Ассоциированный с гипертрофической кардиомиопатией новый вариант со сдвигом рамки считывания в гене MYBPC3 определяет значительное снижение уровня транскрипта этого гена в миокарде
- Авторы: Киселев И.С.1, Козин М.С.1, Баулина Н.М.1, Шарипова М.Б.2, Зотов А.С.1, Степанова Е.А.3, Курилина Э.В.1, Абдуллаева Г.Ж.4, Затейщиков Д.А.1,5, Фаворова О.О.1, Чумакова О.С.1,5
-
Учреждения:
- Национальный медицинский исследовательский центр кардиологии им. академика Е.И. Чазова Министерства здравоохранения Российской Федерации
- Бухарский областной многопрофильный медицинский центр
- Российская медицинская академия непрерывного профессионального образования
- Республиканский специализированный научно-практический медицинский центр кардиологии
- Городская клиническая больница № 17 Департамента здравоохранения города Москвы
- Выпуск: Том 60, № 6 (2024)
- Страницы: 106-116
- Раздел: ГЕНЕТИКА ЧЕЛОВЕКА
- URL: https://journals.rcsi.science/0016-6758/article/view/266432
- DOI: https://doi.org/10.31857/S0016675824060101
- EDN: https://elibrary.ru/BXPGKH
- ID: 266432
Цитировать
Полный текст
Аннотация
Гипертрофическая кардиомиопатия (ГКМП) ‒ самое распространенное наследственное заболевание сердца с частотой встречаемости 1 : 200–1 : 500 в общей популяции. В основе развития ГКМП в большинстве случаев лежат патогенные (или вероятно патогенные) варианты в восьми генах, кодирующих белки саркомера ‒ основной сократительной единицы кардиомиоцитов, и в первую очередь ‒ в гене MYBPC3; при этом варианты гена MYBPC3 часто ассоциированы с относительно доброкачественным клиническим течением заболевания. Здесь мы описываем новый вариант гена MYBPC3, приводящий вследствие мутации со сдвигом рамки считывания NM_000256.3:c.2781_2782insCACA в гетерозиготном состоянии к семейной ГКМП. У пробанда, несмотря на оперативное вмешательство по устранению обструкции левого желудочка, сохранялась прогрессирующая сердечная недостаточность. Оценка уровней транскриптов мутантного аллеля и аллеля дикого типа гена MYBPC3 в ткани миокарда пробанда, а также сравнение суммарного уровня транскриптов с контрольными образцами от пациентов без ГКМП показали значительное аллель-специфическое снижение уровня мутантного транскрипта. Полученные нами результаты расширяют спектр известных генетических вариантов с доказанной ролью в развитии ГКМП.
Полный текст
Гипертрофическая кардиомиопатия (ГКМП) ‒ самое распространенное (1 : 200 – 1 : 500 в общей популяции) генетическое заболевание сердца преимущественно с аутосомно-доминантным типом наследования, которое встречается с одинаковой частотой у мужчин и женщин и характеризуется возраст-зависимой пенетрантностью [1–3]. При ГКМП развивается, как правило, асимметричная гипертрофия стенок левого желудочка (ЛЖ), степень которой не может быть объяснена только гемодинамическими нарушениями; в двух третях случаев процесс приводит к обструкции выводного отдела ЛЖ (ВОЛЖ) [3]. Клиническое течение ГКМП отличается выраженной гетерогенностью: одни больные остаются бессимптомными в течение длительного времени, у других развиваются такие неблагоприятные события как прогрессирующая сердечная недостаточность, фибрилляция предсердий и эмболические инсульты, третьи внезапно умирают в молодом возрасте [3]. Согласно исследованиям последнего десятилетия, клиническая вариабельность заболевания определяется сочетанием его сложной генетической архитектуры [4] и воздействия ненаследственных факторов [5].
Наследственная природа ГКМП была впервые продемонстрирована в 1989 г., когда была показана ассоциация локуса 14q1 с заболеванием [6]. За 30 лет изучения описано, согласно базе данных ClinVar-NCBI, более 1000 патогенных и около 300 вероятно патогенных вариантов с доказанной ролью в развитии заболевания. Этих вариантов (96%) было обнаружено в восьми генах, кодирующих саркомерные белки [7], причем один из этих генов, MYBPC3, кодирующий миозин-связывающий белок C3 (MyBP-C), становится причиной заболевания чаще других (44% генотип-положительных случаев) [8]. Для MYBPC3-ассоциированной ГКМП характерны более поздний дебют и, как правило, более благоприятное течение в сравнении с ГКМП, связанной с другими генами белков саркомера [9–10]. Однако некоторые варианты гена MYBPC3 ассоциированы с тяжелым фенотипом и неблагоприятным исходом [11–12]. Несмотря на большое количество зарегистрированных генетических вариантов, ассоциированных с ГКМП, многие из них не повторяются в популяции, что затрудняет точную классификацию их патогенности из-за отсутствия доказательств в сегрегационных и функциональных исследованиях.
В настоящей работе мы описываем новый вариант NM_000256.3:c.2781_2782insCACA гена MYBPC3 со сдвигом рамки считывания, который выявлен в семье больных ГКМП с тяжелой формой заболевания у пробанда, и приводим данные анализа экспрессии мутантного гена MYBPC3 в ткани сердца человека.
МАТЕРИАЛЫ И МЕТОДЫ
Клинические данные пробанда
Женщина 44 лет была госпитализирована в Городскую клиническую больницу № 17 г. Москвы с жалобами на сердцебиения и одышку в рамках III функционального класса по классификации Нью-Йоркской ассоциации сердца (New York Heart Association, NYHA). Из анамнеза стало известно, что в возрасте 20 лет, после рождения первого ребенка, у нее были впервые зарегистрированы признаки патологии сердца, однако диагноз установлен не был. В возрасте 30 лет впервые появилась одышка, которая прогрессировала до III класса по NYHA в течение последующих десяти лет. В возрасте 40 лет была диагностирована обструктивная форма ГКМП, но от предложенной операции пациентка отказалась. При обследовании в Городской клинической больнице № 17 на электрокардиограмме (ЭКГ) регистрировались “рубцовые” изменения. Эхокардиография (ЭХОКГ) выявила асимметричную гипертрофию межжелудочковой перегородки (23 мм), удлинение и передне-систолическое движение передней створки митрального клапана с тяжелой обструкцией ВОЛЖ (148 мм рт. ст. в покое), “псевдонормальный” тип диастолической дисфункции ЛЖ (Е/е = 16.7), расширение левого предсердия и умеренную степень митральной регургитации. Фракция выброса (ФВ) ЛЖ составила 64%. Магнитно-резонансная томография (МРТ) сердца дополнительно показала смещение прикрепления папиллярных мышц в сторону верхушки и накопление гадолиния в отсроченную фазу контрастирования. Уровень мозгового натрийуретического пептида в крови составил 1247 пг/мл. Пациентке в возрасте 45 лет была проведена хирургическая миосептэктомия по Морроу, достигнуто значительное снижение градиента давления в ВОЛЖ и облегчение симптомов. В последующие два года наблюдения сохранялась одышка в рамках II класса по NYHA, градиент давления в ВОЛЖ составлял 35 мм рт. ст. в покое и 45 мм рт. ст. после проведения провоцирующей пробы Вальсальвы. На ЭКГ регистрировалась полная блокада левой ножки пучка Гиса. В возрасте 47 лет было отмечено прогрессирование сердечной недостаточности: одышка III класса по NYHA, периферические отеки, потребность в диуретиках. На ЭХОКГ регистрировались небольшая обструкция ВОЛЖ (35 мм рт. ст.), сохраненная ФВ ЛЖ (60%) и снижение глобальной продольной систолической деформации ЛЖ (17%).
Клинические данные членов семьи
На базе Бухарского областного многопрофильного медицинского центра (Узбекистан) проведено клиническое обследование 10 членов семьи пробанда (табл. 1). У ее матери (I.2), страдающей артериальной гипертензией, выявлена гипертрофия миокарда ЛЖ с максимальной толщиной стенок ЛЖ 12 мм, что не соответствует критерию ГКМП. Отец (I.1) был недоступен для обследования; он умер внезапной смертью в возрасте 43 лет. У пробанда есть брат-близнец (II.4) с жалобами на одышку, боли в груди и сердцебиения, у которого в возрасте 45 лет также была диагностирована ГКМП. Еще у одного брата (II.2), моложе близнецов на два года, у которого не было жалоб, ЭХОКГ показала диастолическую дисфункцию ЛЖ и расширение левого предсердия; гипертрофия миокарда на ЭХОКГ не определялась; проведение МРТ сердца было не доступно. Никто из других обследованных родственников не имел жалоб и признаков ГКМП на ЭХОКГ.
Таблица 1. Клинические характеристики пациента – носителя варианта c.2781insCACA (II.3) в гене MYBPC3 и членов семьи
Номер пациента | Пол, возраст на момент осмотра (лет), связь с пробандом | Клинические симптомы | Электрокардиография | Эхокардиография |
I.1 | M (43), отец | ВСС | − | − |
I.2 | Ж (69), мать | Одышка | Депрессии ST в V4-V6 | Симметричная ГЛЖ 12мм; диастолическая дисфункция ЛЖ |
II.1 | M (36), брат | Нет | Норма | Пролапс МК |
II.2 | M (43), брат | Нет | − | Диастолическая дисфункция ЛЖ; расширение ЛП; пролапс МК |
II.3 | Ж (45), пробанд | Одышка, боль в груди, сердцебиения | Патологические зубцы Q | Асимметричная ГЛЖ 28мм; обструкция ВОЛЖ; диастолическая дисфункция ЛЖ; асширение ЛП; удлинение створок МК |
II.4 | M (45), брат-близнец | Одышка | СРРЖ в нижних отведениях | Асимметричная ГЛЖ 16мм; диастолическая дисфункция ЛЖ; расширение ЛП; пролапс МК |
III.1 | Ж (15), племянница | Нет | − | Норма |
III.2 | Ж (9), племянница | Нет | − | Норма |
III.3 | M (26) сын | Нет | СРРЖ в нижних отведениях | Норма |
III.4 | Ж (22), дочь | Нет | Норма | Норма |
III.5 | Ж (17), племянница | Нет | СРРЖ в нижних отведениях | Норма |
Примечание. Ж – женщина; M – мужчина; ВСС – внезапная сердечная смерть; ЛЖ – левый желудочек; ГЛЖ – гипертрофия ЛЖ; MК – митральный клапан; ЛП – левое предсердие; ВОЛЖ – выводной отдел ЛЖ; СРРЖ – синдром ранней реполяризации желудочков.
Таргетное секвенирование
ДНК выделяли из образцов крови с помощью набора DNA Blood Mini Kit (Qiagen, Германия). Таргетное секвенирование у пробанда 19 генов, ассоциированных с ГКМП и ее основными фенокопиями (ACTC1, ALPK3, DES, FHL1, FHOD3, GLA, LAMP2, MYBPC3, MYH7, MYL2, MYL3, PRKAG2, PTPN11, TNNC1, TNNI3, TNNT2, TPM1, TRIM63 и TTR), выполнено в лаборатории Health in Соdе (Испания). Принимая во внимание достаточно тяжелое клиническое проявление заболевания у пробанда, в той же лаборатории проведено дополнительное секвенирование 232 генов, ассоциированных с наследственными заболеваниями сердца (общая панель кардиомиопатий, аритмий и внезапной смерти, Health in Сode).
Генотипирование
Валидацию результатов таргетного секвенирования у пробанда и генотипирование образцов ДНК всех живых родственников пробанда, представленных в табл. 1, проводили с помощью секвенирования по методу Сэнгера с олигонуклеотидными праймерами, фланкирующими область мутации: 5’-TGCCATTGAGCAGATTCACCT-3’ и 5’-GTGTCAATGGCGGGTCTTGT-3’.
Получение образцов ткани сердца и гистологическое исследование
Образец миокарда ЛЖ пробанда (II.3), полученный в ходе миосептэктомии из проксимального участка межжелудочковой перегородки непосредственно под правой коронарной створкой аортального клапана, был разделен на два фрагмента. Один фрагмент хранили при температуре −20ºС в растворе RNAlater (Thermo Fisher Scientific, США) для последующего анализа экспрессии гена MYBPC3. Второй фрагмент был помещен в 10% нейтральный буферный раствор формалина, дегидратирован и фиксирован в парафине по стандартной методике. Срезы с парафиновых блоков были окрашены гематоксилином и эозином (обзорная стандартная окраска), а также дополнительно по методу Ван-Гизона (визуализация коллагеновых волокон), Конго красным (визуализация амилоида в поляризованном свете) и реактивом Шиффа (визуализация гликогена). Образцы были исследованы с помощью поляризационного микроскопа Leica DM2000 (Великобритания).
Образцы миокарда ЛЖ пациентов без ГКМП (контрольная группа для анализа экспрессии генов) были получены от 14 пациентов со вторичной гипертрофией миокарда ЛЖ, развившейся вследствие тяжелого аортального стеноза (АС) (35.7% женщин, возраст 60.4 ± 9.0 лет, максимальная толщина стенки ЛЖ 16.6 ± 3.3 мм). Эти образцы были получены из аналогичного участка межжелудочковой перегородки в ходе операции по протезированию аортального клапана и хранились при температуре −20ºС в растворе RNAlater.
Все манипуляции были проведены одним хирургом, А.С. Зотовым.
Анализ экспрессии гена MYBPC3 в миокарде пробанда
Фрагмент миокарда ЛЖ пробанда, хранившийся в растворе RNAlater при −20ºС, был разделен на три части, которые в дальнейшем обрабатывали независимо друг от друга с получением трех технических реплик. Все образцы сердечной ткани пробанда и пациентов с АС гомогенизировали с помощью шаровой мельницы TissueLyser LT (Qiagen, США). Тотальную РНК выделяли из разрушенных тканей с помощью набора RNeasy Mini Kit (Qiagen); ее чистоту оценивали с помощью спектрофотометра NanoDrop 2000 (Thermo Fisher Scientific). Тотальную РНК каждого образца подвергали обратной транскрипции с помощью набора High Capacity RNA-to-cDNA Kit (ThermoFisher Scientific) и использовали полученную кДНК для количественной ПЦР. Реакцию проводили с применением SYBR Green PCR Master Mix (Thermo Fisher Scientific) и трех пар олигонуклеотидных праймеров: 5’-CTGACAGAGCACACACA-3’ и 5’-CCCGACCTTCTTCTGAATGG-3’ для мутантного транскрипта гена MYBPC3, 5’-CTGACAGAGCACACATCGAT-3’, 5’-TGAGAAGGTTCACAGGCTCC-3’ для транскрипта дикого типа, 5’-GCACACAATATGGCAGGGC-3’ и 5’-TGGAAAGGGATGAGAAGGTTCA-3’ ‒ неспецифично для обоих транскриптов (в трех повторах для каждой пары праймеров). Все праймеры были сконструированы таким образом, чтобы охватывать стык между экзонами 27 и 28. В качестве эндогенного контроля использовали транскрипт гена GAPDH, детектируемый с помощью праймеров 5’-GACTCATGACCACAGTCCATGC-3’ и 5’-AGAGGCAGGGATGATGTTCT-3’. Вычисление относительной кратности экспрессии гена MYBPC3 проводили с помощью метода дельта-дельта Ct [13].
РЕЗУЛЬТАТЫ
Гистопатология миокарда пробанда
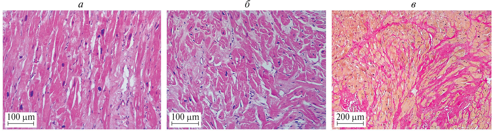
Гистологический анализ биопсийного материала пробанда выявил признаки, которые с учетом клинических данных являются характерными для ГКМП [14]: гипертрофию кардиомиоцитов (некоторые кардиомиоциты имели ширину до 40 микрон), ядерный полиморфизм (рис. 1, а), увеличенные и в значительной мере беспорядочно расположенные кардиомиоциты (феномен “disarray”) (Рис. 1, б), интерстициальный фиброз с эффектом “замурованных” кардиомиоцитов в отдельных участках (рис. 1, в).
Рис. 1. Гистологический анализ биопсии миокарда пробанда. а – гипертрофия кардиомиоцитов и ядерный полиморфизм, окраска гематоксилином и эозином; б – беспорядочное расположение и гипертрофия кардиомиоцитов, окраска гематоксилином и эозином; в – интерстициальный фиброз: коллагеновые волокна (фиолетово-красный), кардиомиоциты (желтый), окраска по Ван-Гизону.
При исследовании в поляризованном свете препаратов, окрашенных Конго красным, амилоид не выявлен; при постановке ШИК-реакции наблюдали относительно равномерное накопление гликогена в кардиомиоцитах. Таким образом, были исключены основные фенокопии ГКМП – амилоидоз и гликогенозы.
Идентификация нового генетического варианта у пробанда
Таргетное секвенирование 19 генов, ассоциированных с ГКМП и ее основными фенокопиями, выявило у пробанда (пациент II.3) ранее не описанный вариант NM_000256.3:c.2781_2782insCACA (далее c.2781insCACA) в гетерозиготном состоянии. Мы классифицировали данный вариант как вероятно патогенный в соответствии с совместными рекомендациями Американской коллегии медицинской генетики и геномики (American College of Medical Genetics and Genomics, ACMG) и Ассоциации молекулярной патологии (Association for Molecular Pathology, AMP) [15]. Этот вариант представляет собой дупликацию четырех пар оснований в 27 экзоне гена MYBPC3, которая приводит к сдвигу рамки считывания, изменению кодируемой аминокислотной последовательности, начиная с кодона Ser928 (NP_000247.2:p.S928Hfs*124), и появлению преждевременного стоп-кодона через 123 основания к 3’-концу от данной мутации. Дополнительное секвенирование 232 генов, связанных с кардиомиопатиями, аритмиями и внезапной смертью, не выявило других редких вариантов, которые могли бы объяснить формирование фенотипа ГКМП у пробанда.
Анализ данных генотипирования ДНК пробанда и членов семьи
Мы воспроизвели полученные с помощью таргетного секвенирования данные о носительстве пробандом (пациент II.3 с ГКМП) варианта c.2781insCACA с помощью секвенирования по методу Сэнгера. Гетерозиготное носительство 4-нуклеотидной вставки приводит к сдвигу рамки считывания, которая на электроферограмме выглядит как “удвоенная последовательность", начиная от места вставки и до 3’-конца фрагмента (рис. 2, а). Идентифицированный вариант описан впервые и не представлен в имеющихся базах данных (gnomAD, ExAC, ESP, dbSNP, ClinVar), поэтому информация о нем направлена в базу данных ClinVar, идентификатор – SCV003935995.
Рис. 2. Результаты секвенирования по Сэнгеру области гена MYBPC3 у пациента с ГКМП II.3 (пробанд), носителя варианта c.2781insCACA в гетерозиготном состоянии (электрофореграмма а), и у пациента III.2, не являющегося носителем (электрофореграмма б). На электрофореграмме A зеленой полосой показан регион в 5’-области от индексного варианта, синей полосой – инсерция TGTG, оранжевой полосой – “удвоенная последовательность" в 3’-области от варианта.
Аналогичный анализ был проведен в девяти доступных образцах ДНК родственников пациента. Четверо из родственников пробанда (II.2, II.4, III.1 и III.5, табл. 1), в том числе брат-близнец с диагнозом ГКМП, оказались носителями описываемой новой мутации, другие пять (I.2, II.1, III.2, III.3, III.4, табл. 1) не были носителями. Электрофореграмма одного из здоровых родственников без мутации, III.2, представлена на рис. 2, б.
Анализ экспрессии гена MYBPC3
Мы измерили уровни зрелых мРНК-транскриптов мутантного и дикого типов гена MYBPC3 в тотальной РНК из ткани ЛЖ пробанда и оценили их соотношение (рис. 3). Видно, что относительный уровень мутантной мРНК MYBPC3 оказался почти на порядок ниже, чем мРНК дикого типа (0.040 и 0.29 соответственно), а кратность изменения (fold change) составила 0.14, что может объясняться деградацией транскрипта по механизму нонсенс-опосредованного распада мРНК [16].
Рис. 3. Относительные уровни транскриптов гена MYBPC3 в ткани левого желудочка пробанда и 14 пациентов с аортальным стенозом, составивших контрольную группу. Для пробанда анализ проводился независимо в трех фрагментах миокарда (три технических повтора). Уровни изучаемых транскриптов рассчитывались относительно уровня экспрессии гена GAPDH. Данные представлены в виде графика рассеяния (среднее значение со стандартным отклонением).
Далее мы сравнили суммарные уровни мРНК-транскриптов MYBPC3 в ткани ЛЖ пробанда и в ткани ЛЖ 14 пациентов с АС, составивших в нашем исследовании контрольную группу (рис. 3). Уровень транскриптов MYBPC3 у пробанда оказался примерно в два раза ниже, чем в среднем в контрольной группе (0.32 ± 0.05 против 0.75 ± 0.20, fold change = 0.43). Эти данные свидетельствуют о том, что мутантный аллель практически не вносит вклада в общий уровень транскрипции MYBPC3.
ОБСУЖДЕНИЕ
Несмотря на выявление многих генетических вариантов, ассоциированных с ГКМП, наши представления о патогенезе заболевания ‒ от мутации к фенотипу ‒ остаются неполными, что во многом определяется недоступностью адекватного объекта исследования. Действительно, фенотипы ГКМП человека только частично воспроизводятся на модельных животных [17], а возможности исследовать ткани сердца человека по понятным причинам крайне ограничены, особенно применительно к мутации в конкретном гене.
В настоящей работе мы обнаружили новый вариант c.2781insCACA в гене MYBPC3 у больной ГКМП и проследили характер наследования этого варианта в её семье (рис. 4). Кроме того, мы оценили влияние варианта c.2781insCACA на уровень мРНК MYBPC3 в образце миокарда ЛЖ пробанда, частично восполнив описанный выше дефицит исследований механизмов развития ГКМП на ткани сердца человека.
Рис. 4. Родословная пациента с ГКМП II.3 (пробанд, показан стрелкой), носителя варианта c.2781insCACA в гене MYBPC3. Символы со сплошной заливкой – носители варианта, у которых подтверждена ГКМП; символы с вертикальной черной полосой внутри – бессимптомные носители варианта; N – родственники пробанда, не являющиеся носителями варианта; ? – отец пробанда с неизвестным генотипом и фенотипом (предположительно носитель варианта с заболеванием).
Обнаруженный вариант c.2781insCACA имеет типичное для ГКМП-ассоциированных патогенных вариантов аутосомно-доминантное наследование; с высокой вероятностью он был передан пробанду от отца, который внезапно умер в возрасте 43 лет и поэтому был недоступен для генетического тестирования. Согласно адаптированной версии ACMG/AMP, созданной экспертной группой ClinGen Inherited Cardiomyopathy Expert Panel (CMP-EP) [18], количество членов семьи с установленным фенотипом ГКМП (пробанд II.3 и ее брат-близнец II.4) недостаточно для сегрегации индексного варианта с ГКМП. Однако в исследуемой семье не было генотип-отрицательных членов с ГКМП, а отсутствие фенотипа заболевания у более молодых носителей c.2781insCACA можно объяснить зависящей от возраста неполной пенетрантностью, характерной для всех наследственных кардиомиопатий. Нельзя, однако, исключить и протективный эффект других генетических факторов.
Известно, что большинство (91%) ГКМП-ассоциированных вариантов гена MYBPC3 относятся к вариантам усечения белка (protein truncating variants, PTV), приводя к формированию преждевременного стоп-кодона в мутантной мРНК [19]. Такая мРНК может либо быстро деградировать еще до этапа трансляции, либо транслироваться в нефункциональный укороченный белок, который, в свою очередь, может разрушаться под действием убиквитин-протеасомной системы клетки [20–21]. Оба сценария приводят к гаплонедостаточности MyBP-C, что, согласно [19, 22], служит основным механизмом возникновения ГКМП у носителей PTV в гене MYBPC3, а также у носителей некоторых миссенс-вариантов в этом гене. Роль гаплонедостаточности, как ведущего механизма развития MYBPC3-ассоциированной ГКМП, подтверждает также успешное применение заместительной генной терапии, которая приводила к повышению экспрессии MyBP-C дикого типа и уменьшению гипертрофии миокарда [23].
Для оценки влияния c.2781insCACA на экспрессию гена MYBPC3 в ткани сердца мы провели аллель-специфический анализ уровней зрелых транскриптов этого гена в образце миокарда ЛЖ пробанда и показали, что уровень транскрипта MYBPC3, содержащего индексный вариант, в семь раз ниже уровня транскрипта дикого типа. Полученные нами результаты находятся в соответствии с данными [24], согласно которым среднее соотношение транскриптов мутантного и дикого типа составляло примерно 1 : 5. Соответственно, наблюдавшийся нами вклад транскрипта мутантного аллеля гена MYBPC3 в суммарный уровень транскриптов MYBPC3, экспрессируемых обоими аллелями этого гена, был незначительным: у пробанда уровень мРНК MYBPC3 составлял примерно половину среднего уровня в контрольной группе.
Скорее всего, основной причиной наблюдаемого в нашей работе и работе [24] снижения уровней мутантных транскриптов гена MYBPC3 по сравнению с транскриптом дикого типа является нонсенс-опосредованный распад РНК. Однако это не исключает возможности синтеза усеченного белка p.Ser928Hisfs*124. Для решения этого вопроса необходимы дополнительные эксперименты. Здесь уместно отметить, что другой вариант гена MYBPC3, c.2833_2834del, расположенный на расстоянии 48 нуклеотидов к 3’-концу от c.2781insCACA, кодирует тот же усеченный белок p.Ser928Hisfs*124 и классифицирован как патогенный, так как был выявлен у нескольких неродственных больных [https://www.ncbi.nlm.nih.gov/clinvar/variation/42660/], а также показал сегрегацию с заболеванием в семье [25].
В ряде предшествующих исследований с использованием ткани сердца человека, в которых укороченный белковый продукт PTVs гена MYBPC3 не детектировался, параллельно наблюдалось снижение уровня полноразмерного MyBP-C [24, 26–28]. Есть данные, что синтезированные усеченные белки могут не разрушаться протеасомами, а вызывать их дисфункцию, что в свою очередь приводит к нарушению деградации других прогипертрофических факторов, внося вклад в патогенез ГКМП [29, 30], а невозможность определения усеченного MyBP-C может быть обусловлена сниженной аффинностью связывания мутантных белков с доступными на сегодняшний день антителами [28].
В нашем исследовании у пробанда наблюдалось тяжелое клиническое течение ГКМП с прогрессирующей сердечной недостаточностью даже после хирургического устранения обструкции ЛЖ. Параллельного носительства пробандом других генетических вариантов, которое могло бы объяснить наблюдаемую клиническую картину, не типичную для MYBPC3-ассоциированной ГКМП, мы не выявили, что согласуется с представлением о патогенности варианта c.2781insCACA.
В целом в настоящем исследовании мы расширили панель вариантов в гене MYBPC3, ассоциированных с клиническим фенотипом ГКМП. Полученные данные согласуются с представлением, что обнаруженный сдвиг рамки считывания в гене MYBPC3 приводит к образованию мутантной мРНК, которая быстро деградирует, вероятно, в результате нонсенс-опосредованного распада мРНК.
В нашей работе мы не проводили анализа белкового продукта гена MYBPC3; в контрольной группе отсутствовали образцы миокарда здоровых людей; все родственники пробанда проживают в другой стране, что затруднило их клиническое обследование.
Исследование выполнено при финансовой поддержке Российского научного фонда (грант № 20-15-00353).
Исследование одобрено локальным Этическим комитетом ГКБ № 17 25.10.2019, протокол № 8.
Все процедуры, выполненные в исследовании с участием людей, соответствуют этическим стандартам институционального и/или национального комитета по исследовательской этике и Хельсинкской декларации 1964 г., и ее последующим изменениям или сопоставимым нормам этики.
От каждого из включенных в исследование участников или их законных представителей было получено информированное добровольное согласие.
Авторы заявляют, что у них нет конфликта интересов.
Об авторах
И. С. Киселев
Национальный медицинский исследовательский центр кардиологии им. академика Е.И. Чазова Министерства здравоохранения Российской Федерации
Email: kozinmax1992@gmail.com
Россия, Москва, 121552
М. С. Козин
Национальный медицинский исследовательский центр кардиологии им. академика Е.И. Чазова Министерства здравоохранения Российской Федерации
Автор, ответственный за переписку.
Email: kozinmax1992@gmail.com
Россия, Москва, 121552
Н. М. Баулина
Национальный медицинский исследовательский центр кардиологии им. академика Е.И. Чазова Министерства здравоохранения Российской Федерации
Email: kozinmax1992@gmail.com
Россия, Москва, 121552
М. Б. Шарипова
Бухарский областной многопрофильный медицинский центр
Email: kozinmax1992@gmail.com
Узбекистан, Бухара, 200100
А. С. Зотов
Национальный медицинский исследовательский центр кардиологии им. академика Е.И. Чазова Министерства здравоохранения Российской Федерации
Email: kozinmax1992@gmail.com
Россия, Москва, 121552
Е. А. Степанова
Российская медицинская академия непрерывного профессионального образования
Email: kozinmax1992@gmail.com
Россия, Москва, 125993
Э. В. Курилина
Национальный медицинский исследовательский центр кардиологии им. академика Е.И. Чазова Министерства здравоохранения Российской Федерации
Email: kozinmax1992@gmail.com
Россия, Москва, 121552
Г. Ж. Абдуллаева
Республиканский специализированный научно-практический медицинский центр кардиологии
Email: kozinmax1992@gmail.com
Узбекистан, Ташкент, 100052
Д. А. Затейщиков
Национальный медицинский исследовательский центр кардиологии им. академика Е.И. Чазова Министерства здравоохранения Российской Федерации; Городская клиническая больница № 17 Департамента здравоохранения города Москвы
Email: kozinmax1992@gmail.com
Россия, Москва, 121552; Москва, 119620
О. О. Фаворова
Национальный медицинский исследовательский центр кардиологии им. академика Е.И. Чазова Министерства здравоохранения Российской Федерации
Email: kozinmax1992@gmail.com
Россия, Москва, 121552
О. С. Чумакова
Национальный медицинский исследовательский центр кардиологии им. академика Е.И. Чазова Министерства здравоохранения Российской Федерации; Городская клиническая больница № 17 Департамента здравоохранения города Москвы
Email: kozinmax1992@gmail.com
Россия, Москва, 121552; Москва, 119620
Список литературы
- Maron B.J., Gardin J.M., Flack J.M. et al. Prevalence of hypertrophic cardiomyopathy in a general population of young adults. Echocardiographic analysis of 4111 subjects in the CARDIA Study. Coronary artery risk development in (young) Adults // Circulation. 1995. V. 92. P. 785–789. https://doi.org/10.1161/01.cir.92.4.785
- Semsarian C., Ingles J., Maron M.S., Maron B.J. New perspectives on the prevalence of hypertrophic cardiomyopathy // J. Am. Coll. Cardiol. 2015. V. 65. P. 1249–1254. https://doi.org/10.1016/j.jacc.2015.01.019
- Authors/Task Force members, Elliott P.M., Anastasakis A. et al. ESC guidelines on diagnosis and management of hypertrophic cardiomyopathy: the task force for the diagnosis and management of hypertrophic cardiomyopathy of the European Society of Cardiology (ESC) // Eur. Heart. J. 2014. V. 35. P. 2733–2779. https://doi.org/10.1093/eurheartj/ehu284
- Watkins H. Assigning a causal role to genetic variants in hypertrophic cardiomyopathy // Circ. Cardiovasc. Genet. 2013. V. 6. № 1. P. 2–4. https://doi.org/10.1161/CIRCGENETICS.111.000032
- Harper A.R., Goel A., Grace C. et al. Common genetic variants and modifiable risk factors underpin hypertrophic cardiomyopathy susceptibility and expressivity // Nat. Genet. 2021. V. 53. № 2. P. 135–142. https://doi.org/10.1038/s41588-020-00764-0
- Jarcho J.A., McKenna W., Pare J.A. et al. Mapping a gene for familial hypertrophic cardiomyopathy to chromosome 14q1 // N. Engl. J. Med. 1989. V. 321. № 20. P. 1372–1378. https://doi.org/10.1056/NEJM198911163212005
- Christian S., Cirino A., Hansen B. et al. Diagnostic validity and clinical utility of genetic testing for hypertrophic cardiomyopathy: A systematic review and meta-analysis // Open Heart. 2022. V. 9. № 1. https://doi.org/10.1136/openhrt-2021-001815
- Ingles J., Goldstein J., Thaxton C. et al. Evaluating the clinical validity of hypertrophic cardiomyopathy genes // Circ. Genom. Precis. Med. 2019. V. 12. № 2. https://doi.org/10.1161/CIRCGEN.119.002460
- Charron P., Dubourg O., Desnos M. et al. Clinical features and prognostic implications of familial hypertrophic cardiomyopathy related to the cardiac myosin-binding protein C gene // Circulation. 1998. V. 97 № 22. P. 2230–2236. https://doi.org/10.1161/01.cir.97.22.2230
- Niimura H., Bachinski L.L., Sangwatanaroj S. et al. Seidman, mutations in the gene for cardiac myosin-binding protein C and late-onset familial hypertrophic cardiomyopathy // N. Engl. J. Med. 1998. V. 338. № 18. P. 1248–1257. https://doi.org/10.1056/NEJM199804303381802
- Calore C., De Bortoli M., Romualdi C. et al. A founder MYBPC3 mutation results in HCM with a high risk of sudden death after the fourth decade of life // J. Med. Genet. 2015. V. 52. № 5. P. 338–347. https://doi.org/10.1136/jmedgenet-2014-102923
- Ниязова С.С., Чакова Н.Н., Комиссарова С.М., Сасинович М.А. Cпектр мутаций в генах саркомерных белков и их фенотипическое проявление у белорусских пациентов с гипертрофической кардиомиопатией // Мед. генетика. 2019. Т. 18. № 6. С. 21–33. https://doi.org/10.25557/2073-7998.2019.06.21-33
- Livak K.J., Schmittgen T.D. Analysis of relative gene expression data using real-time quantitative PCR and the 2(-Delta Delta C(T)) Method // Methods. 2001. T. 25. № 4. С. 402–408. https://doi.org/10.1006/meth.2001.1262
- Sutton M.G.St.J., Lie J.T., Anderson K.R. et al. Histopathological specificity of hypertrophic obstructive cardiomyopathy. Myocardial fibre disarray and myocardial fibrosis // Br. Heart J. 1980. V. 44. № 4. P. 433–443. https://doi.org/10.1136/hrt.44.4.433
- Richards S., Aziz N., Bale S. et al. Standards and guidelines for the interpretation of sequence variants: A joint consensus recommendation of the american college of medical genetics and genomics and the association for molecular pathology // Genet. Med. 2015. V. 17. P. 405–424. https://doi.org/10.1038/gim.2015.30
- Nickless A., Bailis J.M., You Z. Control of gene expression through the nonsense-mediated RNA decay pathway // Cell. Biosci. 2017. V. 7. P. 26. https://doi.org/10.1186/s13578-017-0153-7
- Duncker D.J., Bakkers J., Brundel B.J. et al. Animal and in silico models for the study of sarcomeric cardiomyopathies // Cardiovasc. Res. 2015. V. 105. № 4. P. 439–448. https://doi.org/10.1093/cvr/cvv006
- Kelly M.A., Caleshu C., Morales A. et al. Adaptation and validation of the ACMG/AMP variant classification framework for MYH7-associated inherited cardiomyopathies: recommendations by ClinGen’s Inherited Cardiomyopathy Expert Panel // Genet. Med. 2018. V. 20. P. 351–359. https://doi.org/10.1038/gim.2017.218
- Helms A.S., Thompson A.D., Glazier A.A. et al. Spatial and functional distribution of MYBPC3 pathogenic variants and clinical outcomes in patients with hypertrophic cardiomyopathy // Circ. Genom. Precis. Med. 2020. V. 13. P. 396–405. https://doi.org/10.1161/CIRCGEN.120.002929
- Vignier N., Schlossarek S., Fraysse B. et al. Nonsense-mediated mRNA decay and ubiquitin-proteasome system regulate cardiac myosin-binding protein C mutant levels in cardiomyopathic mice // Circ. Res. 2009. V. 105. P. 239–248. https://doi.org/10.1161/CIRCRESAHA.109.201251
- Sarikas A., Carrier L., Schenke C. et al. Impairment of the ubiquitin-proteasome system by truncated cardiac myosin binding protein C mutants // Cardiovasc. Res. 2005. V. 66.1. P. 33–44. https://doi.org/10.1016/j.cardiores.2005.01.004
- Andersen P.S., Havndrup O., Bundgaard H. et al. Genetic and phenotypic characterization of mutations in myosin-binding protein C (MYBPC3) in 81 families with familial hypertrophic cardiomyopathy: total or partial haploinsufficiency // Eur. J. Hum. Genet. 2004 V. 12. № 8. P. 673–677. https://doi.org/10.1038/sj.ejhg.5201190
- Prondzynski M., Krämer E., Laufer S.D. et al. Evaluation of MYBPC3 trans-splicing and gene replacement as therapeutic options in human iPSC-derived cardiomyocytes // Mol. Ther. Nucleic. Acids. 2017. V. 16. № 7. P. 475–486. https://doi.org/10.1016/j.omtn.2017.05.008
- Helms A.S., Davis F.M., Coleman D. et al. Sarcomere mutation-specific expression patterns in human hypertrophic cardiomyopathy // Circ. Cardiovasc. Genet. 2014. V. 7. P. 434–443. –10.1161/CIRCGENETICS.113.000448
- Anan R., Niimura H., Minagoe S. et al. A novel deletion mutation in the cardiac myosin-binding protein C gene as a cause of Maron's type IV hypertrophic cardiomyopathy // Am. J. Cardiol. 2002. V. 89. № 4. P. 487–488. https://doi.org/10.1016/s0002-9149(01)02281-0
- van Dijk S.J., Dooijes D., dos Remedios C. et al. Cardiac myosin-binding protein C mutations and hypertrophic cardiomyopathy: haploinsufficiency, deranged phosphorylation, and cardiomyocyte dysfunction // Circulation. 2009. V. 119. № 11. P. 1473–1483. https://doi.org/10.1161/CIRCULATIONAHA.108.838672
- Marston S., Copeland O'N., Jacques A. et al. Evidence from human myectomy samples that MYBPC3 mutations cause hypertrophic cardiomyopathy through haploinsufficiency // Circ. Res. 2009. V. 105. № 3. P. 219–222. https://doi.org/10.1161/CIRCRESAHA.109.202440
- O'Leary T.S., Snyder J., Sadayappan S. et al. MYBPC3 truncation mutations enhance actomyosin contractile mechanics in human hypertrophic cardiomyopathy // J. Mol. Cell. Cardiol. 2019. V. 127. P. 165–173. https://doi.org/10.1016/j.yjmcc.2018.12.003
- Predmore J.M., Wang P., Davis F. et al. Ubiquitin proteasome dysfunction in human hypertrophic and dilated cardiomyopathies // Circulation. 2010. V. 121. № 8. P. 997–1004. https://doi.org/10.1161/CIRCULATIONAHA.109.904557
- Suay-Corredera G., Alegre-Cebollada J. The mechanics of the heart: zooming in on hypertrophic cardiomyopathy and cMyBP-C // FEBS Lett. 2022. V. 596. № 6. P. 703–746. https://doi.org/10.1002/1873-3468.14301
Дополнительные файлы






