Влияние темновой депривации и хронической алкогольной интоксикации на печень крыс
- Авторы: Арешидзе Д.А.1, Кактурский Л.В.1, Михалева Л.М.1, Козлова М.А.1
-
Учреждения:
- Научно-исследовательский институт морфологии человека имени академика А.П. Авцына Российского научного центра хирургии имени академика Б.В. Петровского
- Выпуск: Том 161, № 2 (2023)
- Страницы: 23-35
- Раздел: Оригинальные исследования
- URL: https://journals.rcsi.science/1026-3543/article/view/256966
- DOI: https://doi.org/10.17816/morph.623050
- ID: 256966
Цитировать
Аннотация
Обоснование. Воздействие искусственного освещения в ночные часы вызывает дефицит эпифизарного мелатонина вследствие хорошо известного феномена прекращения его синтеза на свету и обусловливает нарушение циркадной ритмичности большинства функций организма млекопитающих. Согласно ряду исследований, недостаток мелатонина и нарушение структуры циркадных ритмов приводят к возникновению ряда патологий печени. Существенный недостаток мелатонина на фоне рассогласования суточной ритмики процессов жизнедеятельности является причиной повышения сенситивности печени к алкоголь-индуцированным повреждениям и ведёт к усилению тяжести алкогольной болезни.
Цель исследования — изучение раздельного и сочетанного действия постоянного освещения и хронической алкогольной интоксикации на структуру печени крыс.
Материалы и методы. Исследование проведено на 240 самцах и 160 самках крыс аутбредного стока Вистар в возрасте 6 мес. Длительность эксперимента составляла 3 нед. Были сформированы по 4 группы животных каждого пола (контрольная; группа, подвергавшаяся хронической алкогольной интоксикации; группа, подвергавшаяся темновой депривации; группа, находившаяся под воздействием обоих факторов.) Осуществляли исследование окрашенных гематоксилином и эозином препаратов, для оценки выраженности жировой дистрофии использовали окраску суданом III, иммуногистохимически определяли экспрессию Ki-67 и p53 как маркёров пролиферации и апоптоза соответственно.
Результаты. Как хроническая алкогольная интоксикация, так и темновая депривация вызывают сходные морфологические изменения в печени крыс обоего пола, проявляющиеся в развитии жировой дистрофии, некроза и усиления апоптотической активности гепатоцитов. Совместное действие этих факторов обусловливает более выраженные изменения в строении печени самцов, проявляющиеся в развитии у 13,3% из них цирротических изменений и у 20,0% — токсического гепатита, в то время как у самок признаки алкогольного гепатита отмечаются лишь у 5,0% животных. Усиление экспрессии Ki-67 в гепатоцитах самцов обнаруживается только при совместном действии хронической алкогольной интоксикации и темновой депривации, в то время как у самок рост экспрессии отмечается как при отдельном, так и при совместном действии этих факторов.
Заключение. Полученные данные позволяют сделать вывод о более успешной адаптации печени к раздельному и совместному действию хронической алкогольной интоксикации и темновой депривации у самок крыс, нежели у самцов.
Ключевые слова
Полный текст
ОБОСНОВАНИЕ
Одним из факторов, оказывающих неблагоприятное воздействие на организм современного человека, проживающего в техногенном обществе, является нарушение цикла свет–темнота, а именно так называемое световое загрязнение — воздействие света в ночное время [1, 2]. Этот фактор, вызванный целым рядом причин, среди которых лидируют продолжительное взаимодействие с электронными устройствами, сменный режим трудовой деятельности, трансмеридианные перелёты (jetlag) [3], оказывает неблагоприятное влияние двумя основными путями.
Во-первых, световое загрязнение вызывает десинхроноз, т.е. рассогласование по амплитуде и фазе циркадных ритмов человека. Во-вторых, оно подавляет ночную секрецию мелатонина эпифизом. Доказано, что мелатонин является адаптогеном широкого спектра действия, обеспечивающим успешность протекания приспособительных реакций к воздействию практически всех неблагоприятных факторов, которые влияют на организм [4, 5]. Дефицит мелатонина ассоциируется с ускорением темпов старения, более ранней манифестацией ассоциированных со старением онкологических и обменных патологий, а также заболеваний органов желудочно-кишечного тракта и сердечно-сосудистой системы [6, 7]. В настоящее время доказаны причинно-следственные связи между световым загрязнением и нарушением углеводного и липидного обмена, развитием сахарного диабета 2-го типа, атеросклероза, новообразований [8–10].
В климатогеографических условиях Российской Федерации вопрос дефицита мелатонина и вызываемых им нарушений обусловлен тем фактом, что нарушенный режим фотопериодизма является естественным в условиях высоких северных широт. Данное явление приводит к развитию у людей, работающих в этих условиях вахтовым методом или проходящих воинскую службу, затруднений или нарушений течения адаптационных процессов, в том числе и за счёт нарушений циркадианного ритмостаза [11, 12].
Установлено, что дефицит мелатонина в совокупности с нарушением циркадианной ритмичности ассоциирован с развитием новообразований печени, неалкогольной жировой болезни печени, билиарного цирроза и ряда других патологий [13, 14].
Значимым является также тот факт, что люди, вынужденные постоянно пребывать в условиях нарушенного светового режима (при работе в тёмное время суток), часто прибегают к чрезмерному употреблению кофе, алкоголя или алкоголь-содержащих энергетических напитков.
Чрезмерное употребление алкоголя остаётся одной из наиболее значимых социальных проблем как в современном мире в целом, так и в России [15, 16]. Хорошо известно, что печень, будучи одним из центральных звеньев поддержания гомеостаза, в том числе и хронобиологического, является органом, функции которого существенно нарушаются при хронической алкогольной интоксикации (ХАИ). Интоксикация вызывает развитие алкоголь-ассоциированных сердечно-сосудистых, нервно-психических и других заболеваний и поддерживает их течение [17].
Имеется небольшое количество исследований, посвящённых половым различиям в сроках развития и тяжести течения алкогольной болезни у людей. Подобных исследований на лабораторных животных также недостаточно [18–20].
Большая часть исследований посвящена раздельному и совместному влиянию ХАИ и темновой депривации на структуру печени лишь самцов лабораторных животных [21, 22]. Нами не обнаружено исследований, посвящённых изучению гендерных различий влияния ХАИ и темновой депривации на печень млекопитающих. Таким образом, к настоящему времени однозначно установлена деструктивная роль алкоголя и темновой депривации в отношении морфофункционального состояния печени. Однако в доступной нам литературе практически не встречаются исследования, посвящённые совместному действию этих факторов на организм млекопитающих, а также вопросам межполовых различий подобного влияния.
Целью исследования явилось изучение раздельного и сочетанного действия постоянного освещения и хронической алкогольной интоксикации на структуру печени крыс.
МАТЕРИАЛЫ И МЕТОДЫ
Работа выполнена на 240 самцах и 160 самках крыс аутбредного стока Вистар в возрасте 6 мес, массой тела 350±15 г. Животные были получены из питомника ФГБУН НЦБМТ ФМБА России «Столбовая». Все животные содержались в пластиковых клетках, при температуре 20–22 °С и относительной влажности воздуха 60–70%; первоначально животных содержали при естественном освещении. Крысы имели свободный доступ к питьевой воде и брикетированному корму ПК-120-1 (ООО «Лабораторснаб», сертификат соответствия № POCCRU.nO81.B00113, ГОСТ P50258-92). Содержание животных и эксперименты выполнены в соответствии с Европейской конвенцией о защите позвоночных животных, используемых для экспериментов или в других научных целях (Страсбург, 18 марта 1986 г.). На проведение исследования получено разрешение биоэтического комитета Научно-исследовательского института морфологии человека имени академика А.П. Авцына Российского научного центра хирургии имени академика Б.В. Петровского, протокол № 34(10) от 14.03.2021.
Крыс разделили на 8 групп:
- 1-я (контроль, самцы, n=60) — животные содержались при фиксированном световом режиме (свет:темнота/10:14 ч. Свет включали в 8:00 и выключали в 18:00);
- 2-я (самцы, n=60) — животные содержались в условиях темновой депривации 24 ч в сутки;
- 3-я (самцы, n=60) — животные содержались в тех же условиях, что и контроль, но получали в качестве питья 15% раствор этанола ad libitum вместо воды, т.е. подвергались ХАИ;
- 4-я (самцы, n=60) — животные содержались в условиях темновой депривации, получали в качестве питья 15% раствор этанола ad libitum;
- 5-я (контроль, самки, n=40) — животные содержались при фиксированном световом режиме (свет:темнота/10:14 ч с включением света в 8:00 и выключением в 18:00);
- 6-я группа (самки, n=40) — животные содержались в условиях темновой депривации 24 ч в сутки;
- 7-я (самки, n=40) — животные содержались в тех же условиях, что и контроль, но получали в качестве питья 15% водный раствор этанола ad libitum вместо воды, т.е. подвергались ХАИ;
- 8-я (самки, n=40) — животные содержались в условиях темновой депривации, получали в качестве питья 15% раствор этанола ad libitum.
Отбор самок крыс в экспериментальные группы осуществляли после определения фазы эстрального цикла по кольпоцитограмме таким образом, чтобы в эксперимент вошли животные в фазе диэструса.
В течение эксперимента ежедневно определяли объём выпитого раствора этанола, затем вычисляли массу спирта на 1 кг массы тела. В среднем животные обоего пола выпивали 15,48±1,28 мл/сут, что в пересчёте на абсолютный этанол составляет 7 г/кг массы тела.
Длительность эксперимента составляла 3 нед.
Выведение крыс из эксперимента осуществляли в углекислотной камере, оборудованной устройством для верхней подачи газа (100% СО2) в 9:00, 15:00, 21:00 и 3:00.
Часть фрагментов печени фиксировали в 10% нейтральном забуференном формалине с дальнейшей проводкой по спиртам возрастающей концентрации (50, 60, 70, 80 и 96°) и ксилолом с последующей заливкой в гистологическую среду «Гистомикс» («БиоВитрум», Россия). Серийные гистологические срезы толщиной 5–6 мкм изготавливали на роторном микротоме Leica SM2010 R (Leica Biosystems, Германия). Окраску гематоксилином и эозином осуществляли красителями («БиоВитрум», Россия) по общепринятой методике [23]. Для выявления волокон соединительной ткани проводили стандартную окраску [23] срезов по Маллори. Окрашенные срезы заключали в монтирующую среду BioMount (BioOptica, Италия).
Из части нефиксированных фрагментов печени были приготовлены замороженные срезы толщиной 6–8 мкм на криотоме СЗМ-01 «Уникон» (ООО НПП «Уникон», Россия). Для подтверждения наличия гепатоцитов в состоянии жировой дистрофии проводили стандартную окраску [23] замороженных срезов раствором судана III («БиоВитрум», Россия) в 70% этаноле.
На каждом срезе оценивали степень выраженности жировой дистрофии в баллах. При этом оценку проводили исходя из подсчёта доли гепатоцитов с жировой дистрофией по следующей градации [24]:
- 0 баллов — менее 5% гепатоцитов в состоянии жировой дистрофии;
- 1 балл — от 5 до 33% гепатоцитов в состоянии жировой дистрофии;
- 2 балла — от 33 до 66% гепатоцитов в состоянии жировой дистрофии;
- 3 балла — более 66% гепатоцитов в состоянии жировой дистрофии.
Микроскопию гистологических препаратов выполняли на цифровом микроскопе Leica DM 2500 (Leica Microsystems, Германия) с применением цифровой фотокамеры Leica DFC290 (Leica Microsystems, Германия) и окуляров ×10, ×15, объективов ×4, ×10, ×20, ×40, ×100.
Для оценки пролиферативной и апоптотической активности гепатоцитов по рекомендованным производителем антител методикам проводили иммуногистохимические реакции. Использовали следующие антитела: Ki-67 — кроличьи поликлональные (Cloud-Clone Corp., Китай), 1:300; p53 — кроличьи поликлональные (Cloud-Clone Corp., Китай), 1:200. Контролем служили реакции с заменой первых антител на раствор фосфатного буфера.
Результаты иммуногистохимической реакции оценивали в 4 полях зрения при ×400. На препаратах подсчитывали клетки, окрашенные с помощью антител, затем вычисляли соответствующий индекс как отношение окрашенных клеток к общему числу клеток в поле зрения в процентах [25].
Cтатистическую обработку результатов выполняли в программе GraphPad Prism v. 8.41 (США). Для выявления нормальности распределения использовали тест Д’Агостино–Пирсона. При нормальном распределении использовали t-тест Стьюдента для парного сравнения и тест Тьюки для сравнения трёх и более групп. При распределении, отличном от нормального, использовали тест Манна–Уитни для парного сравнения и тест Данна для сравнения трёх и более групп. Значимыми считали различия при уровне статистической значимости (α) или вероятности ошибки отклонения от нулевой гипотезы или ниже 5% (p <0,05).
РЕЗУЛЬТАТЫ
Влияние темновой депривации на печень крыс
Анализ морфологической картины печени интактных крыс-самцов, служивших контролем, позволил установить её соответствие возрастной норме. В частности, нами обнаружена сохранная структура печёночных балок, состоящих из гепатоцитов полигональной формы, имеющих одно или два округлых ядра, которые расположены по центру клетки (рис. 1, a, b).
Рис. 1. Печень крыс 1-й группы (♂, контроль): a — ×200, b — ×400 [18]. Окраска гематоксилином и эозином.
Fig. 1. Liver of rats of group 1 (♂, control): a — ×200, b — ×400 [18]. Staining with hematoxylin and eosin.
У животных, содержавшихся при темновой депривации, при практически нормальной структуре печени обнаружены единичные некротизированные гепатоциты, а кроме того, клетки с признаками мелкокапельной жировой дистрофии (рис. 2). Выраженность жировой дистрофии у самцов второй группы возрастала относительно показателей контроля, то же справедливо и в отношении экспрессии p53, а экспрессия Ki-67 оcтавалась практически неизменной (табл. 1).
Рис. 2. Печень крыс 2-й группы (♂, темновая депривация). Окраска гематоксилином и эозином, ×400.
Fig. 2. Liver of rats of group 2 (♂, dark deprivation). Hematoxylin and eosin staining, ×400.
Таблица 1. Выраженность жировой дистрофии и экспрессия Ki-67 и p53 в гепатоцитах крыс
Table 1. Severity of fatty degeneration and expression of Ki-67 and p53 in rat hepatocytes
Группы | Параметры | ||
Выраженность жировой дистрофии, баллы | Экспрессия Ki-67, % | Экспрессия p53, % | |
Самцы | |||
Контроль | 0,18±0,39 | 1,02±0,39 | 2,19±0,42 |
ТД | 1,05±0,39* | 1,16±0,47 | 3,97±0,56* |
ХАИ | 1,28±0,55* | 1,02±0,59 | 4,06±0,56* |
ТД+ХАИ | 1,73±0,84* | 5,74±0,99*** | 3,16±0,43* |
Самки | |||
Контроль | 0,42±0,56* | 1,02±0,40 | 2,32±0,50 |
ТД | 0,97±0,37* | 1,39±0,78* | 4,78±0,63** |
ХАИ | 1,22±0,49** | 2,22±0,40* | 6,51±0,94** |
ТД+ХАИ | 1,65±1,10** | 5,70±1,30*** | 4,68±0,98** |
Примечание: ТД — темновая депривация, ХАИ — хроническая алкогольная интоксикация; * p ≤0,05; ** p ≤0,005; *** p ≤0,0005 — в сравнении с показателями животных контрольной группы.
Note: ТД — dark deprivation, ХАИ — chronic alcohol intoxication; * p ≤0.05; ** p ≤0.005; *** p ≤0.0005 — in comparison with the indicators of animals in the control group.
Морфологическая картина печени самок крыс контрольной группы, как и у самцов, соответствовала возрастной норме.
Влияние темновой депривации у самок, как и у самцов, вызывало появление единичных гепатоцитов в состоянии некроза, а также клеток с признаками мелкокапельной жировой дистрофии. Выраженность жировой дистрофии у самок 6-й группы возрастала, как и экспрессия изученных генов.
Влияние хронической алкогольной интоксикации на печень крыс
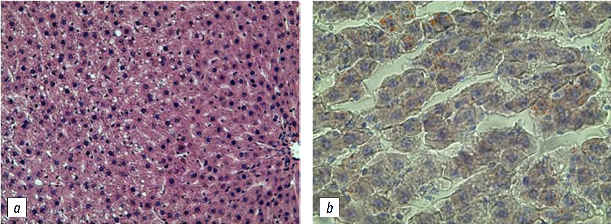
В печени крыс 3-й экспериментальной группы после трёхнедельной ХАИ обнаружено значительное количество вакуольсодержащих гепатоцитов. Контрольная окраска суданом III подтвердила наличие липидных капель в их цитоплазме, что свидетельствует о начале развития жировой дистрофии печени (рис. 3, a, b). При этом в печени крыс данной группы наблюдаются как отдельные клетки, так и группы гепатоцитов в состоянии некроза, а также отдельные апоптотические клетки. Как и в условиях темновой депривации, выраженность жировой дистрофии в гепатоцитах и экспрессия p53 у крыс этой группы статистически значимо возрастала относительно контроля при практически неизменённой доле Ki-67+ гепатоцитов.
Рис. 3. Печень крыс 3-й группы (♂, хроническая алкогольная депривация): a — окраска гематоксилином и эозином, ×200; b — окраска суданом III с докраской гематоксилином, ×400 [18].
Fig. 3. Liver of rats of group 3 (♂, chronic alcohol intoxication): a — hematoxylin and eosin staining, ×200; b — staining with sudan III with additional staining with hematoxylin, ×400 [18].
Морфологические изменения в печени самок 7-й группы, также подвергнутых трёхнедельной алкогольной интоксикации, соответствовали таковым у самцов 3-й группы. Они проявились в появлении значительного числа гепатоцитов, в состоянии жировой дистрофии, апоптоза и некроза (рис. 4).
Рис. 4. Печень крыс 7-й группы (♀, хроническая алкогольная депривация). Окраска гематоксилином и эозином, ×400.
Fig. 4. Liver of rats of group 7 (♀, chronic alcohol intoxication). Hematoxylin and eosin staining, ×400.
Выраженность жировой дистрофии, экспрессия Ki-67 и p53 у крыс оказались существенно выше показателей контроля.
Влияние темновой депривации и хронической алкогольной интоксикации на печень крыс
Строение печени большей части животных 4-й группы характеризовалась значительным количеством гепатоцитов в состоянии жировой дистрофии, отмечались как одиночные некротизированные клетки, так и очаги микронекроза, клетки печени в состоянии апоптоза. Однако у 20,0% (n=12) самцов этой группы обнаружены признаки алкогольного гепатита: некроз, клетки в процессе апоптоза, мелко- и крупнокапельная жировая дистрофия, а также инфильтрат из нейтрофильных лейкоцитов, лимфоцитов и макрофагов, локализованный в портальных трактах и проникающий в печёночную дольку (рис. 5, a, b). При этом у 13,3% (n=8) самцов 4-й группы нарушалось балочное строение органа, выявлялись мелкие мономорфные узлы-регенераты (так называемые ложные дольки), разделённые узкими прослойками соединительной ткани. В печени этих самцов также наблюдались включения липофусцина и тельца Мэллори–Денка (рис. 6). В печени животных этой группы при возросшей выраженности жировой дистрофии обнаружено существенное увеличение количества Ki-67+ и р53+ гепатоцитов.
Рис. 5. Печень крыс 4-й группы (♂, темновая депривация + хроническая алкогольная депривация): a — ×400, b — ×1000.
Fig. 5. Liver of rats of the 4th group (♂, dark deprivation + chronic alcohol intoxication): a — ×400, b — ×1000.
Рис. 6. Печень крыс 4-й группы (♂, темновая депривация + хроническая алкогольная депривация): a, b — окраска по Ван-Гизону–Фуше [19]; c, d — окраска гематоксилином и эозином [20]; a — ×200, b, c, d — ×400. На рис. c стрелками указаны тельца Маллори–Денка.
Fig. 6. Liver of rats of the 4th group (♂, dark deprivation + chronic alcohol intoxication): a, b — Van Gieson–Fouche staining [19]; c, d — hematoxylin and eosin staining [20]; a — ×200, b, c, d — ×400. In Fig. c arrows indicate Mallory–Denk bodies.
У самок в тех же условиях (8-я группа) особенности структуры печени соответствовали таковым у самцов аналогичной группы, однако признаки алкогольного гепатита отмечены только у 5,0% самок, а цирротических изменений, телец Маллори–Денка и липофусцина в печени самок этой группы не обнаружено.
Таким образом, как у самцов, так и у самок темновая депривация в совокупности с ХАИ приводит к увеличению доли Ki-67+ и р53+ гепатоцитов при усилении выраженности жировой дистрофии.
ОБСУЖДЕНИЕ
Появление дистрофически изменённых гепатоцитов в группах животных с темновой депривацией, по-видимому, вызвано дефицитом пинеального мелатонина [26] и стрессом, который обусловлен постоянным освещением.
Несомненно, стресс, вызванный непрерывным освещением, вносит свой вклад в развитие наблюдаемой в гепатоцитах животных 2-й и 6-й групп мелкокапельной жировой дистрофии. Доказано, что прогрессирование дистрофических изменений в гепатоцитах напрямую коррелирует с продолжительностью стрессорного воздействия, что обусловлено ростом концентрации глюкокортикоидов, вызывающих усиление экспрессии серотониновых рецепторов 5-HT2A и 5-НТ2B, триптофангидроксилазы 1 и синтеза серотонина, а накопление гепатоцитами липидных капель при стрессе протекает на фоне усиления экспрессии некоторых генов липолиза и β-окисления жирных кислот [21, 27].
Хорошо известно, что участие печени в липидном обмене может осуществляться как путём воздействия печёночной желчи на жиры в желудочно-кишечном тракте, так и путём синтеза холестерина. Оба эти процесса в значительной мере зависят от концентрации мелатонина в крови. Доказано, что пероральное введение мелатонина грызунам при высококалорийной диете вызывает ослабление стеатоза печени на фоне снижения уровня активности аминотрансфераз [28, 29].
Трёхнедельная ХАИ также вызывает развитие жировой дистрофии гепатоцитов у животных обоих полов. Под действием этанола происходит ряд процессов, связанных с обменом липидов, которые приводят к нарушению баланса между синтезом и деградацией липидов:
- стресс эндоплазматического ретикулума (нарушение нормального фолдинга (укладки белков) и накопление в просвете эндоплазматического ретикулума аберрантных несвёрнутых или неправильно свёрнутых протеинов с их последующей агрегацией), влияющий на гомеостаз липидов и, по-видимому, являющийся основным механизмом гепатотоксичности при алкогольной болезни печени;
- усиление высвобождения липидов из жировых депо;
- усиление биосинтеза жирных кислот в гепатоцитах при невозможности их окисления;
- активация образования из жирных кислот триацилглицеролов;
- уменьшение проницаемости цитоплазматической мембраны гепатоцита в результате усиления синтеза и накопления холестерина [30].
Совместное влияние темновой депривации и ХАИ в течение 3 нед вызывает значительно более выраженные изменения в морфофункциональном состоянии печени, в частности проявляющиеся в развитии гепатита, который наблюдается у 20,0% крыс-самцов 4-й группы и 5,0% крыс-самок 8-й группы.
Патогенез алкогольной болезни печени включает множество факторов, в том числе повреждение гепатоцитов, холестаз, рекрутирование и активацию клеток врождённого иммунитета. Постоянная активность этих факторов при хроническом употреблении алкоголя приводит к активации звёздчатых клеток и миофибробластов в печени, вызывая развитие фиброза и алкогольного цирроза [31, 32].
Продолжительное употребление алкоголя обусловливает активацию фермента-цитохрома CYP2E1, участвующего в метаболизме этанола, что приводит к повышению содержания активных форм кислорода в гепатоцитах и снижению уровня внутриклеточных антиоксидантов [33]. Накопление липидов в гепатоцитах, наблюдаемое на ранних стадиях болезней печени, в том числе и алкогольной, вызывает активацию резидентных макрофагов печени, рекрутирование циркулирующих и происходящих из костного мозга воспалительных клеток (моноцитов, макрофагов и нейтрофилов), которые продуцируют провоспалительные цитокины, в печень [34].
Наличие воспалительных клеток в синусоидах печени приводит к активации звёздчатых клеток, потерям ретиноевой кислоты, индукции фиброгенных генов и избыточному производству коллагена I-го типа. Активированные звёздчатые клетки размножаются и вырабатывают коллаген, который способствует фиброзу печени. Их длительная активация совместно с деятельностью миофибробластов приводит к прогрессирующему отложению коллагена, фиброзу печени, а затем — переходу фиброза в цирроз [35].
Клетки Купфера, продуцирующие активные формы кислорода, различные растворимые факторы и цитокины (например, TNF-α) [36], также активируются эндотоксинами, которые накапливаются в печени при хроническом употреблении алкоголя. Предполагается, что воспалительные реакции, ассоциированные с алкогольным повреждением гепатоцитов, являются именно следствием вызванного алкоголем увеличения абсорбции эндотоксинов, вызывающих активацию клеток Купфера и высвобождение провоспалительных цитокинов и хемокинов (TNF-α, IL-1β, IL-8 и т.д.), оксида азота [37], что в итоге приводит к гибели гепатоцитов путём апоптоза и некроза.
Мелатонин блокирует прогресс накопления эндотоксинов, ослабляя окислительный стресс, ингибирует синтез активных форм кислорода, TNF-α из клеток Купфера, снижает экспрессию ряда провоспалительных цитокинов и хемокинов, а также подавляет инфильтрацию нейтрофилов [38]. Для этого гормона описано противофиброзное действие, существенно ограничивающее дифференцировочный потенциал клеток Ито в сторону миофибробластов с последующим ограничением аккумуляции фибронектина в перисинусоидальном пространстве печени [39].
Проведённое исследование свидетельствует о том, что более выраженные изменения в морфологии печени при совместном действии ХАИ и темновой депривации вызваны именно дефицитом мелатонина.
Хорошо известен тот факт, что самки более восприимчивы к токсическому действию этанола, чем самцы, и болезнь печени у них развивается раньше и в более раннем возрасте, чем у самцов, употребляющих эквивалентное количество алкоголя. Это объясняется разной активностью ферментов в печени, различиями в объёме распределения этанола в организме, в проницаемости кишечника для эндотоксинов и эстроген-индуцированной повышенной чувствительности клеток Купфера в печени к липополисахаридам кишечного происхождения [40].
В то же время при сходных изменениях структуры печени крыс, вызванных ХАИ и темновой депривацией, бόльшую выраженность они носят у самцов. Имеются сообщения о том, что в отношении липидного обмена в печени мелатонин обладает выраженным половым диморфизмом, нормализуя при введении обмен жиров у самок в большей степени, чем у самцов [41].
Результаты иммуногистохимических исследований увеличения экспрессии Ki-67 — маркёра пролиферации — свидетельствуют об интенсификации пролиферативного процесса под совместным влиянием темновой депривации и алкоголя как у самцов, так и у самок [42].
Усиление экспрессии p53 в гепатоцитах крыс всех экспериментальных групп свидетельствует об увеличении апоптотической активности в гепатоцитах в результате как раздельного, так и совместного влияния ХАИ и темновой депривации [43].
Таким образом, как отдельно, так и совместно действующие ХАИ и темновая депривация вызывают определённые морфологические изменения в печени крыс обоего пола.
Темновая депривация у животных обоего пола вызывает развитие жировой дистрофии, что является хорошо описанным явлением [44]; при этом половых различий нами не обнаружено.
Показано, что при нарушениях липидного обмена печени увеличение экспрессии р53 сопровождается снижением интенсивности пролиферации [45]. Однако у самцов, подвергшихся сочетанному воздействию ХАИ и темновой депривации, происходило статистически значимое повышение экспрессии Ki-67, а у самок это наблюдалось во всех экспериментальных группах. Похожие данные были получены S. Stöppeler и соавт. [46], установившими рост экспрессии Ki-67 при экспериментальном стеатозе у крыс, причём уровень экспрессии у самок оказывался выше, чем у самцов. Предполагается, что этот факт обусловлен работой некоторых генов рецепторов VЕGF-1 и VЕGF-2 (FLT1, FLK1), демонстрирующих более высокий профиль экспрессии у самок. Опосредованная VGF передача сигналов может защищать гепатоциты и улучшать нарушенную регенерацию стеатозной печени. Это связано с ролью синусоидальных эндотелиальных клеток печени, которые экспрессируют в основном хемокиновый рецептор CXCR4 и стимулируют фиброгенез печени, а VTGF является одним из факторов, определяющих этот процесс [47, 48].
ЗАКЛЮЧЕНИЕ
При одинаковой проапоптотической активности в гепатоцитах обоих полов в печени самок крыс регенеративная активность наблюдается при раздельном воздействии изучаемых хронодеструкторов.
Совместное действие хронической алкогольной интоксикации и темновой депривации вызывает более выраженные изменения в строении печени самцов, проявляющиеся в развитии у 13,3% из них цирротических изменений, и у 20,0% — токсического гепатита, в то время как среди самок признаки алкогольного гепатита отмечаются лишь у 5,0% животных.
Усиление экспрессии Ki-67 в гепатоцитах самцов обнаруживается только при совместном действии хронической алкогольной интоксикации и темновой депривации, в то время как у самок рост экспрессии отмечается как при отдельном, так и при совместном действии этих факторов.
Полученные результаты позволяют глубже понять эффекты деструктивного влияния на печень и организм в целом хронической алкогольной интоксикации в сочетании с темновой депривацией, что является важным для развития представлений о повреждающих факторах, непосредственно влияющих на здоровье человека.
ДОПОЛНИТЕЛЬНО
Источник финансирования. Исследование выполнено в рамках государственного задания Научно-исследовательского института морфологии человека имени академика А.П. Авцына Российского научного центра хирургии имени академика Б.В. Петровского № 122030200535-1.
Конфликт интересов. Авторы декларируют отсутствие явных и потенциальных конфликтов интересов, связанных с публикацией настоящей статьи.
Вклад авторов. Все авторы подтверждают соответствие своего авторства международным критериям ICMJE (все авторы внесли существенный вклад в разработку концепции, проведение исследования и подготовку статьи, прочли и одобрили финальную версию перед публикацией). Наибольший вклад распределён следующим образом: концепция и дизайн исследования — Д.А. Арешидзе, Л.В. Кактурский; литературный поиск, участие в исследовании, обработка материала — Д.А. Арешидзе, М.А. Козлова; анализ и интерпретация данных — Д.А. Арешидзе, Л.В. Кактурский, Л.М. Михалёва, М.А. Козлова; написание и редактирование текста — Д.А. Арешидзе, Л.В. Кактурский, Л.М. Михалёва, М.А. Козлова.
ADDITIONAL INFORMATION
Funding source. The study was carried out within the framework of the state assignment of the Avtsyn Research Institute of Human Morphology of Petrovsky National Research Centre of Surgery No. 122030200535-1.
Competing interests. The authors declare that they have no competing interests.
Authors’ contributions. All authors made a substantial contribution to the conception of the work, acquisition, analysis, interpretation of data for the work, drafting and revising the work, final approval of the version to be published and agree to be accountable for all aspects of the work. The largest contribution is distributed as follows: concept and design of the study — D.A. Areshidze, L.V. Kakturskiy; literature search, participation in the study, processing of material — D.A. Areshidze, M.A. Kozlova; analysis and interpretation of data — D.A. Areshidze, L.V. Kakturskiy, L.M. Mikhaleva, M.A. Kozlova; writing and editing the text — D.A. Areshidze, L.V. Kakturskiy, L.M. Mikhaleva, M.A. Kozlova.
Об авторах
Давид Александрович Арешидзе
Научно-исследовательский институт морфологии человека имени академика А.П. Авцына Российского научного центра хирургии имени академика Б.В. Петровского
Автор, ответственный за переписку.
Email: labcelpat@mail.ru
ORCID iD: 0000-0003-3006-6281
SPIN-код: 4348-6781
канд. биол. наук
Россия, МоскваЛев Владимирович Кактурский
Научно-исследовательский институт морфологии человека имени академика А.П. Авцына Российского научного центра хирургии имени академика Б.В. Петровского
Email: levkaktur@mail.ru
ORCID iD: 0000-0001-7896-2080
SPIN-код: 8472-0440
д-р мед. наук, профессор
Россия, МоскваЛюдмила Михайловна Михалева
Научно-исследовательский институт морфологии человека имени академика А.П. Авцына Российского научного центра хирургии имени академика Б.В. Петровского
Email: mikhalevam@yandex.ru
ORCID iD: 0000-0003-2052-914X
SPIN-код: 2086-7513
д-р мед. наук, профессор
Россия, МоскваМария Александровна Козлова
Научно-исследовательский институт морфологии человека имени академика А.П. Авцына Российского научного центра хирургии имени академика Б.В. Петровского
Email: ma.kozlova2021@outlook.com
ORCID iD: 0000-0001-6251-2560
SPIN-код: 5647-1372
канд. биол. наук
Россия, МоскваСписок литературы
- Rumanova V.S., Okuliarova M., Zeman M. Differential effects of constant light and dim light at night on the circadian control of metabolism and behavior // Int J Mol Sci. 2020. Vol. 21, N 15. P. 5478. doi: 10.3390/ijms21155478
- Bumgarner J.R., Nelson R.J. Light at night and disrupted circadian rhythms alter physiology and behavior // Integr Comp Biol. 2021. Vol. 61, N 3. P. 1160–1169. doi: 10.1093/icb/icab017
- Fárková E., Schneider J., Šmotek M., et al. Weight loss in conservative treatment of obesity in women is associated with physical activity and circadian phenotype: a longitudinal observational study // Biopsychosoc Med. 2019. Vol. 13, P. 24. doi: 10.1186/s13030-019-0163-2
- Arushanian E.B., Beĭer E.V. Pineal hormone melatonin is an universal adaptogenic agent // Usp Fiziol Nauk. 2012. Vol. 43, N 3. P. 82–100.
- Нестерова М.В. Мелатонин — адаптоген с мультимодальными возможностями // Медицинский Совет. 2015. № 18. С. 50–53. doi: 10.21518/2079-701X-2015-18-50-53
- Audebrand A., Désaubry L., Nebigil C.G. Targeting GPCRs against cardiotoxicity induced by anticancer treatments // Front Cardiovasc Med. 2020. Vol. 6. P. 194. doi: 10.3389/fcvm.2019.00194
- Talib W.H., Alsayed A.R., Abuawad A., et al. Melatonin in cancer treatment: current knowledge and future opportunities // Molecules. 2021. Vol. 26, N 9. P. 2506. doi: 10.3390/molecules26092506
- Aho V., Ollila H.M., Kronholm E., et al. Prolonged sleep restriction induces changes in pathways involved in cholesterol metabolism and inflammatory responses // Sci Rep. 2016. Vol. 6. P. 24828. doi: 10.1038/srep24828
- Mota M.C., Silva C.M., Balieiro L.C.T., et al. Social jetlag and metabolic control in non-communicable chronic diseases: a study addressing different obesity statuses // Sci Rep. 2017. Vol. 7, N 1. P. 6358. doi: 10.1038/s41598-017-06723-w
- Poggiogalle E., Jamshed H., Peterson C.M. Circadian regulation of glucose, lipid, and energy metabolism in humans // Metabolism. 2018. Vol. 84. P. 11–27. doi: 10.1016/j.metabol.2017.11.017
- Шуркевич Н.П., Ветошкин А.С., Гапон Л.И., и др. Прогностическая значимость нарушений хронотипа суточного ритма артериального давления у нормотензивных лиц в условиях вахты на Крайнем Севере // Артериальная гипертензия. 2017. Т. 23, № 1. С. 36–46. doi: 10.18705/1607-419X-2017-23-1-36-46
- Ульяновская С.А., Баженов Д.В., Шестакова В.Г., Калинкин М.Н. Влияние фотопериодики Севера на организм человека (обзор литературы) // Материалы Международной научно-практической конференции «Бородинские чтения», посвящённой 90-летию академика РАН Юрия Ивановича Бородина; Март 22, 2019; Новосибирск. Режим доступа: https://elibrary.ru/item.asp?id=38576451
- Nelson R.J., Chbeir S. Dark matters: effects of light at night on metabolism // Proc Nutr Soc. 2018. Vol. 77, N 3. P. 223–229. doi: 10.1017/S0029665118000198
- Walker W.H. 2nd, Bumgarner J.R., Walton J.C., et al. Light pollution and cancer // Int J Mol Sci. 2020. Vol. 21, N 24. P. 9360. doi: 10.3390/ijms21249360
- Karlsson H., Persson E., Perini I., et al. Acute effects of alcohol on social and personal decision making // Neuropsychopharmacology. 2022. Vol. 47, N 4. P. 824–831. doi: 10.1038/s41386-021-01218-9
- Гладких С.Н., Ласкин Е.Ф., Семчук Н.Н. Алкоголизация современной России // Материалы XVI Международной научно-практической конференции «Экологические проблемы региона и пути их разрешения»; Май 12–13, 2022; Омск. Режим доступа: https://elibrary.ru/item.asp?id=49452527
- Osna N.A., New-Aaron M., Dagur R.S., et al. A review of alcohol-pathogen interactions: new insights into combined disease pathomechanisms // Alcohol Clin Exp Res. 2022. Vol. 46, N 3. P. 359–370. doi: 10.1111/acer.14777
- Barker J.M, Taylor J.R. Sex differences in incentive motivation and the relationship to the development and maintenance of alcohol use disorders // Physiol Behav. 2019. Vol. 203. P. 91–99. doi: 10.1016/j.physbeh.2017.09.027
- Flores-Bonilla A., Richardson H.N. Sex differences in the neurobiology of alcohol use disorder // Alcohol Res. 2020. Vol. 40, N 2. P. 04. doi: 10.35946/arcr.v40.2.04
- Blanchard B.A., Glick S.D. Sex differences in mesolimbic dopamine responses to ethanol and relationship to ethanol intake in rats // Recent Dev Alcohol. 1995. Vol. 12. P. 231–241. doi: 10.1007/0-306-47138-8_15
- Козлова М.А. Влияние светового режима и хронической алкогольной интоксикации на морфофункциональное состояние печени и структуру её циркадных ритмов в эксперименте : дисс. … канд. биол. наук. Москва, 2022. Режим доступа: https://www.dissercat.com/content/vliyanie-svetovogo-rezhima-i-khronicheskoi-alkogolnoi-intoksikatsii-na-morfofunktsionalnoe
- Мичурина С.В., Бородин Ю.И., Ищенко И.Ю., и др. Лимфатический регион печени крыс Вистар в условиях сочетанного влияния алкогольной интоксикации и круглосуточного освещения // Бюллетень Сибирского отделения Российской академии медицинских наук. 2008. № 5. С. 44–49.
- Меркулов Г.А. Курс патолого-гистологической техники. 5-е издание. Ленинград : Медицина, Ленинградское отделение, 1969. 423 с.
- Лазебник Л.Б., Радченко, В.Г., Голованова, Е.В., и др. Неалкогольная жировая болезнь печени: клиника, диагностика, лечение рекомендации утверждены XV съездом НОГР в 2015 году // Экспериментальная и клиническая гастроэнтерология. 2015. № 7. С. 85–96.
- Rubin Grandis J., Melhem M.F., Barnes E.L., et al. Quantitative immunohistochemical analysis of transforming growth factor-alpha and epidermal growth factor receptor in patients with squamous cell carcinoma of the head and neck // Cancer. 1996. Vol. 78, N 6. P. 1284–1292. doi: 10.1002/(SICI)1097-0142(19960915)78:6<1284::AID-CNCR17>3.0.CO;2-X
- Анисимов В.Н. Эпифиз, биоритмы и старение организма // Успехи физиологических наук. 2008. Т. 39, № 4. С. 40–65.
- Grabeklis S.A., Mikhaleva L.M., Kozlova M.A., et al. Influence of constant lighting on the morphofunctional state and rhythmostasis of the liver of rats // Medical Academic Journal. 2023. Vol. 23, N 2. P. 63–74. doi: 10.17816/maj322855
- Kirillov Yu.A., Kozlova M.A., Makartseva L.A., et al. The effect of chronic alcohol intoxication and constant illumination on the morphological and functional state of the liver // Clinical And Experimental Morphology. 2021. Vol. 10, N S4. P. 68–76. doi: 10.31088/CEM2021.10.S4.68-76
- Corona-Pérez A., Díaz-Muñoz M., Rodríguez I.S., et al. High sucrose intake ameliorates the accumulation of hepatic triacylglycerol promoted by restraint stress in young rats // Lipids. 2015. Vol. 50, N 11. P. 1103–1113. doi: 10.1007/s11745-015-4066-0
- Fu J., Ma S., Li X., et al. Long-term stress with hyperglucocorticoidemia-induced hepatic steatosis with VLDL overproduction is dependent on both 5-HT2 receptor and 5-HT synthesis in liver // Int J Biol Sci. 2016. Vol. 12, N 2. P. 219–234. doi: 10.7150/ijbs.13062
- Wang L., McFadden J.W., Yang G., et al. Effect of melatonin on visceral fat deposition, lipid metabolism and hepatic lipo-metabolic gene expression in male rats // J Anim Physiol Anim Nutr (Berl). 2021. Vol. 105, N 4. P. 787–796. doi: 10.1111/jpn.13497
- Owino S., Contreras-Alcantara S., Baba K., et al. Melatonin signaling controls the daily rhythm in blood glucose levels independent of peripheral clocks // PLoS One. 2016. Vol. 11, N 1. P. e0148214. doi: 10.1371/journal.pone.0148214
- Lakshman R., Shah R., Reyes-Gordillo K., Varatharajalu R. Synergy between NAFLD and AFLD and potential biomarkers // Clin Res Hepatol Gastroenterol. 2015. Vol. 39 Suppl 1. P. S29–S34. doi: 10.1016/j.clinre.2015.05.007
- Hosseini N., Shor J., Szabo G. Alcoholic hepatitis: a review // Alcohol Alcohol. 2019. Vol. 54, N 4. P. 408–416. doi: 10.1093/alcalc/agz036
- Patel P.V., Flamm S.L. Screening, diagnosis, and treatment of alcohol-related liver disease and alcohol-associated hepatitis // Gastroenterol Hepatol (N Y). 2022. Vol. 18, N 7. P. 409–417.
- Gao B., Bataller R. Alcoholic liver disease: pathogenesis and new therapeutic targets // Gastroenterology. 2011. Vol. 141, N 5. P. 1572–1585. doi: 10.1053/j.gastro.2011.09.002
- Szabo G., Bala S. Alcoholic liver disease and the gut-liver axis // World J Gastroenterol. 2010. Vol. 16, N 11. P. 1321–1329. doi: 10.3748/wjg.v16.i11.1321
- Stickel F., Datz C., Hampe J., Bataller R. Pathophysiology and management of alcoholic liver disease: update 2016 // Gut Liver. 2017. Vol. 11, N 2. P. 173–188. Corrected and republished from: Gut Liver. 2017. Vol. 11, N 3. P. 447. doi: 10.5009/gnl16477
- Uesugi T., Froh M., Arteel G.E., et al. Role of lipopolysaccharide-binding protein in early alcohol-induced liver injury in mice // J Immunol. 2002. Vol. 168, N 6. P. 2963–2969. doi: 10.4049/jimmunol.168.6.2963
- Vidali M., Stewart S.F., Albano E. Interplay between oxidative stress and immunity in the progression of alcohol-mediated liver injury // Trends Mol Med. 2008. Vol. 14, N 2. P. 63–71. doi: 10.1016/j.molmed.2007.12.005
- Hu S., Yin S., Jiang X., et al. Melatonin protects against alcoholic liver injury by attenuating oxidative stress, inflammatory response, and apoptosis // Eur J Pharmacol. 2009. Vol. 616(1-3). P. 287–292. doi: 10.1016/j.ejphar.2009.06.044
- Hong R.T., Xu J.M., Mei Q. Melatonin ameliorates experimental hepatic fibrosis induced by carbon tetrachloride in rats // World J Gastroenterol. 2009. Vol. 15, N 12. P. 1452–1458. doi: 10.3748/wjg.15.1452
- Müller C. Liver, alcohol and gender // Wien Med Wochenschr. 2006. Vol. 156(19-20). P. 523–526. doi: 10.1007/s10354-006-0348-8
- Mustonen A.M., Nieminen P., Hyvärinen H. Effects of continuous light and melatonin treatment on energy metabolism of the rat // J Endocrinol Invest. 2002. Vol. 25, N 8. P. 716–723. doi: 10.1007/BF03345106
- Tsomaia K., Patarashvili L., Karumidze N., et al. Liver structural transformation after partial hepatectomy and repeated partial hepatectomy in rats: a renewed view on liver regeneration // World J Gastroenterol. 2020. Vol. 26, N 27. P. 3899–3916. doi: 10.3748/wjg.v26.i27.3899
- Stöppeler S., Palmes D., Fehr M., et al. Gender and strain-specific differences in the development of steatosis in rats // Lab Anim. 2013. Vol. 47, N 1. P. 43–52. doi: 10.1177/0023677212473717
- Duan J.L., Ruan B., Yan X.C., et al. Endothelial Notch activation reshapes the angiocrine of sinusoidal endothelia to aggravate liver fibrosis and blunt regeneration in mice // Hepatology. 2018. Vol. 68, N 2. P. 677–690. doi: 10.1002/hep.29834
- DeLeve L.D. Liver sinusoidal endothelial cells in hepatic fibrosis // Hepatology. 2015. Vol. 61, N 1. P. 1740–1746. Corrected and republished from: Hepatology. 2015. Vol. 62, N 5. P. 326. doi: 10.1002/hep.27376
Дополнительные файлы







