Стадии зрелости гонад тихоокеанского окуня-клювача Sebastes alutus (Sebastidae)
- Authors: Жукова К.А.1,2,3, Согрина А.В.3, Терпугова Н.Ю.3
-
Affiliations:
- Университет МГУ-ППИ в Шэньчжэне
- Московский государственный университет
- Всероссийский научно-исследовательский институт рыбного хозяйства и океанографии
- Issue: Vol 64, No 1 (2024)
- Pages: 85-93
- Section: Articles
- URL: https://journals.rcsi.science/0042-8752/article/view/257288
- DOI: https://doi.org/10.31857/S0042875224010083
- EDN: https://elibrary.ru/HMVJTS
- ID: 257288
Cite item
Full Text
Abstract
Приведены результаты исследования яичников и семенников тихоокеанского окуня-клювача Sebastes alutus по материалам, собранным весной 2019 и 2021 гг. в Беринговом море. Для точного определения стадий зрелости и составления визуальной шкалы зрелости гонад использовали гистологические методы. Шкала зрелости яичников включает в себя IX, семенников – VI стадий зрелости. Для самок характерны синхронные развитие личинок и их вымет; самцы нерестятся порционно. После вымета личинок гонады самок переходят в стадию зрелости IX–III. По физиологическому состоянию гонад в выборках из промысловых скоплений выявлены три группы особей, различающихся по размерам: неполовозрелые, созревающие и половозрелые, принимающие участие в нересте текущего года. Созревание гонад у тихоокеанского клювача начинается при длине тела по Смитту 25 см, 50% особей созревают при длине ~ 30 см, все рыбы – при 35 см и более.
Full Text
Тихоокеанский окунь-клювач Sebastes alutus – морская стайная рыба, обитающая на материковом и островных склонах и шельфе морей северной части Тихого океана, важнейший промысловый объект дальневосточного региона России (Барсуков, 2003; Промысловые рыбы …, 2006). Этот вид является самым многочисленным среди других морских окуней повсеместно в северной части Тихого океана. Как и другие тихоокеанские представители рода Sebastes, он подвергается большой промысловой нагрузке из-за низкого темпа роста, позднего возраста наступления полового созревания, низкой годовой популяционной плодовитости и тенденции собираться в большие косяки, что облегчает его лов (Malecha et al., 2007; Антонов и др., 2016).
Тихоокеанский клювач относится к живородящим видам, для которых характерно внутреннее оплодотворение, после которого яйца проходят этапы эмбрионального развития внутри репродуктивной системы самки, потомство выходит в окружающую среду на этапе личинки (Сорокин, 1958). Развитие яичников и семенников тихоокеанских клювачей асинхронно. Во время спаривания гонады самцов находятся на стадии зрелости V, самок – на II или III стадиях. После спаривания в яичниках продолжается созревание ооцитов в течение 3–4 мес., и при достижении женскими гонадами стадии зрелости V происходит оплодотворение. Эмбриогенез проходит в яичниках в течение 2–3 мес., после чего самка вымётывает свободноплавающих личинок. Тихоокеанский клювач, как и другие морские окуни, относится к полицикличным видам, размножающимся несколько раз в жизни (Любимова, 1965).
Довольно полно исследованы распределение, рост, смертность, возрастной и размерный составы скоплений, ранний период жизни и внутривидовая изменчивость тихоокеанского клювача (Барсуков, 1964, 2003; Снытко 2001; Malecha et al., 2007; Монахтина, Терентьев, 2011; Зудина, 2020). Информация о репродуктивной биологии вида касается плодовитости, особенностей развития половых клеток, эмбриогенеза, стадий зрелости семенников и нереста (Любимова, 1965; Лисовенко, 1965, 1970; Снытко, 1970; Shaw et al., 2012).
Данные о половозрелости промысловых видов рыб используют в оценке нерестового запаса, определении возраста и размеров созревания и пополнения промыслового запаса. Степень зрелости гонад обычно оценивают визуально у свежевыловленной и вскрытой рыбы. Для этого используют такие признаки, как размер, форма, цвет, упругость гонад. Такой способ более дешев и требует меньше времени и усилий, но не всегда точен. Гистологический метод является более дорогостоящим и трудоёмким, но обеспечивает более точную оценку стадий зрелости, а также даёт дополнительную информацию о процессах прохождения спермато- и оогенеза и физиологическом состоянии гонад. Постоянное использование гистологического метода для определения стадий зрелости гонад промысловых рыб в ходе мониторинга экономически невыгодно и затратно по времени, поэтому решением проблемы является создание видоспецифичной визуальной шкалы, подтверждённой с помощью гистологических методов. В связи с этим цель настоящего исследования – интегрировать визуальный и микроскопический подходы для уточнения классификации стадий зрелости гонад и повышения качества мониторинга репродуктивного потенциала тихоокеанских окуней-клювачей.
МАТЕРИАЛ И МЕТОДИКА
Материал собран в апреле 2019 г. и марте 2021 г. в Беринговом море на борту рыболовного траулера морозильного (РТМ) П-0697 “Камлайн” (ООО “Росрыбфлот”) во время облова весенних скоплений тихоокеанского окуня-клювача в координатах 56°02′–60°43′ с.ш., 162°13′–174°37′ в.д.
Гонады фиксировали в жидкости Буэна. Гистологическую обработку проб проводили по стандартным методикам (Микодина и др., 2009). После ксилольно-спиртовой проводки с использованием автоматической станции Microm STP 120 ткани заливали в парафин на установке Microm EC 350-1. Срезы толщиной 4–5 мкм изготавливали на микротоме HM 440E (все приборы производства Thermo Fisher Scientific Inc., США) и последовательно окрашивали гематоксилином по Эрлиху и эозином (Роскин, 1951). Изучение и фотосъёмку препаратов проводили с использованием светового микроскопа Olympus BX45 с цифровой фотокамерой Olympus DP25 (Япония). Диаметры половых клеток и их структур измеряли с использованием программы Image J (https://imagej.net/ij/).
Для сравнения длины по Смитту (FL) впервые и повторно созревающих самок и самцов был использован U-критерий Манна–Уитни, позволяющий выявить достоверность различий между небольшими выборками (461 самок и 744 самца).
РЕЗУЛЬТАТЫ
FL тихоокеанских клювачей варьировала от 16.5 до 47.0 см, в среднем составляя 34.4 ± 4.6 см у самок и 34.9 ± 2.3 см – у самцов и не различаясь статистически (p = 0.784). Масса окуней составляла 30–1540 г, в среднем 524.2 ± 211.8 г – у самок и 536.6 ± 133.3 г – у самцов. В весенних скоплениях преобладали самцы. Соотношение самок и самцов (в %) в уловах в 2019 г. составило 27:73, в 2021 г. – 46:54.
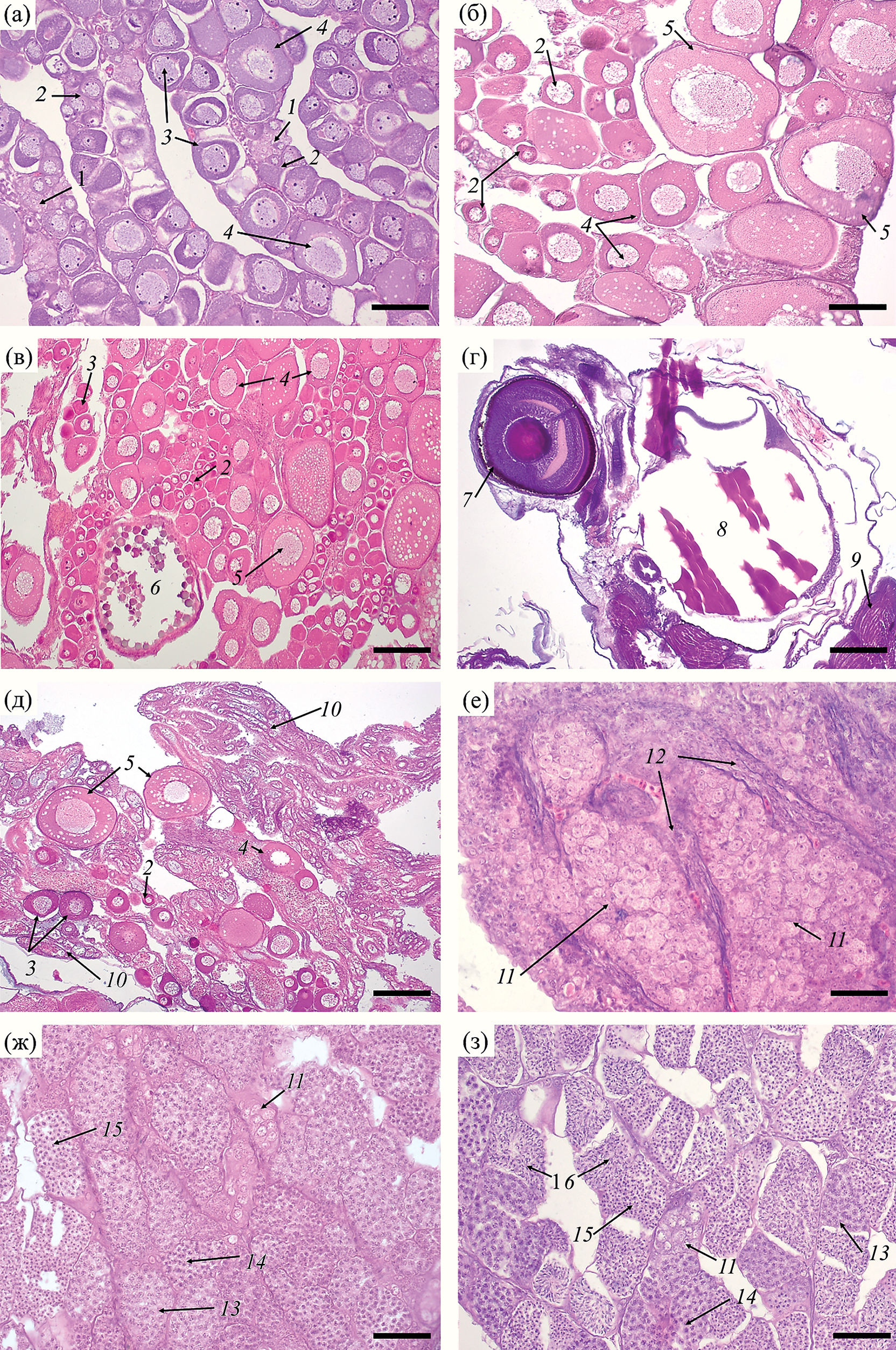
Внешний вид яичников и семенников разных стадий зрелости приведён на рис. 1 и 2, их гистологические препараты – на рис. 3. Самые мелкие самки имели гонады стадии зрелости II, которые располагались в полости тела каудально. Яичники были вытянутыми, округлой формы, полупрозрачными, мягкими на ощупь, сероватого или желтоватого цвета (рис. 1а). Гистологический анализ показал наличие внутри гонад оогониев и ооцитов периода превителлогенеза. Оогонии размером в среднем 9.7 ± 1.5 (7–13) мкм, с прозрачной цитоплазмой и большим ядром, располагались группами. Диаметры ооцитов ранней, средней и поздней фаз превителлогенеза составили соответственно 26.1 ± 6.1, 60.1 ± 4.5 и 113.7 ± 11.9 мкм. Они имели базофильно окрашенную цитоплазму и большое круглое ядро (рис. 3а).
Рис. 1. Яичники тихоокеанского окуня-клювача Sebastes alutus разных стадий зрелости: а – II, б – II–III, в – III, г – IV, д – VI, е – VII, ж – VIII, з – IX–III. Здесь и на рис. 2: (→) – гонады.
Рис. 2. Семенники тихоокеанского окуня-клювача Sebastes alutus разных стадий зрелости: а – II, б – II–III, в – III, г – IV–V: (*) – семяпровод, заполненный сперматозоидами.
Рис. 3. Яичники (а–д) и семенники (е–з) тихоокеанского окуня-клювача Sebastes alutus стадий зрелости II (а, е), II–III (б, ж), III (в, з), VIII (г), IX (д): 1 – оогонии; 2–4: фазы превителлогенеза: 2 – ранняя, 3 – средняя, 4 – поздняя; 5 – фаза вакуолизации, 6 – фаза вителлогенеза, 7 – глаз, 8 – желток, 9 – мускулатура эмбриона, 10 – опустевшие фолликулы, 11 – сперматогонии, 12 – соединительнотканные элементы гонады; 13, 14 – сперматоциты I и II порядка; 15 – сперматиды, 16 – сперматозоиды. Масштаб, мкм: а, б – 100, в–д – 200, е–з – 50.
Яичники стадии зрелости II–III были крупнее неполовозрелых в два-три раза, непрозрачными и мягкими на ощупь, желтоватого или серого цвета, ооцитов не было видно (рис. 1б). Старшей генерацией половых клеток были ооциты фазы вакуолизации размером 208.4 ± 19.5 мкм. Также в гонадах присутствовали ооциты всех фаз превителлогенеза (рис. 3б). Яичники III стадии зрелости имели яркий оранжевый или жёлтый оттенок, занимали половину полости тела. Мелкие ооциты были видны невооружённым глазом (рис. 1в). В яичниках наиболее зрелых самок одновременно отмечали три группы ооцитов. Первая состояла из ооцитов периода превителлогенеза, представляя собой резервный фонд половых клеток. Вторая включала в себя ооциты фазы вакуолизации, третья была представлена лидирующей генерацией женских половых клеток – ооцитами наполовину либо полностью заполненными желтком (рис. 3в). Гонады IV стадии зрелости были ярко-жёлтого или оранжевого цвета, через тонкую растянутую оболочку видны плотно прижатые друг к другу крупные ооциты размером 0.7–0.9 мм (рис. 1г). VI стадия зрелости в гонадах живородящих рыб с внутренним оплодотворением соответствует началу эмбриогенеза. Под оболочкой гонады тихоокеанского клювача располагались развивающиеся оплодотворённые икринки. Из-за этого гонада приобретала желтовато-серый цвет. Желток эмбрионов ярко-жёлтого цвета и был виден под оболочкой яичника (рис. 1д).
Отличительной чертой VII стадии зрелости являлось наличие пигментированных глаз у зародышей, которые были хорошо видны на фоне общего жёлтого цвета яичников (рис. 1е). На VIII стадии зрелости проходило дальнейшее развитие эмбрионов, цвет их глаз приобретал металлический оттенок. Из-за пигментации зародышей вся гонада становилась тёмно-серого цвета (рис. 1ж, 3г). IX–III стадия зрелости являлась результатом вымета личинок, яичники становились мягкими, вялыми и уменьшались в размерах. Кровеносные сосуды были расширены, гонады становились буро-красного цвета. В яйценосных пластинках отмечали единичных невыметанных личинок (рис. 1з). В таких гонадах отмечено большое количество соединительнотканных элементов и кровеносных сосудов, которые составляли строму, поддерживая созревающих зародышей, последние к моменту исследования уже были выметаны. Генеративная часть была представлена превителлогенными ооцитами, а также ооцитами фазы вакуолизации, которые были организованы в группы (рис. 3д).
Семенники незрелых самцов II стадии зрелости были полупрозрачными, вытянутыми вдоль дорсальной части полости тела, тонкие, розовато-сероватого цвета (рис. 2а). В таких гонадах присутствовали только сперматогонии разных порядков диаметром 9.9 ± 1.7 (7.2–13.5) мкм. Медиальные районы были заполнены соединительнотканными элементами, цисты с мужскими половыми клетками концентрировались латерально (рис. 3е). Начало созревания семенников отмечено на стадии зрелости II–III. Гонады становились крупнее, твёрдыми на ощупь, непрозрачными, серовато-розового или желтоватого цвета (рис. 2б). Большинство половых клеток в них составляли сперматоциты I и II порядков, размеры которых соответственно 5.9 ± 0.5 (5.4–7.2) и 4.9 ± 0.7 (4.1–6.5) мкм. Также были отмечены сперматиды размером 2.5 ± 0.4 (2.2–3.4) мкм и сперматогонии (рис. 3ж). Семенники стадии зрелости III были толще, длиннее, упругими на ощупь, сероватого или розоватого цвета (рис. 2в). Самой зрелой группой половых клеток были сперматозоиды, но по количеству преобладали сперматоциты II порядка и сперматиды (рис. 3з). Размеры сперматозоидов составили 2.3 ± 0.3 (1.8–2.6) мкм, их головка имела серповидную форму. C увеличением количества зрелых мужских половых клеток семенники становились объёмными и приобретали молочно-розовый цвет. Семяпровод был заполнен сперматозоидами. Самцы с такими гонадами находились между спариваниями, стадия зрелости семенников соответствовала IV–V (рис. 2г).
Большинство исследованных самок (68 и 56% соответственно в 2019 в 2021 гг.) были готовы к вымету личинок; в их гонадах присутствовали созревающие или зрелые зародыши (стадии зрелости гонад VI, VII и VIII); 24% рыб в 2019 и 2021 гг. имели созревающие яичники (стадии зрелости II–III, III). Такие особи не принимали участие в нересте по причине того, что их гонады не успели созреть (рис. 3б, 3в). Самки с яичниками стадии зрелости II–III и III статистически не различались (р = 0.153) по своим размерам, что позволило объединить их в одну группу – созревающие. Внешний вид яичников 8% самок в 2019 г. указывал на то, что такие особи недавно выметали личинок (рис. 1з). Средние значения FL рыб, участвующих в нересте текущего года, составили 34.7 ± 2.2 см, созревающих (стадии зрелости II–III и III) – 32.4 ± 3.2 см и неполовозрелых (стадия зрелости II) – 25.0 ± 2.7 см. Средняя FL самок, участвующих в нересте текущего года, была достоверно выше, чем у созревающих и неполовозрелых (p ≤ 0.001). Самцов можно было разделить на четыре группы – неполовозрелых FL 33.0 ± 2.6 см, созревающих особей с гонадами стадии зрелости II–III (33.0 ± 1.7 см) и стадии зрелости III (35.0 ± 1.9 см), а также принимавших участие в нересте текущего года FL 37.0 ± 2.1 см. Эти группы статистически различались по размерам особей, за исключением неполовозрелых рыб и начавших созревать (II–III стадия зрелости гонад).
При FL до 24 см все особи были неполовозрелыми, первые рыбы с созревающими гонадами были отмечены при длине 25 см, в размерных классах от 25 см доля половозрелых рыб росла и достигла 50% при FL ~30 см. Все особи были половозрелыми при FL 35 см и более (рис. 4).
Рис. 4. Огива созревания тихоокеанского окуня-клювача Sebastes alutus. Пунктирная линия показывает, при какой длине по Смитту (FL) 50% рыб достигают половой зрелости.
ОБСУЖДЕНИЕ
Особенности созревания гонад и репродуктивная стратегия тихоокеанского окуня-клювача в целом соответствовали таковым у других окуней рода Sebastes (Сорокин 1958; Ni, Templeman, 1985; Chang et al., 1995). Тихоокеанский клювач относится к полицикличным видам с внутренним оплодотворением, прерывистым типом оогенеза, детерминированной плодовитостью и синхронным вителлогенезом. В яичниках стадий зрелости VI–VIII присутствуют только синхронно развивающиеся зародыши и превителлогенные ооциты, что указывает на синхронное оплодотворение всех зрелых икринок и единовременный вымет личинок один раз в год. Сходную стратегию имеют S. dallii, S. entomelas, S. flavidus и др. Также у морских окуней рода Sebastes отмечают порционный вымет личинок, в этом случае в яичниках кроме развивающихся эмбрионов присутствуют неоплодотворённые зрелые ооциты, что позволяет рыбам нереститься два и более раз в год (Love et al., 1990).
Нагул и нерест тихоокеанского клювача проходят в разных районах в разные сезоны. Нагуливаясь, он накапливает энергию, которую потом использует позже для размножения, прекращая питаться во время нереста (Любимова, 1963). Такая стратегия распределения энергии называется капитальной и отмечена у видов с синхронным вителлогенезом и единовременным или порционным икрометанием (McBride et al., 2015).
Особи, которых мы исследовали в марте–апреле, в основном относились к преднерестовым самкам и созревающим самцам, что согласуется с данными, полученными ранее другими авторами. В Беринговом море тихоокеанский клювач начинает нереститься в мае на глубине 325–400 м в зоне материкового склона с прилегающими к нему глубоководными участками шельфа с круговыми течениями (Промысловые рыбы …, 2006). В зал. Аляска спаривание происходит с ноября по январь, а вымет личинок – в апреле–июне (Лисовенко, 1964; Любимова, 1965). В прикамчатских водах спаривание также происходит осенью, а вымет личинок – весной, с февраля по июль (Токранов и др., 2005).
Промысловые скопления тихоокеанского клювача включают в себя неполовозрелых рыб с гонадами стадии зрелости II, половозрелых (IV и выше) и созревающих особей (II–III и III), которые не участвуют в нересте этого года. Эти данные согласуются с результатами, полученными Лисовенко (1970), который отмечал, что созревание гонад (в нашей работе стадии зрелости II–III и III) происходит постепенно в течение двух-трёх лет, поэтому не существует резкого перехода от неполовозрелых рыб к половозрелым.
Сопоставляя полученные результаты с размерно-возрастным ключом Зудиной и Овчеренко (2020), можно полагать, что тихоокеанские клювачи остаются неполовозрелыми до возраста 10 лет, 50% особей достигают половой зрелости в возрасте 11–12 лет и в 15 лет все рыбы являются половозрелыми. Необходимо отметить, что по одним данным (Westrheim, 1973) FL 25 см соответствует возрасту 5–6 лет, 29 см – 10 годам; по другим (Archibald et al., 1981) – FL 30 см особи достигают к 5–6 годам, а FL 35 см отмечена у ~10-летних особей. Такая разница в сопоставлении размеров и возраста тихоокеанских клювачей связана с тем, что их средняя длина в возрастных группах варьирует из года в год и зависит от широты, снижаясь в более северных и западных областях обитания (Westrheim, 1973; Malecha et al., 2007). В зал. Аляска 50% рыб достигают половой зрелости в возрасте 6 лет, 100% – в 7–8 лет при значительно меньших размерах в 26–28 см (Любимова, 1965), а в водах около Орегона 50% рыб идут на нерест при FL 31 см (Hannah, Parker, 2007).
Огива созревания тихоокеанского окуня-клювача сходна с таковой для атлантического клювача S. mentella, у которого 50% особей также достигают половой зрелости при FL 30 см в отличие от золотистого S. marinus и розового S. fasciatus морских окуней, у которых эта длина составляет соответственно 34 и 26 см (Saborido-Rey, Kjesbu, 2005). Более подробные исследования атлантического клювача показали, что размеры особей при 50 и 100%-ном созревании различаются в пределах 4 см не только между полами, но и в разных районах Северной Атлантики. При этом начало созревания гонад у тихоокеанского и атлантического окуней отмечается при схожих размерах – 25–26 см (Бакай, Мельников, 2008).
Результаты нашего исследования указывают на то, что после нереста яичники тихоокеанского клювача содержат ооциты начальных фаз периода вителлогенеза, поэтому соответствуют стадии зрелости IX–III, а не II, как считали ранее (Любимова, 1965). Сходное изменение стадии зрелости с IX−II на IX−III описано и для атлантического клювача (Филина и др., 2017).
Структура мужских половых желёз тихоокеанского клювача соответствует лобулярному типу с неограниченным распределением сперматогониев в лобулах (Uribe et al., 2014), который также встречается у других представителей отряда Scorpaeniformes (Sàbat et al., 2009). Семенные канальцы расположены радиально, что соответствует перкоидному типу семенников. Внутреннее оплодотворение накладывает определённый отпечаток на развитие семенников. Половые железы имеют относительно небольшой размер, по сравнению с таковыми у видов с внешним оплодотворением. Нерест самцов в отличие от самок порционный, он длится ~ 4 мес. (Лисовенко, 1970). Для порционного нереста необходимо постоянно поддерживать определённое количество зрелых сперматозоидов в течение длительного времени. В отличие от других рыб с порционным нерестом, у которых это достигается за счёт того, что семенная жидкость разжижает сперматозоиды только в определённых областях гонады и выводит половые продукты наружу порциями (Жукова, 2018), у тихоокеанского клювача в зрелых готовых к нересту семенниках продолжается активный сперматогенез, что обеспечивает постоянное пополнение расходного фонда мужских половых клеток. В этот период семенники имеют определённую зональность: во внешнем районе (визуально тёмноокрашенный) происходит митоз сперматогониев и мейоз сперматоцитов, центральный район содержит готовую сперму (Лисовенко, 1970; наши данные).
Размеры большинства мужских половых клеток тихоокеанского клювача, которые мы измерили, были выше, чем обобщённые размеры половых клеток представителей рода Sebastes из работы Шоу с соавт. (Shaw et al., 2012). Вероятно, процессы спермато- и оогенеза имеют большую степень видоспецифичности, поэтому объединять результаты, полученные от разных видов, без соответствующего описания и сравнения особенностей развития гонад и половых клеток преждевременно.
У исследованного вида так же, как и других морских окуней, I и II стадии зрелости гонад соответствуют неполовозрелым рыбам, II–III и III – созревающим, IV – зрелым, V – овуляции и внутреннему оплодотворению, VI–VIII – интеровариальному эмбриональному развитию потомства, IX – вымету самкой личинок, IX–III у самок и VI–II у самцов – восстановлению и повторному созреванию. У самцов IV–V стадия зрелости определяет семенники между выметами порций спермы. В ходе составления шкалы стадий зрелости гонад тихоокеанского окуня-клювача мы придерживались общепринятой схемы стадий зрелости, предложенной для живородящих видов с внутренним оплодотворением, включающей в себя девять стадий зрелости для женских и шесть стадий для мужских половых желёз (Сорокин, 1958; Алексеев, Алексеева, 1996; Филина и др., 2015). Ранее для тихоокеанского клювача было предложено использование только восьми стадий для яичников (Любимова, 1965) и четырёх для семенников (Лисовенко, 1964). В ходе составления визуальной шкалы использованы как собственные результаты, так и данные Лисовенко (1970), Любимовой (1965) и Шоу с соавт. (Shaw et al., 2012).
ШКАЛА ЗРЕЛОСТИ ЯИЧНИКОВ ТИХООКЕАНСКОГО ОКУНЯ-КЛЮВАЧА
I. Гонады прозрачные, имеют вид единого тяжа, пол визуально не определить.
II. Яичники мягкие, небольшие, полупрозрачные, имеют округлые края, располагаются дорсокаудально.
II–III. Гонады в два-три раза больше, чем яичники стадии зрелости II, непрозрачные, ооцитов не видно.
III. Яичники яркого оранжевого цвета, мелкие ооциты (менее 0.7 мм) видны невооружённым глазом.
IV. Яичники ярко-жёлтого или оранжевого цвета, видны плотно прижатые друг к другу крупные матовые ооциты размером 0.7–0.9 мм.
IV. Гонады ярко-жёлтого цвета, набухшие, полость заполнена овариальной жидкостью, икринки крупные, прозрачные.
V. Яичник вздутый, мягкий, желтовато-серого цвета. Внутри развивающиеся оплодотворённые икринки имеют хорошо различимый желток ярко-жёлтого цвета.
VI. Яичник жёлтый с хорошо видными серыми пигментированными глазами зародышей.
VII. Яичник раздутый, тёмно-серого цвета, зародыши пигментированы полностью.
VIII. Яичники дряблые, имеют вид пустых мешков, подвижные личинки выходят из яичника.
IX–III. Яичник вялый, с кровоподтёками, буро-красного цвета, непрозрачный.
ШКАЛА ЗРЕЛОСТИ СЕМЕННИКОВ ТИХООКЕАНСКОГО ОКУНЯ-КЛЮВАЧА
I. Длинные тонкие прозрачные непарные тяжи, визуально пол определить нельзя.
II. Семенники мягкие, тонкие, полупрозрачные, розовато-сероватого цвета, вытянуты вдоль дорсальной части полости тела.
II–III. Гонады крупнее, твёрдые на ощупь, непрозрачные, серовато-розового или желтоватого цвета. Плоские по сравнению с семенниками стадии зрелости III.
III. Семенники крупнее, чем на стадии II–III, округло-треугольные в разрезе, упругие на ощупь, сероватого или розоватого цвета.
IV. Семенники большие, молочного цвета, в семяпроводе спермы нет.
IV. Гонады крупные, белого молочного цвета. Сперма вытекает при нажатии на брюшко самца.
IV–V. Гонады объёмные, розоватого молочного цвета, в семяпроводе находится сперма. При надрезе гонада может быть вся матового беловатого оттенка либо разделена на зоны: внешняя – более тёмная и плотная, внутренняя – светлая и мягкая, из неё при нажатии может выделяться сперма.
V. Семенники маленькие, дряблые буроватые, с грязно-белыми пятнами в каудальном отделе. В семяпроводе присутствует остаточная сперма.
VI–VII. Семенники маленькие, дряблые, непрозрачные, от коричневого до серого цвета. В семяпроводе спермы нет.
БЛАГОДАРНОСТИ
Авторы выражают благодарность экипажу РТМ “Камлайн” и капитану К.Ю. Краеву за неоценимую помощь в выполнении работы, руководству компании ООО “Росрыбфлот” за предоставленную возможность сбора уникального материала. Выражаем признательность руководителю Департамента морских и пресноводных рыб России ВНИРО Н.П. Антонову за помощь в организации экспедиции.
About the authors
К. А. Жукова
Университет МГУ-ППИ в Шэньчжэне; Московский государственный университет; Всероссийский научно-исследовательский институт рыбного хозяйства и океанографии
Author for correspondence.
Email: kzh@fish-zoology.ru
Taiwan, Province of China, Шэньчжэнь; Россия, Москва; Россия, Москва
А. В. Согрина
Всероссийский научно-исследовательский институт рыбного хозяйства и океанографии
Email: kzh@fish-zoology.ru
Russian Federation, Москва
Н. Ю. Терпугова
Всероссийский научно-исследовательский институт рыбного хозяйства и океанографии
Email: kzh@fish-zoology.ru
Russian Federation, Москва
References
- Алексеев Ф.Е., Алексеева Е.И. 1996. Определение стадий зрелости гонад и изучение половых циклов, плодовитости, продукции икры и темпа полового созревания у морских промысловых рыб. Калининград: Изд-во АтлантНИРО, 73 с.
- Антонов Н.П., Кловач Н.В., Орлов А.М. и др. 2016. Рыболовство в Дальневосточном рыбохозяйственном бассейне в 2013 г. // Тр. ВНИРО. Т. 160. С. 133–211.
- Бакай Ю.И., Мельников С.П. 2008. Биолого-экологическая характеристика окуня-клювача Sebastes mentella (Scorpaeniformes: Scorpaenidae) на разных глубинах в пелагиали моря Ирмингера // Вопр. ихтиологии. Т. 48. № 1. С. 73–85.
- Барсуков В.В. 1964. Внутривидовая изменчивость у тихоокеанского морского окуня (Sebastodes alutus Gilbert) // Тр. ВНИРО. Т. 49. Вып. 2. С. 231–252.
- Барсуков В.В. 2003. Аннотированный и иллюстрированный каталог морских окуней Мирового океана // Тр. ЗИН РАН. Т. 295. 319 с.
- Жукова К.А. 2018. Особенности сперматогенеза и шкала стадий зрелости семенников минтая Theragra chalcogramma (Gadidae) // Вопр. ихтиологии. Т. 58. № 1. С. 45–52. https://doi.org/10.7868/S004287521801006X
- Зудина С.М. 2020. Массовые виды морских окуней (род Sebastes) Камчатки и северных Курильских островов (ранний период жизни, возраст, распределение и промысел): Автореф. дис. ... канд. биол. наук. Петропавловск-Камчатский: КамчатГТУ, 23 с.
- Зудина С.М., Овчеренко Р.Т. 2020. Определение возраста и продолжительности жизни массовых видов морских окуней рода Sebastes в тихоокеанских водах Камчатки и северных Курильских островов // Вестн. КамчатГТУ. Вып. 52. C. 64–73. https://doi.org/10.17217/2079-0333-2020-52-64-73
- Лисовенко Л.А. 1964. Распределение личинок тихоокеанского морского окуня Sebastodes alutus Gilbert в заливе Аляска // Тр. ВНИРО. Т. 53. С. 223–231.
- Лисовенко Л.А. 1965. О плодовитости Sebastodes alutus Gilbert зал. Аляска // Там же. Т. 58.С. 171–178.
- Лисовенко Л.А. 1970. Материалы к изучению сперматогенеза тихоокеанского морского окуня Sebastodes alutus Gilbert залива Аляска // Там же. Т. 70. С. 246–264.
- Любимова Т.Г. 1963. Основные черты биологии и распределения тихоокеанского морского окуня (Sebastodes alutus Gilbert) в заливе Аляска // Там же. Т. 48. Вып. 1. С. 293–303.
- Любимова Т.Г. 1965. Основные этапы жизненного цикла морского окуня Sebastodes alutus Gilbert в зал. Аляска // Там же. Т. 58. Вып. 4. С. 95–120.
- Микодина Е.В., Седова М.А., Чмилевский Д.А. и др. 2009. Гистология для ихтиологов. Опыт и советы. М.: Изд-во ВНИРО, 111 с.
- Монахтина С.М., Терентьев Д.А. 2011. Промысел и размерно-возрастной состав уловов морских окуней (Sebastidae) в водах Восточной Камчатки в 2000–2008 гг. // Исслед. вод. биол. ресурсов Камчатки и сев.-зап. части Тихого океана. № 20. С. 58–62.
- Промысловые рыбы России. 2006. Т. 1. М.: Изд-во ВНИРО, 656 с.
- Роскин Г.И. 1951. Микроскопическая техника. М.: Сов. наука, 447 с.
- Снытко В.А. 1970. Размножение тихоокеанского окуня Ванкуверо-Орегонского района // Исследования по биологии рыб и промысловой океанографии. Вып. 4. Владивосток: Изд-во ТИНРО. Вып. 4. С. 92–101.
- Снытко В.А. 2001. Морские окуни северной части Тихо- го океана. Владивосток: Изд-во ТИНРО-центр, 468 с
- Сорокин В.П. 1958. О биологии размножения морских окуней Sebastes marinus и Sebastes mentella Travin в Баренцевом и Норвежском морях // Тр. совещ. Ихтиол. комиссии АН СССР. Вып. 8. С. 158–170.
- Токранов А.М., Орлов А.М., Шейко Б.А. 2005. Промысловые рыбы материкового склона прикамчатских вод. Петропавловск-Камчатский: Камчатпресс, 52 с.
- Филина Е.А., Попов В.И., Бакай Ю.И. и др. 2015. Методическое руководство по определению стадий зрелости гонад североатлантических морских окуней рода Sebastes (Scorpaenidae). Мурманск: Изд-во ПИНРО, 29 с.
- Филина Е.А., Рольский А.Ю., Бакай Ю.И. и др. 2017. Особенности репродуктивного цикла самок окуня-клювача Sebastes mentella (Sebastidae) // Вопр. ихтиологии. Т. 57. № 1. С. 89–95. https://doi.org/10.7868/S0042875216060047
- Archibald С.P., Shaw W., Leaman B.M. 1981. Growth and mortality estimates of rockfish (Scorpaenidae) from British Columbia coastal waters, 1977–1979 // Can. Tech. Rep. Fish. Aquat. Sci. № 1048. 57 р.
- Chang Y.J., Lim H.K., Byun S.G. 1995. Gonadal maturation and reproductive cycle in oblong rockfish, Sebastes oblongus // J. Aquacult. V. 8. № 1. P. 31–46.
- Hannah R.W., Parker S.J. 2007. Age-modulated variation in reproductive development of female Pacific Ocean perch (Sebastes alutus) in waters off Oregon // Biology, assessment, and management of North Pacific rockfishes. Fairbanks: Alaska Sea Grant Coll. Program, Univ. Alaska. P. 1–20. https://doi.org/10.4027/bamnpr.2007.01
- Love M.S., Morris P., McCrae M., Collins R. 1990. Life history aspects of 19 rockfish species (Scorpaenidae: Sebastes) from the Southern California Bight // NOAA Tech. Rep. NMFS. № 87. 38 p.
- Malecha P.W., Hanselman D.H., Heifetz J. 2007. Growth and mortality of rockfishes (Scorpaenidae) from Alaska Waters // NOAA Tech. Memo. NMFS-AFSC-172. 61 p.
- McBride R.S., Somarakis S., Fitzhugh G.R. et al. 2015. Energy acquisition and allocation to egg production in relation to fish reproductive strategies // Fish Fish. V. 16. № 1. P. 23–57. https://doi.org/10.1111/faf.12043
- Ni I.H., Templeman W. 1985. Reproductive cycles of redfishes (Sebastes) in southern Newfoundland waters // J. Northw. Atl. Fish. Sci. V. 6. № 1. P. 57–63.
- Sàbat M., Lo Nostro F., Casadevall M., Muñoz M. 2009. A light and electron microscopic study on the organization of the testis and the semicystic spermatogenesis of the genus Scorpaena (Teleostei, Scorpaenidae) // J. Morphol. V. 270. № 6. P. 662–672. https://doi.org/10.1002/jmor.10707
- Saborido-Rey F., Kjesbu O.S. 2005. Growth and maturation dynamics, 26 p. (http://hdl.handle.net/10261/ 47150. Version 04/2023).
- Shaw F.R., Morado J.F., Lowe V.C., McDermott S.F. 2012. An atlas of reproductive development in rockfishes, genus Sebastes // NOAA Professional Pap. NMFS. № 14. 77 p.
- Westrheim S.J. 1973. Age determination and growth of Pacific Ocean perch (Sebastes alutus) in the northeast Pacific Ocean // J. Fish. Res. Board Can. V. 30. № 2. P. 235–247. https://doi.org/10.1139/f73-041
- Uribe M.C., Grier H.J., Mejía-Roa V. 2014. Comparative testicular structure and spermatogenesis in bony fishes // Spermatogenesis. V. 4. № 3. Article e983400. https://doi.org/10.4161/21565562.2014.983400
Supplementary files






