Relationship between Dehydrins and Adaptation of Cajander Larch to Yakutia Cryolithozone Conditions
- Authors: Tatarinova T.D.1, Perk A.A.1, Ponomarev A.G.1, Vasileva I.V.1
-
Affiliations:
- Institute for Biological Problems of the Cryolithozone, Siberian Branch, Russian Academy of Sciences
- Issue: Vol 70, No 5 (2023)
- Pages: 537-546
- Section: ЭКСПЕРИМЕНТАЛЬНЫЕ СТАТЬИ
- URL: https://journals.rcsi.science/0015-3303/article/view/139790
- DOI: https://doi.org/10.31857/S001533032360016X
- EDN: https://elibrary.ru/WWJMZE
- ID: 139790
Cite item
Full Text
Abstract
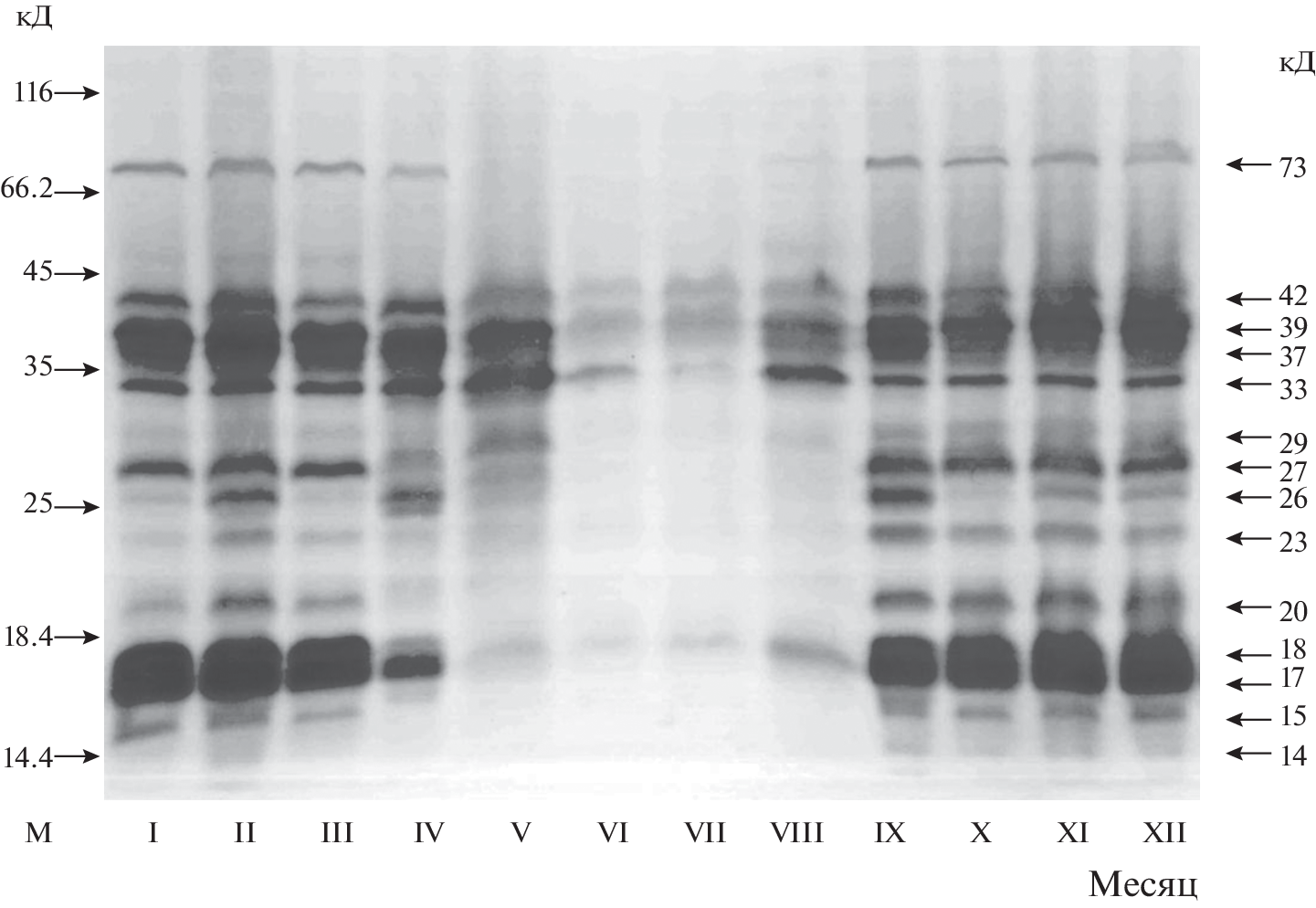
Composition and seasonal fluctuations of stress dehydrin proteins of Cajander larch (Larix cajanderi Mayr) growing under extremely cold climatic conditions in Central Yakutia, which are notable for an extraordinary frost resistance, were investigated. Immunoblotting technique made it possible to detect major dehydrins in a molecular mass range of 17–20, 37–42, and 73 kD in the shoots of L. cajanderi for the first time. A high level of polymorphism of dehydrins within a population of L. cajanderi was detected and differences between the examined specimens of trees were mainly revealed in a molecular mass range of 20–37 kD. Within the circannual cycle of larch, the greatest seasonal fluctuations were observed in low-molecular dehydrins, with their content rising at the end of phenological autumn and reaching a steady level in the period of ultralow winter temperatures. The pattern of seasonal fluctuations and wide variety of dehydrins in larch shoots may point to their possible participation in the formation of a unique frost resistance of L. cajanderi upon adaptation of this conifer species to conditions existing in the cryolithozone.
About the authors
T. D. Tatarinova
Institute for Biological Problems of the Cryolithozone, Siberian Branch, Russian Academy of Sciences
Email: t.tatarinova@gmail.com
Yakutsk, Russia
A. A. Perk
Institute for Biological Problems of the Cryolithozone, Siberian Branch, Russian Academy of Sciences
Email: t.tatarinova@gmail.com
Yakutsk, Russia
A. G. Ponomarev
Institute for Biological Problems of the Cryolithozone, Siberian Branch, Russian Academy of Sciences
Email: t.tatarinova@gmail.com
Yakutsk, Russia
I. V. Vasileva
Institute for Biological Problems of the Cryolithozone, Siberian Branch, Russian Academy of Sciences
Author for correspondence.
Email: t.tatarinova@gmail.com
Yakutsk, Russia
References
- Абаимов А.П., Коропачинский И.Ю. Лиственницы Гмелина и Каяндера. Новосибирск: Наука, 1984. 121 с.
- Коропачинский И.Ю., Встовская Т.Н. Древесные растения Азиатской России. Новосибирск: изд-во СО РАН, филиал “Гео”, 2002. 707 с.
- Kosova K., Prasil I.T., Vitamvas P. Role of dehydrins in plant stress response / Handbook of Plant and Crop Stress. Tucson: CRC. 2010. P. 239.
- Hara M. The multifunctionality of dehydrins // Plant Signal. Behav. 2010. V. 5. P. 503. https://doi.org/10.4161/psb.11085
- Hanin M., Brini F., Ebel C., Toda Y., Takeda S., Masmoudi K. Plant dehydrins and stress tolerance. Versatile proteins for complex mechanisms // Plant Signal. Behav. 2011. V. 6. P. 1503. https://doi.org/10.4161/psb.6.10.17088
- Malik A.A., Veltri M., Boddington K.F., Singh K.K., Graether S.P. Genome analysis of conserved dehydrin motifs in vascular plants // Front. Plant Sci. 2017. V. 8. P. 1. https://doi.org/10.3389/fpls.2017.00709
- Chang C.Y., Bräutigam K., Huner N.P., Ensminger I. Champions of winter survival: cold acclimation and molecular regulation of cold hardiness in evergreen conifers // New Phytol. 2021. V. 229. P. 675. https://doi.org/10.1111/nph
- Close T.J. Dehydrins: emergence of a biochemical role of a family of plant dehydration proteins // Physiol. Plant. 1996. V. 97. P. 795. https://doi.org/10.1111/j.1399-3054.1996.tb00546.x
- Аллагулова Ч.Р., Гималов Ф.Р., Шакирова Ф.М., Вахитов В.А. Дегидрины растений: их структура и предполагаемые функции // Биохимия. 2003. Т. 68. № 9. С. 1157.
- Eriksson S.K., Kutzer M., Procek J., Gröbner G., Harryson P. Tunable membrane binding of the intrinsically disordered dehydrin Lti30, a cold-induced plant stress protein // Plant Cell. 2011. V. 23. P. 2391.
- Welling A., Palva E.T. Molecular control of cold acclimation in trees // Physiol. Plant. 2006. V. 127. P. 167.
- Cuevas-Velazquez C.L., Rendón-Luna D.F., Covarrubias A.A. Dissecting the cryoprotection mechanisms for dehydrins // Front. Plant Science. 2014. V. 5. P. 1. https://doi.org/10.3389/fpls.2014.00583
- Perdiguero P., Barbero M.C., Cervera M.T., Soto A., Collada C. Novel conserved segments are associated with differential expression patterns for Pinaceae dehydrins // Planta. 2012. V. 236. P. 1863. https://doi.org/10.1007/s00425-012-1737-4
- Sena J.S., Giguère I., Rigault P., Bousquet J., Mackay J. Expansion of the dehydrin gene family in the Pinaceae is associated with considerable structural diversity and drought-responsive expression // Tree Physiol. 2018. V. 38. P. 442. https://doi.org/10.1093/treephys/tpx125
- Yakovlev I.A., Asante D.K., Fossdal C.G., Partanen J., Junttila O., Johnsen O. Dehydrins expression related to timing of bud burst in Norway spruce // Planta. 2008. V. 228. P. 459. https://doi.org/10.1007/s00425-008-0750-0
- Kjellsen T.D., Yakovlev I.A., Fossdal C.G., Strimbeck G.R. Dehydrin accumulation and extreme low-temperature tolerance in Siberian spruce (Picea obovata) // Tree Physiol. 2013. V. 33. P. 1354. https://doi.org/10.1093/treephys/tpt105
- Rigault P., Boyle B., Lepage P., Cooke J.E.K., Bousquet J., MacKay J.J. A white spruce gene catalog for conifer genome analyses // Plant Physiol. 2011. V. 157. P. 14. https://doi.org/10.1104/pp.111.179663
- Velasco-Conde T., Yakovlev I., Majada J.P., Aranda I., Johnsen O. Dehydrins in maritime pine (Pinus pinaster) and their expression related to drought stress response // Tree Genet. Genom. 2012. V. 8. P. 957. https://doi.org/10.1007/s11295-012-0476-9
- Welling A., Rinne P., Vihera-Aarnio A., Kontunen-Soppela S., Heino P., Palva E.T. Photoperiod and temperature differentially regulate the expression of two dehydrin genes during overwintering of birch (Betula pubescens Ehrh.) // J. Exp. Bot. 2004. V. 55. P. 507.
- Kontunen-Soppela S., Laine K. Seasonal fluctuation of dehydrins is related to osmotic status in Scots pine needles // Trees. 2001. V. 15. P. 425. https://doi.org/10.1007/s004680100124
- Korotaeva N.E., Oskorbina M.V., Kopytova L.D., Suvorova G.G., Borovskii G.B., Voinikov V.K. Variations in the content of stress proteins in the needles of common pine (Pinus sylvestris L.) within an annual cycle // J. For. Res. 2012. V. 17. P. 89. https://doi.org/10.1007/s10310-011-0260-y
- Коротаева Н.Е., Иванова М.В., Суворова Г.Г., Боровский Г.Б. Дегидрины в адаптации сосны обыкновенной и ели сибирской к условиям произрастания в период вегетации // Сибирский лесной журнал. 2020. № 6. С. 54. https://doi.org/10.15372/SJFS20200605
- Petrov K.A., Sofronova V.E., Bubyakina V.V., Perk A.A., Tatarinova T.D., Ponomarev A.G., Chepalov V.A., Okhlopkova Zh.M., Vasilieva I.V., Maximov T.Chr. Woody plants of Yakutia and low-temperature stress // Russ. J. Plant Physiol. 2011. V. 58. P. 1011. https://doi.org/10.1134/S1021443711060148
- Tatarinova T.D., Perk A.A., Bubyakina V.V., Vasilieva I.V., Ponomarev A.G., Maximov T.C. Dehydrin stress proteins in Pinus sylvestris L. needles under conditions of extreme climate of Yakutia // Dokl. Biochem. Biophys. 2017. V. 473. P. 98. https://doi.org/10.7868/S0869565217080242
- Chang C.Y., Fréchette E., Unda F., Mansfield S.D., Ensminger I. Elevated temperature and CO2 stimulate late-season photosynthesis but impair cold hardening in pine // Plant Physiol. 2016. V. 172. P. 802. https://doi.org/10.1104/pp.16.0075
- Тимофеев П.А. Деревья и кустарники Якутии. Якутск: Бичик, 2003. 64 с.
- Уткин А.И. Леса Республики Саха (Якутия) – феномен таежного пояса северной Евразии // Хвойные бореальной зоны. 2006. Т. 23. № 3. С. 7.
- Миронов П.В., Левин Э.Д. Переохлаждение и обезвоживание хвойных зачатков в зимующих почках лиственницы сибирской // Физиология растений. 1985. Т. 32. С. 695.
- Ваганов Е.А., Круглов В.Б. Экология древесных растений. Красноярск: Сибирский федеральный университет, 2007. 229 с.
- Bubyakina V.V., Tatarinova T.D., Ponomarev A.G., Perk A.A., Solomonov N.G. Characteristics of seasonal dynamics of Betula platyphylla Sukacz. dehydrins associated with frost hardiness development under the cryolitic zone conditions // Dokl. Biol. Sci. 2011. V. 439. P. 258. https://doi.org/10.1134/S0012496611040193
- Ponomarev A.G., Tatarinova T.D., Perk A.A., Vasilieva I.V., Bubyakina V.V. Dehydrins associated with the development of frost resistance of Asian white birch // Russ. J. Plant Physiol. 2014. V. 61. P. 105. https://doi.org/10.1134/S1021443713060095
- Tatarinova T.D., Bubyakina V.V., Vetchinnikova L.V., Perk A.A., Ponomarev A.G., Vasilieva I.V. Dehydrin stress proteins in birch buds in regions with contrasting climate // Cell Tissue Biol. 2017. V. 11. P. 483. https://doi.org/10.1134/S1990519X17060098
- Перк А.Я., Перк А.А. Изучение морозоустойчивости плодово-ягодных растений методом электропроводности // Исследование биологических ресурсов в Якутии. Якутск: изд-во ЯФ СО РАН СССР, 1978. С. 54.
- Bradford M.M. A rapid and sensitive method for the quantitation of microgram quantities of protein utilizing the principle of protein-dye binding // Anal. Biochem. 1976. V. 72. P. 248.
- Laemmli U. Cleavage of structural proteins during the assembly of the head of bacteriophage T4 // Nature. 1970. V. 227. P. 680.
- Timmons T.M., Dunbar B.S. Protein blotting and immunodetection // Meth. Enzymol. 1990. V. 182. P. 679.
- Vornam B., Gailing O., Derory J., Plomion C., Kremer A., Finkeldey R. Characterization and natural variation of a dehydrin gene in Quercus petraea (Matt.) Liebl. // Plant Biol. 2011. V. 13. P. 881. https://doi.org/10.1111/j.1438-8677.2011.00446.x
- Karlson D.T., Zeng Y.V.E., Stirm R., Joly J., Ashworth E.N. Photoperiodic regulation of a 24-kDa dehydrin-like protein in red-osier dogwood (Cornus sericea L.) in relation to freeze-tolerance // Plant. Cell. Physiol. 2003. V. 44. P. 25. https://doi.org/10.1093/pcp/pcg006
- Rinne P., Welling A., Kaikuranta P. Onset of freezing tolerance in birch (Betula pubescens Ehrh.) involves LEA proteins and osmoregulation and is impaired in an ABA-deficient genotype // Plant Cell Environ. 1998. V. 21. P. 601. https://doi.org/10.1046/j.1365-3040.1998.00306.x
- Strimbeck G.R., Schaberg P.G., Fossdal C.G., Schroder P.W., Kjellsen T.D. Extreme low temperature tolerance in woody plants // Front. Plant Science. 2015. V. 6. P. 1. https://doi.org/10.3389/fpls.2015.00884
Supplementary files






