Features of the distribution of GABA and the α1 subunit of the GABAA receptor in the CA1 and CA3 fields of the hippocampus in newborn rats after asphixia in the neonatal period
- Authors: Khozhay L.I.1
- 
							Affiliations: 
							- Pavlov Institute of Physiology of the Russian Academy of Sciences
 
- Issue: Vol 66, No 5-6 (2024)
- Pages: 491-502
- Section: Articles
- URL: https://journals.rcsi.science/0041-3771/article/view/282715
- DOI: https://doi.org/10.31857/S0041377124050091
- EDN: https://elibrary.ru/DUEIYY
- ID: 282715
Cite item
Abstract
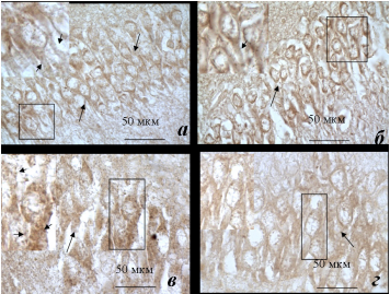
A study was conducted of the dynamics of changes in the population of GABAergic neurons and the protein content of the α1 subunit, which is included in of the GABAA receptor (GABAAα1) in the CA1 and CA3 fields of the hippocampus during the neonatal period under normal conditions and after exposure to perinatal hypoxia. The study used a model of human premature pregnancy. Exposure to hypoxia was carried out on the 2nd day after birth, in a special chamber with oxygen content in the respiratory mixture of 7.8%. Immunohistochemical research methods were used to detect GABA and the α1 GABAA receptor subunit protein. The hippocampus was studied on days 5 and 10. It was shown that in control animals during the neonatal period, in fields CA1 and CA3, there is a gradual increase in the population of GABAergic neurons, an increase in the content of GABA itself and the protein of the α1 GABAA receptor subunit. Asphyxia during the perinatal period leads to a reduction in the number of GABAergic neurons in both fields CA1 and CA3, a decrease in the content of GABA itself, the protein of the α1 subunit of the GABAA receptor and a delay in the development of the neuropil. Thus, in animals that have experienced asphyxia, by the end of the neonatal period, changes in the organization of the GABAergic system are already expressed in parts of the hippocampus, which can lead to dysfunction of the inhibitory system already at the earliest stages of development.
Full Text
 
												
	                        About the authors
L. I. Khozhay
Pavlov Institute of Physiology of the Russian Academy of Sciences
							Author for correspondence.
							Email: astarta0505@mail.ru
				                					                																			                												                	Russian Federation, 							Saint Petersburg, 199034						
References
- Altman J., Bayer A. 1990. Mosaic organization of the hippocampal neuroepithelium and the multiple germinal sources of dentate granule cells. J. Comp. Neurology. V. 301. P. 325.
- Back S.A. 2017. White matter injury in the preterm infant: Pathology and mechanisms. Acta Neuropathol. V. 134. P. 331.
- Ben-Ari Y. 2006. Basic developmental rules and their implications for epilepsy in the immature brain. Epileptic Disord. V. 8. P. 91.
- Ben-Ari Y., Cherubini E., Corradetti R., Gaiarsa J.L. 1989. Giant synaptic potentials in immature rat CA3 hippocampal neurones. J. Physiol. 1989. V. 416. P. 303.
- Ben-Ari Y., Tseeb V., Raggozzino D., Khazipov R., Gaiarsa J.L. 1994. γ-Aminobutyric acid (GABA): A fast excitatory transmitter which may regulate the development of hippocampal neurones in early postnatal life. Prog. Brain Res. V. 102. P. 261.
- Brooks-Kayal A.R., Shumate M.D., Jin H., Rikhter T.Y., Coulter D.A. 1998. Selective changes in single cell GABA(A) receptor subunit expression and function in temporal lobe epilepsy. Nat. Med. V. 4. P. 1166.
- Cherubini E., Gaiarsa J.L., Ben-Ari Y. 1991. GABA: an excitatory transmitter in early postnatal life. Trends Neurosci. V. 14. P. 515.
- Crowley S.K., Girdler S.S. 2014. Neurosteroid, GABAergic and hypothalamic pituitary adrenal (HPA) axis regulation: what is the current state of knowledge in humans? Psychopharm. (Berl). V. 231. P. 3619.
- Cullinan W.E., Ziegler D.R., Herman J.P. 2008. Functional role of local GABAergic influences on the HPA axis. Brain Struct. Funct. V. 213. P. 63.
- Davidson J.O., Heui L.G., Fraser M., Wassink G., Miller S.L, Lim R., Wallace E.M., Jenkin G., Gunn A.J., Bennet L. 2021. Window of opportunity for human amnion epithelial stem cells to attenuate astrogliosis after umbilical cord occlusion in preterm fetal sheep. Stem Cells Transl. Med. V. 10. P. 427.
- Demarque M., Represa A., Becq H., Khalilov I., Ben-Ari Y., Aniksztejn L. 2002. Paracrine intercellular communication by a Ca2+- and SNARE-independent release of GABA and glutamate prior to synapse formation. Neuron. V. 36. P. 1051.
- Douglas-Escobar M., Weiss M.D. 2015. Hypoxic-ischemic encephalopathy: a review for the clinician. JAMA Pediatr. V. 169. P. 397.
- Farhy-Tselnicker I., Allen N.J. 2018. Astrocytes, neurons, synapses: a tripartite view on cortical circuit development. Neural Dev. V. 13. P. 7.
- Farrant M., Nusser Z. 2005. Variations on an inhibitory theme: Phasic and tonic activation of GABA(A) receptors. Nature Rev. Neurosci. V. 6. P. 215.
- Galinsky R., Lear C.A., Dean J.M., Wassink G., Dhillon S.K., Fraser M., Davidson J.O., Bennet L., Gunn A.J. 2018. Complex interactions between hypoxia-ischemia and inflammation in preterm brain injury. Dev. Med. Child Neurol. V. 60. P. 126 .
- Hales T.G., Deeb T.Z, Tang H., Bollan K.A., King D.P., Johnson S.J., Connolly C.N. 2006. An asymmetric contribution to gamma-aminobutyric type A receptor function of a conserved lysine within TM2-3 of alpha1, beta2, and gamma2 subunits. J. Biol. Chem. V. 281. P. 17034.
- Janigro D., Schwartzkroin P.A. 2011. Effects of GABA on CA3 pyramidal cell dendrites in rabbit hippocampal slices. Brain Res. V. 453. P. 265.
- Kalanjati V.P., Miller S.M., Ireland Z., Colditz P.B., Bjorkman S.T. 2011. Developmental expression and distribution of GABA(A) receptor α1-, α3- and β2-subunits in pig brain. Dev. Neurosci. V. 33. P. 99.
- Khalilov I., Minlebaev M., Mukhtarov M., Khazipov R. 2015. Dynamic changes from depolarizing to hyperpolarizing GABAergic actions during giant depolarizing potentials in the neonatal rat hippocampus. J. Neurosci. V. 35. Art. ID 1263542.
- Khazipov R., Zaynutdinova D., Ogievetsky E., Valeeva G., Mitrukhina O., Manent J.-B., Represa A. 2015. Atlas of the postnatal rat brain in stereotaxic coordinates. Front. Neuroanat. V. 9. P. 161.
- Laurén H.B., .Pitkänen A., Nissinen J., Soini S.L., Korpi E.R., Holopainen I.E. 2003. Selective changes in gamma-aminobutyric acid type A receptor subunits in the hippocampus in spontaneously seizing rats with chronic temporal lobe epilepsy. Neurosci. Lett. V. 349. P. 58.
- Leal G., Afonso P.M., Salazar I.L., Duarte C.B. 2015. Regulation of hippocampal synaptic plasticity by BDNF. Brain Res. V. 24. P. 1621.
- Lear B.A., Lear C.A., Dhillon S.K., Davidson J.O., Gunn A.J., Bennet L. 2023. Evolution of grey matter injury over 21 days after hypoxia-ischaemia in pretermfetal sheep. Exper. Neurol. V. 363. Art. ID 114376.
- Majd A.M., Tabar F.E., Afghani A., Ashrafpour S., Dehghan S., Gol M., Ashrafpour M., Pourabdolhossein F. 2018. Inhibition of GABA A receptor improved spatial memory impairment in the local model of demyelination in rat hippocampus. Behav. Brain Res. V. 15. P. 111.
- Martino E.D., Ambikan A., Ramsköld D., Umekawa T., Giatrellis S., Vacondio D., Romero A.L., Galán M.G., Sandberg R., Ådén U., Lauschke V., Neogi U., Blomgren K., Kele J. 2024. Inflammatory, metabolic, and sex-dependent gene-regulatory dynamics of microglia and macrophages in neonatal hippocampus after hypoxia-ischemia. Science. V. 27. P. 109346.
- Mohler H. 2006. GABA(A) receptor diversity and pharmacology. Cell Tissue Res. V. 326. P. 505.
- Naderipoor P., Amani М., Abedi А., Sakhaie N., Sadegzadeh F., Saadati H. 2021. Alterations in the behavior, cognitive function, and BDNF level in adult male rats following neonatal blockade of GABA-A receptors. Brain Res. Bull. V. 169. P. 35.
- Ngo D.-H., Vo T.S. 2019. An updated review on pharmaceutical properties of gamma-aminobutyric acid. Molecules. V. 24. P. 2678.
- Odd D.E., Lewis G., Whitelaw A., Gunnell D. 2009. Resuscitation at birth and cognition at 8 years of age: A cohort study. Lancet. V. 373. P. 1615.
- Ophelders D.R., Gussenhoven R., Klein L., Jellema R.K., Westerlaken R.J., Hütten M.C., Vermeulen J., Wassink G., Gunn A.J., Wolfs T.G. 2020. Preterm brain injury, antenatal triggers, and therapeutics: Timing is key. Cells (Basel, Switzerland). V. 9. P. 1871.
- Otellin V.A., Khozhai L.I., Shishko T.T., Vershinina E.A. 2021. Nucleolar ultrastructure in neurons of the rat neocortical sensorimotor area during the neonatal period after perinatal hypoxia and its pharmacological correction. J. Evol. Biochem. Physiol. V. 57. P. 1251.
- Pirker S., Schwarzer C., Czech T., Baumgartner C., Pockberger H., Maier Н., Hauer B., Sieghart W., Furtinger S., Sperk G. 2003. Increased expression of GABA(A) receptor beta-subunits in the hippocampus of patients with temporal lobe epilepsy. J. Neuropathol. Exp. Neurol. V. 62. P. 820.
- Pleasure S.J., Anderson S., Hevner R., Bagri A., Marin O., Lowenstein D.H., Rubenstein J.L. 2000. Cell migration from the ganglionic eminences is required for the development of hippocampal GABAergic interneurons. Neuron. V. 28. P. 727.
- Poo M.M. 2001. Neurotrophins as synaptic modulators. Nat. Rev. Neurosci. V. 2. P. 24.
- Rudolph U., Möhler H. 2006. GABA-based therapeutic approaches: GABAA receptor subtype functions. Curr. Opin. Pharmacol. V. 6. P. 18.
- Soriano E., Cobas A. 1986. A fairén asynchronism in the neurogenesis of GABAergic and non-GABAergic neurons in the mouse hippocampus. Brain Res. V. 395. P. 88.
- Strahle J.M., Triplet R.L., Alexopoulos D., Smyser T.A., Rogers C.E., Limbrick D.D., Smyser C.D. 2019. Impaired hippocampal development and outcomes in very preterm infants with perinatal brain injury. NeuroImage Clin. V. 22: 101787.
- Tyler W.J., Alonso M., Bramham C.R., Pozzo-Miller L.D. 2002. From acquisition to consolidation: On the role of brain-derived neurotrophic factor signaling in hippocampal-dependent learning. Learn Mem. V. 9. P. 224.
- Vezzani A., Aronica E., Mazarati A., Pittman Q.J. 2013. Epilepsy and brain inflammation. Exp. Neurol. V. 244. P. 11.
- Volpe J.J. 2019. Dysmaturation of premature brain: importance, cellular mechanisms, and potential interventions. Рediatr. Neurol. V. 95. P. 42.
Supplementary files
 
				
			 
					 
						 
						 
						 
						 
				
 
  
  
  Email this article
			Email this article 
 Open Access
		                                Open Access Access granted
						Access granted

