Combination of histological and transcriptomic approaches for cell types annotation in non-model organisms by example of spiny mice Acomys cahirinus
- Authors: Filatov N.S.1, Bilyalov A.I.1,2, Gazizova G.R.1, Bilyalova A.A.1, Shagimardanova E.I.3, Vorontsova M.V.4, Kiyasov A.P.1, Gusev O.A.1,5,6, Kozlova O.S.1
-
Affiliations:
- Kazan (Volgaregion) Federal University
- Loginov Moscow Clinical Scientific Center
- Kazan (Volgaregion) Federal University, Russia 2Loginov Moscow Clinical Scientific Center,
- Lomonosov Moscow State University
- Juntendo University School of Medicine
- LIFT Center LLC
- Issue: Vol 60, No 9 (2024)
- Pages: 16-24
- Section: МОЛЕКУЛЯРНАЯ ГЕНЕТИКА
- URL: https://journals.rcsi.science/0016-6758/article/view/272547
- DOI: https://doi.org/10.31857/S0016675824090033
- EDN: https://elibrary.ru/aezrho
- ID: 272547
Cite item
Full Text
Abstract
In mammals, cartilage tissue has a low potential for regeneration. Typically, the defect site is replaced by connective tissue. The Acomys cahirinus mouse is a relatively new model for studying tissue regeneration processes, specifically the elastic cartilage of the auricle. To investigate the molecular genetic mechanisms responsible for these processes and gain insight into the cellular and tissue composition of the intact auricle, we utilized the method of single-cell RNA sequencing (scRNA-seq). This method enables quantification of gene expression in the sample and modeling of cell clustering based on expression profiles. This allows for assessment of sample heterogeneity in terms of specific cell populations. Annotation of cell types, particularly in non-model organisms, should be supported by classical morphological studies to allow for more detailed identification of cell populations. This is necessary to separate clusters of cells that are grouped statistically based on similar expression profiles of a group of genes into smaller subpopulations. The objective of this study was to annotate all cell types present in the intact Acomys cahirinus auricle using a combination of transcriptomic approaches and classical histology methods. The study resulted in the annotation of 24 cell clusters based on known marker genes and by comparing genetic and morphological data.
Full Text
Иглистые мыши рода Acomys являются перспективными модельными организмами для исследования механизмов регенерации [1]. Они демонстрируют уникальные способности к восстановлению тканей после повреждения без образования рубца, отличающие их от всех известных млекопитающих [1].
В своей предыдущей работе мы с помощью морфологических методов охарактеризовали способность иглистых мышей восстанавливать ткани ушной раковины после повреждения, а также запускать процессы хондрогенеза, которые ведут к полной репарации эластического хряща [2].
Следующим этапом исследования является изучение молекулярно-генетических механизмов данного процесса. Для достижения этой цели необходимо максимально полно определить клеточные популяции ушной раковины с одновременной оценкой изменения экспрессии генов, участвующих в процессах воспаления, репарации и хондрогенеза, на уровне клеточных типов. Для детального описания процесса регенерации чрезвычайно важно достоверно определить биологическое происхождение каждого клеточного кластера – другими словами, провести аннотацию клеточных типов.
Для решения поставленной задачи мы применили метод секвенирования РНК единичных клеток (scRNA-seq), преимуществом которого является количественное определение экспрессии генов на уровне индивидуальных клеток, а не измерение экспрессии генов в биологическом образце, содержащем миллионы клеток в совокупности, как это делается при массовом РНК-секвенировании [3]. Эта улучшенная детализация позволяет обнаруживать и идентифицировать различные популяции клеток в исследуемых тканях, а также оценить разнообразие клеточных типов и уровень экспрессии генов внутри каждого отдельного клеточного кластера.
Классическая гистология, в свою очередь, предоставляет дополнительную возможность изучить и оценить клеточный состав и морфологические особенности тканей, а также их пространственную организацию, или гистоархитектонику. Более того, данный морфологический метод исследования позволяет идентифицировать и анализировать отдельно взятые клетки, основываясь на их структурных особенностях, таких как форма, размер, взаиморасположение, а также реакции при использовании стандартных методик гистологического окрашивания. Таким образом, полученная с помощью гистологии и цитологии информация является ценной в контексте понимания клеточного и тканевого состава исследуемого биологического материала.
Несмотря на значительный вклад классических методов гистологии в понимание клеточного состава и морфологии тканей, технология секвенирования РНК единичных клеток (scRNA-seq) уникальна по своей возможности обнаруживать даже редкие и недифференцируемые клеточные популяции, а также отслеживать динамику клеточных процессов, используя в качестве дифференцирующего фактора комплексный анализ экспрессии генов. Недостатком классического, “линейного” метода scRNA-seq является отсутствие пространственной информации, что создает проблему при сопоставлении выявленных в результате секвенирования клеточных типов с их реальной морфологией. Эта проблема решается на следующей стадии развития технологии секвенирования РНК единичных клеток – с помощью пространственной транскриптомики.
Интеграция методов классической гистологии и анализа данных scRNA-seq представляет собой перспективный подход к решению задачи аннотации клеточных типов. Сопоставляя гистологическую картину с профилями экспрессии РНК клеточных кластеров, мы способны, с одной стороны, провести корректную идентификацию групп клеток, имеющих схожую экспрессию, с другой стороны, дополнить гистологическую картину новыми клеточными фенотипами со своей специфической молекулярной сигнатурой.
МАТЕРИАЛЫ И МЕТОДЫ
Основной идеей будущего эксперимента является изучение возможностей и механизмов репаративного хондрогенеза путем травматизации ушной раковины: при помощи панч-биопсии и частичной ампутации.
В течение эксперимента животные содержались в стандартных условиях вивария в соответствии с ГОСТ 33216-2014 “Руководство по содержанию и уходу за лабораторными животными. Правила содержания и ухода за лабораторными грызунами и кроликами”, ГОСТ 33215-2014 “Руководство по содержанию и уходу за лабораторными животными. Правила оборудования помещений и организации процедур”. В опыте использовались конвенциальные животные. Эксперименты проводили в соответствии с приказом Минздрава России № 199н от 01.04.2016 “Об утверждении Правил надлежащей лабораторной практики”.
Экспериментальные процедуры были одобрены локальным этическим комитетом Института фундаментальной медицины и биологии Казанского (Приволжского) федерального университета (выписка № 40 от 9 марта 2023 года).
Забор тканей для секвенирования РНК единичных клеток (scRNA-seq), а также для гистологического анализа проводили путем полной ампутации ушной раковины в условиях общего наркоза с использованием “Zoletil 100” в расчете 7 мг на 1 кг массы тела. После хирургических процедур осуществлялась антисептическая обработка операционной раны. Для гистологического анализа полученные фрагменты фиксировали в 10%-ном нейтральном формалине на 0,2 М фосфатном буфере (рН = 7,4) в течение 24 ч. Гистологическая проводка, заливка и микротомия (толщина срезов 4 мкм) осуществлялись по стандартной методике. Препараты окрашивали обзорными красителями: гематоксилин и эозин (ЭргоПродакшн, Биовитрум, Россия) и по Маллори (ЭргоПродакшн, Биовитрум, Россия). Цифровые гистотопограммы получали при помощи сканера гистологических препаратов NanoZoomer S60 Digital slidescanner (Hamamatsu, Япония) и анализировали при помощи программы NDP.view2 (Hamamatsu).
Пробоподготовка и секвенирование единичных клеток
Ушные раковины после забора материала измельчали в капле охлажденного на льду PBS 1X в течение 5 мин и гомогенизировали в смеси коллагеназы II 10 мг/мл, проназы 5 мг/мл и 0,4 мг/мл ДНКазы I с использованием программы 37_multi_E гомогенизатора gentleMACS. Полученную суспензию пропускали через клеточное сито 70 мкм, двукратно отмывали в PBS c добавлением 10% FBS, ресуспендировали в нем же и пропускали через клеточное сито 30 мкм. Клетки фиксировали в метаноле и впоследствии регидрировали по протоколу 10Х Genomics. Из регидратированной суспензии выделяли ДНК-позитивные (Hoechst+) клетки с помощью проточного цитофлуориметра-сортера BD FACSAria III Cell Sorter, отсеивая дебрис по интенсивности сигнала FSC-A. Из полученной суспензии готовили библиотеки для секвенирования РНК единичных клеток с использованием набора Chromium Next GEM Single Cell 5’ (10Х Genomics) по стандартному протоколу. Полученные библиотеки секвенировали на платформе HiSeq2500 (Illumina). В результате секвенирования было получено 285 млн пар чтений в режиме 120 + 72 пн.
РЕЗУЛЬТАТЫ И ОБСУЖДЕНИЕ
Гистологический анализ
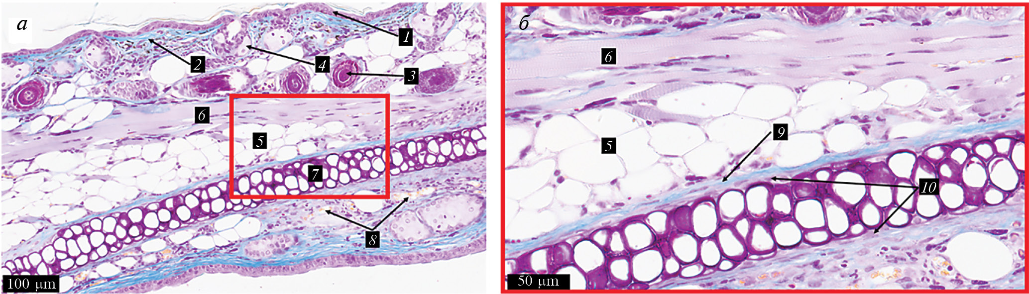
Снаружи ушная раковина покрыта эпидермисом – многослойным плоским ороговевающим эпителием. Под эпителием ушной раковины располагается дерма – плотная соединительная ткань, в которой обнаруживаются волосяные фолликулы и сальные железы (рис. 1).
Рис. 1. Ушная раковина Acomys. 1 – эпидермис, 2 – дерма, 3 – волосяной фолликул, 4 – сальные железы, 5 – белые адипоциты, 6 – поперечно-полосатые скелетные миоциты, 7 – эластический хрящ, 8 – кровеносный сосуд, 9 – фиброзный слой надхрящницы, 10 – хондрогенный слой надхрящницы. Окраска по Маллори. Ув. х200 (а), х500 (б).
Слой, располагающийся под дермой, является гиподермой, представленной белыми адипоцитами и рыхлой соединительной тканью. Также в составе ткани ушной раковины присутствуют поперечно-полосатые скелетные миоциты, отвечающие за произвольные движения ушами (рис. 1).
В состав ушной раковины также входит пластинка эластического хряща, покрытого надхрящницей. Надхрящница имеет два слоя – внутренний, или хондрогенный, состоящий из хондробластов, и наружный – фиброзный слой, представляющий собой волокна коллагена I типа (рис. 1) [8, 9].
Таким образом, ушная раковина является сложной гетерогенной структурой, состоящей из клеток разного происхождения (эктодерма, мезодерма и энтодерма).
Эти базовые наблюдения, полученные по результатам гистологического анализа, будут учтены при определении клеточных популяций на основе профилей экспрессии РНК единичных клеток.
Кластеризация и аннотация клеточных типов
В результате анализа данных scRNA-Seq было идентифицировано 24 клеточных кластера, которые в дальнейшем были проаннотированы при помощи известных из литературы маркерных генов (рис. 2). Более конкретно, оценивалась относительная выраженность экспрессии набора генов, характерных для того или иного клеточного типа, по сравнению с клетками, не входящими в рассматриваемый кластер.
Рис. 2. Кластеризация и аннотация клеточных типов по данным scRNA-Seq. а – кластерограмма (кластеры 1–24) клеток ушной раковины Acomys cahirinus, построенная методом UMAP (Uniform Manifold Approximationand Projection); б – визуализация усредненной экспрессии ряда маркерных генов, характерных для различных клеточных типов.
Таким образом, были определены следующие типы клеток ушной раковины: клетки хрящевой ткани, эпидермис и его производные, эндотелий, фибробласты, клетки иммунной системы, нейроглия, скелетные миоциты и адипоциты. Кластеры 2 и 10 остались неаннотированными ввиду слабого пересечения списка генов-«маркеров» с литературными данными (рис. 2).
Клетки хрящевой ткани были определены по специфичной экспрессии следующих генов: гена Sox9 (SRY-Box Transcription Factor 9), белок которого является ключевым фактором транскрипции в развивающемся и взрослом хряще [10], гена Acan (Agrecan), кодирующего хрящевой специфичный протеогликановый ядерный белок [11], гена Chad (Chondroadherin), который кодирует белок матрикса хряща, опосредующий адгезию изолированных хондроцитов [12], гена Mfap4 (Microfibril associated protein 4), который кодирует матричный белок, способствующий развитию и стабильности эластичных волокон [13].
Фибробласты были определены по экспрессии генов, кодирующих белки внеклеточного матрикса, – Сol1a1 (Collagen, type I, alpha 1) и Dcn (Decorin) [14, 15]. Экспрессия этих же генов обнаруживается в кластере № 3, который объединен с кластером № 1 – хрящевой тканью. Таким образом, можно сделать вывод о том, что объединенные кластеры № 1 и № 3 содержат в себе клетки хрящевой ткани – хондробласты – и клетки фиброзного слоя надхрящницы – фибробласты, что непосредственно подтверждается морфологическим анализом при визуальном наблюдении с использованием световой микроскопии (рис. 1).
Кератиноциты и производные кожи были разделены на кластеры недифференцированных кератиноцитов, или базальных кератиноцитов, дифференцированных кератиноцитов (шиповатый и гранулярный слои), сальных желез, волосяных фолликулов.
Базальные кератиноциты были идентифицированы по экспрессии генов Aspm (Assembly factor for spindle microtubules) и Mki67 (Marker of proliferation Ki-67), белки которых участвуют в митотическом делении, гена Top2a (DNA topoisomerase II alpha), кодирующего ДНК-топоизомеразу – фермент, который контролирует и изменяет топологические состояния ДНК во время транскрипции, а также гена Krt14 (Keratin 14) [16].
Для кластера, представляющего дифференцированные кератиноциты, характерна экспрессия таких генов как Krt1 (Keratin 1), Krtdap (Keratinocyte differentiation associated protein), кодирующего белок, участвующий в регуляции дифференцировки кератиноцитов, Sbsn (Suprabasin), молекулярная функция которого на данный момент до конца неизвестна, но по литературным данным представленный ген является маркером дифференцированных кератиноцитов, а также гена Dsc1 (Desmocollin 1), кодирующего белок, который является компонентом межклеточных десмосомных соединений [17].
Адипоциты отличались специфической экспрессией гена Fa2h (Fatty acid 2-hydroxylase), продукт которого участвует в биосинтезе жирных кислот [18], а также гена Soat1 (Sterol O-acyltransferase 1), кодирующего ключевой фермент биосинтеза холестерина [19]. Данный кластер клеток располагается в непосредственной близости с кластером сальных желез, идентифицированных по экспрессии генов Acsl1 (Acyl-CoA synthetase long chain family member 1), Acsbg1 (Acyl-CoA synthetase bubblegum family member 1), Acadm (Acyl-CoA dehydrogenase medium chain), Aco1 (Aconitase 1). Белки, кодируемые генами Acsl1 и Acsbg1, катализируют превращение жирных кислот в Ацил-КоА; Acadm кодирует ацил-КоА-дегидрогеназу – оксиредуктазу, катализирующую первую стадию β-окисления [20]. Заметим, что адипоциты также экспрессируют гены Aco1, Acadm и Acsbg1, так как вместе с клетками сальных желез участвуют в метаболизме жирных кислот, поэтому знание морфологической структуры исследуемой ткани является ценным подспорьем в процессе обработки транскриптомных данных, позволяя подтвердить наличие двух разных кластеров клеток, пусть даже экспрессирующих схожие наборы генов.
Клеточный кластер, клетки которого относятся к волосяному фолликулу, был идентифицирован по специфичной экспрессии гена Lgr5 (Leucine rich repeat containing G protein-coupledreceptor 5), кодирующего R-спондиновый рецептор, потенцирующий канонический сигнальный путь Wnt и являющийся маркером стволовых клеток всех областей волосяного фолликула [21].
Специфичными по уровню экспрессии генами для эндотелиальных клеток были Pecam (Platelet/endothelial cell adhesion molecule 1), который кодирует один из основных белков межклеточных контактов эндотелиальных клеток [22], Eng (Endoglin), белок которого является основным гликопротеином клеточной мембраны эндотелия сосудов [23], Esam (Endothelial cell adhesion molecule), кодирующий молекулу адгезии к эндотелиальным клеткам [24], а также Cldn5 (Claudin 5), основной белок которого обеспечивает адгезию эндотелиальных клеток и формирование плотных контактов [25]. При этом мы обнаружили три клеточных кластера, экспрессирующих эти гены, – это кластеры 4, 12, 17. Опираясь на знания классической гистологии, мы предполагаем, что это обусловлено наличием эндотелиоцитов в трех разных типах сосудов – венах, артериях и лимфатических сосудах [26].
Клетки иммунной системы, такие как макрофаги, отличались специфичной экспрессией генов гистосовместимости – Cd74 (HLA class II histocompatibility antigen gamma chain) и H2-Ab1 (Histocompatibility 2, class II antigen A), а также маркера активации иммунных клеток – гена Cd44 [27–29]. T-лимфоциты были идентифицированы по экспрессии генов поверхностных кластеров дифференциации Cd247, Cd226 и гену Ets1 (ETS proto-oncogene 1, transcription factor), белок которого является транскрипционным фактором, непосредственно контролирующим экспрессию генов цитокинов и хемокинов и может контролировать дифференцировку, выживание и пролиферацию лимфоидных клеток [30, 31].
Гены, кодирующие различные подтипы белка миелина (Myelin protein zero, Myelin basic protein, Myelin proteolipid protein), были специфичны по своей экспрессии для клеток нейроглии [32–34].
Клетки, которые были определены как скелетные миоциты, экспрессировали ген Myh11 (Myosin-11), белок которого участвует в сокращении мышечной ткани, преобразуя химическую энергию в механическую посредством гидролиза АТФ [35]. Как уже было описано выше, ушная раковина мышей имеет в своем составе поперечно-полосатую мускулатуру, которая визуализируется при морфологическом анализе (рис. 1).
Идентификация клеточного кластера № 19 была затруднена в связи с отсутствием четкой связи литературных данных с экспрессируемыми в этом кластере генами. Но на основании близкого взаиморасположения к кластерам кератиноцитов и экспрессии такого гена как Mitf (Melanocyte inducing transcription factor) мы предположительно идентифицировали данный кластер клеток как меланоциты. Белок, кодируемый данным геном, регулирует развитие меланоцитов и отвечает за специфичную для пигментных клеток транскрипцию ферментов меланогенеза [36]. Косвенно наше предположение может подтверждаться экспрессией генов, характерных для нервной ткани, так как меланоциты являются производными нервного гребня [37]. Подобными генами являются Nlgn1 (Neuroligin 1), продукт которого является членом семейства белков поверхности нейрональных клеток и может участвовать в формировании и ремоделировании синапсов, а также Nrtn (Neurturin), функция белка которого заключается в поддержании выживания симпатических нейронов [38, 39].
Неидентифицированные клетки были охарактеризованы экспрессией различных генов, кодирующих белки рибосомы (Rpl41, Rps19, Rpl32). Появление этого кластера клеток, вероятнее всего, является техническим артефактом, что подтверждается довольно заметными уровнями экспрессии в нем и других генов (рис. 3, кластер 2). Таким образом, образование данного кластера было обусловлено повышенным (относительно других клеток) уровнем экспрессии генов белков рибосомы, которые сами по себе ничего не говорят о биологической природе клеток, но, давая сильный сигнал, мешают корректной оценке общего профиля экспрессии генов и влекут мнимое выделение клеток в отдельный кластер из более крупного.
Рис. 3. Экспрессия маркерных генов и финальная аннотация клеточных типов. а – тепловая карта, демонстрирующая наиболее специфично экспрессируемые гены в каждом кластере клеток (1–15); б – кластерограмма клеток ушной раковины Acomys cahirinus с аннотацией клеточных типов, построенная методом UMAP.
Итак, в результате аннотации выявленные алгоритмически кластеры №№ 1 и 3; 8 и 14; 5 и 23; 9 и 20; 4, 12 и 17; 6, 11 и 16; 2 и 10 были объединены в кластеры более высокого порядка, поскольку обладают сходным профилем экспрессии маркерных генов.
Присвоение выявленным программным образом кластерам клеток конкретных клеточных типов дает хорошие перспективы для последующего детального анализа полученных данных (рис. 3). Большинство аннотированных клеточных кластеров сходится с гистологической картиной ушной раковины Acomys cahirinus.
Таким образом, аннотация клеточных кластеров с помощью оценки уровней экспрессии известных маркерных генов может быть дополнена методами классического морфологического анализа с использованием световой микроскопии. Благодаря такой интеграции мы получаем всестороннее и многомерное представление об архитектуре тканей, позволяющее точно идентифицировать и охарактеризовать различные клеточные популяции в их пространственном расположении, как в статичном состоянии, так и в динамике в эксперименте. Гистологическая оценка способна расширить представление о клеточных популяциях, сгруппированных на основании интенсивности экспрессии генов, и разделить такие кластеры на отдельные морфологические единицы.
Развитие технологий секвенирования РНК единичных клеток в будущем, очевидно, приведет к еще более полной интеграции наблюдений, полученных при анализе профилей экспрессии генов и морфологическом исследовании тканей, ведь информация о взаимном расположении клеток относительно друг друга фиксируется уже в рамках пробоподготовки образца для секвенирования.
Однако метод пространственной транскриптомики единичных клеток на сегодняшний день не обладает достаточной разрешающей способностью в контексте поиска отдельных уникальных клеточных типов в большом массиве тканевых элементов. В связи с этим комбинация картины классической гистологии и профиля экспрессии РНК единичных клеток является оптимальным методом в решении биомедицинских задач.
Дальнейшие исследования с использованием результатов аннотации клеточных типов помогут открыть молекулярно-клеточные механизмы качественной регенерации тканей иглистых мышей.
Проект поддержан грантом 075-15-2021-1344 Министерства науки и высшего образования РФ.
Исследование одобрено Этическим комитетом Института фундаментальной медицины и биологии Казанского (Приволжского) федерального университета от 9 марта 2023 г., протокол № 40.
Все применимые международные, национальные и/или институциональные принципы ухода и использования животных были соблюдены.
Авторы заявляют, что у них нет конфликта интересов.
About the authors
N. S. Filatov
Kazan (Volgaregion) Federal University
Email: olga-sphinx@yandex.ru
Russian Federation, Kazan, 420008
A. I. Bilyalov
Kazan (Volgaregion) Federal University; Loginov Moscow Clinical Scientific Center
Email: olga-sphinx@yandex.ru
Russian Federation, Kazan, 420008; Moscow, 111123
G. R. Gazizova
Kazan (Volgaregion) Federal University
Email: olga-sphinx@yandex.ru
Russian Federation, Kazan, 420008
A. A. Bilyalova
Kazan (Volgaregion) Federal University
Email: olga-sphinx@yandex.ru
Russian Federation, Kazan, 420008
E. I. Shagimardanova
Kazan (Volgaregion) Federal University, Russia 2Loginov Moscow Clinical Scientific Center,
Email: olga-sphinx@yandex.ru
Russian Federation, Kazan, 420008; Moscow, 111123
M. V. Vorontsova
Lomonosov Moscow State University
Email: olga-sphinx@yandex.ru
Russian Federation, Moscow, 119991
A. P. Kiyasov
Kazan (Volgaregion) Federal University
Email: olga-sphinx@yandex.ru
Russian Federation, Kazan, 420008
O. A. Gusev
Kazan (Volgaregion) Federal University; Juntendo University School of Medicine; LIFT Center LLC
Email: olga-sphinx@yandex.ru
Russian Federation, Kazan, 420008; Tokyo, 113-8421 Japan; Moscow, Skolkovo, 121205
O. S. Kozlova
Kazan (Volgaregion) Federal University
Author for correspondence.
Email: olga-sphinx@yandex.ru
Russian Federation, Kazan, 420008
References
- Maden M., Varholick J.A. Model systems for regeneration: The spiny mouse, Acomys cahirinus// Development. 2020. V. 147. № 4. https://doi.org/10.1242/dev.167718
- Билялов А.И., Филимошина Д.Д., Филатов Н.С. и др. У мышей рода Acomys после травмы восстанавливается эластический хрящ ушной раковины // Гены и клетки. 2022. Т. 17. № 1. С. 42–47. (Bilyalov A.I., Filimoshina D.D., Filatov N.S. et al. In mice of the genus Acomys, the elastic cartilage of the auricle is restored after injury // Genes and cells. 2022. V. 17. № 1. P. 42–47.) https://doi.org/10.23868/202205003
- Kuksin M., Morel D., Aglave M. et al. Applications of single-cell and bulk RNA sequencing in onco-immunology // Eur. J. Cancer. 2021. V. 149. P. 193–210. https://doi.org/10.1016/j.ejca.2021.03.005
- Nguyen E.D., Fard V.N., Kim B.Y. et al. Genome report: Chromosome-scale genome assembly of the African spiny mouse (Acomys cahirinus) // bioRxiv 2023.04.03.535372. https://doi.org/10.1101/2023.04.03.535372
- Lun A.T.L., Riesenfeld S., Andrews T. et al. EmptyDrops: Distinguishing cells from empty droplets in droplet-based single-cell RNA sequencing data // Genome Biol. 2019. V. 20. № 1. P. 63. https://doi.org/10.1186/s13059-019-1662-y
- Wolock S.L., Lopez R., Klein A.M. Scrublet: Computational identification of cell doublets in single-cell transcriptomic data // Cell Syst. 2019. V. 8. № 4. P. 281–291.e9. https://doi.org/10.1016/j.cels.2018.11.005
- Hao Y., Hao S., Andersen-Nissen E. et al. Integrated analysis of multimodal single-cell data // Cell. 2021. V. 184. № 13. P. 3573–3587. e29. https://doi.org/doi: 10.1016/j.cell.2021.04.048
- Bairati A., Comazzi M., Gioria M. A comparative study of perichondrial tissue in mammalian cartilages // Tissue Cell. 1996. V. 28. № 4. P. 455–468. https://doi.org/10.1016/s0040-8166(96)80031-0
- Treuting P.M., Dintzis S.M. 22 – Special senses: Ear // Comparative Anatomy and Histology, Acad. Press, 2012. P. 419–432. https://doi.org/10.1016/B978-0-12-381361-9.00022-6
- Lefebvre V., Angelozzi M., Haseeb A. SOX9 in cartilage development and disease // Curr. Opin. Cell Biol. 2019. V. 61. P. 39–47. https://doi.org/10.1016/j.ceb.2019.07.008
- Dateki S. ACAN mutations as a cause of familial short stature // Clin. Pediatr. Endocrinol. 2017. V. 26. № 3. P. 119–125. https://doi.org/10.1297/cpe.26.119
- Batista M.A., Nia H.T., Önnerfjord P. et al. Nanomechanical phenotype of chondroadherin-null murine articular cartilage // Matrix Biol. 2014. V. 38. P. 84–90. https://doi.org/10.1016/j.matbio.2014.05.008
- Taylor S.E., Lee J., Smeriglio P. et al. Identification of human juvenile chondrocyte-specific factors that stimulate stem cell growth // Tissue Eng. Part A. 2016. V. 22. № 7–8. P. 645–653. https://doi.org/10.1089/ten.TEA.2015.0366
- Boot-Handford R.P., Tuckwell D.S. Fibrillar collagen: The key to vertebrate evolution? A tale of molecular incest // Bioessays. 2003. V. 25. № 2. P. 142–151. https://doi.org/10.1002/bies.10230
- Reed C.C., Iozzo R.V. The role of decorin in collagen fibrillogenesis and skin homeostasis // Glycoconj. J. 2002. V. 19. № 4–5. P. 249–255. https://doi.org/10.1023/A:1025383913444
- Billi A.C., Ma F., Plazyo O. et al. Nonlesional lupus skin contributes to inflammatory education of myeloid cells and primes for cutaneous inflammation // Sci. Transl. Med. 2022. V. 27. № 14. P. 642. https://doi.org/10.1126/scitranslmed.abn2263
- Wang S., Drummond M.L., Guerrero-Juarez C.F. et al. Single cell transcriptomics of human epidermis identifies basal stem cell transition states // Nat. Commun. 2020. V. 11. № 1. P. 4239. https://doi.org/10.1038/s41467-020-18075-7
- Alderson N.L., Maldonado E.N., Kern M.J. et al. FA2H-dependent fatty acid 2-hydroxylation in postnatal mouse brain // J. Lipid Res. 2006. V. 47. № 12. P. 2772–2780. https://doi.org/10.1194/jlr.M600362-JLR200
- Xu Y., Du X., Turner N. et al. Enhanced acyl-CoA: Cholesterol acyltransferase activity increases cholesterol levels on the lipid droplet surface and impairs adipocyte function // J. Biol. Chem. 2019. V. 294. № 50. P. 19306–19321. https://doi.org/10.1074/jbc.RA119.011160
- Shih B.B., Nirmal A.J., Headon D.J. et al. Derivation of marker gene signatures from human skin and their use in the interpretation of the transcriptional changes associated with dermatological disorders // J. Pathol. 2017. V. 241. № 5. P. 600–613. https://doi.org/10.1002/path.4864
- Polkoff K.M., Gupta N.K., Green A.J. et al. LGR5 is a conserved marker of hair follicle stem cells in multiple species and is present early and throughout follicle morphogenesis // Sci. Rep. 2022. V. 12. № 1. P. 9104. https://doi.org/10.1038/s41598-022-13056-w
- Park S., DiMaio T.A., Scheef E.A. et al. PECAM-1 regulates proangiogenic properties of endothelial cells through modulation of cell-cell and cell-matrix interactions // Am. J. Physiol. Cell Physiol. 2010. V. 299. № 6. P. 1468–1484. https://doi.org/10.1152/ajpcell.00246.2010
- Rossi E., Bernabeu C., Smadja D.M. Endoglin as an adhesion molecule in mature and progenitor endothelial cells: A function beyond TGF-β // Front. Med. 2019. V. 6. https://doi.org/10.3389/fmed.2019.00010
- Inoue M., Ishida T., Yasuda T. et al. Endothelial cell-selective adhesion molecule modulates atherosclerosis through plaque angiogenesis and monocyte-endothelial interaction // Microvasc. Res. 2010. V. 80. № 2. P. 179–187. https://doi.org/10.1016/j.mvr.2010.04.005
- Ma S.C., Li Q., Peng J.Y et al. Claudin-5 regulates blood-brain barrier permeability by modifying brain microvascular endothelial cell proliferation, migration, and adhesion to prevent lung cancer metastasis // CNS Neurosci. Theor. 2017. V. 23. № 12. P. 947–960. https://doi.org/10.1111/cns.12764
- Fajardo L.F. The complexity of endothelial cells. A review // Am. J. Clin. Pathol. 1989. V. 92. № 2. P. 241–250. https://doi.org/10.1093/ajcp/92.2.241
- Su H., Na N., Zhang X., Zhao Y. The biological function and significance of CD74 in immune diseases // Inflamm. Res. 2017. V. 66. № 3. P. 209–216. https://doi.org/10.1007/s00011-016-0995-1
- Stephens W.Z., Kubinak J.L., Ghazaryan A. et al. Epithelial-myeloid exchange of MHC class II constrains immunity and microbiota composition // Cell Rep. 2021. V. 37. № 5. https://doi.org/10.1016/j.celrep.2021.109916
- Hou W., Kong L., Hou Z., Ji H. CD44 is a prognostic biomarker and correlated with immune infiltrates in gastric cancer // BMC Med. Genomics. 2022. V. 15. № 1. P. 225. https://doi.org/10.1186/s12920-022-01383-w
- Muruganandam M., Ariza-Hutchinson A., Patel R.A., Sibbitt W.L. Jr. Biomarkers in the pathogenesis, diagnosis, and treatment of systemic sclerosis // J. Inflamm. Res. 2023. V. 16. P. 4633–4660. https://doi.org/10.2147/JIR.S379815
- Kendirli A., de la Rosa C., Lämmle K.F. et al. A genome-wide in vivo CRISPR screen identifies essential regulators of T cell migration to the CNS in a multiple sclerosis model // Nat. Neurosci. 2023. V. 26. № 10. P. 1713–1725. https://doi.org/10.1038/s41593-023-01432-2
- Kozina A.A., Baryshnikova N.V., Ilinskaya A.Y. et al. Novel mutation in the MPZ gene causes early-onset but slow-progressive Charcot-Marie-Tooth disease in a Russian family: A case report // J. Int. Med. Res. 2022. V. 50. № 12. https://doi.org/doi: 10.1177/03000605221139718
- Smirnova E.V., Rakitina T.V., Ziganshin R.H. et al. Comprehensive atlas of the myelin basic protein interaction landscape // Biomolecules. 2021. V. 11. № 11. https://doi.org/10.3390/biom11111628
- Kim D., An H., Fan C., Park Y. Identifying oligodendrocyte enhancers governing Plp1 expression // Hum. Mol. Genet. 2021. V. 30. № 23. P. 2225–2239. https://doi.org/10.1093/hmg/ddab184
- Ruan J., Zhang L., Hu D. et al. Novel Myh11 dual reporter mouse model provides definitive labeling and identification of smooth muscle cells-brief report // Arterioscler. Thromb. Vasc. Biol. 2021. V. 41. № 2. P. 815–821. https://doi.org/10.1161/ATVBAHA.120.315107
- Goding C.R., Arnheiter H. MITF-the first 25 years // Genes Dev. 2019. V. 33. № 15–16. P. 983–1007. https://doi.org/10.1101/gad.324657.119
- Кичигина Т.Н., Грушин В.Н., Беликова И.С., Мяделец О.Д. Меланоциты: строение, функции, методы выявления, роль в кожной патологии // Вестн. Витебского гос. мед. ун-та. 2007. Т. 6. № 4. С. 5–16. https://elib.vsmu.by/handle/123/8528
- Jeong J., Han W., Hong E. et al. Regulation of NLGN3 and the synaptic Rho-GEF signaling pathway by CDK5 // J. Neurosci. 2023. V. 43. № 44. P. 7264–7275. https://doi.org/10.1523/JNEUROSCI.2309-22.2023
- Sato S., Suzuki Y., Kikuchi M. et al. Sputum neurturin levels in adult asthmatic subjects // J. Asthma Allergy. 2023. V. 16. P. 889–901. https://doi.org/10.2147/JAA.S421742
Supplementary files





