GFAP- и виментин-иммунопозитивные структуры эпифиза человека
- Авторы: Суфиева Д.А.1, Фёдорова Е.А.1, Яковлев В.С.1, Коржевский Д.Э.1, Григорьев И.П.1
-
Учреждения:
- Институт экспериментальной медицины
- Выпуск: Том 65, № 2 (2023)
- Страницы: 191-199
- Раздел: Статьи
- URL: https://journals.rcsi.science/0041-3771/article/view/140105
- DOI: https://doi.org/10.31857/S0041377123020104
- EDN: https://elibrary.ru/NDJWCZ
- ID: 140105
Цитировать
Полный текст
Аннотация
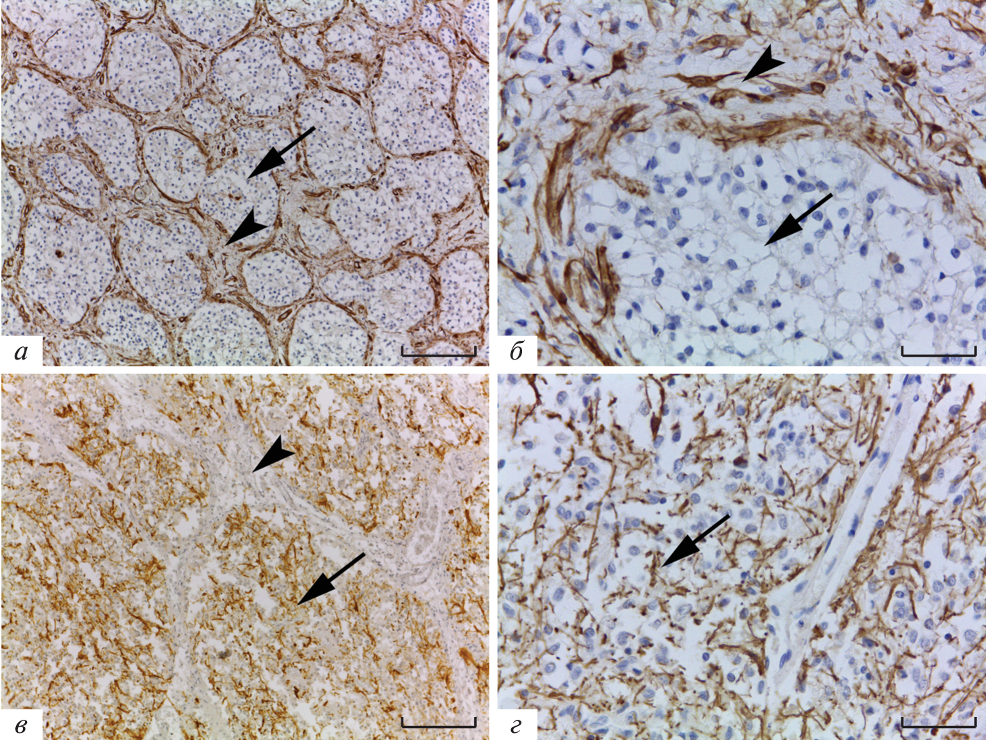
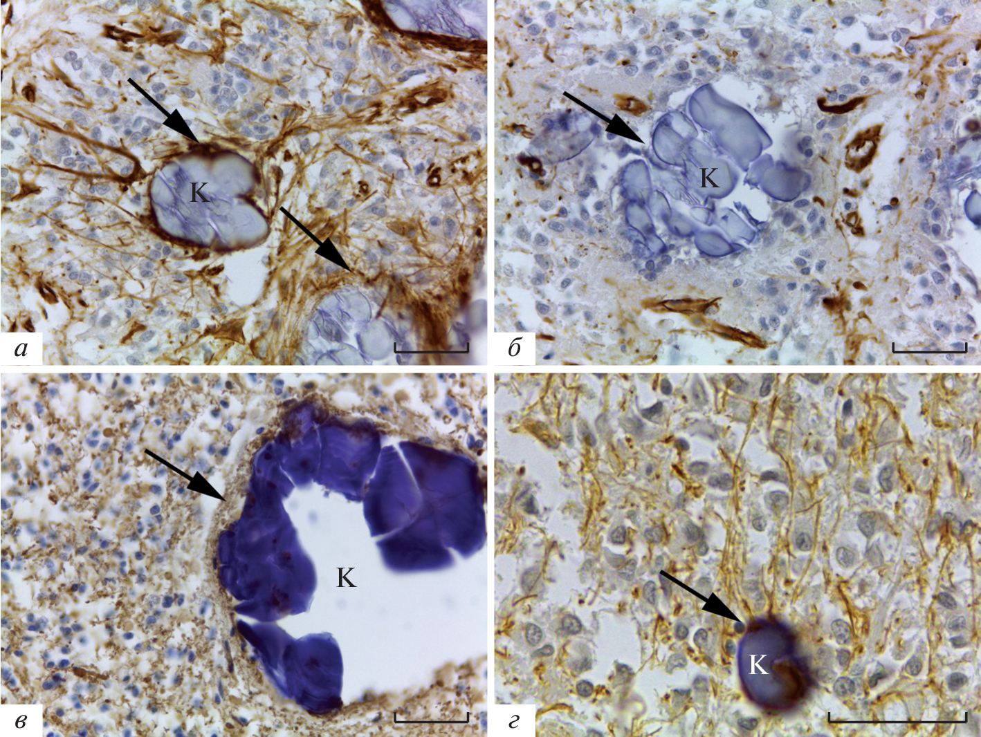
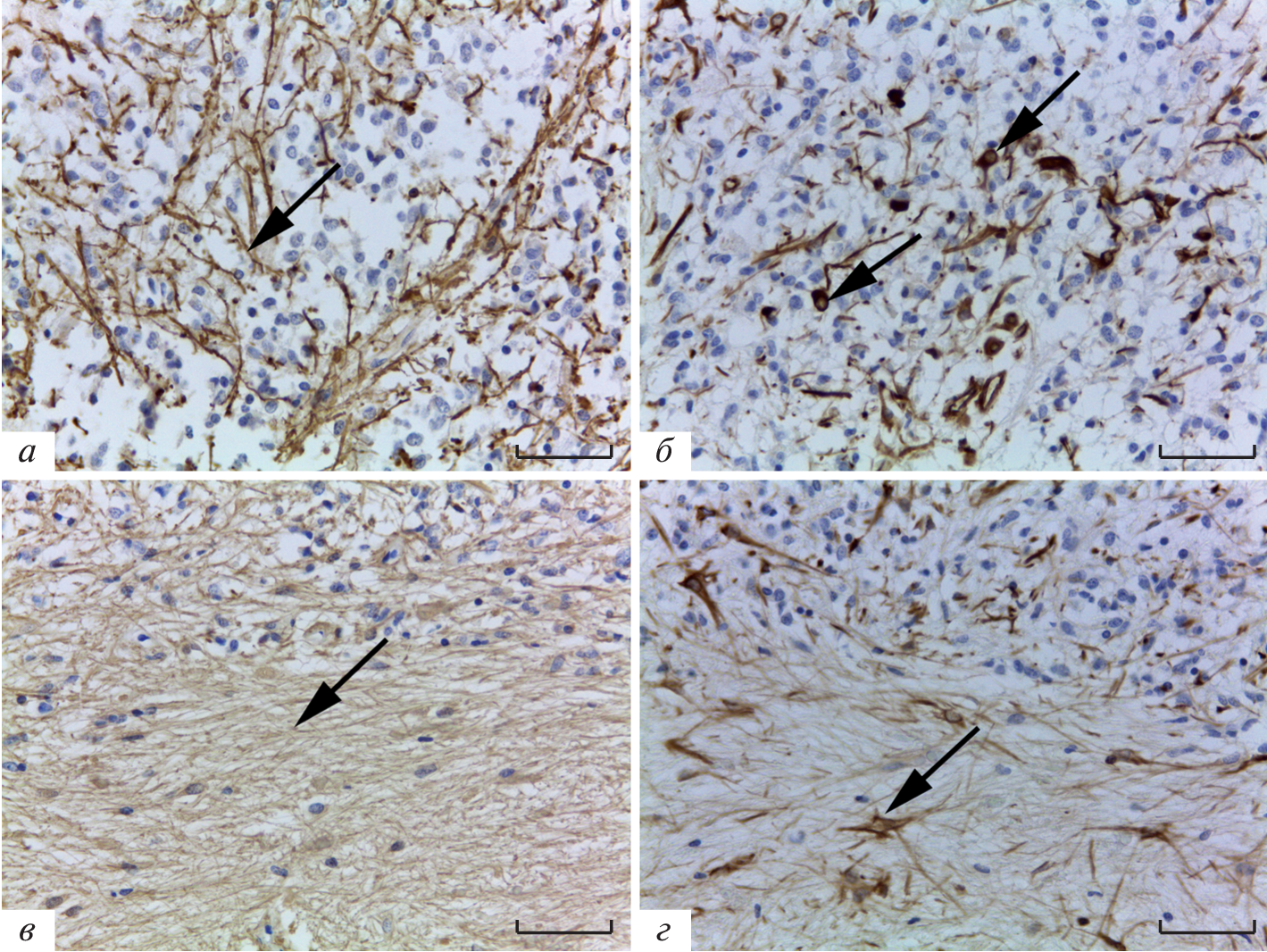
Эпифиз играет ключевую роль в координации различных функций организма. Основную часть клеток эпифиза составляют пинеалоциты, а вторые по количеству – глиальные клетки, данные по которым противоречивы. Настоящая работа предпринята для изучения астроглиальных клеток эпифиза человека с помощью иммуногистохимического метода с применением микроскопии проходящего света и, впервые, с использованием конфокальной лазерной микроскопии. Для маркирования астроцитов использовали антитела к глиальному фибриллярному кислому белку (GFAP) и виментину. В эпифизе человека выявлено большое число GFAP- и виментин-иммунопозитивных структур. GFAP был локализован в полигональных клетках, расположенных в дольках среди пинеалоцитов, а виментин – в кровеносных сосудах и округлых клетках, локализованных преимущественно в трабекулах и частично в пинеальных дольках. И GFAP-, и виментин-иммунореактивные клетки имели по несколько длинных ветвящихся отростков, которые пронизывали всю паренхиму эпифиза, образуя густую сеть, и заканчивались на поверхности эпифиза, кровеносных сосудах и вокруг конкрементов. GFAP-иммунореактивные волокна плотно оплетали все конкременты (одиночные и в группах), тогда как виментин-иммуноположительные отростки окружали лишь часть из них. Исследование последовательных срезов эпифиза показало, что совпадение локализации GFAP и виментина для клеток эпифиза не типично. Можно полагать, что в эпифизе человека существуют две отдельные популяции астроцитоподобных клеток, GFAP- или виментин-содержащие, и различающиеся не только цитохимически, но и по морфологическим особенностям и локализации клеточных тел, а также по расположению отростков.
Ключевые слова
Об авторах
Д. А. Суфиева
Институт экспериментальной медицины
Email: ipg-iem@yandex.ru
Россия, 197022, Санкт-Петербург
Е. А. Фёдорова
Институт экспериментальной медицины
Email: ipg-iem@yandex.ru
Россия, 197022, Санкт-Петербург
В. С. Яковлев
Институт экспериментальной медицины
Email: ipg-iem@yandex.ru
Россия, 197022, Санкт-Петербург
Д. Э. Коржевский
Институт экспериментальной медицины
Email: ipg-iem@yandex.ru
Россия, 197022, Санкт-Петербург
И. П. Григорьев
Институт экспериментальной медицины
Автор, ответственный за переписку.
Email: ipg-iem@yandex.ru
Россия, 197022, Санкт-Петербург
Список литературы
- Гомазков О.А. 2020. Астроциты мозга и синаптический диссонанс: нейродегенеративная и психическая патология. Усп. совр. биол. Т. 140. №. 2. С. 130. (Gomazkov O.A. 2020. Brain astrocytes and synaptic dissonance: neurodegenerative and mental pathology. Usp. Sovr. Biol. V. 140. P. 130. [Article in Russian].) https://doi.org/10.31857/S0042132420010019
- Григорьев И.П., Фёдорова Е.А., Суфиева Д.А., Коржевский Д.Э. 2020. Иммуногистохимическое исследование клеточной организации эпифиза человека. Морфология. Т. 158. № 4–5. С. 19. (Grigorev I.P., Fedorova E.A., Sufieva D.A., Korzhevskii D.E. 2021. Immunohistochemical studies of cell organization in the human epiphysis. Neurosci. Behav. Physiol. V. 51. P. 546.)https://doi.org/10.1007/s11055-021-01103-4
- Сухорукова Е.Г., Коржевский Д.Э., Алексеева О.С. 2015. Глиальный фибриллярный кислый белок – компонент промежуточных филаментов астроцитов мозга позвоночных. Журн. эвол. биох. физиол. Т. 51. № 1. С. 3. (Sukhorukova E.G., Korzhevskii D.E., Alekseeva O.S. 2015. Glial fibrillary acidic protein: the component of intermediate filaments in the vertebrate brain astrocytes. J. Evol. Biochem. Physiol. V. 51. P. 1.)https://doi.org/10.1134/S0022093015010019
- Фёдорова Е.А., Суфиева Д.А., Григорьев И.П., Коржевский Д.Э. 2018. Тучные клетки эпифиза человека. Усп. геронтол. Т. 31. № 4. С. 484. (Fedorova E.A., Sufieva D.A., Grigorev I.P., Korzhevskii D.E. 2018. Mast cells of the human pineal gland. Adv. Gerontol. V. 9. P. 62.)https://doi.org/10.1134/S2079057019010053
- Фокин Е.А., Савельев С.В., Гулимова В.И., Асадчиков В.Е., Сенин Р.А., Бузмаков А.В. 2006. Морфогенез и пространственная организация конкрементов эпифиза человека при болезни Альцгеймера, шизофрении и алкоголизме. Арх. патол. Т. 68. № 5. С. 20. (Fokin E.I., Savel’ev S.V., Gulimova V.I., Asadchikov E.V., Senin R.A., Buzmakov A.V. 2006. The morphogenesis and spatial organization of human pineal gland concretions in Alzheimer’s disease, schizophrenia, and alcoholism. [Article in Russian]. Arkh. Patol. V. 68. P. 20.)
- Baconnier S., Lang S.B., Polomska M., Hilczer B., Berkovic G., Meshulam G. 2002. Calcite microcrystals in the pineal gland of the human brain: first physical and chemical studies. Bioelectromagnetics. V. 23. P. 488. https://doi.org/10.1002/bem.10053
- Boya J., Calvo J.L. 1993. Immunohistochemical study of the pineal astrocytes in the postnatal development of the cat and dog pineal gland. J. Pineal Res. V. 15. P. 13. https://doi.org/10.1111/j.1600-079x.1993.tb00504.x
- Butt A., Verkhratsky A. 2018. Neuroglia: realising their true potential. Brain Neurosci. Adv. V. 2. 2398212818817495. https://doi.org/10.1177/2398212818817495
- Calvo J., Boya J., Borregon A., Garcia-Mauriño J.E. 1988. Presence of glial cells in the rat pineal gland: a light and electron microscopic immunohistochemical study. Anat. Rec. V. 220. P. 424. https://doi.org/10.1002/ar.1092200412
- Csaki A., Koves K., Kiss A.L., Rohlich P., Boldogkoi Z., Vereczki V., Puskar Z., Tombacz D., Csabai Z. 2021. Pinealocytes can not transport neurotropic viruses. Pinealo-to-retinal connection in prepubertal rats originates from pineal neurons: Light and electron microscopic immunohistochemical studies. Neurosci. Lett. V. 23. P. 135517. https://doi.org/0.1016/j.neulet.2020.135517
- Dossi E., Vasile F., Rouach N. 2018. Human astrocytes in the diseased brain. Brain Res. Bull. V. 136. P. 139. https://doi.org/10.1016/j.brainresbull.2017.02.001
- Fernández-Blanco Á., Dierssen M. 2020. Rethinking intellectual disability from neuro-to astro-pathology. Int. J. Mol. Sci. V. 21. P. 9039. https://doi.org/10.3390/ijms21239039
- Huang S.-K., Nobiling R., Schachner M., Taugner R. 1984. Interstitial and parenchymal cells in the pineal gland of the golden hamster. Cell Tissue Res. V. 235. P. 327. https://doi.org/10.1007/bf00217857
- Ibanez Rodriguez M.P., Noctor S.C., Munoz E.M. 2016. Cellular basis of pineal gland development: emerging role of microglia as phenotype regulator. PLoS One. V. 11. P. e0167063. https://doi.org/10.1371/journal.pone.0167063
- Korzhevskii D.E., Sukhorukova E.G., Kirik O.V., Grigorev I.P. 2015. Immunohistochemical demonstration of specific antigens in the human brain fixed in zinc−ethanol−formaldehyde. Eur. J. Histochem. V. 59. P. 2530.https://doi.org/10.4081/ejh.2015.253026428887
- Kovacs G.G. 2017. Cellular reactions of the central nervous system. Handb. Clin. Neurol. V. 145. P. 13. https://doi.org/10.1016/B978-0-12-802395-2.00003-1
- Lago-Baldaia I., Fernandes V.M., Ackerman S.D. 2020. More than mortar: Glia as architects of nervous system development and disease. Front. Cell Dev. Biol. V. 8. P. 611269. https://doi.org/10.3389/fcell.2020.611269
- López-Muñoz F., Calvo J.L., Boya J., Carboneil A.L. 1992. Coexpression of vimentin and glial fibrillary acidic protein in glial cells of the adult rat pineal gland. J. Pineal Res. V. 12. P. 145. https://doi.org/10.1111/j.1600-079x.1992.tb00041.x
- Lowenthal A., Flament-Durand J., Karcher D., Noppe M., Brion J.P. 1982. Glial cells identified by anti-α-albumin (anti-GFA) in human pineal gland. J. Neurochem. V. 38. P. 863. https://doi.org/10.1111/j.1471-4159.1982.tb08714.x
- O’Leary L.A., Davoli M.A., Belliveau C., Tanti A., Ma J.C., Farmer W.T., Turecki G., Murai K.K., Mechawar N. 2020. Characterization of vimentin-immunoreactive astrocytes in the human brain. Front. Neuroanat. V. 14. P. 31. https://doi.org/10.3389/fnana.2020.00031
- Papasozomenos S.C. 1983. Glial fibrillary acidic (GFA) protein-containing cells in the human pineal gland. J. Neuropathol. Exp. Neurol. V. 42. P. 391. https://doi.org/10.1097/00005072-198307000-00003
- Pedersen E.B., Fox L.M., Castro A.J., McNulty J.A. 1993. Immunocytochemical and electron-microscopic characterization of macrophage/microglia cells and expression of class II major histocompatibility complex in the pineal gland of the rat. Cell Tissue Res. V. 272. P. 257. https://doi.org/10.1007/bf00302731
- Sarnat H.B., Yu W. 2022. Ganglion cell maturation in peripheral neuroblastic tumours of children. Clin. Neuropathol. V. 41. P. 101. https://doi.org/10.5414/NP301450
- Sato T., Kaneko M., Fujieda H., Deguchi T., Wake K. 1994. Analysis of the heterogeneity within bovine pineal gland by immunohistochemistry and in situ hybridization. Cell Tissue Res. V. 277. P. 201. https://doi.org/10.1007/bf00327768
- Schachner M., Huang S.-K., Ziegelmüller P., Bizzini B., Taugner R. 1984. Glial cells in the pineal gland of mice and rats. Cell Tissue Res. V. 237. P. 245. https://doi.org/10.1007/bf00217142
- Scharenberg K., Liss L. 1965. The histologic structure of the human pineal body. Structure and Function of the Epiphysis Cerebri. Prog. Brain Res. V. 10. P. 193. https://doi.org/10.1016/s0079-6123(08)63452-4
- Sofroniew M.V., Vinters H.V. 2010. Astrocytes: biology and pathology. Acta Neuropathol. V. 119. P. 7. https://doi.org/10.1007/s00401-009-0619-8
- Stehle J.H., Saade A., Rawashdeh O., Ackermann K., Jilg A., Sebesteny T., Maronde E. 2011. A survey of molecular details in the human pineal gland in the light of phylogeny, structure, function and chronobiological diseases. J. Pineal Res. V. 51. P. 17. https://doi.org/10.1111/j.1600-079X.2011.00856.x
- Verkhratsky A., Sofroniew M.V., Messing A., DeLanerolle N.C., Rempe D., Rodríguez J.J., Nedergaard M. 2011. Neurological diseases as primary gliopathies: a reassessment of neurocentrism. ASN NEURO V. 4. art: e00082. https://doi.org/10.1042/AN20120010
- Zang X., Nilaver G., Stein B.M., Fetell M.R., Duffy P.E. 1985. Immunocytochemistry of pineal astrocytes. J. Neuropathol. Exp. Neurol. V. 44. P. 486. https://doi.org/10.1097/00005072-198509000-00004
Дополнительные файлы






