Генетически изолированная популяция дрожжей Saccharomyces bayanus в Новой Зеландии и Австралии
- Авторы: Боровкова А.Н.1,2, Наумов Г.И.1, Шнырева А.В.2, Наумова Е.С.1
-
Учреждения:
- Национальный исследовательский центр “Курчатовский институт”, Курчатовский комплекс генетических исследований (ГосНИИгенетика)
- Московский государственный университет им. М.В. Ломоносова
- Выпуск: Том 59, № 4 (2023)
- Страницы: 403-416
- Раздел: ГЕНЕТИКА МИКРООРГАНИЗМОВ
- URL: https://journals.rcsi.science/0016-6758/article/view/134575
- DOI: https://doi.org/10.31857/S0016675823040021
- EDN: https://elibrary.ru/ATSSFD
- ID: 134575
Цитировать
Полный текст
Аннотация
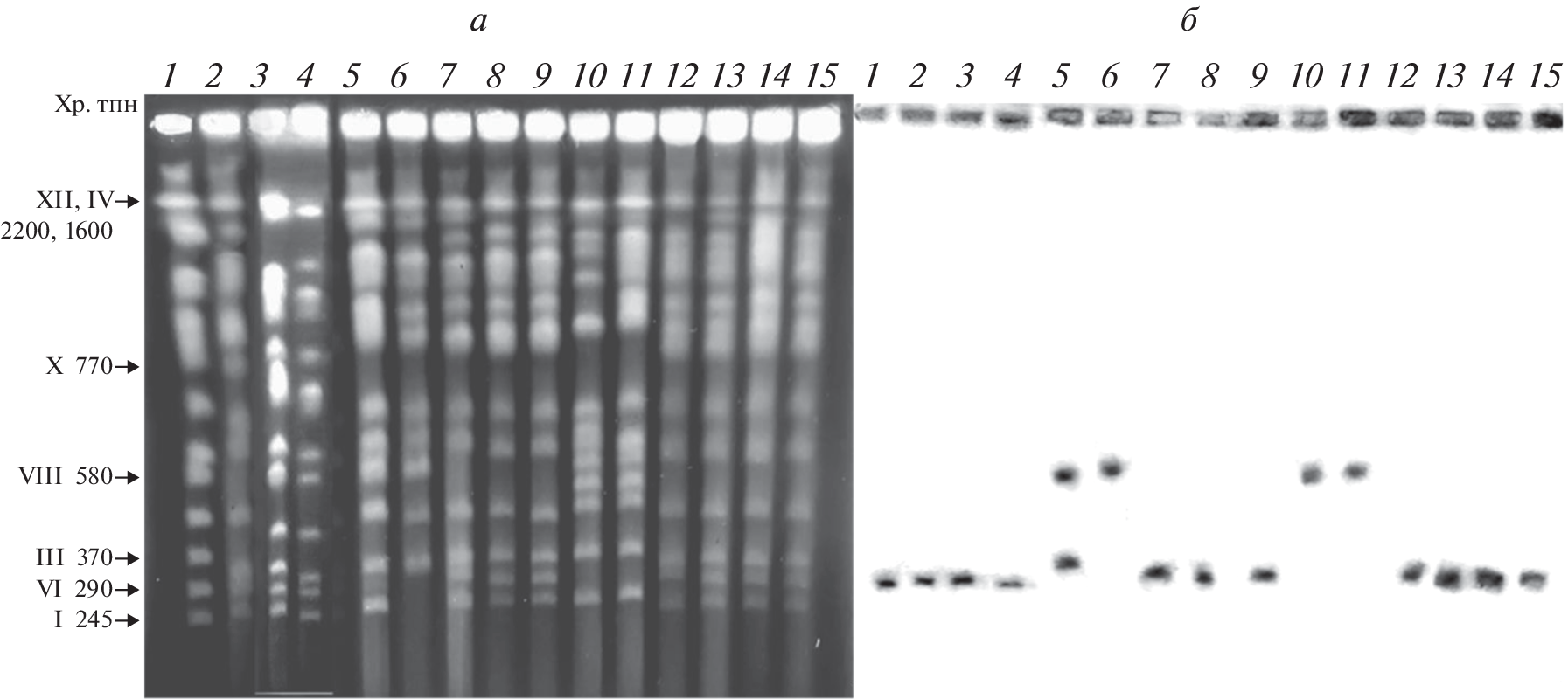
С помощью методов молекулярной и классической генетики изучено генетическое родство дрожжей комплекса Saccharomyces bayanus и обнаружена дивергентная популяция этих дрожжей в Новой Зеландии и Австралии. Комплекс S. bayanus включает четыре генетические популяции: S. bayanus var. bayanus, S. bayanus var. uvarum, S. eubayanus и новозеландская. Штаммы новозеландской популяции существенно отличаются по нуклеотидным последовательностям ядерных (FSY1, HIS3, MET2) и митохондриальных (FUN14, COX2) генов и образуют полустерильные гибриды с остальными популяциями: 6.2–23.3%. Между S. bayanus var. bayanus, S. bayanus var. uvarum, S. eubayanus и новозеландской популяцией нет полной межвидовой постзиготической изоляции: все гибриды имели регулярное мейотическое расщепление контрольных ауксотрофных маркеров. Согласно полученным результатам указанные генетические популяции относятся к одному биологическому виду, обладая дивергенцией геномов на уровне таксономических разновидностей.
Об авторах
А. Н. Боровкова
Национальный исследовательский центр “Курчатовский институт”, Курчатовский комплекс генетических исследований (ГосНИИгенетика); Московский государственный университет им. М.В. Ломоносова
Email: lena_naumova@yahoo.com
Россия, 123098, Москва; Россия, 119234, Москва
Г. И. Наумов
Национальный исследовательский центр “Курчатовский институт”, Курчатовский комплекс генетических исследований (ГосНИИгенетика)
Email: lena_naumova@yahoo.com
Россия, 123098, Москва
А. В. Шнырева
Московский государственный университет им. М.В. Ломоносова
Email: lena_naumova@yahoo.com
Россия, 119234, Москва
Е. С. Наумова
Национальный исследовательский центр “Курчатовский институт”, Курчатовский комплекс генетических исследований (ГосНИИгенетика)
Автор, ответственный за переписку.
Email: lena_naumova@yahoo.com
Россия, 123098, Москва
Список литературы
- Наумов Г.И., Наумова Е.С., Мартыненко Н.Н., Маснёф-Помаред И. Таксономия, экология и генетика дрожжей Saccharomyces bayanus – нового объекта в науке и практике // Микробиология. 2011. Т. 80. № 6. С. 723–730.
- Vaughan-Martini A., Martini A. Saccharomyces Meyen ex Reess (1870) // The Yeast, a Taxonomic Study / Eds Kurtzman C.P., Fell J.W., Boekhout T. 5th ed. Amsterdam: Elsevier, 2011. V. 2. P. 733–746. https://doi.org/10.1016/B978-0-444-52149-1.00061-6
- Naumov G.I., James S.A., Naumova E.S. et al. Three new species in the Saccharomyces sensu stricto complex: Saccharomyces cariocanus, Saccharomyces kudriavzevii and Saccharomyces mikatae // Int. J. Syst. Evol. Microbiol. 2000. V. 50. P. 1931–1942. https://doi.org/10.1099/00207713-50-5-1931
- Kurtzman C.P. Phylogenetic circumscription of Saccharomyces, Kluyveromyces and other members of the Saccharomycetaceae, and the proposal of the new genera Lachancea, Nakaseomyces, Naumovia, Vandervatozyma and Zygotorulaspora // FEMS Yeast Res. 2003. V. 4. P. 233–245. https://doi.org/10.1016/S1567-1356(03)00175-2
- Wang S.A., Bai F.Y. Saccharomyces arboricolus sp. nov., a yeast species from tree bark // Int. J. Syst. Evol. Microbiol. 2008. V. 58. P. 510–514. https://doi.org/10.1099/ijs.0.65331-0
- Naseeb S., James S.A., Alsammar H. et al. Saccharomyces jurei sp. nov., isolation and genetic identification of a novel yeast species from Quercus robur // Int. J. Syst. Evol. Microbiol. 2017. V. 67. P. 2046–2052. https://doi.org/10.1099/ijsem.0.002013
- Naumova E.S., Naumov G.I., Masneuf-Pomarede I. et al. Molecular genetic study of introgression between Saccharomyces bayanus and S. cerevisiae // Yeast. 2005. V. 22. P. 1099–1115. https://doi.org/10.1002/yea.1298
- Peris D., Pérez-Torrado R., Hittinger C.T. et al. On the origins and industrial applications of Saccharomyces cerevisiae × Saccharomyces kudriavzevii hybrids // Yeast. 2018. V. 35. P. 51–69. Epub 2017 Dec 6https://doi.org/10.1002/yea.3283
- Morard M., Benavent-Gil Y., Ortiz-Tovar G. et al. Genome structure reveals the diversity of mating mechanisms in Saccharomyces cerevisiae × Saccharomyces kudriavzevii hybrids, and the genomic instability that promotes phenotypic diversity // Microbial. Genomics. 2020. V. 6(3). P. e000333. https://doi.org/10.1099/mgen.0.000333
- Lopandic K. Saccharomyces interspecies hybrids as model organisms for studying yeast adaptation to stressful environments // Yeast. 2018. V. 35. P. 21–38. https://doi.org/10.1002/yea.3294
- Bendixsen D.P., Frazão J.G., Stelkens R. Saccharomyces yeast hybrids on the rise // Yeast. 2022. V. 39. P. 40–54. https://doi.org/10.1002/yea.3684
- Nguyen H.-V., Gaillardin C. Two subgroups within the Saccharomyces bayanus species evidenced by PCR amplification and restriction polymorphism of the non-transcribed spacer 2 in the ribosomal DNA unit // Syst. Appl. Microbiol. 1997. V. 20. P. 286–294. https://doi.org/10.1016/S0723-2020(97)80075-6
- Pérez-Través L., Lopes C.A., Querol A., Barrio E. On the complexity of the Saccharomyces bayanus taxon: Hybridization and potential hybrid speciation // PLoS One. 2014. V. 9(4). P. e93729. https://doi.org/10.1371/journal.pone.0093729
- Наумов Г.И. Новая разновидность S. bayanus var. uvarum, установленная генетическим анализом // Микробиология. 2000. Т. 69. № 2. С. 410–414.
- Naumov G.I., Naumova E.S., Gaillardin C. Genetic and karyotypic identification of wine Saccharomyces bayanus yeasts isolated in France and Italy // Syst. Appl. Microbiol. 1993. V. 16. P. 274–279. https://doi.org/10.1016/S0723-2020(11)80480-7
- Naumov G.I., Masneuf I., Naumova E.S. et al. Association of S. bayanus var. uvarum with some French wines: Genetic analysis of yeast populations // Res. Microbiol. 2000. V. 151. P. 683–691. https://doi.org/10.1016/S0923-2508(00)90131-1
- Naumov G.I., Naumova E.S., Aigle M. et al. Genetic reidentification of the pectinolytic yeast strain SCPP as Saccharomyces bayanus var. uvarum // Appl. Microbiol. Biotechnol. 2001. V. 55. P. 108–111. https://doi.org/10.1007/s002530000480
- Naumov G.I., Nguyen H.-V., Naumova E.S. et al. Genetic identification of Saccharomyces bayanus var. uvarum, a cider-fermenting yeast // Int. J. Food. Microbiol. 2001. V. 65. P. 163–171. https://doi.org/10.1016/S0168-1605(00)00515-8
- Masneuf-Pomarede I., Le Jeune C., Durrens P. et al. Molecular typing of wine yeast strains Saccharomyces bayanus var. uvarum using microsatellite markers // System. Appl. Microbiol. 2007. V. 30. P. 75–82. https://doi.org/10.1016/j.syapm.2006.02.006
- Almeida P., Gonçalves C., Teixeira S. et al. A gondwanan imprint on global diversity and domestication of wine and cider yeast Saccharomyces uvarum // Nat. Commun. 2014. V. 5. P. 4044–4055. https://doi.org/10.1038/ncomms5044
- Zhang H., Richards K.D., Wilson S. et al. Genetic characterization of strains of Saccharomyces uvarum from New Zealand wineries // Food Microbiol. 2015. V. 46. P. 92–99. https://doi.org/10.1016/j.fm.2014.07.016
- Rodríguez M.E., Pérez-Través L., Sangorrín M.P. et al. Saccharomyces uvarum is responsible for the traditional fermentation of apple chicha in Patagonia // FEMS Yeast Res. 2017. V. 17(1). P. fow109. https://doi.org/10.1093/femsyr/fow109
- McCarthy G.C., Morgan S.C., Martiniuk J.T. et al. An indigenous Saccharomyces uvarum population with high genetic diversity dominates uninoculated Chardonnay fermentations at a Canadian winery // PLoS One. 2021. V. 16(2). P. e0225615. https://doi.org/10.1371/journal.pone.0225615
- Libkind D., Hittinger C.T., Valério E. et al. Microbe domestication and the identification of the wild genetic stock of lager-brewing yeast // Proc. Natl Acad. Sci. USA. 2011. V. 108. P. 14539–14544. https://doi.org/10.1073/pnas.1105430108
- Pulvirenti A., Nguyen H.V., Caggia C. et al. Saccharomyces uvarum, a proper species within Saccharomyces sensu stricto // FEMS Microbiol. Lett. 2000. V. 192. P. 191–196. https://doi.org/10.1111/j.1574-6968.2000.tb09381.x
- Nguyen H.V., Gaillardin C. Evolutionary relationships between the former species Saccharomyces uvarum and the hybrids Saccharomyces bayanus and Saccharomyces pastorianus; reinstatement of Saccharomyces uvarum (Beijerinck) as a distinct species // FEMS Yeast Res. 2005. V. 5. P. 471–483. https://doi.org/10.1016/j.femsyr.2004.12.004
- Rainieri S., Kodama Y., Kaneko Y. et al. Pure and mixed genetic lines of Saccharomyces bayanus and Saccharomyces pastorianus and their contribution to the lager brewing strain genome // Appl. Environ. Microbiol. 2006. V. 72. P. 3968–3974. https://doi.org/10.1128/AEM.02769-05
- Nguyen H.-V., Lepingle A., Gaillardin C. Molecular typing demonstrates homogeneity of Saccharomyces uvarum strains and reveals the existence of hybrids between S. uvarum and S. cerevisiae, including the S. bayanus type strain CBS 380 // System. Appl. Microbiol. 2000. V. 23. P. 71–85. https://doi.org/10.1016/S0723-2020(00)80048-X
- Rainieri S., Zambonelli C., Hallsworth J.E. et al. Saccharomyces uvarum, a distinct group within Saccharomyces sensu stricto // FEMS Microbiol. Lett. 1999. V. 177. P. 177–185. https://doi.org/10.1111/j.1574-6968.1999.tb13729.x
- Bon E., Neuvéglise C., Casaregola S. et al. Genomic exploration of the hemiascomycetous yeasts: 5. Saccharomyces bayanus var. uvarum // FEBS Lett. 2000. V. 487. P. 37–41. https://doi.org/10.1016/s0014-5793(00)02276-6
- Nguyen H.-V., Legras J.L., Neuvéglise C., Gaillardin C. Deciphering the hybridisation history leading to the Lager lineage based on the mosaic genomes of Saccharomyces bayanus strains NBRC 1948 and CBS 380 // PLoS One. 2011. V. 6(10). P. e25821. https://doi.org/10.1371/journal.pone.0025821
- Bing J., Han P.J., Liu W.Q. et al. Evidence for a Far East Asian origin of lager beer yeast // Curr. Biol. 2014. V. 24. P. 380–381. https://doi.org/10.1016/j.cub.2014.04.031
- Peris D., Langdon Q.K., Moriarty R.V. et al. Complex ancestries of lager-brewing hybrids were shaped by standing variation in the wild yeast Saccharomyces eubayanus // PLoS Genet. 2016. V. 12. P. 1–20. https://doi.org/10.1371/journal.pgen.1006155
- Gayevskiy V., Goddard M.R. Saccharomyces eubayanus and Saccharomyces arboricola reside in North Island native New Zealand forests // Environ. Microbiol. 2016. V. 18. P. 1137–1147. https://doi.org/10.1111/1462-2920.13107
- Nespolo R.F., Villarroel C.A., Oporto C.I. et al. An out-of-patagonia migration explains the worldwide diversity and distribution of Saccharomyces eubayanus lineages // PLoS Genetics. 2020. V. 16(5). e1008777. https://doi.org/10.1371/journal.pgen.1008777
- Baker E., Wang B., Bellora N. et al. The genome sequence of Saccharomyces eubayanus and the domestication of Lager-brewing yeasts // Mol. Biol. Evol. 2015. V. 32(11). P. 2818–2831. https://doi.org/10.1093/molbev/msv168
- Hebly M., Brickwedde A., Bolat I. et al. S. cerevisiae × × S. eubayanus interspecific hybrid, the best of both worlds and beyond // FEMS Yeast Res. 2015. V. 15. № 3. P. fov005.https://doi.org/10.1093/femsyr/fov005
- Наумов Г.И. Генетическое родство и биологический статус индустриально важных дрожжей Saccharomyces eubayanus Sampaio et al. // ДАН. 2017. V. 473(5). P. 622–625. https://doi.org/10.7868/S0869565217110263
- Sampaio J.P. Microbe Profile: Saccharomyces eubayanus, the missing link to lager beer yeasts // Microbiology. 2018. V. 164. P. 1069–1071. https://doi.org/10.1099/mic.0.000677
- Lõoke M., Kristjuhan K., Kristjuhan A. Extraction of genomic DNA from yeasts for PCR based applications // Biotechniques. 2011. V. 50. P. 325–328. https://doi.org/10.2144/000113672
- Kumar S., Stecher G., Tamura K. MEGA7: Molecular Evolutionary Genetics Analysis Version 7.0 for Bigger Datasets // Mol. Biol. Evol. 2016. V. 33. № 7. P. 1870–1874. https://doi.org/10.1093/molbev/msw054
- Boek J., La Croute D., Fink G.R. A positive selection for mutants lacking orotidine-5'-phosphate decarboxilase activity // Mol. Gen. Genet. 1984. V. 197. P. 345–346.
- Sherman F., Fink G.R., Hicks J.B. Laboratory course manual for methods in yeasts genetics // Methods in Yeast Genetics: A Gold Spring Harbor Laboratory Course Manual. N.Y.: Gold Spring Harbor Lab., 1986. P. 50–51.
- Fischer G., James S.A., Roberts I.N. et al. Chromosomal evolution in Saccharomyces // Nature. 2000. V. 405. P. 451–454.
- Kaneko Y., Banno I. Isolation and genetic characterization of auxotrophic mutants in Saccharomyces bayanus // IFO Res. Comm. 1989. V. 14. P. 104–110.
- Наумов Г.И., Газдиев Д.О., Наумова Е.С. Обнаружение биологического вида Saccharomyces bayanus в Дальневосточной Азии // Микробиология. 2003. Т. 72. № 6. С. 834–839.
Дополнительные файлы







