Нервные структуры органов средостения новорождённой крысы
- Авторы: Чумасов Е.И.1,2, Петрова Е.С.1
-
Учреждения:
- Институт экспериментальной медицины
- Санкт-Петербургский государственный университет ветеринарной медицины
- Выпуск: Том 161, № 4 (2023)
- Страницы: 23-32
- Раздел: Оригинальные исследования
- URL: https://journals.rcsi.science/1026-3543/article/view/264233
- DOI: https://doi.org/10.17816/morph.629184
- ID: 264233
Цитировать
Аннотация
Обоснование. Недостаточно изучена иннервация органов средостения в период новорождённости, когда происходит переключение процесса кровообращения с плацентарного на лёгочное и начинается становление регуляции дыхания и функционирования органов сердечно-сосудистой системы.
Цель исследования — сравнительное иммуногистохимическое исследование особенностей иннервации органов средостения новорождённой крысы.
Материалы и методы. Работа выполнена с применением иммуногистохимических методов выявления нейрональных маркёров: белка PGP 9.5, тирозингидроксилазы и синаптофизина. Первичные антитела наносились на срезы средостения после их депарафинирования.
Результаты. Анализ фронтальных срезов через сердечно-лёгочный комплекс крыс в возрасте 1 сут постнатального развития показал, что в дорсальном и среднем отделах средостения компактно расположены бронхи, пищевод, магистральные сосуды (аорта, лёгочный ствол и лёгочные артерии), вены, жировая ткань, лимфатические узлы и собственно сердце. В интерстиции между органами с помощью нейрональных маркёров выявлены тесно прилежащие к ним ганглии, микроганглии, нервные стволики и сплетения парасимпатических и симпатических нервных волокон. В дорсальном и среднем отделах средостения впервые с помощью иммуногистохимических методов выявлены синаптические структуры в ганглиях, в стенке пищевода и бронхов, вокруг мелких артерий и артериол. Установлена высокая концентрация синаптических структур в синусно-предсердном узле сердца крысы.
Заключение. У новорождённых крыс в средостении наиболее иннервируемыми оказываются стенки пищевода, трахеи и главных бронхов. В миокарде желудочков сердца и в лёгких нервные аппараты, как правило, встречаются редко или отсутствуют. Описана высокая концентрация синаптических структур в проводящей системе сердца.
Ключевые слова
Полный текст
ОБОСНОВАНИЕ
В ранее выполненных исследованиях в околосердечной области с помощью нейрогистологических, гистохимических методов и электронной микроскопии описано большое многообразие нервных структур: ганглиев, параганглиев, нервных сплетений, миелинизированных и немиелинизированных нервных проводников [1–4]. Показано, что в иннервации тканей и органов дорсального и среднего отделов средостения (СРДС) животных и человека принимают участие нервные волокна из различных отделов периферической нервной системы, в том числе симпатического и парасимпатических звеньев автономной нервной системы [5]. В последние десятилетия, кроме классических светооптических нейрогистологических методов и электронной микроскопии, широко используются иммуногистохимические (ИГХ) методы. Они позволяют селективно выявлять нервные аппараты различной медиаторной природы разных отделов сердечно-сосудистой, дыхательной и пищеварительной систем как в норме, так и при патологических состояниях [6–9]. Наибольшее внимание исследователи уделяют иннервации сердца и магистральных кровеносных сосудов человека и экспериментальных животных [6, 7, 10, 11], менее изученной остаётся иннервация других жизненно важных анатомических образований, локализованных в СРДС: бронхов, пищевода, лёгочных и полых вен, жировой ткани. Мало изучены вопросы, связанные с развитием иннервации СРДС у новорождённых, когда происходит переключение процесса кровообращения с плацентарного на лёгочное, а также в первые сутки постнатального развития, когда наблюдается становление регуляции дыхания и функционирования органов сердечно-сосудистой системы. В предыдущих исследованиях на крысах с применением ИГХ-маркёров, позволяющих проводить комплексное исследование нейронов, нервных сплетений, нервных волокон и терминалей парасимпатической и симпатической нервной системы (белок PGP 9.5, тирозингидроксилаза, синаптофизин), мы уделяли внимание главным образом сердцу [9, 11].
Цель настоящей работы — сравнительное иммуногистохимическое исследование особенностей иннервации органов средостения новорождённой крысы.
МАТЕРИАЛЫ И МЕТОДЫ
Проведено экспериментальное одноцентровое одномоментное выборочное неконтролируемое исследование.
Критерии включения: крысы линии Вистар в возрасте 1 сут после рождения.
Объектами исследования служили органы и ткани средостения крыс линии Вистар в возрасте 1 сут (Р1) (n=10). При работе с животными соблюдали международные правила Европейского сообщества по гуманному обращению с экспериментальными животными. Исследование было одобрено Локальным этическим комитетом Института экспериментальной медицины (протокол № 2/22 от 06.04.2022).
Материал фиксировали в растворе цинк-этанол-формальдегида в течение одних суток [12] и после обезвоживания в спиртах возрастающей концентрации и ксилоле заливали в парафин. Парафиновые фронтальные срезы через сердечно-лёгочный комплекс толщиной 5–7 мкм изготавливали на ротационном микротоме Pfm Rotary 3003 (PFM medical, Германия). На срезах после депарафинирования проводили иммуногистохимические реакции на тирозингидроксилазу, белок PGP 9.5, синаптофизин. Тирозингидроксилазу — ферментный маркёр катехоламинергических структур — выявляли с помощью кроличьих поликлональных антител (Abcam, Великобритания); для выявления белка PGP 9.5 использовали поликлональные кроличьи антитела (Spring Bioscience, США); для синаптофизина — поликлональные кроличьи антитела (MONOSAN, Нидерланды). Первичные антитела наносили на гистологические срезы на 24 ч. В качестве вторичных реагентов использовали реактивы из набора UltraVision Quanto Detection System HRP DAB (Thermo Fisher Scientific, США). Часть срезов окрашивали толуидиновым синим, гематоксилином и эозином, а также астровым синим. Анализ гистологических препаратов осуществляли с помощью микроскопа Leica DM750 (Leica Microsystems, Германия) и цифровой камеры Leica ICC50 (Leica Microsystems, Германия).
РЕЗУЛЬТАТЫ
Прежде чем переходить к морфологическому анализу материала, необходимо отметить ряд топографических особенностей, отражающих общую макроскопическую картину СРДС у новорождённых крыс. В пределах гистологического препарата, окрашенного гематоксилином и эозином или толуидиновым синим, при малом увеличении микроскопа (×40) на продольных срезах можно видеть большинство органов средостения (mediastinum), включая сердце. На срезах отчётливо определяются стволы блуждающего и возвратного нервов, главные бронхи, магистральные венозные и артериальные сосуды, фрагменты пищевода, лимфатических узлов, ганглиев. Пространства между органами заполнены фасцикулярно-клеточными элементами рыхлой соединительной ткани, формирующимися дольками жировой ткани и сосудами микроциркуляторного русла (рис. 1).
Рис. 1. Органы средостения новорождённой крысы: Б — бронхи, П — пищевод, М — миокард предсердия, С — створки сердечного клапана, Ла — легочная артерия, Лу — лимфатический узел, Ж — жировая ткань, В — вены, Н — нервные стволы, Г — атриальный ганглий. Иммуногистохимическая реакция на PGP 9.5 (а), на тирозингидроксилазу (b); подкраска гематоксилином (а), толуидиновым синим (b); ×40.
Иммуногистохимический анализ позволил установить важные особенности и закономерности иннервации органов и тканей СРДС. В разных участках фасцикулярной соединительной ткани встречаются ганглии, нервные стволики и пучки нервных волокон, образующие различной плотности сплетения. С помощью ИГХ-реакции на белок PGP 9.5 и тирозингидроксилазу выяснилось, что они имеют различный биохимический статус, холинергическую и/или симпатическую природу (см. рис. 1). Следует отметить, что в области средостения новорождённых крыс встречаются нервные аппараты с морфологическими признаками зрелости, а также незрелые структуры, находящиеся в состоянии роста и развития. Иннервация стенки пищевода, синусно-предсердного узла сердца и ганглия бронхиального сплетения достаточно дифференцирована. На этой стадии развития практически во всех ганглиях наблюдаются нейробласты и молодые нейроны небольших размеров, с узким ободком цитоплазмы, неразвитой хроматофильной субстанцией. В таких ганглиях вокруг нейронов ещё нет зрелых перицеллюлярных синаптических сплетений, но уже имеются отдельные скопления пресинаптических бутонов межнейронных синапсов.
В нервных сплетениях СРДС наряду с крупными ганглиями встречаются микроганглии, островки и группы хромаффинных клеток. Между главными бронхами и лёгочными венами постоянно выявляется несколько крупных ганглиев, достигающих в длину от 150 до 300 мкм. На рис. 2 представлен один из сердечных нервных узлов, тесно прилежащий к задней стенке миокарда между правым и левым предсердиями. Выше над ним видны два главных бронха и профили вен (см. рис. 1).
Рис. 2. Нервные структуры в средостении новорождённой крысы: ↑↑ — дифференцирующися синапсы преганглионарные волокна на TH–/PGP 9.5+ нейронах сердечного парасимпатического ганглия (Г); * TH-иммунонегативные нейроны в симпатическом нервном стволе. Иммуногистохимические реакции на белок PGP 9.5 (а, d), синаптофизин (b) и тирозингидроксилазу (c); ×400. TH — tyrosine hydroxylase (тирозингидроксилаза).
Ганглий имеет удлинённую форму, состоит из нескольких рядов округлых и грушевидного вида дифференцирующихся PGP 9.5+, различного размера нейробластов и молодых нейронов, а также отходящих пучков парасимпатических нервных волокон. В одном случае в симпатическом стволе удалось обнаружить ганглий с тирозингидроксилаза-иммунонегативными нейронами (рис. 2, c). В разных отделах СРДС (в области венозного синуса, между аортой и лёгочным стволом, вокруг главных бронхов, на задней стенке предсердий, вблизи лёгочных вен, между трахеей, пищеводом и лёгочным стволом) встречаются нервные узлы, состоящие исключительно из парасимпатических нервных элементов: нейробластов и молодых нейронов округлой, треугольной, неправильной формы (рис. 2, d). Важно отметить, что на данном сроке развития на нейронах парасимпатических ганглиев с помощью маркёра на синаптофизин уже выявляются формирующиеся синапсы (рис. 2, b).
В средостении крысы Р1 на поперечных срезах через пищевод отчётливо выявляется формирующееся ганглиозное сплетение (рис. 3). Многочисленные пучки PGP 9.5+ нервных волокон наблюдаются и в окружающей пищевод соединительной ткани, на границе с другими органами — бронхами, лёгочными артериями и венами.
Рис. 3. Нервные структуры в стенке пищевода средостения новорождённой крысы: СО — слизистая оболочка, ПО — подслизистая основа, М — мышечная оболочка стенки пищевода; * ганглиозные нервные клетки Ауэрбахова сплетения; ↑↑ — пучки нервных волокон. Иммуногистохимическая реакция на белок PGP 9.5; ×40 (а), ×100 (b), ×400 (c).
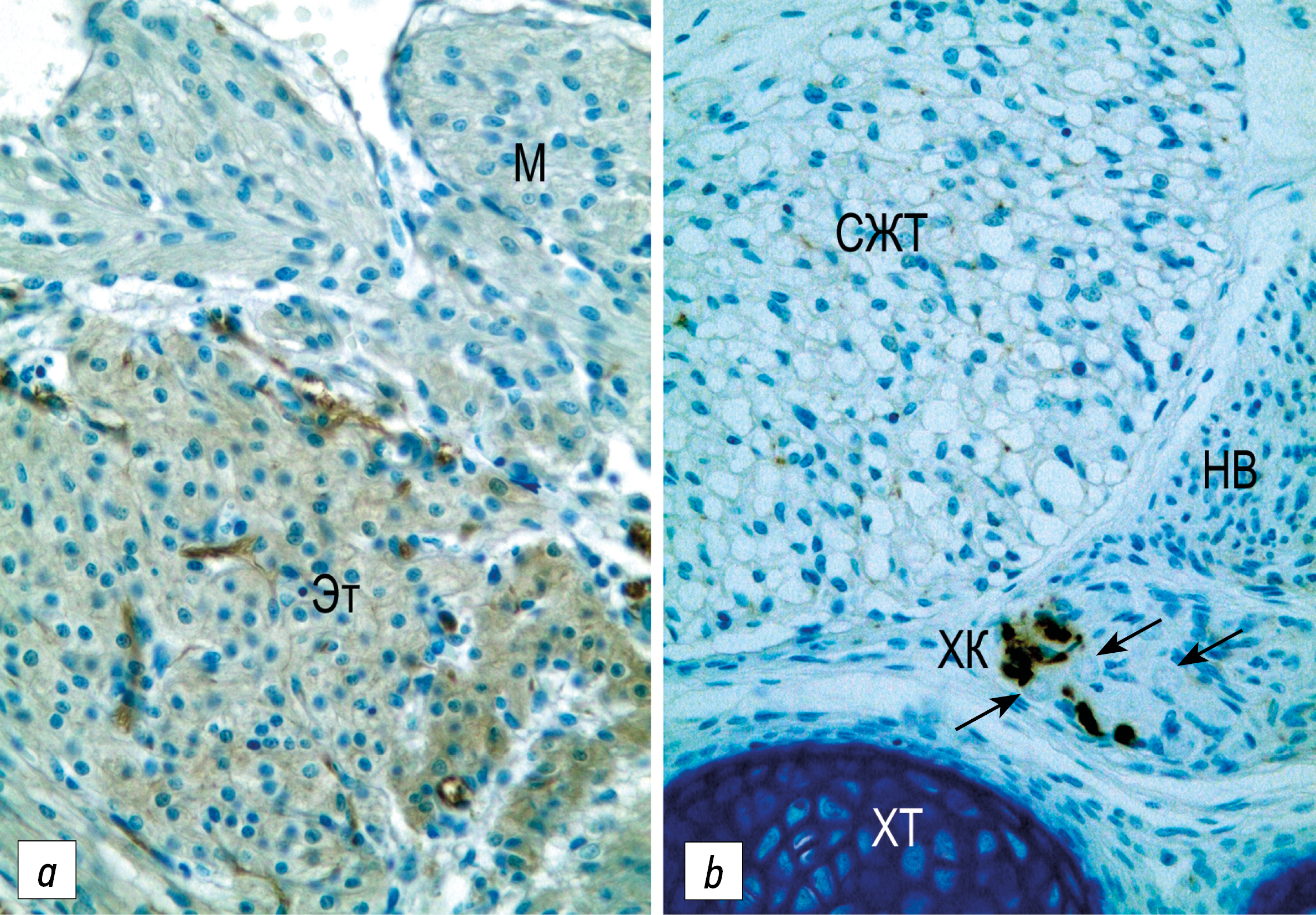
Важно отметить, что в рыхлой соединительной ткани СРДС присутствует также достаточно большое число долек жировой ткани, клеточные элементы которых имеют разную степень дифференцировки и иннервацию. Часть долек представлены округлой формы «эпителиальными тельцами», размеры которых достигают 150–200 мкм в диаметре. Эти дольки содержат преадипоциты (клетки-предшественники презумптивной жировой ткани) и по строению сходны с железистой тканью. Клетки «телец» имеют гиперхромное ядро и большой объём цитоплазмы. Другая часть долек построена из смешанной жировой ткани: бурой и белой. Присутствуют также дольки, состоящие из дифференцированных, преимущественно белых, адипоцитов (рис. 4). В паренхиме долек видны пучки нервных волокон и разветвления терминальных аксонов.
Рис. 4. Фрагменты жировой ткани средостения новорождённой крысы, отражающие разные стадии её функционального состояния и развития: а — эпителиальное тельце; b — долька смешанной жировой ткани, состоящая из бурых и белых адипоцитов. М — миокард предсердия, Эт — эпителиальное тельце, ХК — хромаффинные клетки, ↑↑ — ТН-иммунонегативные парасимпатические нейроны, НВ — нервные волокна вагусного нерва; СЖТ — долька смешанной жировой ткани, ХТ — хрящевая ткань. Иммуногистохимическая реакция на белок PGP 9.5 (а) и тирозингидроксилазу (b); подкраска толуидиновым синим; ×100.
В сердце новорождённой крысы отмечена богатая иннервация в области пучков проводящих мышечных волокон, располагающихся между краниальной полой веной и основанием ушка правого предсердия. С помощью ИГХ-реакции на белок PGP 9.5 и синаптофизин показано, что в этой области наблюдается множество нервных терминалей. Применение ИГХ-реакции на тирозингидроксилазу позволило установить, что мéньшая их часть — симпатические. Терминальная сеть, иннервирующая проводящую систему сердца, прослеживается на некотором расстоянии до разветвлений на отдельные пучки.
У новорождённой крысы уже формируется терминальное нервное сплетение. Терминальные синаптические сети, состоящие из варикозных аксонов, в небольшом числе встречаются в адвентиции главных бронхов, вокруг мелких артерий, в тельцах и дольках бурой и белой жировой ткани. В стенке пищевода, кроме ганглиозного сплетения Ауэрбаха, выявляются также фрагменты пучков терминальной сети варикозных аксонов во всех оболочках, что свидетельствует о раннем функциональном развитии иннервации этого отдела желудочно-кишечного тракта. Отдельные иммунореактивные аксоны терминальной сети отмечены в эти сроки также в миокарде ушек предсердий, в незначительной степени — в основании клапанного аппарата и в верхней части межпредсердной перегородки.
ОБСУЖДЕНИЕ
Как отмечалось ранее, морфология органов средостения, относящихся к кровеносной, дыхательной, пищеварительной и иммунной системам (пищевод, магистральные сосуды, трахея, бронхи, сердце, жировая ткань и др.), изучена в онтогенезе недостаточно. Анатомо-топографическая локализация этих органов описана в известных атласах и руководствах. Большинство исследований органов грудной полости животных и человека выполнены физиологическими и клинико-инструментальными методами [13–21]. С помощью этих методов у взрослых организмов в области грудной клетки выявлена рефлекторная активность и высказано предположение о существовании тесных функциональных взаимосвязей между различными органами дыхательной и пищеварительной, сердечно-сосудистой и дыхательной, нервной и иммунной систем. Заслуживают большого внимания данные, полученные при анализе биопсийного материала, взятого из СРДС. Авторами работ [13–17] идентифицированы и описаны различного типа опухоли, развивающиеся в СРДС (невриномы, лимфобластомы, шванномы, фибробластомы и др.). С помощью электрофизиологических методов в этой зоне установлено наличие рефлексогенных зон, сходных с синокаротидной зоной.
В литературе имеются и морфологические сведения, в частности о барорецепторной рефлексогенной зоне в дуге аорты [22, 23]. Недавно опубликованы топографо-анатомические и морфометрические данные о пищеводе у плодов человека 16–22 нед развития [24].
В настоящей работе мы провели обзорное макроскопическое и микроскопическое исследование органов СРДС новорождённых крыс с помощью ИГХ-методов и оценили состояние нервных структур на этом этапе развития организма. Оригинальность методологического подхода заключалась в том, что на поперечных гистологических срезах через СРДС благодаря применению малого увеличения микроскопа (×40) можно было изучать в одном поле зрения на одном срезе одновременно несколько органов: трахею, нервы, главные бронхи, сердце, пищевод и др. В результате установлены тесные взаимоотношения перечисленных органных структур с ветвями, главным образом парасимпатических нервных волокон вагусного и возвратного нервов, в меньшей степени — симпатического ствола.
Анализ материала на микроскопическом уровне проведён с помощью нейральных маркёров (белка PGP 9.5, тирозингидроксилазы, синаптофизина) [10, 11]. Выявлены тонкие нейро-тканевые взаимоотношения, отражающие развитие иннервации на уровне синаптогенеза и формирования помимо широкопетлистых нервных сплетений терминальных синаптических сетей [3]. Впервые с помощью ИГХ-маркёров установлены особенности неравномерности развития процессов иннервации органов грудной клетки. Оказалось, что наиболее выражена она в стенке пищевода. В синусном узле правого предсердия обнаружена высокая плотность терминальной синаптической сети. Присутствие терминальных синаптических структур мы наблюдали в стенках бронхов, следующих в направлении к долевым сегментам лёгких, а также в дольках жировой ткани. Вместе с тем следует отметить, что слабоиннервированными остаются ткани левого предсердия и желудочков сердца.
Вопрос о том, почему в ранний срок постнатального развития среди органов СРДС наиболее выраженная иннервация проявляется в стенке пищевода и в области венозного синуса, точнее синусного узла, располагающегося в области проводящих кардиомиоцитов правого предсердия, требует пояснения. На наш взгляд, это связано с ранним развитием данных структур в фило- и онтогенезе. Известно, что процесс рекапитуляции берёт начало от низших хордовых бесчерепных животных. У ланцетника с замкнутой системой кровообращения уже имеются такие отделы, как кювьеровы протоки и венозный синус, сквозная кишечная трубка с тремя отделами и брюшная нервная цепочка. Отдел нервной системы, регулирующий работу желудочно-кишечного тракта, в настоящее время называется энтеральной нервной системой (ЭНС) (или метасимпатической — по А. Д. Ноздрачёву и Е. И. Чумасову [3]). Некоторые исследователи сравнивают ЭНС с ЦНС по большому количеству формирующих её нервных клеток и называют «вторым мозгом» [25]. Другие считают, что ЭНС можно считать «первым (а не вторым) мозгом» [26], поскольку в филогенезе структуры ЭНС появляются раньше нервной трубки. Предполагается также, что «первый мозг» перешёл к позвоночным животным в филогенезе от кольчатых червей — первых целомических животных, нервная система которых представлена брюшной нервной цепочкой.
Что касается синусного узла, он также развивается в филогенезе достаточно рано. Синусный узел появляется в эволюции, когда возникает замкнутый тип кровеносной системы, и описан уже у кольчатых червей. Очевидно, что иннервация этой области также появляется раньше, чем в других областях сердца.
Кроме описанных двух областей органов СРДС, в настоящей работе отмечены выраженные нервные структуры в жировой ткани бронхиальной области и в адвентиции крупных бронхов и стенок их ветвей. Установленная иннервация развивающейся жировой ткани у новорождённых крыс дополняет данные нашего предыдущего исследования [27] и показывает, что с первых суток развития нервная система регулирует функционирование развивающихся адипоцитов. В остальных тканях и органах у новорождённых крыс, как уже отмечалось, морфологические признаки иннервации очень слабо выражены. В миокарде желудочков сердца и в долевых отделах лёгкого, в стенках аорты и лёгочного ствола эти признаки также представлены весьма слабо. Последовательное развитие нервных структур данных органов будет исследовано нами в дальнейшей работе.
ЗАКЛЮЧЕНИЕ
Сравнительное изучение особенностей иннервации органов средостения крыс в ранний постнатальный период развития с помощью применения иммуногистохимических методов исследования показало, что наиболее иннервируемыми оказываются стенка пищевода и область венозного синуса сердца. Предположительно это объясняется наиболее ранним становлением данных областей в фило- и онтогенезе. Впервые в нашей работе с помощью иммуногистохимических методов представлены данные о ранней стадии формирования синаптических структур с тканями различных органов средостения.
ДОПОЛНИТЕЛЬНАЯ ИНФОРМАЦИЯ
Источник финансирования. Исследование выполнено в рамках государственного задания Федерального государственного бюджетного научного учреждения «Институт экспериментальной медицины», документ № 122020300199-5.
Конфликт интересов. Авторы декларируют отсутствие явных и потенциальных конфликтов интересов, связанных с публикацией настоящей статьи.
Вклад авторов. Все авторы подтверждают соответствие своего авторства международным критериям ICMJE (все авторы внесли существенный вклад в разработку концепции, проведение исследования и подготовку статьи, прочли и одобрили финальную версию перед публикацией). Наибольший вклад распределён следующим образом: Е. И. Чумасов — идея исследования, написание текста и редактирование статьи; Е. С. Петрова — проведение иммуногистохимических реакций, подготовка и написание текста статьи.
Об авторах
Евгений Иванович Чумасов
Институт экспериментальной медицины; Санкт-Петербургский государственный университет ветеринарной медицины
Автор, ответственный за переписку.
Email: ua1ct@mail.ru
ORCID iD: 0000-0003-4859-6766
SPIN-код: 2569-9148
д-р биол. наук, профессор
Россия, Санкт-Петербург; Санкт-ПетербургЕлена Сергеевна Петрова
Институт экспериментальной медицины
Email: iemmorphol@yandex.ru
ORCID iD: 0000-0003-0972-8658
SPIN-код: 3973-1421
канд. биол. наук
Россия, Санкт-ПетербургСписок литературы
- Швалев В.Н., Сосунов А. А., Гуски Г. Морфологические основы иннервации сердца. Москва: Наука, 1992.
- Чумасов Е.И. К вопросу о кровоснабжении и иннервации аортально-пульмональных или околосердечных хромаффинных параганглиев кошки // Архив анатомии, гистологии и эмбриологии. 1971. Т. 61, № 7. С. 92–99. EDN: YOXGQL
- Ноздрачев А.Д., Чумасов Е. И. Периферическая нервная система. Санкт-Петербург: Наука, 1999. 281 с. EDN: VZLWTL
- Bőck P. The Paraganglia. Berlin etc.: Springer, 1982. doi: 10.1007/978-3-642-68208-7
- Ноздрачев А. Д. Физиология вегетативной нервной системы. Минск: Медицина, 1983.
- Дуданов И.П., Пигаревский П. В., Коржевский Д. Э., и др. Атеросклероз, сахарный диабет и автономная иннервация органов сердечно-сосудистой системы // Медицинский академический журнал. 2012. Т. 12, № 2. С. 19–27. EDN: QBXHSJ
- Швалев В.Н., Реутов В. П., Рогоза А. Н., и др. Развитие современных представлений о нейрогенной природе кардиологических заболеваний // Тихоокеанский медицинский журнал. 2014. № 1. С. 10–14. EDN: SNMJAR
- Коржевский Д.Э., Кирик О. В., Петрова Е. С., и др. Теоретические основы и практическое применение методов иммуногистохимии (руководство). 2-е издание. 118 с. Санкт Петербург: СпецЛит, 2014. EDN: SINOMT
- Чумасов Е.И., Колос Е. А., Петрова Е. С., Коржевский Д. Э. Иммуногистохимия периферической нервной системы. Санкт Петербург: СпецЛит, 2020. 111 с. EDN: FUSCZP
- Нагорнев В.А., Чумасов Е. И., Коржевский Д. Э., и др. Современные подходы к изучению нервных аппаратов артерий при атеросклерозе и сахарном диабете // Медицинский академический журнал. 2010. Т. 10, № 3. С. 19–27. EDN: TIQRGX
- Чумасов Е.И., Алексеенко А. Л., Петрова Е. С., Коржевский Д. Э. Исследование нервных аппаратов сердца крыс различного возраста с помощью иммуногистохимических маркеров // Международный вестник ветеринарии. 2017. № 1. С. 41–46. EDN: YIPFWZ
- Григорьев И.П., Коржевский Д. Э. Современные технологии фиксации биологического материала, применяемые при проведении иммуногистохимических исследований (обзор) // Современные технологии в медицине. 2018. Т. 10, № 2. С. 156–165. EDN: XRVMWL doi: 10.17691/stm2018.10.2.19
- Suster S., Moran C. A., Dominguez-Malagon H., Quevedo-Blanco P. Germ cell tumors of the mediastinum and testis: a comparative immunohistochemical study of 120 cases // Hum Pathol. 1998. Vol. 29, N 7. P. 737–742. doi: 10.1016/s0046-8177(98)90284-2
- Nasit J.G., Patel M., Parikh B., et al. Anterior mediastinal masses: a study of 50 cases by fine needle aspiration cytology and core needle biopsy as a diagnostic procedure // South Asian J Cancer. 2013. Vol. 2, N 1. P. 7–13. doi: 10.4103/2278-330X.105872
- Mondal P., Nag D., Samaddar A., et al. Clinicopathological spectrum of anterior mediastinal lesions with special reference to the role of cytology in diagnosis: a cross-sectional study // Natl J Physiol Pharm Pharmacol. 2022. Vol. 12, N 6. P. 880–885. doi: 10.5455/njppp.2022.12.11414202102122021
- Vemuluri M., Philipose T. R. Histopathological study and immunohistochemistry of mediastinal masses of anterior compartmen // Annals of Pathology and Laboratory Medicine. 2023. Vol. 10, N 1. P. A1–A12. doi: 10.21276/APALM.3210
- Sundaram S., Vidhyalakshmi S. Histomorphological spectrumof mediastinal masses with special emphasis on rarelesions // Journal of Clinical and Diagnostic Research. 2020. Vol. 14, N 8. P. 1–5. doi: 10.7860/JCDR/2020/44483.13884
- Akutsu Y., Kaneko K., Kodama Y., et al. Usefulness of severe cardiac sympathetic dysfunction to predict the occurrence of rapid atrial fibrillation in patients with Wolff-Parkinson-White syndrome // Am J Cardiol. 2013. Vol. 112, N 5. P. 688–693. doi: 10.1016/j.amjcard.2013.04.048
- Булыгин И. А. Афферентное звено интероцептивных рефлексов. Минск: Медицина, 1971.
- Самойлов В. О. Некоторые проблемы каротидной хеморецепции. В кн.: Сенсорные системы / под ред. Г. В. Гершуни. Ленинград: Наука, 1977. С. 76–86.
- Ильинский О.Б., Кисляков В. А., Левашов М. М., и др. Физиология сенсорных систем. Ч. 2 / отв. ред. Г.В. Гершуни. Ленинград: Наука, 1972.
- Floras J. S. Arterial baroreceptor and cardiopulmonary reflex control of sympathetic outflow in human heart failure // Ann N Y Acad Sci. 2001. Vol. 940. P. 500–513. doi: 10.1111/j.1749-6632.2001.tb03701.x
- Krieger E.M., Da Silva G. J., Negrão C. E. Effects of exercise training on baroreflex control of the cardiovascular system // Ann NY Acad Sci. 2001. Vol. 940. P. 338–347. doi: 10.1111/j.1749-6632.2001.tb03689.x
- Гайворонский И.В., Железнов Л. М. Яхина И. М. Топографо-анатомические особенности пищевода плодов человека 16–22 недель развития. В кн.: Вопросы морфологии ХХI века. Выпуск 8. Санкт-Петербург: Издательство ДЕАН, 2024. С. 143–148.
- Gershon M. D. The enteric nervous system: a second brain // Hosp Pract (1995). 1999. Vol. 4, N 7. P. 31–32, 35–38, 41–42 passim. doi: 10.3810/hp.1999.07.153
- Furness J.B., Stebbing M. J. The first brain: species comparisons and evolutionary implications for the enteric and central nervous systems // Neurogastroenterol Motil. 2018. Vol. 30, N 2. P. 10.1111/nmo.13234. doi: 10.1111/nmo.13234
- Chumasov E.I., Petrova E. S., Korzhevskii D. E. Morphological peculiarities features of the innervation of rat epicardial adipose tissue in early postnatal ontogenesis // Journal of Evolutionary Biochemistry and Physiology. 2022. Vol. 58, N 6. P. 2070–2079. doi: 10.1134/S0022093022060333
Дополнительные файлы





