Строение гинецея и семязачатка у Lysimachia vulgaris (Primulaceae)
- Авторы: Шамров И.И.1,2, Анисимова Г.М.2, Рущина Е.А.1
-
Учреждения:
- Российский государственный педагогический университет им. А. И. Герцена
- Ботанический институт им. В. Л. Комарова РАН
- Выпуск: Том 109, № 10 (2024)
- Страницы: 947-976
- Раздел: ОРИГИНАЛЬНЫЕ СТАТЬИ
- URL: https://journals.rcsi.science/0006-8136/article/view/280885
- DOI: https://doi.org/10.31857/S0006813624100012
- EDN: https://elibrary.ru/OLLYVK
- ID: 280885
Цитировать
Полный текст
Аннотация
Прослежен генезис синкарпного гинецея (лизикарпная вариация) и семязачатка у Lysimachia vulgaris . Завязь верхняя. Гинецей образован 5 плодолистиками, о чем свидетельствует наличие на стенке завязи остатков 5 септ между сросшимися смежными плодолистиками. Он характеризуется зональным строением, при этом самой протяженной является синасцидиатная область. Дистальную часть гинецея занимает асимпликатная область. В качестве симпликатной зоны можно рассматривать область завязи, которая включает верхнюю узкую закругленную стерильную часть плацентарной колонки. В основании гинецея формируется короткий гинофор, который вдается в центр его базальной части. В нижней части гинецей не срастается с плацентарной колонкой, а в средней и верхней частях трансформируется в колумеллу, вокруг которой находятся центрально-угловые плаценты. Семязачатки формируются на интрузивных плацентах и располагаются в рядах со смещением. В эустеле цветоножки возникает кольцо из 15 коллатеральных проводящих пучков, которые входят в элементы чашечки, венчика, андроцея. В центральной части организуется плексус для иннервации гинецея, при этом 5 пучков простираются в остатках септ гинецея до верхней части столбика. В самом центре 7–10 пучков иннервируют гинофор, продолжаются в плацентарную колонку, а их ответвления отходят в плаценты и в дальнейшем в семязачатки. Плоды – септицидно-локулицидные коробочки. Вскрывание происходит продольными трещинами в области септальных (доходят почти до основания) и локулярных (только вверху) борозд.
Семязачаток – геми-кампилотропный, медионуцеллятный, битегмальный, мезохалазальный, сессильный, с гипостазой и интегументальным тапетумом. Зрелое семя заостренное и загнутое на микропилярном и халазальном концах . В нем формируется целлюлярный эндосперм и прямой двусемядольный зародыш. Семенная кожура формируется обоими интегументами. В ходе развития эндотеста, экзотегмен и мезотегмен разрушаются. Сохраняются экзотеста из удлиненных толстостенных клеток и эндотегмен, образованный тонкостенными клетками. В клетках обоих слоев накапливаются танины.
Ключевые слова
Полный текст
Семейство первоцветные, или примуловые (Primulaceae Batsch ex Borkh.) входит в пор. Ericales (APG III, 2009). Представители семейства являются преимущественно травянистыми многолетними травами. Они распространены, главным образом, в умеренном климате Северного полушария и альпийских областях; в Южном полушарии и субтропиках чрезвычайно редки ( Wendelbo, 1961; D’Arcy, 1980; Nasir, 1986; Hu, Kelso, 1996; Anderberg, Kelso, 1996; Mast et al., 2001).
Объем сем. Primulaceae и его отношения с другими семействами пор. Ericales широко обсуждаются в литературе. Среди родственных групп, прежде всего, монотипные семейства Maesaceae и Samolaceae, выделенные из семейств Myrsinaceae и Primulaceae. Сюда же можно отнести сем. Theophrastaceae (Takhtajan, 1980, 1997, 2009; Cronquist, 1981; APG II, 2003) . Следует отметить, что Takhtajan (1997, 2009), помещал все вышеуказанные семейства (Myrsinaceae, Maesaceae, Theophrastaceae, Primulaceae) в пор. Primulales, добавив в него два семейства Aegicerataceae и Coridaceae. Таксоны сем. Maesaceae были помещены в сем. Myrsinaceae, как это было сделано C. Mez (1902), который включил в него и представителей сем. Aegicerataceae в рамках подсемейств Maesoideae и Myrsinoideae. Theophrastaceae автор рассматривал в рамках семейства (Mez, 1903). J. Hutchinson (1959) выделял сем. Myrsinaceae в отдельный пор. Myrsinales. На основании анализа комплекса хлоропластных маркеров (atpB, ndhF, rbcL) была вновь поддержана гипотеза, что семейства Maesaceae, Myrsinaceae, Primulaceae и Theophrastaceae должны остаться в рамках пор. Primulales, при этом Myrsinaceae и Primulaceae являются парафилетическими (K ä llersj ö et al., 2000).
Именно поэтому границы сем. Primulaceae и родственных групп становятся размытыми, и апоморфии трудно распознаются (K ä llersj ö e t al., 2000; Ståhl, Anderberg, 2004). Вся группа в целом имеет множество синапоморфий, поэтому объем сем. Primulaceae постоянно расширяется и в него в ранге подсемейств внесены семейства Maesaceae, Myrsinaceae, Theophrastaceae (Mabberley, 2009; APG III, 2009; APG IV, 2016). В сем. Primulaceae выделяют четыре подсемейства: Maesoideae A. DC., 1 род – Maesa Forssk., Myrsinoideae Burnett (в него включены семейства Aegicerataceae и Coridaceae) – 38 родов, Primuloideae Kostel. – 6 родов, Theophrastoideae A. DC. – 8 родов (Christenhusz et al., 2017).
Сравнительно-эмбриологические и морфолого-анатомические исследования позволяют оценить значимость ряда признаков при решении некоторых спорных вопросов систематики и филогении. Однако эмбриологически многие виды сем. Primulaceae s. l. изучены еще недостаточно (Mametyeva, 1983a-c; Nemirovich-Danchenko, 1992a-d; Kamelina, 2009). Из структур гинецея, семязачатка и семени обычно приводятся общие сведения о типе гинецея, строении семязачатка, мегаспорогенезе, формировании зародышевого мешка, зародыша и эндосперма (Dahlgren, 1 916; Schnarf, 1931; Carey, Fraser, 1932; Mauritzon, 1936; Raju, 1953; Kume, 1959; Woodel, 1960; Subramanyam, Narayana, 1968; Kagramanova, 1972; Sankara Rao, 1971; D’Arcy, 1980; Gagechiladze, 1993; Akhalkatsi et al., 1998; Otegui, Maldonado, 1998; Otegui et al., 1999; Kamelina, 2009; Yankova-Tsvetkova et al., 2021).
Целью данной работы стало изучение развития и строения гинецея и семязачатка у Lysimachia vulgaris из подсем. Myrsinoideae (Primulaceae). В роде Lysimachia насчитывается около 250 видов (Liu et al., 2023). Центр видового разнообразия находится в Китае, где описано 150 видов (Ståhl, Anderberg, 2004). В России произрастают 8 видов этого рода (Karpisonova et al., 2011). Виды Lysimachia эмбриологически почти не изучены. Имеются лишь данные по строению антипод (Dahlgren, 1916; Mametyeva, 1983c). Названия растений, упомянутых в статье, даны согласно базе данных “Plants of the world online – https://powo.science.kew.org/taxon/urn: lsid: ipni .org: names ”.
МАТЕРИАЛЫ И МЕТОДЫ
Для исследования был выбран Lysimachia vulgaris L. (вербейник обыкновенный). Материалом для изучения послужили растения, собранные в окрестностях пос. Мга Кировского района Ленинградской области.
Были изучены завязи на разных стадиях развития. Материал фиксировали в смеси FАА (70% этиловый спирт, ледяная уксусная кислота и формалин в пропорции 100 : 7 : 7) и обрабатывали по общепринятой методике (Pausheva, 1974). Срезы толщиной 10–12 мкм окрашивали сафранином по Картису, фуксин-сернистой кислотой по Фёльгену с подкраской алциановым синим и светлым зеленым. Рисунки выполняли с применением рисовального аппарата на микроскопе Leica DM 1000. Микрофотографии также получены с помощью этого же микроскопа с использованием цифровой фотокамеры Leica EC3.
РЕЗУЛЬТАТЫ
Соцветие и цветок. У Lysimachia vulgaris соцветие преимущественно рацемозное. Оси второго порядка, расположенные супротивно в каждом узле кисти, повторяют оси первого порядка только в нижней части соцветия с большим числом узлов (рис. 1, 1 ) либо всего укороченного соцветия (рис. 1, 3 ). В средней и верхней частях формируются элементы, присущие тирсу, а именно, на осях второго порядка находятся цимозные паракладии в форме сложных, а в конце цветения простых монохазиев (рис. 1, 1 ). Цветки – 5-членные, актиноморфные, чашечка и венчик – сростнолистные в основании (рис. 1, 2 ). Чашечка сохраняется при плодах (рис. 7, 1 – 4 ). Лепестки обычно желтой окраски (рис. 1, 1 – 3 ). В цветке 5 тычинок, которые находятся напротив лопастей венчика. Тычиночные нити объединяются между собой в короткую трубку, которая прикреплена к лепесткам. В клетках эпидермы гинецея, семязачатка, чашечки накапливаются танины. На наружной эпидерме чашелистиков, тычиночных нитей и гинецея формируются железистые волоски: ножка состоит из 2 клеток (маленькой базальной и большой апикальной), головка образована 8 клетками в 2 ряда.
Рис. 1. Строение соцветия, цветка и гинофора у Lysimachia vulgaris ( 4–6 – продольные срезы) .
1, 3 – расположение цветков на растении; 2 – строение цветка; 4–6 : гинофор в основании гинецея во время формирования семязачатков ( 4, 5 ) и после опыления ( 6 ). g – гинецей, gn – гинофор, ov – семязачаток, p – лепесток, pl – плацента, s – чашелистик, st – тычинка.
Масштабные линейки , мкм : 1, 3 – 500, 2 – 1000, 4–6 – 100.
Fig. 1. The structure of the inflorescence, flower and the gynophore in Lysimachia vulgaris ( 4–6 – longitudinal sections).
1, 3 – arrangement of flowers on the plant; 2 – flower structure; 4–6 : gynophore at the base of the gynoecium during the formation of ovules ( 4, 5 ) and after pollination ( 6 ). g – gynoecium, gn – gynophore, ov – ovule, p – petal, pl – placenta, s – sepal, st – stamen.
Scale bars , µ m : 1, 3 – 500, 2 – 1000, 4–6 – 100.
Развитие и строение гинецея. Синкарпный гинецей образован 5 плодолистиками. Завязь верхняя. В развитии гинецея выделено несколько стадий: 1) гинецей во время формирования плацент и примордиев семязачатков, 2) гинецей во время формирования семязачатков, 3) гинецей перед опылением, 4) гинецей, трансформирующийся в плод.
В течение первой стадии происходит дифференциация плацент. У Lysimachia vulgaris в нижней части развивающегося бутона все элементы объединены в одну структуру (рис. 2, 1 ). Выше начинают обособляться гинецей и некоторые элементы чашечки и венчика (рис. 2, 2 ). Появляются первые признаки дифференциации завязи с плацентарной колонкой (рис. 2, 2 – 4 ), а также столбика с каналом (рис. 2, 5, 6 ) и лопастей рыльца (рис. 2, 7 ).
Рис. 2. Строение гинецея во время дифференциации плацент у Lysimachia vulgaris (поперечные срезы) .
1 – строение развивающегося бутона, в его нижней части все элементы объединены в одну структуру; 2 – выше начинают обособляться элементы цветка; 3–7 – появляются первые признаки дифференциации завязи с плацентарной колонкой ( 2–4 ), столбика с каналом ( 5, 6 ) и лопастей рыльца ( 7 ). an – пыльник, g v b – проводящий пучок гинецея, or – завязь, pl c – плацентарная колонка, p v b – проводящий пучок лепестка, sg – рыльце, sl – столбик, sl с – канал столбика, st v b – проводящий пучок тычинки, s v b – проводящий пучок чашелистика.
Масштабные линейки , мкм : 100.
Fig. 2. Gynoecium structure during differentiation of placentae in Lysimachia vulgaris (transverse sections) .
1 – the structure of a developing flower bud, in its lower part all elements are combined into one structure; 2 – higher up, the flower elements begin to separate; 3–7 – the first signs appear of differentiation of the ovary with placentary column ( 2–4 ), the style with a channel ( 5, 6 ), and stigma lobes ( 7 ). an – anther, g v b – gynoecium vascular bundle, or – ovary, pl c – placentary column, p v b – petal vascular bundle, sg – stigma, sl – style, sl с – style channel, st v b – stamen vascular bundle, s v b – sepal vascular bundle.
Scale bars , µ m : 100.
Во время заложения семязачатков на плаценте и формирования их примордиев общий план строения бутона сохраняется (рис. 3, 3 ), но продолжается дифференциация элементов гинецея. На цветоложе, вероятно, вследствие интеркалярного роста формируется в форме ножки короткий гинофор (рис. 3, 1 ), который вдается в центр базальной части гинецея – будущей плацентарной колонки. В нижней части гинофор не срастается с плацентарной колонкой, которая как кайма нависает над ним. Подтверждением того, что синкарпный гинецей состоит из 5 плодолистиков, является наличие на стенке завязи остатков 5 септ между сросшимися смежными плодолистиками. Семязачатки формируются на интрузивных плацентах (наружных и внутренних), при этом на каждой из плацент они смещены и располагаются в виде 6–8 ярусов (рис. 3, 4 ). В столбике формируется канал, представленный клетками секреторного типа. В верхней части канал представлен в виде трех раскрытых лопастей. В средней и нижней частях столбика лопасти канала сомкнуты (рис. 3, 5 – 9 ).
Рис. 3. Строение гинецея во время формирования семязачатков у Lysimachia vulgaris ( 1 – продольный, 2–9 – поперечные срезы) .
1 – дифференциация завязи, в основании которой формируется гинофор; 2 – строение эустелы цветоножки: по периферии формируется кольцо из 15 коллатеральных проводящих пучков, которые входят в элементы чашечки, венчика, андроцея, а в центральной части организуется сеть из пучков, которые иннервируют гинецей и гинофор; 3 – в нижней части бутона все элементы объединены в одну структуру; 4 – плацентарная колонка, на интрузивных плацентах (наружных и внутренних) формируются семязачатки, в центре расположен гинофор, на стенке завязи остатки 5 септ между сросшимися смежными плодолистиками; 5–9 – строение столбика ( 5–8 ) и рыльца ( 9 ). g – гинецей, g v b – проводящий пучок гинецея, gn – гинофор, i ov – внутренний семязачаток, o ov – наружный семязачаток, p v b – проводящий пучок лепестка, sg – рыльце, sl – столбик, sl с – канал столбика, sp – септа, sp v b – септальный проводящий пучок, st v b – проводящий пучок тычинки, s v b – проводящий пучок чашелистика.
Масштабные линейки , мкм : 100.
Fig. 3. Gynoecium structure during formation of ovules in Lysimachia vulgaris ( 1 – longitudinal sections, 2–9 – transverse sections) .
1 – differentiation of the ovary, at the base of which a gynophore is formed; 2 – structure of the pedicel eustele: along the periphery, a ring is formed of 15 collateral vascular bundles entering to the elements of the calyx, corolla, and androecium; in the central part, a network of bundles is arranged to innervate the gynoecium and gynophore; 3 – in the lower part of the flower bud, all elements are combined into one structure; 4 – placental column on the intrusive placentae (external and internal) of which the ovules are formed, the gynophore is located in the center, on the wall of the ovary there are the remains of 5 septa between fused adjacent carpels; 5–9 – structure of the style ( 5–8 ) and stigma ( 9 ). g – gynoecium, g v b – gynoecium vascular bundle, gn – gynophore, i ov – inner ovule, o ov – outer ovule, p v b – petal vascular bundle, sg – stigma, sl – style, sl с – style channel, sp – septum, sp v b – septal vascular bundle, st v b – stamen vascular bundle, s v b – sepal vascular bundle.
Scale bars , µ m : 100.
В литературе описаны 2 варианта иннервации семязачатков в синкарпном гинецее: центрально-осевая и транссептальная. Согласно существующим представлениям (Eyde, 1967) при центрально-осевой иннервации пучки, снабжающие семязачатки, происходят из центральных пучков стелы плодоножки. Для транссептальной иннервации характерно продольное прохождение пучков в стенке завязи, которые входят в семязачатки напротив септ. Первый вариант вхождения проводящих пучков обнаружен у L. vulgaris (рис. 3, 2 ). В эустеле цветоножки по периферии формируется кольцо из 15 коллатеральных проводящих пучков, которые входят в элементы чашечки, венчика и андроцея. В центральной части организуется сеть из пучков (инфралокулярный плексус), которые иннервируют гинецей, при этом 5 пучков выявляются в остатках септ гинецея, проходят в стенке завязи и оканчиваются в верхней части столбика. В самом центре 7–10 пучков иннервируют гинофор и продолжаются в плацентарную колонку. Эти пучки можно сравнить с вентральными, ответвления которых идут в плаценты (плацентарные пучки) и рафальные пучки семязачатков (рис. 3, 1 – 3 ).
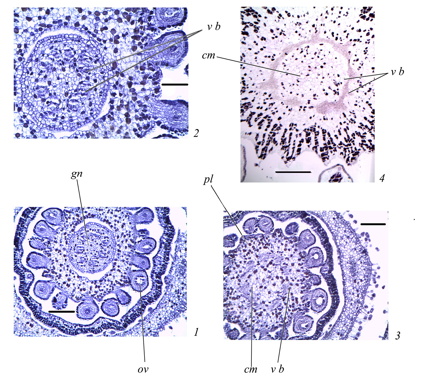
Во время второй стадии развития гинецея у L. vulgaris происходит формирование семязачатков, осуществляется мегаспорогенез и начинается мегафитогаметогенез. План строения цветка почти не изменяется. Элементы околоцветника и андроцея, а также стенка завязи объединены в основании (рис. 4, 1, 2 ). Гинофор увеличивается в длину и в свободной части сохраняет округлую форму (рис. 4, 3 ). Выше он срастается с основанием плацентарной колонки и продолжается в колумеллу. У изученного вида она очень длинная и, как стержень, по всей высоте заполняет центральную часть колонки, вокруг которой находятся центрально-угловые плаценты, срастающиеся с колумеллой. В нижней широкой (на уровне свободного гинофора) и верхней (более узкой и закругленной) частях колонки плаценты стерильные (рис. 4, 3 – 5 ). Еще одной особенностью гинецея, подтверждающей его синкарпное строение, является расположение 2 пар семязачатков на интрузивных плацентах напротив септальных проводящих пучков (рис. 4, 3 ). Столбик увеличивается в толщину неравномерно и на границе с завязью сужается, при этом канал раскрыт (рис. 4, 6 ). В средней части столбика канал уменьшается в размерах (рис. 4, 7, 8 ), но ближе к рыльцу он снова расширяется (рис. 4, 9, 10 ).
Рис. 4. Строение гинецея во время формирования семязачатков у Lysimachia vulgaris ( 1 – продольный, 2–10 – поперечные срезы) .
1 – строение элементов цветка, формирование завязи, столбика, рыльца, тычиночных нитей и пыльников, более отчетливым становится гинофор; 2 – в нижней части цветка элементы околоцветника, андроцея и стенка завязи объединены в основании, гинофор в свободной части сохраняет округлую форму; 3–5 – гинофор срастается с основанием плацентарной колонки и продолжается в колумеллу; 6–10 – строение столбика ( 6–9 ) и рыльца ( 10 ). cm – колумелла, g – гинецей, gn – гинофор, ov – семязачаток, p v b – проводящий пучок лепестка, sg – рыльце, sl – столбик, sl с – канал столбика, sp – септа, sp v b – септальный проводящий пучок, st – тычинка, st v b – проводящий пучок тычинки, s v b – проводящий пучок чашелистика.
Масштабные линейки , мкм : 100.
Fig. 4. Gynoecium structure during formation of ovules in Lysimachia vulgaris ( 1 – longitudinal sections, 2–10 – transverse sections) .
1 – structure of flower elements, formation of the ovary, style, stigma, stamen filaments and anthers, the gynophore becomes more distinct; 2 – in the lower part of the flower, the elements of the perianth, androecium and the ovary wall are united at the base, the gynophore in its free part retains a rounded shape; 3–5 – the gynophore fuses with the base of the placental column and continues into the columella; 6–9 – style structure; 10 – stigma structure. cm – columella, g – gynoecium, gn – gynophore, ov – ovule, p v b – petal vascular bundle, sg – stigma, sl – style, sl с – style channel, sp – septum, sp v b – septal vascular bundle, st – stamen, st v b – stamen vascular bundle, s v b – sepal vascular bundle.
Scale bar , µ m : 100.
К стадии сформированных семязачатков (гинецей перед опылением) продолжается увеличение размеров гинофора и гинецея. Строение последнего в целом сохраняется. Центрально-угловые плаценты вокруг гинофора выделяются за счет густоплазменных клеток (рис. 6, 1 – 5 ). Как мы уже отмечали, в гинофоре, как в свободной части, так и в составе колумеллы, дифференцируются 7–10 проводящих пучков (рис. 5, 1 – 3 ), идущих из центральной области цветоножки. После оплодотворения проводящие пучки в колумелле образуют кольцо, при этом от них отходят ответвления, обеспечивая связь между пучками и, входя в плаценты, иннервируют каждый семязачаток (рис. 5, 4 ). В средней части колумеллы число пучков сокращается до 5 (рис. 6, 4 ) и они исчезают совсем в закругленной области верхней части (рис. 6, 5 ). Большую часть гинофора составляют паренхимные клетки одинакового размера, при этом некоторые клетки содержат танины. Его периферические 2–3 слоя образованы клетками с утолщенными оболочками. Подобное строение характерно и для колумеллы, которая возникла в результате конгенитального срастания, при этом границей между колумеллой и плацентами являются клетки с утолщенными оболочками вокруг проводящих пучков. В стенке завязи из 5–6 (в основании 8–9) слоев в клетках наружной эпидермы и смежных 2 субэпидермальных слоев, а также внутренней эпидермы откладываются танины. Последние выявляются также в наружной эпидерме наружного интегумента и халазы. В стенке завязи, как напротив септальных пучков, так и между ними намечаются углубления по всей высоте завязи (рис. 5, 1 , 3 ). В верхней части завязь из округлой становится 5-гранной (рис. 4, 6 ). В столбике перед вхождением в завязь канал из секреторных клеток имеет округлую форму, но выше до рылец он начинает напоминать форму бабочки (рис. 4, 7 – 9 ).
Рис. 5. Особенности строения гинецея перед опылением ( 1–3 ) и после оплодотворения ( 4 ) у Lysimachia vulgaris (поперечные срезы) .
1, 3 – гинофор в свободной части ( 1 ) и в составе колумеллы ( 3 ); 2 – проводящие пучки в гинофоре; 4 – проводящие пучки в колумелле в виде кольца, при этом от них отходят ответвления, обеспечивая связь между пучками и, входя в плаценты, иннервируют каждый семязачаток. cm – колумелла, gn – гинофор, ov – семязачаток, pl – плацента, v b – проводящий пучок.
Масштабные линейки , мкм : 1, 3, 4 – 100, 2 – 50.
Fig. 5. Peculiarities of gynoecium structure before pollination ( 1–3 ) and after fertilization ( 4 ) in Lysimachia vulgaris (transverse sections) .
1, 3 – gynophore in its free part ( 3 ) and in the columella composition ( 4 ); 2 – vascular bundles in the gynophore; 4 – vascular bundles in the columella forming a ring, with branches extending from them, to provide communication between the bundles and, when entering the placenta, to innervate each ovule; cm – columella, gn – gynophore, ov – ovule, pl – placenta, v b – vascular bundle.
Scale bars, µm: 1, 3, 4 – 100, 2 – 50.
Рис . 6. Строение гинецея перед опылением у Lysimachia vulgaris ( поперечные срезы ) .
1, 2 – строение завязи в основании на уровне свободной части гинофора, в котором дифференцируются 7–10 проводящих пучков; 3, 4 – средняя часть завязи, в колумелле число пучков сокращается до 5 ( 4 ); 5 – верхняя часть завязи, пучки в колумелле исчезают совсем в ее закругленной области. cm – колумелла, gn – гинофор, ov – семязачаток, sp – септа, sp v b – септальный проводящий пучок, v b – проводящий пучок.
Масштабные линейки , мкм : 10.
Fig. 6. Gynoecium structure before pollination in Lysimachia vulgaris (transverse sections) .
1, 2 – structure of the ovary at the base at the level of the free part of the gynophore, in which 7–10 vascular bundles are differentiated; 3, 4 – middle part of the ovary, in the columella the number of bundles is reduced to 5 ( 4 ); 5 – the upper part of the ovary, the bundles in the columella disappear completely in its rounded area. cm – columella, gn – gynophore, ov – ovule, sp – septum, sp v b – septal vascular bundle, v b – vascular bundle.
Scale bars , µ m : 10.
Таким образом, синкарпный гинецей L. vulgaris характеризуется зональным строением, при этом самой протяженной является синасцидиатная область. Дистальную часть гинецея (верхняя часть завязи, столбик и рыльце) занимает асимпликатная область. В качестве симпликатной зоны, которая в ходе эволюции стала закрытой (как и синасцидиатная область) за счет срастания синкарпных сутур, можно рассматривать область завязи, которая включает верхнюю узкую закругленную часть плацентарной колонки. Проксимальная часть синасцидиатной области и вся симпликатная зона являются стерильными, что позволяет создавать пространство для размещения увеличившихся в размерах семязачатков, которые закладываются и прикрепляются к плацентам за пределами стерильных зон.
Изучены некоторые стадии развития гинецея, трансформирующегося в плод . У L. vulgaris развивающиеся плоды (лизикарпные коробочки) имеют шаровидную форму и окружены чашечкой, которая в основании срастается с завязью. Столбик сохраняется длительное время и в отдельных плодах еще присутствует в созревающих коробочках (рис. 7, 1, 2 ). Углубления (бороздки), формирующиеся в стенке перикарпия напротив септальных проводящих пучков и между ними, становятся более отчетливыми, при этом в верхней части завязи в месте отрыва столбика появляются признаки вскрывания плодов (рис. 7, 2, 3, 5 ). В зрелых плодах чашечка раскрывается, а положение свободных частей чашелистиков изменяется с вертикального на горизонтальное. Вскрывание коробочек – септицидно-локулицидное. Оно происходит продольными трещинами (бороздами) и начинается сверху. Септальные трещины доходят почти до основания. Число локулярных лопастей, которые образуются только в верхней части, обычно менее пяти (часто 2–3) (рис. 7, 4 ).
Рис. 7. Формирование плодов у Lysimachia vulgaris ( 1–4 – внешний вид плодов; 5 – поперечный срез плода) .
1 – развивающиеся плоды на средних стадиях эмбриогенеза: еще сохраняется столбик, в перикарпии между смежными плодолистиками видны углубления по всей высоте завязи; 2, 3 – плоды на поздних стадиях эмбриогенеза: в отдельных плодах сохраняется столбик, в стенке перикарпия углубления напротив септальных проводящих пучков и между ними становятся более отчетливыми, а в верхней части завязи в месте отрыва столбика появляются признаки раскрывания плодов; 4 – вскрывающиеся плоды: чашечка раскрывается, в основании срослась с завязью, вскрывание происходит продольными трещинами обычно в верхней части, септальные трещины доходят почти до основания, при этом число локулярных лопастей обычно менее пяти (часто 2–3); 5 – борозды, формирующиеся в стенке перикарпия в местах вскрывания плода: глубокие – септальные и неглубокие – локулярные. l f – локулярная борозда, pc – перикарпий, p l – лопасти перикарпия, s – чашелистик, sd – семя, s f – септальная борозда, st – столбик .
Масштабная линейка , мкм : 1 – 500, 2–4 – 1000, 5 – 100.
Fig. 7. Fruit formation in Lysimachia vulgaris ( 1–4 – external appearance; 5 – transverse section) .
1 – developing fruits at the middle stages of embryogenesis: the style is still preserved, the hollows are observed in the pericarp wall along the entire height of the ovary; 2, 3 – fruits at the latest stages of embryogenesis: in some fruits the style is preserved, in the pericarp wall, the hollows opposite and between the septal vascular bundles become more distinct, and in the upper part of the ovary, at the place the style torn-off, signs of fruit dehiscence appear; 4 – dehiscing fruits: the calyx opens and is fused with the ovary at the base, dehiscence occurs through longitudinal fissures, usually in the upper part, septal fissures almost reach the base, locular lobes are usually fewer than five (often 2–3); 5 – furrows forming in the pericarp wall in the places where the fruit dehiscence takes place: deep – septal and shallow – locular ones. l f – locular furrow, pc – pericarp, p l – pericarp lobes, s – sepal, sd – seed, s f – septal furrow, st – style.
Scale bars , µ m : 1 – 500, 2–4 – 1000, 5 – 100.
Выявлены некоторые механизмы вскрывания плодов. Поскольку генезис слоев стенки завязи и перикарпия не прослежен, мы не можем использовать понятия, характеризующие перикарпий (экзокарпий, мезокарпий и эндокарпий). Слои будем характеризовать по отношению к наружной или внутренней сторонам перикарпия. Как мы уже отмечали, в стенке завязи из 5–6 (в основании 8–9) слоев в клетках наружной эпидермы и смежных двух субэпидермальных слоев, а также внутренней эпидермы откладываются танины. Прежде всего, септальные и локулярные борозды различаются по строению и особенностям их вскрывания в проксимальной и дистальной частях плода. Оба типа борозд простираются по всей длине плода. Однако септальные трещины доходят почти до основания, а локулярные лопасти образуются только в верхней части. В основании плода септальная борозда состоит из 6–7 слоев: наружная эпидерма и подлежащие 3–4 слоя образованы клетками с тонкими стенками (в протопласте видны гранулы, возможно, кристаллы), внутренняя эпидерма и смежные 3 слоя характеризуются утолщенными стенками, при этом в слое, граничащем с тонкостенными клетками, наименее утолщенные стенки (рис. 8, 2 ). Локулярная борозда с наружной стороны представлена 2 слоями тонкостенных клеток, а с внутренней – 3 слоями клеток лестничных склереид с толстыми стенками (рис. 8, 1 ). Известно, что склереиды препятствуют вскрыванию таких односемянных плодов, как костянка, орешек. У изученного нами вида локулярные борозды обеспечивают вскрывание плода только вверху. В последнем случае строение локулярной и септальной борозд оказывается сходной. Различия касаются числа слоев перикарпия и характера аккумуляции веществ в клетках – в локулярной борозде имеются не 3–4 слоя утолщенных клеток, а только 2, и в них накапливаются не кристаллы, а танины (рис. 8, 5, 6 ). В септальных бороздах вскрывание происходит в течение двух фаз. Сначала разрушаются клетки проводящего пучка и трех внутренних слоев перикарпия с утолщенными полисахаридными стенками – фаза 1 (рис. 8, 3 ). Затем деструкции подвергаются клетки трех наружных слоев перикарпия с тонкими стенками – фаза 2 (рис. 8, 4 ).
Рис. 8. Вскрывание плодов у Lysimachia vulgaris (поперечные срезы) .
1, 2 – локулярная ( 1 ) и септальная ( 2 ) борозды плода перед вскрыванием; 3, 4 – вскрывание в основании плода в области септальной борозды: фаза 1 – клетки трех внутренних слоев перикарпия с утолщенными полисахаридными стенками разрушились ( 3 ), фаза 2 – клетки трех наружных слоев перикарпия с тонкими стенками (в протопласте видны гранулы, возможно, кристаллы) разрушились ( 4 ); 5, 6 – вскрывание на верхушке плода в области локулярной борозды: в перикарпии клетки двух внутренних слоев характеризуются утолщенными полисахаридными стенками, а клетки трех–четырех наружных слоев – тонкими стенками (в протопласте накапливаются танины) ( 5 ), в области вскрывания дегенерируют клетки внутренних слоев, а клетки наружных слоев еще не разрушились ( 6 ). em – зародыш, l f – локулярная борозда, pc – перикарпий, sd – семя, s f – септальная борозда .
Масштабная линейка , мкм : 1, 4 – 50, 2, 5, 6 – 100, 3 – 20.
Fig. 8. Fruit dehiscence in Lysimachia vulgaris (transverse sections).
1, 2 – locular ( 1 ) and septal ( 2 ) furrows of the fruit before dehiscence; 3, 4 – dehiscence at the base of the fruit in the area of the septal furrow: phase 1 – cells of 3 inner layers of the pericarp with thickened polysaccharide walls are destroyed ( 3 ), phase 2 – cells of the 3 outer layers of the pericarp with thin walls (in the protoplast, granules are observed, possibly crystals) are destroyed ( 4 ); 5, 6 – dehiscence at the fruit apex in the area of the locular furrow: in the pericarp, the cells of 2 inner layers are characterized by thickened polysaccharide walls, and the cells of the 3–4 outer layers are characterized by thin walls (tannins accumulate in the protoplast) ( 5 ), in the area of dehiscence the cells of the inner layers degenerate, but cells of the outer layers have not yet collapsed ( 6 ). em – embryo, l f – locular furrow, pc – pericarp, sd – seed, s f – septal furrow.
Scale bars , µ m : 1, 4 – 50, 2, 5, 6 – 100, 3 – 20.
Развитие и строение семязачатка и семени. Проведенное исследование свидетельствует о том, что у Lysimachia vulgaris в месте инициации семязачатка в субэпидермальном слое плаценты дифференцируются три крупные клетки , которые, как и нижележащие клетки третьего слоя, делятся периклинально. Как правило, только верхняя производная центральной поделившейся клетки становится археспориальной клеткой (рис. 9, 1 ), а нижняя производная этой клетки (инициаль базальной области нуцеллуса) вместе с дериватами, возникшими в результате делений клеток третьего слоя плаценты, образуют центральный осевой ряд . Иногда дифференцируются 2 археспориальные клетки (рис. 9, 2 ). Формируется примордий семязачатка (рис. 9, 3 ). Уже с самых ранних стадий развития можно диагностировать строение нуцеллуса – именно под археспорием (в дальнейшем мегаспороцитом и зародышевым мешком) формируется базальная область нуцеллуса. Латеральные клетки, возникающие в субэпидермальном слое плаценты, становятся инициалями латеральной области нуцеллуса.
Рис. 9 . Формирование семязачатка у Lysimachia vulgaris (продольные срезы) .
1–3 – семязачаток, возникающий на плаценте, выделение археспориальных клеток, осевого ряда клеток, инициалей латеральной и базальной областей нуцеллуса; 4 – дифференцирующийся примордий семязачатка, выделение инициалей гипостазы, наружного и внутреннего интегументов; 5 – семязачаток на стадии мегаспорогенеза; 6 – тетрада мегаспор; 7 – семязачаток перед опылением. a с – археспориальная клетка, a c r – осевой ряд клеток, с h – халаза, h – гипостаза, h i – инициали гипостазы, i i – внутренний интегумент, i i i – инициали внутреннего интегумента, i l n – инициали латеральной области нуцеллуса, i t – интегументальный тапетум, m – микропиле, mg – мегаспороцит, o i – наружный интегумент, o i i – инициали наружного интегумента, ps – постамент, r – рафе, v b – проводящий пучок.
Масштабные линейки , мкм : 10.
Fig. 9. Ovule formation in Lysimachia vulgaris (longitudinal sections) .
1–3 – ovule arising on the placenta, differentiation of archesporial cells, axial row of cells, initials of the lateral and basal regions of the nucellus; 4 – forming primordium of the ovule, differentiation of the initials of the hypostase, outer and inner integuments ; 5 – ovule at megasporogenesis stage; 6 – tetrad of megaspores; 7 – ovule before pollination. a с – archesporial cell, a c r – axial cell row, с h – chalaza, h – hypostase, h i – hypostase initials, i i – inner integument, i i i – inner integument initials, i l n – initials of lateral region of nucellus, i t – integumentary tapetum, m – micropyle, mg – megasporocyte, o i – outer integument, o i i – outer integument initials, ps – postament, r – raphe, v b – vascular bundle.
Scale bars , µ m : 10 .
Дифференциация переходной зоны примордия семязачатка (рис. 9, 4 ) происходит в центробежном направлении на уровне инициалей внутреннего интегумента. Клетки этой зоны имеют двойственное происхождение и возникают из разных зон примордия семязачатка: базальной – центральная и латеральной – латеральная части. Переходная зона представлена одним слоем таблитчатых клеток, которые в формирующемся примордии семязачатка как бы разделяют его на две части. На уровне переходной зоны (в дальнейшем формируется гипостаза) одновременно с ее дифференциацией или чуть позже возникают интегументы, выше уровня – нуцеллус, а ниже уровня — халаза и фуникулус (рис. 9, 5, 7 ) .
В нуцеллусе топографически представлены латеральная и базальная области. Апикальная область (париетальная ткань) отсутствует, вследствие чего мегаспороцит и зародышевый мешок располагаются непосредственно под эпидермой. Обе области являются однослойными. Базальная область трансформируется в постамент (рис. 9, 5, 7 ) . В ходе развития семязачатка большинство клеток латеральной области нуцеллуса и постамента разрушаются, и в основании зародышевого мешка формируется небольшая колонка (рис. 9, 7 ) . У изученных видов развитие нуцеллуса на основании генезиса и строения относится к синдермальной вариации (однослойной субвариации) медионуцеллятного типа (согласно классификации, предложенной Shamrov, 2008).
Семязачаток у изученных видов Lysimachia битегмальный, с микропиле, образованным обоими интегументами (рис. 9, 3 ). Интегументы формируются из эпидермальных инициалей в соответствии с вариацией II дермального типа ( Shamrov , 2008). Оба интегумента возникают одновременно. Заложение интегументов происходит в виде кольцевых валиков. Этому предшествуют интенсивные антиклинальные деления эпидермальных клеток на уровне переходной зоны примордия семязачатка. Образующиеся клетки вытянуты в радиальном направлении, при этом их размеры увеличиваются. В области инициации интегументов выделяется двухслойная меристематическая зона (рис. 9, 4 ) . Ее густоплазменные клетки делятся сначала наклонно или периклинально , при этом верхушку формирующегося интегумента всегда занимает группа терминальных инициалей . Последние делятся только наклонно в бифациальном ритме, отделяя вниз клетки, остающиеся в составе то одного, то другого слоя интегумента (рис. 9, 4 ). Интегументы сначала двухслойные, но после стадии мегаспорогенеза клетки внутренней эпидермы внутреннего интегумента начинают делиться периклинально, и внутренний интегумент становится 3-слойным. Клетки внутреннего слоя в области зародышевого мешка преобразуются в интегументальный тапетум, образованный таблитчатыми крупными клетками. Интегументальный тапетум является нерегулярно 2-слойным (рис. 9, 7 ). В его отдельных клетках еще до опыления начинают накапливаться танины.
С емязачаток – сессильный, или сидячий. Для него характерно рафе, возникающее в ходе конгенитального срастания фуникулуса и наружного интегумента с дорсальной стороны, при этом интегумент в области микропиле формирует вырост. Собственно фуникулус не образуется (рис. 9, 7 ). В основании внутреннего интегумента и нуцеллуса дифференци руется 2-слойная гипостаза из клеток с тонкими оболочками и плотной цитоплазмой (рис. 9, 4, 5, 7 ) .
Халаза составляет относительно небольшую часть семязачатка и может быть определена как мезохалаза (Shamrov, 2008). Проводящий пучок из фуникулуса входит в халазу в виде воронки и оканчивается вблизи гипостазы. В проводящем пучке семязачатка формируются только тяжи (2) прокамбиальных клеток. В клетках наружной эпидермы наружного интегумента, халазы и рафе происходит отложение танинов (рис. 9, 7 ) .
Поскольку плацентарная колонка имеет округлую форму, то семязачатки возникают на плацентах сбоку. Они начинают формироваться как ортотропные, затем после дифференциации структур, что совпадает с подготовкой мегаспороцита к мейозу, начинают разворачиваться, проходя стадии анатропного и гемитропного типов. Но уже во время мегаспорогенеза выявляется искривление продольной оси в нуцеллусе, а интегументы в антирафальной части семязачатка начинают удлиняться по сравнению с рафальной частью. В дальнейшем эти процессы интенсифицируются и перед опылением искривляется не только нуцеллус, но и интегументы, а также зародышевый мешок и постамент. При этом микропиле обращено к плаценте, а семязачаток становится геми-кампилотропным, согласно представлениям И. И. Шамрова (Shamrov, 2018) (рис. 9 , 7 ) .
Археспорий, как правило, одноклеточный (рис. 9, 1 ). Наблюдались случаи образования двух археспориальных клеток (рис. 9, 2 ). Преобразование в мегаспороцит происходит без отделения париетальной клетки. Мегаспороцит , имеющий удлиненно - округлую форму, вступает в мейоз, что сопровождается цитокинезом и формированием линейной тетрады мегаспор (рис. 9, 3 – 6 ). Зародышевый мешок сос тоит из яйцеклетки и двух синергид, центральной клетки с двумя полярными ядрами и трех антипод, расположенных подобно клеткам яйцевого аппарата в форме треугольника (рис. 9, 7 ).
Семязачаток после оплодотворения преобразуется в семя. Зрелое семя у L. vulgaris является геми-кампилотропным. Оно заостренное и загнутое на микропилярном и халазальном концах (рис. 10, 1 ). Форма семени на поперечном срезе зависит от плоскости его прохождения через структуры – треугольная (в области халазы и микропиле), округлая и овальная (в области изгиба на уровне зародыша и эндосперма) (рис. 10, 2 ). В семени формируется целлюлярный эндосперм. В центре находится прямой двусемядольный зародыш. Клетки эндосперма вокруг зародыша разрушаются и образуют зону лизиса. Семенная кожура формируется обоими интегументами. На стадии раннего эмбриогенеза экзотеста состоит из удлиненных толстостенных клеток с танинами. Мелкие клетки эндотесты проявляют признаки разрушения. Экзотегмен представлен небольшими, а мезотегмен (3–5 слоев) – разросшимися тонкостенными клетками. Эндотегмен образован интегументальным тапетумом (рис. 10, 2, 3 ). Постепенно эндотеста исчезает, а мезотегмен начинает дегенерировать (рис. 10, 4 ). В созревающих семенах в семенной кожуре сохраняется только экзотеста и эндотегмен (рис. 10, 5, 6 ). Таким образом, слоем, выполняющем функции механической ткани, являются клетки, производные наружной эпидермы наружного интегумента, т. е. семя является экзотестальным.
Рис. 10. Строение семени у Lysimachia vulgaris ( 1, 2 – продольные и 3–6 – поперечные срезы).
1 – зрелое геми-кампилотропное семя, заостренное и загнутое на микропилярном и халазальном концах; 2, 3 – семя на стадии раннего эмбриогенеза, семенная кожура формируется обоими интегументами: экзотеста из удлиненных толстостенных клеток с танинами, мелкие клетки эндотесты разрушаются, экзотегмен представлен небольшими, а мезотегмен (3–5 слоев) – разросшимися тонкостенными клетками, эндотегмен образован интегументальным тапетумом; 4 – эндотеста дегенерировала, а мезотегмен находится в состоянии разрушения; 5, 6 – созревающее экзотестальное семя, в центре находится прямой двусемядольный зародыш, клетки эндосперма вокруг зародыша разрушаются и образуют зону лизиса, в семенной кожуре сохраняется экзотеста и эндотегмен. ch – халаза, em – зародыш, en – эндосперм, i t – интегументальный тапетум, m – микропиле, s c – семенная кожура, tg – тегмен, ts – теста .
Масштабная линейка , мм : 1–3, 5 – 100, 4, 6 – 50.
Fig. 10. Seed structure in Lysimachia vulgaris ( 1, 2 – longitudinal sections, 3–6 – transverse sections) .
1 – mature hemi-campylotropous seed, acuminate and curved at the micropylar and chalazal ends; 2 , 3 – seed at the stage of early embryogenesis, the seed coat is formed by both integuments: exotesta from elongated thick-walled cells with tannins, small endotestal cells are destroyed, exotegmen is represented by small, and mesotegmen (3–5 layers) by overgrown thin-walled cells, endotegmen is formed by integumentary tapetum; 4 – the endotesta has degenerated, and the mesotegmen is in a state of destruction; 5, 6 – ripening exotestal seed, in its center there is a straight dicotyledonous embryo, endosperm cells around the embryo are destroyed and form a lysis zone, exotesta and endotegmen are preserved in the seed coat. ch – chalaza, em – embryo, en – endosperm, i t – integumentary tapetum, m – micropyle, s c – seed coat, tg – tegmen, ts – testa.
Scale bars, µm : 1–3, 5 – 100, 4, 6 – 50.
ОБСУЖДЕНИЕ
Исследование, проведенное нами, позволило выявить ряд специфических черт в развитии гинецея и семязачатка. Прежде всего, обсудим морфогенез гинецея. В литературе дискутируются принципы выделения типов гинецея покрытосеменных растений. В отечественной литературе доминирует представление А.Л. Тахтаджяна (Takhtajan, 1942, 1948, 1964, 1980) о наличии 4 типов гинецея (апокарпный, синкарпный, паракарпный и лизикарпный: 3 последних объединены в ценокарпный). В зарубежных исследованиях все разнообразие гинецея сведено к двум – апокарпному и синкарпному. В своей последней монографии A. Takhtajan (2009) вместо ценокарпного использовал синкарпный гинецей и выделял в нем эусинкарпный, паракарпный и лизикарпный типы. Последние два типа некоторые авторы считают одним типом. K. Goebel (1923, 1933) подразумевал под паракарпным типом вариант с одногнездной завязью и осевой плацентой в виде колонки как продолжения оси цветка. К подобному мнению приходят и другие исследователи, объединяющие гинецей с колончатой плацентацией с собственно паракарпным гинецеем с париетальной плацентацией в рамках единого паракарпного типа (Grisebach, 1854; Troll, 1928; Ehrendorfer, 1978).
Тахтаджян (Takhtajan, 1942, 1948, 1964, 1980) паракарпный тип ограничил одногнездным гинецеем с париетальной плацентацией, а вариант со свободной центральной (колончатой) плацентацией выделил в особый тип – лизикарпный, который возник, по его мнению, на базе синкарпного в результате исчезновения перегородок в завязи. В иностранной литературе лизикарпный гинецей никогда не рассматривался в качестве оригинального типа. Следует отметить, что особенности возникновения подобного варианта с колончатой плацентой за счет редукции (исчезновения) боковых стенок, связывающих вентральные края с дорсальными частями сросшихся плодолистиков, отмечали и ранее.
К настоящему времени подобный вариант ценокарпного гинецея обнаружен у многих видов семейств Caryophyllaceae (Van Tieghem, 1868; Lister, 1884; Dawson, 1936; Dickson , 1936; Thomson, 1942; Eckard, 1955; Hartl, 1956; Bocquet , 1959; Veselova, 1991; Shamrov, Kotelnikova, 2011), Lentibulariaceae (Dickson, 1869; Kamienski , 1877; Luetzelburg, 1910; Khan, 1954; Hartl, 1956; Degtjareva , Sokoloff, 2012; Pushkareva et al., 2018), Portulacaceae (Eames , 1961; Takhtajan, 1966), Primulaceae (Dickson, 1936; Douglas, 1936; Schlagorsky, 1949; Roth, 1959; Pankow, 1959), некоторых представителей семейств Scrophulariaceae (H artl, 1956), Gesneriaceae (Ivanina, 1967), Amaranthaceae (Veselova , Timonin, 2008, 2009), Celastraceae (Trusov, 2010). У Plumbaginaceae (Leinfellner , 1953), Phytolaccaceae (Eckard, 1954), Fouquieriaceae (Johansen, 1936), Juncaceae (Shamrov, Anisimova, 1993; Shamrov et al., 2012 ) описаны так называемые базальные семязачатки, формирующиеся в основании гинецея. В последнем случае такую плаценту называют базальной и рассматривают как производную колончатой плаценты.
Несмотря на большое число работ, строение гинецея с разрушающимися септами и колончатой плацентой чаще всего прослежено на отдельных (часто несопоставимых) стадиях либо без указания области, в которой проведено изучение. Возникновение гинецея с колончатой плацентой объясняют разрушением септ: у Caryophyllaceae этот процесс происходит в онтогенезе, тогда как у Primulaceae и Lentibulariaceae – в ходе филогенеза. Обычно считается, что деструкция септ происходит в цветке перед опылением. По данным D. Hartl (1956), сначала дегенерируют внутренние клетки септ, а затем эпидермальные слои, при этом в основании гинецея септы остаются цельными. По мнению Т.Д. Веселовой (Veselova, 1991), процесс разрушения септ у представителей сем. Caryophyllaceae связан с формированием особого септального обтуратора. На примере Silene coronaria (Desr.) Clairv. Ex Rchb (= Lychnis coronaria Desr.) было показано, что разрушение перегородки завязи происходит в два этапа – периферическая часть начинает разрушаться на стадии археспория (совпадает с моментом заложения обтуратора – разрастания внутренней части перегородки), а внутренняя часть (т. е. обтуратор) – после оплодотворения. В паренхиме клеток под обтуратором накапливаются крахмал и многочисленные друзы, по-видимому, оксалата кальция. После оплодотворения кристаллоносные клетки разрушаются.
Исследование гинецея у Silene flos-cuculi (L.) Greuter& Burde (= Coccyganthe flos-cuculi (L.) Rchb.) из сем. Caryophyllaceae показало, что накопление друз с кристаллами начинается на средних стадиях морфогенеза гинецея (начало мейоза в семязачатках). Клетки стенки завязи, в которых происходит отложение друз, сильно увеличиваются в размерах. В них постепенно дегенерируют цитоплазма и ядро. Друзы появляются сначала в местах срастания смежных плодолистиков (основании сутур) стерильной синасцидиатной зоны, а затем и в других клетках сутур. Одновременно с увеличением размеров клеток и накоплением в них друз происходит разрушение этих клеток на большем протяжении завязи. Процесс деструкции клеток осуществляется в базипетальном направлении и затрагивает сначала только клетки паренхимы. На поздних стадиях развития гинецея и перед опылением разрушаются не только паренхимные клетки в септах, но и эпидермальные слои на большем протяжении завязи, в результате чего формируются полости и септы “провисают” (Shamrov, Kotelnikova, 2011). Однако в основании завязи этого вида, как и Silene latifolia Poir. (= Melandrium album (Mill.) Garcke), Silene cucubalus Wibel, Stellaria media (L.) Vill., септы не разрушаются (Hartl, 1956). Остатки септ и рудиментарные гнезда сохраняются в основании завязи ряда видов сем. Amaranthaceae (Veselova, Timonin, 2008). Никаких признаков присутствия септ в завязи не выявляется в сем. Lentibulariaceae ( Hartl, 1956; Degtjareva, Sokoloff, 2012; Pushkareva et al. , 2018).
Анализ литературных данных свидетельствует о том, что у некоторых представителей сем. Primulaceae нижняя часть колонки создается в ходе не филогенеза, а онтогенеза (Douglas, 1936). Результаты проведенного нами исследования подтверждают эти представления. Прежде всего, у Lysimachia vulgaris остатки септ с проводящими пучками хорошо выделяются на всех стадиях развития. Пары семязачатков расположены, как на вентральных краях плодолистиков, подобно центрально-угловым плацентам напротив септальных проводящих пучков. В образовании нижней части плацентарной колонки принимает участие гинофор, который в форме ножки вдается в центр базальной части гинецея. В проксимальной области гинофор не срастается с плацентарной колонкой, которая как кайма нависает над ним. Выше гинофор объединяется с основанием плацентарной колонки и продолжается в колумеллу. Понять природу колумеллы помогут представления W. Leinfellner (1951). По мнению этого автора, в основании синкарпного гинецея формируется сложная U-образная синплацента, центральная часть которой представлена синплацентой, а боковые части – латеральными плацентами в каждом плодолистике. Медианная структура в нижней части завязи была определена как “центральное тело”, или колумелла (Troll, 1957). Последняя у многих видов очень короткая. У L. vulgaris она очень длинная и, как стержень, по всей высоте заполняет центральную часть колонки, вокруг которой находятся центрально-угловые плаценты, которые срастаются с колумеллой. В нижней широкой (на уровне свободного гинофора) и верхней (более узкой и закругленной) частях колонки плаценты стерильные.
Место гинецея с колончатой плацентацией в системе типов попытался определить Hartl (1956). Исходя из общих направлений редукции частей растений, предложено различать группы семейств цветковых растений с “одногнездным” гинецеем (апокарпным и ценокарпным). Ценокарпный тип разделен на 2 категории: 1. паракарпный тип, 2. гинецей с различными явлениями редукции. В последнюю категорию были определены не только семейства с лизикарпным типом (Caryophyllaceae, Lentubulariaceae, Plumbaginaceae , Primulaceae и другие), но и семейства с псевдомономерным гинецеем (Asteraceae, Cyperaceae, Poaceae и др.).
При детальном исследовании развития строения гинецея Silene flos-cuculi (Caryophyllaceae) выявлено, что в центре завязи формируется колонка в виде звезды, на которой располагаются интрузивные угловые плаценты. Эта колонка возникает на базе U-образной синплаценты и возникает не только за счет объединения центральных плацент, но и примыкающих вентральных и латеральных краев плодолистиков в основании гинецея (Shamrov, Kotelnikova, 2011; Shamrov et al., 2012). Таким образом, колонка не является новообразованием или продолжением оси цветка. Она представляет собой видоизмененную центрально-угловую плаценту после разрушения септ в синкарпном гинецее. Это позволяет рассматривать этот способ развития гинецея в качестве лизикарпной вариации синкарпного типа (Shamrov, 2013, 2020).
У P inguicula vulgaris L., P. alpina L. и P. villosa L. гинецей состоит из двух почти полностью сросшихся плодолистиков: округлой завязи, короткого столбика, оканчивающегося двулопастным (двугубым) рыльцем. Семязачатки формируются на центральной шаровидной плаценте ( Pushkareva et al., 2018).
Самым крупным родом сем. Primulaceae является Primula L. (около 500 видов). Почти 90% видов являются гетеростильными (Dowrick, 1956; Gagechiladze, 1993; Larson, Ba rrett, 1998; De Vos et al., 2014). В роде есть и гомостильные виды: Primula laurentiana Fern. (Campbell et al., 1986), P. obconica Hance (Dowrick, 1956). Систематика рода активно обсуждается в литературе. Спорными остаются проблемы внутриродового деления на секции, подсекции, их объем и структурные характеристики.
В пределах рода Primula выделяют от 15 (Chen, 1940) до 30 (Valentine, 1961) секций. Для обоснования этих заключений используются различные признаки морфологии, цитологии, анатомии, палинологии и данные молекулярных исследований. Так, 15 секций в роде Primula были выделены на основании морфологических признаков семян. Предложено использовать 3 группы признаков семян: форма (угловатые, кубаревидные, треугольные), окраска (коричневые, серые, темно-красные), поверхность (морщинистая, гладкая, наличие крыловидных образований, волосков или папилл) (Chen, 1940). При обосновании 30 секций в этом роде во внимание приняты жилкование и форма листовых пластинок, тип коробочки, базовое число хромосом (некоторые секции содержат преимущественно диплоидные виды, другие, как например секция Farinosae, включают виды с разным уровнем плоидности) (Valentine, 1961). На основании строения семян (форма, размеры, характер поверхности) предлагается повысить ранг подсекции Inayatii и Sibirica секции Farinosae рода Primula до ранга секций (Nasir, 1986).
Также были исследованы размер и форма семян, рисунок поверхности семенной кожуры, толщина семенной кожуры и структура эндосперма у 12 видов – представителей разных подсемейств сем. Primulaceae s. l. Проведены биометрические измерения и выделены три категории формы семян: сектороидная, или многогранная (большинство видов), субовальная, почти шаровидная. Несмотря на разные типы формы, соотношение длины и ширины семян исследованных видов было постоянным. Описаны три типа рисунка поверхности семян: 1) сетчатый, 2) бугорчатый со вторичной исчерченностью, 3) пороидно-альвеолярный с наличием губчатого наружного слоя. Семенная кожура всех исследованных видов была двухслойной, при этом на поверхности внутреннего слоя присутствовали кристаллы оксалата кальция. По толщине клеточных стенок эндосперма и рельефу их внутренней поверхности выделены четыре типа строения эндосперма: 1) с равномерно утолщенными и гладкими клеточными стенками, 2) с равномерно утолщенными клеточными стенками и кольцевыми или спиральными утолщениями на их внутренней поверхности, 3) с очень толстыми, но неравномерно утолщенными клеточными стенками с перетяжками (“ямками”), 4) с очень тонкими волнистыми клеточными стенками. Авторы пришли к выводу об отсутствии закономерностей относительно формы семени, типа семенной скульптуры, толщины тесты, строения эндосперма в соответствии с принадлежностью видов к разным подсемействам (Morozowska et al., 2011).
Почти к таким же выводам пришли авторы и в следующем исследовании. Микроморфология и анатомия семян и эндокарпия изучены у 16 видов из подсемейств Myrsinoideae и Theophrastoideae сем. Primulaceae. Изучение проведено с использованием гербарного материала. У всех видов орнаментация поверхности семян была сетчатой, бугорчатой или бугорчато-бороздчатой. Для семян почти всех видов подсем. Myrsinoideae характерна однослойная семенная кожура, лишенная ромбовидных или призматических кристаллов, тогда как семена с двухслойной семенной кожурой характеризовались призматическими кристаллами. Эндосперм в семенах был либо руминированным, либо его клеточные стенки были равномерно утолщены, причем эти различия наблюдались внутри подсем. Myrsinoideae. Строение эндокарпа различается по характеру первичной и вторичной скульптуры их внутренней поверхности, а также наличию устьиц. На основании полученных данных с привлечением молекулярно-генетического анализа (последовательность хлоропластных генов rbcL) по всем морфологическим признакам составлены филогенетические деревья. Род Lysimachia по одним признакам (форма рубчика, утолщение клеточных стенок эндосперма) находится в их средней части, а по другим (форма семени, наличие эндосперма, строение семенной кожуры и наличие в ней кристаллов оксалата кальция) – почти в основании (Morozowska et al., 2020).
Однако выводы, полученные коллективом авторов (Morozowska et al., 2011, 2020), следует рассматривать критически. Структурные признаки не изучены в динамике, а по их состоянию в зрелых семенах и плодах можно сделать ошибочное заключение. В сем. Primulaceae s. l. у большинства видов формируются битегмальные семязачатки, но выявлены виды и с унитегмальными семязачатками (Mametyeva, 1983a-c; Nemirovich-Danchenko, 1992a-d; Kamelina, 2009). В анализируемых исследованиях указывается, что если семенная кожура однослойная, то, вероятно, семязачаток имел один интегумент, а если она двуслойная, то – два. В процессе развития строение слоев интегументов изменяется, и в зрелом семени семенная кожура может быть образована клетками как одного, так и обоих интегументов, при этом в случае битегмальных семязачатков границей между внутренним и наружным интегументами является сохраняющаяся кутикула. Последняя есть на поверхности клеток наружного интегумента и эндосперма. Подобным образом следует анализировать строение перикарпия. Самый его внутренний слой, который является производным внутренней эпидермы стенки завязи, не всегда можно называть эндокарпием в зрелом плоде, так как у многих растений эндокарпий, а иногда и экзокарпий, разрушается, а в мезокарпии происходит структурная дифферециация слоев клеток, напоминающая зональность перикарпия: экзо-, мезо- и эндокарпий.
С помощью филогенетического анализа последовательностей ДНК пластидного гена ndhF были уточнены гипотезы по эволюции цветка Lysimachia и родственных родов, основанные на характере окраски цветков и состава нектара. Lysimachia и большинство его подродов, а также роды Anagallis , Pelletiera и Asterolinon являются парафилетическими или полифилетическими, при этом их ближайшими родственниками являются Trientalis и несколько американских видов Lysimachia (Anderberg et al., 2007).
В роде Lysimachia выделяют 6 подродов: Idiophyton, Lysimachia, Naumburgia, Palladia, Lysimachiopsis, Heterostylandra. В подроде Lysimachia, определяющем род Lysimachia , предложено различать 7 секций: Seleucia, Theopyxis, Nummularia, Lerouxia, Lysimachia, Rosulatae, Alternifoliae (Chen, Hu, 1979). Эти представления были использованы при создании филогенетического древа трибы Lysimachieae подсем. Myrsinoideae, куда был включен род Lysimachia (Anderberg et al., 2007). Прежде всего, авторы установили, что подродовые секции (Chen, Hu, 1979) оказались в нескольких местах древа и принадлежат к разным монофилетическим группам.
Исследованный нами вид Lysimachia относится к подроду Lysimachia, которому присущи некоторые общие признаки. Виды имеют желтые цветки, одиночные в пазухах листьев или собранные в кисти, метелки. В различных частях венчика и пыльников формируются железистые волоски, продуцирующие масла. Подобные железистые волоски были обнаружены нами в настоящем исследовании у L. vulgaris . Они имеют эпидермальное происхождение и располагаются на наружной эпидерме чашелистиков, тычиночных нитей и гинецея. Железистые волоски являются многоклеточными: ножка состоит из 2 клеток (маленькой базальной и большой апикальной), головка образована 8 клетками в 2 ряда. Таксоны подрода Lysimachia довольно схожи по морфологии цветков, но сходство, по-видимому, симплезиоморфное, а сам подрод в своем нынешнем описании парафилетичен (Anderberg et al., 2007). Секции Seleucia и Theopyxis представлены группами американских видов и занимают базальное положение. Секция Rosulatae является сестринской группой к подроду Idiophyton, поэтому авторы включили виды этой секции в секцию Idiophyton . Виды, помещенные в секцию Nummularia, группируются вместе с Glaux и видами подродов Palladia и Lysimachiopsis с белыми, розовыми или красными цветками. Секция Lerouxia включает виды, которые оказались очень близкими родственниками Anagallis s. str. Секция Lysimachia включает типовой вид рода Lysimachia ( L. vulgaris ) и еще несколько видов, например L. terrestris . Согласно представлениям Anderberg et al. (2007), которые совпадают с анализом, проведенным ранее (Hao et al., 2004), два вида этой секции формируют хорошо поддерживаемую группу вместе с L. thyrsiflora , единственным видом подрода Naumburgia. В будущем мы планируем изучить другие виды рода Lysimachia , такие как L. nummularia L. и L. punctata L. Эти виды образуют группу, имеющую невыясненное положение. Именно по этой причине, когда набор видов секций (Chen, Hu, 1979) не полностью соответствует молекулярно-генетическим данным, полученным Anderberg et al. (2007), последние авторы использовали для обозначения не секции, а группы. Например, наши виды из подрода Lysimachia оказались в группах B ( Lysimachia nummularia и L. punctata ) и E ( L. vulgaris ).
При исследовании Lysimachia и родственных родов Anagallis , Ardisiandra , Asterolinon , Glaux , Pelletiera и Trientalis в подсем. Мyrsinoideae были использованы признаки структурной ботаники. Выявлены 3 типа формы семян (сектороидные, многоугольные и грубо-морщинистые) и 6 типов их поверхности (сетчатая, бугорчатая, ячеистая, клейкая, волнистая и с углублениями). Разнообразие типов поверхности семян в целом не противоречит молекулярным данным. Особенности сетчатой поверхности являются диагностическими для подрода Palladia рода Lysimachia . Морщинистая поверхность семян характерна для Pelletiera и Asterolinon linum-stellatum L. Губчатая поверхность наружного слоя семенной кожуры характеризует кладу, включающую Lysimachia vulgaris L., L. thyrsiflora L. и L. terrestris (L.) Britton, Sterns & Poggenb. (Il-Chan Oh et al., 2008), т. е., в отличие от Anderberg et al. (2007), где в одну кладу были включены только L. vulgaris и L. terrestris , авторы вышеуказанного исследования поместили в нее и L. thyrsiflora . Анализ ITS последовательностей ядерных рибосом и trnL–F хлоропластов показал, что род Lysimachia является парафилетическим. Молекулярная филогения не подтверждает существующие внутриродовые подразделения рода. Подрод Lysimachia включает как минимум пять независимых линий (Hao et al., 2004), что в дальнейшем подтвердилось молекулярно-генетическими данными о выделении в этом подроде 6 групп (Anderberg et al., 2007). Два североамериканских представителя Lysimachia , подрод Seleucia и секция Verticillatae подрода Lysimachia группируются вместе как базальная клада рода. Сделан вывод о параллельной и независимой эволюции морфологических признаков, которые до этого использовались в качестве диагностических критериев (Hao et al., 2004).
Изучение последовательностей ДНК (ITS) в сем. Primulaceae показало, что верхнюю позицию филогенетического древа занимает триба Lysimachieae, в которой один из видов Lysimachia ( L. azorica ) образует родственную группу с родами Anagallis , Pelletiera и Asterolinon , а не с представителями рода Lysimachia . Кроме того, не подтверждается разделение подродов Naumburgia и Lysimachia, поскольку 2 представителя подрода Lysimachia ( L . vulgaris и L. nummularia ) удалены друг от друга, а один из них, L. vulgarisis , располагается ближе к L. thyrsiflora из подрода Naumburgia (Kimura, 1980; Martins et al., 2003). Изучение пластома 45 видов Lysimachia внесло некоторые коррективы в его молекулярно-генетическую характеристику. Этот род был определен как преимущественно монофилетичный, включающий 8 клад. Однако подрод Lysimachia этого рода является парафилетичным. Он образован тремя кладами: клада IV, или Vulgaris-клада ( Lysimachia vulgaris и L. davurica Ledeb.), клада V ( L. coreana Nakai), клада I, или клада Christinae (остальные виды подрода) (Liu et al., 2023).
Таким образом, наши виды из подрода Lysi-machia либо рассматриваются в группах B ( Lysimachia nummularia и L. punctata , занимают субапикальное положение) и E ( L. vulgaris , занимает суббазальное положение) (Anderberg et al., 2007), либо входят в состав клады IV ( Lysimachia vulgaris , в нижней части филогенетического древа) или клад ы I (вероятно, Ly simachia nummularia и L. punctata , в верхней части филогенетического древа) (Liu et al., 2023).
Как мы уже отмечали ранее, эмбриологически многие виды сем. Primulaceae s. l. изучены еще недостаточно. Обычно приводятся общие сведения о строении семязачатка и семени (при исследованиях морфологии семян, о которых речь шла выше, видно, что структура зародыша не принимается во внимание, а эндосперм изучается только в зрелом семени), мегаспорогенезе, формировании зародышевого мешка, зародыша и эндосперма.
Анализ эмбриологических данных приведем только для подсем. Мyrsinoideae (Christenhusz et al., 2017), куда входят изученные нами виды Lysimachia . Семязачаток преимущественно битегмальный, у некоторых видов унитегмальный ( Aegiceras majus Gaertn. и Cyclamen persicum Mill.), нуцеллус представлен эпидермальным слоем (тенуинуцеллятный семязачаток), интегументы 2–3-слойные, но могут быть и многослойные, внутренняя эпидерма внутреннего интегумента преобразуется в интегументальный тапетум, в клетках которого и наружного слоя наружного интегумента накапливаются танины (у Cyclamen europaeum L. интегументальный тапетум не дифференцируется), семязачаток мезохалазальный, с коротким фуникулусом, формируется гипостаза, линейная тетрада, иногда триада ( A. majus ) мегаспор, моноспорический зародышевый мешок развивается по Polygonun-типу, 3 антиподы эфемерные, но могут быть крупными и полиплоидными ( Lysimachia vulgaris , L. ephemerum L.), эндосперм нуклеарный, может быть руминированным ( Myrsine africana L., M. laetevirens (Mez) Arechav., Embelia ribes Burm.f.), зародыш с однорядным подвеском развивается по Onagrad-типу, в зрелом семени прямой, хорошо дифференцированный, его длина составляет ½ длины семени, но может быть и маленьким ( A. majus ), которому, вероятно, присуще доразвитие (Karsten, 1891; Mez, 1902; Dahlgren, 1916; Carey , Fraser, 1932; Woodcock, 1933; Raju, 1953; Kume, 1959; Sankara Rao, 1971; Mametyeva, 1983a, c; Corbineau et al., 1989; Nemirovich-Danchenko, 1992b – d; Otegui, Maldonado, 1998; Otegui et al., 1999; Kamelina, 2009).
Как видно из приведенного анализа, организация базовых эмбриональных структур очень сходна, а процессы их развития протекают одинаково. Что касается морфологического типа семязачатка, то данные по его строению в сем. Primulaceae s. l. крайне фрагментарны. При изучении семязачатка, особенно в лизикарпном гинецее округлой формы, возникает ряд проблем. При диагностике типа семязачатка очень важно выявить место прикрепления семязачатка (все определяет плоскость среза – семязачаток следует диагностировать в дорсивентральной и сагиттальной, тогда как во фронтальной, или билатеральной не будут видны фуникулус и рафальная часть семязачатка), и положение микропиле относительно плаценты. У растений с лизикарпным гинецеем семязачатки занимают боковое положение на плацентах. Подобрать идеальное сечение через завязь весьма непросто, поэтому выводы о типах семязачатков, к которым приходят авторы, являются противоречивыми. Отметим, что в большинстве существующих классификаций морфологических типов семязачатков различают 5 типов: ортотропный, анатропный, гемитропный, кампилотропный и амфитропный (Goebel, 1933; Maheshwari, 1950; Savchenko, 1973). Однако признаки, на которых они выделены, не всегда аргументированы и вызывают дискуссии. На основании оригинальных исследований и имеющихся литературных данных И. И. Шамровым (Shamrov, 2018, 2022) были рассмотрены проблемы типизации семязачатков по морфологическим признакам и выявлены критерии, на основании которых предложена классификация, включающая 4 типа и 4 подтипа: ортотропный и анатропный типы, гемитропный тип и его подтипы (геми-анатропный и геми-ортотропный), кампилотропный тип и его подтипы (орто-кампилотропный и геми-кампилотропный).
Анализ данных по морфологическим типам семязачатка в сем. Primulaceae s. l. выявил их разнообразие. В сем. Myrsinaceae семязачатки характеризуют как анатропные, гемитропные, кампилотропные, в сем. Theophrastaceae – анатропные, гемитропные, кампилотропные, промежуточного строения между гемитропными и кампилотропными, в сем. Primulaceae – анатропные, полуанатропные, гемитропные, кампилотропные (Mametyeva, 1983a–c; Nemirovich-Danchenko, 1992a–d; Kamelina, 2009). По всей вероятности, именно трудность в получении медианных срезов семязачатков привела авторов к разным интерпретациям анализируемых картин. Наше исследование развития и строения семязачатка у видов Lysimachia показало, что визуально семязачатки проходят в своем развитии стадии, напоминающие сначала ортотропные, затем анатропные и гемитропные семязачатки и только на последних этапах появляются явные признаки кампилотропии – искривление морфологической оси нуцеллуса и зародышевого мешка, асимметрия в развитии структур, при этом выявляются важные ключевые особенности семязачатка – боковое положение на плаценте, отсутствие собственно фуникулуса и смещение микропиле к плаценте. Кроме того, при обосновании типов и подтипов классификации (Shamrov, 2018, 2022) было выявлено, что критической фазой морфогенеза любых семязачатков является мегаспорогенез, во время которого происходят структурно-функциональные перестройки в их морфогенезе. Семязачатки одних типов (ортотропные и анатропные) уже принимают окончательную форму. На этой стадии в гемитропных семязачатках начинается поворот относительно плаценты, при этом в геми-ортотропном варианте морфологическая ось изгибается в халазальной области, а в геми-анатропном – остается прямой. Окончательно тип гемитропных семязачатков устанавливается перед оплодотворением. Становление кампилотропии является самым продолжительным. Оно начинается во время мегаспорогенеза и завершается в период развития семени. Все приведенные факты позволяют характеризовать семязачаток, формирующийся в лизикарпном гинецее видов Lysimachia , как геми-кампилотропный. Как мы уже указывали, в сем. Primulaceae s. l. приводятся сведения о наличии анатропных, гемитропных, кампилотропных, промежуточного строения между гемитропными и кампилотропными типами. Можно предположить, что характеристика типов семязачатка была дана не перед опылением, а во время его формирования, а в ряде случаев изображение не в медианной плоскости принималось за какой-то тип семязачатка без учета места его прикрепления и положения микропиле относительно плаценты (рис. 11, 1 – 4 ). По нашему мнению, большинству видов сем. Primulaceae s. l. присущи кампилотропные семязачатки. Следует отметить, что в лизикарпном гинецее других видов отмечен подобный морфологический тип семязачатка – семейства Polycnemaceae (ана-кампилотропные, Veselova, Timonin, 2009) и Lentibulariaceae (геми-кампилотропные, Pushkareva et al., 2018).
Рис . 11. Морфологический тип семязачатка у Lysimachia vulgaris ( продольные срезы ) .
1–4 – картины срезов геми-кампилотропных семязачатков в зависимости от того, как проходит срез и какой тип они напоминают: 1 – “анатропный” (морфологическая ось не изогнутая, а прямая, отсутствует место прикрепления к плаценте), 2 – “геми-анатропный” (морфологическая ось не изогнутая, а прямая, микропиле не подходит к плаценте) , 3 – “орто-кампилотропный” (морфологическая ось изогнутая, но изгиб халазальной части находится как в ортотропном семязачатке, асимметрия антирафальной области не выражена), 4 – “геми-кампилотропный” (морфологическая ось изогнутая, структуры халазальной части смещены в геми-положение, как в геми-анатропном семязачатке, асимметрия антирафальной области выражена, что проявляется в большей протяженности интегументов и смещении микропиле к плаценте). с h – халаза, f – фуникулус, i i – внутренний интегумент, m – микропиле, o i – наружный интегумент .
Масштабная линейка , мкм : 1, 4 – 20, 2, 3 – 50.
Fig. 11. Morphological type of the ovule in Lysimachia vulgaris (longitudinal sections) .
1–4 – views of sections of hemi-campylotropous ovules, depending on how the section is cut and what type they resemble: 1 – “anatropous” (the mo rphological axis is straight rather than curved, no place of attachment to the placenta is observed), 2 – “hemi-anatropous" (the morphological axis is straight rather than curved, the micropyle does not reach the placenta), 3 – “ortho-campylotropous” (the morphological axis is curved, but the bend of the chalazal part is located like in an orthotropous ovule, the asymmetry of the antiraphal region is not pronounced), 4 – “hemi-campylotropous” (the morphological axis is curved, the structures of the chalazal part are shifted to the hemi-position, like in the hemi-anatropous ovule, the asymmetry of the antiraphal region is pronounced, which is manifested in the greater extent of the integuments and the the micropyle shift towards the placenta). с h – chalaza, f – funiculus, i i – inner integument, m – micropyle, o i – outer integument.
Scalr bars, µ m : 1, 4 – 20, 2, 3 – 50.
БЛАГОДАРНОСТИ
Работа выполнена в рамках государственного задания Ботанического института им. В.Л. Комарова РАН по темам № 1021071912890-3-1.6.11 “Структурно-функциональные и молекулярно-генетические основы развития и адаптации высших растений”, № 1021071912896-7-1.6.11. “Поливариантность морфогенетических программ развития репродуктивных структур растений, регуляция морфопроцессов in vivo и in vitro ”, 2024–2028 гг. (сбор, обработка материала и обсуждение результатов) и “Адаптивные реакции биологических систем на специфические и неспецифические воздействия факторов внешней среды” (РГПУ им. А . И . Герцена – описание результатов исследования ).
Об авторах
И. И. Шамров
Российский государственный педагогический университет им. А. И. Герцена; Ботанический институт им. В. Л. Комарова РАН
Автор, ответственный за переписку.
Email: shamrov52@mail.ru
Россия, Наб. р. Мойки, 48, Санкт-Петербург, 191186; ул. Проф. Попова, 2, Санкт-Петербург, 197022
Г. М. Анисимова
Ботанический институт им. В. Л. Комарова РАН
Email: galina0353@mail.ru
Россия, ул. Проф. Попова, 2, Санкт-Петербург, 197022
Е. А. Рущина
Российский государственный педагогический университет им. А. И. Герцена
Email: elenaroza74@yandex.ru
Россия, Наб. р. Мойки, 48, Санкт-Петербург, 191186
Список литературы
- Akhalkatsi M., Gvaladze G., Taralashvili N. 1998. Embryology of Primula algida and Primula amoena ( Primulaceae ). – Bull. Georg. Acad. Sci. 157(1): 98–100.
- An update of the Angiosperm Phylogeny Group classification for the orders and families of flowering plants: APG II. 2003. – Bot. J. Linn. Soc. 141 (4): 399–436. h ttps://doi.org/10.1046/j.1095-8339.2003.t01-1-00158.x
- An update of the Angiosperm Phylogeny Group classification for the orders and families of flowering plants: APG III. 2009. – Bot. J. Linn. Soc . 161 (2 ): 105 – 121 . h ttps://doi.org/ 10.1111/j.1095-8339.2009.00996.x
- An update of the Angiosperm Phylogeny Group classification for the orders and families of flowering plants: APG IV. 2016. – Bot. J. Linn. Soc . 181(1 ): 1 – 20 . h ttps://doi.org/ 10.1111/boj.12385 . ..121
- Anderberg A.A., Kelso S. 1996. Phylogenetic implications of endosperm cell wall morphology in Douglasia , Androsace and Vitaliana (Primulaceae). – Nord. J. Bot. 16(5): 481–486.
- Anderberg A.A., Manns U., Källersjö M. 2007. Phylogeny and floral evolution of the Lysimachieae (Ericales, Myrsinaceae): evidence from ndhF sequence data. – Willdenowia 37: 407–421. h ttps://doi.org/10.3372/wi.37.37202
- Bocquet G. 1959. The struct ure of the placental column in the genus Melandrium (Caryophyllaceae). – Phytomorphology. 9(3): 217–221.
- Campbell C.S., Famous N.C., Zuck M.G. 1986. Pollination biology of Primula laurentiana (Primulaceae) in Maine. – Rhodora. 88: 253–262.
- Carey G., Fraser L. 1932. The embryology and seedling development of Aegiceras majus Gaertn. – Proc. Linn. Soc. N S. 57 (5/6): 341–360.
- Chen F.H. 1940. A study of the seeds of genus Primula with references to the criteria of sections. – Bull. Fan. Mem. Inst. Biol. Ser. Bot. 10 (2): 69–82.
- Chen F.-H., Hu C.-M. 1979. Taxonomic and phytogeographic studies on Chinese species of Lysimachia . – Acta Phytotax. Sin. 17(4): 21–53.
- Christenhusz M.J.M. , Fay M.F. , Chase M.W. 2017. “ Primulaceae ” . – In: Plants of the world: An illustrated encyclopedia of vascular plants . Chicago. 494 p.
- Corbineau F., Neveur N., Come D. 1989. Seed germination and seedling development in Cyclamen persicum. – Ann. Bot. 63(1): 87 – 96. h ttps://doi.org/10.1093/oxfordjournals.aob.a087732
- Cronquist A. 1981. An integrated system of classification of flowering plants. New York. 1262 p.
- D’Arcy W.G. 1980. Theophrastaceae. – Ann. Missouri Bot. Gard. 67 (4): 1047 – 1055.
- Dahlgren K.V.O. 1916. Zytologische und embryologische Studien über die Reihen Primulales und Plumbaginales. – Kongl. Sven. Vet. Akad. Handl. 56(4): 1 – 80.
- Dawson M.L. 1936. The floral morphology of the Polemoniaceae. – Amer. J. Bot. 23(7): 501 – 511.
- Degtjareva G.V., Sokoloff D.D. 2012. Inflorescence morphology and flower development in Pinguicula alpina and P. vulgaris (Lentibulariaceae: Lamiales): monosym metric flowers are always lateral and occurrence of early sympetaly. – Org. Divers. Evol. 12(2): 99–111. h ttps://doi.org/10.1007/s13127-012-0074-6
- De Vos J.M., Hughes C.E., Schneeweiss G.M., Moore B.R., Conti E. 2014. Heterostyly accelerates diversification via reduced extinction in primroses. – Proc. Biol. Sci. 281(1784): 20140075. h ttps://doi.org/10.1098/rspb.2014.0075
- Dickson A. 1869. On the development of the flower of Pinguicula vulgaris L. with remarks on the embryos of P. vulgaris , P. grandiflora , P. lusitanica , P. caudata and Utricularia minor . – Transact. Royal Soc. Edinburgh. 25: 639–653.
- Dickson J. 1936. Studies in the floral anatomy. III. An interpretation of the gynaeceum in the Primulaceae . – Amer. J. Bot. 23(6): 385–393.
- Douglas G.E. 1936. Studies in the vascular anatomy of the Primulaceae. – Amer. J. Bot. 23 (3): 199–212.
- Dowrick V.P.J. 1956. Heterostyly and homostyly in Primula obconica . – Heredity. 10: 219 – 236.
- Eames A. 1961. Morphology of angiosperms. New York – Toronto – London. 518 p.
- Eckardt T. 1954. Morphologische und systematische Auswertung der Placentation von Phytolaccaceen. – Ber. Deutsch. Bot. Gesellsch. 67(4): 113 – 128.
- Eckardt T. 1955. Nachweis der Blattbürtigkeit (“Phyllosporie”) grundständiger Samenanlagen bei Centrospermen. – Ber. Deutsch. Bot. Gesellsch. 68(4): 167 – 182.
- Ehrendorfer F. 1978. Spermatophyta, Samenpflanzen – Denffer von D., Ehrendorfer F., Mägdefrau K., Ziegler H. Lehrbuch der Botanik. Jena. S. 698 – 855.
- Eyde R.H. 1967. The peculiar gynoecial vasculature of Cornaceae and its systematic significance. – Phytomorphology. 17(1–4): 172–182.
- [Gagechiladze] Гагечиладзе М.И. 1993. Эмбриология Primula bayernii (Primulaceae). – Бот. журн. 78(5): 93 – 96.
- Goebel K. 1923. Organographie der Pflanzen insbesondere der Archegoniaten und Samenpflanzen. Jena. 3: 1821 – 2078.
- Goebel K. 1933. Organographie der Pflanzen. Jena. 460 S.
- Grisebach A. 1854. Grundriss der systematischen Botanik. Göttingen. 180 S.
- Hao G., Yuan Y.-M., Hu C.-M., Ge X.-J., Zhao N.-X. 2004. Molecular phylogeny of Lysimachia (Myrsinaceae) based on chloroplast trn L–F and nuclear ribosomal ITS sequences. – Mol. Phyl. and Evol. 31(1): 323 – 339. h ttps://doi.org/10.1016/s1055-7903(03)00286-0
- Hartl D. 1956. Die Beziehungen zwischen den Plazenten der Lentibulariaceen und Scrophulariaceen nebst einem Excurs über Spezialisationsrichtungen der Plazentation. – Beitr. Biol. Pflanzen. 32(3): 471 – 490.
- Hu C.M., Kelso S. 1996. Primulaceae. – In: Flora of China. Vol. 15. St. Louis. P. 80–99.
- Hutchinson J. 1959. The families of flowering plants. Ox ford. Vol. 1. 510 p. Vol. 2. P. 511–792.
- Il-Chan Oh, Anderberg A.-L., Schönenberger J., Anderberg A.A. 2008. Comparative seed morphology and character evolution in the genus Lysimachia (Myrsinaceae) and related taxa. – Pl. Syst. Evol. 271: 177–197. h ttps://doi.org/10.1007/s00606-007-0625-z
- [Ivanina] Иванина Л.И. 1967. Семейство геснериевых. Карпологический обзор. Л . 126 с.
- Johansen D.A. 1936. Morphology and embryology of Fouquieria. – Amer. J. Bot. 23(2): 95–99.
- [Kagramanova] Каграманова Ф.В. 1972. Сравнительно-эмбриологическое исследование первоцветов разноцветного и Воронова. – В кн.: Цитоэмбриологическое исследование растений флоры Азербайджана. Баку. С. 82–92.
- Källersjö M., Bergqvist G., Anderberg A.A. 2000. Generic realignment in primuloid families of the Ericales s.l.: a phylogenetic analysis based on DNA sequences from three chloroplast genes and morphology. – Amer. J. Bot. 87: 1325–1341.
- [Kamelina] Камелина О.П. 2009. Систематическая эмбриология цветковых растений. Двудольные. Барнаул. 501 c.
- Кamienski F. 1877. Vergleichende Untersuchungen über die Entwicklungsgeschichte der Utricularien. – Bot. Zeitung. 35(48): 761–776.
- [Karpisonova et al.] Карписонова Р.А., Бочкова И.Ю., Васильева И.В. и др. 2011. Культурная флора травянистых декоративных многолетников средней полосы России: Атлас. М. 432 c.
- Karsten C. 1891. Ṻ ber die Mangrove-Vegetation im Malayischen Archipel. Eine morphologisch-biologische Studien. – Bibl. Bot. 22: 18–20.
- Khan R. 1954. A contribution to the embryology of Utricularia flexuosa Vahl. – Phytomorphology. 4(½): 80 – 117.
- Kimura M. 1980. A simple method of estimating evolutionary rate of base substitutions through comparative studies of nucleotide sequences. – J. Mol. Evol. 16: 111–120.
- Kume N. 1959. Morphologisch-physiologische Untersuchungen über die Entwicklung von Ardisia . Contrib. Biol. Labor. Kyoto Univ. 8: 1–37.
- Larson B.M.H., Barrett S.C.H. 1998. Reproductive biology of island and mainland populations of Primula mistassinica (Primulaceae) on lake Huron shorelines. – Can. J. Bot. 76 (11): 1819–1827.
- Leinfellner W. 1951. Die U-formige Plazenta als der Plazentationstypus der Angiospermen. – Österr. Bot. Zeitschr. 98(3): 338– 358.
- Leinfellner W. 1953 . Die basiläre Plazenta von Plumbago capensis . – Österr. Bot. Zeitschr. 100( 3): 426 – 429.
- Lister G. 1884. On the origin of the placentas in the tribe Alsineae of the order Caryophylleae. – J. Linn. Soc. Bot. 20(130): 423 – 429.
- Liu T.J., Zhang S.Y., Wei L., Yan H.-F., Hao G., Ge X.-J. 2023. Plastome evolution and phylogenomic insights into the evolution of Lysimachia (Primulaceae: Myrsinoideae). – BMC Plant Biol. 23, article 359. h ttps://doi.org/10.1186/s12870-023-04363-z
- Luetzelburg P. 1910. Beiträge zur Kenntnis der Utricularien. – Flora. 145: 145 – 212.
- Mabberley D.J. 2009. Mabberley’s plant-book: a portable dictionary of plants, their classification and uses. Cambridge. 920 p.
- Maheshwari P. 1950. An introduction to the embryology of angiosperms. New York. 453 p.
- [ Mametyeva ] Маметьева Т.Б. 1983 a . Семейство Myrsinaceae . – В кн.: Сравнительная эмбриология цветковых растений. Phytolaccaceae – Thymelaeaceae . Л.С. 236 – 239.
- [ Mametyeva ] Маметьева Т.Б. 1983 b . Семейство Theophrastaceae . – В кн.: Сравнительная эмбриология цветковых растений. Phytolaccaceae – Thymelaeaceae . Л.С. 239 – 241.
- [ Mametyeva ] Маметьева Т.Б. 1983 c . Семейство Primulaceae . – В кн.: Сравнительная эмбриология цветковых растений. Phytolaccaceae–Thymelaeaceae. Л .С . 241–243.
- Martins L., Oberprieler C., Hellwig F.H. 2003. A phylogenetic analysis of Primulaceae s.l. based on internal transcribed spacer (ITS) DNA sequence data. – Plant Syst. Evol. 237(3): 75–85. h ttps://doi.org/10.1007/s00606-002-0258-1
- Mast A.R., Kelso S., Richards A.J., Lang D.J., Feller D.M.S., Conti E. 2001. Phylogenetic relationships in Primula L. and related genera (Primulaceae) based on noncoding chloroplast DNA. – Int. J. Plant Sci. 162(6): 1381–1400.
- Mauritzon J. 1936. Embryologische Angaben über Theophrastaceen. – Ark. Bot. 2 (1): 1–4.
- Mez C. 1902. Myrsinaceae. – In: Engler A. Das Pflanzenreich. Berlin. 9: 1–437.
- Mez C. 1903. Theophrastaceae. – In: Engler A. Das Pflanzenreich. Berlin. 15: 1–48.
- Morozowska M., Czarna A., Kujawa M., Jagodzinski A.M. 2011. Seed morphology and endosperm structure of selected species of Primulaceae, Myrsinaceae, and Theophrastaceae and their systematic importance. – Plant Syst. Evol. 291: 159–172. h ttps://doi.org/10.1007/s00606-010-0374-2
- Morozowska M., Freitas M.F., De Luna B.N., De Toni K.L.G. 2020. Comparative micromorphology and anatomy of seeds and endocarps of selected Primulaceae and their systematic implications. – Plant Syst. Evol. 306: article 74: 1–19. h ttps://doi.org/10.1007/s00606-020-01699-z
- Nasir Y.J. 1986. Seed studies in the Primula species (Primulaceae) found in Pakistan. – Wildenowia. 15(2): 475–483.
- [Nemirovich-Danchenko] Немирович - Данченко Е . Н . 1992a. Семейство Theophrastaceae . – В кн.: Сравнительная анатомия семян. Т. 4. Двудольные . Dilleniidae. СПб . С . 54–57.
- [Nemirovich-Danchenko] Немирович - Данченко Е . Н . 1992b. Семейство Myrsinaceae. – В кн .: Сравнительная анатомия семян . Т . 4. Двудольные . Dilleniidae. СПб . С . 58–65.
- [Nemirovich-Danchenko] Немирович - Данченко Е . Н . 1992c. Семейство Primulaceae. – В кн .: Сравнительная анатомия семян . Т. 4. Двудольные. Dilleniidae . СПб. С. 65–70.
- [ Nemirovich - Danchenko ] Немирович-Данченко Е.Н. 1992 d . Семейство Aegicerataceae . – В кн.: Сравнительная анатомия семян. Т. 4. Двудольные. Dilleniidae . СПб . С . 71–77.
- Otegui M., Maldonado S. 1998. Embryological features and bacterial transmission to gynoecium and ovule in Myrsine laetevirens (Myrsinaceae). – Acta Hot. Neerl. 47(2): 185–194.
- Otegui M., Lima C., Maldonado S., de Lederkremer R.M. 1999. Development of the endosperm of Myrsine laetevirens (Myrsinaceae). I. Cellularization and deposition of cell‐wall storage carbohydrates. – Int. J. Plant Sci. 160(3): 491–500.
- Pankow H. 1959. Histogenetische Untersuchungen an der Plazenta der Primulaceen. – Ber. Deutsch. Bot. Gesellsch. 72(3): 111 –122.
- [Pausheva] Паушева З.П. 1974. Практикум по цитологии растений. М. 288 с.
- [ Pushkareva et al .] Пушкарева Л.А., Виноградова Г.Ю., Титова Г.Е. 2018. Репродуктивная биология Pinguicula vulgaris (Lentibulariaceae) в Ленинградской области. – Бот. журн. 103(12): 1501–1513.
- Raju M.V.S. 1953. Embryology of Anagallis pumila . – Proc. Indian Acad. Sci. B. 36: 34– 42.
- Roth I. 1959. Histogenese und morphologische Deutung der Plazenta von Primula . – Flora. 148(2): 129–152.
- Sankara Rao K. 1971. Studies in Myrsinaceae. I. A contribution to the embryology of Maesa dubia Wall. – Proc. Ind. Acad. Sci. Ser. B. 75 (4): 160–166.
- [ Savchenko] Савченко М.И. 1973. Морфология семяпочки покрытосеменных растений. Л. 190 с.
- Schlagorsky M . 1949. Das Bauprinzip des Primulaceengynözeums bei der Gattung Cyclamen. – Österr. Bot. Zeitschr. 96(3): 361 –368.
- Schnarf K. 1931. Vergleichende Embryologie der Angiospermen. Berlin. 354 S.
- [ Shamrov ] Шамров И.И. 2008. Семязачаток цветковых растений: строение, функции, происхождение. М. 356 с.
- [ Shamrov ] Шамров И.И. 2013. Еще раз о типах гинецея покрытосеменных растений. – Бот. журн. 98(5): 568 – 595.
- Shamrov I.I. 2018. Diversity and typification of ovules in flowering plants. – Wulfenia. 25: 81–109.
- Shamrov I.I. 2020. Structure and development of coenocarpous gynoecium in angiosperms. – Wulfenia. 27: 145–182.
- Shamrov I.I. 2022. Structural differentiation of the ovule and seed and its importance for reproduction in angiosperms. – Wulfenia. 29: 61–93.
- [Shamrov, Anisimova] Шамров И . И ., Анисимова Г . М . 1993. Морфогенез семяпочки Luzula pedemontana (Juncaceae): структурно-гистологическое исследование. – Бот. журн. 78(4): 47–59.
- [Shamrov et al. ] Шамров И.И., Анисимова Г.М., Котельникова Н.С. 2012. Сравнительный анализ морфогенеза гинецея у Juncus filiformis и Luzula pedemontana ( Juncaceae ). – Бот. журн. 97(8): 985 – 1009.
- [Shamrov, Kotelnikova] Шамров И.И., Котельникова Н.С. 2011. Особенности формирования гинецея у Coccyganthe flos - cuculi ( Caryophyllaceae ). – Бот. журн. 96(7): 826–850.
- Ståhl B., Anderberg A.A. 2004. Maesaceae, Myrsinaceae. – In: Kubitzki K., ed. The families and genera of vascular plants. VI. Flowering plants. Dicotyledons. Celastrales, Oxalidales, Rosales, Cornales, Ericales. Berlin: Springer. P. 255–257, 266–281.
- Subramanyam K., Narayana L.L. 1968. Floral anatomy and embryology of Primula floribunda Wall. – Phytomorphology. 18 (1): 105–113.
- [Takhtajan] Тахтаджян А . Л . 1942. Структурные типы гинецея и плацентация семезачатков. – Изв. Арм. филиала АН СССР.Т. 3–4 (17–18). С . 91–112.
- [Takhtajan] Тахтаджян А . Л . 1948. Морфологическая эволюция покрытосеменных . М . 301 с .
- [Takhtajan] Тахтаджян А . Л . 1964. Основы эволюционной морфологии покрытосеменных. М.; Л. 236 с.
- [ Takhtajan ]Тахтаджян А.Л. 1966. Система и филогения цветковых растений. Л . 611 с .
- Takhtajan A.L. 1980. Outline of the classification of flowering plants (Magnoliophyta). – Bot. Rev. 46(3): 225–359.
- Takhtajan A. 1997. Diversity and classification of flowering plants. New York. 643 p.
- Takhtajan A. 2009. Flowering plants. Springer. 871 p.
- Thomson B.F. 1942. The floral morphology of the Caryophyllaceae. – Amer. J. Bot. 29(4): 333–349.
- Troll W. 1928. Zur Auffassung des parakarpen Gynaeceums und des coenokarpen Gynaeceums überhaupt. – Planta. 6(2): 255–276.
- Troll W. 1957. Praktische Einführung in die Pflanzenmorphologie. Jena. 420 S.
- [ Trusov ] Трусов Н.А . 2010. Морфолого-анатомическое строение плодов представителей семейства С elastraceae R . Br . в связи с их масличностью: Автореф. … канд. биол. наук. М. 20 с.
- Valentine D. H. 1961. Evolution in the genus Primula . – In: A Darwin centenary. Ed. By Wanstall P.J. Arbroath. P. 71–87.
- Van Tieghem P. 1868. Recherches sur la structure du pistil et sur l’anatomie comparée de la fleur. Paris. 261 p.
- [ Veselova ] Веселова Т.Д. 1991. О морфологической природе обтуратора у гвоздичных. – Биол. Науки. 2 : 93 – 103.
- [Veselova, Timonin] Веселова Т.Д., Тимонин А.К. 2008. Развитие женской генеративной сферы Pleuropetalum darwinii Hook. F. (Caryophyllidae). – Бюл. МОИП. Отд. биол. 113(4): 33–39.
- Veselova T.D., Timonin A.C. 2009. Pleuropetalum Hook.f. is still an anomalous member of Amaranthaceae Juss. An embryological evidence. – Wulfenia. 16: 99–116.
- Wendelbo P. 1961. Studies in Primulaceae III. On the genera related to Primula with special reference to their pollen morphology. – Arb. Univ. Bergen Mat. Nat. 19: 1–31.
- Woodcock E.F. 1933. Seed studies in Cyclamen persicum Mill. – Pap. Michigan Acad. Sci., Arts and Letters. 17: 135–147.
- Woodel S.R.I. 1960. Studies in british primulas. VII. Development of normal seed and hybrid seed from reciprocal crosses between P. vulgaris Huds. and P. veris L. – New Phytol. 59(3): 302–313.
- Yankova-Tsvetkova E., Yurukova-Grancharova P., Avena I., Zhelev P. 2021. On the reproductive potential in Primula veris L. (Primulaceae): embryological features, pollen and seed viability, genetic diversity. – Plants. 10(11), article 2296: 1–16. https://doi.org/ 10.3390/plants10112296
Дополнительные файлы













