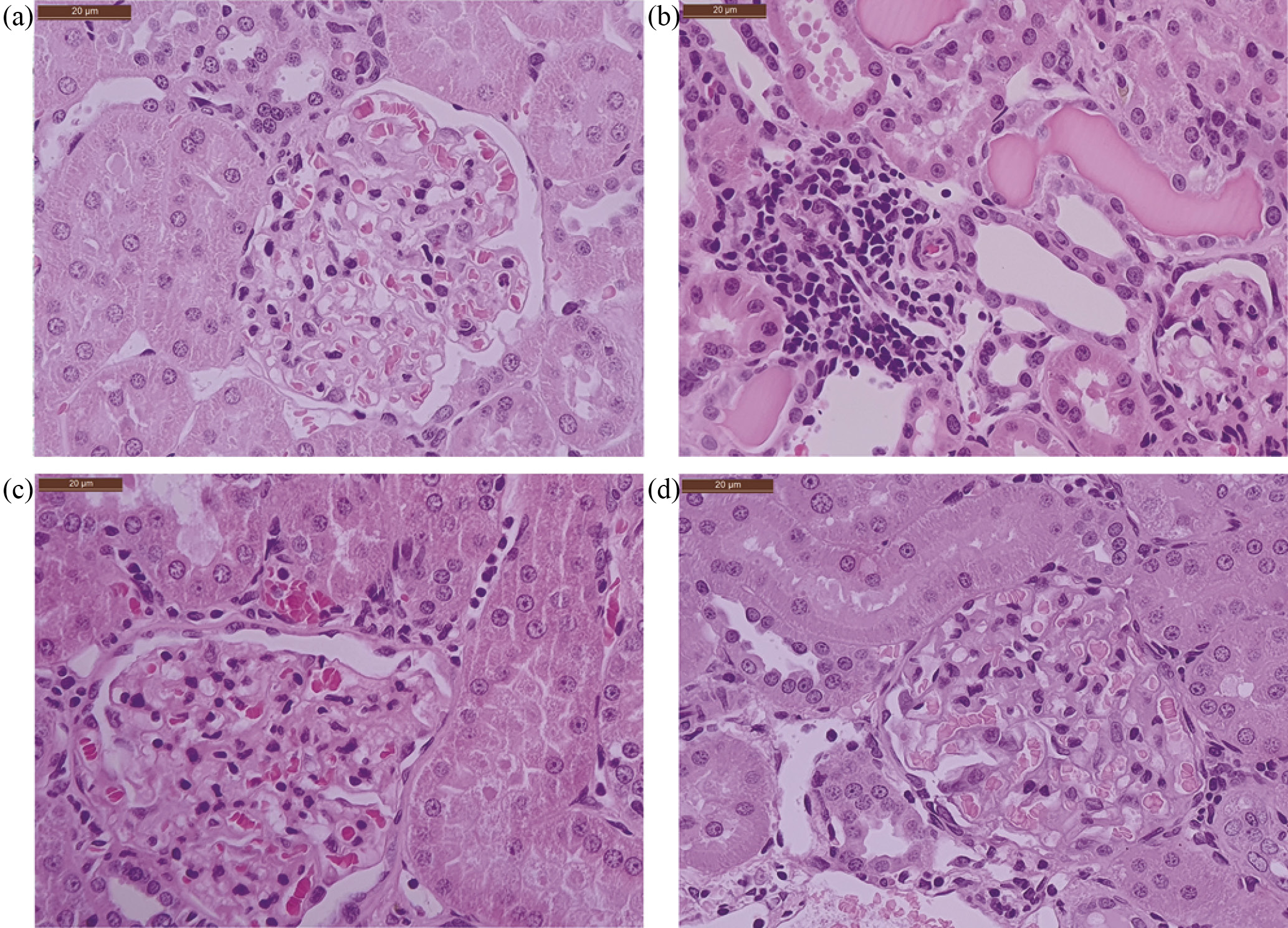
В образцах почек группы животных ДОКС отмечались выраженные дистрофические изменения эпителия канальцев: локальное кистозное расширение канальцев, вакуольная дистрофия, потеря щеточной каймы, атрофия и локальный некроз канальцевого эпителия. В расширенных канальцах визуализируются плотные гиалиновые цилиндры в просвете, что косвенно свидетельствуют о протеурии. В части препаратов выявлялась нодулярная воспалительная инфильтрация в корковом веществе почки, между канальцами. Данные изменения отражают нефротоксическое воздействие химиопрепарата. Также было отмечено полнокровие клубочков разной степени выраженности, при этом воспалительной инфильтрации в клубочках не отмечалось. При окраске по Маллори было выявлено увеличение процента коллагеновых волокон по сравнению с контролем (p < 0.05) и очаги фиброза в корковом веществе (рис. 9, 10).
Рис. 9. Репрезентативные фотографии почки животных экспериментальных групп. (a) – контроль, нормальное строение; (b) – ДОКС, лимфоплазмоцитарная инфильтрация, гиалиновые цилиндры, атрофия эпителия канальцев; (c) – НР+ДОКС, слабовыраженные дистрофические изменения эпителия канальцев; (d) – НР/НР+ДОКС, слабовыраженные дистрофические изменения эпителия канальцев. Окраска гематоксилином-эозином, ×400.
Рис. 10. Репрезентативные фотографии почек животных экспериментальных групп. Синим цветом окрашены коллагеновые волокна (a) – контроль; (b) – ДОКС; (c) – НР+ДОКС; (d) – НР/НР+ДОКС. Окраска по Маллори, ×400.
В группах НР+ДОКС и НР/НР+ДОКС дистрофические изменения эпителия канальцев встречаются в единичных образцах, локально, в целом гистоархитектоника тканей приближена к контрольной группе. Гиалиновые цилиндры единичные, участки некроза эпителия канальцев единичные, воспалительная инфильтрация клетками лимфоидного ряда не отличается от контрольной группы. Данные статистически значимы (p < 0.05), представлены в табл. 6.
Таблица 6. Морфометрические параметры почек животных экспериментальных групп
Группы | Дистрофия канальцев, баллы | Некроз эпителия канальцев, баллы | Нодулярная воспалительная инфильтрация, баллы | Гиалиновые цилиндры, баллы | Фиброз, % коллагеновых волокон от общей площади поля зрения, морфометрия |
М ± m | М ± m | М ± m | М ± m | Me [25 %;75 %] | |
Контроль | 0.25 | 0 | 0.125 ± 0.08 | 0 | 3.84 [1.50;5.20] |
ДОКС | 1.6 ± 0.14* | 0.6 ± 0.01* | 1.2 ± 0.11* | 1.1 ± 0.14* | 9.20 [6.42;14.30] * |
НР+ДОКС | 0.27 ± 0.08 | 0.06 ± 0.02# | 0.13 ± 0.04# | 0.2 ± 0.04# | 5.31 [4.82;7.43] # |
НР/НР+ДОКС | 0.08 ± 0.04# | 0# | 0.08 ± 0.02# | 0.15 ± 0.02# | 4.81 [3.82;5.97] # |
* – по сравнению с контрольной группой (* – p < 0.05); # – по сравнению с группой ДОКС (# – p < 0.05). Значения представлены М ± m (полуколичественная оценка в баллах) и Me [25 %;75 %] (морфометрия).
По результатам статистического анализа в группах НР+ДОКС и НР/НР+ДОКС показано статистически значимое изменение параметров при сравнении с группой ДОКС. Отмечено снижение показателей фиброза, воспалительной инфильтрации, дистрофических изменений канальцев, некроза и гиалиновых цилиндров до значений, близких к показателям контрольной группы.
Таким образом, внутривенное введение НР в превентивном и сочетанном режимах по ряду исследованных параметров оказывает равнозначное протективное действие на почки при токсическом воздействии ДОКС.
ОБСУЖДЕНИЕ РЕЗУЛЬТАТОВ
Известно, что ДОКС оказывает повреждающее полиорганное действие, особенно ярко в отношении сердца, почек, легких и печени. Клинически это проявляется в развитии дилатационной кардио миопатии, приводящей к хронической сердечной недостаточности, с формированием воспалительных процессов, дистрофических и фиброзных изменений в почках, печени, легких. В настоящей работе на животной модели вышеуказанные эффекты ДОКС были подтверждены с помощью комплексной морфологической оценки с совместным использованием эхокардиографического метода. Более выраженное токсическое действие ДОКС было выявлено в сердце, почках и легких животных, менее выраженное в печени.
В ходе исследования было показано, что введение НР обеспечивает защитный эффект в отношении жизненно важных органов при развитии хронических кардиотоксических эффектов ДОКС. Для подтверждения протективных эффектов НР на модели хронической ДОКС-индуцированной кардиомиопатии использовались различные схемы его введения (сочетанная и превентивная). Сочетанный режим основан на одновременном применении ДОКС и протективного НР. Превентивный режим предполагал предварительное использование НР для реализации накопительного эффекта в клетках, и дальнейшее совместное применение его вместе с данным химиопрепаратом.
Используемые схемы введения НР обеспечивали протективный эффект, при этом наиболее выраженное защитное действие НР наблюдалось при использовании превентивного режима (НР/НР+ДОКС). На настоящий момент работы, направленные на исследование влияния НР на состояние различных систем органов, представлены в единичных количествах. Так, было показано, что никотинамид рибозид киназа-2 (NRK-2) играет критическую роль в снижении сердечной недостаточности после ишемического повреждения. На модели мышей с нокаутом NRK-2 было продемонстрировано увеличение дисфункции сердца и фиброза миокарда, а также повышенная экспрессия генов, предсердного натрийуретического пептида и мозгового натрийуретического пептида [30, 31]. В нашем исследовании было показано снижение относительной площади фиброза миокарда у животных групп НР+ДОКС и НР/НР+ДОКС по сравнению с ДОКС. Также проявления токсических эффектов ДОКС в почках и легких было менее выражено у крыс, получавших НР, однако более выражен защитный эффект предшественника НАД+ при превентивной схеме введения.
Известно, что НР способен уменьшать накопление коллагена в печени, ингибировать активацию звездчатых клеток печени [32, 33]. Наши результаты, по патоморфологической оценке, повреждения печени согласуются с литературными данными. В данной работе количество перисинусоидальных клеток (в том числе звездчатых клеток) повышено в группе ДОКС по сравнению с контролем и достоверно снижается в группах НР+ДОКС и НР/НР+ДОКС.
Токсические эффекты в отношении бронхолегочной системы ДОКС менее изучены, чем кардиотоксические, так как они в меньшей степени выражены у онкологических пациентов. Экспериментальных работ представлено также небольшое количество [15, 34]. Токсическое воздействие ДОКС на легкие проявляется утолщением альвеолярных перегородок, снижением воздушности легочной ткани за счет отека, интерстициальной воспалительной инфильтрации и увеличения количества коллагеновых волокон в ткани. Эти морфологические параметры были менее выражены в обеих группах, получавших НР.
ДОКС-индуцированная нефропатия является классической моделью почечной недостаточности у грызунов [35]. На этой модели показано, что ДОКС вызывает повреждение канальцев почек и почечных клубочков, в том числе с развитием фиброза, гломерулосклероза, тубулоинтерстициального воспаления, а также отложений мочевой кислоты в почечных канальцах [36]. При повреждении почек нарушается их выделительная функция – в сыворотке крови снижается концентрация альбумина, повышается содержание оксида азота и провоспалительных цитокинов – ИЛ-1β, ФНО-α, ФРО-β и ИЛ-6, а также креатинина и мочевины [37]. Отмечается также снижение активности ферментов антиоксидантной защиты [38]. В ходе работы введение НР в обоих режимах оказало эффективное протективное действие на ткани почек. Дистрофические изменения эпителия канальцев и количество гиалиновых цилиндров было менее выражено в группе НР/НР+ДОКС по сравнению с группой ДОКС.
По результатам нашей работы можно предположить, что превентивный режим внутривенного введения НР обеспечивает более выраженное протективное действие по сравнению с сочетанным режимом благодаря реализации накопительного эффекта. Предварительное введение НР могло обеспечить увеличение уровней НАД+ в компартментах клетки до начала воздействия ДОКС. Это в свою очередь простимулировало активацию SIRTs, способных подавлять экспрессию TGF-β, Smad2/3, стимулировать forkhead box protein O (FOXO), adenosine monophosphate-activated protein kinase (AMPK), PGC-1α, тем самым, ослабило развитие сердечного фиброза [22], фиброза и воспаления печени [39], почек, легких [40, 41]. Играя огромную роль в клеточном гомеостазе, очевидна необходимость более детального исследования взаимодействия НР/НАД+/SIRTs, так как этот путь может стать новой выгодной терапевтической мишенью.
Таким образом, в условиях применения ДОКС наблюдается полиорганное поражение, которое проявляется в накапливающихся прогрессирующих морфологических изменениях в сердце, почках, легких, печени. Внутривенное введение НР обеспечивает снижение данных патологических изменений. При этом превентивный режим введения оказывает более выраженный эффект.
ВКЛАДЫ АВТОРОВ
Идея работы и планирование эксперимента (Я.Г.Т., Е.Ю.П.), сбор данных (Е.Ю.П., З.Е.А.), обработка данных (Е.Ю.П., Н.Ю.С.), написание и редактирование манускрипта (Е.Ю.П., Н.Ю.С., Я.Г.Т., В.А.Ц.).
СОБЛЮДЕНИЕ ЭТИЧЕСКИХ СТАНДАРТОВ
Все применимые международные, национальные и/или институциональные принципы ухода и использования животных были соблюдены. Все процедуры, выполненные в исследованиях с участием животных, соответствовали этическим стандартам, утвержденным правовыми актами РФ, принципам Базельской декларации и рекомендациям [комиссия по контролю содержания и использования лабораторных животных ФГБУ “НМИЦ им. В.А. Алмазова” Минздрава России, IACUC, номер протокола-заявки: 20–09ПЗ#V2].
ИСТОЧНИКИ ФИНАНСИРОВАНИЯ
Данное исследование выполнено при финансовой поддержке Министерства здравоохранения Российской Федерации “Создание новых препаратов для лечения и профилактики доксорубицин-индуцированной кардиомиопатии” (№ 123021000147–5).
КОНФЛИКТ ИНТЕРЕСОВ
Авторы декларируют отсутствие явных и потенциальных конфликтов интересов, связанных с публикацией данной статьи.
About the authors
E. Yu. Podyacheva
Almazov National Medical Research Centre, Ministry of Health of the Russian Federation
Author for correspondence.
Email: ekaterinapodyachevaspb@gmail.com
Russian Federation, Saint-Petersburg
N. Yu. Semenova
Almazov National Medical Research Centre, Ministry of Health of the Russian Federation
Email: ekaterinapodyachevaspb@gmail.com
Russian Federation, Saint-Petersburg
Z. E. Artyukhina
Almazov National Medical Research Centre, Ministry of Health of the Russian Federation
Email: ekaterinapodyachevaspb@gmail.com
Russian Federation, Saint-Petersburg
V. A. Zinserling
Almazov National Medical Research Centre, Ministry of Health of the Russian Federation
Email: ekaterinapodyachevaspb@gmail.com
Russian Federation, Saint-Petersburg
Ya. G. Toropova
Almazov National Medical Research Centre, Ministry of Health of the Russian Federation
Email: ekaterinapodyachevaspb@gmail.com
Russian Federation, Saint-Petersburg
References
- Hussen NH, Hasan AH, Muhammed GO, Yassin AY (2023) Anthracycline in Medicinal Chemistry: Mechanism of Cardiotoxicity, Preventive and Treatment Strategies. Curr Org Chem 1–15. https://doi.org/10.2174/1385272827666230423144150
- Schirone L, D’ambrosio L, Forte M, Genovese R, Schiavon S, Spinosa G, Iacovone G, Valenti V, Frati G, Sciarretta S (2022) Mitochondria and Doxorubicin-Induced Cardiomyopathy: A Complex Interplay. Cells 11:1–16. https://doi.org/10.3390/cells11132000
- Wenningmann N, Knapp M, Ande A, Vaidya TR, Ait-Oudhia S (2019) Insights into doxorubicin-induced cardiotoxicity: Molecular mechanisms, preventive strategies, and early monitoring. Mol Pharmacol 96:219–232. https://doi.org/10.1124/mol.119.115725
- Ma W, Wei S, Zhang B, Li W (2020) Molecular Mechanisms of Cardiomyocyte Death in Drug-Induced Cardiotoxicity. Front Cell Dev Biol 8:1–17. https://doi.org/10.3389/fcell.2020.00434
- Li N, Jiang W, Wang W, Xiong R, Wu X, Geng Q (2021) Ferroptosis and its emerging roles in cardiovascular diseases. Pharmacol Res 166:105466. https://doi.org/10.1016/j.phrs.2021.105466
- Mukhopadhyay P, Rajesh M, Bátkai S, Kashiwaya Y, Haskó G, Liaudet L, Szabó C, Pacher P (2009) Role of superoxide, nitric oxide, and peroxynitrite in doxorubicin-induced cell death in vivo and in vitro. Am J Physiol – Hear Circ Physiol 296:1466–1483. https://doi.org/10.1152/ajpheart.00795.2008
- Christidi E, Brunham LR (2021) Regulated cell death pathways in doxorubicin-induced cardiotoxicity. Cell Death Dis 12:. https://doi.org/10.1038/s41419-021-03614-x
- Prasanna PL, Renu K, Valsala Gopalakrishnan A (2020) New molecular and biochemical insights of doxorubicin-induced hepatotoxicity. Life Sci 250:117599. https://doi.org/10.1016/j.lfs.2020.117599
- Alhowail AH, Bloemer J, Majrashi M, Pinky PD, Bhattacharya S, Yongli Z, Bhattacharya D, Eggert M, Woodie L, Buabeid MA, Johnson N, Broadwater A, Smith B, Dhanasekaran M, Arnold RD, Suppiramaniam V (2019) Doxorubicin-induced neurotoxicity is associated with acute alterations in synaptic plasticity, apoptosis, and lipid peroxidation. Toxicol Mech Methods 29:457–466. https://doi.org/10.1080/15376516.2019.1600086
- Pugazhendhi A, Edison TNJI, Velmurugan BK, Jacob JA, Karuppusamy I (2018) Toxicity of Doxorubicin (Dox) to different experimental organ systems. Life Sci 200:26–30. https://doi.org/10.1016/j.lfs.2018.03.023
- Fujimura T, Yamagishi SI, Ueda S, Fukami K, Shibata R, Matsumoto Y, Kaida Y, Hayashida A, Koike K, Matsui T, Nakamura KI, Okuda S (2009) Administration of pigment epithelium-derived factor (PEDF) reduces proteinuria by suppressing decreased nephrin and increased VEGF expression in the glomeruli of adriamycin-injected rats. Nephrol Dial Transplant 24:1397–1406. https://doi.org/10.1093/ndt/gfn659
- Ramadan R, Faour D, Awad H, Khateeb E, Cohen R, Yahia A, Torgovicky R, Cohen R, Lazari D, Kawachi H, Abassi Z (2012) Early treatment with everolimus exerts nephroprotective effect in rats with adriamycin-induced nephrotic syndrome. Nephrol Dial Transplant 27:2231–2241. https://doi.org/10.1093/ndt/gfr581
- Aljobaily N, Viereckl MJ, Hydock DS, Aljobaily H, Wu TY, Busekrus R, Jones B, Alberson J, Han Y (2021) Creatine alleviates doxorubicin-induced liver damage by inhibiting liver fibrosis, inflammation, oxidative stress, and cellular senescence. Nutrients 13:1–15. https://doi.org/10.3390/nu13010041
- Owumi SE, Lewu DO, Arunsi UO, Oyelere AK (2021) Luteolin attenuates doxorubicin-induced derangements of liver and kidney by reducing oxidative and inflammatory stress to suppress apoptosis. Hum Exp Toxicol 40:1656–1672. https://doi.org/10.1177/09603271211006171
- Owumi SE, Nwozo SO, Arunsi UO, Oyelere AK, Odunola OA (2021) Co-administration of Luteolin mitigated toxicity in rats’ lungs associated with doxorubicin treatment. Toxicol Appl Pharmacol 411:115380. https://doi.org/10.1016/j.taap.2020.115380
- Podyacheva E, Toropova Y (2022) SIRT1 activation and its effect on intercalated disc proteins as a way to reduce doxorubicin cardiotoxicity. Front Pharmacol 13:1–23. https://doi.org/10.3389/fphar.2022.1035387
- Guven C, Sevgiler Y, Taskin E (2018) Mitochondrial Dysfunction Associated with Doxorubicin. Mitochondrial Dis. https://doi.org/10.5772/intechopen.80284
- Santos-Alves E, Rizo-Roca D, Marques-Aleixo I, Coxito P, Martins S, Guimarães JT, Oliveira PJ, Torrella JR, Magalhães J, Ascensão A (2019) Physical exercise positively modulates DOX-induced hepatic oxidative stress, mitochondrial dysfunction and quality control signaling. Mitochondrion 47:103–113. https://doi.org/10.1016/j.mito.2019.05.008
- Podyacheva E, Toropova Y (2021) Nicotinamide Riboside for the Prevention and Treatment of Doxorubicin Cardiomyopathy. Opportunities and Prospects. Nutrients 13:3435. https://doi.org/10.3390/nu13103435
- Zheng D, Zhang Y, Zheng M, Cao T, Wang G, Zhang L, Brockman J, Zhong H, Fan G, Peng T, Sciences M, Health L, Centre S, Physiology S (2019) Nicotinamide riboside promotes autolysosome clearance in preventing doxorubicin-induced cardiotoxicity. Clin Sci (Lond) 133:1505–1521. https://doi.org/10.1042/CS20181022.Nicotinamide
- Mazumder S, Barman M, Bandyopadhyay U, Bindu S (2020) Sirtuins as endogenous regulators of lung fibrosis: A current perspective. Life Sci 258:118201. https://doi.org/10.1016/j.lfs.2020.118201
- Liu ZH, Zhang Y, Wang X, Fan XF, Zhang Y, Li X, Gong Y sheng, Han LP (2019) SIRT1 activation attenuates cardiac fibrosis by endothelial-to-mesenchymal transition. Biomed Pharmacother 118:. https://doi.org/10.1016/j.biopha.2019.109227
- Masri S, Rigor P, Cervantes M, Ceglia N, Sebastian C, Xiao C, Roqueta-Rivera M, Deng C, Osborne TF, Mostoslavsky R, Baldi P, Sassone-Corsi P (2014) Partitioning circadian transcription by SIRT6 leads to segregated control of cellular metabolism. Cell 158:659–672. https://doi.org/10.1016/j.cell.2014.06.050
- Cai J, Liu Z, Huang X, Shu S, Hu X, Zheng M, Tang C, Liu Y, Chen G, Sun L, Liu H, Liu F, Cheng J, Dong Z (2020) The deacetylase sirtuin 6 protects against kidney fibrosis by epigenetically blocking β-catenin target gene expression. Kidney Int 97:106–118. https://doi.org/10.1016/j.kint.2019.08.028
- Ma W, Mao Q, Xia W, Dong G, Yu C, Jiang F (2019) Gut microbiota shapes the efficiency of cancer therapy. Front Microbiol 10:1–9. https://doi.org/10.3389/fmicb.2019.01050
- Podyacheva E, Semenova N, Zinserling V, Mukhametdinova D, Goncharova I, Zelinskaya I, Sviridov E, Martynov M, Osipova S, Toropova Y (2022) Intravenous Nicotinamide Riboside Administration Has a Cardioprotective Effect in Chronic Doxorubicin-Induced Cardiomyopathy. Int J Mol Sci 23:1–19. https://doi.org/10.3390/ijms232113096
- Toropova YG, Pechnikova NA, Zelinskaya IA, Zhuravsky SG, Kornyushin O V., Gonchar AI, Ivkin DY, Leonova Y V., Karev VE, Karabak IA (2018) Nicotinamide riboside has protective effects in a rat model of mesenteric ischaemia-reperfusion. Int J Exp Pathol 99:304–311. https://doi.org/10.1111/iep.12302
- Podyacheva EY, Kushnareva EA, Karpov AA, Toropova YG (2021) Analysis of Models of Doxorubicin-Induced Cardiomyopathy in Rats and Mice. A Modern View From the Perspective of the Pathophysiologist and the Clinician. Front Pharmacol 12:1–12. https://doi.org/10.3389/fphar.2021.670479
- Podyacheva E, Shmakova T, Kushnareva E, Onopchenko A, Martynov M, Andreeva D, Toropov R, Cheburkin Y, Levchuk K, Goldaeva A, Toropova Y (2022) Modeling Doxorubicin-Induced Cardiomyopathy With Fibrotic Myocardial Damage in Wistar Rats. Cardiol Res 13:339–356. https://doi.org/10.14740/cr1416
- Ahmad F, Tomar D, Aryal A C S, Elmoselhi AB, Thomas M, Elrod JW, Tilley DG, Force T (2020) Nicotinamide riboside kinase-2 alleviates ischemia-induced heart failure through P38 signaling. Biochim Biophys Acta – Mol Basis Dis 1866:165609. https://doi.org/10.1016/j.bbadis.2019.165609
- Shahzadi SK, Marzook H, Qaisar R, Ahmad F (2022) Nicotinamide riboside kinase-2 inhibits JNK pathway and limits dilated cardiomyopathy in mice with chronic pressure overload. Clin Sci (Lond) 136:181–196. https://doi.org/10.1042/CS20210964
- Jiang R, Zhou Y, Wang S, Pang N, Huang Y, Ye M, Wan T, Qiu Y, Pei L, Jiang X, Huang Y, Yang H, Ling W, Li X, Zhang Z, Yang L (2019) Nicotinamide riboside protects against liver fibrosis induced by CCl4 via regulating the acetylation of Smads signaling pathway. Life Sci 225:20–28. https://doi.org/10.1016/j.lfs.2019.03.064
- Pham TX, Bae M, Kim MB, Lee Y, Hu S, Kang H, Park YK, Lee JY (2019) Nicotinamide riboside, an NAD+ precursor, attenuates the development of liver fibrosis in a diet-induced mouse model of liver fibrosis. Biochim Biophys Acta – Mol Basis Dis 1865:2451–2463. https://doi.org/10.1016/j.bbadis.2019.06.009
- Ikewuchi CC, Ikewuchi JC, Ifeanacho MO (2021) Aqueous leafextracts of Chromolaena odorata and Tridax procumbens attenuated doxorubicin-induced pulmonary toxicity in Wistar rats. Biotechnologia 102:387–398. https://doi.org/10.5114/BTA.2021.111096
- Grant MKO, Seelig DM, Sharkey LC, Choi WSV, Abdelgawad IY, Zordoky BN (2019) Sexual dimorphism of acute doxorubicin-induced nephrotoxicity in C57Bl/6 mice. PLoS One 14:1–19. https://doi.org/10.1371/journal.pone.0212486
- Xiang C, Yan Y, Zhang D (2021) Alleviation of the doxorubicin-induced nephrotoxicity by fasudil in vivo and in vitro. J Pharmacol Sci 145:6–15. https://doi.org/10.1016/j.jphs.2020.10.002
- Demir F, Demir M, Aygun H (2020) Evaluation of the protective effect of edaravone on doxorubicin nephrotoxicity by [99mTc]DMSA renal scintigraphy and biochemical methods. Naunyn Schmiedebergs Arch Pharmacol 393:1383–1390. https://doi.org/10.1007/s00210-020-01832-2
- Soltani Hekmat A, Chenari A, Alipanah H, Javanmardi K (2021) Protective effect of alamandine on doxorubicin-induced nephrotoxicity in rats. BMC Pharmacol Toxicol 22:1–11. https://doi.org/10.1186/s40360-021-00494-x
- Zhang J, Li Y, Liu Q, Huang Y, Li R, Wu T, Zhang Z, Zhou J, Huang H, Tang Q, Huang C, Zhao Y, Zhang G, Jiang W, Mo L, Zhang J, Xie W, He J (2021) Sirt6 Alleviated Liver Fibrosis by Deacetylating Conserved Lysine 54 on Smad2 in Hepatic Stellate Cells. Hepatology 73:1140–1157. https://doi.org/10.1002/hep.31418
- Hong YA, Kim JE, Jo M, Ko GJ (2020) The role of sirtuins in kidney diseases. Int J Mol Sci 21:1–21. https://doi.org/10.3390/ijms21186686
- Cetrullo S, D’Adamo S, Tantini B, Borzì RM, Flamigni F (2015) MTOR, AMPK, and sirt1: Key players in metabolic stress management. Crit Rev Eukaryot Gene Expr 25:59–75. https://doi.org/10.1615/CritRevEukaryotGene Expr.2015012975
Supplementary files












