Design and selection of guides for CRISPR/Cas9-mediated knockout of the Kcnv2 gene in mouse cells
- Authors: Antonova E.N.1, Soroka A.B.1, Mityaeva O.N.1,2,3, Volchkov P.Y.1,2,3
-
Affiliations:
- Moscow Institute of Physics and Technology (National Research University)
- Lomonosov Moscow State University
- Federal Research Center for Innovator and Emerging Biomedical and Pharmaceutical Technologies
- Issue: Vol 66, No 5-6 (2024)
- Pages: 420-437
- Section: Articles
- URL: https://journals.rcsi.science/0041-3771/article/view/282705
- DOI: https://doi.org/10.31857/S0041377124050036
- EDN: https://elibrary.ru/DUVXRC
- ID: 282705
Cite item
Full Text
Abstract
Mutations in the human KCNV2 gene cause a rare hereditary disease — cone dystrophy with supernormal rod response (CDSRR), characterized by progressive vision loss and impaired color discrimination. The KCNV2 gene encodes the Kv8.2 subunit of a potassium channel that is critical for the normal function of retinal photoreceptors. Gene therapy offers a promising treatment approach for this condition. To test the efficacy of gene therapy, an appropriate experimental disease model, such as a knockout mouse model, is required. This study focused on selecting optimal guide RNAs for knocking out the Kcnv2 gene using the CRISPR/Cas9 system and testing their efficiency in a mouse cell line. The selected guide RNAs can be utilized to generate a Kcnv2-/- mouse model.
Keywords
Full Text
Принятые сокращения: нт – нуклеотид; ПЦР – полимеразная цепная реакция; AAV — аденоассоциированный вирус (adeno-associated virus); CDSRR — дистрофия колбочек с повышенной активностью палочек (cone dystrophy with supernormal rod response); MM — mismatches (несоответствия); PAM — мотив, смежный с протоспейсером (protospacer adjacent motif); CRISPR/Cas9 — clustered regularly interspaced short palindromic repeats — короткие палиндромные повторы, регулярно расположенные группами/CRISPR-ассоциированный белок 9 (CRISPR associated protein 9); gRNA – гидовая РНК или гид.
В настоящее время установлено, что мутации в гене KCNV2 у человека являются причиной редкого наследственного заболевания — колбочковой дистрофии со сверхнормальной активностью палочек (cone dystrophy with supernormal rod response, CDSRR; OMIM 610356; Wu et al., 2006). CDSRR — это редкое моногенное заболевание, частота встречаемости которого составляет примерно 1 на 800 000 случаев, которое характеризуется нарушением функции фоторецепторов сетчатки, что приводит к прогрессирующему снижению остроты зрения, особенно при низкой освещенности, а также к ухудшению цветоразличения (Wu et al., 2006; Wissinger et al., 2008). Ген KCNV2 кодирует одну из субъединиц потенциал-зависимого калиевого канала Kv8.2, который совместно с другими субъединицами участвует в поддержании электрофизиологического баланса в клетках сетчатки (Hunt et al., 2018).
По данным Human Protein Atlas, ген человека KCNV2 преимущественно экспрессируется в фоторецепторах сетчатки, что делает его ключевым элементом для поддержания нормальной функции зрения (Czirjak et al., 2007; Aslanidis et al., 2014). Мутации в этом гене нарушают работу калиевых каналов, что приводит к аномальной реакции на свет и нарушению передачи нервных сигналов в зрительном пути (Wissinger et al., 2008). В этом случае это особенно критично для колбочек, у которых наблюдается сниженный ответ на свет при повышенной светочувствительности палочек — одна из характерных особенностей дистрофии CDSRR (Michaelides et al., 2005, 2006; Vincent et al., 2013). Эти нарушения способствуют развитию патологических процессов, ведущих к прогрессирующей потере зрения (Gill et al., 2019).
Этиотропной терапии для CDSRR в настоящее время не существует. Генотерапия представляет собой перспективный подход к лечению генетически обусловленных заболеваний, направленный на доставку здоровой копии гена в клетки-мишени для замены дефектного гена или коррекции его функций. В случае с KCNV2 генотерапия нацелена на восстановление нормального функционирования калиевых каналов, что может предотвратить дальнейшее прогрессирование заболевания и улучшить состояние фоторецепторов сетчатки (Carvalho et al., 2023).
Существует несколько подходов к генотерапии, включая использование вирусных векторов для доставки гена и редактирование генома с использованием таких технологий, как CRISPR/Cas9 (Uddin et al., 2020). Вирусные векторы, такие как аденоассоциированные вирусы (AAV), активно исследуются для доставки терапевтических генов в сетчатку (Ail et al., 2023). В частности, генотерапия на основе AAV для лечения мутаций в гене RPE65, вызывающих амавроз Лебера, была одобрена службой FDA в США (Food and Drug Administration) и показала значительное улучшение зрения у пациентов (Maguire et al., 2021). Эти успехи демонстрируют потенциал генотерапии как метода лечения генетических заболеваний сетчатки, включая CDSRR.
Для оценки эффективности генотерапии в лечении мутаций KCNV2 важно создание адекватной экспериментальной модели заболевания. Основные модели для доклинических исследований генотерапии сетчатки включают ретинальные органоиды, полученные из индуцированных плюрипотентных стволовых клеток человека (Andreazzoli et al., 2021), и нокаутные мышиные модели (Shahi et al., 2022; Da Silva-Buttkus et al., 2023). Обе модели имеют свои преимущества и ограничения, однако мышиные модели предпочтительны для оценки физиологической функции фоторецепторов с помощью электроретинографии (Barnard et al., 2012).
Нокаутные модели особенно ценны тем, что позволяют воспроизвести мутации, нарушающие работу гена, и исследовать их влияние на ткани и системы организма в физиологических условиях. В случае с CDSRR они позволяют изучить, как мутации в KCNV2, нарушающие функцию белка, влияют на фоторецепторы и оценить терапевтические возможности генотерапии. Например, введение терапевтического гена в сетчатку нокаутных мышей позволяет оценить эффективность генотерапии в восстановлении функции фоторецепторов и предотвращении патологических изменений в сетчатке (Barnard et al., 2012).
Для разработки эффективной генотерапии необходимо предварительно создать адекватные экспериментальные модели, такие как нокаутные мышиные линии, имитирующие патологии человека. Для создания нокаутной модели целевой ген можно «выключить» с помощью внесения индела (вставки или делеции), что приводит к изменению аминокислотной последовательности и появлению преждевременного стоп-кодона (Chirinskaite et al., 2023). Более эффективным является метод удаления гена целиком или значительной его части путем внесения пар двухцепочечных разрывов (Chen et al., 2014). В обоих случаях используется система CRISPR/Cas9 — передовая система для редактирования генов, позволяющая вносить точечные разрезы в ДНК с высокой точностью (Wiles et al., 2015). Есть исследование, где группа ученых создала линию Kcnv2-/-, удалив 1-й экзон гена Kcnv2 домашней мыши (Mus. musculus) с использованием системы loxP-Cre (Hart et al., 2019). Однако детали получения флоксированного экзона не описаны, поскольку они были разработаны по заказу другой исследовательской группой (Skarnes et al., 2011). Это ограничивает возможность воспроизведения их исследования, что может затруднить дальнейшие работы в данной области.
В представленной работе мы разработали и протестировали гидовые РНК и выбрали наиболее эффективные пары для разрезов в гене Kcnv2. Эти гиды могут быть использованы для создания нокаутных мышиных линий, что открывает новые возможности для изучения патофизиологии заболевания и тестирования генотерапевтических подходов.
МАТЕРИАЛ И МЕТОДИКА
Дизайн гидов. Для дизайна гидов (gRNA) использовали инструменты ChopChop (https://chopchop.cbu.uib.no) и CRISPOR (http://crispor.gi.ucsc.edu/), которые определяют оптимальные участки в кодирующей последовательности гена на основе наличия PAM. Оценку проводили по эффективности разреза и риску нецелевых эффектов. ChopChop учитывает такие параметры, как GC-состав (40–70%) и самокомплементарность, а CRISPOR анализирует возможные нецелевые разрезания (офф-таргеты), отображая количество несовпадений (mismatches, MM) и их расположение в seed region, что критически важно для точности разреза. Для минимизации нежелательных разрезов учитывали гиды с не менее 3—4 несовпадениями или, как минимум, с 2 несовпадениями в seed region. ChopChop также предоставляет визуализацию с оценкой сайтов-мишеней по цветам: зеленый (лучший), желтый (средний) и красный (плохой). Были выбраны гиды с наилучшими параметрами по точности и с минимальным риском офф-таргетов (табл. 1).
Таблица 1. Результаты подбора гидов с помощью ChopChop и CRISPOR
Гид | Узнаваемая последовательность ДНК | Цепь | Офф-таргеты | Общее количество несовпапдений (ММ) | Количество ММ в seed region | |
Количество | В экзонах | |||||
g1 | AATGTCGGTCAGCCTTGCCCTGG | “–” | 59 | Да | 3 с 3 ММ, 56 с 4 ММ | 2 с 4 ММ, 1 с 5 ММ |
g3 | GAGCTCTAATCTTGCTGATAGGG | “–” | 113 | Нет | 8 с 3 ММ, 104 с 4 ММ | 3 с 5 ММ |
g4 | GAACACGACCTGGAGACCGTGGG | “+” | 36 | Да | 36 с 4 ММ | 1 с 5 ММ |
g6 | TCGGTGGAGCACGACGTGCCTGG | “+” | 23 | Да | 1 с 3 ММ, 22 с 4 ММ | 1 с 5 ММ |
g2/1 | GCTCTGTTTCAGCATGGTGGTGG | “–” | 199 | Нет | 21 с 3 ММ, 174 с 4 ММ | 1 с 3 ММ, 1 с 4 ММ, 5 с 5 ММ |
g3/1 | ACAGGCAGGAGAATAGGCGCAGG | “+” | 471 | Нет | 64 с 3 ММ, 402 с 4 ММ | 1 с 3 ММ, 1 с 4 ММ, 2 с 5 ММ |
g4/1 | GGTGGTGGGAGTCAGTTTCCTGG | “–” | 201 | Нет | 28 с 3 ММ, 173 с 4 ММ | 3 с 4 ММ, 2 с 5 ММ |
gx/2 | TGCTGAAACAGAGCAACGAGAGG | “+” | 263 | Да | 54 с 3 ММ, 207 с 4 ММ | 0 MM |
Примечание. Жирный шрифт в последовательности – PAM-мотив. Зеленым цветом выделены более удачные гиды, согласно алгоритму ChopChop.
Структурный анализ гидовой РНК (gRNA). Для структурного анализа использовали RNAfold Web Server (http://rna.tbi.univie.ac.at/cgi-bin/RNAWebSuite/RNAfold.cgi) (Zuker et al., 1981).
Дизайн праймеров. Для подбора праймеров использовали программу Primer3 (http://bioinfo.ut.ee/primer3-0.4.0/). Были выбраны праймеры с содержанием гуанина и цитозина от 40 до 60٪ и температурой отжига в диапазоне 57–63 °C. Кроме того, учитывали само- и гетерокомплементарность. Специфичность праймеров проверяли с помощью Primer-BLAST (https://www.ncbi.nlm.nih.gov/tools/primer-blast/index.cgi?GROUP_TARGET=on).
Дизайн генетических конструкций и виртуальное клонирование проводили с помощью инструмента SnapGene (https://www.snapgene.com/).
Клонирование. Каждый из гидов был вставлен методом клонирования в плазмиду (Plasmid #52961; Addgeen, США) с геном Cas9 и геном устойчивости к пуромицину (см.: Дополнительные материалы (ДМ), рис. ДМ1а). Для синтеза вставки использовали 25-олигонуклеотидные последовательности (табл. ДМ1), частично комплиментарные друг другу. В процессе амплификации они соединялись, образуя свободные концы (рис. ДМ1а). Плазмида была порезана по сайтам рестрикции BsmBI (рис. ДМ1б, в). Больший фрагмент плазмиды (вектор) был лигирован с гидовыми вставками через липкие концы, после чего полученные конструкции трансформировали в компетентные клетки Escherichia coli, штамм XL-Blue. Положительные клоны отбирали с помощью полимеразной цепной реакции (ПЦР) с колоний, после чего проверяли на наличие вставок гидов и отправляли на секвенирование для подтверждения.
Отжиг олигонуклеотидов для гидовой РНК. Для отжига олигонуклеотидов (Olig) использовали смесь, включающую Q5 2-кратный MasterMix Buffer (NEB), прямой и обратный олигонуклеотиды, представленые в табл. ДМ1. ПЦР проводили с программой, включающей стандартные этапы денатурации, отжига и удлинения, при этом отжиг выполняли при 60 °C с декрементом 0.5 °C каждые 30 с.
Плазмиды выделяли из ночной культуры E. coli с помощью Plasmid extraction-MiniPrep/MidiPrep (“Евроген”, Россия) (https://evrogen.ru/kit-user-manuals/BC221S.pdf/https://evrogen.ru/kit-user-manuals/BC224.pdf).
Рестрикция. Использовали рестриктазу BsmBI (NEB). Это рестриктаза, узнающая ассиметричную последовательность CGTCTC и делающая разрез в нескольких нуклеотидах от нее. Рестрикцию осуществляли в 10-кратном буфере 3.1 (NEB) при 55 °C в течение 4 ч.
Гель-электрофорез. Для разделения линейных двухцепочечных молекул ДНК, полученных в результате рестрикции, а также в случае скрининга ПЦР с колоний и детекции больших делеций, использовали гель с концентрацией агарозы 1.5% в буфере TAE. В случае детекции маленькой делеции использовали 3٪-ный гель. В качестве маркера длин ДНК использовали DNA Ladder 1 kb, DNA Ladder 100+ bp, DNA Ladder 50+ bp (кат. № NL001, NL002 и NL003 соответственно; “Евроген”, Россия,)
Денситометрию в программе ImageJ для анализа интенсивности полос на геле использовали для оценки относительного количества разрезанной и неразрезанной ДНК, что позволило более точно оценить эффективность каждого гида. Результаты были представлены в виде графиков интенсивности. Площадь под каждым пиком измеряли для сравнения порезанной и непорезанной ДНК. В случае больших делеций интенсивность средней полосы рассчитывали как сумму порезанной и непорезанной ДНК в соотношении 1:1.
Очистка ДНК из геля. Для выделения ДНК использовали набор Clean Up Mini (“Евроген”, Россия). Очистку проводили в соответствии с протоколом на сайте производителя (https://evrogen.ru/kit-user-manuals/BC023.pdf).
Лигирование вектора и вставки осуществляли с использованием лигазы T4 (NEB) по стандартному протоколу. После лигирования смесь использовали для трансформации компетентных клеток.
Для трансформации клеток E. coli использовали имеющийся в лаборатории штамм химически компетентных клеток XL-Blue. Трансформацию проводили в соответствии со стандартным протоколом (https://evrogen.ru/kit-user-manuals/CC001.pdf).
ПЦР с колоний проводили для проверки наличия вставок гидов в плазмидах. Амплификацию осуществляли с использованием набора 5XScreenMix (“Евроген”, Россия) и специфических праймеров. Результаты подтверждали по продуктам ПЦР.
Ведение клеточной культуры и трансфекция. Клеточную линию B16-F10 мышиной меланомы (ATCC CRL-6475™), полученную из метастаза в легких у мыши BALB/c, культивировали в среде DMEM, содержащей глутамин (“ПанЭко”, Россия), 10% инактивированной фетальной бычьей сыворотки (FBS; Thermofisher, США) и антибиотик гентамицин (“ПанЭко”, Россия). Перед трансфекцией культуральную среду заменяли на бессывороточную среду Opti-Mem (Gibco, США). Для трансфекции использовали липофильный агент Lipofectamine™ 3000 (Invitrogen™, США)). Трансфекцию проводили, следуя оптимизированному протоколу от производителя (Lipofectamine 3000 Protocol). На 1 лунку 24-луночного планшета оптимальным количеством сочли 1 мкг плазмидной ДНК, P3000™ Reagent и 1мкл Lipofectamine™ 3000 Reagent. Трансфекцию клеток линии B16-F10 проводили с использованием плазмид с Cas9 и гидовыми РНК, после чего клетки селектировали с помощью пуромицина для дальнейшей оценки эффективности разреза.
Титрование пуромицина. Чтобы определить оптимальную концентрацию дигидрохлорида пуромицина (10 мг/мл; Gibco, США) для селекции клеток, провели серию разведений. Использовали концентрации 0.5, 1, 2.5, 5, 7.5 и 10 мг/мл. Через 48 ч визуально оценивали выживаемость клеток. Концентрация 5 мкг/мл была выбрана как наиболее эффективная для дальнейших экспериментов.
Выделение геномной ДНК проводили с использованием стандартных методов, включая лизис клеток протеиназой К и очистку с применением набора ExtractDNA Blood & Cells (“Евроген”). Праймеры (прямой PrF и обратный PrR) для амплификации большой делеции:
PrF_big_del – ACAAAGTAAGCTCTCT GCTGTCAT,
PrR_big_del – GTAGATGTTCATGTGTCT CTGGGTC
и
PrF_big_del2 – GTAGATGTTCATGTG TCTCTGGGTC,
Sanger R1_1 – TCCGCCTTCTGATTCT CTTCGGC.
Для амплификации маленькой делеции:
PrF small_del – AGCCTGGACTTTTTCA GGACA,
PrR small_del – TGTTGGTTGCTCCCA GTGTT.
Расположение праймеров на карте гена указано на рис. 1.
Рис. 1. Схема гена Kcnv2 с обозначенными сайтами узнавания гидами в программе SnapGene. Фиолетовым цветом показаны названия и расположения праймеров для амплификации области, охватывающей большую и маленькую делеции.
Секвенирование по Cэнгеру было сделано в компании “Евроген” (Россия). Выравнивание отсеквенированных последовательностей проводили в Benchling online software tool (https://www.benchling.com/).
Анализ эффективности и точности редактирования генома проводили с использованием программного обеспечения TIDE (Tracking of Indels by Decomposition) для декомпозиции хроматограмм (Brinkman et al., 2014).
РЕЗУЛЬТАТЫ
Мышиный ген Kcnv2, так же, как и у человека, имеет два экзона и представлен единственной изоформой (NCBI, Gene ID: 169522). Основная часть белка кодируется первым экзоном в 1356 нт, тогда как во втором экзоне кодирующими являются лишь 282 нт, а общий размер белка составляет 562 аминокислоты. Наша цель заключалась в подборе гидовых РНК, или гидов, таким образом, чтобы получилась делеция, которая не просто выключает функцию белка (транспорт ионов калия), но и полностью останавливает его синтез. Мы условно поделили делеции на маленькие (<50 bp), удаляющие старт-трансляции, и большие (>1000 bp), практически удаляющие первый экзон целиком.
Для дизайна гидовых РНК использовали программы ChopChop и CRISPOR, позволяющие выбрать наиболее эффективные направляющие РНК с минимальными нецелевыми эффектами. На основе их рекомендаций были выбраны гиды, которые представлены в табл. 1. Расположение гидов представлено на схеме (см. рис. 1), а их последовательности – в табл. ДМ1. Далее гиды тестировали на клеточной линии B16-F10. Для этого плазмиды, кодирующие гидовую РНК, ген Cas9 и Puro (ген устойчивости к пуромицину) попарно доставлялись в мышиные клетки в отношении 1:1 для оценки наличия делеции. Пары используемых гидов представлены в табл. 2. В качестве клеточной модели выбрали линию мышиной меланомы B16-F10, так как коммерческие линии, экспрессирующие белок KCNV2 пока отсутствуют. Участки ДНК, предназначенные для редактирования CRISPR/Cas9, были предварительно секвенированы.
Таблица 2. Используемые в работе комбинации гидов, размер делеций и ожидаемый размер ПЦР-продукта
Комбинация гидов | Размер делеции, нт | ПЦР-продукт (верхний/нижний, нт) |
Маленькие делеции | ||
g4/1–gx/2 | 35 | 253/218 |
g3/1–gx/2 | 42 | 253/212 |
g2/1–gx/2 | 20 | 253/233 |
g3/1–g2/1 | 22 | 253/231 |
Большие делеции | ||
g3/1–g6 | 1382 | 2581/1199 |
g1–g6 | 1726 | 2581/855 |
g3–g6 | 1569 | 2581/1012 |
g3/1–g4 | 1169 | 2581/1412 |
g1–g4 | 1513 | 2581/1068 |
gx/2–g4 | 1127 | 2581/1454 |
gx/2–g6 | 1340 | 2581/1241 |
g1–g3/1 | 344 | 1112/768 |
g1–g2/1 | 366 | 1112/746 |
g1–gx/2 | 386 | 1112/726 |
g3–gx/2 | 229 | 1112/883 |
Клетки трансфицировали по протоколу, описанному в разделе «Материал и методика». В качестве контроля использовали нетрансфицированные клетки. Линия B16-F10 является труднотрансфицируемой, поэтому для отбора трансфицированных клеток использовали селекцию с помощью пуромицина. К одной половине лунок с контрольными клетками пуромицин добавляли, к другой половине – нет. Предварительный скрининг различных концентраций пуромицина показал, что концентрация 5 мкг/мл является оптимальной для данной линии. Гибель контрольных клеток с добавленным пуромицином указывала на то, что выжившие трансфицированные клетки несли плазмиды с Cas9 и gRNA. Из этих клеток затем выделяли геномную ДНК. Области с маленькими и большими делециями были секвенированы. (см. раздел «Материал и методика» и рис. 1).
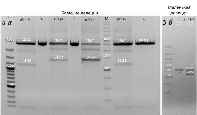
Продукты, полученные после реакции и проанализированные методом гель-электрофореза, имели длину малой делеции 253 нт и большой – 2581 нт, что подтверждало успешную работу обоих гидов. Если какой-то из гидов в нескольких парах с уже известными рабочими гидами не позволял получить делецию, то его считали неэффективным. На электрофореграммах (рис. ДМ2 и ДМ3) были выявлены 4 большие делеции (рис. 2а), обнаружены по 3 полосы: верхняя (неразрезанная ДНК, 2581 нт), нижняя (ДНК с делециями разного размера; см. табл. 2) и промежуточная (гетеродуплекс). Среди исследованных пар была получена одна маленькая делеция (рис. 2б).
Рис. 2. Электрофореграмма по результатам ПЦР-скрининга клеток B16-F10. а – Большие делеции, б – маленькая делеция. (K–) – ПЦР-продукт из нетрансфицированных клеток (отрицательный контроль), М – маркер длин ДНК. Электрофорез в 1.5%- (а) и 3%-ном (б) агарозном геле.
Для подсчета эффективности внесения делеции пары с обоими рабочими гидами были доставлены в клетки в трех независимых экспериментах. Эффективность оценивали методом денситометрии в ImageJ (см. «Материал и методика»), а результаты представлены на рис. 3 и в табл. ДМ3. Наиболее эффективной оказалась пара гидов gx/2 и g4. Их эффективность была подтверждена анализом TIDE (45.5 и 31.4% соответственно) (рис. 4). Полосы, соответствующие неразрезанной ДНК и ДНК с делецией, были вырезаны из геля и отправлены на секвенирование по Сэнгеру, чтобы подтвердить не только наличие делеции, но и ее точный размер и расположение. Секвенирование маленькой делеции подтвердило удаление 42 нт, что исключает синтез белка за счет удаления старт-кодона (рис. 5). Секвенирование больших делеций также подтвердило удаление значительных участков (рис. 6а–г). Делеции затрагивали старт-кодон или кодирующие участки от 7 до 453 аминокислот, что также делает синтез белка невозможным.
Рис. 3. Эффективность индукции делеций, полученная по результатам анализа электрофореграмм с помощью денситометрии в программе ImageJ.
Рис. 4. Частоты инделов в диапазоне 10 нуклеотидов от предсказанного сайта разрезания. а –для гида gx/2, б – для гида g4.
Рис. 5. Подтверждение маленькой делеции секвенированием по Сэнгеру. Хроматограмма, соответствующая делеции гидами g3/1–gx/2 (вверху), и контрольная хроматограмма, полученная из клеток без делеции (внизу).
Рис. 6. Подтверждение больших делеций секвенированием по Сэнгеру. Верхние хроматограммы получены из фрагмента ДНК с делецией, а нижние – из фрагмента ДНК без делеции: а – gx/2–g4, б – g3/1–g6, в – gx/2–g6, г – g3/1–g4.
Таким образом, все полученные делеции могут приводить к нокауту гена.
ОБСУЖДЕНИЕ
В ходе данного исследования была получена одна маленькая (40 нт) и три больших делеции, варьирующих от 1100 до 1400 нт. Эффективность одной делеции из больших оказалась наивысшей, а маленькая делеция заняла второе место по эффективности. Небольшие делеции чаще происходят благодаря простоте репарации через негомологичное соединение концов (NHEJ – non-homologous end joining), в то время как крупные делеции (> 1 kb) требуют более сложных механизмов восстановления, таких как гомологичная рекомбинация, что может снижать эффективность редактирования. Тем не менее одна из наших больших делеций оказалась более эффективной благодаря удачному выбору гидов.
На эффективность CRISPR/Cas9 также влияют дизайн и вторичная структура гидовой РНК, а также доступность хроматина (Jensen et al., 2017). Для более глубокого понимания факторов, влияющих на эффективность работы гидов, был проведен структурный анализ всех направляющих РНК с использованием программы RNAfold Web Server (рис. ДМ4). Мы оценивали наличие шпилек в структуре, степень неспаренности нуклеотидов в seed region и количество внутренних связей между уникальной последовательностью гидовой РНК и остальной частью РНК. Допустимые параметры включают не более 12 связей между уникальной частью гидовой РНК и остальной последовательностью [общим количеством спаренных оснований (ОКСО), не более 7 последовательных связей (последовательных спаренных оснований (ПСО)] и не более 6 связываний уникальной последовательности с самой собой (internal base pair) (Liang et al., 2016).
Данные по оценке этих параметров представлены в табл. 3. Лучшие результаты показал гид gx/2, у которого структура оказалась наиболее подходящей для эффективного разрезания. На втором месте — гид g4, у которого есть связи между seed region и последовательность gRNA-scaffold (каркас гидовой РНК, обеспечивающей связывание с Cas9), но они не последовательные, в отличие от гидов g1, g3 и g4/1. Пара гидов gx/2 и g4 продемонстрировала наилучшие результаты в создании крупной делеции. Интересно, что гид g3/1 проявил активность, несмотря на отсутствие оптимальных характеристик и отсутствие stem loop 2, что согласуется с данными из другой работы (Bruegmann et al., 2019). Хотя биоинформатические инструменты часто предсказывают эффективность гидовой РНК, в некоторых случаях они оказываются менее точными, что подчеркивает ограниченность предсказательных моделей и необходимость экспериментальной проверки.
Таблица 3. Оценка параметров вторичной структуры гидов
Гид | Шпилька 2 | Шпилька 3 | RAR-шпилька | Спаренные 18–20 нт | ОКСО | ПСО | GC, % |
g6 | – | + | + | 3/3 | 15 | 5 | 70 |
g4 | + | + | + | (1+1)/3 | 11 | 4 | 60 |
g1 | + | + | – | 2/3 | 10 | 4 | 60 |
g3/1 | – | + | + | 3/3 | 13 | 4 | 60 |
g3 | + | + | + | 2/3 | 11 | 6 | 40 |
g4/1 | – | + | – | 2/3 | 11 | 8 | 60 |
g2/1 | – | + | + | 0/3 | 10 | 7 | 55 |
gx/2 | + | + | + | 0/3 | 7 | 6 | 50 |
Примечание. RAR-шпилька – область повтор-анти-повтор, ОКСО – общее количество спаренных оснований, ПСО – последовательные спаренные основания. GC – нуклеотиды гуанин и цитозин и их процентное содержание в последовательности гида. Жирным шрифтом выделены неоптимальные параметры, курсивным – полное соответствие оптимальным параметрам.
Настоящее исследование сосредоточено на дизайне и проверке направляющих РНК для CRISPR/Cas9, нацеленных на нокаут гена Kcnv2 у мышей. Проведенные эксперименты подтвердили высокую эффективность выбранных гидов, что подчеркивает их потенциал в дальнейших исследованиях. Поиск и проверка гидов на мышиных клетках являются ключевым этапом перед созданием нокаутной мышиной линии, позволяющим оценить их эффективность и точность. Успешная проверка на клетках является важным шагом перед созданием нокаутной мышиной модели, которая будет использоваться для изучения патофизиологии заболевания и тестирования генотерапевтических методов. Полученные нами данные могут стать основой для дальнейших исследований по созданию моделей заболевания, а также изучению функции белка. Например, гид 3/1 расположен непосредственно перед кодирующей частью и может быть использован для встраивания конститутивного промотера перед геном с целью получения мышиной модельной клеточной линии любого происхождения, где данный ген будет экспрессироваться. Такая клеточная линия может быть использована для изучения функции гена. Также пара гидов, создающих большую делецию, может быть использована для получения гуманизированной модельной линии, где под эндогенный промотер будет встроена последовательность гена KCNV2 человека, на которой можно будет моделировать известные мутации человека. Таким образом, результаты нашего исследования закладывают основу для создания новых экспериментальных моделей, способствующих более глубокому пониманию патогенеза CDSRR и разработке эффективных терапевтических подходов.
ФИНАНСИРОВАНИЕ РАБОТЫ
Работа выполнена в рамках государственных заданий Московского государственного университета имени М.В. Ломоносова (Москва) и Федерального исследовательского центра оригинальных и перспективных биомедицинских и фармацевтических технологий (Москва; проект № FGFG-2024-0004, соглашение № 075-03-2024-323/3).
СОБЛЮДЕНИЕ ЭТИЧЕСКИХ СТАНДАРТОВ
В данной работе отсутствуют исследования человека или животных.
КОНФЛИКТ ИНТЕРЕСОВ
Авторы заявляют об отсутствии конфликта интересов.
Дополнительные материалы
Таблица ДМ1. Олигонуклеотиды для отжига
Название олигонуклеотида | Последовательность прямая (F) и обратная (R) |
Kcnv2-KO_g1 | F: CAC CGG GGC AAG GCT GAC CGA CAT T R: AAA CAA TGT CGG TCA GCC TTG CCC C |
Kcnv2-KO_g3 | F: CAC CGT ATC AGC AAG ATT AGA GCT C R: AAA CGA GCT CTA ATC TTG CTG ATA C |
Kcnv2-KO_g4 | F: CAC CGG AAC ACG ACC TGG AGA CCG T R: AAA CAC GGT CTC CAG GTC GTG TTC C |
Kcnv2-KO_g6 | F: CAC CGT CGG TGG AGC ACG ACG TGC C R: AAA CGG CAC GTC GTG CTC CAC CGA C |
Kcnv2-KO_g2/1 | F: CAC CGC CAC CAT GCT GAA ACA GAG C R: AAA CGC TCT GTT TCA GCA TGG TGG C |
Kcnv2-KO_g3/1 | F: CAC CGA CAG GCA GGA GAG ATA GGC C R: AAA CGG CCT ATC TCT CCT GCC TGT C |
Kcnv2-KO_g4/1 | F: CAC CGG GAA ACT GAC TCC CAC CAC C R: AAA CGG TGG TGG GAG TCA GTT TCC C |
Kcnv2-KO_gх/2 | F: CAC CGT GCT GAA ACA GAG CAA CGA G R: AAA CCT CGT TGC TCT GTT TCA GCA C |
Таблица ДМ2. Последовательности гидовых RNA
Гид | Последовательность |
gi | GGGCAAGGCUGACCGACAUUGUUUUAGAGCUAGAAAUAGCAAGUUAAAAUAAGGCUA GUCCGUUAUCAACUUGAAAAAGUGGCACCGAGUCGGUGCUUUUUU |
дз | UAUCAGCAAGAUUAGAGCUCGUUUUAGAGCUAGAAAUAGCAAGUUAAAAUAAGGCU AGUCCGUUAUCAACUUGAAAAAGUGGCACCGAGUCGGUGCUUUUUU |
д4 | GAACACGACCUGGAGACCGUGUUUUAGAGCUAGAAAUAGCAAGUUAAAAUAAGGCUA GUCCGUUAUCAACUUGAAAAAGUGGCACCGAGUCGGUGCUUUUUU |
дб | UCGGUGGAGCACGACGUGCCGULXTJAGAGCUAGAAAUAGCAAGUUAAAAUAAGGCUA GUCCGUUAUCAACUUGAAAAAGUGGCACCGAGUCGGUGCUUUUU |
д2/1 | CCACCAUGCUGAAACAGAGCGUUUUAGAGCUAGAAAUAGCAAGUUAAAAUAAGGCUA GUCCGUUAUCAACUUGAAAAAGUGGCACCGAGUCGGUGCUUUUUU |
g3/1 | ACAGGCAGGAGAGAUAGGCCGUUUUAGAGCUAGAAAUAGCAAGUUAAAAUAAGGCU AGUCCGUUAUCAACUUGAAAAAGUGGCACCGAGUCGGUGCUUUUU |
g4 1 | GGAAACUGACUCCCACCACCGUUUUAGAGCUAGAAAUAGCAAGUUAAAAUAAGGCUA GUCCGUUAUCAACUUGAAAAAGUGGCACCGAGUCGGUGCUUUUUU |
gx 2 | UGCUGAAACAGAGCAACGAGGUUUUAGAGCUAGAAAUAGCAAGUUAAAAUAAGGCU AGUCCGUUAUCAACUUGAAAAAGUGGCACCGAGUCGGUGCUUUUUU |
Примечание: черным цветом выделена уникальная часть, или спейсер, определяющая таргетирование, а голубым – gRNA-scaffold, или каркас гидовой РНК, обеспечивающей связывание с Cas9.
Таблица ДМ3. Эффективность разрезания каждой парой гидов в трех независимых экспериментах
Пара гидов | Эксперимент | Среднее значение | Стандартное отклонение | ||
1 | 2 | 3 | |||
g3/1–g6 | 11.5 | 8.5 | 6.8 | 8.92 | 2.36 |
g3/1–g4 | 21.3 | 32.5 | 22.3 | 25.35 | 6.21 |
gx/2–g4 | 60.9 | 65.7 | 61.6 | 62.73 | 2.59 |
gx/2–g6 | 11.8 | 10.1 | 2.0 | 7.97 | 5.24 |
g3/1–gx/2 | 50.2 | 45.2 | 48.4 | 47.93 | 2.53 |
Рис. ДМ1. Плазмида (# 52961; Addgene, США). а – Схема, показывающая соответствие липких концов вектора и липких концов спаренных олигонуклеотидов; фиолетовым цветом выделены сайты узнавания рестриктазой BsmBI, зеленым – уникальная часть гида на примере гида g1. б – Карта плазмиды с обозначениями сайтов рестрикции BsmBI и вырезаемого продукта. в – Продукт рестрикции на электрофореграмме.
Рис. ДМ2. Электрофореграмма по результатам ПЦР-скрининга геномной ДНК с маленькими делециями, выделенной из клеток B16-F10. На электрофореграмме указаны пары гидов, используемые для создания маленькой делеции: g3/1 и g2/1, g2/1 и gx/2, g3/1 и gx/2, g4/1 и gx/2. М – маркер длин ДНК, K – отрицательный контроль.
Рис. ДМ3. Гель-электрофорез по результатам ПЦР-скрининга геномной ДНК с большими делециями, выделенной из клеток B16-F10. На электрофореграмме указаны пары гидов, используемые для создания большой делеции: g1–gx/24; g1–g3/1; g3–gx/2; g–g2/1; g3/1–g6; g1–g6; g3–g6; g3/1–g4; g1–g4; gx/2–g4; gx/2–g6; g3/1–g6. М – маркер длин ДНК, K – отрицательный контроль.
Рис. ДМ4. Вторичные структуры гидов, полученные в RNAfold Web Server. а – Вторичные структуры используемых гидов; б – вторичная структура с обозначениями RAR-шпилька (repeat and anti-repeat region – область повтор-анти-повтор), шпильки (stem loop) 1, 2 и 3, 20-нуклеотидная последовательность (Bruegmann et al., 2019).
About the authors
E. N. Antonova
Moscow Institute of Physics and Technology (National Research University)
Author for correspondence.
Email: antonova.en@genlab.llc
Russian Federation, Dolgoprudny, Moscow Oblast, 141701
A. B. Soroka
Moscow Institute of Physics and Technology (National Research University)
Email: antonova.en@genlab.llc
Russian Federation, Dolgoprudny, Moscow Oblast, 141701
O. N. Mityaeva
Moscow Institute of Physics and Technology (National Research University); Lomonosov Moscow State University; Federal Research Center for Innovator and Emerging Biomedical and Pharmaceutical Technologies
Email: antonova.en@genlab.llc
Russian Federation, Dolgoprudny, Moscow Oblast, 141701; Moscow, 119991; Moscow, 125315
P. Yu. Volchkov
Moscow Institute of Physics and Technology (National Research University); Lomonosov Moscow State University; Federal Research Center for Innovator and Emerging Biomedical and Pharmaceutical Technologies
Email: antonova.en@genlab.llc
Russian Federation, Dolgoprudny, Moscow Oblast, 141701; Moscow, 119991; Moscow, 125315
References
- Andreazzoli M., Barravecchia I., De Cesari C., Angeloni D., Demontis G.C. 2021. Inducible pluripotent stem cells to model and treat inherited degenerative diseases of the outer retina: 3D-organoids limitations and bioengineering solutions. Cells. V. 10. Art. ID 2489. https://doi.org/10.3390/cells10092489
- Aslanidis A., Karlstetter M., Walczak Y., Jägle H., Langmann T. 2014. RETINA-specific expression of Kcnv2 is controlled by cone-rod homeobox (Crx) and neural retina leucine zipper (Nrl). Adv. Exp. Med. Biol. V. 801. P. 31. https://doi.org/10.1007/978-1-4614-3209-8_5
- Ail D., Malki H., Zin E.A., Dalkara D. 2023. Adeno-associated virus (AAV) – based gene therapies for retinal diseases: where are we? Ther. Adv. Chronic. Dis. V. 16. P. 111. https://doi.org/10.2147/TACG.S383453
- Barnard A.R., Tolmachova T., Seabra M.C., MacLaren R.E. 2012. Assessment of visual function by electroretinography following rAAV2-CHM/REP1 gene therapy in a mouse model of choroideremia. Invest. Ophthalmol. Vis. Sci. V. 53. P. 1933. https://doi.org/10.1167/iovs.53.3.1933
- Brinkman E.K., Chen T., Amendola M., van Steensel B. 2014. Easy quantitative assessment of genome editing by sequence trace decomposition. Nucleic. Acids. Res. V. 42. Art. ID e168. https://doi.org/10.1093/nar/gku1112
- Bruegmann T., Deecke K., Fladung M. 2019. Mediated genome editing in poplars: evaluating the efficiency of gRNAs in CRISPR/Cas9. Mol. Biol. Rep. V. 20: 3623. https://doi.org/10.1007/s11033-019-04952-8
- Carvalho L., Rashwan R., Lim X.R., Brunet A., Miller A.L., Bhatt Y., Fuller-Carter P. , Hunt D. 2023. Pre-clinical efficacy testing of AAV-based gene therapy for KCNV2-deficiency. Investigative Ophthalmol. Visual Sci. V. 64. P. 477. https://doi.org/10.1167/iovs.64.6.477
- Chen X., Xu F., Zhu C., Ji J., Zhou X., Feng X., Guang S. 2014. Dual sgRNA-directed gene knockout using CRISPR/Cas9 technology in Caenorhabditis elegans. Sci. Rep. V. 4. Art. ID 7581. https://doi.org/10.1038/srep07581
- Chirinskaite A.V., Rotov A.Y., Ermolaeva M.E., Tkachenko L.A., Vaganova A.N., Danilov L.G., Fedoseeva K.N., Kostin N.A., Sopova J.V., Firsov M.L., Leonova E.I. 2023. Does background matter? A comparative characterization of mouse models of autosomal retinitis pigmentosa rd1 and Pde6b-KO. Int. J. Mol. Sci. V. 24. Art. ID 17180. https://doi.org/10.3390/ijms242417180
- Czirjak G., Toth Z.E., Enyedi P. 2007. Characterization of the heteromeric potassium channel formed by kv2.1 and the retinal subunit kv8.2 in Xenopus oocytes. J. Neurophysiol. V. 98. P. 1213. https://doi.org/10.1152/jn.00093.2007
- Da Silva-Buttkus P., Spielmann N., Klein-Rodewald T., Schütt C., Aguilar-Pimentel A., Amarie O.V., Becker L., Calzada-Wack J., Garrett L., Gerlini R., Kraiger M., Leuchtenberger S., Östereicher M.A., Rathkolb B., Sanz-Moreno A., Stöger C., Hölter S.M., Seisenberger C., Marschall S., Fuchs H., Gailus-Durner V., Hrabě de Angelis M. 2023. Knockout mouse models as a resource for the study of rare diseases. Mamm. Genome. V. 34. P. 244. https://doi.org/10.1007/s00335-023-09986-z
- Gill J.S., Georgiou M., Kalitzeos A., Moore A.T., Michaelides M. 2019. Progressive cone and cone-rod dystrophies: clinical features, molecular genetics and prospects for therapy. Br. J. Ophthalmol. V. 103. P. 711. https://doi.org/10.1136/bjophthalmol-2018-312983
- Hart N.S., Mountford J.K., Voigt V., Fuller-Carter P., Barth M., Nerbonne J.M., Hunt D.M., Carvalho L.S. 2019. The role of the voltage-gated potassium channel proteins Kv8.2 and Kv2.1 in vision and retinal disease: insights from the study of mouse gene knock-out mutations. eNEURO. V. 6. Art. ID 0032. https://doi.org/10.1523/ENEURO.0032-19.2019
- Hunt D.M., Har N., Mountford J.K., Barth M., Fuller-Carter P., Carvalho L.S. 2018. Role of the voltage-gated potassium channel subunit Kv8.2 in inherited retinal disease and interaction with other channel proteins. ARVO Ann. Meeting Abstract. V. 59. Art. ID 2328. https://doi.org/10.1167/iovs.59.6.2328
- Jensen K.T., Floe L., Petersen T.S., Huang J., Xu F., Bolund L., Luo Y., Lin L. 2017. Chromatin accessibility and guide sequence secondary structure affect CRISPR-Cas9 gene editing efficiency. FEBS Lett. V. 591. V. 1892. https://doi.org/10.1002/1873-3468.12694
- Liang G., Zhang H., Lou D., Yua D. 2016. Selection of highly efficient sgRNAs for CRISPR/Cas9-based plant genome editing. Sci. Rep. V. 6. P. 21451. https://doi.org/10.1038/srep21451
- Maguire A.M., Bennett J., Aleman E.M., Leroy B.P., Aleman T.S. 2021. Clinical perspective: treating RPE65-associated retinal dystrophy. Mol. Ther. V. 29. P. 442. https://doi.org/10.1016/j.ymthe.2020.10.025
- Michaelides M., Hardcastle A.J., Hunt D.M., Moore A.T. 2006. Progressive cone and cone-rod dystrophies: phenotypes and underlying molecular genetic basis. Surv. Ophthalmol. V. 51. P. 232. https://doi.org/10.1016/j.survophthal.2006.02.008
- Michaelides M., Holder G.E., Webster A.R., Hunt D.M., Bird A.C., Fitzke F.W., Mollon J.D., Moore A.T. 2005. A detailed phenotypic study of “cone dystrophy with supernormal rod ERG”. Br. J. Ophthalmol. V. 89. P. 332. https://doi.org/10.1136/bjo.2004.047746
- Shahi P.K., Srinivasan A., Pattnaik B.R. 2022. A novel Kcnv2 nonsense mutation mouse model of cone dystrophy with supernormal rod response. Invest. Ophthalmol. Visual Sci. V. 63. Art. ID 1784. https://doi.org/10.1167/iovs.63.6.1784
- Skarnes W.C., Rosen B., West A.P., Koutsourakis M., Bushell W., Iyer V., Mujica A.O., Thomas M., Harrow J., Cox T., Jackson D., Severin J., Fu J., Nefedov M., de Jong P. J., Stewart A.F., Bradley A. 2011. A conditional knockout resource for the genome-wide study of mouse gene function. Nature. V. 474. P. 337. https://doi.org/10.1038/nature10163
- Uddin F., Rudin C.M., Sen T. 2020. CRISPR Gene therapy: applications, limitations, and implications for the future. Front. Oncol. V. 10. Art. ID 1387. https://doi.org/10.3389/fonc.2020.01387
- Vincent A., Wright T., Garcia-Sanchez Y., Kisilak M., Campbell M., Westall C., Heon E. 2013. Phenotypic characteristics including in vivo cone photoreceptor mosaic in KCNV2-related “cone dystrophy with supernormal rod electroretinogram”. Invest. Ophthalmol. Vis. Sci. V. 54. P. 898. https://doi.org/10.1167/iovs.12-10664
- Wiles M.V., Qin W., Cheng A.W., Wang H. 2015. CRISPR–Cas9-mediated genome editing and guide RNA design. Mamm. Genome. V. 26. P. 501. https://doi.org/10.1007/s00335-015-9579-0
- Wu H., Cowing J.A., Michaelides M., Wilkie S.E., Jeffery G., Jenkins S.A., Mester V., Bird A.C., Robson A.G., Holder G.E., Moore A.T., Hunt D.M., Webster A.R. 2006. Mutations in the gene KCNV2 encoding a voltage-gated potassium channel subunit cause “cone dystrophy with supernormal rod electroretinogram” in humans. Am. J. Hum. Genet. V. 79. P. 574. https://doi.org/10.1086/507885
- Wissinger B., Dangel S., Jagle H., Hansen L., Baumann B., Rudolph G., Wolf C., Bonin M., Koeppen K., Ladewig T., Kohl S., Zrenner E., Rosenberg T. 2008. Cone dystrophy with supernormal rod response is strictly associated with mutations in KCNV2. Invest. Ophthalmol. Vis. Sci. V. 49. P. 751. https://doi.org/10.1167/iovs.07-1038
- Zuker M., Stiegler P. 1981. Optimal computer folding of large RNA sequences using thermodynamics and auxiliary information. Nucleic Acids Res. V. 9. P. 133. https://doi.org/10.1093/nar/9.1.133
Supplementary files












